Reporte de caso
Bronquiolitis constrictiva en el lactante postinfección por SARS-CoV-2
Post Infection Constrictive Bronchiolitis in an Infant after SARS-CoV-2
Bronquiolitis constrictiva en el lactante postinfección por SARS-CoV-2
Universitas Medica, vol. 63, núm. 1, pp. 1-7, 2022
Pontificia Universidad Javeriana
Resumen: La bronquiolitis obliterante es una enfermedad crónica pulmonar e irreversible que lleva a obstrucción y obliteración de las pequeñas vías aéreas y que puede presentarse por afectación peribronquiolar, desde el epitelio hacia la luz de forma concéntrica (constrictiva), o por ocupación del lumen del bronquiolo, dado por una proliferación del tejido endoluminal (proliferativa). La lesión de la vía aérea pequeña se puede presentar postrasplante pulmonar o de médula ósea, por infecciones, por inhalación de sustancias tóxicas, por enfermedades del tejido conectivo o secundaria a fármacos. En la población pediátrica, la forma constrictiva secundaria a infecciones severas de las vías respiratorias, y conocida como bronquiolitis obliterante postinfecciosa (PIBO), es la más común y su presentación clínica puede ser muy variable, desde una leve a una severa obstrucción de la vía aérea que no responde a tratamiento con broncodilatadores, además de hipoxemia, tos y taquipnea. El diagnóstico es difícil, dada la necesidad de una biopsia pulmonar, la ausencia en la actualidad de biomarcadores y porque no se entiende claramente su fisiopatología. La tomografía de tórax, así como un puntaje clínico, predice con alta precisión la bronquiolitis obliterante. El tratamiento está dirigido a suprimir la respuesta inflamatoria para evitar el daño pulmonar. El artículo presenta el caso de un lactante de dos meses de edad con antecedente en su periodo neonatal de infección respiratoria por SARS-CoV-2 (COVID-19), quien presenta cambios radiológicos y clínicos compatibles con PIBO.
Palabras clave: Bronquiolitis constrictiva, infección por coronavirus, lactante, respuesta inmune, inflamación, enfermedad respiratoria.
Abstract: Bronchiolitis obliterans is a chronic and irreversible pulmonary disease that leads to obstruction and obliteration of the small airways and that can present by peribronchiolar involvement, from the epithelium towards the lumen in a concentric (constrictive), or by occupation of the lumen of the bronchiole, given by proliferation of the endoluminal tissue (proliferative). The lesion at the level of the small airway can occur after lung or bone marrow transplantation, infections, inhalation of toxic substances, connective tissue diseases or secondary to drugs. In the pediatric population, the constrictive form secondary to severe respiratory tract infections, and known as post-infectious bronchiolitis obliterans (PIBO), is the most common and its clinical presentation can be highly variable from mild to severe airway obstruction that does not respond to treatment with bronchodilators, in addition to hypoxemia, cough and tachypnea. Diagnosis is difficult given the previous need for a lung biopsy, the current absence of biomarkers, and since its pathophysiology is not clearly understood. The CT as well as a clinical score predict with high precision the diagnosis of obliterative bronchiolitis. Treatment is aimed at suppressing the inflammatory response to prevent lung damage. We report a case of a 2-month-old infant with a history of respiratory infection due to SARS-CoV-2 (COVID-19) in his neonatal period is presented, in whom radiological and clinical changes compatible with PIBO were evidenced.
Keywords: Constrictive bronchiolitis, coronavirus infection, infant, immune response, inflammation, respiratory tract disease.
Introducción
La bronquiolitis obliterante (BO) es una enfermedad crónica pulmonar irreversible que afecta las vías aéreas de pequeño calibre (<2 mm), que lleva a obstrucción y obliteración de las pequeñas vías aéreas y que puede presentarse de dos formas histopatológicas, ya sea por afectación peribronquiolar, desde el epitelio hacia la luz de forma concéntrica (constrictiva), o por ocupación del lumen del bronquiolo, dado por proliferación del tejido endoluminal (proliferativa). La BO tiene una baja incidencia en la población pediátrica, dada la escasa sospecha diagnóstica y la necesidad previa de biopsia pulmonar para confirmar el diagnóstico (1). La BO suele presentarse de forma constrictiva y posterior a una infección viral del tracto respiratorio inferior. Entre las etiologías virales más asociadas se encuentran adenovirus, sarampión, influenza, parainfluenza, virus sincitial respiratorio, entre otros (2).
Se han identificado otras causas en la población pediátrica, donde se destaca Mycoplasma pneumoniae, enfermedades del tejido conectivo y postrasplante de médula ósea y pulmonar (3,4). El diagnóstico se realiza por hallazgos clínicos y en tomografía de tórax, basados en un puntaje clínico, ya que no se cuenta con biomarcadores útiles. Una adecuada muestra de tejido pulmonar para biopsia puede ser complicada de obtener, dado que la lesión es de distribución en parches.
Reporte de caso
El caso corresponde a un lactante masculino de dos meses de edad, a término, con antecedente de ictericia fisiológica en manejo intrahospitalario con fototerapia y sin complicaciones. A los 16 días de vida requirió hospitalización por un cuadro de un día de evolución, consistente en obstrucción nasal, rinorrea hialina, fiebre cuantificada en 38,1 .C, dificultad para respirar e hipoxemia.
Durante la hospitalización se documentó infección por SARS-CoV-2 por prueba RT PCR positiva. Recibió manejo con oxígeno suplementario por cánula nasal a bajo flujo, sin requerimiento de soporte ventilatorio invasivo, manejo antibiótico por sospecha de sepsis neonatal tardía con estudios de perfil infeccioso negativos. Egresó a los ocho días con oxígeno suplementario, por cánula nasal a bajo flujo. Consultó nuevamente veinte días después por síntomas respiratorios, consistentes en rinorrea hialina, tos húmeda sin vómito sin cianosis, manejado con lavados nasales sin mejoría.
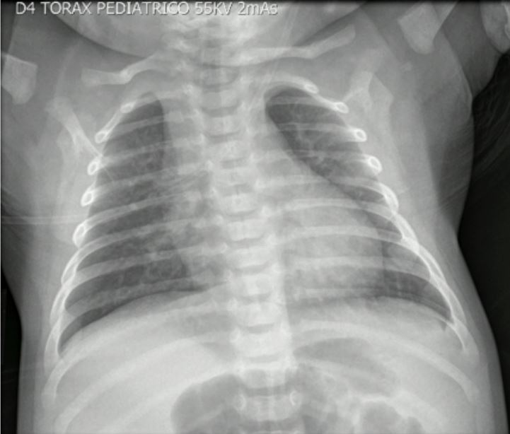
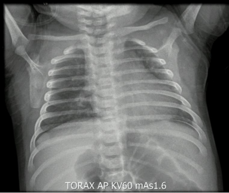
En el reingreso presentó signos de dificultad respiratoria, dados por aleteo nasal, retracciones intercostales y subcostales, hipoxemia y sibilancias a la auscultación pulmonar. La impresión diagnóstica fue de bronquiolitis (escala de Woods-Down-Ferrés = 4 puntos). Se inició oxígeno por cánula nasal y se hicieron lavados nasales. Se solicitaron exámenes paraclínicos de extensión: el panel viral de ingreso fue negativo, la radiografía de tórax mostró opacidades intersticiales de predominio parahiliar (figuras 1 y 2) y fueron negativos los hisopados rectales.


Durante la evolución del lactante, persistió la obstrucción de la vía aérea alta, dado por estridor, por lo que se le realizó una nasofibrolaringoscopia, en búsqueda de diagnósticos diferenciales; sin embargo, no se encontraron alteraciones y el ecocardiograma fue normal. Además, por persistencia de las sibilancias, de los signos de dificultad para respirar y los requerimientos de oxígeno, una tomografía de tórax evidenció un engrosamiento de las paredes bronquiales de predominio central, alteraciones en el parénquima pulmonar con signos de atrapamiento aéreo, afectación de la vía aérea pequeña y opacidades en vidrio esmerilado en los lóbulos inferiores (figura 3).

Luego de ello, se consideró que el paciente tenía una bronquiolitis constrictiva secundaria a infección previa por SARS-COV-2, por lo que se le inició manejo con esteroides sistémicos, beclometasona baja dosis y macrólido. Así, tuvo una adecuada evolución, aunque con persistencia de signos de dificultad respiratoria, dados por tirajes intercostales y taquipnea, aun cuando permitió disminuir los requerimientos de oxígeno por cánula nasal a 0,5 l/min.
El lactante egresó con seguimiento ambulatorio a los siete días, cuando se observó una mejoría de los signos de dificultad para respirar, pero persistía la hipoxemia sin oxígeno; por ello, se le continuó el manejo con oxígeno suplementario en casa. Dos meses después del egreso, fue valorado por consulta externa por el servicio de neumología pediátrica, y todavía requería oxígeno, pero había logrado disminuir su uso, con mejoría clínica de los signos de dificultad respiratoria y de las sibilancias.
Discusión
La BO es una enfermedad crónica irreversible que se caracteriza por obstrucción y obliteración de las pequeñas vías aéreas. En los niños es un diagnóstico relativamente raro. Sin embargo, el aumento de las infecciones virales estacionales, así como de las enfermedades reumatológicas, y el incremento de los trasplantes de médula ósea han provocado un interés creciente en la BO en los últimos años, ya que esta es una de las complicaciones respiratorias más importantes de estas etiologías en auge (3,4).
La patogénesis de la BO se debe a una modificación en el proceso inicial de reparación del epitelio y de la microvasculatura bronquial que no permite una restauración completa para volver a su estado basal. Este mecanismo compensatorio se perpetúa y genera, de forma continua, una inflamación aguda y crónica con la subsecuente proliferación de tejido de granulación en las vías respiratorias, que conduce a obstrucción y obliteración bronquial con cambios epiteliales como atrofia o hiperplasia, que resulta en un proceso de fibrosis bronquial (5).
En los niños, la bronquiolitis obliterante postinfecciosa (PIBO) suele ser la causa más asociada, después de infecciones severas de las vías respiratorias inferiores, dada por agentes virales como adenovirus serotipos 3, 7, 11, 14, 21; influenza; parainfluenza; virus sincitial respiratorio; Mycoplasma pneumoniae; entre otros.
El cuadro clínico abarca síntomas respiratorios leves (como sibilancias y tos) que progresan o que persisten sin mejoría y que lleva a los pacientes a requerir asistencia ventilatoria. La mayoría de los niños presentan hipoxemia secundaria al compromiso bronquial; sin embargo, no hay hallazgos específicos en el examen físico que indiquen la presencia de una PIBO en su estadio inicial. La persistencia de requerimientos de oxígeno o la pobre respuesta clínica al manejo médico debe hacernos sospechar de la presencia de esta entidad (6-8).
Generalmente, el diagnóstico de la PIBO se realiza al combinar criterios clínicos, hallazgos radiológicos en tomografía computada y pruebas de función pulmonar, si la edad del paciente lo permite, que es cuando se evidencia un patrón obstructivo sin respuesta a broncodilatadores (6). La biopsia es el patrón de referencia para el diagnóstico; sin embargo, se considera un método invasivo, y en la mayoría de los estudios se ha demostrado una distribución heterogénea de afectación de las vías respiratorias en todo el parénquima pulmonar, así como una variabilidad de la inflamación crónica entre pacientes, lo cual puede dar lugar a errores de muestreo que reducen la sensibilidad de la biopsia. Además, solo hay algunas similitudes en los patrones de una lesión inicial y en fase de curación temprana, así como la lesión en etapa terminal, que revela el mismo componente fibrótico independientemente de la etiología (9).
Por lo anterior, se ha instaurado un puntaje clínico y radiológico validado: el Puntaje Clínico-Radiológico para el Diagnóstico de Bronquiolitis Obliterante Posinfecciosa, el cual predice con alta precisión el diagnóstico de BO. Este se compone de la historia clínica típica, definida como paciente previamente sano, con un episodio de bronquiolitis con evolución no favorable, que desarrolla hipoxemia crónica (SaO₂ < 92 %) durante más de 60 días (4 puntos). El segundo componente es el antecedente de infección por adenovirus, que es el virus más asociado en la población pediátrica (3 puntos). Finalmente, una tomografía de tórax de alta resolución con patrón en mosaico (4 puntos). Un puntaje por encima de 7 puntos es predictivo de PIBO (10).
El tratamiento se ha centrado, principalmente, en la supresión de la respuesta inflamatoria en su etapa inicial, con el fin de evitar cambios histopatológicos irreversibles, ya que una vez instaurada la enfermedad, los tratamientos no han demostrado una fase curativa, por lo cual se considera que el pronóstico de la BO es aún incierto (11).
En la actualidad, la aparición del nuevo agente infeccioso SARS-CoV-2 representa un reto médico en estos pacientes, ya que posiblemente se anexará a los demás agentes que producen estas patologías en la población pediátrica, debido al gran componente inflamatorio que presenta.
Un estudio multicéntrico realizado en la Universidad Médica de Harvard y el Hospital Infantil de Boston, donde se examinó la bronquiolitis endémica secundaria a SARS-CoV-2, demostró en los pacientes con bronquiolitis secundaria a esta infección una mayor carga viral asociada con la severidad de la enfermedad (12) y un compromiso grave o crítico, que generalmente corresponde a menores de un año y a niños con comorbilidades (13). Se encontró que aproximadamente el 12 % de los pacientes hospitalizados por bronquiolitis presentaba infección por uno de los cuatro coronavirus endémicos. El 15 % presentó SARS-CoV-2 como única infección y en el resto el virus más asociado a coinfección fue el virus sincitial respiratorio. Se entiende que la identificación del virus sincitial respiratorio no excluye la posibilidad de infección por SARS-CoV-2 en los pacientes hospitalizados con bronquiolitis. Sin embargo, a pesar de que la literatura es escasa sobre este tema, el SARS-CoV-2 no parece ser uno de los principales desencadenantes de la bronquiolitis (14).
La información disponible sobre la relación entre SARS-CoV-2 y la BO es limitada y la mayoría de los datos son sobre bronquiolitis aguda. Aún no existen reportes que relacionen este virus con la bronquiolitis constrictiva, por lo cual se requieren más estudios a futuro para evaluar la relación entre estas dos entidades. Este reporte de caso tiene como fin poner en evidencia el SARS-CoV-2 como posible nuevo agente etiológico de la PIBO.
Agradecimientos
Al grupo de pediatras del Servicio de Hospitalización y a la Unidad de Neumología Pediátrica del Hospital Universitario San Ignacio, quienes participaron en la atención del paciente.
Referencias
Kurland G, Michelson P. Bronchiolitis obliterans in children. Pediatr Pulmonol. 2005;39:193-208. https://doi.org/10.1002/ppul.20145
Jerkic SP, Brinkmann F, Calder A, Casey A, Dishop M, Griese M, et al. Postinfectious bronchiolitis obliterans in children: diagnostic workup and therapeutic options: a workshop report. Can Respir J. 2020;2020. https://doi.org/10.1155/2020/5852827
Yu J. Postinfectious bronchiolitis obliterans in children: lessons from bronchiolitis obliterans after lung transplantation and hematopoietic stem cell transplantation. Korean J Pediatr. 2015;58(12):459-65. https://doi.org/10.3345/kjp.2015.58.12.459
Barker AF, Bergeron A, Rom WN, Hertz MI. Obliterative bronchiolitis. N Engl J Med. 2014;370(19):1820-8.
Colom AJ, Teper AM, Vollmer WM, et al. Risk factors for the development of bronchiolitis obliterans in children with bronchiolitis. Thorax. 2009;107(2):160-7.
Kavaliunaite E, Aurora P. Diagnosing and managing bronchiolitis obliterans in children. Expert Rev Respir Med. 2019;13(5):481-8. https://doi.org/10.1080/17476348.2019
Lamot S, López AM, Bergna M, Spina JC, Villa J, Martín V, et al. Obstrucción crónica de la vía aérea en un paciente de 18 años. RevAm Med Repirat [internet]. 2014 [citado 2021 mar 17];14(3). Disponible en: http://www.ramr.org/articulos/volumen_14_numero_3/ateneo/ateneo_obstruccion_cronica_via_aerea_paciente_18_anios.php
Mattiello R, Sarria EE, Stein R, Fischer GB, Mocelin HT, Barreto SS, et al. Functional capacity assessment during exercise in children and adolescents with post-infectious bronchiolitis obliterans. J Pediatr (Rio J). 2008;84(4):337-43.
Fischer GB, Sarria EE, Mattiello R, Mocelin HT, Castro-Rodríguez JA. Post infectious bronchiolitis obliterans in children. Paediatr Respir Rev. 2010;11(4):233-9.
Comité Nacional de Neumonología. Bronquiolitis obliterante posinfecciosa Arch Argent Pediatr [internet]. 2018;116(supl 3):S48-58. Disponible en: https://www.sap.org.ar/docs/publicaciones/archivosarg/2018/v116n3a31s.pdf
Mansbach JM, Hasegawa K, Piedra PA, Sullivan AF, Camargo CA Jr. Severe coronavirus bronchiolitis in the pre-COVID-19 era. Pediatrics.2020;146(3):e20201267.
Yilmaz O, Gochicoa‐Rangel L, Blau H, Epaud R, Lands LC, Lombardi E, et al. Brief report: international perspectives on the pediatric COVID‐19 experience. Pediatr Pulmonol.2020;55(7):1598‐1600. https://doi.org/10.1002/ppul.24800
Rodríguez MS. La bronquiolitis en el año del COVID-19. Arch Argent Pediatr [internet]. 2020;118(3):222-3. Disponible en: https://www.sap.org.ar/docs/publicaciones/archivosarg/2020/v118n3a35.pdf
Grimaud E, Challiol M, Guilbaud C, Delestrain C, Madhi F, Ngo J, et al. Delayed acute bronchiolitis in infants hospitalized for COVID-19. Pediatr Pulmonol. 2020;55(9):2211-2.
Notas
Notas de autor
a Autora de correspondencia: maria.garciam@javeriana.edu.co