Caso clínico
Carcinoma epidermoide de seno maxilar: a propósito de un caso
Squamous cell carcinoma of the maxillary sinus: a case report
Carcinoma epidermoide de seno maxilar: a propósito de un caso
Revista Archivo Médico de Camagüey, vol. 23, núm. 6, pp. 791-796, 2019
Editorial Ciencias Médicas Camagüey
Recepción: 21 Septiembre 2019
Aprobación: 23 Mayo 2019
RESUMEN
Fundamento: el carcinoma epidermoide de seno maxilar es de poca frecuencia, capaz de provocar compromiso estético-funcional por lo que su diagnóstico temprano permitirá al paciente un mejor pronóstico.
Objetivo: exponer aspectos clínicos del carcinoma epidermoide de seno maxilar.
Caso clínico: paciente masculino de raza blanca, 64 años de edad, con aumento de volumen en región orbito-cigomática izquierda de un mes de evolución. La tomografía axial computarizada de senos paranasales reveló imagen heterogénea sugestiva de tumor de seno maxilar del lado izquierdo. El diagnóstico histopatológico reportado fue de carcinoma epidermoide bien diferenciado. Se instauró el tratamiento con quimioterapia y radioterapia concurrente. El motivo de mostrar este caso consiste en aportar experiencias que permitan el diagnóstico temprano de la enfermedad y así mejorar el pronóstico para el paciente.
Conclusiones: un examen clínico minucioso conducirá a un diagnóstico precoz de estas enfermedades que presentan una evolución tórpida y carecen de signos patognomónicos sobre todo en sus estadios iniciales. Es de vital importancia el papel protagónico que tiene la Atención Primaria de Salud para la detección del cáncer el cual constituye una de las primeras causas de muerte en Cuba.
DeCS: CARCINOMA DE CÉLULAS ESCAMOSAS/patología+ CARCINOMA DE CÉLULAS ESCAMOSAS/diagnóstico+ SENO MAXILAR+ INFORMES DE CASOS+ DETECCIÓN PRECÓZ DEL CÁNCER.
ABSTRACT
Background: squamous cell carcinomas of maxillary sinus are rare. It causes esthetic-functional compromise. Therefore, its early diagnosis will allow the patient better prognosis.
Objective: to expose clinical aspects of squamous cell carcinoma in maxillary sinus.
Case report: a clinical case is reported from 64-year-old white male patient with swelling over the orbit-zygomatic area that progressed over 1 month. The paranasal sinus CAT scan showed a heterogenic image suggesting a left maxillary tumor. The histopathological diagnosis reported a well- differentiated squamous cell carcinoma. Chemotherapy and radiotherapy can be used in this case. The scope of showing this case is to provide some aspects that allow the early diagnosis of the aforementioned disease as well as to improve the patients’ prognosis.
Conclusions: the deep clinical examination in patients will allow a soon diagnosis of these pathologies that present a torpid evolution lacking pathognomonic signs mainly in first stages. It is of paramount importance the role of the Primary Health Service in the early detection of cancer, which constitutes one of the main causes of death in Cuba.
DeCS: CARCINOMA, SQUAMOUS CELL/pathology, CARCINOMA, SQUAMOUS CELL/diagnosis, MAXILLARY SINUS, CASE REPORTS, EARLY DETECTION OF CANCER.
Introducción
El carcinoma epidermoide se define como una neoplasia maligna derivada del epitelio plano o que presenta sus características morfológicas. Este tumor suele ser la etapa final de la alteración del epitelio plano estratificado, inicia como una displasia epitelial y evoluciona hasta que las células epiteliales displásicas rompen la membrana basal e invaden el tejido conjuntivo. 1) Sus características más importantes son el rápido crecimiento, la infiltración de tejidos locales, el dolor en etapas avanzadas, el sangramiento y su capacidad de metastizar. (2)
De los tumores malignos de senos paranasales, el 80 % son carcinomas epidermoides, mientras que el 4 % de los casos son adenocarcinomas. 1,2,3,4) Se estima una incidencia de 0,5 y 1,1 casos al año por 100 000 habitantes en hombres y algo más baja en mujeres. 5) La tasa en Cuba junto, con las neoplasias de las fosas nasales es de 0,9 en el hombre y de 0,4 en la mujer. (6) El motivo de mostrar el caso consiste en aportar experiencias que permitan el diagnóstico temprano de la enfermedad y así mejorar el pronóstico para el paciente. Se desea además, destacar la importancia de valorar de forma adecuada síntomas y signos como: aumento de volumen en la región facial y la presencia de fístulas tanto intraorales como extraorales, que pueden llegar a ser manifestaciones de procesos tumorales.
Presentación del caso
Se reportó el caso de un paciente de 64 años de edad, de raza blanca, con antecedentes de tabaquismo y alcoholismo, remitido de su área de salud por aumento de volumen en región facial. Al interrogatorio refiere epistaxis y salida de líquido de aspecto purulento a nivel del reborde alveolar superior izquierdo. Al examen extraoral se observó aumento de volumen en región orbito-cigomática izquierda alrededor de 6 cm de diámetro acompañado por eritema y edema palpebral, a la palpación la zona se encontraba bien delimitada e indurada, alternando con sitios fluctuantes (Figura 1).

Al examen intraoral se detectó fístula a nivel del reborde alveolar superior izquierdo. Se realizó exploración directa donde se detectó comunicación con el seno maxilar. Se tomó muestra del contenido del seno maxilar para biopsia y se indicó tomografía axial computarizada (TAC). El análisis histopatológico (citología) determinó: carcinoma epidermoide de seno maxilar bien diferenciado. En el extendido citológico se observó abundantes células pleomórficas de citoplasma amplio eosinófilo con núcleos irregulares e hipercromáticos, células monstruosas que asientan en fondo sucio con detritus celulares y células inflamatorias agudas (Figura 2).

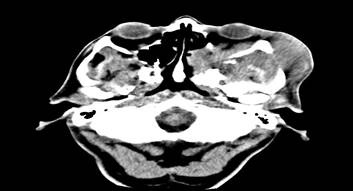
La TAC evidenció masa heterogénea a nivel del seno maxilar, destrucción ósea de la pared lateral del seno, piso de la órbita y arco cigomático, además se observó extensión hacia partes blandas de la región temporo-parietal izquierda (Figura 3 y 4).


El tumor fue clasificado en (T4a, N0, M0), estadio IVa. El paciente fue remitido al Hospital Oncológico de la provincia Camagüey, donde se indicó quimioterapia y radio terapia concurrente. Se tomó consentimiento informado al paciente para la publicación de las fotografías.
Discusión
Los tumores malignos de senos paranasales son raros, representan el 0,8 % de todos los cánceres y están entre el 3-5 % de los que afectan la región de cabeza y cuello. El carcinoma epidermoide de seno maxilar es el más frecuente con una prevalencia de un 25 a 60 % de todos los casos. (7) Afecta más a los hombres y existen diferencias geográficas marcadas. (5,6,8,9)
Estos tumores por lo general son detectados en etapas avanzadas, en el 90 % de los casos en estadios T3/T4 cuando estructuras adyacentes ya están implicadas; carecen de síntomas específicos. (7
El paciente del caso descrito debutó con edema en región orbito-cigomática izquierda y eritema palpebral, al inicio interpretado como una celulitis facial relacionada a sinusitis maxilar por comunicación bucosinusal (presencia de fístula en reborde alveolar superior y epistaxis), luego de diez días bajo tratamiento antimicrobiano el proceso agudo disminuye, se mostró entonces un aumento de volumen de aspecto tumoral.
En la hemiarcada de la zona afectada no existían dientes y el reborde alveolar se encontraba con ligero aumento de volumen. Autores como González Manso B et al., 4 Cobo Vázquez C et al., (7) Jnanadev KR et al., (10) Aduayi OS et al. (11) y Hisham AB et al. (12) reportan la movilidad dentaria y aumento de volumen como síntoma inicial del carcinoma de seno maxilar. Los autores del artículo coinciden con los autores antes mencionados en cuanto a la presencia de aumento de volumen en región facial, fístula oroantral y epistaxis.
Las imágenes de seno maxilar ocupado por masa de aspecto tumoral con compromiso de estructuras óseas vecinas (observadas en la TAC) y el análisis histológico fueron determinantes para el diagnóstico de carcinoma epidermoide de seno maxilar. Llegar a este resultado por lo general es tardío porque los signos y síntomas son inespecíficos. La relación de proximidad del seno maxilar con la base de cráneo, órbita, cavidad nasal, seno esfenoidal, seno etmoidal y el frontal hacen que la planificación del tratamiento sea compleja.
Conclusiones
El carcinoma de seno maxilar es de poca frecuencia. Los signos y síntomas intrabucales observados fueron aumento de volumen en el reborde y fístula, extraoralmente se observó eritema palpebral y aumento de volumen en región orbito-cigomática.
Un examen clínico minucioso por parte del profesional se traducirá en un precoz diagnóstico de estas enfermedades que presentan una evolución tórpida y carecen de signos patognomónicos sobre todo en sus estadios iniciales. Es de vital importancia el papel protagónico que tiene la Atención Primaria de Salud para la detección del cáncer el cual constituye una de las primeras causas de muerte en Cuba.
Referencias bibliográficas
Lamura A, Finol HJ, Garriga EA, D´ Empaire MG, Tinoco PJ, Salazar N, et al. Carcinoma espinocelular de antro y reborde maxilar: tratamiento quirúrgico, estudio histopatológico y ultraestructural. Acta Odontol venez [Internet]. Ene 2001 [citado 03 Jul 2019];39(3):[aprox. 5 p.]. Disponible en: Disponible en: https://www.actaodontologica.com/ediciones/2001/3/carcinoma_espinocelular_antro_reborde_maxilar.asp
Carmona Fernández E, Pérez Hernández A, Velázquez Martínez A, Giniebra Rodríguez MC. Reconstrucción de labio inferior. Rev Cien Méd [Internet]. Mar-Abr 2017 [citado 03 Jul 2019];21(2):[aprox. 5 p.]. Disponible en: Disponible en: http://scieloprueba.sld.cu/scielo.php?script=sci_arttext&pid=S1561-31942017000200018&lng=es
Grando LJ, Fabro SML, Rath IBS, Meurer MI, Daniel FI, Teixeira GV, et al. Carcinoma de seno maxilar en paciente con liquen plano oral: presentación de un caso clínico. Av Odonto estomatol [Internet]. Jul-Ago 2013 [citado 21 Jun 2018];29(4):[aprox. 5 p.]. Disponible en: Disponible en: http://scielo.isciii.es/scielo.php?script=sci_arttext&pid=S0213-12852013000400003&lng=es
González-Manso B, Sotolongo-Terry O, Cruz-Leiva Á. Carcinoma de seno maxilar. Presentación de caso. Medisur [Internet]. 2007 [citado 03 Jul 2019];5(2):[aprox. 4 p.]. Disponible en: Disponible en: http://www.medisur.sld.cu/index.php/medisur/article/view/275
Bagatella F, Russo S. El Tratamiento de los Tumores Malignos del Seno Maxilar [Internet]. Argentina: Federación Argentina de Sociedades de Otorrinolaringología; 2002 [citado 03 Jul 2019]. Disponible en: Disponible en: http://www.bago.com/bago/bagoarg/biblio/otorrino65web.htm
Santana Garay JC. Atlas de patología del complejo bucal. 2da ed. La Habana: Editorial Ciencias Médicas; 2010.
Cobo Vazquez C, Molinero Mourelle P, Garcia Morcote CA, Martínez JM, López Quiles J. Oral Manifestations of Squamous Cell Carcinoma of Maxillary Sinus. SM J Dent [Internet]. 2016 [citado 03 Jul 2019];2(1):[aprox. 5 p.]. Disponible en: Disponible en: https://www.researchgate.net/publication/316844646_Oral_Manifestations_of_Squamous_Cell_Carcinoma_of_Maxillary_Sinus
Thomas Santamaria A. Metástasis cervicales del carcinoma epidermoide de maxilar superior: comparación con el carcinoma de lengua y evaluación del pronóstico [tesis]. Madrid: Universidad Complutense de Madrid; 2017 [citado 03 Jul 2019]. Disponible en: Disponible en: http://eprints.ucm.es/44754/1/T39270.pdf
Dubal PM, Bhojwani A, Patel TD, Zuckerman O, Baredes S, Liu JK, et al. Squamous cell carcinoma of the maxillary sinus: A population-based analysis. Laryngoscope [Internet]. 2016 Feb [citado 03 Jul 2019];126(2):[aprox. 6 p.]. Disponible en: Disponible en: https://www.ncbi.nlm.nih.gov/pubmed/26393540
Jnanadev KR, Sheethal H, Suraj H, Rudresh K. Management of squamous cell carcinoma of the maxillary sinus. J Oral Maxillofac Pathol [Internet]. 2017 Feb [citado 03 Jul 2019];21(2):[aprox. 4 p.]. Disponible en: Disponible en: http://doi.org/10.4103/jomfp.JOMFP_37_17
Aduayi OS, Famurewa OC, Adetiloye VA, Omonisi AE. Squamous cell carcinoma of the maxillary antrum mimicking invasive fungal sinusitis: The diagnostic dilemma of an extensive paranasal sinus mass. J Health Res Rev [Internet]. 2015 [citado 03 Jul 2019];2:[aprox. 5 p.]. Disponible en: Disponible en: http://www.jhrr.org/text.asp?2015/2/3/112/168366
Hisham AB, Mohammed KA. Management of Spindle Cell Carcinoma of the Maxillary Sinus: A Case Report and Literature Review. Am J Case Rep [Internet]. 2014 [citado 03 Jul 2019];15:[aprox. 5 p.]. Disponible en: Disponible en: https://europepmc.org/backend/ptpmcrender.fcgi?accid=PMC4213003&blobtype=pdf
Notas de autor
* Autor por correspondencia (email): rene.cmw@infomed.sld.cu