Revisiones de tema
Célula de Büngner*
Célula de Büngner*
Universitas Médica, vol. 58, núm. 1, 2017
Pontificia Universidad Javeriana

Recepción: 18/02/2016
Revisado: 08/08/2016
Aprobación: 18 Octubre 2016
Resumen: Las lesiones del nervio periférico constituyen una condición clínica frecuente; por ello, entender su fisiopatología y los avances en el campo de la regeneración nerviosa es fundamental para brindar el mejor tratamiento a los pacientes. En los últimos años se ha venido dando cada vez mayor importancia a los eventos regenerativos después de la lesión, donde interviene en gran medida una expresión fenotípica única en este proceso, derivada de células ya presentes, fenómeno clave para la recuperación de la función del nervio lesionado. Este artículo revisó la literatura disponible con el objetivo de entender mejor este evento regenerativo y se encontraron procesos celulares y moleculares que suceden en los axones.
Palabras clave: nervio, degeneración walleriana, células de Schwann, regeneración nerviosa.
Abstract: Peripheral nerve injuries are a common clinical condition for which the understanding of the pathophysiology and advances in the field of nerve regeneration are important to provide the best treatment for patients. In recent years, it has been giving increasing importance to the regenerative events after injury, where it operates largely unique phenotypic expression in this process, derived from cells already present, key event for the recovery of nerve function injured. A review of the literature is done with the aim of a better understanding of this regenerative event, finding a series of cellular and molecular processes that go on axonal level.
Keywords: nerve, Wallerian degeneration, Schwann cells, nerve regeneration.
Introducción
Las lesiones del nervio periférico son frecuentes como consecuencia de causas traumáticas, congénitas y metabólicas; por ello su detección, adecuado diagnóstico y tratamiento son fundamentales para que las personas afectadas se recuperen. Debido a ello, el entendimiento de su fisiopatología, especialmente de los eventos regenerativos que suceden desde el mismo momento de la lesión, es fundamental para buscar nuevas alternativas de tratamiento, pues esta afectación, en muchos casos, es catastrófica desde los puntos de vista personal, familiar y laboral. Aún falta mucho por investigar en este campo, sobre todo en los niveles celular y molecular, para comprender los complejos procesos que suceden durante la regeneración axonal y, finalmente, durante la recuperación funcional; pero conocerlos es útil para intentar mejorarlos y acelerarlos, a fin de brindar una mayor y más rápida recuperación. Este artículo intentó revisar lo hasta ahora descubierto de un asombroso fenómeno celular clave durante el proceso de lesión-regeneración del nervio periférico.
En respuesta a la lesión en un nervio periférico se inicia un proceso inflamatorio en su cuerpo celular, sus axones y la placa neuromotora. Este es un proceso regenerativo excepcional, evidenciado por áreas de cromatolisis en el núcleo, que indica aumento metabólico y edema del muñón axonal, que representa la preparación para su crecimiento y la denominada degeneración walleriana en el cabo distal a la lesión, que lleva a la desintegración axonal y mielínica [1], como preparación para recibir los axones que empiezan a crecer desde el cabo proximal.
La degeneración walleriana es un proceso usualmente transitorio, agudo, en reacción a una lesión, que ocurre con el objetivo de regenerar los nervios periféricos y donde es fundamental la participación de las células gliales del sistema nervioso periférico y las células de Schwann (figura 1). Estas células tienen impresionantes propiedades regenerativas y un alto grado de plasticidad fenotípica que desencadenan, incluso, una transformación a gran escala de las células mielínicas y no mielínicas de nervios no lesionados, para intentar reparar las células de Schwann de los nervios lesionados, característica única al promover la reparación y, así, la recuperación funcional, al contrario de las células gliales del sistema nervioso central, las cuales responden de forma supresora para la reparación.

La génesis, el desarrollo y la diferenciación de las células de Schwann se promueven por señales moleculares desde los axones (figura 2). Estas células pueden cambiar de modo natural durante su ciclo vital entre un estado diferenciado y un estado inmaduro o no diferenciado, también denominado fenotipo proliferativo. El estado diferenciado puede ser mielinizante, donde hay asociación uno a uno entre axón y célula de Schwann, o no mielinizante, en el cual múltiples axones de diámetro pequeño son alineados en pliegues de una célula de Schwann, a fin de formar los denominados paquetes o haces de Remak (figura 3).


Ambos estados y el proceso de cambio entre ambos es regulado por factores reguladores intrínsecos celulares: unos positivos, como Krox20, Sox10 y Oct6, los cuales aseguran la mielinización de nervios el tiempo adecuado durante el desarrollo y restablecen la función de las células de Schwann después de la lesión, y otros negativos, como c-Jun, Sox2, Notch, Krox24 y Pax3, los cuales conducen al proceso de dediferenciación y desmielinización, al bloquear la normal inducción de mielinización por parte de la adenosina monofostato cíclico.
La autofagia de las células de Schwann durante la degeneración walleriana o mielinofagia implica la formación de una doble membrana de aislamiento intracelular que envuelve una determinada carga citoplasmática y la transfiere a los lisosomas para su degradación, denominada autofagosoma y está dirigida a destruir la mielina contenida en el interior de las células de Schwann. De esta manera, la vaina de mielina es fragmentada en segmentos ovalados y su degeneración continúa hasta ser reducida a detritus intracelulares, proceso que ocurre durante los primeros cinco o siete días después de la lesión. La segunda fase de desmielinización ocurre por fagocitosis, que es un proceso extrínseco, al atraer macrófagos hematógenos hacia el nervio lesionado por parte de las células de Schwann, y estos, con ayuda de anticuerpos y el complemento, se encargan de la mayor parte de la degeneración de los lípidos y proteínas mielínicas. Las células de Schwann también pueden intervenir en esta fase ayudando a fagocitar los detritus de mielina restantes [2].
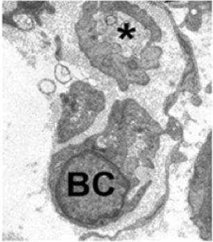
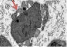
Célula de Büngner
Cuando ocurre lesión, se presenta un retorno pasivo a un estado celular defectuoso o inmaduro de las células de Schwann, al inducir el bloqueo de los factores que mantienen su diferenciación/mielinización. Este proceso se ha descrito como doble, esto es, como una dediferenciación celular unida a una activación de vía alterna de reparación celular, lo que lleva a un cambio de funciones celulares (que en otros sistemas ha sido llamado transdiferenciación) [3], y que en el sistema nervioso periférico se traduce en la aparición de unas nuevas células especializadas en reparación axonal (figura 3), proceso que aún se está estudiando y entendiendo.
Este proceso local axonal consiste en la dediferenciación de células de Schwann maduras en células especializadas de reparación o de Büngner (figura 4). Esto último se ha considerado un estado de activación y un nuevo grado de plasticidad celular que representa un nuevo tipo de células especializadas para la regeneración de los nervios periféricos, al crear vías que guían el axón a su objetivo [4], por medio de pistas de regeneración denominadas bandas de Büngner (figura 5), que llevan las fibras nerviosas hacia el destino apropiado y la restauración de la función. Además, favorecen la supervivencia de las neuronas periféricas afectadas y logran la preservación de axones que, de otra forma, morirían, así como la apertura de la barrera hematoneural, con el fin de reclutar macrófagos en el sitio de lesión para el desbridamiento de mielina.


El proceso de transformación de célula de Schwann a célula de Büngner precisa una reprogramación celular extensa que depende en gran medida de la desmielinización. En el nervio lesionado se activa la vía mTOR, encargada de conducir importantes procesos biosintéticos y acelerar el catabolismo y el crecimiento. Tales funciones, en conjunto con la desmielinización, logran reorganizar el perfil morfológico y molecular de las células mielínicas y no mielínicas para convertirlas en células de Büngner.
Esta plasticidad celular de la célula de Schwann y la aparición de las células de Büngner es regulada por un complejo de vías de señalización y factores de transcripción que son activados en el cabo distal a la lesión en respuesta a esta.
Vías de señalización
Se han podido determinar tres vías de señalización denominadas MAPK: la vía JNK, una serina-treonina cinasa que fosforilasa el factor c-Jun y mejora su actividad y expresión; la vía Ras-MAPK, regulador negativo de la diferenciación y mielinización de la célula de Schwann, y la vía p38 cinasa, de acción promielinizante. Estas vías se requieren para mantener el balance entre promielinización y dediferenciación [5]. Así mismo, los factores de transcripción principalmente involucrados son el c-Jun, Sox2 y la proteína cinasa Erk1/2, que no solo induce la generación de estas células, sino que también lleva a una elevada expresión de citocinas inflamatorias, proteína quimiotáctica de monocitos 1 (MCP-1), factor inhibidor de macrófagos 1 e interleucina 1 (IL-1) [6].
Factor c-Jun
El factor de transcripción c-Jun, que ha sido identificado como antagonista del factor de transcripción promielinizante Krox-20 (también conocido como Egr2) y de señales promielínicas como la elevación de la adenosina monofostato cíclico, durante la lesión está sobrerregulado, lo que lleva al inicio de la degeneración walleriana con el proceso de desmielinización o mielinofagia, más a la regulación de importantes neurotrofinas, como el factor neurotrófico glial derivado, el factor neurotrófico derivado de cerebro, Artemina y Sonic-hedgehog (Shh) y proteínas de la superficie celular como P75NTR, L1, NCAM y N-cadherina, moléculas que posiblemente median las interacciones entre las células de Schwann y los axones [7].
Al promover la masiva dediferenciación de las células de Schwann en sus precursores multipotenciales, expresión fenotípica denominada células de reparación de Büngner, así como su soporte neurotrófico y ambiental necesario para permitir un efectivo crecimiento axonal y reparación neuronal desde el cabo proximal de la lesión, puede controlar también la rata de regeneración axonal. Además, c-Jun interviene en la expresión genómica de las células de Schwann, función que está restringida durante la lesión nerviosa y otras condiciones patológicas, como enfermedades desmielinizantes.
Factor Sox2
El factor de transcripción Sox2 actúa sinergísticamente con el factor c-Jun al promover la inhibición de la mielinización. Es fundamental para formar el “puente nervioso”, a través del defecto producido por la lesión y que guiará el crecimiento de los axones proximales al cabo distal. Tal proceso está mediado entre las células de Büngner ya formadas y fibroblastos nerviosos, activando la recolocación de la N-cadherina y la migración colectiva de los cabos nerviosos lesionados [8].
Conclusiones
La célula de Schwann ha demostrado ser el factor clave en la regeneración del nervio periférico, al volver a su estado no diferenciado y dar origen a las células de Büngner, cuya especialidad es organizar y guiar el crecimiento axonal de un muñón nervioso al otro [9], así como la regulación de factores de transcripción y señales moleculares.
Las características que exhibe el factor c-Jun permiten concluir que actúa como un “regulador global” del programa de reparación que conduce a la regeneración de nervios lesionados.
El entendimiento de cómo el factor c-Jun y los demás factores controlan la biología de esta reparación celular y cómo actúan con otros signos, al igual que la manipulación que se podría hacer de ellos para aumentar el proceso de reparación y mejorar la reparación nerviosa, tiene una importante significación clínica, no solo para las lesiones de diversa etiología del nervio periférico, sino en enfermedades donde se involucren estos tejidos.
Referencias
1. Grinsell D, Keating CP. Peripheral nerve reconstruction after injury: A review of clinical and experimental therapies. Biomed Res Int. 2014;2014:698256. doi: 10.1155/2014/698256
2. Gómez-Sánchez JA, Carty L, Iruarrizaga-Lejarreta M, Palomo-Irigoyen M, Varela-Rey M, Griffith M, et al. Schwann cell autophagy, myelinophagy, initiates myelin clearance from injured nerves. J Cell Biol. 2015;210(1): 53-68. doi: 10.1083/jcb.201503019
3. Jessen KR, Mirsky R. The Schwann cell lineage: Cellular transitions during development and after injury. En: Kettenmann H, Ransom BR, editors. Neuroglia. Oxford: Oxford University Press; 2012. p. 159-71. doi: 10.1093/med/9780199794591.003.0014
4. Kaucká M. Adameyko I. Non-canonical functions of the peripheral nerve. Exp Cell Res. 2014;321(1):17-24. http://dx.doi.org/10.1016/j.yexcr.2013.10.004
5. Salzer JL. Switching myelination on and off. J Cell Biol. 2008;181(4):575-77.
6. Martini R, Klein D, Groh J. Similarities between inherited demyelinating neuropathies and Wallerian degeneration: An old repair program may cause myelin and axon perturbation under nonlesion conditions. Am J Pathol. 2013;183(3):655-60.
7. Hantke J, Carty L, Wagstaff LJ, Turmaine M, Wilton DK, Quintes S, et al. c-Jun activation in Schwann cells protects against loss of sensory axons in inherited neuropathy. Brain. 2014;137(11):2922-37.
8. Kim HA, Mindos T, Parkinson DB. Plastic fantastic: Schwann cells and repair of the peripheral nervous system. Stem Cells Transl Med. 2013;2(8):553-7. doi: 10.5966/sctm.2013-0011
9. Ştefănescu O, Enescu DM, Lascăr I. Schwann cell cultures: recent advances and novel approaches to the reconstruction of peripheral nerve defects. Rom J Morphol Embryol. 2012;53(3):467-71.
Notas de autor
Correspondencia: Luis Eduardo Nieto Ramírez. Calle 119 # 7-14, consultorio 412. Bogotá, Colombia. lenietor@microcirugiamd.com
Información adicional
Cómo citar: Nieto Ramírez LE, Torres
Arciniegas SC, Ríos Rosado EC,
Torres Jiménez IA, Camargo Casas SD. Célula de Büngner.
Univ Med. 2017;58(1). https://doi.org/10.11144/Javeriana.umed58-1.cbun