Artículo de revisión
Fracturas diafisarias del tercio distal de la tibia
Diaphyseal distal third tibial fractures
Fracturas diafisarias del tercio distal de la tibia
Revista Archivo Médico de Camagüey, vol. 24, núm. 6, e6978, 2020
Editorial Ciencias Médicas Camagüey
Recepción: 27 Agosto 2019
Aprobación: 29 Agosto 2019
RESUMEN
Fundamento: las fracturas diafisarias de la tibia son frecuentes, afectan a pacientes por lo general jóvenes. Las del tercio distal de la tibia tienen peculiaridades debido a su localización anatómica y vascularización.
Objetivo: actualizar los elementos más distintivos de las fracturas diafisarias del tercio distal de la tibia y el enfrentamiento terapéutico.
Métodos: la búsqueda y análisis de la información se realizó en un periodo de cuatro meses (primero de abril de 2019 al 30 de junio de 2019), se emplearon las siguientes palabras claves: distal third tibial fracture, fractures of the distal tibia, diaphyseal tibial fractures. A partir de la información obtenida se realizó una revisión bibliográfica de un total de 563 artículos publicados en las bases de datos PubMed, Hinari, SciELO y Medline mediante el gestor de búsqueda y administrador de referencias EndNote, de ellos se utilizaron 37 citas seleccionadas para realizar la revisión, 33 de los últimos cinco años, además se consultaron 11 libros.
Resultados: se mencionan los bordes anatómicos del tercio distal de la tibia. Se describen los métodos de tratamiento tanto conservador como quirúrgico con especial énfasis en la fijación intramedular y técnica de colocación. Se hace referencia a otros métodos de fijación como la fijación externa, placas y tornillos con indicaciones específicas. Para concluir se aborda el retardo de la consolidación y pseudoartrosis mediante el uso de la proteína ósea morfogenética.
Conclusiones: las fracturas del tercio distal de la tibia necesitan de la pericia del personal médico tratante para disminuir complicaciones relacionadas con las características anatómicas de la zona y biomecánica del trauma.
DeCS: FRACTURAS DE LA TIBIA/complicaciones+ FRACTURAS DE LA TIBIA/terapia+ FRACTURAS DE LA TIBIA/cirugía+ FIJACIÓN INTRAMEDULAR DE FRACTURAS+ PROCEDIMIENTOS ORTOPÉDICOS.
ABSTRACT
Background: the diaphyseal fractures of the tibia are frequent entities that usually affect young patients. Those located in the distal third of the tibia have peculiarities due to their anatomical location and vascularization.
Objective: to update the most distinctive elements of the diaphyseal fractures of the distal third of the tibia and the therapeutic confrontation.
Methods: the information search and analysis was performed over a period of four months (April 1st, 2019 to June 30th, 2019) and the following words were used: distal third tibial fracture, fractures of the distal tibia, diaphyseal tibial fractures. Based on the information obtained, a bibliographic review of a total of 563 articles published in the PubMed, Hinari, SciELO and Medline databases was carried out using the search manager and EndNote reference manager, of which 37 citations selected were used to carry out the review, of them 33 of the last five years and 11 books were consulted.
Results: the anatomical edges of the distal third of the tibia are mentioned. Both conservative and surgical treatment methods are described with special emphasis on intramedullary fixation and placement technique. Reference is made to other fixing methods such as external fixation, plates and screws with specific indications. To conclude, the delay in consolidation and pseudoarthrosis is addressed through the use of morphogenetic bone protein.
Conclusions: fractures of the distal third of the tibia need the expertise of the medical staff to reduce complications related to the anatomical characteristics of the area and biomechanics of the trauma.
DeCS: TIBIAL FRACTURES/complications, TIBIAL FRACTURES/therapy, TIBIAL FRACTURES/surgery, FRACTURE FIXATION, INTRAMEDULLARY, ORTHOPEDIC PROCEDURES.
Introducción
Las fracturas diafisarias de la tibia y el peroné son las más frecuentes de los huesos largos, con una estimación de 26 pacientes por cada 100 000 habitantes. La edad promedio general es de 37 años, con 31 años en el sexo masculino y 54 años en las mujeres. Por otra parte, este tipo de lesión ósea es la que presenta mayor probabilidad de seudoartrosis, según plantean Egol KA et al. 1) En relación con los tres tercios afectados de la diáfisis tibial que son el proximal, medio y distal, este último tiene la más alta incidencia según plantean Clelland SL et al. 2
El tercio distal o inferior de la tibia, tiene características y rasgos distintivos que la convierten en una afección traumática de difícil manejo con probabilidad de mal pronóstico, entre estos elementos se encuentra: pobre cobertura músculo-cutánea (alrededor de un 30 % menor al compararlo con el tercio proximal), que a su vez es responsable de la disminución de la vascularización con la consecuente demora en el proceso de la consolidación ósea, cicatrización de las partes blandas, dehiscencia de las heridas y desarrollo de infecciones. Además, la escasa protección anatómica de esta zona, la hace más vulnerable a las fracturas abiertas, tanto primarias como secundarias. 3,4,5
El tratamiento puede ser conservador o quirúrgico, este último es el más empleado debido a su mayor efectividad. Entre las alternativas quirúrgicas se encuentran: placas, tornillos, fijaciones externas y clavos intramedulares. Cada uno de estos métodos tienen indicaciones precisas, pero el más empleado de manera general es la fijación endomedular, tanto de forma primaria como diferida. 6,7,8
Debido a lo frecuente de esta enfermedad traumática y su difícil tratamiento, los autores del trabajo tienen como objetivo primordial actualizar los elementos más distintivos de su presentación y conducta a seguir.
Métodos
La búsqueda y análisis de la información se realizó en un periodo de cuatro meses (primero de abril de 2019 al 30 de junio de 2019), se emplearon las siguientes palabras: distal third tibial fracture, fractures of the distal tibia, diaphyseal tibial fractures, a partir de la información obtenida se realizó una revisión bibliográfica de un total de 563 artículos publicados en las bases de datos PubMed, Hinari, SciELO y Medline mediante el gestor de búsqueda y administrador de referencias EndNote. Se utilizaron 37 citas seleccionadas para realizar la revisión, de ellas 33 de los últimos cinco años y se consultaron 11 libros.
Se consideraron estudios tanto en pacientes con fracturas abiertas o cerradas. Se excluyeron los estudios en animales.
Desarrollo
El primer paso consiste en determinar la localización y clasificación de la fractura de la diáfisis tibial distal. Uno de los métodos más empleados para ese fin, es el de Ursh Heim o del cuadrado, sin embargo, este sistema no es aplicable a la región maleolar distal de la tibia, de allí que se necesita calcular el centro de la fractura, si está localizado en la diáfisis o en la metáfisis. 9 Cambras RA, 10 define como límite distal de cinco a seis centímetros por encima de la línea articular tibioastragalina.
La elección del tratamiento en pacientes con fracturas del tercio distal de la tibia está basada en factores como: comunicación con el exterior, configuración geométrica, entrenamiento del cirujano, extensión articular, presencia de lesión vascular y daño de las partes blandas. 12,13,14
El tratamiento conservador mediante el uso de la calza de yeso, presenta alta incidencia de pérdida de la reducción y desarrollo de anquilosis articulares debido al largo tiempo que se necesita para lograr la consolidación ósea. 15,16,17
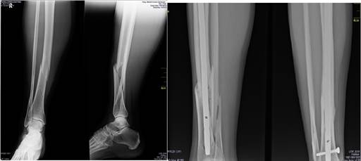
La fijación intramedular es una de las modalidades quirúrgicas más empleadas en fractura de diáfisis tibial, sin tener en cuenta el tercio afectado y se ha visto que la corrección de la alineación en el tercio distal mediante el clavo es mejor, que en el tercio proximal. La mayoría de los clavos intramedulares actuales tienen la posibilidad de fijarse en múltiples planos y distancias (de forma aproximada a 1,5 centímetros del extremo distal del clavo), lo que permite lograr la estabilidad adecuada, aún en la coexistencia de algunas lesiones con extensión intraarticulares, como las no desplazadas, y de fracturas del tobillo no contiguas (Figura 1). 18,19,20

En relación a la colocación de la fijación intramedular en las fracturas del tercio distal de la tibia, es importante evitar la angulación en valgo, que puede lograrse mediante tres métodos; primero: fijación del peroné para alinear el bloque distal de la tibia antes de la colocación del clavo; segundo: emplear tracción calcánea o distractor femoral para lograr corregir la angulación antes de la colocación del dispositivo; tercero y último: es colocar el alambre guía en el centro del fragmento distal de la fractura antes de rimar, este paso puede ser apoyado mediante la transfixión de un alambre de Steinmann paralelo a la superficie articular del fragmento distal, que además ayuda a la reducción (Figura 2). 21,22

Los criterios para la dinamización primaria de las fracturas del tercio distal de la tibia son los mismos que para el resto, en caso de fracturas oblicuas cortas o transversales sin conminución no se realiza bloqueo proximal. Por otra parte, con relación a rimar o no, el rimado del canal se asocia a algunas complicaciones como: elevación de la temperatura intraósea que a su vez causa necrosis térmica, asociación a episodios sistémicos de embolismo graso y posible daño a las partes blandas. Las ventajas del rimado radican en la presencia de injerto óseo endomedular y la posibilidad de colocar clavos de mayor diámetro, lo que aumenta la estabilidad de la fractura. Debido a las características de la zona anatómica en cuestión, es preferible el rimado del canal para garantizar en mayor medida el proceso de consolidación ósea. 18,23,24
La fijación externa puede ser aplicada de forma transitoria o definitiva, en especial para fracturas de alta energía como es el caso típico de las fracturas abiertas estadios IIIB y IIIC de Gustilo RB y Anderson JT, 25 este método también puede ser empleado en pacientes con edema marcado, politraumatizados, presencia de flictenas y desbridamiento a repetición por contaminación del canal medular. La conversión a clavo intramedular debe ser llevada a cabo antes de los 17 a 21 días, para disminuir la probabilidad de infección en el trayecto de los alambres, la cual se presentan hasta en un 50 % de los pacientes. 26,27,28
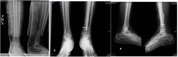
En caso de optar por la fijación externa definitiva se debe tener especial cuidado en el control rotacional y angular de la fractura mediante la realización de radiografías seriadas, esta posibilidad está bien justificada en enfermos con presencia de conminución extensa de localización metafisaria y diafisaria con o sin afección articular (Figura 3) 27,29

Las láminas AO de contacto óseo limitado y colocación percutánea son empleadas en la actualidad en las fracturas del tercio distal de la tibia, pero su costo elevado limita en gran medida su utilización en países en desarrollo. Las dos indicaciones justificadas para este tipo de lesión son: afección metafisaria distal con extensión articular y en caso de que esté contraindicada la fijación intramedular. 30,31,32,33
El retardo de la consolidación y la pseudoartrosis son complicaciones típicas de las fracturas diafisarias del tercio distal de la tibia, de allí que se pueden combinar otras técnicas para aumentar el porcentaje de consolidación ósea, como lo es el uso de la proteína morfo genética ósea dos (PMG2), su aplicación disminuye el retardo de la consolidación en un aproximado de 44 %. La aplicación de la PMG2 está contraindicada en caso de: embarazo, pacientes esqueléticamente inmaduros, infección activa, historia de cáncer y alergia conocida al producto. Por otra parte, se debe evitar el uso de antiinflamatorios no esteroideos en particular, hasta dos semanas después de la fractura, ya que pueden interferir en el proceso de consolidación. Los pacientes fumadores suelen necesitar más tiempo para la consolidación que los no fumadores, de allí la importancia de reducir o eliminar este factor en la medida de lo posible. 34,35,36,37
Conclusiones
Las fracturas diafisarias de la tibia que afectan el tercio distal son enfermedades traumáticas frecuentes que necesitan de la experiencia del personal médico para poder dar respuesta de forma adecuada. Las características anatómicas de la zona la convierten en una lesión traumática compleja que necesita de un enfrentamiento personalizado y progresivo. El manejo quirúrgico de este tipo de fracturas permite una consolidación más rápida con menor probabilidad de pérdida de la reducción y seudoartrosis
Referencias bibliográficas
Egol KA, Koval KJ, Zuckerman JD. Handbook of Fractures. 5th ed. Philadelphia: Wolters Kluwer; 2015.
Clelland SJ, Chauhan P, Mandari FN. The epidemiology and management of tibia and fibula fractures at Kilimanjaro Christian Medical Centre (KCMC) in Northern Tanzania. Pan Afr Med J. 2016 Sep;25:51.
Chen Q, Song L, Fang J, Qin X, Lv T, Li X. Effectiveness of diagnosis and treatment of spiral fracture of the distal third of the tibia combined with posterior malleolus fracture a series of ten cases. J Am Podiatr Med Assoc. 2018 Mar;108(2):106-14.
Whittle AP. General principles of fracture treatment. En: Azar FM, Beaty JH, Canale ST, editors. Campbell' Operative Orthopaedics. 13th ed. Philadelphia: Elsevier; 2017.p. 2656-2708.
Alemdaroglu KB, Iltar S, Ozturk A, Gültaç E, Yücens M, Aydogan NH. The role of biplanar distal locking in intramedullary nailing of tibial shaft fractures. Arch Bone Jt Surg. 2019 Jan;7(1):33-7.
Howells N. Injuries of the knee and leg. En: Blom A, Warwick D, Whitehouse MR, editors. Apley&Solomon's System of Orthopaedics and Trauma. Boca Raton: Taylor&Francis Group; 2018.p. 913-36.
Ebraheim NA, Evans B, Liu X, Tanios M, Gillette M, Liu J. Comparison of intramedullary nail, plate, and external fixation in the treatment of distal tibia nonunions. Int Orthop. 2017 Sep; 41(9):1925-34.
Makhni MC, Machni EC, Swart EF, Day CS. Orthopedic Emergencies. New York: Springer; 2017.
Boer P. Diaphyseal fractures: principles. En: Buckley RE, Moran CG, Apivatthakakul T, editors. AO Principles of fracture management. 3rd ed. AO Foundation: Davos; 2017.p.83-92.
Cambras RA. Lesiones traumáticas de la pierna. En: Cambras RA, editor. Tratado de Cirugía Ortopédica y Traumatología. La Habana: Editorial Pueblo y Educación; 1985.p.381-96.
Boulton C, O'Toole RV. Tibial and fibula shaft fracture. En: Court Brown CM, Heckman JD, McQueen MM, Ricci WM, Tornetta P, editors. Rockwood and Green's Fractures in Adults. 8th ed. Philadephia: Wolters Kluwer; 2015.p.2415-71.
Gupta A, Anjum R, Singh N, Hackla S. Outcome of distal both bone leg fractures fixed by intramedullary nail for fibula&MIPPO in tibia. Arch Bone Jt Surg . 2015 Apr;3(2):119-23.
Sobol GL, Shaath MK, Reilly MC, Adams MR, Sirkin MS. The incidence of posterior malleolar involvement in distal spiral tibia fractures: is it higher than we think? J Orthop Trauma. 2018 Nov;32(11):543-7.
Rabbani MJ, Haq AU, Riaz A, Tarar MN, Aslam F. Distally based medial hemisoleus flap: reliable option for distal tibial wounds. J Coll Physicians Surg Pak. 2018 Feb;28(2):129-32.
Kubiak EN, Egol KA. Tibial plateau and tibial fibular shaft fractures. En: Boyer MI, editor. AAOS: Comprehensive Orthopaedic Review 2. Rosemont: American Academy of Orthopaedic Surgeons; 2014.p.431-41.
Namdari S, Pill SG, Mehta S. Orthopedic Secrets. 4th ed. London: Elsevier; 2015.
Segura A,Chiampas G. Leg. En: Sherman SC, editor. Simon's Emergency Orthopedics. 7th ed. New York: Mc Graw Hill Education; 2015.p.506-14.
Attal R, Doshi H, Genelin K. Distal tibia. En: Rommens PM, Hessmann MH, editors. Intramedullary Nailing: a comprehensive guide. London: Springer-Verlag; 2015.p.375-93.
Chan DS, Nayak AN, Blaisdell G, James CR, Denard A, Miles J, et al. Effect of distal interlocking screw number and position after intramedullary nailing of distal tibial fractures: a biomechanical study simulating immediate weight-bearing. J Orthop Trauma . 2015 Feb;29(2):98-104.
Mosheiff R, Leung F. Tibia, diaphysis. En: Rommens PM, Hessmann MH, editors. Intramedullary nailing. London: Springer; 2015.p.347-73.
Guo J, Zhang Y, Hou Z, Li Z. A tip to reduce the malrotation of the spiral tibial fracture intraoperatively. Eur J Orthop Surg Traumatol. 2014 Dec;24(8):1617-23.
McAndrew CM, Ricci WM, Miller AN, Avery MC. Distal tibial intramedullary nailing using an extraarticular, lateral parapatellar approach in the semiextended position. J Orthop Trauma . 2018 Aug;32 Suppl 1:S34-S35.
Yaligod V, Rudrappa GH, Nagendra S, Shivanna UM. Minimizing the complications of intramedullary nailing for distal third tibial shaft and metaphyseal fractures. J Orthop. 2013 Dec;11(1):10-8.
Salem KH. Unreamed intramedullary nailing in distal tibial fractures. Int Orthop . 2013 Oct;37(10):2009-15.
Gustilo RB, Anderson JT. JSBS classics. Prevention of infection in the treatment of one thousand and twenty-five open fractures of long bones. Retrospective and prospective analyses. J Bone Joint Surg Am. 2002 Apr;84(4):682.
Hu R, Ren YJ, Yan L, Yi XC, Ding F, Han Q, et al. Analysis of staged treatment for Gustilo Anderson IIIB/C open tibial fractures. IndianJ Orthop . 2018 Jul-Aug;52(4):411-7.
Lieder C, Hellman M, Haughom B, Szatkowski J. Mid to distal third tibial shaft fractures caused by gunshots: characterization and incidence of distal intra-articular extension. Injury. 2016 Oct;47(10):2347-51.
Tejwani N, Polonet D, Wolinsky PR. External fixation of tibial fractures. J Am Acad Orthop Surg. 2015 Feb;23(2):126-30.
Sun LJ, Wu ZP, Guo XS, Chen H. Management of distal third tibial fractures: comparison of combined internal and external fixation with minimally invasive percutaneous plate osteosynthesis. Int Orthop . 2014 Nov;38(11):2349-55.
Garg S, Khanna V, Goyal MP, Joshi N, Borade A, Ghuse I. Comparative prospective study between medial and lateral distal tibial locking compression plates for distal third tibial fractures. Chin J Traumatol. 2017 Jun;20(3):151-4.
Kent M, Mumith A, McEwan J, Hancock N. The service impact of failed locking plate fixation of distal tibial fractures: a service and financial evaluation at a major trauma centre. Eur J Orthop Surg Traumatol . 2015 Dec;25(8):1333-42.
Shukla R, Jain N, Jain RK, Patidar S, Kiyawat V. Minimally invasive plate osteosynthesis using locking plates for AO 43-type fractures: lessons learnt from a prospective study. Foot Ankle Spec. 2018 Jun;11(3):236-41.
Wang TJ, Ju WN, Qi BC. Novel management of distal tibial and fibular fractures with Acumed fibular nail and minimally invasive plating osteosynthesis technique: a case report. Medicine (Baltimore). 2017 Mar;96(12):e6482.
Cunningham BA, OʼConnor DP, Brinker MR. High rate of union for aseptic distal tibial nonunions in adults treated with slow gradual compression via circular external fixation. J Orthop Trauma . 2018 Jun;32(6):301-5.
Horrigan P, Coughlan MJ, De Baun MR, Schultz B, Bishop JA, Gardner MJ. Avoiding neurovascular risk during percutaneous clamp reduction of spiral tibial shaft fractures: an anatomic correlation with computed tomography. J Orthop Trauma . 2018 Sep;32(9):e376-e380.
Islam MS, Hossain MT, Uddin MN, Chowdhury MR, Hasan MS. Wound coverage of infected open fracture of distal third of tibia by distally based medial hemi-soleus muscle flap. Mymensingh Med J. 2018 Oct;27(4):798-804.
Van den Berg J, Monteban P, Roobroeck M, Smeets B, Nijs S, Hoekstra H. Functional outcome and general health status after treatment of AO type 43 distal tibial fractures. Injury . 2016 Jul;47(7):1519-24
Notas de autor
* Autor por correspondencia (e-mail): aal.cmw@infomed.sld.cu
Declaración de intereses