Caso clínico
Estenosis traqueal media por intubación prolongada
Media tracheal stenosis for prolonged intubation
Estenosis traqueal media por intubación prolongada
Revista Archivo Médico de Camagüey, vol. 22, núm. 5, pp. 752-766, 2018
Editorial Ciencias Médicas Camagüey
Recepción: 27 Febrero 2018
Aprobación: 04 Abril 2018
RESUMEN
Fundamento: la estenosis traqueal se ha convertido en una de las complicaciones más frecuentes de la intubación prolongada y accidentes de tránsito. Se precisa que alrededor del 20 % de los pacientes intubados o traqueostomizados pueden presentarla.
Objetivo: describir un caso de estenosis traqueal media por intubación prolongada que recibió tratamiento quirúrgico en el Hospital Militar Clínico Quirúrgico Docente Dr. Octavio Concepción de la Pedraja en el 2017.
Caso clínico: paciente femenina de 28 años de edad, con antecedentes de infección respiratoria complicada con una endocarditis infecciosa para lo cual fue necesario intubación endotraqueal, esta se prolongó durante nueve días. Refiere disnea que al principio fue al esfuerzo físico, para luego convertirse en dificultad respiratoria en reposo, que aliviaba en ocasiones a los cambios de posición. Al examen físico se precisó estridor laríngeo, asociado a tiraje intercostal y supraclavicular, con murmullo vesicular disminuido en ambos campos pulmonares, asociado a la presencia de estertores sibilantes y roncos diseminados. Se le realizó una tomografía axial computarizada donde se constata una estenosis traqueal severa a nivel del cuerpo vertebral D-l. La paciente fue sometida a intervención quirúrgica en la cual se procedió a resección de los dos anillos traqueales correspondientes a la estenosis con anastomosis término-terminal.
Conclusiones: la estenosis traqueal media, es una complicación frecuente a causa de la intubación prolongada, el examen físico, la laringoscopia y la tomografía axial computarizada son indispensables para el diagnóstico y clasificación de la misma. La cirugía con equipo multidisciplinario constituye un pilar importante en el resultado de la operación.
DeCS: ESTENOSIS TRAQUEAL/complicaciones+ INTUBACIÓN INTRATRAQUEAL/efectos adversos+ ESTENOSIS TRAQUEAL/diagnóstico por imagen+ TRÁQUEA/cirugía+ INTUBACIÓN INTRATRAQUEAL/utilización.
ABSTRACT
Background: the tracheal stenosis has become one of the most frequent complications in the prolonged intubation and traffic accidents. It is necessary that approximately 20 % of the intubated or tracheostomized patient can present it.
Objective: to describe a case of media tracheal stenosis for prolonged intubation that she received surgical treatment in the Educational Surgical Clinical Military Hospital Dr. Octavio Concepción of the Pedraja in the 2017.
Clinical case: 28-years-old female patient, with antecedents of complicated breathing infection with an infective endocarditis for that it was necessary endotracheal intubation, this she was prolonged during nine days. She refers dyspnea that at the first went to the physical effort, then to become breathing difficulty in rest that alleviated in occasions to the position changes. To the physical exam was determined voice stridency, associated to intercostal and supraclavicular printing, with vesicular murmur diminished in both lung fields, associated to the presence of disseminated sibilant and hoarse rales. A computed axial tomography was performed where a severe tracheal stenosis is verified at level of the vertebral body D-1. The patient was subjected to surgical intervention in which it was proceeded to resection of the two tracheal rings corresponding to the stenosis with terminal anastomosis.
Conclusions: the stenosis tracheal, is a frequent complication because of the prolonged intubation, the physical exam, the laryngoscopy and the computed axial tomography are indispensable for the diagnosis and classification of the same one. The surgery with multidisciplinary team constitutes an important pillar in the result of the operation.
DeCS: TRACHEAL STENOSIS/complications, INTUBATION INTRATRACHEAL/adverse effects, TRACHEAL STENOSIS/diagnostic imaging, TRACHEA/surgery, INTUBATION INTRATRACHEAL/utilization.
Introducción
Las estenosis traqueales, después de las intubaciones prolongadas, se convierten en una enfermedad de gran repercusión clínica. Se calcula que se producen al rededor del 20 % de los pacientes intubados o traqueostomizados, de los cuales hasta un uno por ciento pueden desarrollar una insuficiencia respiratoria severa, al agravarse más el cuadro.1
Entre las causas más frecuentes de estenosis traqueal (TE) se encuentra las neoplasias, la infección, el trauma por intubación, la enfermedad por reflujo gastroesofágico, algunas enfermedades inflamatorias e idiopáticas, la tensión de la sutura anastomótica y la resección mayor al 50 % de la longitud de la tráquea.
Dentro de las vasculitis existen dos enfermedades que afectan con frecuencia la vía aérea como ser el lupus eritematoso sistémico y la granulomatosis con poliangeítis (Wegener).2
Las estenosis provocadas por intubación prolongada o por la traqueostomía, son conocidas como estenosis traqueales isquémicas y se producen por retracción cicatrizal o depósito de tejido patológico. Provocado por el efecto mecánico sobre la mucosa traqueal, asociado a un factor irritativo, inflamatorio, isquémico y en ocasiones a un factor infeccioso, inducido por el tubo endotraqueal, sus movimientos basculantes, el exceso de presión del balón insuflado, las aspiraciones traumáticas, la mala técnica del manejo y continuo cuidado del dispositivo endotraqueal de forma esencial.3,4,5,6
La ET adquirida o secundaria es considerada más graves que la congénita ya que puede asociarse a estenosis en otros segmentos de la vía aérea central o haber afectación de las cuerdas vocales o procesos inflamatorios cicatriciales supraglóticos.6
En la actualidad las dos primaras causas de ET son los accidentes de tránsito y la intubación prolongada, al acompañarse con frecuencia de lesiones en más de un sitio a la vez en el trayecto laringotraqueal. 1
El continuo desarrollo de la medicina a nivel mundial, con el aumento progresivo de la esperanza de vida en ambos sexos, han conllevado a que exista un aumento notable en las enfermedades que como parte de su curso normal o por las complicaciones que desarrollan, necesitan intubación endotraqueal, aparejado a esto un acrecentamiento de las ET.1
Los síntomas principales son el estridor, disnea que al inicio aparece al ejercicio o puede llegar a ser de instalación súbita, correlación que depende en con las dimensiones de la vía aérea. Los pacientes a veces permanecen asintomáticos o con síntomas leves hasta que la luz de la vía aérea alcanza un nivel crítico de cuatro milímetros, donde los síntomas se tornan progresivos. El estridor durante el reposo es un síntoma tardío de estenosis severa. La tos de tipo perruno es frecuente.3
El diagnóstico de la ET es de manera esencial endoscópico, importante al momento de precisar el grado de la estenosis, el tipo de lesión, la localización y la posibilidad de anomalías vasculares, dentro de estos medios se destaca la traqueoscopia, broncoscopia; considerada por muchos la más importante, además de la tomografía computarizada y la resonancia magnética.3
El sitio de la estenosis es el principal factor a la hora de elegir el tipo de tratamiento, asociado a la complejidad de la estenosis que orienta sobre la tasa de éxito que se lograra luego del proceder. La complejidad de esta enfermedad y las posibles variaciones a encontrar en el transoperatorio conllevan a que no exista un método simple y establecido para su tratamiento, al existir variedades en el mismo que van desde tratamientos con láser con o sin dilatación o colocación de stent, reconstrucción traqueal con injertos de cartílago costal, resección traqueal parcial para los grados más severos de estenosis entre otros.(3, 6)
El objetivo del artículo es presentar un caso de una estenosis traqueal media por intubación prolongada y el tratamiento quirúrgico realizado.
Caso clínico
Paciente femenina blanca de 28 años de edad con antecedentes de salud aparente, que presentó un cuadro de sepsis respiratoria, a la cual se asoció como complicación una endocarditis infecciosa por lo cual fue necesario aplicarle ventilación mecánica invasiva durante 11 días, es dada de alta luego de rebasar dichas enfermedades y al cabo de los 15 días del alta hospitalaria comienza con disnea de moderada intensidad, al reposo, que se agravaba al esfuerzo físico, a lo cual se le asoció el dolor intenso de aparición súbita localizado en cuello, tórax y espalda.
Al examen físico se constató:
General: cianosis distal, estridor laríngeo y signos de rigidez de los músculos del cuello.
Sistema Respiratorio: presencia de tiraje intercostal y supraclavicular, con expansibilidad torácica disminuida en ambos campos pulmonares, frecuencia respiratoria en 26 por minutos, con murmullo vesicular disminuido en ambos campos y presencia de estertores roncos y sibilantes diseminados, no roce pleural.
Estudios analíticos
Hematología.
Hematócrito: 0,38 L/L
Leucograma: 8 X 10 9/ L.
Tiempo de coagulación: 7 minutos
Tiempo de sangramiento: 1 minuto
Química sanguínea.
Glicemia: 4,8 mmol/L.
Creatinina: 63 mmol/L.
Transaminasa glutámico pirúvica (TGP): 8 U/L.
Transaminasa glutámico oxalacética (TGO): 12 U/L.
Fosfatasa alcalina: 162 U/L.
Estudios imagenológicos
Radiografía simple de tórax postero-anterior: No alteraciones pleuropulmonares agudas.
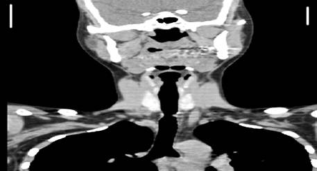
Tomografía axial computarizada: donde se constata una estenosis traqueal severa a nivel del cuerpo vertebral D-l (Fig.1 y Fig.2).


Traqueoscopia: donde se precisó la estenosis de más de un 50 % de la luz de la tráquea, a 20 centímetros de la arcada dentaria superior.
Tratamiento: previa traqueoscopia para transiluminación, se deja el tubo en el interior de la tráquea; se realiza cervicotomía anterior con incisión de Gluck-Soroensen que incluyo piel, tejido celular subcutáneo y músculo cutáneo del cuello; esternotomía media, disección del cuello, preparando el flap cutáneo, exposición del hioides y resección de los músculos suprahiodeos en su inserción, con dicho proceder se obtuvo una movilidad de la tráquea de alrededor de cinco centímetros, se reseca el istmo del tiroides, se liberaron las inserciones tirotraquerales se respetaron los nervios recurrentes laríngeos, se extiende la incisión hasta horquilla esternal para exponer manubrio y se realiza esternotomía, al exponerse el tercio medio de la tráquea, se revisa la misma y se observó deformidad, estenosis por fibrosis del tercio medio que dificulto la disección y exposición de la zona.
Se tomó como guía la transiluminación traqueal se secciona de manera transversal el límite superior de la estenosis, incisión longitudinal del extremo distal estenótico de la tráquea hasta exponer el extremo inferior del tejido normal traqueal. Se reseca en su totalidad la porción estenótica que incluyo dos anillos traqueales al separar la pared posterior de la anterior del esófago (Fig. 3).

Se realiza anastomosis para unión termino-terminal con sutura absorbible a largo plazo 2/0 y puntos en barra griega, se refuerza la línea de sutura con aponeurosis profunda y músculos infrahiodeos, se conserva la línea media anatómica, cierre por planos al cerrar con drenaje de penrose superior y salida por contrabertura y en mediastino superior a presión negativa con pera de Darking. Se fija el cuello con una férula posterior confeccionada por los autores para evitar sutura mento torácica y se traslada la paciente para terapia intensiva consciente y con actitud cooperadora, se ventila sin soporte invasivo.
La paciente durante la evolución mostró cicatriz anormal de la sutura de piel con tendencia al queloide que fue tratado en consulta externa, donde manifestó una evolución favorable desde el punto de vista clínico, endoscópico e imagenológicos.
Discusión
Las estenosis traqueales secundarias a la intubación prolongada y la traqueostomía son conocidas como estenosis isquémicas y responden a la retracción cicatrizal o deposito patológico en la mucosa de la tráquea, al estimarse en una frecuencia de entre cinco y 20 % de los pacientes a los que se realiza dicho proceder. La mortalidad asociada se calcula hasta en un 10 %, de manera especial en cuadros de insuficiencia respiratoria aguda.6
La aparición de los síntomas o signos en la ET, aparece cuando el calibre de la misma se ha reducido o cuando acompaña a otras enfermedades que ocasionan repercusión en la adecuada hematosis, por lo que la sospecha ante la existencia de factores de riesgo, conllevaría a un diagnostico precoz y mejor tratamiento. Es de destacar que un gran número de pacientes se mantienen asintomáticos durante un periodo variable lo que demora la aparición de los síntomas hasta dos años luego de la intubación prolongada.6
Los métodos endoscópicos permiten confirmar el diámetro y la topografía exacta de la estenosis, además de precisar si es una enfermedad única, con una detallada exploración de las características anatómicas y funcionales de la vía área, según reportan García Estrada I et al. 6)
Aunque se describe por Contreras Rodríguez JM et al. 7) que la forma más simple y efectiva de evaluar la posibilidad de que exista una estenosis de la vía aérea es mediante la endoscopia rígida-flexible, asociado a las pruebas imagenológicas como la tomografía axial computarizada helicoidal y reconstrucción en múltiples planos con elaboración volumétrica múltiple y en 3D (broncoscopia virtual).
Okuda Nakataki E et al.8 plantean que la estenosis traqueal puede ser más frecuente en niños que en adultos, con resultados más alentadores en los primeros siempre que no debuten con complicaciones graves como la insuficiencia respiratoria.
Según Debais M et al.9) la utilización de endoprótesis de silicona es un recurso muy utilizado, el tratamiento endoquirúrgico se ha simplificado al brindar mejores beneficios y menos dificultades en su implementación.
Según Fuentes Valdés E et al.10 prefieren el tubo en T antes de realizar la traqueostomía de urgencia, porque permite la respiración por vía anatómica, con la consiguiente humidificación del aire y fluidificación de las secreciones, que se traducen en menor posibilidad de obstrucción del tubo. Así mismo, ofrece una mejor calidad de vida, porque el paciente puede hablar y participar en actividades sociales con menos preocupación que con la cánula de traqueostomía, al mantener ocluida la rama externa del tubo.
El tratamiento es variado y depende de varios factores, entre ellos la edad del paciente, localización, grado de estenosis definido de forma previa mediante endoscopia, capacidad técnica de resolución, experiencia del equipo multidisciplinario que va actuar y de los materiales con los que cuenta el equipo, al partir desde la observación; traqueostomía temporal o definitiva; tratamiento endoscópico de dilatación o láser; las cirugías abiertas como: las traqueoplastías de expansión sin uso de injertos; resección traqueal más anastomosis término-terminal y el trasplante del complejo laringotraqueal o traqueal, entre otras descritas. 11,12,13,14
En el tratamiento puede ser usado el ligth amplification of stimulated, emission of radiation (LÁSER), de forma única o en combinación, donde los más usado son los de CO2 y Nd-YAG. Su uso se recomienda cuando no existe destrucción o variación importante de la anatomía de la tráquea, al ser una variante muy usada cuando el paciente no es candidato a la cirugía. 6,7
El uso de medicamentos para tratar las estenosis de la vía aérea superior se reserva para aquellas que se producen como complicación de enfermedades inflamatorias sistémicas, o como complicación de enfermedades inflamatorias intestinales donde el uso de corticoterapia sistémica y realización de traqueostomía temporal fue reportado como alternativa para solucionar la misma, método usado por Elorza A et al. 12)
Conclusiones
La estenosis traqueal por intubación prolongada y mal manejo de los protocolos de seguimiento y uso de los medios usados para la ventilación invasiva, son frecuentes, el examen físico, la laringoscopia y la tomografía axial computarizada indispensables para el diagnóstico y clasificación de la misma. La atención multidisciplinaria para el diagnóstico y tratamiento, constituye un pilar importante en la evolución final del enfermo.
Referencias bibliográficas
1. Reyes Solarte AJ. Estenosis laringotraqueal revisión de casos en el centro médico Imbanaco de cali Colombia. Rev Fac Med [Internet]. Jun-Jul 2012 [citado 12 Ene 2017];20(1):[aprox. 4 p.]. Disponible en:http://www.scielo.org.co/scielo.php?script=sci_abstract&pid=S0121-52562012000100008
2. Meraldi A, Bosio M, Campos J, Décima T, Quadrelli S, Borsini E. Estenosis subglótica idiopática, reporte de un caso. Rev am med respir [Internet]. Sep 2014 [citado 12 Ene 2017];14(3):[aprox. 5p.]. Disponible en:http://www.scielo.org.ar/scielo.php?script=sci_arttext&pid=S1852-236X2014000300018
3. Fuentes Valdés E, Martín González MA, Pérez J, Placeres Zoilo A. Estoma traqueal persistente en pacientes tratados con tubo en T por estenosis traqueal isquémica. Rev Cub Cir [Internet]. Mar 2015 [citado 20 Ago 2018];54(1):[aprox. 7 p.]. Disponible en: http://scielo.sld.cu/scielo.php?script=sci_arttext&pid=S0034-74932015000100003&lng=es
4. Duran M, Abdullayev R, Çömlekçi M, Süren M, Bülbül M, Aldemir T. Comparison of early and late percutaneous tracheotomies in adult intensive care unit. Rev Bras Anestesiol [Internet]. 2014 Nov-Dic [citado 24 Ene 2017];64(6):[aprox. 4 p.]. Disponible en: http://www.sciencedirect.com/science/article/pii/S0104001413001863
5. Blanco Rodríguez G, Hernández AG, Rivas Rivera I, Cabrera Muñoz M de L. Estenosis traqueal y aplasia pulmonar unilateral. Bol Med Hosp Infant Mex [Internet]. Jun 2014 [citado 20 Ago 2018];71(3):[aprox. 6 p.].Disponible en: http://www.scielo.org.mx/scielo.php?script=sci_arttext&pid=S1665-11462014000300008&lng=es
6. García Estrada I, Jiménez González W, Machín González VV, Madrigal G. Tratamiento de la estenosis traqueal isquémica con Nd-YAG láser. Rev Cub Cir [Internet]. Dic 2012 [citado 20 Ago 2018];51(4):[aprox. 8 p.].Disponible en: http://scielo.sld.cu/scielo.php?script=sci_arttext&pid=S0034-74932012000400006&lng=es
7. Contreras Rodríguez JM, Paredes Walters A, Loreto Niklas D, Changhua, Pilar Contreras R. Estenosis laringotraqueal: Experiencia clínica. Rev Otorrinolaringol Cir Cabeza Cuello [Internet]. Ago 2011 [citado 17 Ene 2017];71(2):[aprox. 14 p.]. Disponible en: http://www.scielo.cl/scielo.php?script=sci_arttext&pid=S0718-48162011000200002&lng=es
8. Okuda Nakataki E, Itagaki T, Onodera M, Imanaka H, Nishimura M. Complete bronchial obstruction by granuloma in a paediatric patient with translaryngeal endotracheal tube: a case report. J Med Case Rep [Internet]. 2014 Jul [citado 17 Ene 2017];24(8):[aprox. 12 p.]. Disponible en: http://www.biomedcentral.com/content/pdf/1752-1947-8-260.pdf
9. Debais M, Vilas G, Boccia CM, Isidoro R. Repermeabilización de la vía aérea con prótesis traqueobronquiales. 300 casos. Rev amer med respiratoria [Internet]. Jun 2012 [citado 17 Ene 2017];12(2):[aprox. 5 p.]. Disponible en: http://www.scielo.org.ar/scielo.php?script=sci_arttext&pid=S1852-236X2012000200002&lng=es
10. Fuentes Valdés E, Corona Mancebo SB. Reoperación en cirugía traqueal. Rev. Cub Cir [Internet]. 2015 [citado 12 Ene 2017];52(3):[aprox. 5 p.]. Disponible en: http://www.revcirugia.sld.cu/index.php/cir/article/view/53/21
11. Castro Altuna AA, Calle Delgado CA, Macías Jalkh ER. Tratamiento endoscópico de una estenosis traqueal post secuelas de tuberculosis con argón-plasma: Una nueva opción terapéutica en Ecuador. Rev am med respir [Internet]. Mar 2014 [citado 20 Ago 2018];14(1):[aprox. 8 p.]. Disponible en: http://www.scielo.org.ar/scielo.php?script=sci_arttext&pid=S1852-236X2014000100010&lng=es
12. Elorza A, Rodríguez-Lago I, Gisasola P, Gochi I, Bernal A, Cabriada JL. Afectación de la vía aérea alta en enfermedad inflamatoria intestinal. Descripción de 2 casos. Enfermedad Inflamatoria Intestinal al Día [Internet]. Sep-Dic 2017 [citado 17 Ene 2017];16(3):[aprox. 4 p.]. Disponible en: http://www.sciencedirect.com/science/article/pii/S169678011630104X
13. Fuentes Valdés E, Fuentes Bosquet RN. Infiltración traqueal por carcinoma tiroideo diferenciado. Rev Cubana Cir [Internet]. Jul-Sep 2016 [citado 16 Feb 2017];55(3):[aprox. 13 p.]. Disponible en: http://scielo.sld.cu/scielo.php?script=sci_arttext&pid=S0034-74932016000300005&lng=es
14. Horta Baas G, Hernández Cabrera MF, Catana R, Pérez Cristóbal M, Barile Fabris LA. Estenosis subglótica en granulomatosis con poliangitis (granulomatosis de Wegener): presentación de 4 casos. Reumatología Clínica [Internet]. Sep-Oct 2016 [citado 16 Feb 2017];12(5):[aprox. 8 p.]. Disponible en: http://www.sciencedirect.com/science/article/pii/S2173574316300582
Notas de autor
* Autor para la correspondencia (email) jorsan.cmw@infomed.sld.cu
Declaración de intereses