Caso clínico
Hernia hiatal tipo IV: presentación de caso
Hiatal hernia type IV: case presentation
Hernia hiatal tipo IV: presentación de caso
Revista Archivo Médico de Camagüey, vol. 24, núm. 1, e6701, 2020
Editorial Ciencias Médicas Camagüey
Recepción: 03 Mayo 2019
Aprobación: 16 Agosto 2019
RESUMEN
Fundamento: la hernia hiatal es la anormalidad más frecuente del tracto digestivo superior, se clasifica en cuatro tipos, estas hernias pueden ser por deslizamiento y paraesofágicas, estas últimas de presentación mucho menos frecuente en la práctica clínica como es el caso que se presentó tipo IV; la mayoría son asintomáticas son descubiertas incidentalmente en radiografías de tórax o en tomografía computarizada multicorte y cuando son sintomáticas muchas veces están asociadas a complicación.
Objetivo: presentar un paciente con hernia hiatal tipo IV diagnosticada por tomografía computarizada multicorte.
Presentación del caso: paciente masculino, de 58 años de edad, con antecedentes de hipertensión arterial, que refiere presentar una hernia diafragmática diagnosticada hace 15 años, que presenta dolor abdominal a tipo cólico de moderada intensidad acompañado de distensión abdominal eructos, vómitos y disnea. Al examen físico, abdomen globuloso que sigue los movimientos respiratorios, doloroso a la palpación superficial y profunda. En el tórax se auscultan ruidos hidroaéreos en el lado derecho. La tomografía computarizada multicorte demuestra la herniación de estómago, colon transverso y epiplón en hemitórax derecho a través del hiato esofágico.
Conclusiones: las hernias hiatales son las anomalías más frecuentes del tracto digestivo superior pero las gigantes tipo IV con herniación de otras estructuras abdominales, como colon, omento, intestino delgado, hígado y páncreas son una forma infrecuente de presentación de las mismas. La tomografía computarizada multicorte y el estudio baritado de esófago-estómago-duodeno, resultan fundamentales para el diagnóstico y caracterización de estas lesiones.
Palabras Claves: HERNIA HIATAL/clasificación+ HERNIA HIATAL/diagnóstico por imagen+ ENEMA OPACO/métodos+ TOMOGRAFÍA COMPUTARIZADA MULTIDETECTOR+ INFORMES DE CASOS.
ABSTRACT
Background: the hiatal hernia is the most frequent abnormality of the upper digestive tract, which are classified into four types, these hernias can be by sliding and paraesophageal, the latter being much less frequent presentation in clinical practice as is the case presented type IV; most of them are asymptomatic and are discovered incidentally on chest x-rays or multi-slice CT and when they are symptomatic they are often associated with complications.
Objective: to describe a patient with hiatal hernia type IV diagnosed by multi-slice CT.
Case report: a 58-year-old male patient with a history of arterial hypertension, who reported having a diaphragmatic hernia diagnosed 15 years ago, who presents with abdominal pain with a moderate intensity of colic accompanied by abdominal distension, belching, vomiting, and dyspnea. At physical examination, globular abdomen that follows the respiratory movements, painful to superficial and deep palpation. Hydro-aerial noises are heard in the right side of the thorax. Multi-slice CT shows herniation of the stomach, transverse colon and omentum in the right chest cavity through the esophageal hiatus.
Conclusions: hiatal hernias are the most frequent anomalies of the upper digestive tract but type IV giants with herniation of other abdominal structures, such as colon, omentum, small intestine, liver and pancreas are an infrequent form of presentation of them. Multi-slice CT and barium study of the esophagus, stomach and duodenum are fundamental for the diagnosis and characterization of these lesions.
Keywords: HERNIA, HIATAL/classification, HERNIA, HIATAL/diagnostic imaging, BARIUM ENEMA/methods, MULTIDETECTOR COMPUTED TOMOGRAPHY, CASE REPORTS.
INTRODUCCIÓN
La hernia hiatal es definida como el paso de cualquier estructura a través del hiato esofágico en el diafragma hacia el tórax, por lo general es un padecimiento adquirido en el que se invocan diferentes causas como el aumento de la presión intraabdominal, la atrofia o debilidad de la membrana frenicoesofagica y de los pilares diafragmáticos. En 1510 Ambrose Pare la describió por primera vez una hernia a través del hiato esofágico, y en 1919 el doctor Angelo Luici Soresi, publicó el primer caso reportado por la literatura médica de una corrección quirúrgica de una hernia hiatal con un abordaje transabdominal. (1
La hernia hiatal es la anormalidad más frecuente del tracto digestivo superior pero la hernia hiatal gigante (Tipo IV) con estómago intratorácico es una enfermedad poco frecuente, estas hernias pueden ser por deslizamiento y paraesofágicas, la mayoría de ellas son hernias por deslizamiento, que cuando se hernia todo el estómago hacia el tórax habitualmente estas se asocian a rotación gástrica órgano-axial, y pueden presentar complicaciones como vólvulo, perforación u obstrucción gástrica. 1,2 La mayoría de ellas son asintomáticas y son descubiertas de forma incidental en radiografías de tórax o en tomografía axial computarizada. El estudio con imágenes, en especial la tomografía computada multidetector y estudio baritado de esófago-estómago-duodeno, resultan fundamentales para el diagnóstico y caracterización de estas lesiones. 3,4 El tratamiento es quirúrgico, sea por cirugía abierta o laparoscópica.
Fue objetivo de los autores presentar un caso de hernia hiatal tipo IV, diagnosticada por tomografía axial computarizada multicortes (TACM), por lo infrecuente de su incidencia en la práctica médica.
PRESENTACIÓN DEL CASO
Paciente masculino, de 58 años de edad, con antecedentes de hipertensión arterial, que refiere presentar una hernia diafragmática diagnosticada hace 15 años, que acude por presentar dolor abdominal a tipo cólico de moderada intensidad acompañado de distensión abdominal eructos y vómitos así como disnea.
Datos positivos al examen físico: abdomen globuloso que sigue los movimientos respiratorios, doloroso a la palpación superficial y profunda. En el tórax se auscultan ruidos hidroaéreos en el lado derecho.
Al paciente se le realizó una radiografía de tórax PA, visualizándose unas imágenes aéreas en hemitórax derecho que comunican con el abdomen, con el aspecto de vísceras abdominales (Figura 1).

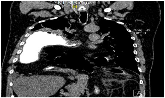
Tomografía computarizada de tórax y abdomen en la cual se observa la presencia de todo el estómago en el hemitórax derecho acompañado de la presencia de parte del colon transverso y epiplón mayor, los cuales se han herniado a través del hiato esofágico (Figura 2).

Se decidió su ingreso para tratamiento quirúrgico. Dentro de los exámenes preoperatorios se le realizó también estudio baritado de esófago, estómago y duodeno que aportó el dato de que la hernia se asociaba con un esófago corto (Figura 3).

Todos los exámenes analíticos fueron normales. En el acto quirúrgico se realizó laparotomía por incisión media supraumbilical, se localizó gran defecto herniario del hiato esofágico, se reintegran a través del abdomen el colon transverso, epiplón mayor y todo el estómago introducidos en el hemitórax derecho. Se reparó el anillo herniario a través de sus pilares, se complementó la cirugía con una gastropexia a los hemidiafragmas y a la pared abdominal anterior a través de una gastrostomía ya que no se realizó técnica antirreflujo por presentar un esófago extremadamente corto.
Al alta del paciente se le realizó una radiografía de tórax PA evolutiva donde solo se apreció un velamiento del hemitórax derecho que se interpretó como una pleuritis residual al acto quirúrgico (Figura 4).

DISCUSIÓN
Por lo general las hernias hiatales contienen solo la porción proximal del estómago, pero en ocasiones el estómago completo puede herniarse hacia el tórax, en estos casos, el estómago asume una posición invertida, con la curvatura mayor superior a la curvatura menor, hecho que fue observado en el caso que se presenta, en otras ocasiones, el fondo y parte del cuerpo gástrico pueden retornar, a través del hiato esofágico, a su posición normal infradiafragmática, dejando sólo a la porción distal del estómago en el tórax.
En la literatura, las hernias hiatales están clasificadas en cuatro categorías según la localización de la unión gastroesofágica, el contenido y la presencia o no de saco herniario: 1,5
Tipo 1: corresponde a la hernia hiatal por deslizamiento. La unión esófago-gástrica está desplazada hacia el tórax, debido a debilidad y elongación de la membrana frénico-esofágica. Constituye el 95 % de todas las hernias hiatales.
Tipo 2: corresponde a la hernia hiatal paraesofágica. Existe un defecto focal, por lo general en el aspecto antero-lateral de la membrana frénico esofágica. El cardias y la unión esófago-gástrica permanecen por debajo del diafragma. El fondo gástrico de manera usual encabeza la herniación, pero todo el estómago puede migrar hacia cefálico, constituye un estómago intratorácico.
Tipo 3: es una hernia hiatal mixta, con componente por deslizamiento y paraesofágico. Por lo general es una hernia grande, asociada a rotación gástrica.
Tipo 4: es una hernia tipo 3, que además posee herniación de otras estructuras abdominales, como colon, omento, intestino delgado o hígado.
Bermúdez M, 6 propone las hernias hiatales tipo V, las que corresponderían a las hernias tipo II, en las cuales protruyen los órganos ya enumerados en las tipo IV.
La hernia hiatal paraesofágica tipo IV es un defecto diafragmático que crece de forma progresiva al permitir el paso además del estómago, de otros órganos intra abdominales dentro del tórax, existen reportes incluso de herniación del páncreas como los realizados por Mora-Guzmán I et al. 7 y Banimostafavi ES et al. 8 En el paciente, los órganos que se encontraron dentro del saco herniario fueron estómago, colon transverso y epiplón, los cuales son los órganos más frecuentes que pasan a través del defecto herniario.
La mayoría de las hernias son descubiertas como hallazgo incidental en radiografías de tórax o tomografía computarizada sin presentar síntomas importantes. Los síntomas más frecuentes son dispepsia, ardor y dolor epigástrico, pero en aquellos pacientes que presentan complicaciones es donde aparecen la mayoría de las manifestaciones clínicas, rara vez estos pacientes aquejan infecciones pulmonares por aspiración del contenido gástrico. En el caso el paciente fue diagnosticado de manera inicial como una hernia diafragmática pero que por la sintomatología que presentó al acudir al servicio de urgencia motivo la realización de una radiografía y TACM de tórax, las cuales revelaron que se trataba de una hernia hiatal gigante tipo IV, que luego se complementó con un estudio baritado de esófago estómago y duodeno donde se pudo demostrar que la hernia se asociaba con la presencia de un esófago corto, lo cual es de gran importancia para la decisión de la técnica quirúrgica a emplear.
Respecto al estudio por imágenes, las hernias hiatales gigantes con estómago intratorácico pueden manifestarse como masas mediastínicas incidentales en la radiografía de tórax, donde se ven proyectadas por detrás del corazón, en el mediastino posterior, muchas veces con un nivel hidroaéreo, en el caso se encontró la presencia de imágenes aéreas en el hemitórax derecho que correspondían con el estómago y colon transverso.
Con el uso de la TACM, en particular con reconstrucciones multiplanares, fue posible caracterizar con detalle la anatomía de la hernia y definir de qué tipo se trataba, establecer que existía rotación gástrica y evaluar la herniación de otras estructuras abdominales además del estómago como el colon transverso y epiplón mayor y, por último, establecer la ausencia de complicaciones como vólvulo o perforación gástrica.
El estudio baritado esófago-estómago-duodeno también fue fundamental para caracterizar la hernia ya que entregó información detallada respecto a la anatomía, para determinar el tamaño de la hernia y la posición de la unión esófago-gástrica, de gran utilidad en la planificación quirúrgica, todo lo cual está establecido. 3,9,10
CONCLUSIONES
Las hernias hiatales son las anomalías más frecuentes del tracto digestivo superior pero las gigantes tipo IV con herniación de otras estructuras abdominales, como colon, omento, intestino delgado, hígado y páncreas son una forma infrecuente de presentación de las mismas. La tomografía computada multicorte y el estudio baritado de esófago-estómago-duodeno, resultan fundamentales para el diagnóstico y caracterización de estas lesiones.
REFERENCIAS BIBLIOGRÁFICAS
1. Villarreal R, Bernal F, Cabrera LF, Sánchez Ussa S, Pedraza M. Hernia hiatal mixta con vólvulo gástrico intratorácico: reporte de caso y revisión de la literatura. Rev Hispanoam Hernia. 2018;6(4):186-190.
2. Marinos CM, Moris D, Yettimis E, Varsamidakis N. Type IV paraesophageal hernia as a cause of ileus: Report of a case. Int J Surg Case Rep. 2015;6:43-45.
3. Madriz W, Víctor Alvarado VH, Jaén J. Diagnóstico radiológico de hernia hiatal (Revisión bibliográfica y presentación de casos). Rev Med Cos Cen. 2008;65(583):103-108.
4. Yu HX, Han CS, Xue JR, Han ZF, Xin H. Esophagealhiatal hernia: risk, diagnosis and management. Expert Rev Gastroenterol Hepatol. 2018;12(4):319-329.
5. Pérez JJ, Viscarra JF, Ríos CG. Hernia hiatal: un desafío diagnóstico y terapéutico. A propósito de un caso. MÉD UIS. 2017;30(2):83-8.
6. Bermúdez M. Gran hernia paraesofágica con estómago intratorácico total. Informe de un caso y revisión de la literatura. Rev Col Gastroenterol. 2006;21(1):64-69.
7. Mora-Guzmán I, del-Pozo-Jiménez JA, Martín-Pérez E. A giant hiatal hernia and intrathoracic pancreas. Rev Esp Enferm Dig. 2017;109(6):458-459.
8. Banimostafavi ES, Tayebi M. Large hiatal hernia with pancreatic body herniation: Case-report. Ann Med Surg. 2018;28:20-22.
9. Farhat A, Towle D. Incidental Hiatal Hernia on Chest X-ray. JETem. 2018;3(3):29-30.
10. Weitzendorfer M, Köhler G, Antoniou SA, Pallwein Prettner L, Manzenreiter L, Schredl P, et al. Preoperative diagnosis of hiatal hernia: barium swallow X ray, high-resolution manometry, or endoscopy? Eur Surg. 2017;49:210-217.
Notas de autor
*Autor por correspondencia (email): hectorpr.cmw@infomed.sld.cu
Declaración de intereses