CASOS CLÍNICOS
Fracturas de múltiples procesos transversos lumbares contiguos
Multiple contiguous lumbar transverse process fractures
Fracturas de múltiples procesos transversos lumbares contiguos
Revista Archivo Médico de Camagüey, vol. 21, núm. 2, pp. 271-276, 2017
Editorial Ciencias Médicas Camagüey
Recepción: 01 Diciembre 2016
Aprobación: 10 Febrero 2017
RESUMEN
Fundamento: las fracturas de procesos transversos presentan poca frecuencia, tienen una incidencia no descrita y se reconocen como lesiones menores. Las radiografías simples en ocasiones son suficientes para hacer el diagnóstico y la tomografía axial computarizada con reconstrucción tridimensional, es el estándar de oro para el diagnóstico. En la mayor parte de los casos el reposo es el tratamiento de elección, además de medicación para el dolor y el uso de órtesis.
Objetivo: presentar un caso con fracturas de múltiples procesos transversos lumbares contiguos.
Caso clínico: paciente masculino de 58 años de edad, fumador inveterado y sedentario, con antecedentes de hipertensión arterial con tratamiento regular, que luego de bajar unos escalones, resbala y se cae sentado. Acude al servicio de urgencias con dolor intenso y ligero aumento de volumen a nivel de la región lumbar, con dificultad para la marcha y escoliosis antálgica. A la exploración física se constató dolor a la palpación de la fosa lumbar izquierda, maniobras de Finck y de Dejerine positivas. Dolor a la flexión y lateralización del tronco. En la tomografía axial computarizada simple de columna lumbosacra con reconstrucción tridimensional se observaron fracturas de los procesos transversos izquierdos desde la primera a la cuarta vértebras lumbares. Se decidió tratamiento conservador basado en reposo, analgésicos y uso de una órtesis para columna lumbosacra por cuatro semanas.
Conclusiones: las fracturas de los procesos transversos lumbares son poco frecuentes y en ocasiones indican lesiones graves asociadas, que pudieran pasar desapercibidas. Cuando se generan de forma aislada, el tratamiento conservador con reposo, analgésicos y órtesis, ofrecen buenos resultados funcionales.
DeCS: FRACTURAS DE LA COLUMNA VERTEBRAL+ DOLOR DE LA REGIÓN LUMBAR+ TOMOGRAFÍA COMPUTARIZADA POR RAYOS X+ ANCIANO+ INFORMES DE CASOS.
ABSTRACT
Background: transverse process fractures are low frequent. They have an unknown incidence and are mild lesions. Simple radiography sometimes is enough to get the diagnosis and computerized axial tomography (CAT) with tridimensional reconstruction is the gold standard. In most of the cases rest is the treatment choice, as well as medication for pain and the use of orthesis.
Objective: to present a case of multiple contiguous lumbar transverse process fractures.
Clinical case: a 58-year-old male patient, heavy smoker and sedentary with a history of high blood pressure with regular treatment who slipped when he was getting downstairs and fell down the floor. He arrived at the emergency service with acute pain in lumbar region associated with difficulty to walk and antalgic scoliosis. Besides it was accompanied by mild volume increase. At physical exploration pain at palpation in left lumbar fosse was noted, Finck sing and Dejerine maneuver positive. There was pain at trunk flexion and lateralization. The rest of the physical exam was negative. The lumbosacral CAT with tridimensional reconstruction showed fractures in transverse process from the first to the fourth lumbar vertebras. Conservative treatment was indicated based on rest, pain killers and the use of an orthesis for lumbosacral spine for four weeks.
Conclusions: lumbar transverse process fractures are less frequent injures that might indicate severe associated lesions that can be overlooked. When they appear isolated, the conservative treatment with rest, pain killers and the wearing of orthesis give good functional results.
DeCS: SPINAL FRACTURES, LOW BACK PAIN, TOMOGRAPHY, X-RAY COMPUTED, AGED, CASE REPORTS.
INTRODUCCIÓN
Las fracturas de procesos transversos (FPT) presentan poca frecuencia, tienen una incidencia no descrita y se reconocen como lesiones menores. Los factores causales son el trauma directo contuso, la avulsión de músculo psoas ilíaco (MPI) y la fractura de Malgaigne de la pelvis ósea. En algunas ocasiones estas fracturas se asocian a lesiones abdominales y genitourinarias, sobre todo en pacientes con traumas de alta energía. Es por ello que el diagnóstico de las FPT es muy importante. 1,2
En los pacientes donde persiste el dolor lumbar luego de un trauma, el diagnóstico de una FPT debe plantearse por alto índice de sospecha. 2
Las radiografías simples en ocasiones son suficientes para hacer el diagnóstico, no obstante, cuando es una fractura no desplazada y sutil o cuando el paciente presenta múltiples lesiones, pueden tener baja sensibilidad. En casos en que exista un alto índice de sospecha con radiografía negativa, la realización de una tomografía axial computarizada (TAC) es importante para esclarecer el diagnóstico. 2,3
En la mayor parte de los casos, el reposo es el tratamiento de elección, además de la medicación para el dolor y el uso de órtesis. El tiempo requerido para la consolidación de la fractura, se encuentra alrededor de las seis semanas. Incluso los casos de pseudoartrosis pasan asintomáticos y sin limitación funcional. Luego se comienza con un programa de rehabilitación que incluye el fortalecimiento de la musculatura vertebral, el multifidus, los erectores espinales y los abductores de cadera. 2,4
Se trazó como objetivo presentar un caso de FPT, considerada una lesión poco frecuente, que recibió tratamiento en el Hospital Universitario Manuel Ascunce Domenech de Camagüey. Hasta el momento de la realización del artículo, no se recoge alguna publicación similar en la literatura nacional ni en la provincia de Camagüey, por lo que se considera un caso interesante.
CASO CLÍNICO
Paciente masculino de 58 años de edad, fumador inveterado y sedentario con antecedentes de hipertensión arterial con tratamiento regular, que luego de bajar unos escalones, resbala y se cae sentado. Acude al servicio de urgencias con dolor intenso y ligero aumento de volumen a nivel de la región lumbar izquierda, dificultad para la marcha y escoliosis antálgica.
A la exploración física:
Dolor a la palpación de la fosa lumbar izquierda, maniobras de Finck y de Dejerine positivas. Dolor a la flexión y lateralización del tronco.
Estudios imaginológicos
Radiografía simple de columna lumbosacra: se apreció solución de continuidad del proceso transverso izquierdo de la cuarta vértebra lumbar (Figura 1).

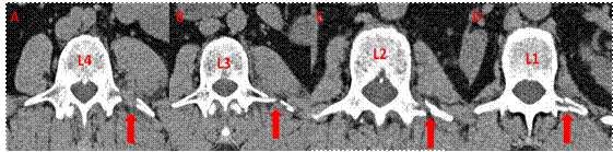
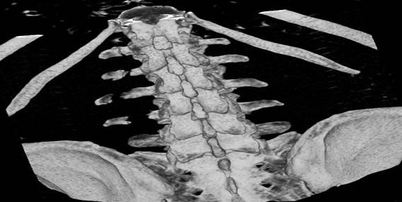
TAC simple de columna lumbosacra con reconstrucción tridimensional: Afectación de los procesos transversos izquierdos desde la primera a la cuarta vértebras lumbares (Figura 2) y (Figura 3).


Tratamiento
Se decidió tratamiento conservador basado en reposo, analgésicos comunes y uso de una órtesis para columna lumbosacra por cuatro semanas.
A la semana se encontraba con ligeras molestias a la movilización activa En estos momentos, a cuatro semanas de evolución, se encuentra con menos dolor y la escoliosis antálgica ha desaparecido.
DISCUSIÓN
Las FPT pueden clasificarse en lesiones aisladas, que en su mayoría se producen por tracción brusca del músculo psoas ilíaco y lesiones combinadas con traumatismos de alta energía. 5,6
También se describen las fracturas por fatiga o stress, como la reportada por Bali K, et al, 4 en un jugador profesional de cricket.
En el caso que se presentó, quien desencadena el evento es una caída de unos escalones sin mucha altura, por lo que se considera el mecanismo como de baja energía y se explica por el instinto de conservación, al realizar una contractura brusca del psoas major que se inicia a nivel de la cara lateral de los cuerpos vertebrales de la duodécima vértebra torácica y las cuatro vértebras lumbares superiores, así como en sus procesos transversos. Todo lo anterior asociado al tabaquismo y el sedentarismo.
Las FPT en las vértebras lumbares son mucho más frecuentes que en el resto de las vértebras, es por ello que cuando existe este tipo de fractura en el segmento torácico alto, se asocian a lesiones de alta energía, como es el caso presentado por Boham M, et al, 7) con una fractura de Chance de la duodécima vértebra torácica asociada a FPT en un atleta de rodeo.
Numerosos estudios hacen referencia a que el MPI es el responsable de la avulsión de los procesos transversos. 4,8,9 Sin embargo, un estudio de Baker PJ, et al, 10 llega a la conclusión que la capa media de la fascia lumbar crea una inserción potente entre el músculo transverso del abdomen y las vértebras lumbares y provee un mecanismo perfecto para trasmitir la fuerza hacia los procesos transversos. Esas fuerzas contribuyen a la estabilidad segmentaria lumbar y juegan un rol importante en las FPT.
La TAC se considera el estándar de oro para el diagnóstico de estas fracturas, con una sensibilidad y especificidad cercanas al 100 %, sobre todo cuando se realizan reconstrucciones en tercera dimensión. Las radiografías simples de columna lumbosacra, que son indicadas en el servicio de urgencias sin previa preparación, hacen que pasen desapercibidas estas fracturas. 5,8 Al caso presentado se le realizó una radiografía simple de columna lumbosacra donde se apreció de manera no muy clara una de las FPT, pero fue la TAC simple la que corroboró el diagnóstico y la extensión de la lesión.
Cuando la FPT es de forma aislada con un mecanismo de baja energía, el reposo, el uso de analgésicos y la utilización de fajas u órtesis durante cuatro a seis semanas son suficientes como tratamiento. Todo esto debido a que las FPT no generan inestabilidad espinal y la incapacidad funcional residual es mínima. 3,4,9
CONCLUSIONES
Las fracturas de los procesos transversos lumbares son poco frecuentes y en ocasiones indican lesiones graves asociadas, que pudieran pasar desapercibidas. Cuando se generan de forma aislada, el tratamiento conservador con reposo, analgésicos y órtesis, ofrecen buenos resultados funcionales.
REFERENCIAS BIBLIOGRÁFICAS
1. Yunhak L, Tong Jin C. Diagnostic Accuracy of the Volume Rendering Images of Multi-Detector CT for the Detection of Lumbar Transverse Process Fractures. J Korean Soc Radiol [Internet]. 2012 Jan [citado 2016 Oct 20];66(1):[about 5 p.]. Available from: https://doi.org/10.3348/jksr.2012.66.1.77
2. Hegde KV, Umamaheswara RV, Agrawal A. Pitfalls in the radiographic diagnosis of the transverse processes fracture of the lumbar vertebrae. J Orthop Allied Sci. [Internet]. 2014 Nov [citado 2016 Oct 20];2(2):[about 2 p.]. Available from: http://www.joas.in/text.asp?2014/2/2/63/145607
3. Gray M, Catterson P. Multilevel lumbar transverse process fractures in a professional association football player: a case report. Oxf Med Case Reports. [Internet]. 2015 May [citado 2016 Oct 20];2015(5):[about 4 p.]. Available from: http://www.ncbi.nlm.nih.gov/pmc/articles/PMC4434575/.
4. Bali K, Kumar V,Krishnan V,Meena D, Rawall S. Multiple lumbar transverse process stress fractures as a cause of chronic low back ache in a young fast bowler - a case report. Sports Med Arthrosc Rehabil Ther Technol [Internet]. 2011 Apr [citado 2016 Oct 14];3(1):[about 4 p.]. Available from: http://www.ncbi.nlm.nih.gov/pmc/articles/PMC3080336/.
5. Tian-wu C, Zhi-gang Y, Zhi-hui D, Zhi-gang C, Si-shi T, Wen D. Earthquake-related Crush Injury versus Non-Earthquake Injury in Abdominal Trauma Patients on Emergency Multidetector Computed Tomography: A Comparative Study. J Korean Med Sci [Internet]. 2011 Mar [citado 2016 Oct 20];26(3):[about 6 p.]. Available from: http://www.ncbi.nlm.nih.gov/pmc/articles/PMC3051094/.
6. Shinohara K, Soshi S, Kida Y, Shinohara A, Marumo K. A rare case of spinal injury: bilateral facet dislocation without fracture at the lumbosacral joint. J Orthop Sci [Internet]. 2012 Mar [citado 2016 Oct 20];17(2):[about 5 p.]. Available from: http://www.ncbi.nlm.nih.gov/pmc/articles/PMC3314177/.
7. Boham M, O'Connell K. Unusual Mechanism of Injury Resulting in a Thoracic Chance Fracture in a Rodeo Athlete: A Case Report. J Athl Train [Internet]. 2014 Mar-Apr [citado 2016 Oct 20];49(2):[about 6 p.]. Available from: http://www.ncbi.nlm.nih.gov/pmc/articles/PMC3975782/.
8. Lee Y, Jin Chun T. Diagnostic Accuracy of the Volume Rendering Images of Multi-Detector CT for the Detection of Lumbar Transverse Process Fractures. J Korean Soc Radiol [Internet]. 2012 Jan [citado 14 Oct 2016];66(1):[about 6 p.]. Available from: https://doi.org/10.3348/jksr.2012.66.1.77
9. Agrawal A, Srivastava S, Kakani A. Isolated transverse process fracture of the lumbar vertebrae. J Emerg Trauma Shock [Internet]. 2009 Sep-Dec [citado 2016 Oct 14];2(3):[about 2 p.]. Available from: http://www.ncbi.nlm.nih.gov/pmc/articles/PMC2776377/.
10. Barker PJ, Urquhart DM, Story IH, Fahrer M, Briggs CA. The middle layer of lumbar fascia and attachments to lumbar transverse processes: implications for segmental control and fracture. Eur Spine J [Internet]. 2007 Dec [citado 2016 Oct 14];16(12):[about 6 p.]. Available from: http://www.ncbi.nlm.nih.gov/pmc/articles/PMC4719250/
Notas de autor
*Autor para la correspondencia (email): erickhg76@gmail.com