Artículo de revisión
Medición del defecto óseo del reborde glenoideo anterior en la inestabilidad glenohumeral
Measurement of the anterior glenoid rim defect in glenohumeral instability
Medición del defecto óseo del reborde glenoideo anterior en la inestabilidad glenohumeral
Revista Archivo Médico de Camagüey, vol. 24, núm. 1, e6288, 2020
Editorial Ciencias Médicas Camagüey
Recepción: 06 Noviembre 2018
Aprobación: 28 Junio 2019
RESUMEN
Fundamento: la inestabilidad de la articulación glenohumeral es una enfermedad frecuente en especial en pacientes jóvenes, la medición preoperatoria de lesiones óseas en el reborde glenoideo anterior permite seleccionar el tratamiento quirúrgico más adecuado para cada paciente.
Objetivo: proponer un método de medición factible para el defecto óseo anterior de la glenoides en enfermos con inestabilidad glenohumeral.
Métodos: la búsqueda y análisis de la información se realizó en un periodo de cuatro meses (primero de mayo de 2018 al 31 de agosto de 2018) y se emplearon las siguientes palabras: glenoid bone loss, Bankart lesions, shoulder instability, unstable shoulder a partir de la información obtenida se realizó una revisión bibliográfica de un total de 352 artículos publicados en las bases de datos PubMed, Hinari, SciELO y Medline mediante el gestor de búsqueda y administrador de referencias EndNote, de ellos se utilizaron 46 citas seleccionadas para realizar la revisión, todas dentro de los últimos cinco años.
Resultados: se mencionan la incidencia, importancia de los métodos de medición, entre los que se encuentran el del diámetro, área y comparativos bilaterales, en relación a los dos primeros se plasman las ventajas y desventajas. Se describe la técnica por pasos para realizar las mediciones.
Conclusiones: los métodos de medición propuestos son factibles de realizar en el medio y permiten decidir la técnica quirúrgica a emplear en cada caso.
Palabras Clave: ARTICULACIÓN DEL HOMBRO/cirugía+ LESIONES DEL HOMBRO/cirugía+ ARTROSCOPÍA+ LESIONES DE BANKART/cirugía+ INESTABILIDAD DE LA ARTICULACIÓN.
ABSTRACT
Background: shoulder instability is a common desease, affecting mainly young patients, before surgery measures of anterior glenoid bone loss is crucial to define surgical treatment modality in each patient.
Objetive: this review aims to provide a method to measure anterior glenoid bone loss in patients suffering from unstable shoulders.
Methods: a four month research was conducted from May 1st 2018 to August 31th 2018. Our review included 352 articles published in PubMed, Hinari, SciELO and Medline databases by using EndNote. The words used were glenoid bone loss, Bankart lesions, shoulder instability, unstable shoulder. Forty six selected citations, all them within the last five years, were used to write the present paper.
Results: incidence and importance of measure methods of anterior glenoid bone loss were mentioned, among them: diameter based and surface area methods, beside comparative one. In regards to the first two, advantages and disadvantages were pointed out. The technique was described by steps to measure bone defect.
Conclusions: the proposed measure methods can be used in our health institutions and are useful to decide surgical plan.
Keywords: SHOULDER JOINT/surgery, SHOULDER INJURIES/surgery, ARTHROSCOPY, BANKART LESIONS/surgery, JOINT INSTABILITY.
INTRODUCCIÓN
Según Jawa A et al. 1 la inestabilidad glenohumeral es la más frecuente del cuerpo humano y llega a representar un 45 % de todas estas afecciones traumáticas. La incidencia de esta enfermedad en Estados Unidos de América es del 11,2 al 23,9 por cada 100 000 habitantes.
El rango de edades donde más se detecta la inestabilidad glenohumeral es de 20 a 29 años con el 46,8 % de todas las luxaciones, es una enfermedad que afecta en lo fundamental a pacientes jóvenes. 2,3,4
La posibilidad que una lesión aguda se convierta en recurrente es alta y puedes ser del 30 al 90 % de los casos, por esta razón se justifica el tratamiento quirúrgico. 5,6,7,8) Para el tratamiento quirúrgico de esta enfermedad existen una gran variedad de técnicas tanto abiertas como artroscópicas, 9,10,11 de allí la importancia de detectar de manera preoperatoria las principales lesiones que están presente en el enfermo con inestabilidad glenohumeral crónica. Una de estas lesiones es la descrita por Bankart ASB citado por Maiotti M et al. 12 que se sitúa desde el punto de vista anatómico en el borde glenoideo antero-inferior y puede ser de diferente magnitud.
La incidencia de la lesión de Bankart ASB en pacientes con inestabilidad glenohumeral según Shaffer B et al. 13 varía del 4 al 70 %, y su tratamiento está en dependencia de la magnitud de la lesión, que puede ser mediante la colocación de anclas artroscópicas o bloque óseo anterior. 14,15,16
Debido a lo frecuente de la lesión descrita por Bankart ASB en pacientes con inestabilidad glenohumeral, la necesidad de una evaluación preoperatoria efectiva, para seleccionar la técnica quirúrgica apropiada y la ausencia de publicaciones nacionales con relación a este tema, los autores de la investigación proponen un método factible de medición del defecto óseo de la glenoides, para ser aplicado en el país.
MÉTODOS
La búsqueda y análisis de la información se realizó en un periodo de cuatro meses (primero de mayo de 2018 al 31 de agosto de 2018) y se emplearon las siguientes palabras: glenoid bone loss, Bankart lesions, shoulder instability, unstable shoulder a partir de la información obtenida se realizó una revisión bibliográfica de un total de 352 artículos publicados en las bases de datos PubMed, Hinari, SciELO y Medline mediante el gestor de búsqueda y administrador de referencias EndNote, de ellos se utilizaron 46 citas seleccionadas para realizar la revisión, todas dentro de los últimos cinco años.
Se consideraron estudios de pacientes con inestabilidad glenohumeral debido a lesión de Bankart ASB.
Para la medición de la glenoides se utilizó el software libre ImageJ ubicado en el sitio https://es.wikipedia.org/wiki/ImageJ y el programa power point.
DESARROLLO
La superficie articular de la glenoides tiene forma de pera invertida, la confirmación de la magnitud de la lesión de Bankart ASB desde el punto de vista preoperatorio es importante, ya que cuando existe una lesión que afecta del 20 al 25 % de diámetro, las técnicas sobre las partes blandas no tienen un buen resultado. 17,18,19
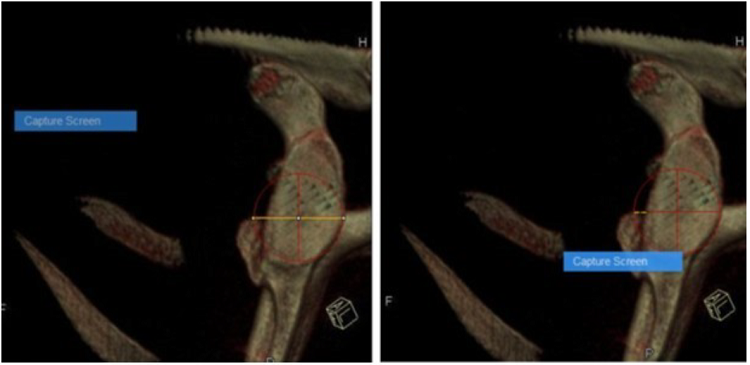
La radiografía simple del hombro no es útil, para la medición del defecto óseo del reborde glenoideo anterior, de allí la necesidad de la tomografía axial computarizada, que mediante sus cortes y posibilidad de aplicar técnicas de imagen reconstructivas, permite aislar en imágenes la glenoides, para de esta manera hacer las mediciones con exactitud (Figura 1). 20,21,22,23

La medición del defecto óseo preoperatorio permite definir y preparar al cirujano, para la cirugía a realizar. Una lesión que no llega al 20 % tiene grandes posibilidades de responder a la modalidad de fijación con anclas a nivel del defecto. 24,25,26,27
En caso de lesiones que superan el 20 % es necesario utilizar métodos quirúrgicos que repongan el defecto óseo ya sea por bloques óseos provenientes de cresta iliaca, tibial o la técnica de Latarjet M citada por Cautiero M et al., 28 Ernstbrunner L et al., 29 Frank RM et al., 30 y McHale KJ et al. 31
Los métodos de medición del defecto óseo de la glenoides son diversos, necesitan de una interacción estrecha entre radiólogos y ortopédicos, en especial los que abordan la articulación del hombro, entre estas modalidades se encuentran: método del diámetro, área y comparativo de ambas glenoides. 32,33,34) Según Hamamoto JT et al. 35 los métodos del diámetro y área tienen varias ventajas y desventajas (Cuadro 1).

Para empezar a explicar las mediciones de la glenoides, el primer paso es realizar una tomografía axial computarizada de las articulaciones de ambos hombros, mediante substracción digital se elimina la imagen la cabeza humeral y se observa la glenoides en toda su extensión.
Una vez que se tiene la glenoides, se lleva esta imagen al power point , donde se dibujan los círculos perfectos que abarcan toda la cavidad glenoidea, mediante la opción insertar y formas, una vez dibujado el círculo, la imagen se guarda en formato de intercambio de archivos JPEG, luego se abre el programa ImageJ, donde se seleccionan las opciones Analyse y Measure, se traza y se mide la línea de todo el diámetro del círculo y del defecto, el programa brinda las mediciones y se realiza el siguiente calculo: porcentaje de hueso perdido=( diámetro del defecto/diámetro del círculo) x 100, esta fórmula brinda el porcentaje (Figura 2). 35

Autores como Schneider AK et al. 34 y Hamamoto JT et al. 35) consideran que el método del diámetro sobre-estima la medición del defecto en acerca un 4 %. En relación al método del área, se siguen los mismos pasos iniciales al del círculo, pero una vez en el programa ImageJ, mediante la opción Analyse y Measure, se obtienen estas mediciones del área del círculo y la afectada, luego se procede a la siguiente fórmula, porcentaje de hueso perdido= (área de superficie del defecto/área del círculo de la glenoides) x 100 (Figura 3). 35

La medición comparativa de ambas glenoides en ancho y altura resulta de gran ayuda para determinar el grado de afección por pérdida ósea de la glenoides, de allí la siguiente fórmula (1-W2/ W2') x 100, el resultado se expresa en porciento del áera sana (Figura 4). 23

Aunque existen otros métodos de medición del defecto óseo de la glenoides se consideran los tres descritos de gran importancia para la evaluación preoperatoria. La literatura consultada, 36,37,38 está de acuerdo de manera uniforme que los pacientes con afección ósea de un 20 a un 25 % necesitan de técnicas quirúrgicas, que repongan el defecto óseo de la región anterior de la glenoides, ya que la fijación con anclas artroscópicas se asocia a un alto porcentaje de fallos que oscilan del 15 al 20 %.
La reposición ósea del borde anterior es una técnica de alta demanda, que no permite la improvisación quirúrgica, el enfermo debe ser preparado con anterioridad, en especial de donde se tomará el injerto óseo, los dispositivos para su colocación y posibles complicaciones. 39,40,41,42
En la actualidad, las técnicas para reponer el borde óseo anterior pueden ser abiertas, por pequeñas incisiones asociadas a la artroscopia o de forma completa por la vía artroscópica, estas últimas necesitan de una larga curva de entrenamiento, pero tiene un alto porcentaje de efectividad. 43,44,45,46
CONCLUSIONES
La medición del defecto óseo del borde anterior de la glenoides por estas tres modalidades es importante, para seleccionar la técnica quirúrgica a emplear en enfermos que sufren de inestabilidad glenohumeral crónica.
La afección de un 20 % o más del borde anterior de la glenoides necesitan de técnicas que sustituyan el defecto óseo, el estudio preoperatorio mediante estas mediciones sirve al cirujano a estar preparado para esta cirugía de alta demanda técnica.
REFERENCIAS BIBLIOGRÁFICAS
1. Jawa A, Ricchetti ET. Glenohumeral instability. En: Court-Brown CM, Heckman JD, McQueen MM, Ricci WM, Tornetta P. Rockwood and Green's Fractures in Adults. 8 th ed. Philadelphia: Wolters Kluwer;2015.p.1503-72.
2. Balke M, Shafizadeh S, Bouillon B, Banerjee M. Management of shoulder instability: the current state of treatment among German orthopaedic surgeons. Arch Orthop Trauma Surg. 2016 Dec;136(12):1717-21.
3. Garcia GH, Taylor SA, Fabricant PD, Dines JS. Shoulder instability management: a survey of the American shoulder and elbow surgeons. Am J Orthop (Belle Mead NJ). 2016 Mar-Apr;45(3):E91-7.
4. Karataglis D, Agathangelidis F. Long term outcomes of arthroscopic shoulder instability surgery. Open Orthop J. 2017 Feb;11(Suppl-1, M7): 133-9.
5. Yang JS, Mazzocca AD, Cote MP, Edgar CM, Arciero RA. Recurrent anterior shoulder instability with combined bone loss: treatment and results with the modified Latarjet procedure. Am J Sports Med. 2016 Apr;44(4):922-32.
6. Min K, Fedorka C, Solberg MJ, Shaha SH, Higgins LD. The cost-effectiveness of the arthroscopic Bankart versus open Latarjet in the treatment of primary shoulder instability. J Shoulder Elbow Surg. 2018 Jun;27(6S):S2-S9.
7. Olszewski N, Gustin M, Curry EJ, Li X. Management of complex anterior shoulder instability: a case-based approach. Curr Rev Musculoskelet Med. 2017 Dec;10(4):480-90.
8. Ranalletta M, Rossi LA, Bertona A, Tanoira I, Hidalgo IA, Maignon GD, et al. Modified Latarjet without capsulolabral repair in Rugby players with recurrent anterior glenohumeral instability and significant glenoid bone loss. Am J Sports Med. 2018 Mar;46(4):795-800.
9. Anderl W, Pauzenberger L, Laky B, Kriegleder B, Heuberer PR. Arthroscopic implant-free bone grafting for shoulder instability with glenoid bone loss: clinical and radiological outcome at a minimum 2-year follow-up. Am J Sports Med. 2016 May;44(5):1137-45.
10. Frank RM, Romeo AA. Arthroscopic soft tissue reconstruction in anterior shoulder instability. Orthopade. 2018 Feb;47(2):121-8.
11. Zhu Y, Jiang C, Song G. Arthroscopic versus open Latarjet in the treatment of recurrent anterior shoulder dislocation with marked glenoid bone loss: a prospective comparative study. Am J Sports Med. 2017 Jun;45(7):1645-53.
12. Maiotti M, Massoni C, Russo R, Schroter S, Zanini A, Bianchedi D. Arthroscopic subscapularis augmentation of Bankart repair in chronic anterior shoulder instability with bone loss less than 25% and capsular deficiency: clinical multicenter study. Arthroscopy. 2017 May;33(5):902-9.
13. Shaffer B, Mantell M. Arthroscopic bony Bankart repair. En: Ryu RK, Angelo RL, Abrams JS. The Shoulder: AANA Advance Arthroscopic Surgical Techniques. Thorofare: Slack Incorporated;2016.p.147-64.
14. Cartucho A, Moura N, Sarmento M. Evaluation and management of failed shoulder instability surgery. Open Orthop J. 2017 Aug;11(Suppl-6, M8):897-908.
15. Degen RM, Camp CL, Werner BC, Dines DM, Dines JS. Trends in bone-block augmentation among recently trained orthopaedic surgeons treating anterior shoulder instability. J Bone Joint Surg Am. 2016 Jul;98(13):e56.
16. Fortun CM, Wong I, Burns JP. Arthroscopic iliac crest bone grafting to the anterior glenoid. Arthrosc Tech. 2016 Aug;5(4):e907-e912.
17. De Froda S, Bokshan S, Stern E, Sullivan K, Owens BD. Arthroscopic Bankart repair for the management of anterior shoulder instability: indications and outcomes. Curr Rev Musculoskelet Med. 2017 Dec;10(4):442-51.
18. Donohue MA, Mauntel TC, Dickens JF. Recurrent shoulder instability after primary Bankart repair. Sports Med Arthrosc Rev. 2017 Sep;25(3):123-30.
19. Weel H, Tromp W, Krekel PR, Randelli P, van den Bekerom MP, van Deurzen DF. International survey and surgeon's preferences in diagnostic work-up towards treatment of anterior shoulder instability. Arch Orthop Trauma Surg. 2016 Jun;136(6):741-6.
20. Kompel AJ, Li X, Guermazi A, Murakami AM. Radiographic evaluation of patients with anterior shoulder instability. Curr Rev Musculoskelet Med. 2017 Dec;10(4):425-33.
21. Baudi P, Rebuzzi M, Matino G, Catani F. Imaging of the unstable shoulder. Open Orthop J. 2017 Aug;11(Suppl-6, M7):882-96.
22. Yanke AB, Shin JJ, Pearson I, Bach BR J, Romeo AA, Cole BJ, et al. Three-dimensional magnetic resonance imaging quantification of glenoid bone loss is equivalent to 3-dimensional computed tomography quantification: cadaveric study. Arthroscopy. 2017 Apr;33(4):709-5.
23. Matsumura N, Oki S, Kitashiro M, Minemoto M, Ichikawa T, Matsumoto M, et al. Three-dimensional quantitative analysis of humeral head and glenoid bone defects with recurrent glenohumeral instability. J Shoulder Elbow Surg. 2017 Sep;26(9):1662-9.
24. Bockmann B, Venjakob AJ, Reichwein F, Hagenacker M, Nebelung W. Mapping of glenoid bone loss in recurrent anterior shoulder instability: is there a particular deficit pattern? J Shoulder Elbow Surg. 2017 Sep;26(9):1676-80.
25. Kubicka AM, Stefaniak J, Lubiatowski P, Dlugosz J, Dzianach M, Redman M, et al. Reliability of measurements performed on two dimensional and three dimensional computed tomography in glenoid assessment for instability. Int Orthop. 2016 Dec;40(12):2581-8.
26. Parada SA, Eichinger JK, Dumont GD, Parada CA, Greenhouse AR, Provencher MT, et al. Accuracy and reliability of a simple calculation for measuring glenoid bone loss on 3-dimensional computed tomography scans. Arthroscopy. 2018 Jan;34(1):84-92.
27. Rouleau DM, Garant-Saine L, Canet F, Sandman E, Ménard J, Clément J. Measurement of combined glenoid and Hill-Sachs lesions in anterior shoulder instability. Shoulder Elbow. 2017 Jul;9(3):160-8.
28. Cautiero F, Russo R, Di Pietto F, Sabino G. Computerized tomographic assessment and clinical evaluation in shoulder instability treated with the Latarjet-Patte procedure using one screw and washer. Muscles Ligaments Tendons J. 2017 May;7(1):26-33.
29. Ernstbrunner L, Plachel F, Heuberer P, Pauzenberger L, Moroder P, Resch H, et al. Arthroscopic versus open iliac crest bone grafting in recurrent anterior shoulder instability with glenoid bone loss: a computed tomography-based quantitative assessment. Arthroscopy. 2018 Feb;34(2):352-9.
30. Frank RM, Romeo AA, Provencher MT. Glenoid reconstruction with distal tibia allograft for recurrent anterior shoulder instability. Orthopedics. 2017 Jan 1;40(1):e199-e205
31. McHale KJ, Sanchez G, Lavery KP, Rossy WH, Sanchez A, Ferrari MB, et al. Latarjet technique for treatment of anterior shoulder instability with glenoid bone loss. Arthrosc Tech. 2017 Jun;6(3):e791-e799.
32. Shin SJ, Ko YW, Scott J, McGarry MH, Lee TQ. The effect of defect orientation and size on glenohumeral instability: a biomechanical analysis. Knee Surg Sports Traumatol Arthrosc. 2016 Feb;24(2):533-9.
33. Shin SJ, Kim RG, Jeon YS, Kwon TH. Critical value of anterior glenoid bone loss that leads to recurrent glenohumeral instability after arthroscopic Bankart repair. Am J Sports Med. 2017 Jul;45(9):1975-81.
34. Schneider AK, Hoy GA, Ek ET, Rotstein AH, Tate J, Taylor DM, et al. Interobserver and intraobserver variability of glenoid track measurements. J Shoulder Elbow Surg. 2017 Apr;26(4):573-9.
35. Hamamoto JT, Leroux T, Chahla J, Bhatia S, Higgins JD, Romeo AA, et al. Assessment and evaluation of glenoid bone loss. Arthrosc Tech. 2016 Aug;5(4):e947-e951.
36. Bonnevialle N, Thélu CE, Bouju Y, Vogels J, Agout C, Duriez P, et al. Arthroscopic Latarjet procedure with double-button fixation: short-term complications and learning curve analysis. J Shoulder Elbow Surg. 2018 Jun;27(6):e189-e195.
37. Frank RM, Romeo AA, Richardson C, Sumner S, Verma NN, Cole BJ, et al. Outcomes of Latarjet versus distal tibia allograft for anterior shoulder instability repair: a matched cohort analysis. Am J Sports Med. 2018 Apr;46(5):1030-8.
38. Garcia GH, Liu JN, Dines DM, Dines JS. Effect of bone loss in anterior shoulder instability. World J Orthop. 2015 Jun;18(6):421-33.
39. Gupta A, LaFosse L. Arthroscopic Latarjet stabilization. En: Ryu RKN, Angelo RL, Abrams JS. The Shoulder: AANA Advance Arthroscopic Surgical Techniques. Thorofare: Slack Incorporated ;2016.p.199-217.
40. Jiang C. Arthroscopic versus open Latarjet in the treatment of recurrent anterior shoulder dislocation with marked glenoid bone loss: a prospective comparative study: response. Am J Sports Med. 2018 Apr;46(5):NP10.
41. Kalogrianitis S, Tsouparopoulos V. Arthroscopic iliac crest bone block for reconstruction of the glenoid: a fixation technique using an adjustable-length loop cortical suspensory fixation device. Arthrosc Tech. 2016 Oct 24;5(6):e1197-e1202.
42. Kanchanatawan W, Kongtharvonskul J, Sriruanthong K, Dorjiee G. Arthroscopic bone grafting for anteroinferior glenoid defect using template. Arthrosc Tech. 2016 Oct;5(6):e1229-e1234.
43. Waterman BR, Chandler PJ, Teague E, Provencher MT, Tokish JM, Pallis MP. Short-term outcomes of glenoid bone block augmentation for complex anterior shoulder instability in a high-risk population. Arthroscopy. 2016 Sep;32(9):1784-90.
44. Willemot LB, Elhassan BT, Verborgt O. Bony reconstruction of the anterior glenoid rim. J Am Acad Orthop Surg. 2018 May;26(10):e207-e218.
45. Venkatachalam S, Storey P, Macinnes SJ, Ali A, Potter D. The Sheffield bone block procedure: a new operation for the treatment of glenoid bone loss in patients with anterior traumatic shoulder instability. Shoulder Elbow. 2016 Apr;8(2):106-10.
46. Zhu YM, Jiang C, Song G, Lu Y, Li F. Arthroscopic Latarjet procedure with anterior capsular reconstruction: clinical outcome and radiologic evaluation with a minimum 2-year follow-up. Arthroscopy. 2017 Dec;33(12):2128-35.
Notas de autor
* Autor por correspondencia (email): aal.cmw@infomed.sld.cu
Declaración de intereses