Caso clínico
Brunneroma: reporte de un caso
Brunneroma: a case report
Brunneroma: reporte de un caso
Revista Archivo Médico de Camagüey, vol. 22, núm. 4, pp. 540-550, 2018
Editorial Ciencias Médicas Camagüey
Recepción: 11 Diciembre 2017
Aprobación: 06 Marzo 2018
RESUMEN
Fundamento: las glándulas de Brunner son estructuras túbulo-acinares ubicadas en la submucosa del duodeno. Su crecimiento excesivo por lo regular no da síntomas o estos son mínimos, lo cual es conocido como adenoma de glándulas de Brunner, hamartoma o brunneroma. Su localización más frecuente es en la primera porción del duodeno y muy raro por debajo de la ampolla de Váter.
Objetivo: presentar el caso clínico de un paciente con el diagnóstico de Brunneroma.
Caso Clínico: paciente femenina, blanca de 72 años de edad con antecedentes de padecer de úlcera duodenal hace 20 años que ingresa con dolor difuso en abdomen superior acompañado de deposiciones abundantes como borra de café, sudoraciones profusas y pérdida ligera de peso en el último mes.
Conclusiones: el Brunneroma es una lesión benigna poco frecuente del duodeno; puede descubrirse de forma accidental y en algunas ocasiones pueden causar hemorragia digestiva.
DeCS: GLÁNDULAS DUODENALES+ HAMARTOMA+ ENFERMEDADES DEL SISTEMA DIGESTIVO+ ANCIANO+ INFORMES DE CASOS.
ABSTRACT
Background: The Brunner’s glands are tubular structures located in the submucosa of the duodenum. Their excessive growth does not usually give symptoms or at least they are minimum. This is known as Brunner’s gland adenoma, Hamartoma or Brunneroma. Its most frequent localization is in the first portion of the duodenum, but it is extremely strange below the ampulla of Vater.
Objective: to present the clinical case of a patient with the diagnosis of Brunneroma.
Clinical case: white-skinned, 72 years-old, female patient with antecedents of a 20-years duodenal ulcer who is hospitalize with diffuse pain in superior abdomen accompanied by abundant depositions like coffee powder, profuse sweating and slight loss of weight in the last month.
Conclusions: Brunneroma is a not very frequent benign lesion of the duodenum; it can be discovered accidentally and in some occasions it may cause digestive hemorrhage.
DeCS: BRUNNER GLANDS, HAMARTOMA, DIGESTIVE SYSTEM DISEASES, AGED, CASE REPORTS.
Introducción
Las glándulas de Brunner son estructuras secretoras que están localizadas en el intestino delgado proximal, en especial en la submucosa del bulbo y segunda porción duodenal. 1 El tumor de las glándulas de Brunner es una lesión de presentación poco frecuente, de comportamiento benigno y de patogénesis poco conocida. El brunneroma como también se le conoce asienta por lo general en la primera porción duodenal sin dar una sintomatología específica. La mayoría se descubre de manera incidental en una endoscopía digestiva alta; sin embargo, cuando la lesión es grande puede causar obstrucción intestinal, también se han descrito cuadros de hemorragia digestiva alta. 1,3
Se presentó la historia clínica del primer paciente diagnosticado en nuestra provincia con Brunneroma asociado a hemorragia digestiva alta por úlcera duodenal que estuvo hospitalizado en la institución. Se revisa la literatura en relación al caso.
Caso clínico
Paciente femenina, blanca de 72 años de edad con antecedentes patológicos personales de padecer de úlcera duodenal hace 20 años para lo cual ha llevado tratamiento irregular. Es conducida a cuerpo de guardia de cirugía por presentar dolor difuso en abdomen superior el cual se alivia de manera espontánea acompañado de una deposición abundante como borra de café en horas de la mañana y otra de características similares en horas de la tarde. Presenta además sudoraciones profusas. Refiere pérdida ligera de peso de alrededor de 10 kg en el último mes.
Al examen físico se constatan mucosas húmedas e hipocoloreadas y ligeros edemas de fácil Godet en ambos miembros inferiores y que abarcan hasta el tercio medio de los mismos. Frecuencia cardiaca de 108 latidos por minutos. Tensión arterial de 100/60 mm/Hg. A la auscultación del aparato respiratorio se constata un murmullo vesicular disminuido sin auscultar estertores y una frecuencia respiratoria de 25 respiraciones por minuto. Abdomen doloroso a la palpación profunda de forma difusa y algo más doloroso en la región del mesogastrio. Se realiza tacto rectal donde se corrobora la presencia de melena al salir el dedo de guante manchado de color oscuro como borra de café.
Estudios analíticos:
Hemoglobina: 79 g/l
Hematocrito: 0,50vol /litro
Leucocitos totales: 16,8 X 109 l
Segmentados: 91 %, Linfocitos: 9 %
Glicemia: 4,35 mmol/l
Creatinina: 55 mmol/l
Ácido úrico: 258 mmol/l
Coagulograma con tiempo de protrombina: normal.
Relación normalizada internacional (INR): 1.25
Conteo de plaquetas: 190 X 109 l
Proteínas totales: 53 g/l
Albumina: 27 g/l
Globulina: 26 g/l
Ionograma: normal
Transaminasa glutámico pirúvica: 12 U.I
Transaminasa glutámico oxalacética: 30 U.I
Ganma glutamil transpeptidasa: 30 U.I
Fosfatasa alcalina: 130 U
Bilirrubina total: 4 mmol/l
Bilirrubina directa: 3 mmol/l
Ultrasonido (UTS) abdominal: no describen alteraciones en órganos intraabdominales. No líquido libre en cavidad.
Con estos resultados se admite en sala de cirugía con una impresión diagnóstica de sangramiento digestivo alto secundario a úlcera duodenal. Se procede a realizar endoscopia del tracto digestivo superior por el servicio de Gastroenterología donde describen:
Duodeno: se explora hasta visualizar la mucosa del bulbo duodenal donde se observa en cara anterior una gran zona ulcerada que ocupa toda la pared anterior con un coágulo adherido en el centro, sin poder avanzar a mayor profundidad por riesgo de sangrado. Luz, pliegues y peristalsis conservadas. El esófago y unión gastro esofágica se describen de manera inicial normales. Se concluye este estudio como una ulcera duodenal Forrest IIb. Se instila epinefrina (1/1000) 10 mililitros en los bordes del coágulo. Se indica triple terapia y se aconseja reevaluar dentro de ocho semanas para buscar posible causa neoformativa.
Se tuvo en cuenta que continuaban descendiendo las cifras de hemoglobina, la paciente se transfundió con 500 ml de glóbulos rojos y 500 ml (dos unidades de plasma fresco). Continua con presencia de melena y ese mismo día en horas de la mañana comienza con signos de hipovolemia por lo que se decidió realizar laparotomía exploradora. En el acto quirúrgico se halló úlcera de 1 cm de diámetro con coágulos en su interior localizada en cara anterior del duodeno. Se tomaron muestra para biopsia y se realiza sutura y epipoplastia. La paciente se comporta de manera hemodinámica estable durante el trans y postoperatorio. Se traslada a sala donde su evolución es satisfactoria. Hemoglobina postquirúrgica en 79 g/l.
A las 48 horas de operado la paciente se mantiene bien. Se realiza UTS abdominal donde se informa: hígado de tamaño normal, con ligero aumento de la ecogenicidad parenquimatosa. Vesícula biliar, bazo, páncreas, suprarrenales y riñón izquierdo normales. Riñón derecho de tamaño normal, no litiasis ni hidronefrosis, con quiste parenquimatoso en polo superior de 14 mm. No adenopatías intraabdominales, no líquido libre en cavidad, no imagen en falso riñón, no derrame pleural. Vejiga vacía.
Evoluciona de forma favorable y se decide alta médica pasados cinco días de postoperatorio con seguimiento por consulta de patología quirúrgica gastroduodenal.
Informe de anatomía patológica
Descripción macroscópica del especímen recibido: fragmento de tejido irregular que mide 1 x 0,5 x 0,3 cm en sus diámetros mayores, blanco gris que al corte es blanquecino.
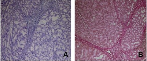
Diagnóstico microscópico: úlcera duodenal aguda. Proliferación compacta de glándulas de Brunner en la submucosa; las cuales se encuentran compartimentalizadas por tabiques conectivos. Coloración con técnica de Van Gieson positiva para fibras colágenas de los tabiques fibrosos (figura 1).

Conclusión: Úlcera aguda duodenal. Brunneroma o adenoma de glándulas de Brunner submucoso.
En la actualidad el paciente se encuentra asintomático.
Discusión
Las glándulas de Brunner están localizadas de manera especial en la submucosa del duodeno proximal; la histología muestra formaciones tubuloacinares ramificadas, desembocan en el lúmen y tienen la función de secretar un fluido alcalino rico en mucina mezclado con factor de crecimiento epidérmico (urogastrona) y pepsinógeno II. (1, 2) El hamartoma de glándulas de Brunner, también llamado adenoma de glándulas de Brunner o brunneroma, fue descrito por primera vez en 1876 por Cruveilhier. Supone alrededor del 5 % de todos los tumores duodenales y se localiza con frecuencia en los tramos de duodeno proximal. (3,4 Se trata de tumores benignos e infrecuentes, (5 que cursan de forma silente; en los pacientes sintomáticos la clínica más frecuente son los síntomas obstructivos y la hemorragia digestiva alta de intensidad variable. Muestran escaso potencial de malignidad y se han descrito en la literatura casos con diferentes grados de displasia, y por lo tanto, posibilidad de transformación maligna, lo que plantea la obligatoriedad de su resección. (6 En el caso que se muestra este tumor se presentó asociado a hemorragia digestiva alta que necesitó realizar intervención quirúrgica para su solución definitiva.
La causa no es por lo general entendida, pero se han descrito asociaciones con enfermedad ulcero-péptica, pancreatitis crónica e insuficiencia renal crónica. (1 Existen teorías que señalan que la hiperestimulación (acidez gástrica), el aumento de la actividad vagal o irritación local, serían responsables de desencadenar un crecimiento desmedido del número de glándulas, del tejido conectivo y del músculo liso. (7 La paciente que se presentó, refirió durante la anamnesis antecedentes de úlcera duodenal previa, comprobada en el estudio anatomopatológico y asociada a la lesión tumoral duodenal.
De forma clínica pueden distinguirse tres grupos según forma de presentación, el primer grupo incluye pacientes asintomáticos o con mínimas e inespecíficas molestias abdominales en cuyos casos el tumor es descubierto de forma accidental durante la exploratoria o estudio por otras razones. La prevalencia de este grupo es difícil de determinar, pero se cree que representan más del 50 % de los casos. El segundo grupo está conformado por pacientes que cursan con hemorragias gastrointestinales, la cual por lo general es crónica y sin repercusión hemodinámica, este grupo es 43 % de los casos y muy raro puede haber sangrado masivo de estos tumores. Un tercer grupo incluye pacientes que debutan con síntomas obstructivos con tumores > 2 cm.
La paciente presentada por los autores queda implícita en el segundo tipo de presentación según la literatura consultada. Raras manifestaciones incluyen intususcepción duodenal, ictericia obstructiva, pancreatitis recurrente y diarrea secundaria a disturbios motores. 8 Los brunneromas de gran tamaño, pueden ser de difícil diagnóstico antes de la cirugía y simular lesiones malignas del área pancreático-duodenal. (9
La endoscopía con biopsias es útil para el diagnóstico, sin embargo, la biopsia puede ser negativa debido a la localización submucosa de la lesión. 1,10 El diagnóstico diferencial incluye leiomioma, lipoma, tejido pancreático aberrante, duplicación quística duodenal, mucosa pilórica prolapsada, angioma aberrante y tumores malignos como linfoma, tumor carcinoide, leiomiosarcoma, tumores estromales digestivos, entre otros. (8,11,12
Conclusiones
El brunneroma es una lesión benigna del duodeno; puede descubrirse de manera casual y en algunas ocasiones pueden causar hemorragia digestiva. Es una enfermedad poco frecuente según la bibliografía consultada y en el país no encontraron casos similares publicados.
Referencias bibliográficas
1. Riva S de la, Carrascosa J, Muñoz-Nevas M, Súbtil JC, Carretero C, Sola JJ, et al. Hamartoma gigante de glándulas de Brunner: diagnóstico y tratamiento endoscópico. Gastroenterol Hepatol [Internet]. 2011 [citado 16 Mar 2017];34(5):[aprox. 4 p.]. Disponible en: http://www.elsevier.es/es-revista-gastroenterologia-hepatologia-14-articulo-hamartoma-gigante-glandulas-brunner-diagnostico-S0210570511000859
2. Sorleto M, Timmer-Stranghöner A, Wuttig H, Engelhard O, Gartung C. Brunner's Gland Adenoma-A Rare Cause of Gastrointestinal Bleeding: Case Report and Systematic Review. Case Rep Gastroenterol. 2017 Jan 27;11(1):1-8.
3. Sedano J, Swamy R, Jain K, Gupta S. Brunner's gland hamartoma of the duodenum. Ann R Coll Surg Engl. 2015 Jul;97(5):e70-2.
4. Barbeiro S, Atalaia Martins C, Marcos P. Brunner'sGlandHamartoma. A Rare Cause of Upper. GE Port J Gastroenterol [Internet]. 2015 [citado 16 Mar 2017];22(6):[aprox. 7 p.]. Disponible en: http://www.sciencedirect.com/science/article/pii/S2341454515001076
5. Velásquez J, Maronna E, Figueiras O, Carolis L de, Solari R, Corti M, et al. Adenoma de glándulas de Brunner: un tumor raro como causa de síndrome pilórico en un paciente con SIDA. Acta Gastroenterol Latinoamer [Internet]. 2014 [citado 16 Mar 2017];44(3):[aprox. 9 p.]. Disponible en: http://www.redalyc.org/articulo.oa?id=199332403018
6. García-Marín JA, Lirón-Ruiz RJ, Luís Gírela-Baena E, Aguayo-Albasini JL. Papel de la tomografía computarizada en el diagnóstico del hamartoma de las glándulas de Brunner. Cir Esp [Internet]. 2016 [citado 16 Mar 2017];94(1):[aprox. 4 p.]. Disponible en: http://www.elsevier.es/es-revista-cirugia-espanola-36-articulo-papel-tomografia-computarizada-el-diagnostico-S0009739X14003030
7. Padilla Ruiz M. Hiperplasia de las glándulas de Brunner. A propósito de 2 casos. Rev Gastroenterol Perú [Internet]. 2014 [citado 16 Mar 2017];34(2):[aprox. 14 p.]. Disponible en: http://www.scielo.org.pe/scielo.php?script=sci_arttext&pid=S1022-51292014000200008
8. Lee JH, Jo KM, Kim TO, Park JH, Park SH, Jung JW, et al.Giant Brunner's Gland Hamartoma of the Duodenal Bulb Presenting with Upper Gastrointestinal Bleeding and Obstruction. Clin Endosc. 2016 Nov;49(6):570-574.
9. Castillo Contreras O, Ruiz Barahona E, Yabar Berrocal A, Frisancho Velarde O. Adenoma de las glándulas de Brunner: Reporte de un caso y revisión de literatura. Acta méd peruana [Internet]. 2009 [citado 16 Mar 2017];26(4):[aprox. 4 p.]. Disponible en: http://www.scielo.org.pe/scielo.php?script=sci_arttext&pid=S1728-59172009000400009&lng=es&nrm=iso
10. Frenkel NC,Laclé MM,Inne H. M,BorelRinkes IH,Q. Molenaar I,Hagendoorn J. A Giant Brunneroma Causing Gastrointestinal Bleeding and Severe Anemia Requiring Transfusion and Surgery.Case Reports in Surgery [Internet]. 2017 [cited 2017 Mar 16];2017:[about 8 p.]. Available from: https://www.hindawi.com/journals/cris/2017/6940649/.
11. Qayed E, Wehbi M, Rutherford R. Gastrointestinal bleeding from Brunner gland hamartoma. Clin Gastroenterol Hepatol. 2011 Jan;9(1):e4-5.
12. Sammarco G, Filiotis N, Triggiani D, Teodossiu G, Cuccia F, Lazzaro R, et al. Brunner's gland hamartoma: a case report and review of literature. Ann Ital Chir. 2008 Mar-Apr;79(2):139-42
Notas de autor
*Autor para la correspondencia.(email) javiermn@jagua.cfg.sld.cu
Declaración de intereses