Reportes de caso
Radiocirugía de lesión metastásica en la fosa posterior con infiltración leptomeníngea focal: reporte de caso y revisión de la literatura
Radiosurgery for Metastatic Posterior Fossa Lesion with Leptomeningeal Infiltration: Case Presentation and Literature Review
Radiocirugía de lesión metastásica en la fosa posterior con infiltración leptomeníngea focal: reporte de caso y revisión de la literatura
Universitas Médica, vol. 57, núm. 3, pp. 383-390, 2016
Pontificia Universidad Javeriana

Recepción: 01/10/2015
Revisado: 16/02/2016
Aprobación: 22/02/2016
Resumen: Las metástasis en la fosa posterior con asociación leptomeníngea en pacientes con cáncer de mama son infrecuentes. La supervivencia promedio posterior al tratamiento es de 4 a 6 meses. En la literatura se han descrito diferentes opciones terapéuticas para este tipo de lesiones. La localización en la fosa posterior puede ser compleja, llegar a afectar estructuras esenciales del sistema nervioso central (SNC) y requerir un manejo oportuno para evitar complicaciones que empeoran el pronóstico y la supervivencia. Este artículo presenta el caso de una paciente de 57 años de edad con una lesión metástasica única en el aspecto superior del vermis cerebeloso con infiltración leptomeníngea focal asociada, que fue manejado con radiocirugía de dosis única. En el seguimiento a 10 meses se documentó mejoría clínica y neurológica, sin evidencia de enfermedad en SNC por imágenes. Adicionalmente, se revisó la literatura al respecto.
Palabras clave: radiocirugía, neoplasias meníngeas, neoplasias encefálicas, neoplasias de la mama, metástasis de la neoplasia.
Abstract: Metastasic lesions in posterior fosa in with leptomeningeal association in patients with breast cancer are unusual, with a mean survival after treatment of 4 to 6 months. Literature describe different treatment options. This location could be difficult and can involve vital structures in Central Nervous System (CNS), requiring opportune treatment, and then avoiding complications related with the prognosis and survival. The case is reported on a 57 yearsold woman with an unique metastasic lesion in the superior aspect of cerebellar vermis with leptomeningeal infiltration associated, treated with unique dose radiosurgery. We follow up the patient for 10 months and we notice clinical and neurological improvement.
Keywords: radiosurgery, meningeal neoplasms, brain neoplasm, breast neoplasms, neoplasm metastasis.
Introducción
Las metástasis en el sistema nervioso central (SNC) se presentan entre un 20 % y un 40 % de los pacientes con cáncer [1]; de ahí que sean una causa muy importante de morbilidad y mortalidad. El tumor primario con la mayor incidencia es el cáncer de pulmón (30 %-60 %), seguido del cáncer de mama. En su mayoría, la localización anatómica de las metástasis se sitúa en los hemisferios cerebrales (80 %), cerebelo (15 %) y tronco (5 %) [2].
Hasta un 30 % de las pacientes con cáncer de mama desarrollan metástasis cerebrales en el curso de su enfermedad, y de las que presentan metástasis cerebrales, aproximadamente, un 20 % tiene enfermedad leptomeníngea, sobre todo en las pacientes con receptores de estrógenos negativos [3]. La invasión a las meninges se puede presentar por vía hematógena, que es la forma más común; sin embargo, puede ser por contigüidad de forma directa, desde una lesión metastásica en el parénquima cerebral.
Tradicionalmente, en el cáncer de mama las metástasis leptomeníngeas se presentan de forma tardía en la historia natural de esta enfermedad; de ahí que el manejo de estos pacientes sea con intención paliativa. Dentro de las modalidades de tratamiento usadas se encuentran la radioterapia cerebral total, la radioterapia craneoespinal, la quimioterapia intratecal y la quimioterapia sistémica. En la actualidad no hay un tratamiento estándar en metástasis leptomeníngeas en pacientes con cáncer de mama, pues las decisiones de tratamiento se basan en el estado funcional del paciente, el tratamiento previo que permita recibir uno adicional y la enfermedad sistémica activa [4].
La radiocirugía ha mostrado su eficacia en el tratamiento de metástasis cerebrales tanto en lesiones únicas como múltiples, bien sea como modalidad única o de forma combinada con radioterapia holoencefálica. Aquí se describe el caso de una mujer con cáncer de mama con metástasis única en una localización compleja y poco frecuente del SNC con infiltración leptomeníngea limitada alrededor de la lesión metastásica y que fue tratada con radiocirugía.
Presentación del caso
El caso corresponde a una mujer de 57 años de edad, natural de Cartagena (Bolívar, Colombia), quien acudió a consulta por la aparición de una masa en la región axilar y en el nódulo mamario derecho. En la valoración que le hicieron se documentó una lesión de 1,5 cm a las 10 y conglomerado axilar patológico. Se le tomó una mamografía que informó BIRDAS 4B; entre tanto, la biopsia del nódulo mamario fue compatible con carcinoma ductal infiltrante grado 1. La tomografía axial computarizada (TAC) de tórax de marzo de 2011 informó un conglomerado ganglionar en la región axilar derecha. Bajo estos hallazgos se le diagnóstico carcinoma ductal infiltrante de mama derecha estadio IIIC, por T1cN3M0, con inmunohistoquímica, que informó receptores de estrógenos negativos (Allred 0), receptores progesterona negativos (Allred 0), HER 2 positivo 3/3 y KI 67 del 15 %, diagnosticado en marzo del 2011.
Por parte del servicio de oncología clínica, se optó por iniciar quimioterapia neoadyuvante con el protocolo de Buzdar con paclitaxel/trastuzumab semanal hasta completar 12/12. Posteriormente se inició un protocolo de FEC modificado más trastuzumab, hasta completar 4 ciclos, en octubre de 2011.
La paciente recibió manejo quirúrgico con cuadrantectomía superoexterna más vaciamiento ganglionar con patología, que informó enfermedad mamaria no proliferativa, ectasia ductal, hiperplasia lobular esclerosante y mastopatía fibradenomatoide, 28 de 28 ganglios negativos para tumor. Se procesaron múltiples cortes sin encontrar evidencia de tumor residual.
Posteriormente, la mujer recibió manejo adyuvante con trastuzumab hasta completar 10 ciclos. También recibió radioterapia adyuvante en el seno derecho y drenaje linfático hasta completar una dosis de 50 Gy en 25 fracciones con técnica de radioterapia de intensidad modulada (IMRT) y refuerzo en lecho hasta completar 60 Gy.
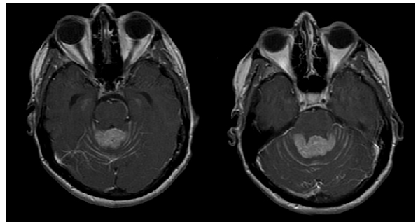
En junio de 2014, la paciente debuta con cefalea, vértigo postural y disminución de la fuerza en el miembro superior derecho, motivo por el cual se solicitó una resonancia nuclear magnética (RNM) cerebral contrastada. A partir de esta se documentó una lesión focal sólida que afectaba el aspecto superior del vermis cerebeloso y el cuarto ventrículo de aspecto metastásico (22 × 17 × 13 mm), asociada a una diseminación leptomeníngea en la fosa posterior. Adicionalmente, se le realizó una RNM de columna cervical, torácica y lumbar con medio de contraste que descartó una afectación metastásica leptomeníngea en esta zona (figura 1)

Bajo estos hallazgos se considera que la paciente requiere ser llevada a tratamiento de carácter urgente con radiocirugía de dosis única, dado el sitio donde se ubicó la lesión (en el vermis cerebeloso en íntimo contacto con el acueducto de Silvio) y la aparición de hidrocefalia supratentorial (figuras 2 y 3).


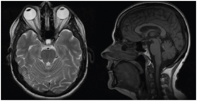
La paciente asistió a controles periódicos hasta 10 meses después del tratamiento. Durante este tiempo refirió mejoría de la cefalea y no se evidenciaron ni deterioro neurológico ni episodios convulsivos; aparte de que mejoró la fuerza de su miembro superior derecho. La RNM cerebral de control reportó una alteración incipiente en el parénquima cerebral, por encima del cuarto ventrículo adyacente y por debajo del vermis, sin que se documentaran realces anormales con la administración del medio de contraste; lo que se correlaciona con el antecedente de radiocirugía (figura 4). Posterior a la realización de la radiocirugía, se inició manejo con trastuzumab entamsine.

Discusión
Dados los avances en el tratamiento sistémico del cáncer de mama, ha aumentado la sobrevida de los pacientes en los estadios avanzados; pero ha aumentado la incidencia de metástasis en el SNC [5,6]. La mayoría de las metástasis en el SNC son parenquimatosas, con afectación leptomeníngea en una proporción pequeña de pacientes. En los casos de enfermedad mínima en las meninges o en pacientes asintomáticos, la detección es difícil. En general, las metástasis leptomeníngeas representan entre el 11 % y el 20 % de las metástasis en el SNC [7]. Estudios prospectivos han mostrado supervivencias globales de 9-30 semanas en cáncer de mama después del diagnóstico de metástasis leptomeníngeas [8,9].
Existe un grupo de pacientes con cáncer de mama con un riesgo alto de metástasis en el SNC, como aquellos con receptores hormonales negativos, comparado con los que tienen receptores hormonales positivos. También se ha encontrado que los que presentan metástasis pulmonares como primer sitio de recaída tienen mayor probabilidad para desarrollar metástasis en el SNC [10].
Varios estudios han mostrado que del 25 % al 40 % de los pacientes con metástasis cerebrales y leptomeníngeas son triple negativo; por lo tanto, el conocimiento biológico del tumor es muy importante, ya que este puede ayudar a definir qué tipo de tratamiento podría ser más efectivo para estos pacientes. Otros factores pronósticos que tienen impacto en la supervivencia son: buen estado funcional inicial, asociado a mejor supervivencia [11]; pacientes con citología del líquido cefalorraquídeo positiva inicial y que con el curso del tratamiento se convierte en negativa; y pacientes con mejoría clínica después del tratamiento [12,13].
Las metástasis leptomeníngeas en el cáncer de mama tienen un mal pronóstico, y conducen a la muerte en menos de 4-6 meses; por ello, un diagnóstico temprano es importante para prevenir un déficit neurológico severo que no pueda ser mejorado con el tratamiento. Una de las limitaciones en el tratamiento con quimioterapia sistémica de dichas metástasis es la pobre penetración al SNC, por lo cual usualmente se requieren diferentes estrategias de manejo.
La radioterapia craneoespinal conduce a respuestas parciales en aproximadamente un 50 % de las pacientes con cáncer de mama y a metástasis leptomeníngeas en reportes limitados [14]. Sin embargo, hay que tener en cuenta la importante toxicidad, en especial citopenias severas, náuseas, vómito y el deterioro funcional secundario al tratamiento. La modalidad más común es la radioterapia holoencefálica en lesiones leptomeníngeas múltiples y para tratar enfermedad micrometastásica oculta, que en general es bien tolerada; pero es bien conocida la disminución neurocognitiva que se presenta con el tiempo, posterior a la exposición a la radiación de la totalidad del cerebro.
La radioterapia localizada a sitios sintomáticos o áreas específicas de la enfermedad leptomeníngea también puede usarse como manejo de este grupo de pacientes, seguido de quimioterapia intratecal o quimioterapia sistémica. Sin embargo, no hay evidencia de la eficacia y el impacto en supervivencia de un tipo de tratamiento en particular para este grupo de pacientes [4].
Para el caso de nuestra paciente con cáncer de mama con metástasis única en el vermis cerebeloso e infiltración meníngea localizada, se considera una localización inusual en la fosa posterior, ya que la mayoría se ubica en los hemisferios cerebelares. Esta lesión metastásica se considera de alto riesgo, dado que puede comprimir el acueducto de Silvio y causar hidrocefalia. Además, la progresión tumoral en la fosa posterior puede producir otro tipo de complicaciones, como disfunción cerebelar, compresión del tallo cerebral, hipertensión endocraneana y herniación cerebelar, que conducen rápidamente al coma y a la muerte. Por lo tanto, el tratamiento se debe realizar de manera urgente.
La radiocirugía se caracteriza por la utilización de dosis altas de radiación en aplicación única o en pocas fracciones sobre volúmenes pequeños. Este tratamiento induce un efecto de necrosis localizada en el tejido. La radiocirugía es una opción de manejo en pacientes con metástasis cerebrales únicas o múltiples (hasta 3 lesiones) con diámetros menores de 3 cm, donde el estándar de manejo es la radioterapia holoencefálica y el refuerzo con radiocirugía. Sin embargo, un tratamiento con solo radiocirugía es una opción que se realizó en el caso de nuestra paciente, quien adicionalmente tenía una infiltración leptomeníngea localizada. Así, el área afectada recibió dosis altas ablativas de radiación con respuesta completa de la lesión al tratamiento, sin evidencia de recaída o progresión a distancia dentro del cerebro o meninges y con mejoría en la calidad de vida.
Conclusión
Por lo general, la supervivencia global de pacientes con afectación leptomeníngea con tratamiento es menor de 4 a 6 meses. Una detección más temprana podría hacer que se realizarán tratamientos más efectivos en pacientes seleccionados con factores de buen pronóstico, entre los cuales la radiocirugía sola o en combinación con radioterapia holoencefálica tendría un impacto importante no solo en el control local, sino en la supervivencia y calidad de vida de este grupo de pacientes.
Referencias
1. Patchell RA. The management of brain metastases. Cancer Treat Rev. 2003;29(6):533-40.
2. Suh JH. Stereotactic radiosurgery for the management of brain metastases. N Engl J Med. 2010;362(12):1119-27. doi: 10.1056/NEJMct0806951
3. de la Monte SM, Hutchins GM, Moore GW. Estrogen and progesterone receptor in prediction of metastasic behavior of breast carcinoma. Am J Med 1984;76:11-7.
4. Scott B, Kesari S. Leptomenigeal metastases in breast cancer. Am J Cancer Res. 2013;3(2):117-26.
5. Frisk G, Svensson T. Incidence and time trends of brain metastases admissions among breast cancer patients in Sweden. Br J Cancer 2012 may 22;106:1850-3. doi: 10.1038/bjc.2012.163.
6. Kesari S, Batchelor TT. Leptomeningeal metastases. Neurol Clin. 2003 Feb;21: 25-66.
7. Altundag K, Bondy ML, Mirza N, Rivera E. Clinico-pathologic characteristics and prognostic factors in 420 metastasic breast cancer patients with central nervous system metastases. Cancer. 2007;110:2640-7.
8. Boogered W, van den bent MJ. The relevante of intraventricular chemotherapy for Leptomeningeal metastases in breast cáncer. Eur J Cancer. 2004;40:2726-33.
9. Hitchins RN, Woods RL. A prospective randomized trial of single-agent versus combinación chemotherapy in meningeal carcinomatosis. J Clin Oncol. 1987;5:1655-62.
10. Slimane K, André F, Delaloge S, Dunant A, Perez A, Grenier J, et al. Risk factors for brain relapse in patients with metastatic breast cancer. Ann Oncol. 2004 Nov;15(11):1640-4. doi: 10.1093/annonc/mdh432
11. Gauthier H, Guilhaume MN, Pierga JY. Survival of breast cancer patients with meningeal carcinomatosis. Ann Oncol. 2010 Nov;21:2183-7.
12. Rudnicka H, Niwinska N, Murawka M. Breast cancer leptomeningeal metastases- the role of multimodality treatment. J Neurooncol. 2007;84(1):57-62.
13. Clarot F, Philippin-Lauridant G, Ouvrier MJ, Nakry T, Laberge-Le-Couteulx S, Guillemet C, et al. Clinical improvement and survival in breast cancer leptomeningeal metastases correlate with the cytologic response to intratecal chemotherapy. J Neurooncol. 2009;95(3):421-6. doi: 10.1007/s11060-009-9940-2
14. Hermann B, Hültenschmidt B, Sautter- Bihl ML. Radiotherapy of the neuroaxis for paliative treatment of leptomeningeal. Strahlenther Onkol. 2001;177(4):195-9.
Notas de autor
rsanchez3004@yahoo.co
Información adicional
Cómo citar: Sánchez Forero RA, Bedoya L. Radiocirugía de
lesión metastásica en la fosa superior con infiltración leptomeníngea focal:
reporte de caso y revisión de la literatura. Univ Med.
2016;57(3):383-90. doi: http://dx.doi.org/10.11144/Javeriana.umed57-3.rlmf