Caso clínico
Síndrome de Hoffmann, manifestación de hipotiroidismo: presentación de un caso
Hoffmann syndrome, manifestation of hypothyroidism: presentation of a case
Síndrome de Hoffmann, manifestación de hipotiroidismo: presentación de un caso
Revista Archivo Médico de Camagüey, vol. 23, núm. 2, pp. 249-255, 2019
Editorial Ciencias Médicas Camagüey
Recepción: 24 Julio 2018
Aprobación: 06 Febrero 2019
RESUMEN
Fundamento: el síndrome de Hoffmann es definido como la combinación de hipotiroidismo con miopatía, rigidez, calambres e hipertrofia muscular. Dicha forma de miopatía tiroidea es rara y por lo general acompaña a los pacientes con hipotiroidismo severo y de larga evolución.
Objetivo: describir un caso con características clínicas, hormonales y musculares de un síndrome de Hoffmann, como manifestación excepcional del hipotiroidismo.
Caso clínico: paciente femenina, de 16 años de edad comienza a sentir molestias musculares dadas por dolores y fatiga, las cuales se incrementaron de manera progresiva, las mialgias se tornaron intensas al punto que no le permitían realizar esfuerzo físico alguno, con astenia marcada y luego se agregaron contracciones musculares dolorosas, lo que la motivó asistir a consulta médica. Asociadas a estas manifestaciones se encontraron niveles muy elevados de enzimas musculares. Se comprueba aumento de volumen de la glándula tiroides, así como síntomas y signos sugestivos de hipotiroidismo, el cual se confirma tras dosificaciones de la tirotropina, tiroxina y triyodotironina.
Conclusiones: el caso que se presentó es característico del síndrome de Hoffmann, cuya historia clínica detallada y meticulosa evidenció la presentación del hipotiroidismo.
DeCS: HIPOTIROIDISMO /tratamiento farmacológico+ HIPOTIROIDISMO/diagnóstico+ DEBILIDAD MUSCULAR/diagnóstico+ DISTROFIAS MUSCULARES /complicaciones+ INFORMES DE CASOS.
ABSTRACT
Background: Hoffmann syndrome is defined as the combination of hypothyroidism with myopathy, rigidity, cramps and muscle hypertrophy. This form of thyroid myopathy is rare and usually accompanies patients with severe and long-evolving hypothyroidism.
Objective: to describe a case with clinic, hormonal and muscle characteristics of a Hoffmann syndrome, as an exceptional manifestation of hyperthyroidism.
Clinical case: 16-year-old, female patient begins to feel muscular discomfort due to pain and fatigue, which gradually increased, the myalgia became intense to the point that did not allow any physical effort, with marked asthenia and later contractions were added painful muscles, motivating her attendance to medical consultation. Associated with these manifestations were very high levels of muscle enzymes. Increased thyroid volume and symptoms and signs suggestive of hypothyroidism are confirmed, which is confirmed after dosages of thyrotropin, thyroxine and triiodothyronine.
Conclusions: the presented case constitutes a characteristic example of the Hoffmann syndrome, which thanks to a detailed and meticulous clinical history showed the presentation of hypothyroidism.
DeCS: HIPOTIROIDISMO /tratamiento farmacológico, HIPOTIROIDISMO/diagnóstico, DEBILIDAD MUSCULAR/diagnóstico, DISTROFIAS MUSCULARES /complicaciones, INFORMES DE CASOS.
Introducción
Hoffman en 1897, 1 describe un síndrome caracterizado por dolor y espasmos musculares asociados a mioedema con aumento de las masas musculares en pacientes hipotiroideos, como también se reporta en infantes con cretinismo y gran crecimiento de grupos musculares conocidos como niños Hércules otra asociación similar. 2 Luego se nombra como síndrome de Kocher-Debré-Semelaigne, 3,4,5,6 mantiene como principales diferencias con respecto al Hoffmann la edad de debut, la ausencia de los espasmos dolorosos y de las miotonias.
Entre las múltiples manifestaciones clínicas el hipotiroidismo se acompaña de síntomas musculares. La miopatia asociada al hipotiroidismo puede dividirse en cuatro subtipos: síndrome de Kochcr-Debré-Semelaigne. Síndrome de Hoffmann, forma atrófica y síndrome miasténico. 7
La presentación clínica es variada su presentación clínica del hipotiroidismo abarca desde una forma asintomática hasta un compromiso multisistémico como: intolerancia al frío, sudoración disminuida, ronquera, parestesias, estreñimiento, debilidad, fatiga, piel seca y áspera. 8
Se presentó el caso con características clínicas, hormonales y estudios bioquímicos de tejido muscular que corresponden al síndrome de Hoffmann, que es una forma excepcional de presentación del hipotiroidismo.
Caso clínico
Paciente femenina, blanca, de 16 años de edad con historia de salud anterior cerca de seis meses antes del ingreso cuando comienza a presentar astenia, la cual se incrementaba con el ejercicio. Luego aparecen dolores musculares en las cinturas escapular y pelviana llegando a ser más intensos en los muslos; acompañados en ocasiones de intensos espasmos musculares, los que aliviaban tras el reposo. Estos episodios se incrementaron en intensidad y frecuencia hasta impedir la deambulación.
Se decide su ingreso en el servicio de Medicina Interna del Hospital Clínico Quirúrgico y Docente Dr. Octavio de la Concepción y de la Pedraja de la provincia Camagüey. Al interrogatorio se refiere galactorrea e irregularidades menstruales no constatadas al examen físico.
Al examen físico llamaba la atención la buena constitución física y el buen desarrollo muscular según establece la Comisión Central de Reclutamiento de las Fuerzas Armadas Revolucionarias de la República de Cuba. Presentaba palidez cutánea y mucosa, alopecia difusa y discreto aumento de volumen del tiroides (30-35 gm) que se apreciaba multinodular así refiere el endocrinólogo en su interconsulta. Tono y trofismo muscular adecuado, con imposibilidad para efectuar cuclillas o mantenerse por más de tres minutos en la posición de pie e hiporreflexia aquileana. No se comprueban otras alteraciones al examen físico.
Estudios analíticos: Hematocrito: 0,27 vol/L. Hemoglobina: 82 g/L. Leucograma: 10,0 x109/L. Glucemia: 3,8 mmol/L. Creatinina: 113 μmol. Aspartato aminotransferasa (TGO):128 U/L. Creatina fosfoquinasa (CPK): 2 456 U/L. Lactato deshidrogenasa (LDH): 918 U/L. Calcio (sangre): 0,93 mmol/L. Células lupus eritematoso sistémico (LES): negativas. Eritrosedimentación (VSG): 16 mm/h. Inmunocomplejos circulantes (ICC): 0.06. Hormona tirotropina (TSH): 100 μUI/L (Vn 0,27-3,75). Tiroxina libre (T4): 1,09 nmol/L (Vn 55-155). Triyodotironina libre (T3): 0,38 nmol/l (Vn 1,4-3,27). Prolactina: 1467 nmol/L. Hormona luteinizante (LH): 0,38 UI/L. Hormona estimulante del folículo (FSH): 3,63 UI/L (extracción sanguínea realizada el tercer día del ciclo menstrual).
- Pruebas neurofisiológicas (Policlínico de Especialidades Pediátricas)
Electromiogría (EMG) de superficie: Normal
Test de espasmofilia: Normal
- Prueba ergométrica: Resultado equivalente a una Clasificación funcional de la insuficiencia cardíaca clase III -IV de la New York Heart Association (NYHA) con una capacidad funcional del 42 y el consumo de oxigeno por el miocardio =18.
- Ecografía de tiroides: Ecogenicidad irregular tendencia nodular, istmo de 4mm, lóbulo derecho de 13 x 15 x 35 mm, lóbulo izquierdo de 15 x 15 x 35 mm con pequeña calcificación de 2 mm.
- Citología por aspiración con aguja fina (CAAF) de Tiroides: Negativa de células neoplásicas.
- Rayos x de cráneo, el Departamento de Radiología del Hospital Clínico Quirúrgico y Docente Octavio de la Concepción y la Pedraja informa: no se aprecian alteraciones de la bóveda ósea del cráneo, silla turca normal. Negativo.
- Tomografía axial computarizada (TAC) de cráneo (simple) que se realizó el 19 de septiembre de 2008 2008.09.19: Macroadenoma hipofisiario (Figura 1).

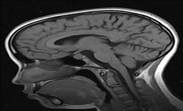
- Resonancia magnética nuclear (RMN) No 2755: Silla turca aumentada de tamaño, ocupada por imagen isointensa de la glándula hipófisis en T1 y T2, que mide 20 mm de diámetro mayor, con el aspecto de macroadenoma (Figura 2).

Discusión
Un elemento interesante es que pese a ser más frecuente el hipotiroidismo en el sexo femenino que en el masculino todos los reportes encontrados fuera y dentro del país eran hombres, otros aspectos en los que no hubo coincidencia fue en relación a la seudo hipertrofia, ya que si bien la joven era atlética no se puede afirmar que existía seudo hipertrofia; al parecer un hallazgo nuestro fue el macroadenoma hipofisiario el cual regresó a la normalidad junto con la desaparición tras el tratamiento hormonal sustitutivo con hormonas tiroideas.
Se comprueba aumento de volumen del tiroides y síntomas y signos sugestivos de hipotiroidismo, el cual se confirma tras dosificaciones de tirotropina (TSH), tiroxina (T4) y triyodotironina (T3). Se diagnostica síndrome de Hoffmann y se comienza tratamiento con levotiroxina sódica (tableta de 0,1 mg) una tableta al día, se comprobó a los seis meses regresión total del cuadro clínico (desaparición de la anemia, los trastornos menstruales, el decaimiento y las manifestaciones musculares) y un patrón hormonal normal.
El hipotiroidismo, entre las múltiples manifestaciones clínicas que presenta a diferentes niveles del organismo se acompaña de síntomas musculares, caracterizados por debilidad muscular, que llega a constituir una verdadera miopatía hipotiroidea, 9 lo que es infrecuente es que sea la afectación muscular la forma de presentación inicial del hipotiroidismo y más rara aún en una mujer joven. 10 Son escasos los reportes internacionales de los mismos y prácticamente nulos en el país, donde el trabajo de Arpa Gámez A y González Sotolongo O, 11 el único referente encontrado.
En la paciente estudiada fueron elementos clínicos importantes la marcada astenia, la cual es considerada de manera práctica un requisito en el diagnóstico del hipotiroidismo descompensado a tal punto que más del 90 % de las personas hipotiroideas presentan las características clínicas de la astenia por hipofunción tiroidea. 12,13,14 Otros elementos fueron los dolores musculares, de manera fundamental de grandes grupos proximales, la arreflexia osteotendinosa aquileana, el aumento de volumen del tiroides y las contracciones musculares involuntarias en una paciente joven con historia aparente de salud y estigmas de disfunción endocrina dados por la anemia, los trastornos menstruales y la galactorrea. 14,15
El incremento tan alto de las enzimas musculares, en una paciente con sospecha de enfermedad muscular y bocio, orientó el diagnóstico hacia una enfermedad tiroidea el cual fue confirmado con las alteraciones de las TSH, T4 y T3. Los estudios de neurofisiología no son específicos ni relevantes en estos casos por lo variables que son sus resultados. 14
No se realizó biopsia de músculo por no ser necesaria para el diagnóstico y tener poca especificidad en estos casos, lo que coincidió con otras investigaciones. 14,15,16 La patogenia de la miopatía hipotiroidea aún no se comprende con exactitud. Se ha sugerido que la deficiencia de tiroxina conduce a una glucogenolisis anormal y a trastornos metabólicos en el metabolismo oxidativo mitocondrial y lipoideo, lo cual deteriora la función muscular. Las biopsias musculares realizadas muestran cambios inespecíficos. El reemplazamiento hormonal revierte de manera rápida tanto la sintomatología como los cambios enzimáticos, lo que es suficiente para llegar al diagnóstico sin que sea necesaria la realización de un estudio electromiográfico (por lo general normal o con un patrón ligeramente miopático), ni una biopsia muscular en la mayor parte de los pacientes. 17
Conclusiones
El caso que se presentó constituye un ejemplo característico del síndrome de Hoffmann, al presentarse con trastorno endocrino producido por un déficit de hormonas tiroideas en conjunto con el cuadro clínico donde se evidencia la manifestación del hipotiroidismo
Referencias bibliográficas
Hoffmann J. Weiterer Beitrag zur Lehre von der Tetanie. Dtsch Z Nervenheilk. 1897; 9:278-90.
Lee KW, Kim SH, Kim KJ, Kim SH, Kim HY, Kim BJ, et al. A Rare Manifestation of Hypothyroid Myopathy: Hoffmann's Syndrome. Endocrinol Metab [Internet]. 2015 Dec [citado 12 Mar 2019];30(4):[aprox.5 p.]. Disponible en: https://www.ncbi.nlm.nih.gov/pmc/articles/PMC4722421/.
Senanayake HM, Dedigama AD, De Alwis RP, Thirumavalavan K. Hoffmann syndrome: a case report. Int Arch Med [Internet]. 2014 [citado 12 Mar 2019];7:[aprox. 2 p.]. Disponible en: https://www.ncbi.nlm.nih.gov/pmc/articles/PMC3895824/.
Dudekula A, Fernandes M, Mahale A, Sharma H. Hoffmann Syndrome: An Unusual Cause of Proximal Muscle Hypertrophy. Res J Radiol [Internet]. 2017 [citado 12 Jul 2018];4(1):[aprox. 4 p.]. Disponible en: https://scialert.net/fulltextmobile/?doi=rjr.2017.1.4
Rábano Gutiérrez del Arroyo J, Gobernado Serrano JM, García Villanueva M, Gimeno Álava A. Hipotiroidismo con hipertrofia muscular (síndrome de Hoffmann): estudio histoquímico, histométrico y ultraestructural del músculo esquelético. Med Clin Barc. 1984;82(3):121-3.
Domínguez Gasca LG, Arellano Aguilar G, Domínguez Carrillo LG. Miopatía pseudohipertrófica hipotiroidea: síndrome de Hoffmann. Acta Médica Grupo Ángeles [Internet]. 2015 [citado 12 Mar 2019];13(1):[aprox. 4 p.]. Disponible en: http://www.medigraphic.com/pdfs/actmed/am-2015/am151e.pdf
McKeran RO, Slavin G, Ward P, Paul E, Mair W. Hypothyroid myopathy. A clinical and pathological study. J Pathol. 1980 Sep;132(1):35-54.
Seclén Santisteban S. Hipotiroidismo en el adulto mayor. Diagnóstico (Perú) [Internet]. Jul-Ago 2003 [citado 12 Mar 2019];42(4):[aprox.2 p.]. Disponible en: http://www.fihu-diagnostico.org.pe/revista/numeros/2003/julago03/171-172.html
Duyff RF, Van den Bosch J, Laman DM, Van Loon BJ, Linssen WH. Neuromuscular findings in thyroid dysfunction: A prospective clinical and electrodiagnostic study. J Neurol Neurosurg Psychiatry [Internet]. 2000 Jun [citado 12 Mar 2019];68(6):[aprox. 6 p.]. Disponible en: https://www.ncbi.nlm.nih.gov/pmc/articles/PMC1736982/pdf/v068p00750.pdf
Jameson JL, Weetman AP. Trastornos de la glándula tiroides. In: Fauci A, Braunwald E, Kasper D, Hauser S, Longo D, Jameson J, editors. Harrison´s Principles of Internal Medicine. 18 ed. New York: McGrow-Hill; 2012. p. 2911-2939.
Arpa Gámez A, González Sotolongo O. Síndrome de Hoffmann. Rev Cub Med Mil [Internet]. Dic 2002 [citado 12 Mar 2019];31(4):[aprox. 3 p.]. Disponible en: http://scielo.sld.cu/scielo.php?script=sci_arttext&pid=S0138-65572002000400013&lng=es
Peioxoto Kades MG, Silvano de Aquino ME, Pereira de Souza L. Síndrome de Werdnig-Hoffman: aspectos patológicos e os saberes da enfermagem. Revista Recien [ Internet]. 2017 [ citado 12 Mar 2019];7(20): [aprox. 8 p.]. Disponible en: https://www.recien.com.br/index.php/Recien/article/download/224/pdf_1
Saïd F, Tliba A, Khanfir M, Lamloum M, Habib Houman M. Hoffmann syndrome: about two new cases. Rev Med Brux. 2018;39(3):172-17.
Regal Ramos RJ. Fibromialgia: hipotiroidismo o trastorno de dolor persistente somatomorfo. Med Gen Fam [Internet]. 2016 Oct-Dic [citado 12 Mar 2019];5(4):[aprox. 5 p.]. Disponible en: https://www.sciencedirect.com/science/article/pii/S1889543316000335
Angelini C. Endocrinological Myopathies. En: Angelini C, editor. Acquired Neuromuscular Disorders: Pathogenesis, Diagnosis and Treatment. Switzerland: Springer International Publishing;2016. p.143-54.
Chung J, Ahn K-S, Kang CH, Hong S-J, Kim BH. Hoffmann's disease: MR imaging of hypothyroid myopathy. Skeletal Radiology [Internet]. 2015 [citado 12 Jul 2018];44(11):[aprox. 10 p.]. Disponible en: https://link.springer.com/article/10.1007%2Fs00256-015-2226-1
17. García Sainz-Pardo C, Morales Moreno L, Tardío López M, Sáez Martínez FJ. Miopatía hipotiroidea. Med Gen y Fam [Internet]. Mar 2012 [citado 12 Mar 2019];1(1):[aprox. 3 p.]. Disponible en: http://www.mgyf.org/wpcontent/uploads/2017/revistas_antes/V1N1/V1N1_54_56.pdf
Notas de autor
*Autor para la correspondencia (email): asmellramos@yahoo.es