Reporte de Caso
Trombosis aguda idiopática no puerperal de la vena ovárica: presentación de caso y revisión de la literatura
Acute Idiopathic Non-Puerperal Thrombosis of the Ovarian Vein: Case Report and Short Review of the Literature
Trombosis aguda idiopática no puerperal de la vena ovárica: presentación de caso y revisión de la literatura
Universitas Medica, vol. 62, núm. 2, pp. 1-7, 2021
Pontificia Universidad Javeriana
Recepción: 09 Noviembre 2020
Aprobación: 26 Febrero 2021
Resumen: La trombosis de la vena gonadal es una enfermedad poco frecuente, vinculada con estados de hipercoagulabilidad. Se presenta, sobre todo en el posparto, principalmente después de una cesárea y en otras patologías ginecobstétricas, como abortos o neoplasias ginecológicas, y en la enfermedad pélvica inflamatoria. Este artículo es una revisión de casos de la literatura asociada con una presentación de un caso no habitual de esta entidad que lleva a recordar esta condición como diagnóstico diferencial en el dolor abdominopélvico agudo, así como su enfoque diagnóstico y tratamiento en un departamento de emergencias.
Palabras clave: Trombosis venosa ovárica, dolor abdominopélvico, hipercoagulabilidad.
Abstract: Gonadal vein thrombosis is a rare disease associated with hypercoagulable states. It occurs mainly in the postpartum period, mainly after a cesarean section and in other gyneco-obstetric pathologies such as abortions, gynecological neoplasms and in pelvic inflammatory disease. This document is a case review of the literature associated with a report of a case with an unusual presentation of this entity that leads us to recall this condition as a differential diagnosis in acute abdominopelvic pain, as well as its diagnostic approach and treatment in the department of emergencies.
Keywords: Ovarian vein thrombosis, abdominopelvic pain, hypercoagulability.
Introducción
La trombosis de la vena gonadal es una patología muy poco frecuente, descrita por primera vez en 1946, por Duperie et al. ( 1). Por lo general, se asocia con embarazo, puerperio (sobre todo, en sus primeras cuatro semanas) y otros estados de hipercoagulabilidad ( 2). Constituye una patología potencialmente fatal, debido a su diagnóstico tardío y su capacidad de generar complicaciones cardiovasculares ( 3, 4, 5). Dados los escasos reportes de casos, no hay claridad de su incidencia bajo estados no puerperales; sin embargo, en cuanto a aquellos casos relacionados con algún proceso ginecobstétrico, se ha documentado que su incidencia es del 0,15 % en mujeres en posparto, en especial en aquellos partos que se dieron vía cesárea. También se han documentado algunos casos relacionados con enfermedad pélvica inflamatoria, trombofilias, cirugía ginecológica y como complicación paraneoplásica ( 6, 7, 8). Habitualmente, se localiza en la vena ovárica derecha, con una frecuencia del 70 %-90 % de los casos, debido a su mayor longitud y capacidad de compresibilidad respecto a la izquierda ( 9).
Caso clínico
El caso corresponde a una mujer de 24 años de edad, previamente sana, quien consultó en el departamento de urgencias por un cuadro clínico de 3 días de evolución, consistente en dolor abdominal en el flanco izquierdo, tipo picada, con propagación a la región lumbar, con intensidad 9/10 en la Escala Análoga del Dolor. Inicialmente, lo había asociado con un episodio de deposiciones líquidas sin moco ni sangre, sensación de fiebre no cuantificada y pobre tolerancia a la vía oral. Negó sangrado vaginal, síntomas irritativos urinarios o fiebre.
Como antecedentes médico-quirúrgicos, la mujer refirió dermatitis atópica, un legrado por aborto espontáneo ocho años previos a la consulta y un único embarazo con parto vaginal hace seis años. Reportó como antecedente farmacológico ser usuaria de implante subdérmico de levonorgestrel. Por último, como antecedente familiar informó que su madre había padecido una trombosis venosa profunda de etiología desconocida.
En el examen físico de ingreso tenía signos vitales dentro de los límites normales. En la exploración física presentaba escleras ictéricas, abdomen con dolor a la palpación del cuadrante inferior izquierdo, de predominio en flanco, sin masas o megalias, sin signos de irritación peritoneal y sin alteración en el examen ginecológico.
Los exámenes paraclínicos realizados a la paciente ( tabla 1) evidenciaron: uroanálisis con piuria, bacteriuria, nitritos positivos, sin síntomas irritativos urinarios, por lo que se excluyó un cuadro de infección urinaria de la impresión diagnóstica; así mismo, mostraron hiperbilirrubinemia indirecta sin otras alteraciones del perfil hepático, sin evidencia de hemólisis. La ecografía hepatobiliar fue normal. La paciente refirió un antecedente de un cuadro ictérico similar seis meses atrás, por lo cual se consideró un posible síndrome de Gilbert.

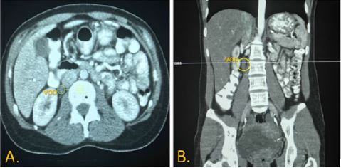
Ante la complejidad sobre la posible etiología del dolor, aunada a los datos que proveyeron la valoración y los exámenes paraclínicos iniciales, a la mujer se le tomó una tomografía abdominal contrastada, que reportó ausencia de opacificación de la vena gonadal derecha, con dilatación de esta ( figura 1), compatible con trombosis de vena gonadal derecha. Dados estos hallazgos imagenológicos, sin antecedentes de eventos trombóticos previos, neoplasia o estado puerperal reciente, contando con el antecedente de aborto espontáneo e historia presumible de autoinmunidad familiar, se sospechó síndrome antifosfolipídico primario.

Por ello, se solicitó que se le realizaran estudios inmunológicos específicos para dicha patología, los cuales incluyeron anticoagulante lúpico, anticardiolipinas y β-2-glicoproteína I para descartar, adicionalmente, una triple positividad de dichos anticuerpos, dado que su positividad en conjunto se ha relacionado con mayor riesgo de trombosis, recurrencias y complicaciones, principalmente obstétricas ( 10). Se consideró pertinente un manejo médico con anticoagulación plena con heparina de bajo peso molecular, en dosis de 1 mg/kg, 2 veces al día, como terapia puente para anticoagulación con cumarínico (warfarina) vía oral.
La evolución clínica fue favorable, con mejoría del dolor abdominal; no obstante, en vista de que el resultado de los estudios iniciales de trombofilias fue negativo, se consideró continuar con la anticoagulación oral de manera indefinida, dado que hasta el momento no se cuenta con un protocolo o evidencia fuerte para determinar su duración. Finalmente, se le solicitó un nuevo perfil del síndrome antifosfolipídico 12 semanas después.
Revisión de la literatura
A partir de este caso, se revisó literatura sobre el tema en inglés en las bases de datos Medline y Embase; así como en lengua castellana en la base de datos SciELO, con los términos ovarian vein thrombosis o trombosis gonadal idiopática desde el 1.º de enero de 1946 hasta el 1.º de septiembre de 2020. También se revisaron las referencias de las publicaciones encontradas, en búsqueda de casos adicionales. Se excluyeron los casos asociados con estado gestacional y puerperal, así como pacientes con condición protrombótica relacionada con patología oncológica, quirúrgica o sepsis.
En total, se encontraron 15 casos documentados en el mundo, aparentemente de etiología idiopática ( 2, 6, 7, 11, 12, 13, 14, 15, 16, 17, 18, 19, 20, 21, 22). Al analizarlos en conjunto, se puede concluir que, en el contexto de trombosis gonadal idiopática, el periodo premenopáusico es la edad más frecuente de aparición (80 %), pues las pacientes se situaban en el rango de edad de 24 a 79 años, con una edad media de 43,2 años. En la mayoría, los síntomas tuvieron un tiempo de evolución agudo, de aproximadamente 3,5 días previo a la consulta; no obstante, se reportó un único caso como subagudo y dos con dolor pélvico crónico en el momento del diagnóstico.
La afectación más frecuente fue en el lado derecho, con un 46,6 %, y hasta el momento se habían reportado 3 casos de presentación bilateral (20 %). El método de diagnóstico más usado fue la tomografía axial computarizada, y solo en el 20 % de los casos, el ultrasonido con Doppler pélvico fue la herramienta diagnóstica, pero se usó la tomografía axial computarizada como herramienta confirmatoria. Se documentó un único caso con una complicación asociada, que fue tromboembolismo pulmonar. Solo en un caso de los 14 hallados se realizaron estudios genéticos, donde encontraron mutación C677T del gen MTHFR sin la mutación A1298C. Todos los estudios de autoinmunidad en el 100 % de los casos fueron negativos. En todas las pacientes la anticoagulación fue el método de tratamiento elegido ( tabla 2).

Discusión
El diagnóstico clínico de la trombosis de la vena gonadal puede resultar de difícil identificación, dado que se confunde con otras enfermedades más prevalentes en la población, por sus síntomas inespecíficos, más aún cuando no está relacionada con un embarazo o con el periodo puerperal. El compromiso es predominantemente del lado derecho; de ahí que se considere la hipótesis atribuida a mayor longitud, tortuosidad y carencia de válvulas de la vena ovárica derecha ( 13, 23).
A menudo, los estudios de laboratorio se encuentran normales. Sin embargo, pueden haber hallazgos anormales que incluyen anemia leve, leucocitosis, trombocitopenia; incluso algunos reportes han documentado aumento de enzimas hepáticas y piuria, estos dos últimos compatibles con el caso de nuestra paciente ( 8, 20, 24).
Según la literatura sobre el tema, en cuanto a las herramientas diagnósticas imagenológicas, la ecografía solo alcanza una sensibilidad del 56 % y es operador dependiente. Adicional a ello, su visualización puede estar limitada por el gas intestinal ( 16). La tomografía computarizada contrastada tiene una sensibilidad del 100 % y una especificidad del 99 %, cuando se cumplen los criterios de Zerhouni ( tabla 3) ( 4, 25); mientras que la resonancia magnética nuclear tiene una sensibilidad del 92 % y una especificidad del 100 %; pero es más costosa y menos accesible, comparada con la tomografía ( 2, 16, 26).

Una vez diagnosticada esta entidad, se deben descartar procesos infecciosos o estados de hipercoagulabilidad, considerando que entre las posibles complicaciones asociadas se pueden encontrar el tromboembolismo pulmonar, trombosis de la vena cava inferior, trombosis de las venas renales, infarto ovárico y septicemia ( 4). El manejo médico se basa en antibióticos, en los casos de un posible proceso infeccioso asociado o de manera preventiva contra una posible infección; sin embargo, sigue siendo un punto muy controvertido en el tratamiento ( 27), además de que se indica analgesia como parte del manejo sintomático, en conjunto con la anticoagulación oral.
Actualmente, no hay consenso con respecto a la duración óptima del tratamiento anticoagulante de estos pacientes. En los casos asociados con el embarazo, un tratamiento de tres meses de duración de la anticoagulación parece ser seguro, sin recurrencias durante una mediana de seguimiento de 40 meses. Entre tanto, en los casos no relacionados con el embarazo se sugiere considerar una duración más prolongada de la terapia anticoagulante de hasta 6 meses ( 4, 8), dada la escasa información y evidencia en cuanto a los casos idiopáticos, que fue en lo que se basó la decisión del equipo tratante, de realizar un esquema de anticoagulación indefinida en la paciente del caso presentado, conforme a la evolución y los controles médicos extrahospitalarios.
Nuestra paciente fue diagnosticada como un caso idiopático, por la ausencia de factores predisponentes, no obstante que en un estudio en 100 usuarias de implantes de levonorgestrel en Singapur ( 28) —como es el caso de nuestra paciente— se informó sobre la disminución de los tiempos de coagulación y la variabilidad en los factores de coagulación pre y posimplante. En el caso de la paciente, los tiempos de coagulación se encontraban normales e, incluso, ligeramente por encima del valor de referencia, por lo cual este caso, pese a tener este factor en hipótesis predisponente, no podemos documentarlo como asociado a dicho método de planificación. El manejo que se dio inicialmente fue con heparinas de bajo peso molecular y, posteriormente, continuó con un régimen de anticoagulación oral con cumarínicos y con ello se logró la remisión sintomática. No hubo complicaciones documentadas durante las primeras 12 semanas de seguimiento.
Consideraciones éticas
Este estudio se considera sin riesgos éticos, de acuerdo con la Resolución 8430 de 1993 del Ministerio de Salud, aprobado por el Comité Ético del Hospital Universitario San Ignacio, con previo consentimiento informado formal de la paciente del caso, para presentar la información previamente descrita en este artículo.
Conflicto de intereses
Ninguno de los autores tiene conflictos de intereses.
Referencias
Duperie R, Darmaillacq R, Vincendeau. Thrombo-phlébite suppurée de la veine utéro-ovarienne gauche; penicilline; traitement chirurgical par résection veineuse; guérison [Suppurative thrombophlebitis of the left utero-ovarian vein; penicillin; Surgical treatment by venous resection; healing]. Rev Fr Gynecol Obstet. 1946 Feb;41:73-7. French. PMID: 21023850.
Kodali N, Veytsman I, Martyr S, Lu K. Diagnosis and management of ovarian vein thrombosis in a healthy individual: a case report and a literature review. J Thromb Haemost. 2017 Feb;15(2):242-5. https://doi.org/10.1111/jth.13584
Ros AH, Giménez JH, Laencina AMG, Cisneros GP, Paricio JJP, Martínez LA. Trombosis de la vena ovárica con extensión a la vena cava inferior en el posparto. Progr. Obstet Ginecol. 2009;52(8):451-4. https://doi.org/10.1016/S0304-5013(09)72214-9
Fernández Rial M, Pardo Pumar MI, Ouviña Millán O, Cumbraos Álvarez JM, Moral Santamarina E. Trombosis de la vena ovárica: casuística en 5 años y revisión de la literatura. Clin Invest Ginecol Obstet. 2017 Jan;44(1):28-30. https://doi.org/10.1016/j.gine.2016.03.006
Cantero FM. Trombosis de vena ovárica derecha: complicación mortal en la mujer puérperaa. a propósito de un caso. Cuad Med Forense [internet]. 2006;12(45-46):208-10. Disponible en: http://scielo.isciii.es/scielo.php?script=sci_arttext&pid=S1135-76062006000200014
Stafford M, Fleming T, Khalil A. Idiopathic ovarian vein thrombosis: a rare cause of pelvic pain - case report and review of literature. Aust N Z J Obstet Gynaecol. 2010 Jun;50(3):299-301. https://doi.org/10.1111/j.1479-828X.2010.01159.x
Heavrin BS, Wrenn K. Ovarian vein thrombosis: a rare cause of abdominal pain outside the peripartum period. J Emerg Med. 2008 Jan;34(1):67-9. https://doi.org/10.1016/j.jemermed.2007.05.034
Rottenstreich A, Da'as N, Kleinstern G, Spectre G, Amsalem H, Kalish Y. Pregnancy and non-pregnancy related ovarian vein thrombosis: clinical course and outcome. Thromb Res. 2016 Oct;146:84-88. https://doi.org/10.1016/j.thromres.2016.09.001
Calderwood CJ, Jamieson R, Greer IA. Gestational related changes in the deep venous system of the lower limb on light reflection rheography in pregnancy and the puerperium. Clin Radiol. 2007 Dec;62(12):1174-9. https://doi.org/10.1016/j.crad.2007.06.003
Schreiber K, Sciascia S, de Groot P, Devreese K, Jacobsen S, Ruiz-Irastorza G, et al. Antiphospholipid syndrome. Nat Rev Dis Primers. 2018;4:17103. https://doi.org/10.1038/nrdp.2017.103
Yildirim E, Kanbay M, Ozbek O, Coskun M, Boyacioglu S. Isolated idiopathic ovarian vein thrombosis: a rare case. Int Urogynecol J Pelvic Floor Dysfunct. 2005 Jul-Aug;16(4):308-10. https://doi.org/10.1007/s00192-004-1247-4
Murphy CS, Parsa T. Idiopathic ovarian vein thrombosis: a rare cause of abdominal pain. Am J Emerg Med. 2006 Sep;24(5):636-7. https://doi.org/10.1016/j.ajem.2006.01.004
Harris K, Mehta S, Iskhakov E, Chalhoub M, Maniatis T, Forte F, et al. Ovarian vein thrombosis in the nonpregnant woman: an overlooked diagnosis. Ther Adv Hematol. 2012 Oct 12 ;3(5):325-8. https://doi.org/10.1177/2040620712450887
Tsiouris, Karam, Shepard D. Incidental diagnosis of idiopathic gonadal vein thrombosis. Vasa. 2012 Jan;41(1):67-9. https://doi.org/10.1024/0301-1526/a000166
Sánchez Pascual M, Lobato Miguelez JL, Larrazábal Echevarría E, López Valverde M. Idiopathic bilateral ovarian vein thrombosis. Clin Invest Ginecol Obstet. 2013;40(6):286-8. https://doi.org/10.1016/j.gine.2012.12.008
Chebl RB, Krupp S, Bourgi K, Dagher GA, Bourgi, Kassem, et al. Idiopathic ovarian vein thrombosis in the postmenopausal age. Int J Case Reports Images. 2013 Jan 14;4(11):611. https://doi.org/10.5348/ijcri-2013-11-392-CR-6
Doherty K, New M. Idiopathic ovarian vein thrombosis in a nonperipartum patient. Obstet Gynecol. 2015 Jun;125(6):1468-1470. https://doi.org/10.1097/AOG.0000000000000648
Khishfe BF, Sankovsky A, Nasr I. Idiopathic ovarian vein thrombosis: a rare cause of abdominal pain. Am J Emerg Med. 2016 May;34(5):935.e1-2. https://doi.org/10.1016/j.ajem.2015.09.022.
García R, Gasparis AP, Loh SA, Labropoulos N. A rare case of idiopathic bilateral ovarian vein thrombosis. J Vasc Surg Venous Lymphat Disord. 2017 Jul;5(4):567-70. https://doi.org/10.1016/j.jvsv.2017.01.016
Alalqam MM, Al Abbas R, Abualsaud AS, AlQattan AS, Almabyouq F. The challenges of diagnosing idiopathic ovarian vein thrombosis: case report. Int J Surg Case Rep. 2019;60:63-5. https://doi.org/10.1016/j.ijscr.2019.04.039
Trang N, Kalluri M, Bajaj T, Petersen G. Idiopathic left ovarian vein thrombosis. J Investig Med High Impact Case Rep. 2020;8:2324709620947257. https://doi.org/10.1177/2324709620947257
Basit A, Kaur P, Villanueva DM, Tahir M, Sonnenschine M. Idiopathic bilateral ovarian vein thrombosis in a non-pregnant healthy patient: a case report and review of the literature. Cureus. 2020 Aug 29;12(8):e10111. https://doi.org/10.7759/cureus.10111
Plastini T, Henry D, Dunleavy K. Ovarian vein thrombus: to treat or not to treat? Blood Adv. 2017;1(15):1120-23. https://doi.org/10.1182/bloodadvances.2017006577
Angelini M, Barillari G, Londero AP, Bertozzi S, Bernardi S, Petri R, et al. Puerperal ovarian vein thrombosis: two case reports. J Thromb Thrombolysis. 2013 Feb 14;35(2):286-9. https://doi.org/10.1007/s11239-012-0794-7
Witlin AG, Sibai BM. Postpartum ovarian vein thrombosis after vaginal delivery: a report of 11 cases. Obstet Gynecol. 1995 May;85(5 Pt 1):775-80. https://doi.org/10.1016/0029-7844(95)00040-x
Gakhal MS, Levy HM, Spina M, Wrigley C. Ovarian vein thrombosis: analysis of patient age, etiology, and side of involvement. Del Med J. 2013 Feb;85(2):45-50; quiz 59.
Vigil DP, Brabandere CC, Martínez Pérez N, Rodríguez-Vijande AB, Robles MV. Trombosis de la vena ovárica: serie de 3 casos en el Hospital Universitario de Cabueñes. Rev Chil Obstet Ginecol. 2017;82(5):534-8. https://doi.org/10.4067/s0717-75262017000500534
Singh K, Viegas OA, Koh S, Singh P, Ratnam SS. The effects of Norplant-2 rods on clinical chemistry in Singaporean acceptors after 1 year of use: haemostatic changes. Contraception. 1988 Oct;38(4):441-51. https://doi.org/10.1016/0010-7824(88)90085-6
Notas
Notas de autor
a Autora de correspondencia: d-inga@javeriana.edu.co