Caso clínico
Fracturas múltiples de la tibia: a propósito de un caso
Multiple fractures of the tibia: a case report
Fracturas múltiples de la tibia: a propósito de un caso
Revista Archivo Médico de Camagüey, vol. 23, núm. 4, pp. 515-521, 2019
Editorial Ciencias Médicas Camagüey
Recepción: 25 Octubre 2018
Aprobación: 29 Diciembre 2018
RESUMEN
Fundamento: las fracturas múltiples son lesiones infrecuentes provocadas por mecanismos tanto únicos como combinados. En la actualidad su incidencia va en aumento debido a la complejidad y alta energía de los traumatismos.
Objetivo: conocer un paciente con fractura múltiple de la tibia y la conducta tomada con este enfermo, que logró recuperar su capacidad funcional.
Presentación del caso: paciente femenina de 60 años de edad, blanca, sin antecedentes mórbidos de salud, la cual sufre accidente al bajarse de un carruaje y es traída al servicio de urgencias de Ortopedia y Traumatología por presentar dolor a nivel de la pierna izquierda, que le impedía la marcha y los movimientos de la zona afectada. Al examen radiográfico se detectó fractura de la meseta tibial lateral y oblicua larga de la tibia que necesitó de intervención quirúrgica mediante la colocación de placa subcutánea a través de dos incisiones.
Conclusiones: las fracturas múltiples son lesiones infrecuentes, más aún cuando se presentan en el mismo hueso por mecanismos de producción distintos. Al ser enfermedades atípicas, la conducta es basada en las características propias de las lesiones asociadas.
DeCS: FRACTURAS DE LA TIBIA/diagnóstico por imagen+ FRACTURAS DE LA TIBIA /cirugía+ FRACTURAS MÚLTIPLES/epidemiología+ FRACTURAS MÚLTIPLES/diagnóstico por imagen+ INFORMES DE CASOS.
ABSTRACT
Background: multiple fractures are uncommon injuries caused by isolated or combined mechanisms. Nowadays, its incidence grows up due to high energy trauma and complex lesions.
Objective: to show a patient with a multiple fracture of the tibia, the used treatment modality to ensure functional recovery.
Case report: a 60 years old white female patient without morbid antecedents, was taken to the emergency services of Orthopedic and Traumatology complaining of pain, swelling and limitation of movement of the left leg after falling from a carriage. X-rays showed a tibia plateau fracture associated to oblique diaphyseal tibia fracture. Surgical treatment was needed to reduce and fix fractures; a subcutaneous plate was used by two small incisions.
Conclusions: multiple fractures are unusual lesions, even more when the same bone is affected due to different mechanisms. As being atypical lesions treatment is based on fractures features.
DeCS: TIBIAL FRACTURES/diagnostic imaging, TIBIAL FRACTURES/surgery, FRACTURES, MULTIPLE/epidemiology, FRACTURES, MULTIPLE/diagnostic imaging, CASE REPORTS.
INTRODUCCIÓN
Aunque la mayoría de las fracturas ocurren de forma aislada, se debe tener en cuenta que existen lesiones traumáticas múltiples, expresada en lo fundamental por fracturas concomitantes como es el caso de pacientes que sufren caída de altura y presentan fractura de columna vertebral y de calcáneo de manera simultánea, o la asociación entre fracturas del extremo proximal del fémur, el radio distal o extremo proximal del húmero. 1,2
La incidencia de pacientes que sufren fracturas múltiples es de aproximadamente 4,8 %, según plantea Court-Brown CM. 3 Existe un ligero predominio en el sexo masculino y el número de fracturas es entre dos y ocho, en caso de dos fracturas es del 77,3 %, tres fracturas 16,1 %, y cuatro o más es del 6,5 %. Esta incidencia es aún menor cuando existen fracturas múltiples en el mismo hueso.
El mecanismo de producción de las fracturas múltiples es por lo general el mismo, sin embargo, se pueden adicionar otros mecanismos, ya que por lo general constituyen traumas de alta energía. 4,5
Basados en la complejidad de este tipo de trauma, que se observa con mayor frecuencia cada día en los servicios de urgencia, es importante interrogar al enfermo sobre la cinemática de sus lesiones, para de esta manera y con el apoyo del método clínico identificar todas las lesiones traumáticas. Un ejemplo de fractura múltiple en un mismo hueso, lo constituye las de la diáfisis femoral y el cuello, esta última no es en ocasiones diagnosticada en el momento inicial. 6
Los exámenes imagenológicos desempeñan un papel fundamental en detectar las fracturas múltiples, ya que algunos de estos enfermos tienen trauma craneal asociado y no cooperan con el interrogatorio y exploración física, lo que dificulta la identificación de estas lesiones. 7)
Debido a lo infrecuente de la lesión que se presenta en el trabajo, losautores tienen como objetivo mostrar una paciente con fractura múltiple de la tibia provocada por un mecanismo combinado y la conducta tomada con la enferma, que logró recuperar su capacidad funcional.
PRESENTACIÓN DEL CASO
Paciente de 60 años, blanca, sin antecedentes mórbidos de salud, la cual sufre accidente al bajarse de un carruaje y es traída al servicio de urgencias de Ortopedia y Traumatología por presentar dolor a nivel de le pierna izquierda, que le impedía la marcha y los movimientos de la zona afectada.
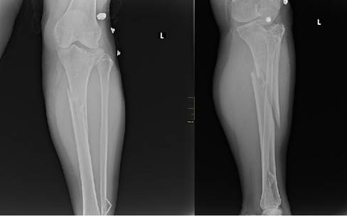
A la exploración física se detectó aumento de volumen desde la articulación de la rodilla hasta las uniones del tercio medio e inferior de la pierna izquierda. Además de lo anterior se constató movilidad anormal y crepitación a nivel del tercio medio de la pierna. Al tener en cuenta los antecedentes de la enferma de trauma y su presentación clínica se envió al departamento de imagenología, para realizar radiografías en vistas antero-posterior y lateral de la tibia afectada donde se observó solución de continuidad del tejido óseo a nivel de la meseta tibial externa tipo tres de Schatzker J, citada por Kuhn KM et al. 6 y tercio medio de la tibia de tipo oblicua larga y del peroné distal (Figura 1).

Los estudios analíticos de urgencia mostraron: hematocrito de 0.40, grupo sanguíneo y factor Rh O+. Debido al edema marcado de la extremidad la paciente es ingresada en el servicio de Ortopedia y Traumatología, donde se le colocó tracción esquelética trans-calcánea por siete días, periodo después del cual la paciente es llevada al salón de operaciones para tratamiento quirúrgico.
Una vez en el quirófano, se comenzó con la reducción de la meseta tibial con perno de Web y luego se utilizó lámina subcutánea para tornillos convencionales y bloqueados de 4,5 milímetros, desde la meseta tibial hasta las uniones del tercio medio e inferior de la tibia. El dispositivo de osteosíntesis se colocó a través de dos abordajes quirúrgicos, para evitar toda la exposición de los tercios proximales y distales de la tibia. La reducción fue corroborada mediante fluoroscopia con intensificador de imágenes (Figura 2).

Posterior a la intervención a la paciente se colocó inmovilización inguinopédica por 10 días para el alivio del dolor y la reducción de la inflamación, periodo después del cual se retiró, para comenzar la terapia de rehabilitación de la extremidad.
La paciente a los tres meses de operada presentó extensión completa y flexión de 80 grados y comenzó el apoyo (Figura 3).

En la actualidad realiza las actividades habituales antes de sufrir el accidente, con consolidación de las fracturas (Figura 4).

DISCUSIÓN
La presentación del caso tiene diversos temas de interés, primero las dos fracturas que presenta no son consideradas por fragilidad y se trata de una paciente de 60 años de edad. Por otra parte, las fracturas múltiples son más reportadas en el sexo masculino y en este caso ocurrió en el femenino. 8,9,10
Por lo general un mismo mecanismo de producción es el encargado de las fracturas múltiples, solo para mencionar un ejemplo, un paciente que sufre una caída con la muñeca en extensión puede tener entre otras fracturas: de escafoides, tercio distal del radio, diafisarias del antebrazo, supracondíleas, clavícula y luxaciones del codo y hombro. Sin embargo, esta paciente presentó dos mecanismos de producción, el primero fue de compresión axial, que le causó la fractura del platillo tibial externo y el segundo mecanismo fue de torsión al causar la fractura oblicua larga de la tibia y peroné por debajo. 1,3
En relación a la fractura de meseta tibial se observó un ligero hundimiento local que no sobrepasó los 10 milímetros, parámetro este aceptado para un paciente de 60 años, sin embargo, al tener la fractura de tibia asociada, se justifica la intervención quirúrgica. 8,9
Las modalidades de tratamiento quirúrgico tanto para las fracturas de meseta tibial y diáfisis tibial son diversas, sin embargo, cuando estas dos lesiones concomitan, resulta difícil tomar una decisión, mucho más si la paciente presenta complicaciones como las vasculo-nerviosas o tiene una fractura abierta primaria o secundaria. 5,10,11
Las láminas de contacto óseo limitado y las diseñadas para colocar con el sistema mínimo invasivo son los implantes de elección, pero estos no están siempre disponibles y el instrumental para colocarlos tampoco, de allí la necesidad de tratar estos enfermos, que por tener lesiones atípicas son necesarias conductas no estandarizadas, donde se conjuga el trabajo en equipo y la experiencia de los cirujanos participantes. 1,10,12
La tibia es un hueso que en su cara anteromedial es de localización subcutánea en casi toda su extensión, de allí que las heridas quirúrgicas tienen pobre cubertura de partes blandas y esto predispone en gran medida a complicaciones entre ellas, la más temida la infección de partes blandas y óseas. 5,7
Por esta razón en este caso, a pesar de no contar con el instrumental original para colocar esta lámina, se emplearon dos incisiones, una proximal más amplia y otra distal pequeña, para proteger las partes blandas alrededor del hueso, lo que permitió fijar y reducir la fractura de forma adecuada, comenzar la rehabilitación y obtener el rango de movimiento y fuerza muscular para la marcha.
CONCLUSIONES
Las fracturas múltiples son lesiones infrecuentes, más aún cuando se presentan en el mismo hueso por mecanismos de producción distintos. Al ser entidades atípicas la conducta es basada en las características propias de las lesiones asociadas.
REFERENCIAS BIBLIOGRÁFICAS
Egol KA, Koval KJ, Zuckerman JD. Handbook of Fractures. 5th ed. Philadelphia: Wolters Kluwer; 2015.
ATLS: Advance Trauma Life Support. 10th ed. American College of Surgeons: Chicago; 2018. p.148-67.
Court Brown CM. The epidemiology of fractures and dislocations. En: Court Brown CM, Heckman JD, McQueen MM, Ricci WM, Tornetta P, editors. Rockwood and Green's Fractures in Adults. 8th ed. Philadelphia: Wolters Kluwer; 2015.p.82-3.
Anandasivam NS, Russo GS, Swallow MS, Basques BA, Samuel AM, Ondeck NT, et al. Tibial shaft fracture: a large-scale study defining the injured population and associated injuries. J Clin Orthop Trauma. 2017 Jul-Sep;8(3):225-31.
Boulton C, O' Toole RV. Tibial and fibular shaft factures. En: Court Brown CM, Heckman JD, McQueen MM, Ricci WM, Tornetta P, editors. Rockwood and Green's Fractures in Adults. 8th ed. Philadelphia: Wolters Kluwer; 2015.p.2415-72.
Kuhn KM, Agarwal A. Femoral fractures. En: Cannada LK, editor. OKU 11 American Academy of Orthopeadic Surgeons: Rosemont; 2014.p.509-20.
Chen F, Huang X, Ya Y, Ma F, Qian Z, Shi J, et al. Finite element analysis of intramedullary nailing and double locking plate for treating extra-articular proximal tibial fractures. J Orthop Surg Res. 2018 Jan;13(1):12.
Graham P. Tibial plateau fracture. Orthop Nurs. 2017 Jul/Aug;36(4):303-5.
Liu YK, Zhou ZY, Liu F. New developments in treatments of tibial plateau fractures. Chin Med J (Engl). 2017 Nov;130(21):2635-8.
Andalib A, Sheikhbahaei E, Andalib Z, Tahririan MA. Effectiveness of minimally invasive plate osteosynthesis (MIPO) on comminuted tibial or femoral fractures. Arch Bone J Surg. [Internet]. 2017 Sep [citado 28 May 2019];5(5):[aprox. 6 p.]. Disponible en: https://www.researchgate.net/publication/320097356_Effectiveness_of_Minimally_InvasivePlate_Osteosynthesis_MIPO_on_Comminuted_Tibial_or_Femoral_Fractures
Marsh JL, Karam MD. Tibial plateau fractures. En: Court Brown CM, Heckman JD, McQueen MM, Ricci WM, Tornetta P, editors. Rockwood and Green's Fractures in Adults. 8 th ed. Philadelphia: Wolters Kluwer; 2015.p.2303-67.
Prat Fabregat S, Camacho Carrasco P. Treatment strategy for tibial plateau fractures: an update. EFORT Open Rev. 2017 Mar;1(5):225-32.
Notas de autor
*Autor para la correspondencia (email): aal.cmw@infomed.sld.cu