CASOS CLÍNICOS
Recepción: 21 Enero 2017
Aprobación: 13 Junio 2017
RESUMEN
Fundamento: el cáncer de pulmón es la causa más frecuente de mortalidad en el mundo. Es uno de los cánceres con peor pronóstico, suele diagnosticarse en estadios avanzados. La detección precoz, en la fase de nódulo pulmonar, permitiría una intervención terapéutica más temprana, al mejorar el pronóstico y la supervivencia. Los diagnósticos más importantes son: la radiografía de tórax, tomografía computarizada, punción aspirativa con aguja fina, existe una gran cantidad de diagnósticos diferenciales que incluyen lesiones benignas y malignas.
Objetivo: describir los aspectos clínicos, radiológicos, histopatológico y diagnósticos diferenciales del nódulo pulmonar solitario de localización subpleural. Caso clínico: se describe un caso clínico con un nódulo pulmonar solitario y diagnóstico presuntivo inicial de carcinoma pulmonar; tras ser estudiado y realizarle lobectomía pulmonar; el diagnóstico como causa inflamatoria fue una neumonía. Conclusiones: el mayor por ciento de los nódulos pulmonares solitarios son neoplasias secundarias a afecciones con las que se puede establecer el diagnóstico diferencial. La causa más frecuente son los granulomas secundarios a afecciones inflamatorias infecciosas, al seguir en orden de frecuencia el cáncer y dentro de ellos el carcinoma broncógeno.
DeCS: NÓDULO PULMONAR SOLITARIO, NEOPLASIAS PULMONARES, NEUMONÍA, MEDIANA EDAD, INFORMES DE CASOS.
ABSTRACT
Background: lung cancer is the most common cause of cancer mortality worldwide. It is one of the cancers with worse prognosis, since it is usually diagnosed in advanced stages. Early detection, in the pulmonary nodule phase, would allow an earlier therapeutic intervention, improving prognosis and survival. Important diagnostic tools include chest radiography, computed tomography, fine needle aspiration, and a large number of differential diagnoses including benign and malignant lesions.
Objective: to describe the clinical, radiological, histopathological and differential diagnoses of the solitary pulmonary nodule of subpleural location.
Clinical case: a clinical case with a solitary pulmonary nodule and initial presumptive diagnosis of lung carcinoma is described; after being studied and performed lung lobectomy, diagnosed as an inflammatory cause, pneumonia.
Conclusions: 95 % of solitary pulmonary nodules are neoplasias secondary to conditions with which a differential diagnosis can be established. The most frequent cause is granulomas secondary to infectious inflammatory conditions, following in order of frequency the cancer and within them the bronchogenic carcinoma.
DeCS: SOLITARY PULMONARY NODULE, LUNG NEOPLASMS, PNEUMONIA, MIDDLE AGED, CASE REPORTS.
INTRODUCCIÓN
Se designa con el nombre de nódulo pulmonar solitario (NPS) a una imagen radiológica de aumento de densidad, en general esférica, de bordes bien delimitados rodeada de aire pulmonar, aunque puede estar en contacto con la pleura visceral. La lesión no debe estar asociada con atelectasia o adenopatías. En las diversas series publicadas, el diámetro del nódulo varía entre uno y seis centímetros, pero no existe consenso acerca del límite superior de este. Puesto que un nódulo mayor de tres centímetros tiene una elevada posibilidad de ser un carcinoma de pulmón y que ese diámetro coincide con la línea de corte que define la lesión T1 de la clasificación TNM, algunos autores proponen que lesiones mayores de tres centímetros no deben incluirse en esta categoría. 1,2,3
Los NPS se encuentran en 1-2 de cada 1 000 radiografías del tórax. La mayoría son hallados en una radiografía de rutina practicada en individuos asintomáticos.
Los pacientes con NPS son por lo general asintomáticos; sin embargo, el NPS representa un desafío para el paciente y el médico. Ser detectado de forma incidental o durante un estudio radiológico de rutina, da lugar a varias interrogantes: ¿Es benigno, es maligno, la conducta a seguir debe ser observación y seguimiento, debe ser estudiado, y resecado por una cirugía para saber cuáles son los diagnósticos diferenciales? 1,2,3 El objetivo del caso es describir a continuación un caso clínico que permitirá aclarar muchas de estas interrogantes.
CASO CLÍNICO
Paciente de sexo masculino de 57 años de edad. Con antecedentes personales: fumador importante (40 a 60 cigarrillos al día), hipertensión arterial, prostatectomía radical por adenocarcinoma de próstata. Trabajador surtidor en una gasolinera. Comienza con cuadro de tos, expectoración, febrícula y dolor de intensidad leve en hemitórax derecho. Exploración física: orofaringe muy inflamada con flemas en cavum, auscultación cardiaca normal, auscultación respiratoria: normal, saturación de oxígeno 94 %, tensión arterial 140/86, frecuencia cardiaca 89 pulsaciones por minuto, temperatura axilar 37,2 ºC.
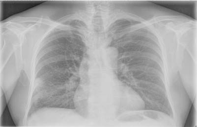
En la analítica sólo destaca una eritrosedimentación de 38 mm, proteína C reactiva en 3 mm/l y el antígeno específico prostático 0,002 ng/ml. Se indica tratamiento con amoxicilina 500 mg cada ocho horas, ambroxol un comprimido cada ocho horas e ibuprofeno 600 mg cada ocho horas durante 10 días. Al no mejorar, se realiza radiografía de tórax en la que se observa un nódulo subpleural a nivel del lóbulo medio pulmón derecho (Figura 1).

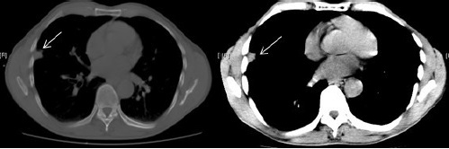
Se indicó tomografía computarizada (TC) tóraco-abdominal con contraste en la que se confirmó la presencia de un nódulo pulmonar subpleural situado en el segmento lateral del lóbulo medio, de 19 mm, contornos irregulares, descartarse se trate de un carcinoma pulmonar (Figura 2).

Se recomendó punción aspirativa con aguja fina (PAAF). No adenopatías mediastínicas, ni hiliares. En la PAAF del nódulo pulmonar no se obtienen hallazgos histopatológicos concluyentes de carcinoma de pulmón. Se remitió a cirugía torácica que realizó tratamiento quirúrgico: lobectomía pulmonar derecha, donde el resultado del estudio anatomopatológico de la lesión fue una neumonía.
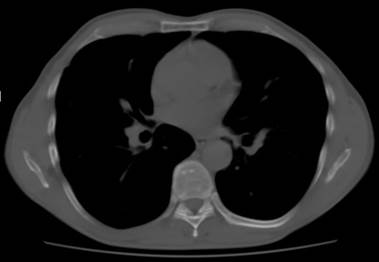
El paciente evolucionó de manera favorable y fue dado de alta. La TC de control post cirugía informa: cambios secundarios a cirugía en la región lateral y craneal del lóbulo medio, se observó tractos fibrosos de aspecto cicatricial, no se identificó masas ni nódulos en el momento actual (Figura 3).

DISCUSIÓN
El cáncer de pulmón es la causa más frecuente de mortalidad en el mundo. Constituye uno de los cánceres con peor pronóstico, dado su agresividad y suele diagnosticarse en estadios muy avanzados. Para seleccionar el tratamiento es fundamental hacer una estadificación adecuada. La detección precoz, cuando aún está en la fase de nódulo pulmonar, permitiría una intervención terapéutica más temprana, lo que traería consigo un pronóstico y supervivencias más favorables.
Por tanto, el diagnóstico de los nódulos pulmonares, también importante para la detección de metástasis pulmonares en tumores extratorácicos, constituye un problema clínico de primera magnitud, aunque muchos nódulos pulmonares son benignos, un elevado porcentaje son neoplásicos. De hecho, por encima de los 40 años un nódulo pulmonar solitario recién descubierto, una opacidad redondeada, sobre todo bien definida y cuyo diámetro mayor es inferior a tres centímetros, puede ser un carcinoma pulmonar asintomático. 1,2,3,4)
Un NPS puede ser secundario a un sinnúmero de diagnósticos diferenciales. Sin embargo, más de 95 % son neoplasias, tal vez primarias en su mayoría, granulomas infecciosos o lesiones benignas, como es el caso de los hamartomas.
La causa más frecuente de los NPS benignos son los granulomas secundarios a afecciones inflamatorias infecciosas, abscesos pulmonares, neumonitis, neumonía redondeada y los quistes hidatídicos. Hasta 60 % de los NPS son benignos y esta incidencia aumenta de manera notable en áreas endémicas para determinadas infecciones de manera esencial fúngicas y tuberculosis (TBC), y puede llegar a representar 90 a 95 % de todos los nódulos diagnosticados. Sin embargo, estos podrían ser un estadio temprano del cáncer de pulmón. (1,2,3
El cáncer es la segunda causa de NPS. Entre los cánceres el carcinoma broncógeno es el más frecuente, y puede ser la primera causa en países como España, donde representa 44 % de todos los NPS. El 25 % de los carcinomas broncógenos comienza como NPS; además, todos los tipos histológicos de cáncer pulmonar pueden presentarse como tal, aunque esta forma de presentación se asocia con mayor frecuencia a los adenocarcinomas. (4,5,6
El cáncer de pulmón en estadio temprano, cuando el tumor tiene un diámetro menor de tres centímetros, puede alcanzar una supervivencia a los cincos años de la resección de 70 a 80 %. Por tanto, el diagnóstico y manejo rápido de las formas incipientes del cáncer del pulmón, cuando se manifiesta como un NPS, podría ser la única posibilidad de cura. 7 Además de las enfermedades antes mencionadas existen numerosas afecciones más o menos frecuentes y de distribución geográfica variable, que pueden originar un NPS.
Hay causas benignas: granulomas (TBC, brucelosis) hamartomas, neumonía redondeada, abscesos pulmonares, quistes broncogénicos y secuestros, atelectasias e infartos pulmonares, lipomas, 7) fibromas y adenomas, infecciones fúngicas, 8) hidatidosis, sarcoidosis y amiloidosis, granulomatosis de Wegener, nódulos reumatoides malformaciones arteriovenosas.
Es reportado un caso donde Sileli M, et al, 9) encontraron una dirofilariasis pulmonar diagnosticada al observarse en la radiografía de tórax un pequeño nódulo pulmonar solitario situado en la periferia.
La leiomiomatosis pulmonar benigna metastatizante, también ha sido reportada Pérez-Ferrer P, et al, 10) como una causa excepcional de nódulos pulmonares. Entre las causas malignas tenemos: carcinomas broncógenos (epidermoide, adenocarcinoma, de células grandes, de células pequeñas). Lesiones metastásicas: tiroides, tumores de cabeza y cuello, mama, tracto gastrointestinal, riñón, ovario, sarcomas y melanomas, sarcoma pulmonar, linfoma y carcinoides. 11,12
CONCLUSIONES
Aunque el 95 % de los nódulos pulmonares solitarios son neoplasias, ellos pueden ser secundarios a un variado número de afecciones con las que se puede establecer el diagnóstico diferencial. La causa más frecuente de NPS benignos son los granulomas secundarios a afecciones inflamatorias infecciosas, donde sigue en orden de frecuencia el cáncer y dentro de ellos el carcinoma broncógeno.
REFERENCIAS BIBLIOGRÁFICAS
1. Arias OD, Armas Pérez de B, Gil Hernández A, Gordis Aguilera MV. Nódulo pulmonar solitario. ¿Qué hacer? Rev Cubana Cir. 2007;46(2):34-42.
2. Fletcher JW. PET scanning and the solitary pulmonary nodule. Semin Thorac Cardiovasc Surg. 2002;14:268-74.
3. Hartman TE. Radiologic evaluation of the solitary pulmonary nodule. Semin Thorac Cardiovasc Surg. 2002;14:261-7.
4. Divisi D, Barone M, Zaccagna G, Crisci R. Fluorine-18 Fluorodeoxyglucose Positron Emission Tomography in the Management of Solitary Pulmonary Nodule: A Review. Ann Med. 2017 Jun;7:1-24.
5. Silvestri GA, Vachani A, Whitney D, Elashoff M, Smith KP, Ferguson JS, et al. A Bronchial Genomic Classifier for the Diagnostic Evaluation of Lung Cancer. N Engl J Med. 2015;373:243-251.
6. Moreno Balsalobre R, Fernández Fau L. Nódulo pulmonar solitario: ¿qué ha cambiado en su evaluación diagnóstica? Arch Bronconeumol. 2003;39:246-248.
7. Bacalja J, Nikolic I, Brcic L. Lipoma pulmonar intraparenquimatos con comportamiento clínico de neoplasia maligna. Arch Bronconeumol. 2015;51:302-3.
8. Dabó H, Marinho A, Gomes I. Aspergilosis pulmonar nodular,¿todavía supone un desafío? Arch Bronconeumol. 2015;51:603-4.
9. Sileli M, Tsagkaropoulos S, Madesis A. Dirofilariasis pulmonar: un reto diagnóstico en la práctica clínica. Arch Bronconeumol. 2016;52:338-9.
10. Pérez-Ferrer P, Chiner E, Sancho-Chust JN, Arlandis M. Leiomiomatosis pulmonar benigna metastatizante, una causa excepcional de nódulos pulmonares. Arch Bronconeumol. 2016;52:226-7.
11. Orta R, Paganini L, Davies KM, Dalurzo ML, Ulla M, García Mónaco R. Nódulos pulmonares subsólidos en tomografía computada multicorte. Características y diagnósticos diferenciales con el adenocarcinoma de pulmón. RAR. 2013;77(2):107-117.
12. Yang L, Zhang Q, Bai L, Li TY, He C, Ma QL, et al. Assessment of the cancer risk factors of solitary pulmonary nodules. Oncotarget. 2017 Apr 25;8(17):29318-29327.
Notas de autor
*Autor para la correspondencia (email): hermidana@yahoo.es