Resumen: Los hemangiomas de intestino delgado son una causa infrecuente y de difícil diagnóstico de hemorragia de intestino medio. Presentamos el caso de un paciente masculino de 17 años al que se le realizó videocápsula endoscópica para el estudio de anemia ferropénica, evidenciando en el intestino delgado lesiones elevadas lobuladas violáceas de 5 a 15 mm de diámetro, compatibles con hemangiomas. Se realizó tratamiento endoscópico con inyección de polidocanol al 1%, logrando la esclerosis de dos de las lesiones, sin complicación y con resolución de la anemia.
Palabras clave: Intestino delgado, hemangioma, escleroterapia endoscópica, polidocanol, enteroscopía doble balón.
Abstract: Hemangiomas of the small bowel are an uncommon and difficult-to-diagnose cause manifesting with bleeding of the midgut. We report an 18 -year- old male under study due to iron deficiency anaemia. A video-capsule endoscopy was performed, revealing multiple raised lobulated violaceous lesions in the small intestine of 5 to 15 mm diameter, compatible with hemangiomas. Endoscopic therapy was carried out using an injection of 1% polidocanol, achieving the sclerosis of the lesion without complications and the correction of the anaemia.
Keywords: Small intestine, hemangioma, sclerotherapy, polidocanol, double-balloon enteroscopy.
Casos clínicos
Escleroterapia endoscópica en hemangioma de intestino delgado. Reporte de un caso
Endoscopic Sclerotherapy in Small Bowel Haemangioma. A Case Report

Recepción: 21 Enero 2022
Aprobación: 17 Marzo 2022
Publicación: 30 Marzo 2022
Los hemangiomas de intestino delgado (ID) representan una patología infrecuente y de difícil diagnóstico.Generalmente son asintomáticos y su hallazgo es incidental. En los pacientes con hemangiomas sintomáticos, la forma más frecuente de presentación clínica es la hemorragia digestiva. Esta puede presentarse de forma oculta, o manifiesta con melena/hematoquecia. En raras ocasiones, se presenta con sangrados masivos con necesidad de cirugía de urgencia.1 El diagnóstico suele ser dificultoso debido a la baja precisión de los métodos por imágenes para detectar estas lesiones. En los últimos años, con el desarrollo de la videocápsula endoscópica (VCE), se logró mejorar el rédito diagnóstico de lesiones de ID en pacientes en estudio por hemorragia digestiva de intestino medio.
En la literatura, hay reportes descriptos de casos diagnosticados por VCE; la mayoría de ellos resueltos de manera quirúrgica. Sin embargo, recientemente se han publicado reportes de casos tratados con escleroterapia endoscópica con polidocanol, con buenos resultados.1,2,3
A continuación, presentamos un caso de hemangioma de ID, diagnosticado por VCE y tratado endoscópicamente con escleroterapia con polidocanol.
Hombre de 17 años, derivado para el estudio de hemorragia de intestino medio. Presentaba antecedentes de anemia ferropénica de años de evolución, con requerimientos transfusionales de glóbulos rojos y en tratamiento con hierro endovenoso. Al interrogatorio, refirió astenia, sin dolor abdominal y sin evidencia de sangrado digestivo. Al ingreso, se encontraba hemodinámicamente estable, afebril, con abdomen blando depresible, indoloro y sin evidencia de masa palpable. Presentaba serologías negativas para enfermedad celíaca, videoendoscopía digestiva alta (VEDA) normal y videocolonoscopía (VCC) con ileoscopía y adecuada preparación (escala de limpieza colónica de Boston 9/9) sin evidencia de lesiones. En el análisis bioquímico, se constató hemoglobina de 10 mg/dl, con perfil de hierro compatible con ferropenia. Se decidió estudiar el ID con VCE (Capsocam®). Se realizó estudio completo de ID, con adecuada preparación, observándose múltiples lesiones elevadas lobuladas violáceas, de 5 a 15 mm de diámetro; la mayor estaba ubicada en el íleon terminal, siendo compatibles con hemangiomas múltiples (Vídeo 1). Se descartó la presencia de hemangiomas cutáneos y en otros órganos internos, mediante la evaluación clínica, por el servicio de dermatología y estudios por imágenes. Dado que la lesión de mayor tamaño se ubicaba en el íleon terminal según la VCE, se realizó ileocolonoscopía (Olympus® serie CF-H180AL). A 30 cm de la válvula ileocecal, se evidenció lesión elevada lobulada, de color azulado, de 30 mm de diámetro, sin signos de sangrado activo.
Vídeo 1.https://www.youtube.com/watch?v=lmm5QNoh_gU
Se evaluó dicha lesión con ultrasonografía endoscópica con minisonda radial de 12 Hertz, y se observó lesión hipoecoica localizada en la capa submucosa, que podría corresponder a hemangioma. Se decidió realizar tratamiento endoscópico con escleroterapia con polidocanol al 1%. Se posicionó la lesión en hora 6, y se inyectaron con aguja de 21 gauges ocho mililitros de solución de polidocanol al 1%, evidenciándose cambio de coloración y aumento del tamaño de la lesión (Figura 1). El paciente no presentó complicaciones posteriores al tratamiento (Vídeo 2), y evolucionó favorablemente, con mejoría de los parámetros hematimétricos, sin necesidad de transfusiones ni requerimientos de hierro endovenoso.
Vídeo 2.https://youtu.be/rc0Q9eHXPqk

A. Lesión elevada lobulada azulada, de 30 mm de diámetro. B. Ultrasonografía endoscópica con mini sonda radial de 12 Hertz, donde se evidencia lesión hipoecoica de 30 mm localizada en la capa mucosa del intestino delgado, compatible con hemangioma. C. Inyección de polidocanol al 1% con aguja de 21 gauges. D. Cambio de tamaño y de coloración posterior a la inyección.
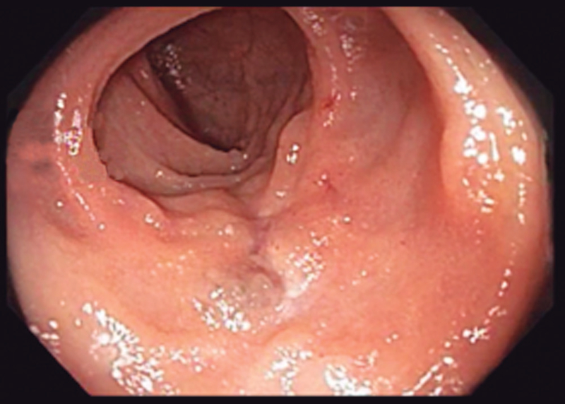
A los seis meses del tratamiento, intercurrió con un nuevo episodio de anemia sintomática. Se realizó enteroscopía anterógrada con doble balón (Fujinon® serie EN-450T5), sin evidencia de lesiones, con marcación del sitio de máxima inserción y enteroscopía retrógrada, evidenciandose en ileon, proximal a la cicatriz del tratamiento previo (Figura 2) una lesión similar a la anterior (Figura 3), de 25 mm de diámetro. Se realizó escleroterapia con polidocanol al 1% (seis mililitros), sin complicaciones.


Aunque se le realizó enteroscopía anterógrada y retrograda, en este último estudio no se logró llegar al sitio de marcación de máxima inserción, por lo tanto, no se logró la evalución completa del intestino delgado por este método.
El paciente presentó una evolución favorable, sin requerimientos transfusionales, con valores estables de hematocritos en el último año.
Si bien se trataron solo dos lesiones de las evidenciadas en la VCE, la respuesta clínica y bioquímica del paciente fue favorable, por lo cual se decidió se decidió continuar con controles y una eventual enteroscopía ante un nuevo episodio de anemia.
Los hemangiomas de intestino delgado son una enfermedad infrecuente. Representan el 7%-10% de los tumores benignos del ID y el 0,05% de las neoplasias gastrointestinales.1 El hemangioma, junto con las telangiectasias, las angiodisplasias y las flebectasias constituyen las formas típicas de presentación de las lesiones vasculares de ID.1
Son más frecuentes en pacientes jóvenes (5-25 años), con una relación hombre/mujer de 1:2, 5, pudiendo involucionar espontáneamente durante la infancia.1
Los hemangiomas pueden ser únicos, múltiples o asociarse a síndromes como el del nevo azul, el de KlippelTrenaunay-Weber y el de Maffucci.1
Se caracterizan por ser lesiones de color púrpura azulada, de consistencia suave y depresibles. Se originan en los plexos vasculares submucosos y pueden extenderse a la capa muscular o más allá. Histológicamente, según el tamaño de los vasos, pueden clasificarse como capilares, cavernosos o de tipo mixto. Se localizan comúnmente en el yeyuno (46%).1-2
Son asintomáticos en el 90% de los casos y tienden a presentarse como un hallazgo incidental. El signo más frecuente es el sangrado gastrointestinal crónico, que causa anemia de origen desconocido en el 41% de los casos y, rara vez, sangrado masivo. Se considera una causa infrecuente de hemorragia digestiva de intestino medio. También puede presentarse con síntomas de dolor abdominal (31%), intususcepción (13%), obstrucción y, rara vez, perforación.2
El avance reciente en técnicas endoscópicas, que incluyen la VCE y la enteroscopía asistida por dispositivo, han permitido estudiar de manera completa el ID, permitiendo el diagnóstico preoperatorio de estas lesiones y brindando alternativas terapéuticas.2,3 Akazawa Yu y colaboradores, en 2016, revisaron las publicaciones de hemangiomas desde el año 2000 al 2018, evidenciando 46 casos de hemangiomas publicados, de los cuales solo 17 presentaron diagnóstico preoperatorio, 10 con VCE y 7 con enteroscopia.4,5
La toma de biopsias de estas lesiones está contraindicada por el alto riesgo de sangrado. La ultrasonografía endoscópica tiene un rol importante en la caracterización y el diagnóstico.6
La resección quirúrgica es el tratamiento convencional para los hemangiomas intestinales. Los tratamientos endoscópicos representan una opción mínimamente invasiva, cada vez más empleada para el tratamiento de estas lesiones. En la literatura, existen descriptas distintas técnicas endoscópicas: ligadura con bandas, resección mucosa endoscópica, coagulación con argón plasma y escleroterapia. Su principal desventaja es el riesgo de perforación y sangrado, que se encuentra relacionado al tamaño de la lesión.4
La utilidad del polidocanol para el sangrado gastrointestinal ha sido reportada en varios estudios, mostrando propiedades hemostáticas tempranas y tardías.3,4,5,6,7,8,9 Ejerce un efecto hemostático, al aumentar la presión arterial intravascular local, causando edema intersticial asociado e induciendo trombosis hemostática temprana dentro de los pequeños vasos sanguíneos, debido a la inflamación vascular. La inyección con polidocanol es considerada una técnica simple y de bajo costo. Sin embargo, no existe consenso sobre la dosis recomendada.3,8,9
Igawa A. y colaboradores estudiaron el rol del polidocanol en hemangiomas de ID, y realizaron tratamiento en 39 hemangiomas mediante enteroscopía asistida por dispositivo, con una tasa final de hemostasia del 100%. Un único paciente presentó episodio de resangrado. La cantidad promedio de polidocanol inyectado fue de 0,2ml/mm.7 Utilizando esta estrategia, en nuestro caso logramos obtener un tratamiento exitoso de las dos lesiones, sin complicaciones y sin necesidad de cirugía.
Por lo tanto, el polidocanol demostró ser una opción terapéutica eficaz, segura y económica para el tratamiento de hemangiomas. Si bien faltan estudios prospectivos para recomendar su utilidad, debería considerarse una alternativa del tratamiento quirúrgico.
La VCE es una herramienta diagnóstica fundamental para el estudio de la hemorragia de intestino medio, que permite definir la etiología y la vía de abordaje terapéutico. En este caso, se logró combinar las últimas tecnologías, VCE y enteroscopía asistida por dispositivo, con uno de los primeros tratamientos esclerosantes disponibles para las lesiones sangrantes. En nuestro caso el polidocanol representó una opción de tratamiento esclerosante, eficaz, segura y económica para los hemangiomas de intestino delgado.
ID: Intestino delgado
VCE: Videocápsula endoscópica
VEDA: Videoendoscopía digestiva alta
VCC: Videocolonoscopía
Correspondencia: Florencia Giraudo Correo electrónico: giraudoflorencia@hotmail.com

A. Lesión elevada lobulada azulada, de 30 mm de diámetro. B. Ultrasonografía endoscópica con mini sonda radial de 12 Hertz, donde se evidencia lesión hipoecoica de 30 mm localizada en la capa mucosa del intestino delgado, compatible con hemangioma. C. Inyección de polidocanol al 1% con aguja de 21 gauges. D. Cambio de tamaño y de coloración posterior a la inyección.

