Reporte de caso
Paraqueratosis granular: reporte de un caso
Paraqueratosis Granular: A Case Report
Paraqueratosis granular: reporte de un caso
Universitas Medica, vol. 62, núm. 1, pp. 1-4, 2021
Pontificia Universidad Javeriana
Recepción: 20 Agosto 2020
Aprobación: 10 Septiembre 2020
Resumen: La paraqueratosis granular es una enfermedad poco frecuente, de la cual aún no se conoce claramente su etiología ni fisiopatología. Se presenta el caso de una mujer con lesiones características de esta entidad que afectaban diferentes segmentos corporales (cuello, regiones inguinales y pliegues antecubitales) junto con la evolución tras el manejo inicial de cuidados de la piel y la suspensión de irritantes tanto químicos como físicos, con resolución completa del cuadro clínico. El caso se sustenta con búsqueda de la literatura respecto al conocimiento actual de la fisiopatología, diagnóstico y opciones terapéuticas.
Palabras clave: Paraqueratosis, diagnóstico, queratinas.
Abstract: Granular parakeratosis is an infrequent pathology, which etiology and pathophysiology are not well known. Here we present the clinical case of a woman with characteristic lesions that involved different body segments (neck, inguinal regions and cubital folds), along with the evolution after the initial treatment with skin care and the suspension of chemical and physical irritants, with complete resolution of the symptoms. The case is presented along with a literature background about the current knowledge of the pathophysiology, diagnosis and therapeutic options.
Keywords: Parakeratosis, diagnosis, keratins.
Introducción
La paraqueratosis granular es una entidad de baja incidencia, descrita por primera vez en 1991, por Northcutt et al. ( 1), con afección de ambos sexos y todas las razas de la cual aún no se conoce con claridad su etiología y fisiopatología ( 2).
En este artículo se describe el cuadro clínico de una mujer en la séptima década de la vida con diagnóstico histológico de paraqueratosis granular, que presentó resolución con el tratamiento indicado. Se reporta para hacer hincapié en el conocimiento de la patología y la eficacia presentada con el plan terapéutico instaurado.
Caso clínico
El caso corresponde a una mujer de 64 años de edad y residente en la ciudad de Bogotá, con antecedente de hepatitis autoinmune, quien inició manejo con prednisolona 5 mg/día y azatioprina 100 mg/día un mes antes de la aparición de las lesiones cutáneas. Fue remitida por medicina interna al servicio de dermatología para descartar reacción de fotosensibilidad a la azatioprina, ya que presentaba un cuadro clínico de quince días de evolución, consistente en lesiones asintomáticas de piel en el cuello y pliegues antecubitales e inguinales, que correspondían en el examen físico a máculas y placas café de configuración irregular con bordes mal definidos y tamaño variable de 5 a 10 cm ( figura 1).

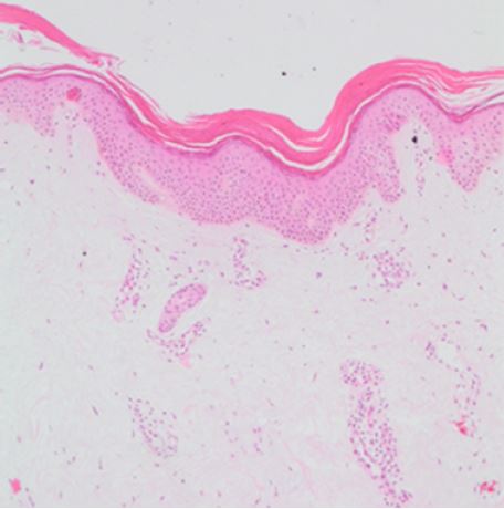
La impresión diagnóstica fue de un posible proceso paraneoplásico. Se le realizó una biopsia por sacabocado más estudio histopatológico de la lesión inguinal izquierda, y así se halló epidermis con paraqueratosis compacta asociada a pequeños gránulos de queratohialina, y dermis con algunas ectasias vasculares y leve infiltrado linfocítico perivascular superficial ( figuras 2 y 3). Ello confirmó el diagnóstico de paraqueratosis granular. Se indicó manejo con hidratante compuesta por urea al 5 % y suspensión de agentes irritantes tanto químicos como físicos, con lo que presentó mejoría notoria de las lesiones a los 15 días ( figura 4).



Discusión
La paraqueratosis granular es una entidad benigna, rara y de etiología aún no definida, descrita por primera vez en 1991 por Northcutt et al. ( 1), quienes reportaron cuatro casos de adultos con afectación axilar. En 2002, Trowers et al. ( 3) publicaron el primer caso infantil, y Rodríguez ( 4) describió los primeros tres casos en Colombia. Para 2015 se habían publicado en todas las razas 77 casos entre hombres y mujeres, 20 de ellos en niños ( 1, 2).
Desde su reporte inicial hasta el momento se han postulado teorías sobre su etiología, una de ellas considerando como su causa un proceso reactivo secundario a un agente irritativo externo físico o químico que produce engrosamiento reactivo de la epidermis a expensas del estrato córneo como mecanismo de protección ( 5). Otra posible causa es la alteración en la fragmentación de la profilagrina a filagrina, que lleva a una retención de los gránulos y del núcleo de los queratinocitos en el estrato córneo, siendo este uno de los hallazgos histológicos característicos ( 5, 6). También se ha propuesto la disminución congénita de la caspasa 14, proteasa que regula el proceso de apoptosis e inflamación en la epidermis, además del control de la maduración del estrato córneo ( 5, 6, 7).
Clínicamente, se presenta un amplio espectro morfológico, clasificado en 2009 por Braun-Falco y Laaff ( 8) en dos etapas clínicas: una papular con evidencia de pápulas pardo-eritematosas, algunas veces violáceas de superficie queratósica o liquenificada, y una etapa de intertrigo, con placas que van desde eritematosas hasta pardas o grisáceas, de superficie hiperqueratósica o liquenificada, asintomáticas o pruriginosas, en la cara, el cuello, el abdomen y la región lumbosacra, que se exacerban con el calor o la humedad ( 2, 8, 9).
Histológicamente, se observa paraqueratosis compacta asociada a persistencia de gránulos de queratohialina dentro de los corneocitos, infiltrado linfocitario perivascular y leve proliferación vascular en la dermis ( 5, 10).
Dentro del amplio grupo de diagnósticos diferenciales se encuentran la acantosis pigmentaria, queratosis seborreica, psoriasis inversa, enfermedad de Fox-Fordyce, pénfigo vegetante, eritrasma, enfermedad de Bowen, liquen plano inverso, dermatosis neglecta, tiña negra, enfermedad de Hailey-Hailey y Dowling-Degos ( 10, 11, 12).
Las estrategias terapéuticas se basan en eliminar posibles factores irritantes con gran mejoría en días a semanas, como en el caso que aquí se reseña. Sin embargo, algunos pocos pacientes presentan un curso crónico que requiere manejo tópico con derivados de la vitamina D, corticoides, retinoides, inhibidores de la calcineurina y antifúngicos ( 2, 5). Por otra parte, respecto al tratamiento oral, existen reportes favorables de casos con uso de isotretinoina, antibióticos, antifúngicos y corticoesteroides ( 10, 11, 12, 13, 14). De manera menos frecuente se han usado procedimientos como crioterapia, toxina botulínica y cirugía con láser ( 6, 9, 10, 11, 12, 13).
Conclusión
La paraqueratosis granular es una entidad benigna con baja incidencia, poco conocida por los dermatólogos y, por lo tanto, con insuficientes estudios, cuya fisiopatología aún es incierta. El propósito de este reporte de caso, poco descrito en Colombia y en el mundo, es que los dermatólogos y otros profesionales tengan en cuenta esta enfermedad como un diagnóstico diferencial, cuyo manejo es sencillo en la mayoría de los casos. Reconocerla y realizar una prueba terapéutica inicial con el retiro de factores irritantes, como se describió, puede llevar a disminuir costos innecesarios, evitar biopsias y tratamientos que pueden traer efectos adversos para los pacientes.
Conflicto de intereses
Dos de los autores del reporte de caso han trabajado en los últimos dos años en el mismo servicio hospitalario que algunos de los editores y revisores de la revista Universitas Médica.
Referencias
Northcutt AD, Nelson DM, Tschen JA. Axillary granular parakeratosis. J Am Acad Dermatol. 1991;24(4):541-4. https://doi.org/10.1016/0190-9622(91)70078-G
Akkaya AD, Oram Y, Aydın Ö. Infantile granular parakeratosis: cytologic examination of superficial scrapings as an aid to diagnosis. Pediatr Dermatol. 2015;32(3):392-6. https://doi.org/10.1111/pde.12444
Trowers AB, Assaf R, Jaworsky C. Granular parakeratosis in a child. Pediatr Dermatol. 2002;19(2):146-7. https://doi.org/10.1046/j.1525-1470.2002.00044.x
Rodríguez G. Paraqueratosis granulosa de la axila. Biomédica. 2002;22(4):519-23. https://doi.org/10.7705/biomedica.v22i4.1178
Prieto Cuadra JD, López N, Gallego E. Paraqueratosis granular, una rara entidad. A propósito de un caso. Rev Esp Patol. 2017;50(3):196-9. https://doi.org/10.1016/j.patol.2016.03.001
González de Arriba M, Vallés-Blanco L, Polo-Rodríguez I, Rosales-Trujillo B, Ortiz de Frutos FJ, Rodríguez-Peralto JL, et al. Paraqueratosis granular. Actas Dermo-Sifiliográficas. 2007;98:355-7.
Hoste E, Denecker G, Gilbert B, Van Nieuwerburgh F, van der Fits L, Asselbergh B, et al. Caspase-14-deficient mice are more prone to the development of parakeratosis. J Invest Dermatol. 2013;133(3):742-50. https://doi.org/10.1038/jid.2012.350
Braun-Falco M, Laaff H. Granular parakeratosis--a clinical-pathological correlation of 10 cases. J Dtsch Dermatol Ges. 2009;7(4):340-4. https://doi.org/10.1111/j.1610-0387.2008.06964.x
Burford C. Granular parakeratosis of multiple intertriginous areas. Australas J Dermatol. 2008;49:35-8.
Patrizi A, Neri I, Misciali C, Fanti PA. Granular parakeratosis: four paediatric cases. Br J Dermatol. 2002;147(4):1003-6. https://doi.org/10.1046/j.1365-2133.2002.04953.x
Ding CY, Liu H, Khachemoune A. Granular parakeratosis: a comprehensive review and a critical reappraisal. Am J Clin Dermatol. 2015;16(6):495-500. https://doi.org/10.1007/s40257-015-0148-2
Varela-Hernández CI, Rueda-Plata RA. Paraqueratosis granular axilar unilateral de inicio macular. Rev Asoc Colomb Dermatol [internet]. 2018;26(1):32-5. Disponible en: https://revistasocolderma.org/sites/default/files/7_paraqueratosis_granular_axilar_unilateral_de_inicio_macular.pdf
Compton AK, Jackson JM. Isotretinoin as a treatment for axillary granular parakeratosis. Cutis. 2007;80:55-6.
Resnik KS, Kantor GR, DiLeonardo M. Dermatophyte-related granular parakeratosis. Am J Dermatopathol. 2004;26(1):70-1. https://doi.org/10.1097/00000372-200402000-00011
Notas
Notas de autor
a Autora de correspondencia: lsuarezd@javeriana.edu.co