Reporte de caso
Recepción: 10 Agosto 2020
Aprobación: 22 Septiembre 2020
DOI: https://doi.org/10.11144/Javeriana.umed62-1.hemi
Resumen: La hemicorea inducida por hiperglucemia no cetósica es una complicación poco frecuente de la diabetes mellitus. Se caracteriza por la tríada de movimientos coreiformes involuntarios unilaterales, hiperglucemia sin cetosis e hiperintensidad de los ganglios basales contralaterales en imágenes de resonancia magnética nuclear principalmente en T1 o alta densidad en tomografías computarizadas. Tiene un alto potencial de recuperabilidad total o parcial de su expresión clínica; por esta razón, el diagnóstico y tratamiento oportuno es indispensable para evitar secuelas neurológicas irreversibles. Se presentan dos casos clínicos de este síndrome en los cuales es llamativo la incongruencia de los hallazgos imagenológicos con los clínicos.
Palabras clave: Corea, diabetes mellitus, ganglios basales, hiperglucemia, resonancia magnética nuclear.
Abstract: Hemichorea induced by nonketotic hyperglycemia is a rare complication of diabetes mellitus. It is characterized by the triad of unilateral involuntary choreiform movements, hyperglycemia without ketosis, and hyperintensity of contralateral basal ganglia on nuclear magnetic resonance images mainly on T1 or high density on CT scans. It has a high potential for total or partial recoverability of its clinical expression, for this reason timely diagnosis and treatment is essential to avoid irreversible neurological sequelae. Two clinical cases of this syndrome are presented, in which the inconsistency of the imaging findings with the clinical ones is striking.
Keywords: Chorea, diabetes mellitus, basal ganglia, hyperglycemia, nuclear magnetic resonance.
Introducción
La hemicorea es un trastorno caracterizado por movimientos hipercinéticos, continuos, irregulares, variables e involuntarios que fluyen de forma aleatoria desde un grupo muscular o segmento corporal a otro y son restringidos a un solo hemicuerpo ( 1). Se asocia con una lesión ubicada en los ganglios basales, que puede ser heredada o adquirida. Dentro de las causas adquiridas se ha descrito la hemicorea asociada a hiperglucemia no cetósica (HC-HN), la cual es una manifestación poco frecuente de la diabetes mellitus (DM) ( 2). Dentro de los factores de riesgo asociados se han descrito la DM con pobre control glucémico, edad avanzada y el sexo femenino ( 3).
La HC-HN se caracteriza por la tríada de movimientos coreiformes involuntarios unilaterales, hiperglucemia sin cetosis e hiperintensidad de los ganglios basales contralaterales en imágenes de resonancia magnética nuclear (RMN) ponderadas principalmente en T1 o alta densidad en tomografías computarizadas ( 4). Este síndrome tiene un buen pronóstico, siempre y cuando se mantenga un adecuado control glucémico ( 5). El reconocimiento precoz es importante, ya que un manejo oportuno puede revertir los síntomas y minimizar las complicaciones; además, el diagnóstico y tratamiento tardío puede conllevar secuelas neurológicas irreversibles ( 6).
A continuación, se presentan dos casos clínicos en los cuales se describe el síndrome de hemicorea asociada a HC-HN con hallazgos particulares en la neuroimagen y en las manifestaciones clínicas de cada uno.
Caso clínico 1
El caso corresponde a un hombre de 64 años de edad con historia de DM tipo 2, insulino requirente indicada hace 2 años, pero con pobre adherencia al tratamiento. Consultó a un hospital periférico por el inicio súbito de movimientos involuntarios en su hemicuerpo izquierdo, de características coreicas de predominio distal sin comprometer el estado de conciencia. No se modificaban de forma voluntaria y cedían con el sueño.
Dentro de los exámenes paraclínicos destacaba un uroanálisis con glucosuria y sin cetonuria, hemoglobina glucosilada del 13,8 % y glucemia de 377 mg/dl. Completó 17 días hospitalizado con manejo del control glucémico con insulina y neuroléptico con haloperidol. Lo remitieron a nuestro hospital para toma de resonancia magnética de cerebro simple y contrastada, además de apoyo diagnóstico y terapéutico por parte del servicio de neurología clínica.
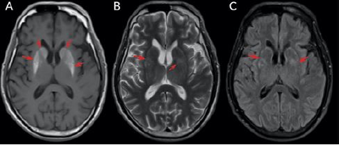
En el ingreso persistía el síndrome clínico, que no se había modificado desde su comienzo. En la inspección general lucía crónicamente enfermo. En los signos vitales tenía presión arterial en 120/60 mmHg, frecuencia cardiaca de 74 latidos por minuto y frecuencia respiratoria de 18 respiraciones por minuto. Los exámenes paraclínicos institucionales aportaron función hepática y renal, vitamina B12, electrolitos, vitamina D, hemograma completo y proteína C reactiva, que fueron normales. Además, se realizaron estudios infecciosos y autoinmunes, que fueron negativos. La neuroimagen ( figura 1) mostró en los núcleos de la base un aumento de la señal en T1 con realce en el medio de contraste de forma bilateral sobre caudado, putamen y globo pálido de forma simétrica; no restringía la difusión ni la susceptibilidad magnética. Se diagnosticó hemicorea asociada con HC-HN. Adicionalmente, se le realizó una angiorresonancia de cerebro que evidenció cambios por su enfermedad crónica y se apreciaban dos imágenes de aspecto sacular, compatibles con dilataciones aneurismáticas, consideradas un hallazgo incidental.

Caso clínico 2
El caso corresponde a una mujer de 66 años de edad con historia de hipertensión arterial, hipotiroidismo y DM tipo 2 insulino requirente con pobre adherencia al tratamiento. Consultó a nuestra institución por movimientos repetitivos involuntarios inicialmente del miembro superior izquierdo desde el hombro hasta la mano izquierda que progresa hasta afectar cuello, cabeza y miembro inferior ipsilateral. Estos movimientos eran de moderada amplitud y frecuencia, de predominio proximal y cedían con el sueño. Sus signos vitales eran: presión arterial de 161/79 mmHg, frecuencia cardiaca de 77 latidos por minuto y frecuencia respiratoria de 20 respiraciones por minuto. De los exámenes paraclínicos de ingreso destaca una glucemia de 410 mg/dl, hemoglobina glucosilada de 14 %, uroanálisis con glucosuria y sin cetonuria; también reportan tiempos de coagulación, hemograma completo función renal y hepática, electrolitos, hormona estimulante de la tiroides, perfil infeccioso, ácido fólico y vitamina B12, que fueron normales.
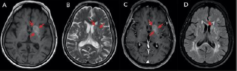
Se le tomó una resonancia magnética nuclear de cerebro simple y contrastada ( figura 2) que reportó un aumento de la señal en T1 hacia el núcleo caudado, el putamen y el globo pálido izquierdos; también con alta señal en T2 y FLAIR que no restringía en la difusión ni en el mapa. Adicionalmente, se observaron múltiples infartos lacunares crónicos de sustancia blanca y cerebelo izquierdo. Con los antecedentes patológicos, los hallazgos clínicos y este resultado, se hizo el diagnóstico de hemicorea inducida por HC-HN. Entonces, se le controló la glucemia con un esquema de insulina basal/bolo y se adicionó haloperidol para controlar los movimientos. Luego de 6 días de tratamiento se evidenció mejoría clínica y se indicó alta médica con seguimiento ambulatorio por parte del servicio de neurología.

Discusión
La HC-HN, comúnmente, se ha descrito en mujeres mayores con historial de DM tipo 2 y pobre control glucémico. Se estima una prevalencia de un caso por cada 100.000 habitantes, con mayor incidencia reportada en población asiática; sin embargo, en la población latinoamericana el número de casos ha aumentado en la última década ( 7).
La fisiopatología de este trastorno es poco conocida ( 8). Se han establecido diferentes teorías, y una de estas describe que la isquemia transitoria de las neuronas estriatales vulnerables se produce debido a la hiperviscosidad sanguínea inducida por la HC-HN. Esta isquemia provoca un cambio en el metabolismo cerebral de la glucosa a la vía anaeróbica y conduce a un agotamiento acelerado del ácido gamma-aminobutírico, lo que resulta en la desinhibición del subtálamo y los ganglios basales que causa movimientos hipercinéticos involuntarios ( 7, 8).
Por otro lado, en la cetosis, el ácido gamma-aminobutírico se podría volver a sintetizar mediante el uso de acetoacetato, producido en el hígado para evitar su reducción. Debido a ello, este síndrome es menos común en la cetoacidosis diabética ( 7). También se ha detallado que las mujeres posmenopáusicas están más predispuestas a esta afección, dada la disminución de la concentración de estrógenos, que aumenta la sensibilidad de los receptores dopaminérgicos en la vía nigroestriatal, en el núcleo subtalámico y los ganglios basales ( 8).
Los hallazgos neurorradiológicos en los pacientes con HC-HN son característicos. Se ha descrito en RMN hiperintensidad de ganglios basales contralaterales en secuencias T1 e intensidad variable en T2 y FLAIR, y alta densidad en tomografías computarizadas; también se ha visto un mayor compromiso en el putamen, y en menor proporción, en el núcleo caudado y el globo pálido ( 9).
En nuestra paciente del caso 2, la RMN mostró una hiperintensidad en T1 y en T2, en los núcleos lenticular, globo pálido y caudado del lado izquierdo e ipsilateral a la hemicorea de la paciente. Como se describió, lo más común es una afectación contralateral, por lo cual este hallazgo es claramente inusual en este síndrome. Se han descrito pocos casos similares a este, uno de ellos por Fong et al. ( 9), en el cual se evidenciaban lesiones en los ganglios basales bilaterales, pero con mayor compromiso radiológico en los ganglios ipsilaterales a la hemicorea de su paciente, contrario a lo observado en nuestro caso, en el cual las lesiones eran unilaterales (en los ganglios basales izquierdos). Ellos plantean dos posibles explicaciones:
Las diferencias individuales de las vías neurales (no decusación de los tractos corticoespinales).
Las alteraciones funcionales que genera la hiperglucemia de manera local en los ganglios basales. Esta puede ser de una magnitud que solo alcanza a crear el trastorno conductual en el hemicuerpo afectado.
Adicionalmente, en el caso 1, la RMN mostró lesiones hiperintensas en los ganglios basales bilaterales y la manifestación clínica fue unilateral (hemicorea izquierda). No queda claro cuáles ganglios basales tienen la alteración funcional (derecho o izquierdo) y, por esta razón, no se podría saber si la hemicorea es ipsilateral o contralateral. Pero teniendo en cuenta que lo más común es la presentación contralateral, creemos que en este paciente los ganglios basales derechos tienen mayor afectación funcional.
El tratamiento instaurado en nuestros pacientes fue el control glucémico estricto como pilar fundamental, por medio de un esquema basal/bolo de insulina y haloperidol, como coadyuvante para controlar los trastornos del movimiento, similar a lo descrito ampliamente en la literatura ( 7). La tetrabenazina es otro medicamento disponible en nuestro medio que está indicado como tratamiento sintomático en estos pacientes. Se han descrito menores efectos adversos y mejor tolerancia en comparación con el haloperidol ( 10). Se ha visto que una vez se logra estabilizar la glucemia del paciente, los síntomas disminuyen de manera gradual y tardan desde días a pocos meses en resolverse ( 11). Los hallazgos de imagen también son reversibles; sin embargo, la resolución completa puede tardar hasta 6 años después de la presentación inicial ( 12).
En conclusión, se describieron dos interesantes casos de HC-HN. En uno, las manifestaciones clínicas son ipsilaterales a la lesión en la RMN cerebral, y en el otro, las lesiones son bilaterales en la RMN cerebral, con manifestaciones clínicas unilaterales sin que exista una correlación clínica con las alteraciones imagenológicas. La HC-HN es una entidad infrecuente y con potencial de recuperabilidad total o parcial de su expresión clínica; por esta razón, el diagnóstico y el tratamiento oportunos son indispensables para evitar secuelas neurológicas irreversibles. El personal sanitario debe sospechar este síndrome en pacientes con historia de DM mal controlada que presentan movimientos coreiformes unilaterales y es necesario confirmar con estudios de neuroimagen.
Conflicto de intereses
Los autores declaramos inexistencia de conflicto de intereses.
Referencias
Cardoso F, Seppi K, Mair KJ, Wenning GK, Poewe W. Seminar on choreas. Lancet Neurol. 2006;5(7):589-602. https://doi.org/10.1016/S1474-4422(06)70494-X
Lin JB, Sng AA, Wang FS, Tan AP, Han VX. Acute hemichorea in a young type 1 diabetic. Int J Neurosci. 2020;130(7):743-45. https://doi.org/10.1080/00207454.2019.1702540
Ryan C, Ahlskog JE, Savica R. Hyperglycemic chorea/ballism ascertained over 15 years at a referral medical center. Parkinsonism Relat Disord. 2018;48:97-100. https://doi.org/10.1016/j.parkreldis.2017.12.032
Zheng W, Chen L, Chen JH, Lin X, Tang Y, Lin XJ, et al. Hemichorea associated with non-ketotic hyperglycemia: a case report and literature review. Front Neurol. 2020;11:96. https://doi.org/10.3389/fneur.2020.00096
Guerra M, Siva G, Marado D, Fortuna J, Carvalho A. Hyperglycaemic hemichorea and hyperglycaemic hyperosmolar syndrome in a patient with HbA1c levels of 19.9 %: a rare and potentially reversible case. Eur J Case Rep Intern Med. 2019;7(1):001305. https://doi.org/10.12890/2019_001305
Oh SH, Lee KY, Im JH, Lee MS. Chorea associated with non-ketotic hyperglycemia and hyperintensity basal ganglia lesion on T1-weighted brain MRI studya meta-analysis of 53 cases including four present cases. J Neurol Sci. 2002;200(1-2):57-62.
Chua CB, Sun CK, Hsu CW, Tai YC, Liang CY, Tsai IT. “Diabetic striatopathy”: clinical presentations, controversy, pathogenesis, treatments, and outcomes. Sci Rep. 2020;10(1):1594. https://doi.org/10.1038/s41598-020-58555-w
Doher N, Gupta H V. DaT Scan “abnormality” in hyperglycemic-hemichorea. Tremor Other Hyperkinet Mov (N Y). 2019;9. https://doi.org/10.7916/tohm.v0.739
Fong SL, Tan AH, Lau KF, Ramli N, Lim S-Y. Hyperglycemia-associated hemichorea-hemiballismus with predominant ipsilateral putaminal abnormality on neuroimaging. J Mov Disord. 2019;12(3):187-9. https://doi.org/10.14802/jmd.19014
Bendi VS, Matta A, Torres-Russotto D, Shou J. Bilateral chorea/ballismus: detection and management of a rare complication of non-ketotic hyperglycaemia. BMJ Case Rep. 2018;2018:bcr2018224856.
Pham K, Meegada S, Challa T, Peddi P, Annakula M. Hemichorea induced by non-ketotic hyperglycemia in a caucasian woman. Cureus. 2020;12(2):e6866. https://doi.org/10.7759/cureus.6866
Özgür A, Esen K, Kaleağası H, Yılmaz A, Kara E. Diabetic striatopathy in a patient with hemiballism. Emerg Radiol. 2015;22(3):347-9. https://doi.org/10.1007/s10140-015-1308-7
Notas