Artículos
Criptococosis endobronquial: reporte de caso y revisión de la literatura
Endobronchial Cryptococcosis: Case Report and Review of the Literature
Criptococosis endobronquial: reporte de caso y revisión de la literatura
Universitas Medica, vol. 61, núm. 1, pp. 1-7, 2020
Pontificia Universidad Javeriana
Recepción: 02 Junio 2019
Aprobación: 30 Julio 2019
Resumen: La criptococosis pulmonar con afectación endobronquial es una entidad rara tanto en pacientes inmunocompetentes como en aquellos inmunocomprometidos. Comúnmente, se manifiesta como una lesión endobronquial y los hallazgos radiológicos pueden ser confundidos con tuberculosis o neoplasias. El artículo describe un caso de criptococosis endobronquial con afectación del bronquio intermediario en un paciente inmunocompetente que consultó por disnea y hemoptisis. En la literatura sobre el tema se han documentado 28 casos adicionales de criptococosis pulmonar con afectación endobronquial.
Palabras clave: Criptococosis, obstrucción de las vías aéreas, hemoptisis, enfermedades pulmonares fúngicas.
Abstract: Pulmonary cryptococcosis with endobronchial involvement is a rare entity, both in immunocompetent and immunocompromised patients. This entity most commonly manifests as an endobronchial mass lesion and radiological findings can be confused with tuberculosis or neoplasia. Herein, we report a case of endobronchial cryptococcosis involving the bronchus intermedius, in an immunocompetent patient that presented with dyspnea and hemoptysis. Review of the literature revealed 28 additional cases of pulmonary cryptococcosis with endobronchial involvement.
Keywords: Cryptococcosis, airway obstruction, hemoptysis, lung diseases, fungal.
Introducción
La criptococosis es una infección causada por la levadura encapsulada Cryptococcus spp., entre cuyas especies más comunes están neoformans y gatti. Es comúnmente hallado en el suelo, en excremento viejo de aves y madera en descomposición ( 1), que tiene una distribución global ( 2). El Cryptococcus spp. usa las vías respiratorias como medio de entrada y los pacientes pueden presentar diferentes manifestaciones clínicas que varían desde la colonización asintomática de la vía aérea hasta el síndrome de dificultad respiratoria aguda. La mayoría de los pacientes infectados están inmunocomprometidos por el virus de la inmunodeficiencia humana (VIH), por trasplante de órgano sólido, por neoplasias hematológicas, por consumo crónico de corticosteroides o por otras terapias inmunosupresoras ( 3). Las imágenes diagnósticas suelen revelar nódulos únicos o múltiples, consolidaciones lobares o segmentarias u opacidades alveolares; aun así, la afectación endobronquial es rara y se han documentado pocos casos. A continuación, se describe un caso de criptococosis pulmonar con lesión endobronquial en un paciente inmunocompetente quien presentó esputo hemoptoico y disnea.
Presentación del caso
El caso corresponde a un hombre de 35 años de edad, no fumador, procedente del área urbana, soldador de arco y sin antecedentes patológicos, que presentaba un cuadro de dos años de evolución de disnea, tos con esputo hemoptoico y dolor pleurítico. El paciente no refería pérdida de peso, sudoración nocturna o sibilancias. Consultó a un hospital local donde fue evaluado por medicina general y donde se le realizó una tomografía axial computarizada (TAC) de tórax en la cual se evidenciaban linfadenopatías paratraqueales, subcarinales e hiliares izquierdas.
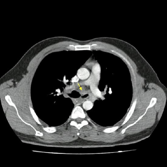
Ingresó a nuestra institución con una frecuencia cardiaca de 80 latidos/min, frecuencia respiratoria de 18 respiraciones/min, presión arterial en 118/76 mm Hg, temperatura de 36,5 ºC, saturación de oxígeno del 91% al ambiente; examen pulmonar normal y sin signos neurológicos. Los estudios iniciales revelaron un recuento de leucocitos de 7300/mm 3 con un recuento diferencial de linfocitos del 31% y neutrófilos del 54%, hematocrito del 31%, serología VIH negativa; así como función renal, electrolitos y pruebas de función hepática normales. Se realizó un nuevo TAC de control ( figura 1) que registró un aumento evidente en el tamaño de las linfadenopatías previamente descritas con evidencia de estrechamiento del bronquio principal izquierdo y nódulo subsólido izquierdo.

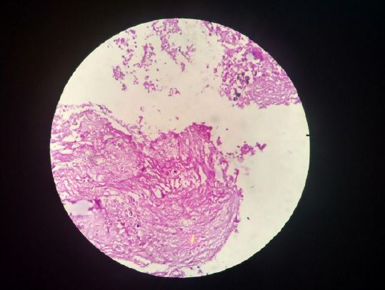
El paciente fue valorado por los servicios de Medicina Interna y Neumología, que consideraron posible tuberculosis, por lo que se le realizó una fibrobroncoscopia para visualizar alguna afectación de la vía aérea. Este último examen confirmó una lesión polipoide rojiza y friable ( figura 2) que obstruía el origen del bronquio fuente izquierdo. La patología de esta biopsia bronquial fue negativa para malignidad, microrganismos micóticos y micobacterias. Se decidió tomar una ecografía endobronquial para biopsias ganglionares, pero no fue posible realizar la toma de las muestras. Se realizó una mediastinoscopia, que confirmó linfadenopatías, y la patología de las biopsias reveló estructuras sugestivas de levaduras de Cryptococcus spp. ( figura 3). Desafortunadamente, el microrganismo no creció en cultivo y no fue posible realizar la serotipificación. Se inició tratamiento con anfotericina B a 0,7 mg/kg cada día por vía intravenosa y después de 3 días se cambió por voriconazol vía oral. Un mes después de iniciar el tratamiento, la disnea, la tos y el esputo hemoptoico habían desaparecido, y seis meses después la broncoscopia de control mostró una reducción del 50% de la obstrucción del bronquio.


Discusión
Las lesiones endobronquiales son una rara manifestación de las infecciones micóticas pulmonares. La revisión de la literatura hecha por Kernak et al. ( 4) encontró que la mayoría de los casos son causados por Aspergillus sp., y muy pocas por Cryptococcus spp., por lo que la afectación endobronquial es una manifestación rara y no reconocida de la criptococosis.
A pesar del hecho de que la mayoría de las infecciones micóticas pulmonares ocurren en pacientes inmunocomprometidos como infecciones oportunistas ( 5), no está establecido si ellos tienen un mayor riesgo de presentar criptococosis endobronquial, por lo que se necesita estudiar más casos. Se realizó una búsqueda de la literatura en Scopus y PubMed usando como búsqueda endobronchial cryptococcosis. Se encontraron en total 28 casos ( 6, 7, 8, 9, 10, 11, 12, 13, 14, 15, 16, 17, 18, 19, 20, 21, 22, 23, 24, 25, 26, 27, 28, 29, 30, 31, 32, 33) de lesiones endobronquiales causadas por este hongo (dos por Cryptococcus gatti ( 10, 29) y el resto fueron causados por Cryptococcus neoformans), y la mayoría fueron documentados en pacientes inmunocompetentes (63%).
Aunque la patogénesis de la infección endobronquial por Cryptococcus spp. no se ha identificado totalmente, se han propuesto varios mecanismos: implantación directa del microrganismo por lesión parenquimatosa adyacente, infiltración directa de la vía aérea por un nódulo linfoide adyacente ( 22) y erosión y protrusión de un nódulo linfoide intratorácico infectado dentro del bronquio ( 34).
Parece no haber una manifestación específica de la enfermedad; sin embargo, los síntomas más comunes son tos no productiva (34,4%), disnea (30%) y hemoptisis (24%); además, ningún hallazgo radiológico se ha relacionado con la enfermedad. Dentro de los hallazgos más frecuentes se encuentra masa no calcificada (40%), colapso pulmonar (17,2%) y nodularidad (17,1%). La manifestación endobronquial más frecuente es una masa blanca o hemorrágica; pero también se han descrito lesiones ulcerativas, placas e inflamación de la mucosa. Solo cuatro pacientes tuvieron que ser sometidos a resección de la lesión endobronquial (13,7%), uno no pudo continuar con el seguimiento, otro sufrió muerte súbita y el resto respondió al tratamiento médico (82,8%) ( tabla 1).



Para el tratamiento de la criptococosis pulmonar en pacientes inmunocompetentes está recomendado el manejo con fluconazol (400 mg al día vía oral) durante 6 a 12 meses. El itraconazol, el voriconazol y el posaconazol también están recomendados como alternativas si el fluconazol no está disponible o está contraindicado. En pacientes con una enfermedad severa, se sugiere la anfotericina B (0,7-1,0 mg/kg por día intravenosa) más flucitosina (100 mg/kg cada día por vía oral en 4 dosis divididas) ( 1). No existen recomendaciones específicas para el tratamiento de las lesiones endobronquiales criptocócicas, por lo que en el caso presentado se aplicaron las usadas para la criptococosis pulmonar que mostraron resultados aceptables.
Conclusión
La criptococosis endobronquial puede imitar radiológica y broncoscópicamente tuberculosis y neoplasias pulmonares; por lo tanto, así la criptococosis sea más común en pacientes inmunocomprometidos, debería ser considerada un diagnóstico diferencial (junto con otras infecciones micóticas) en pacientes inmunocompetentes.
Referencias
Ramana K, Vinay Kumar M. Pulmonary cryptococcosis secondary to bronchial asthma presenting as type I respiratory failure: a case report with review of literature. Virol Mycol. 2012;1(3):1-3.
Salcedo JD, Vera CA, Jaramillo LF. Criptococosis: una causa de insuficiencia adrenal: reporte de caso y revisión de la literatura. Univ Méd. 2015;56(4):460-9.
Perfect JR, Dismukes WE, Dromer F, et al. Clinical practice guidelines for the management of cryptococcal disease: 2010 update by the Infectious Diseases Society of America. Clin Infect Dis. 2010;50(3):291-322.
Karnak D, Avery RK, Gildea TR, Sahoo D, Mehta AC. Endobronchial fungal disease: an under-recognized entity. Respiration. 2007;74(1):88-104.
Ziomek S, Weinstein W, Margulies M, Braun RA. Primary pulmonary cryptococcosis presenting as a superior sulcus tumor. Ann Thorac Surg. 1992;53(5):892-3.
Long RF, Berens S V, Shambhag GR. An unusual manifestation of pulmonary cryptococcosis. Br J Radiol. 1972;45(538):757-9.
Murakami M, Yoshimatsu H, Uozumi T, et al. [A case of primary pulmonary cryptococcosis with formation of a endobronchial tumor and meningitis]. Nihon Kokyuki Gakkai Zasshi. 1985;2(1):122-126. (in Japanese, Abstract in English).
Town GI, Seeman R. Pulmonary cryptococcosis: a report of two cases and review of the literature. N Z Med J. 1985;98(789):894-5.
Chechani V, Kamholz SL. Pulmonary manifestations of disseminated cryptococcosis in patients with AIDS. Chest. 1990;98(5):1060-6.
Carter EA, Henderson DW, McBride J, Sage MR. Case report: Complete lung collapse—An unusual presentation of cryptococcosis. Clin Radiol. 1992;46(4):292-4.
Emmons WW, Luchsinger S, Miller L. Progressive pulmonary cryptococcosis in a patient who is immunocompetent. South Med J. 1995;88(6):657-660.
Mahida P, Morar R, Goolam Mahomed A, Song E, Tissandie JP, Feldman C. Cryptococcosis: an unusual cause of endobronchial obstruction. Eur Respir J. 1996;9(4):837-9.
Montón C, Xaubet A, Solé T, Alós L. Endobronchial cryptococcosis. J Bronchology Interv Pulmonol. 1997;4(2):142-4.
Mito K, Kawano H, Yamakami Y, et al. [Primary pulmonary cryptococcosis with endobronchial lesion]. Nihon Kokyuki Gakkai Zasshi. 2000;38(4):302-6. (in Japanese, Abstract in English).
Kashiyama T, Kimura A. Endobronchial cryptococcosis in AIDS. Respirology. 2003;8(3):386-8.
Okamura M, Nishikawa M, Kenmotsu H, Ishigatsubo Y. Primary bronchopulmonary cryptococcosis. J Bronchol. 2005;12(3):151-2.
Chang Y-S, Chou K-C, Wang P-C, Chen C-H, Yang H-B. Primary pulmonary cryptococcosis presenting as endobronchial tumor with left upper lobe collapse. J Chinese Med Assoc. 2005;68(1):33-6.
Sahoo D, Southwell C, Karnak D, et al. Endobronchial cryptococcosis. J Bronchol. 2005;12(1):236-8.
Peikert T, Tazelaar HD, Prakash UBS. Endobronchial cryptococcosis. J Bronchology Interv Pulmonol. 2005;12(1):59-61.
Inoue Y, Miyazaki Y, Izumikawa K, Yanagihara K, Kakeya H, Sawai T, et al. Pulmonary cryptococcosis presenting as endobronchial lesions in a patient under corticosteroid treatment. Intern Med. 2007;46(8):519-24.
How SH, Kuan YC, Ng TH, Ramachandram K, Fauzi AR. An unusual cause of haemoptysis and headache: cryptococcosis. Malays J Pathol. 2008;30(2):129-32.
Shimizu H, Miyashita N, Obase Y, Sugiu T, Ohue Y, Mouri K, et al. An asymptomatic case of pulmonary cryptococcosis with endobronchial polypoid lesions and bilateral infiltrative shadow. J Infect Chemother. 2008;14(4):315-8.
Goldman JD, Vollmer ME, Luks AM. Cryptococcosis in the immunocompetent patient. Respir Care. 2010;55(11):1499-503.
Artinian V, Dadayan S, Rahulan V, Simoff M. Endobronchial cryptococcosis: a rare cause of lung collapse. J Bronchology Interv Pulmonol. 2010;17(1):76-9.
Thomas R, Christopher DJ, Balamugesh T, James P, Thomas M. Endobronchial pulmonary cryptococcosis and tuberculosis in an immunocompetent host. Singapore Med J. 2012;53(2):e32-4.
Zhou Q, Hu B, Shao C, Zhou C, Zhang X, Yang D, et al. A case report of pulmonary cryptococcosis presenting as endobronchial obstruction. J Thorac Dis. 2013;5(4):E170-3.
Babu A, Gopalakrishnan R, Sundararajan L. Pulmonary cryptococcosis: An unusual presentation. Lung India. 2013;30(4):347.
Handa H, Kurimoto N, Mineshita M, Miyazawa T. Role of narrowband imaging in assessing endobronchial cryptococcosis. J Bronchology Interv Pulmonol. 2013;20(3):249-51.
Nakashima K, Akamatsu H, Endo M, Kawamura I, Nakajima T, Takahashi T. Endobronchial cryptococcosis induced by Cryptococcus gattii mimicking metastatic lung cancer. Respirol Case Reports. 2014;2(3):108-10.
Odashima K, Takayanagi N, Ishiguro T, Shimizu Y, Sugita Y. Pulmonary cryptococcosis with endobronchial lesions and meningitis. Intern Med. 2014;53(23):2731-5.
Sugita C, Tanaka S, Takahashi T. Endobronchial cryptococcosis in a non-HIV immunocompromised patient. J Exp Clin Med. 2014;6(3):105-6.
Davar K, Jose A, Cramer A, Aldrich A, Catalanotti J. Disseminated cryptococcosis with endobronchial lesions. J Gen Intern Med. 2016;31(2):S601.
Shuai S-Y, Xiong L, He X-L, Yu F, Xia Q, Zhou Q. A unique case report of endobronchial cryptococcosis and review of the literature. Respir Med Case Reports. 2018;25:247-52.
Salyer WR, Salyer DC, Baker RD. Primary complex of cryptococcus and pulmonary lymph nodes. J Infect Dis. 1974;130(1):74-7.
Notas
Notas de autor
a Correspondencia: agomez-b@javeriana.edu.co