CASOS CLÍNICOS
Recepción: 02 Mayo 2017
Aprobación: 31 Mayo 2017
RESUMEN
Fundamento: el sarcoma de Kaposi es un tumor de origen vascular asociado a pacientes con infección por Virus de Inmunodeficiencia Humana.
Objetivo: presentar el caso de un paciente con sarcoma de Kaposi gástrico que debuta con cuadro de hemorragia digestiva.
Caso Clínico: paciente masculino de 29 años que presenta cuadro de sangrado digestivo alto a forma de melena asociado a dolor abdominal en epigastrio, astenia, anorexia y pérdida de peso. Se realiza estudios complementarios que concluyen sarcoma de Kaposi gástrico en paciente HIV positivo.
Conclusiones: el Sarcoma de Kaposi gástrico es una causa inusual de sangrado digestivo por lo cual constituye un hallazgo endoscópico infrecuente en pacientes sin historia personal de infección por HIV.
DeCS: SARCOMA DE KAPOSI, INFECCIONES POR VIH, SIGNOS Y SÍNTOMAS DIGESTIVOS, ADULTO, INFORMES DE CASOS.
ABSTRACT
Background: Kaposi’s sarcoma is a vascular tumor associated with HIV infection (Human Immunodeficiency Virus).
Objective: to present the case of a patient with gastric Kaposi's sarcoma who debuted with digestive hemorrhage.
Clinical case: a 29-year-old male patient with upper gastrointestinal bleeding associated with abdominal pain in the epigastrium, asthenia, anorexia, and weight loss. Complementary studies were conducted which concluded Gastric Kaposi ’s sarcoma in an HIV-positive patient.
Conclusions: gastric Kaposi's sarcoma is an unusual cause of digestive bleeding, making it an uncommon endoscopic finding in patients with no history of HIV infection.
DeCS: SARCOMA, KAPOSI, HIV INFECTIONS, SIGNS AND SYMPTOMS, DIGESTIVE, ADULT, CASE REPORTS.
INTRODUCCIÓN
El sarcoma de Kaposi es un tumor de origen vascular descrito por primera vez en 1872. 1) Se clasifica en cuatro grupos: clásico, endémico (africano), iatrogénico (asociado a trasplantes) y epidémico (asociado a Virus de Inmunodeficiencia Humana (VIH/SIDA). Todos los grupos se relacionan con la infección por el virus herpes humano tipo 8 (HHV8) y cada una tiene sus propias características epidemiológicas, clínicas y patológicas. 2,3
En pacientes con infección por VIH parece asociarse al estado de inmunosupresión. Suele manifestarse en forma de pequeñas lesiones cutáneas violáceas, aunque puede afectar a mucosas, vísceras y al sistema linfático. Estudios posmortem sugieren una afectación visceral en más del 75 % de los casos, al ser los órganos más afectados los pulmones y el tracto gastrointestinal. Puede afectar a cualquier región del aparato digestivo, desde la orofaringe hasta el recto. Se han descrito también casos de enfermedad hepática, esplénica y pancreática. El sarcoma de Kaposi gastrointestinal con frecuencia tiene un curso clínico silente, aunque puede ser causa de dolor abdominal, sangrado digestivo u obstrucción intestinal. De forma endoscópica puede presentarse como nódulos purpúricos, masas polipoides o máculas hemorrágicas. 1
CASO CLÍNICO
Paciente masculino de 29 años de edad sin antecedentes patológicos personales ni familiares de interés, que refiere hace cuatro meses presentó bronconeumonía bilateral de difícil control (requirió varios tratamientos antimicrobianos). Posterior a dicho cuadro respiratorio el paciente comienza con decaimiento, anorexia y pérdida de peso de 15 libras y presenta tres deposiciones pastosas de color negro, muy fétidas que son interpretadas como melenas asociadas a dolor abdominal en epigastrio de moderada intensidad, sin relación pandrial, que no alivia con ninguna medicación, por lo que es remitido a consulta externa del Instituto de Gastroenterología, donde se decide realizar estudios analíticos.
Examen físico:
Piel: a nivel de miembro superior y tórax posterior se observan algunas lesiones oscuras en forma de placas, algunas de ellas confluentes, su diámetro oscila entre 3 y 5 mm.
Mucosas: húmedas e hipocoloreadas
Abdomen: depresible y doloroso en todo hemiabdomen superior a la palpación superficial y profunda.
Estudios analíticos de interés:
Hb: 100g/l
VSG: 81 mm/h
Endoscopia digestiva superior: múltiples lesiones elevadas de cuerpo gástrico de aspecto polipoideo, sésiles, de color rojo que asientan sobre pliegues engrosados y que oscilan entre 0,5 y 1,5 cm (Figura 1).

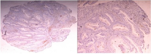
Resultado de biopsias realizadas a lesiones de cuerpo gástrico: infiltración de la mucosa de estómago por sarcoma de Kaposi CD 34 +, CD 31 +, HHV 8 + y Ki 67-20% (Figuras 2).

Se realiza interconsulta con Dermatología para valoración de lesiones descritas en piel que concluyen con lesiones típicas de sarcoma de Kaposi. Además se realiza HIV que concluye positivo.
DISCUSIÓN
El sarcoma de Kaposi representa del 60% de los tumores que se desarrollan en los pacientes con VIH/SIDA y es también la neoplasia intrabdominal más frecuente en ellos. 4) Se presenta 20 veces más en pacientes homosexuales que en heterosexuales con el mismo estado de inmunosupresión y es más frecuente en los hombres, con una relación de 50 hombres por una mujer. Cerca del 50 % de los sarcoma de Kaposi, en el tracto gastrointestinal, se ha visto en pacientes con SIDA y sarcoma de Kaposi cutáneo. 5
En un estudio realizado en Perú, Martínez JD, et al, (4 documentó el compromiso gástrico en cerca del 40 % de hombres homosexuales con VIH/SIDA, también informó afectación de orofarínge, esófago, estómago, hígado, intestino delgado y colon. En dos estudios realizados por Attia S, et al, 6) y Fontes Rezende, et al, 7) reportaron que esta enfermedad suele ser asintomática, sin embargo, es frecuente la pérdida de peso, el dolor abdominal, los vómitos, la diarrea y el síndrome de mala absorción, también se ha informado obstrucción intestinal y sangrado gastrointestinal, como se reporta en el presente caso.
En el 2013, Radu O, et al, 8) describieron que el sarcoma de Kaposi que involucra órganos viscerales le confiere peor pronóstico a la enfermedad. 8) El diagnóstico se debe realizar mediante estudio endoscópico con toma de biopsia de las lesiones. 9) La histopatología hace sospechar una lesión de origen vascular pero en muchas ocasiones se deben realizar otros estudios en los tejidos que permiten un mejor diagnóstico como el latency-associated nuclear antigen (HHV8 LNA) el cual es un inmunomarcador que permite confirmar la presencia este agente infeccioso (virus herpes humano tipo 8) y se considera que tiene una sensibilidad de un 99 % y una especificidad de un 100 % para el diagnóstico de sarcoma de Kaposi. Otros marcadores que se pueden utilizar son el CD 34, CD 31 y el CD 117. 10) El tratamiento depende de la variante epidemiológica del sarcoma de Kaposi y la terapia es individualizada y se basa de forma general en tratamiento antirretroviral, quimioterapia y radioterapia. 9,10
CONCLUSIONES
El sarcoma de Kaposi como causa de sangrado es poco frecuente aunque constituye causa de indicación de estudios endoscópicos en pacientes con historia personal de infección por HIV y sarcoma de Kaposi cutáneo.
REFERENCIAS BIBLIOGRÁFICAS
1. Bello Rodríguez L, Pardeiro Pértega R, Couto Worne I, Vazquez Rodriguez P, Lopez Calvo S, Castro Iglesias MA, et al. Hemorragia digestiva alta secundaria a sarcoma de Kaposi gástrico y duodenal. Rev Esp Enferm Dig. 2012;104(1):33-34.
2. Jiménez F, Barbaglia Y, Juarez L, Bucci P, Tedeschi F, Zalazar F. Sarcoma de Kaposi gastrointestinal asociado a síndrome de inmunodeficiencia adquirida. Descripción de un caso. Acta GastroenterolLatinoam. 2011;41(4):308-11.
3. Crespo L, Cano AC, Linette J, Moreno C, Quereda C. Sarcoma de Kaposi gástrico asociado a infección por el virus de la inmunodeficiencia humana (variante epidémica). Med Clin (Barc). 2010;134(7):331.
4. Martínez JD, Hernández G, Salinas C, Hormaza N, Garzón M, Lizarazo J, et al. Sarcoma de Kaposi gástrico en un paciente con virus de inmunodeficiencia humana (VIH). Rev Gastroenterol Perú. 2014;34(2):25-34.
5. Arora M, Goldberg EM. Kaposi sarcoma involving the gastrointestinal tract. Gastroenterol Hepatol (NY). 2010;6(7):459-6.
6. Attia S, Dezube BJ, Torrealba JR, Sosman JM, McHaffie DR, Pfau PR, et al. AIDS-related Kaposis sarcoma of the gastrointestinal tract. J ClinOncol. 2010;28(16):250-1.
7. Fontes Rezende RE, Lima Kahwage R, Vieira da Costa T, Artioli Machado A, Ottoboni Brunaldi M, Kemp R, et al. Upper gastrointestinal Kaposi's sarcoma in HIV-infected patients: ten years of endoscopy observation at a single Brazilian center. Int J Inf Dis. 2015;39:110-115.
8. Radu O, Pantanowitz L. Kaposi sarcoma. Arch Pathol Lab Med. 2013;137:289-94.
9. Lopes Teixeira V, Santana Júnior PJ, Santos Teixeira K, Carneiro D, Moreira M, Paula GM. Gastric Kaposi's sarcoma. Radiol Bras. 2015;48(3):26-37.
10. Lee AJ, Brenner L, Mourad B ,Monteiro C, Vega KJ, Munoz JC. Gastrointestinal Kaposi's sarcoma: Case report and review of the literature.World J Gastrointest Pharmacol Ther.2015;6(3):89-95.
Notas de autor
*Autor para la correspondencia (email): nelcidosg@infomed.sld.cu