Caso clínico
Mixoma intramuscular del antebrazo izquierdo
Intramuscular myxoma of the left forearm
Mixoma intramuscular del antebrazo izquierdo
Revista Archivo Médico de Camagüey, vol. 24, núm. 5, e6720, 2020
Editorial Ciencias Médicas Camagüey
Recepción: 09 Mayo 2019
Aprobación: 19 Agosto 2019
RESUMEN
Fundamento: los mixomas intramusculares son tumores mesenquimales benignos raros del sistema musculoesquelético. Tienen una baja incidencia y aparecen con mayor frecuencia en mujeres en la cuarta y quinta década de la vida.
Objetivo: presentar un caso de mixoma intramuscular del antebrazo izquierdo, que se diagnosticó y se trató en el Hospital Universitario Manuel Ascunce Domenech, con evolución clínica favorable.
Presentación del caso: paciente masculino de 38 años de edad, con antecedentes de salud y aumento de volumen en la cara anterolateral del antebrazo izquierdo, sin otra sintomatología. A la exploración física se palpó tumoración de cinco centímetros de diámetro, de superficie lisa, móvil, laxa y no dolorosa. La ultrasonografía de partes blandas mostró una imagen de baja ecogenicidad, de bordes bien definidos y cápsula fina e íntegra, rodeada por músculo que medía 53 mm X 35 mm. Se decidió tratamiento quirúrgico para excéresis y biopsia. La misma reveló lesión hipocelular e hipovascular, compuesta por células fusiformes sin atipia, separadas por abundante matriz mixoide extracelaular. En estos momentos se encuentra con evolución clínica satisfactoria, sin evidencia de recidiva.
Conclusiones: el mixoma intramuscular se presenta como una tumoración de crecimiento lento e indolora poco frecuente. La exéresis total constituye su tratamiento de elección. En la actualidad no existen casos de malignización y su recurrencia se debe a resección incompleta. El diagnóstico final solo se puede realizar luego del estudio histológico. El caso presentado ha tenido una evolución favorable a dos años de la cirugía y sin recidiva.
DeCS: MIXOMA/patología+ MIXOMA/cirugía+ ANTEBRAZO/diagnóstico por imagen+ INFORMES DE CASOS+ RECURRENCIA.
ABSTRACT
Background: intramuscular myxomas are rare benign mesenchimal tumors of musculoskeletal system. They have a low incidence and affect more frequently women in the fourth to fifth decades of life.
Objective: to present a case of intramuscular myxoma of the left forearm diagnosed and treated at Universitary Hospital Manuel Ascunce Domenech with favorable clinical evolution.
Clinical case: a 38 year old male patient with past medical antecedents and volume increase in the left anterolateral forearm without no other symptoms. On physical examination a five centimeters soft, mobile, lax and painless tumor was palpated. The soft tissues echography showed an image of low echogenicity with well-defined margins and a thin and integral capsule, rounded by muscles that sized 53 millimeters long per 35 millimeters wide. Surgical treatment was decided to remove the tumor and biopsy that revealed a hypo-cellular and hypo-vascular lesion, compound by fusiform cells without atypia, split by abundant extracellular myxoid matrix. The patient showed a satisfactory evolution without evidence of recurrence.
Conclusions: intramuscular myxomas are a less frequent slow growing and painless tumors. Complete removal is the treatment of choice. Nowadays there are not cases of malignancy and its recurrence is due to incomplete resection. The final diagnosis can only be achieved by histological study. The presented case had a favorable evolution after two years of surgery without recurrence.
DeCS: MYXOMA/pathology, MYXOMA/surgery, FOREARM/diagnostic imaging, CASE REPORTS, RECURRENCE.
Introducción
Los mixomas intramusculares (MI) son tumores mesenquimales benignos raros del sistema musculoesquelético. Tienen una incidencia de 0,1 a 0,13 por cada 100 000 habitantes y ocurren con mayor frecuencia en mujeres en la cuarta y quinta décadas de la vida. Los MI tienen predilección por los músculos largos del muslo, glúteos, del hombro y miembros superiores. No obstante la localización en el antebrazo es aún más rara. 1,2
En 1863, Rudolf Virchow citado por Rachidi R et al. 2 describieron por primera vez los mixomas y hacía la semblanza con el cordón umbilical. Los criterios histológicos para el diagnóstico fueron establecidos por Arthur Purdy Stout en 1948 citado por Gavriilidis P et al. 3 donde mencionaron que es una verdadera neoplasia mesenquimal compuesta por células estrelladas indiferenciadas en un estroma mixoide con delicadas fibras de reticulina.
Estos tumores pueden aparecer en distintas localizaciones. Los que surgen del músculo esquelético reciben el nombre de MI y fueron descritos por Enzinger FM en 1965 citado por Rachidi R et al. 2 como un subtipo distinto. La mayoría de los MI se presentan como tumoraciones de crecimiento lento, no dolorosas. 2
El objetivo del artículo es presentar un caso de mixoma intramuscular del antebrazo izquierdo, diagnosticado y tratado en el Hospital Universitario Manuel Ascunce Domenech, con evolución clínica favorable.
Presentación del caso
Paciente masculino de 38 años de edad, con antecedentes de salud, que acudió con aumento de volumen en la cara anterolateral media del antebrazo izquierdo, sin otra sintomatología.
Exploración física:
Se palpó tumoración de alrededor de cinco centímetros de diámetro, de superficie lisa, móvil, laxa y no dolorosa a la palpación en cara anterolateral del antebrazo izquierdo y sin cambios en la piel adyacente a la lesión.
Estudios analíticos:
Velocidad de sedimentación globular: 23 mm/h
Leucograma: 6 000 X 109/ L
Glicemia: 4,3 mmol/L
Creatinina: 97 mmol/L
Fosfatasa alcalina: 178 UI/L
Estudios imagenológicos:
Radiografía simple de antebrazo: no alteración del patrón radiológico de partes blanda, no reacción perióstica ni toma ósea.
Ultrasonografía de partes blandas de alta resolución:
Imagen de baja ecogenicidad, de bordes bien definidos y cápsula fina e íntegra, rodeada por músculo estriado del antebrazo que medía 53 mm X 35 mm.
Tratamiento:
Se decidió tratamiento quirúrgico para excéresis y toma de muestra para biopsia. Con el paciente en decúbito supino y anestesia general endovenosa, se realizó abordaje directo sobre la tumoración, mediante disección por planos hasta la musculatura extensora donde se realizó disección roma y se pudo extraer de forma íntegra (Figuras 1 y 2).


Presentó una evolución favorable, dada por ausencia de dolor y fiebre, además de la herida quirúrgica sin secreciones o signos de inflamación, por lo que se egresó al día siguiente y se retiraron las suturas a los 14 días.
A las tres semanas comenzó a realizar las labores habituales. En estos momentos se encuentra con evolución clínica satisfactoria, a dos años de la cirugía sin evidencia de recidiva.
La biopsia escisional reveló al macro: lesión esferoidea bien delimitada con haces musculares en su periferia. En la histología se observó lesión hipocelular e hipovascular, compuesta por células fusiformes sin atipia, separadas por abundante matriz mixoide extracelular, que confirmó el diagnóstico de un mixoma intramuscular.
Discusión
Los mixomas son tumores benignos que aparecen en diferentes localizaciones como: corazón, huesos, tejidos subcutáneos, aponeurosis, tracto urogenital y músculos esqueléticos. Se originan de las células mesenquimales primitivas que pierden la capacidad de producir colágeno, pero incrementa la producción de ácido hialurónico y fibras colágenas inmaduras. 2,3,4
Los MI en el antebrazo son más raros aún, solo siete casos se pudieron constatar en la literatura consultada. 1,5) Afecta con frecuencia a mujeres entre los 40 y los 70 años de edad, lo que difiere del paciente presentado. Desde el punto de vista clínico, los enfermos acuden a consulta por el aumento de volumen, más no por el dolor u otra sintomatología, el caso en cuestión coincidía con la bibliografía consultada. 2,3,4
En el diagnóstico, la ecografía de partes blandas revela una imagen hipoecoica homogénea a menudo con aumento acústico posterior y con pseudocápsula bien definida. 6,7) Datos estos que están en concordancia con el enfermo estudiado.
Desde el punto de vista macroscópico son tumoraciones blancas, ovoides o globulares, que dependen de colágeno tipo III y material mixoide, gelatinoso, en ocasiones con espacios quísticos rellenos de líquido y cubiertos por haces de músculo esquelético o de tejido fascial. 8) Además estos tumores con frecuencia son solitarios, pero en ocasiones se presentan de forma múltiple y asociados a diferentes síndromes como el de Mazabraud, combinado con displasia fibrosa poliostótica y en el síndrome de McCune Albright que no es más que la asociación de displasia fibrosa poliostótica, mixomas intramusculares múltiples, manchas café con leche y disfunción endocrina. 9
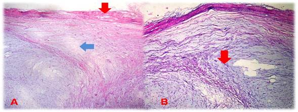
En la histología se aprecian células estrelladas indiferenciadas suspendidas en un estroma mucoide con fibras de reticulina y abundante matriz mixoide (Figura 3).

La celularidad y la vascularización son escasa. Los MI se caracterizan por la ausencia de una cápsula verdadera y la presencia de una pseudocápsula en la que penetra el tejido muscular, 5,7) hallazgos histológicos que coincidieron con los del paciente presentado.
Cualquiera que sea su localización, la resección quirúrgica es el método efectivo para los MI. La recidiva es muy escasa y solo aparece cuando la exéresis no se realiza de forma total. No se han reportado metástasis por este tumor y la histología es quien aporta el diagnóstico definitivo. 10) Al caso presentado se le realizó resección total y no ha presentado recidiva tumoral.
Conclusiones
El MI se presenta como una masa de crecimiento lento e indolora poco frecuente. La excéresis total constituye su tratamiento de elección. En la actualidad no existen casos de malignización y su recurrencia se debe a resección incompleta. El diagnóstico final solo se puede realizar luego del estudio histológico. El caso presentado ha tenido una evolución favorable a dos años de la cirugía y sin recidiva.
Referencias bibliográficas
Nonaka T, Sonohata M, Takeshita S, Oba Y, Fujii Y, Mawatari M. Intramuscular Myxoma in the Supinator Muscle with Transient Postoperative Posterior Interosseous Nerve Palsy: A Case Report. Open Orthop J [Internet]. 2018 [citado 01 Feb 2019];12(1):[aprox. 5 p.]. Disponible en: Disponible en: https://www.ncbi.nlm.nih.gov/pmc/articles/PMC6142668/.
Rachidi R, Sood AJ, Rumboldt T, Day TA. Intramuscular myxoma of the paraspinal muscles: A case report and systematic review of the literature. Oncol Lett [Internet]. 2016 [citado 01 Feb 2019];11(1):[aprox. 5 p.]. Disponible en: Disponible en: http://www.ncbi.nlm.nih.gov/pmc/articles/PMC4726944/.
Gavriilidis P, Balis G, Giannouli A, Nikolaidou A. Intramuscular myxoma of the soleus muscle: A rare tumor in an unusual location. Am J Case Rep [Internet]. 2014 [citado 01 Feb 2019];15(1):[aprox. 3 p.]. Disponible en: Disponible en: http://www.ncbi.nlm.nih.gov/pmc/articles/PMC3917878/.
Yaligod V, Ajoy SM. Intramuscular Myxoma - A Rare Tumor. Orthop Case Reports [Internet]. 2013 [citado 01 Feb 2019];3(4):[aprox. 4 p.]. Disponible en: Disponible en: http://www.ncbi.nlm.nih.gov/pmc/articles/PMC4719287/.
Tirefort J, Kolo FC, Lädermann A. An Interesting Case of Intramuscular Myxoma with Scapular Bone Lysis. Case Rep Orthop [Internet]. 2017 [citado 01 Feb 2019];2017(3):[aprox. 4 p.]. Disponible en: Disponible en: http://www.ncbi.nlm.nih.gov/pmc/articles/PMC5282423/.
Shyam K, Cicilet S, Philip B. Among the fibers: A multimodality imaging review of intramuscular mass lesions. Indian J Radiol Imaging [Internet]. 2018 [citado 01 Feb 2019];28(2):[aprox. 11 p.]. Disponible en: Disponible en: http://www.ncbi.nlm.nih.gov/pmc/articles/PMC6038209/.
Tolis KE, Raptis KG, Zafeiris CP, Antonopoulos DK, Spyridonos SG. A rare intramuscular myxoma of the hypothenar. J Musculoskelet Neuronal Interact [Internet]. 2015 [citado 01 Feb 2019];15(4):[aprox. 3 p.]. Disponible en: Disponible en: http://www.ncbi.nlm.nih.gov/pmc/articles/PMC5628597/.
Granel Villach L, Alcalde Sánchez M, Salvador Marín M, García-Calvo R, Santonja López N, Salvador-Sanchís JL. Diagnóstico diferencial y manejo de mixomas intramusculares: revisión de nuestra experiencia. Cir Ciruj. 2017 Jun;85(4):356-60.
Samper Wamba JD, Fernandez Bermudez MJ, Lorenzo Dominguez T, Ramos Pascua L. Polyostotic fibrous dysplasia associated with intramuscular myxomas: Mazabraud syndrome. Indian J Radiol Imaging [Internet]. 2015 [citado 01 Feb 2019];25(3):[aprox. 4 p.]. Disponible en: Disponible en: http://www.ncbi.nlm.nih.gov/pmc/articles/PMC4531453/.
Spychała A, Murawa D, Niziołek A. Intramuscular myxoma of the left leg-Case report of the lesion observed for several years. Rep Pract Oncol Radiother [Internet]. 2011 [citado 01 Feb 2019];16(2):[aprox. 4 p.]. Disponible en: Disponible en: http://www.ncbi.nlm.nih.gov/pmc/articles/PMC3863276/.
Notas de autor
*Autor por correspondencia (email): erickhg76@gmail.com
Declaración de intereses