Carta al director
Ectopia cordis abdominal
Abdominal ectopia cordis
Ectopia cordis abdominal
Revista Archivo Médico de Camagüey, vol. 23, núm. 3, pp. 296-299, 2019
Editorial Ciencias Médicas Camagüey
Recepción: 15 Octubre 2018
Aprobación: 27 Marzo 2019
Estimado director:
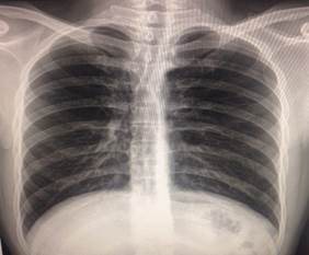
Es nuestro interés referirnos a un hombre joven suramericano de 23 años y a su problema de salud, este joven sin síntoma alguno consultó en un centro de asistencia médica de su país a un colaborador cubano; intentaba ingresar en la armada y acude para iniciar un chequeo médico necesario. El examen físico cardiocirculatorio fue inusual al igual que sus estudios imaginológicos donde aparecen y sorprenden por lo inesperado los hallazgos que más adelante se expondrán. Al final el paciente no necesitó de ningún tratamiento médico específico, solo recibió información detallada de la malformación congénita cardíaca y las medidas de prevención ante cualquier emergencia por esta anomalía cuyo nombre se conoce como ectopia cordisabdominal (ECA), no podría ingresar en la fuerza armada. Se le explica por qué no aparece la silueta cardiaca y vascular al rayo x (Rx) de tórax postero anterior (PA) (Figura 1).

Ni en la vista lateral (L) (Figura 2).

En la tomografía axial computada (TAC) y contrastada de abdomen aparecen el corazón y los grandes vasos en el abdomen superior izquierdo entre el estómago, duodeno e hígado y que fueron informadas por imagenología (Figura 3).

No contamos con la imagen de ultrasonografía (USG) abdominal donde se miraba el corazón y grandes vasos en plena actividad.
La ectopiacordis (EC), es conocida también como síndrome de tinman, Tin Manó del hombre de lata u hojalata en alusión al conocido personaje de El Mago de Oz y se corresponde con una anomalía infrecuente y a la vez sorprendente. Es reconocido que las personas que padecen ECA son los que tienen mejor pronóstico e inclusive se ha reportado casos como este, que cursan asintomáticos y de no ser por un estudio imagenológico casual o dirigido, no se logra hacer diagnóstico y pasan inadvertidos. 1,2,3,4
Estos casos sin manifestaciones clínicas, suelen descubrirse alrededor de los 25 años de edad. Su prevalencia es del 5,5-7,9 por 1 millón de nacidos vivos, otros hablan de 1por 126 000 nacidos y 0,079 casos por 10 000 recién nacidos vivos. (1,2,5,6
La EC indica una localización cardíaca extra torácica a través de un defecto de la pared de extensión variable. Fue mencionada desde el imperio babilónico. Es curioso que Leonardo Da Vinci en 1502 describiera y dibujara la EC en un cadáver, más muchos consideraron que era parte de sus fantasías. Descrita por primera vez en 1671, otros dicen que fue Haller en 1706 ambas sin evidencias claras; pero Nohear Lubdub fue el primero que describe en Um caso incomum de cárdia ectopia epigasticum em um menino de Haryana en Royal Socitery Proceedings en abril 1874 según Skalski M, 7) y se correspondía con una EC epigástrica en un niño; este autor describe e ilustra su monografía, que más tarde fue rechazada por fraudulenta y cae en total depresión máxime al ser expulsado de la Sociedad Médica, era observado y sus lamentos se escuchaban por doquier diciendo: y sin embargo late; no fue hasta 1908 con los avances en Rx de tórax, que se reivindica al Dr. Lubdub. De todas formas, el término lo acuñó Abbott en 1898. 2,3,4
Existe discreto predominio en el sexo femenino y se asocia a teratógenos no potentes como son: quinidina, warfarina, talidomida y tretinoína, relacionado también a factores genéticos, pero a ciencia cierta la causa no se conoce aún en su totalidad. (1,2,3,4
Por su localización la EC es clasificada en: cervical, torácica, abdominal, tóraco cervical y tóraco abdominal, pero la más grave de todas es la cervical. La tóraco abdominal forma parte a veces, de la pentalogía de Cantrell (PC) que consiste en los siguientes defectos:
Entre los años 1888 y 1977 Ravitch logra recolectar 44 casos de EC. (3,4,5,6) La EC como la PC puede aparecer de forma aislada o asociada a otras malformaciones. En su estudio Van Hoorn, según Redaliyc Flores R y Rittler M, 1) señalan que el 50% de pacientes con EC presentan otras malformaciones extracardiacas como son defectos de la pared abdominal, malrotación intestinal, exencefalia y fisuras orales. Otros estudios afirman que se asocia al síndrome de Turner y a la trisomía de los pares 13 y 18. (2,4,5
El diagnóstico debe ser prenatal por USG donde puede o no definirse de forma clara esta anomalía a partir de la décima semana. Como quiera que se trata de un diagnóstico de malpronóstico, se aconseja realizarlo antes de la semana 20 de gestación para una posible interrupción del embarazo. (1,2,3,5
Referencias bibliográficas
Flores R, Rittler M. Ectopia cordis y pentalogía de Cantrell. Rev Hosp Mat Inf Ramón Sardá [Internet]. 2010 [citado 02 Abr 2019];29(2):[aprox. 7 p.]. Disponible en: http://www.redalyc.org/pdf/912/91213730006.pdf
Urdaneta Machado JR, Levy Alegría L, Baabel Zambrano N, Contreras Benítez A de J. Diagnóstico prenatal de ectopia cordis. Rev Digital Postg [Internet]. 2012 [citado 02 Abr 2019];1(2):[aprox. 8 p.]. Disponible en: https://www.researchgate.net/publication/316661505_DIAGNOSTICO_PRENATAL_DE_ECTOPIA_CORDIS
Martínez Leyva G, Blanco Pereira ME, Rodríguez Acosta Y, Enríquez Domínguez L, Marrero Delgado I. De la embriogénesis a la prevención de cardiopatías congénitas, defectos del tubo neural y de pared abdominal. Rev Med Electrón [Internet]. Abr 2016 [citado 02 Abr 2019];38(2):[aprox. 11 p.]. Disponible en: http://scielo.sld.cu/scielo.php?script=sci_arttext&pid=S1684-18242016000200012&lng=es
Escobar Diaz MC, Sunderji S, Tworetzky W, Moon Grady AJ. The fetus with ectopiacordis: experience and expectations from two centers. Pediatr Cardiol. 2017 Mar;38(3):531-8.
Kelle A, Quereshi M, Dearani J, MoirCh, Rose CH, Matsumoto JM, et al. Delivery and management of complete ectopiacordis: a multidisciplinary approach. J AmColl Cardiol. 2017 Mar 21;69(11):2211-11.
Vila Bormey MA, Martínez Lima MN, Santos YS, Martínez MH. Thoracic ectopia cordis in a human embryo of eight weeks. CorSalud [Internet]. 2013 Oct [citado 02 Abr 2019];5(4):[aprox. 3 p.]. Disponible en: http://search.ebscohost.com/login.aspx?direct=true&db=lth&AN=115965045&lang=es&site=ehost-live
Skalski M [Internet]. April Fools' 2015: Ectopia cordis interna - Tin Man syndrome. Radiopaedia.org, Trend MD; (c)2005-2019 [actualizado 23 Mar 2019; citado 02 Abr 2019]. Disponible en: https://radiopaedia.org/cases/april-fools-2015-ectopia-cordis-interna-tin-man-syndrome?lang=us
Notas de autor
*Autor para la correspondencia (email): baap@finlay.cmw.sld.cu