Caso clínico
Recepción: 29 Mayo 2019
Aprobación: 24 Octubre 2019
RESUMEN
Fundamento: la esquizencefalia de labio abierto, es una malformación del grupo de los trastornos de migración cerebral, la cual se considera como una enfermedad poco común en todo el mundo y cursa con lesiones estructurales graves, dentro de las manifestaciones clínicas más comunes se encuentran las crisis epilépticas de difícil manejo, las alteraciones en el desarrollo del lenguaje, los defectos visuales y la microcefalia.
Objetivo: presentar un caso poco común de malformación cerebral, diagnosticada como consecuencia de una complicación aguda, donde se encontraron otras características atípicas neurológicas, psicológicas y oftalmológicas.
Presentación del caso: mujer de 19 años, con antecedentes prenatales de una malformación congénita del sistema nervioso central que presentaba una hemiparesia espástica desde el nacimiento, pero sin convulsiones ni retraso mental. Fue admitida en servicio de urgencia por signos de hipertensión intracraneal agudos, durante su estancia se realizó tomografía axial computarizada que mostró una esquizencefalia de labio abierto. Fue operada y luego de su recuperación se realizaron exámenes neuropsicológicos y oftalmológicos que mostraron características inusuales en la paciente.
Conclusiones: la presencia de un defecto motor desde el nacimiento necesita de una evaluación imagenológica para estimación estructural de las posibles malformaciones existentes, que permitirá anticiparnos a la aparición de otros síntomas o de complicaciones. La estimulación neuropsicológica precoz activará los mecanismos de plasticidad cerebral con mejora de la calidad de vida.
DeCS: ESQUIZENCEFALIA/cirugía, ESQUIZENCEFALIA/complicaciones, CEREBRO/anomalías, CEREBRO/diagnóstico por imagen, PLASTICIDAD NEURONAL.
ABSTRACT
Background: open-lip schizencephaly is a cerebral malformation of the group of cerebral migration disorders, which is considered a rare disease worldwide and has serious structural lesions, and within the most common clinical manifestations find epileptic seizures that are difficult to manage, alterations in language development, visual defects and microcephaly.
Objective: to present an unusual case of brain malformation, diagnosed as a consequence of an acute complication, where other atypical neurological, psychological and ophthalmological features were found.
Clinical case: 19 years old woman; with a prenatal history of a congenital malformation of the central nervous system due to a spastic hemiparesis from birth, but without seizures or mental retardation. She was admitted to the emergency department for signs of acute intracranial hypertension, and during her stay, computed tomography was performed, which showed an open lip schizencephaly. She underwent surgery and after her recovery, neuropsychological and ophthalmological exams were performed which showed unusual characteristics in the patient.
Conclusions: the presence of a motor defect from birth requires an imaging evaluation for structural estimation of the possible existing malformations, which will allow us to anticipate the appearance of other symptoms or complications. The early neuropsychological stimulation will activate the mechanisms of cerebral plasticity with improvement of the quality of life.
DeCS: SCHIZENCEPHALY/surgery, SCHIZENCEPHALY/complications, CEREBRUM/abnormalities, CEREBRUM/diagnostic imaging, NEURONAL PLASTICITY.
Introducción
La esquizencefalia es una malformación congénita del desarrollo del sistema nervioso central con alteraciones de la migración celular caracterizada por la falta de desarrollo del manto cortical en las zonas donde se forman e invaginan las cisuras cerebrales primarias, lo que provoca una hendidura que compromete el espesor del hemisferio cerebral comunicando el lumen ventricular con el espacio subaracnoideo y sus bordes se encuentran cubiertos por sustancia gris. (1,2
La migración neuroblástica ocurre entre las 12 y 20 semanas de gestación y consiste en el movimiento de las células nerviosas desde su sitio de origen en las regiones ventricular y subventricular hasta la superficie pial del tubo neural, guiadas por el sistema glial radial lo que permite que las neuronas alcancen su lugar definitivo en la neocorteza pero en ocasiones, este proceso se detiene por factores ambientales, genéticos o tóxicos que alteran la vida intrauterina. (2,3
La prevalencia de esquizencefalia dentro del grupo de malformaciones de la migración neuronal está entre el 3-7 % por lo que se considera como una enfermedad poco común en todo el mundo con una tasa de incidencia de 1,54 en 100 000 nacidos vivos en un estudio basado en la población de EE. UU. (1
La esquizencefalia se divide en dos tipos: de labios cerrado o tipo I, en la cual las paredes de la hendidura están en convergencia y no permite el paso de líquido cefalorraquídeo y la de labio abierto o tipo II, en la que las paredes de la hendidura están separadas y se llenan de líquido cefalorraquídeo, conectando el ventrículo lateral con el espacio subaracnoideo y por tanto, hay mayor pérdida de masa hemisférica con respecto a la tipo I. 1) Griffith PD, 4) describe estas anormalidad en tres grupos, según la evaluación por resonancia magnética.
Esquizencefalia (tipo I): presencia de una columna transparente de materia gris anormal, pero sin evidencia de una hendidura que contenga líquido cefalorraquídeo.
Esquizencefalia (tipo II): la hendidura contiene líquido cefalorraquídeo y en los labios hay revestimiento de materia gris anormal.
Esquizencefalia (tipo III): presencia de líquido cefalorraquídeo dentro de la hendidura, sin abultamiento de la sustancia gris anormal.
Las manifestaciones clínicas dependen del tipo y la extensión de la malformación, por lo que en lesiones estructurales menores se presentan hemiparesia congénita leve con espasticidad, convulsiones y retardo mental. En la medida que en las lesiones estructurales son más graves, la clínica se hace más evidente, con presencia de crisis epilépticas de difícil manejo, alteraciones en el desarrollo del lenguaje, defectos visuales y microcefalia. (1) También, es frecuente que se asocien a otras anormalidades somáticas, faciales, paladar hendido y deformidades de la órbita.
El trabajo tiene como objetivo presentar el caso poco común de una malformación congénita del sistema nervioso central, diagnosticada como consecuencia de una complicación aguda, donde se encontraron otras características atípicas neurológicas, psicológicas y oftalmológicas.
Presentación del caso
Paciente femenina de 19 años, con antecedentes prenatales de alfa-feto proteína elevada por lo que se sospechó una enfermedad del sistema nervioso central. Fue producto de un parto eutócico a término. No se constató hidrocefalia al nacimiento con tamaño del cráneo normal, pero presentaba pie varo equino y hemiparesia congénita derecha. Operada en los primeros meses de vida para corregir la deformidad del pie, con fijación de la articulación. En el desarrollo psicomotor se percibió un retardo para el logro de las habilidades en la infancia temprana; pero a pesar de un aprendizaje lento logró los objetivos deseados. Cursó estudios hasta el nivel técnico superior. No se informó historia de convulsiones.
Dentro de los antecedentes patológicos personales se recogió, como más significativo, la cefalea con periodicidad e intensidad moderada que relacionaba con la exposición al sol o la fatiga.
La historia actual de su enfermedad comenzó con cefalea intensa y deterioro del nivel de consciencia por lo que en el momento de ser admitida en el hospital se hallaba somnolienta, de difícil despertar, se mantenía la hemiparesia derecha espástica secuelar y la fundoscopía óptica no mostraba papiledema.
Los estudios hemoquímicos y gasométricos se encontraban dentro de los parámetros normales y se descartó la presencia de una enfermedad infecciosa del sistema nervioso central por lo que se procedió a la realización de la tomografía axial computarizada (TAC), donde se observó la presencia de una imagen hipodensa en comunicación con el ventrículo lateral izquierdo que producía efecto de masa a nivel de la línea media con desviación de 7 mm hacia la derecha con agenesia del cuerpo calloso, escasa diferenciación de la sustancia gris-blanca del lado derecho, tercer ventrículo de aspecto normal. Cisternas basales colapsadas, cuarto ventrículo de 9 mm e hipoplasia del seno frontal izquierdo. Estos hallazgos se interpretaron como una esquizencefalia unilateral de labio abierto por lo que se presumió que el deterioro neurológico se relacionaba directamente con los hallazgos tomográficos (Figura 1).

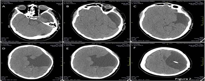
Se practicó de urgencia, una derivación ventricular izquierda al exterior con el objetivo diagnóstico y terapéutico de aliviar la hipertensión del líquido cefalorraquídeo y monitorizar la presión intracraneal, que se mantuvo en valores entre los 250 y 300 mm de H2O. El estudio evolutivo por TAC evidenció el agujero de trépano frontal izquierdo con catéter de derivación y las estructuras de línea media estaban desplazadas menos de 5 mm. Al examen físico, la paciente recobra su nivel de consciencia y se toma la decisión de colocar un sistema derivativo ventrículo peritoneal. La cirugía no mostró complicaciones y la paciente se restableció. Fue egresada del hospital con completa recuperación neurológica de la consciencia, el defecto motor de iguales características y sin convulsiones sobreañadidas (Figura 2).

Discusión
La esquizencefalia es una de las malformaciones cerebrales referida por primera vez, en exámenes de autopsias según Yakovlev y Wadswoth, citado por HalabudaA Klasa L et al. 5 Estos detallaron las características de estas anormalidades y las enunciaron como malformaciones del desarrollo, hicieron énfasis en la simetría, bilateralidad, la extensión hacia el ventrículo y la persistencia de una capa de sustancia gris celular a lo largo de la pared de la hendidura, y propusieron el término esquizencefalia para esclarecer el origen ontogenético. 5)
En la actualidad una de las hipótesis aceptadas es que la lesión se debe a una mutación puntual en el cromosoma 10q26.1, donde se encuentra el gen de desarrollo homeobox EMX2 que se encarga de la configuración del sistema nervioso central y del tracto urogenital. Sin embargo, se han encontrado otros genes afectados en individuos donde la malformación está presente como el SIX3, SHH y COL4A1. (2 La ausencia de afectación genética en otros miembros, ha hecho considerar la presencia de una falla local en la inducción de la migración neuronal con necrosis e isquemia focal y destrucción de la glia radial durante fases tempranas de la gestación. 3
Las presentaciones neurológicas más comunes son: el retraso motriz (38 %), la hidrocefalia (21 %), las convulsiones (13 %) y la hemiparesia (72 %) vigentes desde el nacimiento. 3,5) En el caso, los síntomas y signos encontrados fueron escasos, donde el defecto motor congénito el indicio de la malformación porque requirió cirugía ortopédica correctora en los primeros años de vida dado por la deformidad del pie varo equino; el diagnóstico imagenológico no se completó, porque durante el proceso de aprendizaje se adquirieron las habilidades y los conocimientos que le permitió vencer los diferentes niveles de enseñanza. En esta etapa predominó la cefalea hemicraneana izquierda, periódica, intensa, que se exacerbaba con la luz, la disminución de la agudeza visual, que fue corregida con lentes y la hemiparesia derecha secuelar (Figura 3).

Nunca existieron convulsiones u otros síntomas que requirieran la intervención médica hasta el momento en que acudió a urgencia por el deterioro rápido y progresivo del nivel de consciencia, por lo que se hizo evaluación mediante estudios tomográficos que permitieron identificar una esquizencefalia de labio abierto unilateral y signos de hipertensión intracraneal que fue corroborado una monitorización invasiva de la presión intracraneal que confirmó cifras superiores a 250 mm de H2O.
Estos trastornos originados por la deficiencia de la migración neuroblástica, se le pueden sumar otras malformaciones del sistema nervioso como la ausencia de septum pelucidum, del cuerpo calloso, atrofia del nervio óptico y displasia cerebelosa, entre otros; alguna de ellas presentes en el caso. (6
Sin embargo, son las convulsiones los síntomas más constantes descrito en la literatura, caracterizadas por su difícil control e intensidad variada desde crisis parciales complejas, espasmos infantiles hasta epilepsias generalizadas tónico-clónicas. 7,8 Dada la magnitud de la lesión no se concibe la ausencia de crisis en un sujeto con esquizencefalia tipo II o de labio abierto, sin embargo, la paciente no ha presentado estos tipos de eventos; a pesar que los electroencefalogramas de la infancia, mostraban presencia de irritación cortical a predominio del hemisferio cerebral izquierdo, lo cual no fue confirmado en los estudios posoperatorios.
En la evaluación neuropsicológica no se halló déficit intelectual, ni afectación del lenguaje, o del razonamiento. La memoria y la habilidad visoespacial estaban conservadas, aunque la familia reporta labilidad afectiva, irritación y morosidad en el aprendizaje sin que se consideren, por los estudios, dentro un rango anormal. Lo anterior puede demostrar que las funciones dependientes del trastorno de la migración neuronal de un hemisferio pueden reorganizarse completamente con recuperación de todas las funciones cognitivas en el hemisferio contralateral, por mecanismos de plasticidad cerebral lo que hace que las manifestaciones clínicas sean variables en cada persona. 9
La estimulación y la rehabilitación mejoran la capacidad de reorganización de las funciones corticales moduladas por la actividad gabaérgica básica que inicia los cambios neuroplásticos implicados en la recuperación funcional de la agudeza visual, auditiva, motora y del lenguaje; en tal sentido, el defecto visual evaluado durante los exámenes de perimetría, no ha mermado la capacidad visoespacial tridimensional, a pesar, que el examen practicado mostró una hemianopsia homónima hacia la derecha con diferentes áreas de deterioro visual (Figura 4).

De igual manera, se considera que la ausencia en la afectación del lenguaje responda a una transferencia en el área del lenguaje a otra zona. 8) Lo mencionado contrasta con la mayoría de los estudios revisados donde la esquizencefalia de labio abierto es equivalente a la presencia de convulsiones y afectación cognitiva. 10,11,12 Sin embargo, Ortega Rivero V et al. 13) hacen referencia a un caso donde la rehabilitación física y cognitiva precoz, en la etapa postnatal; permitió mejorar la calidad de vida con una reintegración social adecuada, sin que existiera al momento de finalizar el estudio, detrimento cognitivo ni convulsiones del paciente. (12
Se coincidió en el caso con lo planteado por el autor, puesto que, desde edad temprana la paciente recibió rehabilitación y estimulación neuropsicológica, hasta que adquirió la habilidades motoras e intelectuales, por lo que, en el momento que se reevaluó no se hallaron anormalidades.
La calidad de vida de estos pacientes depende de la detección precoz y la presencia de un medio social propicio que favorezca la estimulación y el logro de las habilidades. Los mecanismos de plasticidad cerebral contribuyen a la adquisición de las destrezas en las etapas tempranas de la vida, por lo que la inserción a la rehabilitación es fundamental para su desarrollo intelectual y motor en el niño.
Conclusiones
Los pacientes con un defecto motor desde el nacimiento necesitan de una evaluación imagenológica para estimación de las posibles malformaciones estructurales existentes, la clasificación de estas lesiones permitirá anticiparce a la aparición de otros síntomas y de complicaciones que evitarán el deterioro cognitivo o nuevas alteraciones futuras.
La resonancia magnética es el estudio que ofrece mayor cantidad de detalles sobre esta malformación cerebral, aunque se debe considerar que en los lugares donde no exista disponibilidad del recurso, la tomografía axial computarizada es una opción para el diagnóstico.
Referencias bibliográficas
Hernández Álvarez Y, Palma Flores D, Aguilera Aguilar M, Varela González D. Esquizencefalia complicada con hidrocefalia. Arch medicina [Internet]. 2016 [citado 01 Abr 2019];12(3):[aprox. 5 p.]. Disponible en: http://www.archivosdemedicina.com/medicina-de-familia/esquizencefalia-complicada-con-hidrocefalia.php?aid=17167
Vélez Domínguez LC. Trastornos de la migración neuronal. Gac Méd Méx [Internet]. 1998 [citado 01 Abr 2019];134(2):[aprox. 8 p.]. Disponible en: https://www.anmm.org.mx/bgmm/1864_2007/1998-134-2-207-215.pdf
Carrizosa Moog J, Cornejo Ochoa W, Mejía Buriticá L, Gómez Hoyos JC. Esquizencefalia: un trastorno de la migración neuronal. Iatreia [Internet]. 2007 [citado 01 Abr 2019];20(3):[aprox. 6 p.]. Disponible en: https://www.redalyc.org/html/1805/180513858005/index.html
Griffiths PD. Schizencephaly revisited. Neuroradiology [Internet]. 2018 [citado 01 Abr 2019];60: [aprox. 15 p.]. Disponible en: https://www.ncbi.nlm.nih.gov/pmc/articles/PMC6096842/.
Halabuda AKlasa L, Kwiatkowski S, Wyrobek L, Milczarek O, Gergont A. Schizencephaly-diagnostics and clinical dilemmas. Childs Nerv Syst [Internet]. 2015 [citado 01 Abr 2019];31(4):[aprox. 5 p.]. Disponible en: https://www.researchgate.net/publication/272513100_Schizencephaly-diagnostics_and_clinical_dilemmas
Ul Hassan A, Khanday S, Rather A, Ul Hassan M. Open lip schizencephaly with agenesis of corpus callosum: a rare embryological defect in combination. Int J Anat Res [Internet]. 2015 [citado 01 Abr 2019];3(1):[aprox. 2 p.]. Disponible en: https://www.researchgate.net/publication/276301283_OPEN_LIP_SCHIZENCEPHALY_WITH_AGENESIS_OF_CORPUS_CALLOSUM_A_RARE_EMBRYOLOGICAL_DEFECT_IN_COMBINATION
López Herrera JF, García Ramírez R, Sánchez Vaca G, Pérez Zárate MA. La esquizencefalia como causa de epilepsia. Revisión de la literatura e informe de un caso. Rev Mex Pediatr [Internet]. 2000 [citado 01 Abr 2019];67(1):[aprox. 5 p.]. Disponible en: https://docplayer.es/44387345-Iatreia-issn-universidad-de-antioquia-colombia.html
Pires do Amaral JG, Hidek Yanaga R, Jungblut Geissler H, de Carvalho Neto A, Bruck I, Antoniuk SA. Esquizencefalia. Relato de onze casos. Arq Neuropsiquiatr. 2001;59(2A):244-249.
Dedeu Martínez AJ, Rodríguez Palacio R, Brown Martínez M, Barbie Rubiera A. Algunas consideraciones sobre neuroplasticidad y enfermedad cerebrovascular. Geroinfo [Internet]. 2008 [citado 01 Abr 2019];3(2):[aprox. 15 p.]. Disponible en: https://www.sld.cu/galerias/pdf/sitios/gericuba/neuroplasticidad_y_ecv.pdf
Velusamy S, Sindhubharathi S, Krishnakumar B. Schizencephaly with hemiparesis in a child. A case report. Stanley Med J [Internet]. 2016 [citado 01 Abr 2019];3(2):[aprox. 2 p.]. Disponible en: https://www.smj.org.in/article/pdf/126.pdf
De la Cruz Ramírez W. Epilepsia por porencefalia familiar: hallazgos clínicos, electroencefalográficos y de resonancia magnética. Familial porencephaly epilepsy: clinical, EEG and MRI findings. Rev Neuropsiquiatr [Internet]. 2017 [citado 01 Abr 2019];80(4):[aprox. 5 p.]. Disponible en: https://www.scielo.org.pe/pdf/rnp/v80n4/a08v80n4.pdf
Fernández Mayoralas M, Fernández Jaén A, Muñoz Jareño N, Calleja Pérez B. La esquizencefalia: malformación cerebral infrecuente. Acta Pediatr Esp. 2008;66(11):575-577.
Ortega Rivera V, Arango Bedoya LM, Pineda Jiménez LM, Suárez Escudero JC. Integridad cognitiva y motora-sensorial en un niño con esquizencefalia de labio abierto unilateral derecho: reporte de caso. Acta Neurol Colomb [Internet]. 2018 [citado 01 Abr 2019];34(1):[aprox. 4 p.]. Disponible en: https://www.scielo.org.co/pdf/anco/v34n1/0120-8748-anco-34-01-00059.pdf
Notas de autor
*Autor por correspondencia (email): ybetharte@gmail.com
Declaración de intereses