
Recepción: 25 Agosto 2021
Aprobación: 27 Septiembre 2021
Resumen: El agrietamiento en uniones de aluminio constituye un problema frecuente cuya solución requiere un enfoque científico dada su esencia fenomenológica. En el presente trabajo se determinan las causas del agrietamiento en uniones de aluminio 3003 por soldadura GMAW (gas metal arc welding). El estudio se realizó en uniones reales de un contenedor de productos alimenticios. La muestra se extrajo con disco refrigerado, cuidando no alterar el material para mantener las evidencias de las posibles causas de falla. A la muestra de la unión le fueron realizados los análisis siguientes: inspección visual, análisis químico por espectrometría de emisión óptica, ensayo de tensión del material base y macrografía de las uniones soldadas. Se concluye que la causa del agrietamiento tiene su origen en la falta de fusión y penetración, que actúan como concentraciones de tensión y que fueron originadas por deficiencias en la ejecución de la soldadura.
Palabras clave: falla, agrietamiento, aleaciones de aluminio, soldadura GMAW.
Abstract: A frequent problem, whose solution requires a scientific approach due to its phenomenological essence, is cracking in aluminum joints. The causes of cracking in 3003 aluminum joints by Gas Metal Arc Welding (GMAW) are defined in this research. The study was carried out on actual joints in a food product container. A refrigerated disk was used for extracting the sample, trying not to alter the material to maintain evidence of possible causes of failure. Macrograph of the welded joints, and visual inspection, chemical analysis by optical emission spectrometry, stress testing of base material analyzes were performed to the joint sample. It is conclude that the lack of fusion and penetration is the cause of cracking, which act as stress concentrations and they were originated by deficiencies when carrying out welding.
Keywords: failure, cracking, aluminum alloys, GMAW welding.
1. INTRODUCCIÓN
La ocurrencia de fenómenos de agrietamiento en aleaciones de aluminio constituye un tema de alta repercusión en la técnica moderna, debido al incremento en la utilización de estas aleaciones, dadas sus propiedades mecánicas, su resistencia a la corrosión y su indiscutible bajo valor de densidad (Barnes & Pashby 2008). De manera general, la literatura clasifica los fenómenos de agrietamiento en dos grandes grupos: agrietamiento en frio y agrietamiento en caliente, siendo este último el más frecuente en las estructuras soldadas fabricadas de aluminio (Mossman & Lippold 2002).
El agrietamiento en caliente puede ocurrir como resultado del efecto combinado de la contracción térmica, propio de cualquier proceso de soldadura que involucre calentamiento localizado y enfriamiento, con disminución de la resistencia del material a temperaturas elevadas para soportar dichas tensiones. Las fisuras se pueden presentar en la etapa final de la solidificación del metal depositado, denominándose grietas de solidificación, o las que pueden ocurrir en la zona afectada por el calor de soldadura, que se denominan grietas de licuación, ya que se producen por licuación de fases segregadas en límites de grano, muy próximos a la línea de fusión (International Institute of Welding 2010).
En el caso particular en estudio, el agrietamiento ocurrió en las uniones soldadas de elementos que conformar una parte de un contenedor de productos alimenticios (Figura 1A). Estos orificios (los mayores) sirven para colocar elementos de agitación, los cuales van fijados mecánicamente a través de los orificios menores. Las grietas (Figura 1B) ocurrieron en las uniones “de tapón” sobre un agujero ovalado que une las láminas externa e interna, como se muestra en la Figura 1C.

Según los fabricantes, las láminas están elaboradas de aleación de aluminio de la serie 3000, sometida a un proceso de endurecimiento por deformación, por lo que esta aleación responde a la clasificación 3003 H14, según la especificación ASTM B-209 (2014). El metal de aporte utilizado fue un alambre de aleación de aluminio de 1,2 mm de diámetro con clasificación ER 4043, según la especificación ASW A5.10 (American Welding Society 2018).
Con respecto a las cargas a que estuvo sometida la unión, no existe claridad al respecto, pues las uniones fueron inspeccionadas al final del proceso productivo, no detectándose ninguna falla; sin embargo, en la transportación hasta su lugar de destino se manifestaron las fallas. Por ello, queda como incógnita los tipos y magnitud de las cargas que actuaron durante la trasportación o por las condiciones de sujeción.
En base a lo planteado, el presente trabajo tiene como objetivo fundamental establecer la(s) posible(s) causa(s) de las fallas de las uniones soldadas de parte de un contenedor de productos alimenticios, fabricados de aleación de aluminio 3003 H14.
2. MATERIALES Y MÉTODOS
Para el estudio se extrajo una sección de un contenedor de productos alimenticios donde se manifestó la falla (Figura 2). El corte fue realizado con disco abrasivo refrigerado. En base a trabajos precedentes sobre el tema (Tan et al. 2017; Huang & Cou 2003) a la unión soldada se le realizó: inspección visual, análisis químico, ensayo de tracción y macrografía.
2.1. Inspección visual
La inspección visual fue realzada con el objetivo de observar todos los detalles morfológicos de la unión soldada y de la fractura, para ello se utilizó una lupa con un aumento de 5X.

2.2. Análisis químico por espectroscopía de emisión óptica
El análisis químico por espectrometría de emisión óptica fue realizado con el objetivo de corroborar la correspondencia entre la composición química del material base (exterior e interior) con la especificación con que se declara que fue elaborado (aleación de aluminio 3003). Para ello, fue utilizado un espectrómetro de emisión óptica marca BELEC, modelo COMPACT PORT.
El análisis químico se realizó en zonas representativas del material. Para ello, fueron realizados tres análisis del material interior y tres del exterior y fueron determinados los valores medios de composición.
2.3. Ensayo de tensión del material base
Los ensayos de tensión del metal base fueron realizados con el objetivo de corroborar la correspondencia entre la resistencia a la tensión del material base que se utilizó, en este caso la lámina ubicada en la parte exterior, y el especificado para la aleación de aluminio 3003 H14. Para ello se utilizó una maquina universal de ensayo LEW-600F.
Para el ensayo fueron extraídas tres muestras, en correspondencia con la norma ASTM E-8 (2015). Se identificaron como T1, T2 y T3 y a partir de los resultados fue determinado el valor medio de tensión.
2.4. Macrografía
El objetivo de las macrografías fue comparar la forma y dimensiones de la unión soldada donde ocurrió la falla con respecto a las uniones sin fallas, así como detectar la presencia de discontinuidades macroscópicas del material. Para esto fueron cortadas tres secciones trasversales, como se muestra en la Figura 2.
UF unión con la falla
US1: unión sana 1
US2: unión sana 2
Las muestras fueron preparadas de acuerdo con la norma ASTM E-3 (2011), y atacadas con ácido clorhídrico al 50%, según lo especificado en la ASTM E-340 (2015). Fueron observadas a 50X con la utilización de un microscopio óptico digital modelo D-EL1.
3. RESULTADOS Y DISCUSIÓN
3.1. Inspección visual
En el análisis a detalle se observa, en primer lugar, que el refuerzo de los cordones de soldadura fue desbastado a ras por la parte interior del techo, no observándose ningún tipo de discontinuidad.
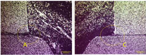
Con respecto a la parte exterior (Figura 3), aparentemente la falla tiene su punto de inicio en la zona térmicamente afectada (ZTA) o la línea de fusión, siendo más probable esta última, y después se propagó por el metal base, siguiendo aproximadamente un patrón que, por su forma curva, pudiera estar relacionado con algunos elementos que le imponían restricción a su movimiento, como por ejemplo una brida en la base del agitador.

Se pudo observar una ligera depresión en la zona del cordón afectado por la falla (Figura 4), como si la lámina interior hubiera traccinado o halado la lámina exterior, de la manera que se muestra en la Figura 5.


3.2. Análisis químico
Los resultados medios del análisis químico (Tabla 1) permiten apreciar que tanto la composición química del material de la lámina exterior como de la interior se encuentra dentro de los valores especificados por la ASTM B-209 (2014). Lo anterior significa que desde el punto de vista de la composición del material base no hay ninguna causa que pueda conducir a la falla.

3.3. Tensión del material base
La Tabla 2 muestra los resultados del ensayo de tracción del material base. La muestra fue elaborada del material exterior, pero es representativa para ambos, ya que como evidencia la Tabla 1, se trata del mismo material.

Si se comparan los resultados de la Tabla 2 con los de la Tabla 3, los valores de resistencia a la tensión de la aleación en estudio (3003 H14) se encuentran en el límite inferior de los valores especificados, de acuerdo con el tipo de tratamiento final (endurecimiento por deformación). De ello se desprende que la aleación en estudio pertenece al grupo H14; sin embargo, el hecho de encontrarse la resistencia a la tensión en el límite inferior, introduce una duda razonable, pudiendo esta propiedad ser más afín a un H12 que a un H14.

3.4. Macrografía
Los resultados de las macrografías se resumen en la Tabla 4. Según las figuras 6, 7 y 8, que muestran en detalle los defectos encontrados en las uniones, en todos los casos hay discontinuidades no admisibles, es decir, defectos de falta de penetración, de fusión y grietas. Es necesario señalar que a pesar de utilizar un procedimiento de soldadura que no está calificado, se hace evidente que el calor aportado durante la ejecución del proceso de soldadura fue adecuado, en correspondencia con el espesor de la chapa y prueba de ello lo constituyen los valores de penetración que el metal de aporte logra en la lámina exterior, y que oscilan alrededor de 1,26 mm. Un poco más se muestran en las figuras de la 6 a la 8.

El origen de los defectos de fusión y penetración mostrados no estuvo en la capacidad térmica del arco, sino en la orientación que el mismo posee y que se evidencia, en que en todos los casos, los puntos de mayor penetración se encuentran cercanos al centro de la ranura y no hacia los costados (arista), como debe corresponder a una unión de filete doble, como es el caso. En la Figura 9 se puede apreciar una comparación entre cómo se ejecutó la unión y como debió ejecutarse para garantizar una adecuada penetración en ese punto, el cual es el responsable de la capacidad de carga de las uniones de filete, fundamentalmente cuando pueden existir cargas variables, de acuerdo con lo planteado en la literatura (Bloem et al. 2001; Tsai, Kim & Papritan 1991). Por lo tanto, de acuerdo a lo antes expresado, la causa fundamental de la ocurrencia de estos defectos está en la pobre ejecución de los cordones que forman la unión, dado por deficiencias en la habilidad de los soldadores que la ejecutaron.

4. CONCLUSIONES
Desde el punto de vista de composición química y propiedades mecánicas, los materiales base correspondientes a la lámina externa e interna se encuentran dentro de los valores especificados en la ASTM B-209 (2014) para la aleación de aluminio 3003.
Las fallas ocurridas no están vinculadas a los tipos tradicionales agrietamiento en caliente que ocurren en las aleaciones de aluminio, y que no son típicas de las aleaciones Al-Mn, ya que tuvieron su origen en defectos de fusión y penetración que presentaron las uniones soldadas.
Los defectos provocados por la ejecución de la soldadura, pudieron constituir concentraciones de esfuerzos que posibilitaron la aparición de grietas cuando las uniones fueron sometidas a cargar externas de origen y magnitud desconocidas; el valor de resistencia a la tensión del metal base pudo posibilitar la propagación de las mismas.
5. REFERENCIAS
American Society for Testing and Materials. 2015: Designation: ASTM E-8. Standard Test Methods for Tension Testing of Metallic Materials.
American Society for Testing and Materials. 2015: Designation: ASTM E-340. Standard Test Method for Macroetching Metals and Alloys.
American Society for Testing and Materials. 2014: Designation: ASTM B-209. Standard Specification for Aluminum and Aluminum-Alloy Sheet and Plate.
American Society for Testing and Materials. 2011: Designation: ASTM E3. Standard Guide for Preparation of Metallographic Specimens.
American Welding Society. 2018: AWS A 5.10-18. Specification for Bare Aluminum and Aluminum-Alloy Welding Electrodes and Rods.
Barnes, T.A. & Pashby, I.R. 2008: Joining techniques for aluminium spaceframes used in automobiles. Journal of Materials Processing Technology, 99 (1–3): 72-79.
Bloem, C.A.; Salvador, M. D.; Amigó, V. & Vicente, A. 2001. Comportamiento a fatiga de uniones soldadas mediante MIG de la aleación de aluminio AA 7020. Memorias Jornadas SAM – CONAMET – AAS, Septiembre, 2001.
Huang, C.; Kou, S. 2003: Liquation Cracking in Partial-Penetration Aluminum Welds: Effect of Penetration Oscillation and Backfilling. Welding Journal, 82(7):184s-194s.
International Institute of Welding. 2010: The Physics of Welding. Wheaton and Co. Ltd., Exeter, Great Britain.
Mossman, M. M. & Lippold J. C. 2002: Weldability Testing of Dissimilar Combinations of 5000- and 6000-Series Aluminum Alloys. Welding Journal, 81(9) :188s-194s.
Tan, Y.B.; Wanga, X.M.; Maaj, M.; Zhanga; X.; Liua, W.C.; Fua, R.D.; Xiangb, S. 2017: A study on microstructure and mechanical properties of AA 3003 aluminum alloy joints by underwater friction stir welding. Materials Characterization, 127: 41–52.
Tsai, C. L.; Kim, D. S. & Papritan, D. J. 1991: Analysis of Fatigue Crack Propagation Behavior in Fillet-Welded T-Joints”. Welding Journal Supplement, june: 150s-155s
Información adicional
Conflicto de intereses: Los autores declaran que no existen conflictos de intereses
Contribución de los autores: EMDC: Trabajó en la concepción general del servicio y en la ejecución de la investigación, así como en la escritura y revisión del informe final. CASP: Trabajó en la ejecución de trabajos de investigación y en el procesamiento y presentación de resultados. ACC: Trabajó en el análisis de los resultados y en la escritura y revisión del documento final. VHPL: Participó como facilitador para la realización del servicio en la industria, creando condiciones para poder ejecutar la extracción y preparación de las muestras y en la interpretación de resultados. MTR: Participó en la realización de los ensayos de laboratorio y en la interpretación de resultados y la revisión del informe final. NMPP: Participó en la realización de la búsqueda bibliografía sobre la temática y en la escritura y revisión del documento final