Caso clínico
Recepción: 03 Abril 2018
Aprobación: 12 Abril 2018
RESUMEN
Fundamento: la neumonía complica el 0,78-2,7 por 1 000 embarazos al estar en riesgo la madre y el feto. El empiema como complicación de una neumonía en una paciente embarazada agrega un alto índice de morbimortalidad para la madre y el feto si no se actúa de forma rápida.
Objetivo: describir el caso de una mujer de 33 semanas de embarazo, la cual desarrolló un empiema pleural producto de una complicación de una neumonía adquirida en la comunidad tratada con fibrinólisis intrapleural.
Caso clínico: paciente gestada de 33 semanas, asmática ingresada en el servicio de terapia intensiva del Hospital Universitario Manuel Ascunce Domenech con el diagnóstico de neumonía grave adquirida en la comunidad complicada con derrame paraneumónico el cual evolucionó hacia el empiema. El mismo fue tratado con tubo de toracostomía y terapia fibrinolítica, con buena evolución clínica y radiológica.
Conclusiones: la estreptoquinasa recombinante se puede utilizar de manera segura y efectiva para el manejo del empiema pleural, como agente fibrinolítico intrapleural, durante el embarazo.
DeCS: COMPLICACIONES DEL EMBARAZO, ESTREPTOQUINASA/uso terapéutico, EMPIEMA PLEURAL/tratamiento farmacológico, EMPIEMA PLEURAL/complicaciones, FIBRINOLÍTICOS.
ABSTRACT
Background: pneumonia complicates 0,78-2,7 per 1 000 pregnancies placing the mother and the fetus at risk. Empyema as a complication of pneumonia in a pregnant patient adds a high rate of morbidity and mortality to the mother and the fetus if one does not act quickly.
Objective: to present the case of a pregnant woman of 33 weeks who developed a pleural empyema resulting from acquired pneumonia.
Clinical case: 33-week gestated patient, asthmatic admitted to the intensive care unit of the University Hospital Manuel Ascunce Domenech with the diagnosis of severe pneumonia acquired in the community complicated with para-pneumonic effusion, which evolved into empyema. It was treated with a thoracotomy tube and fibrinolytic therapy, with good clinical and radiological evolution.
Conclusions: Recombinant streptokinase can be used safely and effectively for the management of PE, as an intrapleural fibrinolytic agent, during pregnancy.
DeCS: PREGNANCY COMPLICATIONS, STREPTOKINASE/therapeutic use, EMPYEMA PLEURAL/DRUG THERAPY, EMPYEMA PLEURAL/complications, FIBRINOLYTIC AGENTS/therapeutic use.
Introducción
La primera descripción de una infección pleural data de 3 000 años AC, realizada en el antiguo Egipto por el sacerdote Imhotep, según Playfair, citado por Munnell ER. (1) Corresponde a Hipócrates de Cos (460-377 AC) hace ya más de 2400 años, según Miller JI, 2 la descripción del empiema pleural (EP), su diagnóstico, así como su terapéutica, postulando la necesidad del drenaje intercostal. De la misma forma, notó que la salida de material espeso se correlacionaba con el pronóstico y sentenció: cuando la materia es pura, blanca y no fétida, el paciente curará; si es sanguinolento y sucio, morirá.
Desde los tiempos de la antigüedad clásica hasta la tercera década del siglo XX, el EP podía atribuirse a un proceso paraneumónico o tuberculoso subyacentes o como consecuencia de la evolución tórpida de un traumatismo torácico. 1,2) El conocimiento de la fisiología y por ende la fisiopatología del espacio pleural data de alrededor de 100 años. Hasta los albores del siglo XX los cirujanos temían ingresar a la cavidad pleural dado que sabían del colapso pulmonar. Por todo lo anterior expuesto la cirugía torácica se detuvo en los procederes extra pleurales hasta el desarrollo de la intubación endotraqueal, el manejo del drenaje pleural y la respiración a presión positiva. 1
La neumonía complica el 0,78-2,7 por 1 000 embarazos coloca en riesgo a la madre y el feto. Comparada con la neumonía en la mujer adulta no embarazada, la gravidez incrementa el riesgo de bacteriemia, empiema, necesidad de ventilación mecánica y otras complicaciones menos comunes. (3) El principal riesgo para el feto es el parto y nacimiento pretermino con bajo peso y la subsecuente morbilidad y mortalidad. El Estreptococo pneumoniae constituye el patógeno más común implicado en la neumonía adquirida en la comunidad durante el embarazo. (3,4
La estreptoquinasa es un agente fibrinolítico usado para una variedad de condiciones que incluye el tratamiento de derrames pleurales paraneumónicos complicados. 5 La eficacia de la estreptoquinasa intrapleural es beneficiosa sobre el tubo de toracostomía solo, así como su potencialidad en evitar la necesidad de una intervención quirúrgica. 5,6 A luz de los conocimientos actuales y reportes nacionales, es el primer caso reportado en Cuba tratado con estreptoquinasa recombinante en el embarazo.
Caso clínico
Paciente de 32 años de edad, blanca, femenina, con antecedentes de asma bronquial desde la infancia sin tratamiento regular, fumadora, con gestación de 33 semanas de bajo riesgo obstétrico que el día 14 de diciembre de 2017 comienza con dolor torácico que aumenta con la inspiración profunda y es interpretado en su área de salud de forma inicial como una neuralgia intercostal llevaba tratamiento con analgésicos y relajantes musculares sin encontrar alivio del mismo con estos medicamentos. Al tercer día el dolor se hace más intenso, se asocia con disnea, la tos seca inicial se hace húmeda con escasa expectoración, se realiza valoración clínica y se decide traslado al servicio de cuidados intensivos del Hospital Universitario Manuel Ascunce Domenech, donde, se ingresa para estudio y tratamiento. A su llegada se constata la presencia de dolor en forma de punta de costado con polipnea ligera y tos húmeda ocasional.
Examen físico
Panículo adiposo: infiltrado ligero a nivel maleolar en ambos miembros inferiores.
Sistema respiratorio: murmullo vesicular disminuido en base pulmonar derecha y abolido en base pulmonar izquierda sin la presencia de estertores.
Frecuencia respiratoria: 26 por minuto.
Sistema cardiovascular: ruidos cardíacos rítmicos, taquicárdicos con pulsos periféricos de buen tono sin soplo.
Presión arterial: 110/60 mmHg
Frecuencia cardíaca: 136 por minuto.
Abdomen: útero gestado con movimientos fetales referidos, peloteo fetal.
Estudios analísticos realizados al ingreso
Hematocrito: 0.33 Vol. /%
Leucocitos: 10 × 109/ l
Polimorfos nucleares 0,82 %
Linfocitos: 0,18 %
Eritrosedimentación: 36 mm / h
Plaquetas: 200 x 10 X 10 9/ litro.
Tiempo de protrombina: control 14 segundos, paciente 16 segundos
Aspartato aminotransferasa: 29 U.I
Ganma glutamiltranspeptidasa: 33 U.I.
Lactato deshidrogenasa: 250 U.I.
Glucemia: 3,5 mol / l
Creatinina: 47 mol / l
Electrocardiograma: taquicardia sinusal, patrón S1QT3 (signo de Mc Guinn-White).
Radiografía de tórax posteroanterior del (16 de diciembre de 2017): discreto reforzamiento de la trama pulmonar en hemitórax derecho y opacidad en velo del hemitórax izquierdo hacia la base con aspecto de condensación inflamatoria.
Ultrasonido de tórax: hidrotórax izquierdo de pequeña cuantía.
Se tuvo en cuenta el estado procoagulante del embarazo al ser un factor de riesgo para la enfermedad tromboembólica, la forma súbita de presentación de las manifestaciones clínicas, los hallazgos electrocardiográficos y radiológicos encontrados se decide realizar otros estudios para descartar tromboembolismo pulmonar (TEP) como dímero D, ultrasonido por compresión venosa y ecocardiografía los cuales fueron normales. Por todo lo anterior se planteó el diagnóstico de neumonía extrahospitalaria complicada con derrame pleural izquierdo, se le puso el tratamiento con antimicrobianos (cefalosporinas de tercera generación, macrólidos, oseltamivir) así como analgesia con opioides.
La evolución clínica y radiológica no fueron buenas por lo que en la discusión en colectivo (Terapia Intensiva, Neumología y Cirugía General) se decide realizar punción pleural con estudios del líquido de la cual se obtiene 215 ml de líquido seroso de aspecto turbio en el análisis citoquímico, rivalta positivo y células 5 600 x 109 así como un test de Gram positivo a germen Gram positivo. Se plantea el diagnóstico de empiema pleural agudo por lo que se decide agregar lincosaminas al tratamiento se deja la cefalosporina de cuarta generación (clindamicina 600 mg cada 8 horas y cefepime 2 g cada 8 horas).
Luego ante la evolución no satisfactoria de la enferma se decide realizar tomografía axial computarizada simple de pulmón, que informa: presencia de moderada cuantía de líquido en cavidad pleural izquierda que provoca colapso parcial del pulmón en su lóbulo inferior con desplazamiento del mediastino y sus estructuras (tráquea y grandes vasos) hacia la derecha (Fig. 1).

Se plantea el diagnóstico de empiema pleural subagudo por lo cual se realiza pleurotomía mínima baja y se extrae aproximadamente 500 ml de líquido purulento espeso.
Se realiza tratamiento fibrinolítico con estreptoquinasa recombinante a dosis de 100 000 U diluida en 100 ml de solución salina al 0,9 % a través del tubo de pleurostomía se cierra por un período de 4 horas, se le indico a la paciente realizar cambios de posición en el decúbito (lateral derecho e izquierdo). Posterior a este lapso de tiempo, se abrió la sonda bajo aspiración y se obtuvo líquido purulento con esfacelos, por lo cual se realizó lavado de la cavidad pleural con 500 ml de solución salina al 0,9 %. La paciente refirió durante el proceder, discreto dolor el cual alivió con los analgésicos.
El día 30 de diciembre de 2017 al observar en el estudio radiológico evolutivo mejoría evidente, se aplica una segunda dosis igual a la anterior. En esta ocasión el líquido que se obtuvo del lavado y la aspiración fue claro.
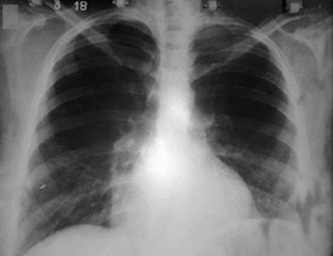
La evolución clínica y radiológica fue satisfactoria. La sonda de pleurotomía fue retirada el día 31 de diciembre de 2017 y la enferma es trasladada al hospital materno provincial el día 2 de enero de 2018 para continuidad y seguimiento del embarazo, el cual culmina sin complicaciones por parto eutócico. Se realiza control radiológico a los 30 días del puerperio, el cual es normal (Fig. 2).

Discusión
Al brindar los cuidados a la paciente embarazada enferma, de forma aguda, el equipo a su cargo está en un constante desafío de un mayor riesgo de morbilidad y mortalidad para la grávida y el feto. 3,7 Si se aplica el axioma ético de que el tratamiento de la mujer embarazada no debe verse comprometido por consideraciones obstétricas, puede ser un reto aplicar algún tipo de tratamiento no frecuente, a la luz de los deseos de la paciente y las diferentes opiniones de los médicos tratantes. 8,9,10
La neumonía durante el embarazo plantea un aumento significativo de los riesgos para la madre y el feto. 4,5 Aunque la incidencia parece variar debido a factores demográficos y epidemiológicos, se cita como la principal causa infecciosa de muerte no obstétrica. La condición de gravedad está dada en ocasiones por bacteriemia en hasta el 16 % de los casos, empiema en el 8 % y en un incremento de la tasa de ventilación mecánica.
El feto se enfrenta con un aumento del riesgo de desprendimiento de la placenta, nacimiento prematuro, bajo peso al nacer con la subsiguiente morbilidad y mortalidad. Aunque la neumonía adquirida en la comunidad en una grávida joven y saludable es por lo general bien tolerada, los riesgos mencionados con anterioridad no deben pasarse por alto. (11,12,13
El tratamiento del EP, ha variado poco a lo largo de la historia y se han mantenido bajo los principios del uso de antibióticos, así como del drenaje para evitar la etapa organizada (fase crónica) donde la decorticación es mandatoria con una no despreciable morbimortalidad asociada. 1,2,7
La estreptoquinasa recombinante humana es una opción terapéutica para el tratamiento de EP loculado. Identificada en 1933 por Tillett WS y Sherry S, 14 utilizada, por primera vez en un ensayo terapéutico para disolver un derrame pleural en 1948, citado por Idell S et al. 15 Su papel, beneficio y ventajas sobre la toracostomía con sonda pleural única y cirugía convencional como la decorticación abierta o la cirugía torácica videoasistida es un motivo de amplio debate, 16 Lo cual se debe al bajo número de ensayos clínicos aleatorizados de su eficacia y efectividad.
La relevancia de este caso está dada en que el resultado satisfactorio y el rescate de la paciente de un proceder quirúrgico mayor se realizó por el uso de toracostomía por sonda y el uso del agente fibrinolítico (estreptoquinasa recombinante) con el objetivo de evitar la cronicidad, lo cual añadiría un riesgo de morbimortalidad elevado. 17 Todo lo anterior refuerza la teoría de considerar subgrupos seleccionados de pacientes (como el empiema pleural en el embarazo) en las decisiones con respecto a la eficacia potencial de la terapia fibrinolítica intrapleural. La vida media limitada de la estreptoquinasa es otra ventaja en el entorno de la paciente gestante y la necesidad de evitar los efectos sistémicos. 15,18,19
La paciente reportada, se trató según el algoritmo de tratamiento propuesto por la British Thoracic Society. (20
Conclusiones
La necesidad de un drenaje oportuno fue evidente luego de obtener los resultados de la toracentesis. El uso intrapleural de estreptoquinasa recombinante como complemento de la toracostomía con tubo y los antibióticos, fue seguido por una resolución rápida del empiema acompañada de la mejoría clínica. La estreptoquinasa recombinante se puede utilizar de manera segura y efectiva para el manejo del EP, como agente fibrinolítico intrapleural, durante el embarazo.
Referencias bibliográficas
1. Munnell ER. Thoracic drainage. Ann Thorac Surg. 1997;63(5):1497-502.
2. Miller JI. The history of surgery of empyema, thoracoplasty, Eloesser flap, and muscle flap transposition. Chest Surg Clin N Am. 2000;10(1):45-53.
3. Burgess JR, Smith B, Britt R, Weireter L, Polk T. Predicting Postoperative Complications for Acute Care Surgery Patients Using the ACS NSQIP Surgical Risk Calculator. Am Surg. 2017;83(7):733-8.
4. Oshodi T, Carlan SJ, Busowski M, Sand ME. Video assisted thoracic surgery in a second trimester pregnant woman with thoracic empyema: a case report. J Reprod Med. 2015;60(3-4):172-4.
5. Liao JP, Wang GF, Jin Z, Qian Y, Deng J, Que CL. Severe pneumonia caused by adenovirus 7 in pregnant woman: Case report and review of the literature. J Obstet Gynaecol Res. 2016;42(9):1194-7.
6. Altmann E. Efficacy of intrapleural instillation of fibrinolytics for treating pleural empyema and parapneumonic effusion: appropriateness of including paediatric trials in meta-analysis. Clin Respir J. 2016;10(5):676.
7. Zago M, Bozzo S, Carrara G, Mariani D. Failure to Rescue, Rescue Surgery and Centralization of Postoperative Complications: A Challenge for General and Acute Care Surgeons. Chirurgia (Bucur). 2017;112(5):538-45.
8. Reichert M, Hecker M, Witte B, Bodner J, Padberg W, Weigand MA, et al. Stage-directed therapy of pleural empyema. Langenbeck Arch Surg. 2017;402(1):15-26.
9. Redden MD, Chin TY, van Driel ML. Surgical versus non-surgical management for pleural empyema. Cochrane Database of Systematic Reviews [Internet]. 2017 [citado 22 Ago 2018];3(CD010651):[aprox. 59 p.]. Disponible en: https://www.cochranelibrary.com/cdsr/doi/10.1002/14651858.CD010651.pub2/full
10. Rahman NM. Intrapleural agents for pleural infection: fibrinolytics and beyond. Curr Opin Pulm Med. 2012;18(4):326-32.
11. Birkenkamp K, O'Horo JC, Kashyap R, Kloesel B, Lahr BD, Daniels CE, et al. Empyema management: A cohort study evaluating antimicrobial therapy. J Infect. 2016;72(5):537-43.
12. Dabo H, Meira L, Neves I, Marinho A, Gomes I. Combined intrapleural therapy in infectious pleural effusion. Rev Port Pneumol. 2015;21(2):105-6.
13. Ferreiro L, San Jose ME, Valdes L. Management of Parapneumonic Pleural Effusion in Adults. Arch Bronconeumol. 2015;51(12):637-46.
14. Tillett WS, Sherry S. The effect in patients of streptococcal fibrinolysin and streptococcal desoxyribonuclease on fibrinous, purulent, and sanguinous pleural exudations. J Clin Invest. 1949;28(1):173-90.
15. Idell S, Florova G, Shetty S, Tucker T, Idell R, Koenig K, et al. Precision-guided, Personalized Intrapleural Fibrinolytic Therapy for Empyema and Complicated Parapneumonic Pleural Effusions: The Case for the Fibrinolytic Potential. Clin Pulm Med. 2017;24(4):163-9.
16. Nie W, Liu Y, Ye J, Shi L, Shao F, Ying K, et al. Efficacy of intrapleural instillation of fibrinolytics for treating pleural empyema and parapneumonic effusion: a meta-analysis of randomized control trials. Clin Respir J. 2014;8(3):281-91.
17. Breen DP, Daneshvar C. Role of interventional pulmonology in the management of complicated parapneumonic pleural effusions and empyema. Respirology. 2014;19(7):970-8.
18. Raymond D. Surgical intervention for thoracic infections. Surg Clin North Am. 2014;94(6):1283-303.
19. Worrell SG, Demeester SR. Thoracic emergencies. Surg Clin North Am. 2014;94(1):183-91.
20. Davies HE, Davies RJ, Davies CW, Group BTSPDG. Management of pleural infection in adults: British Thoracic Society Pleural Disease Guideline 2010. Thorax. 2010;65 Suppl 2: 41-53.
Notas de autor
* Autor para la correspondencia (email) grmiguel.cmw@infomed.sld.cu
Declaración de intereses