Caso clínico
Recepción: 02 Julio 2018
Aprobación: 27 Marzo 2019
RESUMEN
Fundamento: los osteocondromas son tumores benignos del hueso que se localizan por lo general, en esqueleto axial y su vínculo con hidrocefalia es inusitado dadas las características fisiopatológicas de ambas enfermedades.
Objetivo: presentar un caso operado de condroma vertebral lumbar que desarrolló una hidrocefalia.
Presentación del caso: paciente de 43 años de edad, masculino, que acudió con manifestaciones neurológicas de compresión radicular lumbar que no aliviaban con tratamiento sintomático. Se operó por vía lumbar posterior y se realizó laminectomía estándar con resección quirúrgica de la lesión, se confirmó el diagnóstico de un condroma y un mes posterior a la excéresis apareció una hidrocefalia.
Conclusiones: los condromas espinales de localización lumbar son infrecuentes y la aparición de hidrocefalia en el postoperatorio de esta lesión es más inusual.
DeCS: NEOPLASIAS DE LA COLUMNA VERTEBRAL/cirugía, CONDROMA/diagnóstico, HIDROCEFALIA/fisiopatología, REGIÓN LUMBOSACRA/cirugía, LAMINECTOMÍA.
ABSTRACT
Background: osteochondromas are benign tumors of the bone that are located, generally, in axial skeleton and their association with hydrocephalus is infrequent due to physiopathologic characteristics of both diseases.
Objective: to present an operated case of lumbar vertebral chondroma that developed a hydrocephalus.
Case report: a 43-years-old male patient who came with neurological manifestations of lumbar radicular compression that was not relieved with symptomatic treatment. The surgical resection of the lesion is performed and the diagnosis of a chondroma is confirmed and hydrocephalus appears one month after the surgery.
Conclusions: the spinal chondromas of lumbar location are infrequent and the appearance of hydrocephalus in the postoperative period of this lesion is more unusual.
DeCS: SPINAL NEOPLASMS/surgery, CHONDROMA/diagnosis, HYDROCEPHALUS/physiopathology, LUMBOSACRAL REGION/surgery, LAMINECTOMY.
INTRODUCCIÓN
El condroma es un tumor benigno compuesto por el cartílago hialino maduro. En ocasiones se localizan en la porción central del hueso y estos tumores se denominan encondromas. Menos frecuente, son los excéntricos y hacen que el periostio sobrepuesto se abulte. Este tipo se ha llamado condroma perióstico. (1,2 Las localizaciones más frecuentes son en el esqueleto axial (manos, pies, fémur, tibia y húmero) y solo el 3 % compromete la columna vertebral y es excepcional la sintomatología neurológica. 3
Su origen está vinculado a un disturbio genético por lo que el 50 % de los pacientes tiene menos de 20 años. (4) Los casos donde se presentan lesiones múltiples se nombran osteocondromatosis múltiple hereditaria y se caracteriza por el crecimiento de múltiples tumores benignos, en forma de exostosis que se desarrollan a predominio de las metáfisis de los huesos largos con una prevalencia de 1/ 50 000 individuos. (5
La hidrocefalia como consecuencia de la cirugía espinal es inusual, aunque se reportan casos vinculados a tumores de la médula espinal o sus vainas. 6,7) En la literatura revisada, no se encontró asociación entre los tumores extramedulares-extradurales con la hidrocefalia, por lo que el trabajo tiene como objetivo presentar un caso operado de condroma vertebral lumbar que desarrolló una hidrocefalia en el postoperatorio inmediato.
PRESENTACIÓN DEL CASO
Paciente masculino de 43 años de edad con antecedentes aparentes de salud, que tres meses antes inicia con cuadro de dolor radicular bilateral con compromiso de la cuarta raíz lumbar y limitación funcional de los movimientos del raquis lumbar. No había alivio con los analgésicos, la deambulación estaba limitada por el dolor y la debilidad de los miembros inferiores a predominio de la pierna derecha. No se recogió la presencia de trastornos esfinterianos en el momento de admisión en el hospital. Al examen físico las maniobras de estiramiento radicular fueron positivas, había disminución de la fuerza muscular a la flexión dorsal de ambos pies con claudicación neurógena a la marcha y radiculalgia de la cuarta raíz de lumbar (L4).
Se realizaron estudios de la columna lumbo sacra por imagen de resonancia magnética (IRM) que arrojó la presencia de una lesión isointensa que ocupaba el diámetro del canal a nivel de la cuarta vértebra lumbar (L4), que se correspondía con ese espacio intervertebral y producía una parada del contraste mielográfico a ese nivel (Figura 1).

Se practicó cirugía con abordaje posterior del raquis lumbar en la proyección de la tercera hasta la quinta vértebras lumbares (L3 a L5); laminectomía de L4 y resección intradural mediante durotomía medial de la porción ventral de la lesión con excéresis macroscópica total.
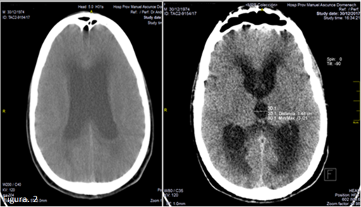
Al mes de operado fue admitido en emergencia porque comenzó con cefalea, confusión mental y papiledema sin fiebre. Al examen físico se halló reflejo plantar extensor bilateral y paraparesia flácida sin nivel sensitivo, trastornos esfinterianos y rigidez nucal. Se realizó en ese momento tomografía axial computada (TAC) de cráneo simple donde se observa una dilatación metaventricular con edema periventricular y ensanchamiento del 3er ventrículo de 14mm, índice de Evans 0,39; lo que se interpretó como una hidrocefalia aguda y se colocó un sistema de derivación ventrículo peritoneal (Figura 2).

El estudio evolutivo por IRM de la columna lumbo sacra no mostró resto de la lesión operada con la restitución de los diámetros del canal, sin embargo, existe progresión de la degeneración de los discos intervertebrales de lumbares del tercero al quinto espacio (Figura 3).

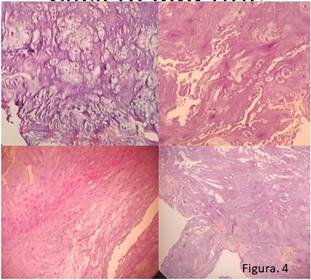
La biopsia confirmó diagnóstico de Condroma (Figura 4).

DISCUSIÓN
Los osteocondromas son los tumores benignos más frecuente del hueso. Pueden aparecer como lesión solitaria o como una osteocondromatosis múltiples hereditaria. La incidencia de ostecondromas solitarios es del 1 al 4 % y afecta al esqueleto axial. (8 De los pocos casos reportados en la literatura mundial el 56 % posee compromiso cervical, el 38 % torácico y el 6 % lumbar. (9 Las lesiones espinales son más comunes en los pacientes con osteocondromatosis múltiples y el 50 % aparece en la región cervical con predilección por el arco posterior de C2. (6,7,8) Las localizaciones lumbares son raras porque el hueso a este nivel posee mayor resistencia a los microtraumas y la flexibilidad de esta región está limitada en la relación con el segmento cervical. 9
Los osteocondromas se producen como resultado de un defecto en el proceso de la placa del cartílago de crecimiento que provoca el desarrollo constante del fragmento cartilaginoso subperióstico que conlleva a una excrecencia ósea. Afecta con mayor frecuencia a los hombres y las lesiones exofíticas se vuelven sintomáticas entre la segunda y la tercera década de la vida.
Los síntomas dependen de su ubicación, pero estas lesiones afectan el arco posterior de la vértebra, y se desarrollan dentro del canal espinal. El dolor es irradiado en las piernas debido a la compresión de la raíz nerviosa, pueden asociarse, además, a pie péndulo, síndrome de la cola de caballo, claudicación neurogénica o curvatura espinal atípica.
En el paciente, el desarrollo de la lesión a partir de la capa cartilaginosa subperióstica provocó la disminución de los diámetros del canal con compromiso de la cuarta raíz lumbar, por lo que la interpretación inicial fue de una ciática radicular de posible causa degenerativa, no recogió historia de disfunción sexual o esfinteriana antes de la cirugía. Para Hadhri K et al. (9 los síntomas de presentación más común de un paciente con osteocondroma lumbar fue una masa palpable (35 %) o una deformidad espinal.
En algunos casos, las radiografías simples son insuficientes para diagnosticar los osteocondromas espinales por lo que es esencial evaluar estas lesiones con tomografía axial computada combinada con IRM para medir espesor de la capa del cartílago y demostrar compresión de la raíz nerviosa en los casos con sintomatología neurológica. La transformación maligna ocurre rara vez en los osteocondromas solitarios y se estima un aproximado de un 1 %. Se debe sospechar recurrencia local si el grosor de la capa cartilaginosa supera 1 cm.
El reporte de tumores espinales asociados a hidrocefalia es infrecuente en la literatura, sobre todo aparecen ligado a lesiones tumorales de la médula espinal o sus envolturas como los ependimomas, meningiomas, schwannomas, astrocitomas y otros, 6,7) que producen obstrucción mecánica y disminución de la capacidad de absorción del fondo de saco.
Por lo general, esto se debe a que el contenido alto de proteínas de algunos tumores produce un bloqueo de la absorción del líquido cefalorraquídeo (LCR), al dañar las granulaciones de Pacchioni y esto puede conducir al desarrollo de la hidrocefalia. La naturaleza de la proteína en el LCR no se ha determinado, pero se ha sugerido que es parcialmente secretada por los tumores, o representa productos de degradación tumoral o fibrinógeno. (10 La hemorragia subaracnoidea que se presenta en alrededor del 26 % de los pacientes con tumores espinales puede ser responsable del aumento de las proteínas del LCR, el defecto de absorción del LCR y la hidrocefalia. (10,11,12
La hipertensión intracraneal también se puede ocasionar por la obstrucción en las vías del líquido cefalorraquídeo debido a las gotas de grasa liberadas de forma intermitente por ciertas lesiones espinales, como los quistes epidérmicos y dermoides. (12
La secreción de una gran cantidad de líquido por los tumores también se cree que es un factor etiológico en el desarrollo del aumento de la presión intracraneal. Sin embargo, la hidrocefalia debido a la producción excesiva de LCR ha sido documentada en pacientes con papiloma de plexo coroideo. El bloqueo del flujo de salida del LCR por adherencias aracnoideas y tumores de la unión cervico-medular y la diseminación leptomeníngea intracraneal de tumores distantes de la médula espinal, también se han descrito para producir hidrocefalia y aumento de la presión craneal. (11,12
Sin embargo, existen en ciertos casos de tumores espinales, donde se ha registrado una presión intracraneal elevada incluso con niveles bajos de proteína en LCR, tamaño ventricular normal y estudios de absorción de LCR normal. Por lo tanto, parece probable que en algunos de estos casos el mecanismo de la hipertensión intracraneal sea diferente y pueda ser similar al encontrado en varios trastornos inflamatorios o inmunológicos asociados con la hipertensión intracraneal benigna. (11
Durante intervención quirúrgica practicada se produjo la apertura deliberada de la duramadre para la resección de la porción ventral de la lesión, lo que provocó que los restos hemáticos y cartilaginosos que se originaron en la cirugía, se pusieran en contacto con el LCR. A partir de este hecho, se pueden ubicar algunos elementos que contribuyen a la disminución de la capacidad de absorción del LCR y pueden conllevar a la hidrocefalia. La hemorragia subaracnoidea es el elemento más sustentable, ya que la aracnoiditis postquirúrgica no fue demostrable en estudio de imágenes de resonancia magnética. La hidrocefalia fue corregida mediante la colocación de un sistema derivativo ventrículo peritoneal cuando apareció la complicación, sin embargo, aunque la relación entre esta dos enfermedades no es común; se considera que en ausencia de sintomatología de hipertensión intracraneal en el momento que se desarrolló la ciática radicular pudiera ser el elemento que nos permite considerar la asociación entre las dos entidades.
CONCLUSIONES
El tratamiento de elección para los osteocondromas es la excéresis y por tanto, la resección completa de la capa cartilaginosa es esencial para evitar recurrencia local. La prevención de la hidrocefalia se realiza con una cirugía limpia que prevenga el sangramiento intradural mediante lavado de la cavidad y la hemostasia adecuada.
REFERENCIAS BIBLIOGRÁFICAS
Krishnan Unni K, Inwards CY. Condroma. DAHLIN´S Tumores Óseos [Internet]. 6ta ed. Madrid: Amolca; 2016 [citado 22 May 2018]. Disponible en: Disponible en: http://www.amolca.com.co/images/stories/amolca/medicina/ortopedia-y-traumatologia/tumores-oseos/pag25.pdf
Samper Muarrak H, Pérez Muarrak D, Álvarez Gutiérrez A, Nacaesey Jones R, Díaz Martínez JV, Moreno González R. Encondroma óseo. Presentación de un caso. MEDICIEGO [Internet]. 2014 [citado 10 May 2018];20(2):[aprox.6 p.]. Disponible en: Disponible en: http://www.revmediciego.sld.cu/index.php/mediciego/article/view/55/341
Aparisis Rodríguez F. RM de los tumores óseos. En: Cerezal Pesquera L, García Valtuille R, Abascal Abascal F, Corral Sampedro JF, editores. Resonancia Magnética del sistema músculo esquelético [Internet]. España: Seram; 2008 [citado 03 May 2018]. Disponible en: Disponible en: http://www.serme.es/wp-content/uploads/2016/05/capitulo9p.pdf
Jalón P, Holguín J, Campero A, González Abbati S, Mezzadri JJ, Carrizo A. Osteocondroma Dorsal Solitario: Una Causa Inusual de Compresión Medular. Rev Argent Neuroc [Internet]. 2005 [citado 06 May 18];19(89):[aprox. 10 p.]. Disponible en: Disponible en: http://aanc.org.ar/ranc/items/show/582
Santos Guzmán J, Cantú Reyna C, Cano Muñoz I, Pulido Ayala AK, García A. Osteocondromatosis múltiple hereditaria en una familia. Bol Med Hosp Infant Mex [Internet]. 2016 [citado 06 May 2018];73(2):[aprox. 5 p.]. Disponible en: Disponible en: https://www.sciencedirect.com/science/article/pii/S1665114616000046?via%3Dihub
Phan TG, Krauss WE, Fealey RD. Recurrent Lumbar Ependymoma Presenting as Headache and Communicating Hydrocephalus. Mayo Clin Proc [Internet]. 2000 [citado 14 May 2018];75(5):[aprox. 3 p.]. Disponible en: Disponible en: https://www.mayoclinicproceedings.org/article/S0025-6196(11)63065-6/pdf
Sankhla S, Khan GM. Caudaequinaparaganglioma presenting with intracranial hypertension case report and review of the literature. Neurol India [Internet]. 2004 Jun [citado 14 May 2018];52(2):[aprox. 2 p.]. Disponible en: Disponible en: http://www.bioline.org.br/request?ni04073
García Ramos CL, Bunganza Tepole M, Obil Chavarría CA, Reyes Sánchez AA. Osteocondroma espinal: diagnóstico por imagen y tratamiento. Reporte de casos. Cir Cir [Internet]. 2015 [citado 07 May 2018];83(6):[aprox. 5 p.]. Disponible en: Disponible en: https://www.redalyc.org/articulo.oa?id=66242708008
Hadhri K, Tebourbi A, Saidi M, Kooli M. Solitaryosteochondroma arising in lumbar spinous process: Case report. Acta Orthop Traumatol Turc [Internet]. 2016 [citado 14 May 2018];50(6):[aprox.4 p.]. Disponible en: Disponible en: https://www.ncbi.nlm.nih.gov/pmc/articles/PMC6197442/.
Rocha Maguey J, Sánchez Hernández D, Villarreal Careaga J, Cortez Hernández JA, Cabrera López M. Condroma de la columna torácica. Arch Salud Sin [Internet]. 2009 [citado 09 May 2018];3(4):[aprox. 3 p.]. Disponible en: Disponible en: http://132.248.9.34/hevila/ArchivosdesaludenSinaloa/2009/vol3/no4/5.pdf
Mancini J, Chabrol B, Lena G, Gentet JC, Livet MO, Pinsard N. Spinal cord tumor with meningeal invasiveness revealed by intracranial hypertension syndrome. Pediatrie. 1992;47(12):813-816.
Seong Son, Gu Lee S, Woo Park Ch, Kyung Kim W. Acute Hydrocephalus Following Cervical Spinal Cord Injury. J Korean Neurosurg Soc [Internet]. 2013 [citado 16 May 2018];54(2):[aprox. 4 p.]. Disponible en: Disponible en: https://www.jkns.or.kr/journal/view.php?doi=10.3340/jkns.2013.54.2.145
Notas de autor
*Autor para la correspondencia (email): ybetharte@gmail.com