Artículo Original
Ensayo de inmunogenicidad y toxicidad aguda del candidato vacunal contra el cólera vax-COLER®
Immunogenicity and acute toxicity assay of the vaccine candidate against cholera vax-COLER®
Ensayo de inmunogenicidad y toxicidad aguda del candidato vacunal contra el cólera vax-COLER®
Vaccimonitor, vol. 29, núm. 1, pp. 22-30, 2020
Finlay Ediciones
Recepción: 24 Octubre 2019
Aprobación: 21 Enero 2020
RESUMEN: Para el control y prevención del cólera humano se han llevado a cabo diferentes estrategias, entre las cuales, la vacunación es una de las medidas más eficaces. La evaluación preclínica de candidatos vacunales requiere de la demostración de la seguridad de los mismos, para lo cual los estudios toxicológicos son determinantes, al ser obligatorios y altamente regulados. Este estudio tuvo como objetivo demostrar la relevancia de las ratas Sprague Dawley como biomodelo a través de su respuesta inmunológica al candidato vacunal contra el cólera, vax-COLER®, utilizando la técnica de determinación de anticuerpos vibriocidas. Además, evaluar los efectos toxicológicos locales y sistémicos por la administración de una dosis de vax-COLER® a través de la evaluación de síntomas, del consumo de agua y alimentos, el peso corporal y estudios anatomopatológicos. La vacuna vax-COLER® resultó inmunogénica y no evidenció síntomas ni muertes, no hubo cambios en el peso corporal y los consumos de agua y alimentos se comportaron de forma similar entre todos los grupos. Los estudios anatomopatológicos solo mostraron cambios a nivel histológico en los ganglios linfáticos mesentéricos y placas de Peyer de los animales vacunados, con presencia de hiperplasia de los folículos secundarios subcapsulares, hallazgo que difirió significativamente con el resto de los grupos. Se concluye que la vacuna vax-COLER® es inmunogénica en ratas Sprague Dawley, demostrando la relevancia del biomodelo para la evaluación de la seguridad preclínica y que la aplicación de una dosis no produjo efectos tóxicos agudos generales ni locales.
Palabras Claves: inmunogenicidad vacunal, pruebas de toxicidad aguda, vacunas contra el cólera, Vibrio cholerae, ratas Sprague-Dawley.
ABSTRACT: Different strategies have been carried out for the control and prevention of human cholera. Vaccination is one of the most effective strategies. Preclinical evaluation of vaccines needs to prove their safety; whereby toxicological studies are decisive. They are mandatory and highly regulated. This study was aimed to demonstrate the relevance of Sprague Dawley rats as a biomodel, through the immunological response to vax-COLER® cholera vaccine, using the technique of determination of vibriocidal antibodies. In addition, local and systemic toxicological effects were evaluated after administration of a dose of vax-COLER®; through the evaluation of symptoms, water and food consumption, body weight and anatomopathological studies. The vax-COLER® vaccine was immunogenic and showed no symptoms or deaths. No changes in body weight were detected, and food and water consumption were similar among all groups. The anatomopathological studies showed histological changes in the mesenteric lymph nodes and Peyer's patches of the vaccinated animals, with hyperplasia of the subcapsular secondary follicles, finding that differed significantly from the rest of the groups. It is concluded that vax-COLER® vaccine is immunogenic in Sprague-Dawley rats, demonstrating the relevance of the biomodel for the evaluation of preclinical safety, as well as that the application of a single dose did not produce acute general or local toxic effects.
Keywords: vaccine immunogenicity, acute toxicity tests, cholera vaccines, Vibrio cholerae, Sprague-Dawley rats.
Introducción
El cólera humano es una enfermedad diarreica aguda, caracterizada por diarreas profusas con apariencia de agua de arroz. La forma clínica más severa cursa por una rápida pérdida de líquido y electrolitos a través del tracto gastrointestinal que, de no tratarse adecuadamente, conduce al choque hipovolémico, acidosis metabólica e incluso, a la muerte en poco tiempo.1
La situación actual a nivel mundial del cólera sigue siendo un problema aún por resolver, lo cual se evidencia en el reporte anual de la Organización Mundial de la Salud (OMS) que registró durante el año 2017 un total de 1.227.391 casos de cólera con 5654 muertes en 42 países. Estas cifras representan un crecimiento del 45% con respecto al año 2016 (172.454 casos) y se estiman de 1,3 - 4,0 millones de casos de cólera y alrededor de 143.000 muertes, cada año en todo el mundo. Estos datos se consideran subestimados por la notificación incompleta, a menudo debido al temor de impacto negativo en los viajes y el comercio en las zonas afectadas,2,3 a lo que se suma el estimado en costo de entre 15 y 206 dólares americanos de cada ingreso hospitalario por cólera y la atención medica correspondiente.4
Independientemente de las medidas sanitarias que se puedan tomar, tanto para la prevención como para la erradicación de la enfermedad en los países donde el cólera es endémico, estas medidas no son suficientes. Entonces, las vacunas entran a tener un rol determinante en la prevención. Las únicas vacunas comercialmente disponibles corresponden a tres variantes de células muertas y que fueron precalificadas por la OMS (Dukoral®, Shanchol® y Euvichicol®).5 Estas vacunas son seguras, fáciles de administrar e inductoras de eventos adversos mínimos, pero precisan de dos o tres dosis, por lo que la logística del proceso de vacunación constituye una barrera significativa para su empleo en situaciones epidémicas. Además, para mantener un nivel adecuado de protección son necesarias intervenciones de refuerzo cada 2 o 3 años,6 lo cual limita su uso, ya que los costos fundamentales de las campañas de vacunación se asocian con la distribución de la vacuna, más que con su costo de fabricación.
Las vacunas de microorganismos vivos contra el cólera humano podrían tener la ventaja de que la administración de una única dosis brinden una protección inmunológica duradera más prolongada, dada la similitud con el proceso de infección natural, lo que evitaría el régimen de múltiples dosis.6 En Cuba, como resultado de un proyecto de colaboración entre el Centro Nacional de Investigaciones Científicas (CNIC), el Instituto Finlay de Vacunas (IFV) y el Instituto de Medicina Tropical “Pedro Kourí” (IPK), se obtuvieron un grupo de cepas de V. cholerae de los serogrupos O1 y O139 atenuadas genéticamente, como posibles candidatos vacunales orales contra el cólera.7
La cepa 638 V. cholerae O1 El Tor Ogawa atenuada genéticamente se seleccionó como ingrediente farmacéutico activo (IFA) del candidato vacunal vax-COLER®; además de ser la cepa que mejores resultados mostró, luego de someterse a una compleja batería analítica junto a otras cepas de similares características; por ser del biotipo, serogrupo y serotipo de mayor circulación mundial.2,5
Luego del desarrollo tecnológico y farmacéutico de la cepa atenuada 638 como vacuna de células enteras vivas atenuadas, quedó demostrado en biomodelos animales su eficacia preclínica.8 Este resultado permitió iniciar los estudios obligatorios de seguridad preclínica, exigidos por las entidades reguladoras nacionales e internacionales para evidenciar su no toxicidad antes de su desarrollo clínico.
Este estudio tuvo como objetivo demostrar la relevancia de las ratas Sprague Dawley (SD) como biomodelo, a través de su respuesta inmunológica frente al candidato vacunal contra el cólera humano utilizando la técnica de determinación de anticuerpos vibriocidas; además, evaluar los posibles efectos adversos toxicológicos locales y sistémicos causados por la administración de una dosis de este producto.
Materiales y Métodos
Animales y condiciones de tenencia
Se utilizaron ratas SD de ambos sexos procedentes del CENPALAB (Centro Nacional para la Producción de Animales del Laboratorio, La Habana, Cuba) con su correspondiente certificado de salud y zootecnia, de 6-7 semanas de edad, las cuales se alojaron en cajas para ratas de Tecniplast® (Dimensiones y modelo: 1354G Eurostandard Tipo IV, 595 x 380 x 200 mm, superficie de suelo de 1820 cm, plástico PEI y sin BPA, Italia) en el bioterio de investigaciones del IFV. A las ratas se les proporcionó alimento especializado para roedores estéril (ALYco®, CENPALAB, Cuba) y agua estéril en frascos de 750 mL. Tanto la comida como el agua estuvieron disponibles ad libitum. La habitación de los animales se mantuvo a una temperatura de 22±2ºC y una humedad relativa de 55±5%. Estos parámetros se registraron diariamente; además de mantener ciclos de luz y oscuridad de 12 h. Los animales se aclimataron durante una semana antes del comienzo del protocolo experimental y se colocaron al azar en grupos de 10. El protocolo del ensayo fue aprobado por el “Comité Institucional para el Cuidado y Uso de Animales de Laboratorio”, por el “Comité de Bioseguridad” y supervisado por el “Departamento de Control de la Calidad” del IFV.
Formulación de vax-COLER® y diseño experimental
La sustancia de ensayo fue el candidato vacunal vax-COLER® contra el cólera humano, cuyo IFA es la cepa atenuada 638 V. cholerae O1 biotipo El Tor serotipo Ogawa. La misma se presenta en forma de una pastilla liofilizada. En la Tabla 1, se resume la composición del producto a evaluar.
| Nombre Genérico | Composición por unidad de dosis† (2 mL)* | ||
| Sustancias Activasa | Sustancias auxiliaresb | ||
| Vacuna viva atenuada contra cólera | - Bacterias atenuadas de Vibrio cholerae O1, biotipo El Tor, serotipo Ogawa, modificadas genéticamente, (1-5x109UFC)† - Peptona de carne 40 mg1 - Leche descremada 120 mg2 - Sorbitol 40 mg3 | - Cloruro de sodio 9 mg - Bicarbonato de sodio 26,6 mg - Ácido ascórbico 0,0165 mg - Agua natural embotellada 2 mL | |
El estudio se diseñó teniendo en cuenta las principales regulaciones y guías emitidas por el “Consejo Internacional de Armonización” (del inglés ICH: International Council for Harmonisation), la Agencia Europea de Medicamentos (del inglés EMEA: European Medicines Agency) y la OMS.9,10,11
En el ensayo se incluyeron animales no inmunizados con el producto, los cuales recibieron en igual volumen (2 mL) solución salina fisiológica al 0,9 % (controles) o solución placebo (sustancias auxiliares de la formulación sin el antígeno). Mientras que los animales vacunados recibieron la dosis humana propuesta (1-5x109 UFC). Este diseño permitió no solo el control de las condiciones de inmunización, sino también evaluar los posibles efectos adversos potenciales que pudieran desarrollarse en el curso del experimento.
Se empleó la vía oral por ser la propuesta a utilizar en humanos, en dosis y volumen descritos anteriormente; teniendo en cuenta el peso y las relaciones alométricas entre el hombre y el biomodelo experimental utilizado. Se consideró que la dosis aplicada permite evaluar la seguridad del candidato vacunal con un margen satisfactorio,12 tomando como promedio animales de 200 g de peso vivo, esta dosis representó más de 300 veces la dosis humana de un individuo de 70 kg de peso. El candidato vacunal se aplicó con una cánula curva, con punta roma (medida: 16x3” (76,2 MM) W/3, China) diseñada para la administración oral en ratas y en la Tabla 2 se resume el diseño experimental.
| Tratamiento | Sexo | n de animales | Volumen administración oral | n de eutanasia/día | ||||||||||||||||||||||||
|---|---|---|---|---|---|---|---|---|---|---|---|---|---|---|---|---|---|---|---|---|---|---|---|---|---|---|---|---|
| Control (SSF) | Hembra | 10 | 2 mL | 10/14 | Macho | 10 | 2 mL | 10/14 | Placebo | Hembra | 10 | 2 mL | 10/14 | Macho | 10 | 2 mL | 10/14 | vax-COLER® | Hembra | 15a | 2 mL | 10/14 | 5/28 | Macho | 15a | 2 mL | 10/14 | 5/28 |
Observaciones clínicas, peso corporal, consumos de agua y alimentos
Los animales se sometieron a exploración clínica dos veces al día durante las primeras 72 h y luego diariamente durante todo el tiempo que duró el ensayo, comenzando a realizar la misma a partir de la administración del producto, considerado este como el momento en que se empezaron a tomar los primeros datos del estudio y de acuerdo al diseño del protocolo aprobado.
En el momento de la inoculación se pesaron los animales, para conocer el peso real de los mismos al comienzo del ensayo. Se realizaron pesajes a todos los animales a intervalos semanales (0, 7, y 14 días post-inoculación) hasta su conclusión, con registro de forma individual por grupo y tratamiento.
El consumo de agua y alimentos se realizó midiendo los volúmenes consumidos en días alternos. Los procedimientos y cálculos de estos parámetros se realizaron de forma similar a reportes anteriores.13 Se utilizaron balanzas técnicas (Sartorius, Alemania) para el peso de los animales y el alimento.
Determinación de anticuerpos vibriocidas
De los 15 animales inmunizados con vax-COLER®, se utilizaron cinco para obtener muestras de sangre en los tiempos 0, 7, 14, 21 y 28, para realizar el estudio cinético de la respuesta de anticuerpos vibriocidas; además, estos animales tuvieron la finalidad de ser los centinelas del estudio, en caso de observarse efectos adversos a nivel fisiológico o anatomopatológico, poder determinar la reversión de los mismos. En el resto de los animales se recolectó la sangre en la eutanasia del día 14, en viales de 1,5 mL (Ependorf ®, Alemania) sin anticoagulante, se centrifugó para la obtención de suero y se conservó a -20ºC hasta el momento de realizar la medición de los títulos de anticuerpos vibriocidas por el método modificado de Cedré y col.,14 el cual consiste en la siembra de la(s) cepa control(s) de V. cholerae un día antes de la evaluación de los sueros en placas de Agar Cerebro Corazón (BHI, Biocen, Cuba), incubar a 37ºC durante toda la noche, junto con cuatro cuñas del mismo medio sin inocular. Posteriormente, se pasan colonias aisladas de las placas a las cuñas precalentadas y se incuban durante 4 h a 37°C. El crecimiento bacteriano se recoge con solución salina estéril 0,85% y la suspensión celular se ajusta en un espectrofotómetro a una densidad óptica entre 0,9 y 0,95 a una longitud de onda de 550 nm. Esta suspensión se diluye 1:10 y se mezcla con igual volumen de complemento humano diluido 1:5. Luego se añaden 25 μL de esta mezcla en una placa de microtitulación estéril en la que antes se habían realizado diluciones de los sueros a evaluar desde 1:10 hasta 1:20.480 en solución salina. La placa se incuba 1 h a 37ºC y luego se añaden 150 μL por pozo de medio BHI que contiene glucosa y púrpura de bromocresol en solución, ambos al 2%. Se incuba de nuevo durante 4 h y se procede a la lectura por observación visual. El título de anticuerpos vibriocidas se define como el recíproco de la dilución mayor del suero, en la que se observa inhibición completa del crecimiento bacteriano, reflejado por la invariabilidad del color del medio de cultivo.
La evaluación de los títulos de anticuerpos vibriocidas se realizó individualmente a cada animal y se compararon los resultados del grupo vacunado con los placebos y controles.
Estudios anatomopatológicos
Dos semanas después de la inmunización se realizó la eutanasia de todos los animales por sobredosis de tiopental sódico en dosis de 100 mg/kg vía intravenosa y desangrado, excepto los cinco animales vacunados de cada sexo empleados para evaluar la cinética de producción de anticuerpos y como centinelas del estudio. Se efectuó la necropsia y se procedió a examinar todos los órganos; seguidamente se tomaron muestras de esófago, estómago, intestino delgado, intestino grueso y de los ganglios linfáticos mesentéricos por su relación directa con la vía oral. Se concibió tomar muestras de aquellos órganos o tejidos con alguna alteración al análisis macroscópico
Para los estudios histopatológicos se procedió de forma rutinaria como se ha descrito en trabajos anteriores.13 Debido a que la identificación de las muestras fue codificada, al ser un requisito en los estudios de seguridad toxicológica preclínica, las evaluaciones histopatológicas se realizaron a ciegas, los hallazgos se registraron en los modelos de datos primarios y una vez terminados los estudios se abrieron los códigos para realizar la interpretación de los resultados.
Análisis estadístico
El análisis estadístico se realizó utilizando el sistema R, versión 3.1.0 (2014-04-10), con un nivel de significación estadística del 0,05 para todas las comparaciones. Para el análisis de la respuesta inmunológica se calculó la media geométrica de los títulos y se realizó ANOVA simple para comparar la media de los logaritmos de los títulos obtenidos por el ensayo vibriocida.
Para los estudios toxicológicos las variables usadas para la interpretación estadística fueron el peso corporal, el consumo promedio de agua bebida, alimento y hallazgos histopatológicos. En todos los casos como características descriptivas se estimaron las medidas de tendencia central y dispersión (media, desviación estándar, valores máximos y mínimos).
Para los análisis se verificaron en cada sexo los supuestos de normalidad (pruebas de Kolmogorov-Smirnov y Shapiro-Wilk) y homogeneidad de varianzas (prueba de Levene). Para las distribuciones normales, se aplicó un análisis de varianza (ANOVA). Si no cumplían con estos criterios, se usó la alternativa no paramétrica (prueba de Kruskal Wallis). Además, en los casos necesarios se realizaron comparaciones pareadas en los intervalos consecutivos de tiempo, utilizando la prueba t pareada o la prueba de Wilcoxon, en función del cumplimiento del supuesto de aproximación por una distribución normal. En los casos en que se detectaron diferencias entre los grupos de manera global, se aplicó la prueba de comparaciones múltiples de LSD o prueba de Dunn, en dependencia del cumplimiento de los supuestos distribucionales. Los datos resultantes del estudio histopatológico fueron analizados a través de la construcción de las tablas de clasificación cruzadas, con la prueba de independencia asociada (prueba exacta de Fisher).
Resultados
Observaciones clínicas, peso corporal, consumos de agua y alimentos
No se registraron síntomas clínicos ni muertes; mientras que el peso corporal, luego de su registro al comienzo del ensayo y después de aplicar el producto a las ratas, fue como promedio 202 g en las hembras y 220 g en los machos; todos los animales incrementaron el peso corporal durante el tiempo que duró el ensayo, siendo los machos los que mostraron un ritmo de crecimiento mayor (interacción sexo-tiempo significativa, p=0,031). Sin embargo, no fue significativa la interacción entre los factores sexo y tratamiento en cuanto a peso vivo se refiere (p≥0,05). En la Tabla 3 se muestra que no se evidencian diferencias significativas entre los grupos experimentales.
Los consumos de agua y alimentos se comportaron de forma similar entre todos los grupos en estudio, sin evidenciar diferencias estadísticas. De igual forma, al realizar el análisis por sexo respecto al consumo de agua (p=0,4367); machos 37,7 mL y hembras 34,4 mL. Sin embargo, si se demostró respecto al consumo de alimentos (p=0,0001), al ser como promedio superior en los machos (26,4 g) que en las hembras (16,7 g), como era de esperar acorde a su fisiología y como ha sido reportado en estudios similares.13 Por otra parte, no se observaron interacciones significativas entre el sexo y el tratamiento para estos dos parámetros, que pudieran indicar algún efecto del tratamiento asociado al sexo (Tabla 3).
| Grupos | Sexo | Variables | ||||||
|---|---|---|---|---|---|---|---|---|
| Peso corporal (g)/Días | Agua (mL)/Días | Comida (g)/Días | ||||||
| 0 | 7 | 14 | 7 | 14 | 7 | 14 | ||
| Control | Hembra | 201,4±10,02 | 206,0±7,27 | 219,1±11,94 | 33,0 ± 7,9 | 37,5 ±2,73 | 14,5±2,46 | 18,3±2,72 |
| Macho | 216,4±17,50 | 273,5±16,88 | 317,8±20,84 | 32,5±2,44 | 36,7±6,05 | 25,4±2,47 | 27,4±1,42 | |
| Placebo | Hembra | 204,5±7,86 | 206,6±9,47 | 220,6±13,20 | 32,5±4,37 | 39.5±2,58 | 14,7±2,61 | 18,3±2,43 |
| Macho | 221,7±20,56 | 277,6±26,23 | 324,8±30,73 | 30,9±3,13 | 39,0±4,85 | 25,0±1,88 | 27,7±1,32 | |
| vax-COLER® | Hembra | 199,0±12,11 | 204,7±13,77 | 219,8±11,14 | 28,0±4,59 | 36,2±5,56 | 15,3±2,98 | 18,8±2,13 |
| Macho | 222,0±18,25 | 272,3±16,83 | 325,4±25,51 | 35,9±4,67 | 39,2±7,52 | 26,0±2,35 | 26,8±0,90 | |
| Valor de p | Hembras | 0,5911 | 0,7605 | 0,7945 | 0,1797 | 0,4466 | 0,7743 | 0,8752 |
| Machos | 0,8628 | 0,9487 | 0,8698 | 0,0787 | 0,7409 | 0,5353 | 0,2649 | |
Evaluaciones inmunológicas
Previo a la inmunización, no se detectó la presencia de anticuerpos vibriocidas por la técnica empleada en ninguno de los animales en estudio. En cambio, 7 días después se logra detectar en los animales vacunados utilizados para la cinética de anticuerpos, una respuesta promedio para ambos sexos de 240 de los títulos medios geométricos (TMG), con su máxima exponencial que promedió 532 de los TMG a los 14 días, luego estos títulos declinan progresivamente para alcanzar niveles estables más bajos a 182 de los TMG como promedio después de los 21 días; sin observarse diferencias significativas entre hembras y machos (p≥0,05; Fig. 1).

Por su parte, los controles y los placebos que fueron muestreados a los 14 días post-inoculación, no presentan anticuerpos detectables y los inmunizados tuvieron títulos similares a los de la cinética para ese tiempo, observándose diferencias significativas (p=0,001; Fig. 2).

Estudios anatomopatológicos
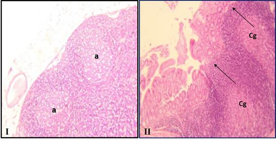
Los estudios anatomopatológicos no revelaron alteraciones macroscópicas en los animales a los que se les realizó la eutanasia a los 14 días después de la administración del producto, ni en los animales vacunados centinelas, al concluir la cinética de anticuerpos (28 días post-inoculación). A pesar de ello, para valorar posibles cambios locales imperceptibles en la necropsia, se decidió tomar muestras del tracto gastrointestinal y de los ganglios linfáticos mesentéricos en el 50% de los animales de cada grupo, atendiendo a los recursos disponibles y considerando que en un estudio de toxicidad aguda no se exige la evaluación histopatológica de todos los órganos a los animales. No se encontraron lesiones histológicas en el sistema digestivo, mientras que en los ganglios linfáticos mesentéricos de los animales vacunados, se pudo observar hiperplasia de los folículos secundarios subcapsulares y en algunos casos la presencia de abundantes células plasmáticas y cebadas en la zona del íleo, así como, hiperplasia de las placas de Peyer y presencia de centros germinativos (Fig. 3).

La frecuencia de estos cambios en los ganglios mesentéricos fue significativamente mayor en el grupo de animales vacunados, en comparación con los placebos y controles (Tabla 4).
| Cambios histológicos | Hembras | n Total | ||
|---|---|---|---|---|
| Controles1 | Placebos2 | vax-COLER®3 | ||
| Hiperplasia de los folículos linfoides subcapsulares | 1/5 | 1/5 | 4/5 | 6/15 |
| Presencia de células plasmáticas y cebadas | 0/5 | 0/5 | 2/5 | 2/15 |
| Cambios histológicos | Machos | n Total | ||
| Controles1 | Placebos2 | vax-COLER®3 | ||
| Hiperplasia de los folículos linfoides subcapsulares | 1/5 | 0/5 | 5/5 | 6/15 |
| Presencia de células plasmáticas y cebadas | 0/5 | 1/5 | 2/5 | 3/15 |
| General | 2/10a | 2/10b | 13/10c | |
Discusión
Las ratas inmunizadas con el candidato vacunal vax-COLER®, no mostraron síntomas de toxicidad ni reacciones adversas asociadas a la patología provocada por cepas de V. cholerae. Aunque, destacamos que era poco probable que los animales mostraran síntomas gastrointestinales a consecuencia de la colonización de V. cholerae en el tracto gastrointestinal, debido a que las ratas adultas, como el resto de las especies de animales de laboratorio, no son susceptibles a la infección natural por esta bacteria. Además, al tratarse de un microorganismo cuya virulencia ha sido considerablemente atenuada, es incluso menos probable encontrar efectos adversos ligados a su patogenicidad. No obstante, no se hicieron ostensibles efectos locales (gastrointestinales) indeseables que pudieran relacionarse con la formulación vacunal, las sustancias antiácidas o componentes del proceso productivo.
Los estudios inmunológicos permitieron establecer un modelo animal relevante para evaluar la seguridad toxicológica del candidato vacunal, ya que en ellos se demostró que la rata SD desarrolla una respuesta inmune similar a la esperada en humanos luego de la aplicación del candidato vacunal,15 elemento que permitió cumplir con las recomendaciones emitidas por la OMS para estudios preclínicos en vacunas.10
El peso corporal es habitualmente evaluado en los estudios toxicológicos para vacunas, ya que como es conocido este es un parámetro sensible y general de la toxicidad de los xenobióticos. Así, el peso alcanzado por las ratas en el período estudiado se correspondió con los valores históricos observados para ratas SD en las instalaciones del IFV durante la evaluación preclínica de otros productos y con las curvas de crecimientos reportadas para esta especie.13,16 De forma similar ocurrió con los consumos de agua y alimentos, al corresponderse los resultados con los valores históricos observados para las ratas de esta categoría en nuestras instalaciones.13,16 Estos elementos apuntan a la ausencia de toxicidad del candidato vacunal vax-COLER® contra el cólera.
El conejo ha sido el biomodelo más utilizado en estudios de inmunogenicidad contra cólera.17 Sin embargo, para lograr una respuesta inmune satisfactoria se requiere de la inoculación transduodenal por medio de una laparotomía media, lo cual quita valor práctico y técnico al modelo desde el punto de vista toxicológico.
Existen referencias sobre el uso de la rata para estudios de inmunogenicidad de candidatos vacunales contra cólera, en los que se ha descrito que responden inmunológicamente a células enteras o inactivadas, a la toxina colérica y a otros antígenos, ya sean aislados o en combinaciones.16,18,19,20 No obstante, fue preciso demostrar que esta especie responde también frente al candidato vacunal vax-COLER®. Por ello, se desarrolló este estudio de inmunogenicidad en el que se midieron los títulos de anticuerpos vibriocidas luego de la administración de una dosis oral de esta formulación.
En otros estudios llevados a cabo en ratas SD en los que se evaluó la inmunogenicidad del candidato vacunal pudo comprobarse una cinética de anticuerpos similar a la observada en este ensayo;16,19 coincidente, además, con resultados obtenidos en voluntarios inmunizados con la misma cepa vacunal.15
Por otra parte, la activación de los ganglios linfáticos mesentéricos y de las placas de Peyer, hallazgos observados en el análisis histológico, sugiere que estos cambios pudieran ser parte del mecanismo de respuesta inmunológica a la vacuna.21
El estudio de inmunogenicidad y toxicidad aguda descrito, permitió demostrar que las ratas SD son un biomodelo relevante para la evaluación de la seguridad preclínica del candidato vacunal vax-COLER®. La aplicación de una dosis no produjo efectos tóxicos generales ni locales en las ratas. Es por ello, que el resto de los estudios de seguridad toxicológica preclínica se realizarán en este biomodelo y con la dosis propuesta para ser utilizada en humanos.
Referencias
1. Harris JB, Larocque RC, Qadri F, Ryan ET, Calderwood SB. Cholera. The Lancet 2012;379:2466-76.
2. World Health Organization. Cholera. Wkly Epidemiol Rec No 38, 2018;93(38):489-500. Disponible en: http://www.who.int/wer/2018/wer9338/en/.
3. World Health Organization. Cholera [Internet]. Geneva: WHO; 2019. Disponible en: https://www.who.int/news-room/fact-sheets/detail/cholera. (Consultado en línea: 23 de octubre de 2019).
4. Poulos C, Riewpaiboon A, Stewart JF, Clemens J, Guh S, Agtini M, et al. Costs of illness due to endemic cholera. Epidemiol Infect 2012;140(3):500-9.
5. World Health Organization. Cholera vaccines: WHO position paper. Wkly Epidemiol Rec 2017:92(34):477-500. Disponible en: http://www.who.int/wer/2017/wer9234/en/.
6. Clemens J, Shin S, Sur D, Nair GB, Holmgren J. New generation vaccines against cholera. Nat Rev Gastroenterol Hepatol. 2011;8(12):701-10.
7. Benítez JA, Silva A, Rodríguez B, Fando R, Campos J, Robert A, et al. Genetic manipulation of Vibrio cholerae for vaccine development: construction of live attenuated El Tor candidate vaccine strains. Arch Med Res 1996;27(3):275-83.
8. Oliva-Hernández R, García-Sánchez HM, Infante-Bourzac JF, Pérez-Quiñoy JL, Cedré-Marrero B, Valmaseda-Pérez T, et al. Biomodelos para la evaluación de cepas atenuadas como candidatos vacunales contra el cólera humano. Estudio de la toxigenicidad, inmunogenicidad y protección. VacciMonitor 2014;23(3):100-9.
9. European Medicines Agency. CPMP/8 SWP/465/95 Note for guidance on preclinical pharmacological and toxicological testing of vaccines (CPMP adopted Dec 97). London: EMEA; 1997 Disponible en: http://www.ema.europa.eu/docs/en_GB/document_library/Scienti%EF%AC%81c_guideline/2009/10/WC500004004.pdf.
10. World Health Organization. Guidelines on nonclinical evaluation of vaccine. Technical Report Series No. 927. Geneva: WHO; 2005. Disponible en: http://www.who.int/biologicals/vaccines/nonclinial_evaluation_of_vaccines/en/.
11. European Medicine Agency. ICH/286/95 Note for guidance on nonclinical safety studies for the conduct of human clinical trials for pharmaceuticals. ICH M3 (R2). London: EMEA; 2008. Disponible en: http://www.ema.europa.eu/docs/en_GB/document_library/Scientific_guideline/2009/09/WC500002941.pdf.
12. Nair AB, Jacob S. A simple practice guide for dose conversion between animals and human. J Basic Clin Pharma 2016;7:27-31.
13. Oliva-Hernández R, Fariñas-Medina M, Infante-Bourzac JF, Hernández-Salazar T, Nuñez-Martínez D, Quintero-Pérez A, et al. Estudio de tolerancia local de la vacuna antimeningocócica VA-MENGOC-BC(r) en ratas Sprague Dawley. Evaluación a los 24 y 36 meses en estante. VacciMonitor 2019;28(1):9-18.
14. Cedré B, García HM, García LG, Talavera A. Estandarización y evaluación del ensayo vibriocida modificado. Rev Cubana Med Trop 1999;51(3):156-9.
15. García L, Jidy MD, García H, Rodríguez BL, Fernández R, Ano G., et al. The vaccine candidate Vibrio cholerae 638 is protective against cholera in healthy volunteers. Infect Immun 2005;73(5):3018 -24.
16. López Y, Infante JF, Sifontes S, Díaz D, Pérez V, Año G., et al. Pharmacology and toxicology of an oral tablet whole cells inactivated cholera vaccine in Sprague Dawley rats. Vaccine 2011;29(19):3596-9.
17. García L, Oliva R, Cedré B, Valmaseda T, García H, Talavera A, et al. Intraduodenal inoculation of adults rabbits for evaluating the immunogenicity of genetically attenuated Vibrio cholerae strains. Lab Anim Sci 1998;48(5):538-41.
18. Kalambaheti T, Chaisri U, Srimanote P, Pongponratn E, Chaicumpa W. Immunogenicity and protective role of three formulations of oral cholera vaccine. Vaccine 1998;16(2-3):201-7.
19. Sifontes-Rodríguez SR, Infante-Bourzac JF, Días-Rivero D, López-Feria Y, Pérez-Pérez M, Sosa-Roble E, et al. Repeated Dose Toxicity Study of a Live Attenuated Oral Cholera Vaccine in Sprague Dawley Rats. Arch Med Res 2009;40(7):527-35.
20. Pastor M, Esquisabel A, Talavera A, Año G, Fernández S, Cedré B, et al. An approach to a cold chain free oral cholera vaccine: in vitro and in vivo characterization of Vibrio cholerae gastro-resistant microparticles. Int J Pharm. 2013;448(1):247-58.
21. Ahrendt M, Hammerschmidt SI, Pabst O, Pabst R, Bode U. Stromal cells confer lymph node-specific properties by shaping a unique microenvironment influencing local immune responses. J Immunol. 2008;181(3):1898-907.
Notas de autor
* Autor para correspondencia: roh@finlay.edu.cu; reyolivacuba@gmail.com
Declaración de intereses