Reporte de Caso
Embolización arterial para controlar hemorragias de las vías digestivas altas en pacientes geriátricos: presentación de un caso en un paciente nonagenario
Arterial Embolization to Control Upper Gastro-Intestinal Bleeding: A Case Report
Embolización arterial para controlar hemorragias de las vías digestivas altas en pacientes geriátricos: presentación de un caso en un paciente nonagenario
Universitas Medica, vol. 63, núm. 3, pp. 1-7, 2022
Pontificia Universidad Javeriana
Recepción: 26 Junio 2021
Aprobación: 07 Julio 2022
Resumen: La hemorragia de las vías digestivas altas es una patología con alta incidencia en los adultos mayores de 65 años, y es una de las complicaciones médicas que más demandan servicios de salud. Dados los cambios en la pirámide demográfica mundial, con un crecimiento sin precedentes de la población de adultos mayores, hace que sea un entidad de mucho interés en la práctica médica para los servicios de geriatría, gastroenterología y radiología intervencionista, ya que su incidencia aumenta con la edad. El artículo analiza el caso de un paciente nonagenario, quien presentó sangrado gastrointestinal alto sin adecuado control endoscópico con escleroterapia y clips, quien requirió manejo endovascular y tuvo un adecuado desenlace.
Palabras clave: hemorragia gastrointestinal, radiología intervencionista, embolización, nonagenario.
Abstract: Upper digestive tract hemorrhage is a pathology with a high incidence in adults over 65 years old, being one of the medical complications that most require health services. Currently given the change in the demographic pyramid with an unprecedented growth in the population of older adults makes it an entity of great interest in medical practice for geriatrics, gastroenterology, and interventional radiology services. Also, due to its increasing incidence with age. We will analyze the case of a nonagenarian patient, who presented upper gastrointestinal bleeding, without adequate control with endoscopic maneuvers such as sclerotherapy and clips, who required endovascular management with an adequate response to the intervention.
Keywords: gastrointestinal hemorrhage, interventional radiology, embolization, nonagenarian.
Introducción
La hemorragia digestiva se define como cualquier sangrado del tracto gastrointestinal, que se extiende desde la boca hasta el ano (1), y es una de las principales causas de ingreso a urgencias. Del 80% al 90% son enfermedades de origen gastrointestinal alto, y estas a su vez se definen como una hemorragia que se presenta proximal al ligamento de Treitz, cuya severidad puede variar de entre leve y asintomática hasta una hemorragia masiva, potencialmente fatal. Su incidencia es de aproximadamente 100 casos por cada 100000 habitantes (2), donde cerca del 70% de los ingresos a urgencias por sangrando gastrointestinal corresponde a pacientes mayores de 65 años, y esta incidencia aumenta con la edad (3).
Son secundarias a enfermedades como úlceras gastroduodenales, erosiones gastroduodenales, esofagitis, desgarro de Mallory-Weiss, malformaciones arteriovenosas y otras causas relacionadas con neoplasias, aun cuando la enfermedad ulceropéptica y las malformaciones arteriovenosas son las principales causas en el adulto mayor, cada una cercana al 30% (4). En la población geriátrica, las hemorragias digestivas representan un desafío de manejo, debido a las múltiples comorbilidades médicas, como enfermedades cardiopulmonares, enfermedad cerebrovascular, malignidad, patología osteomuscular y articular, condiciones que generalmente requieren un mayor uso de medicamentos, como antinflamatorios no esteroideos (AINE), agentes antitrombóticos y antiplaquetarios, que predisponen al paciente geriátrico al sangrado gastrointestinal.
El abordaje inicial debe considerar una historia clínica completa que trate de identificar etiología, severidad, comorbilidades y fármacos relacionados. Se deben tomar exámenes paraclínicos como hemograma, química sanguínea, función hepática, ácido láctico y pruebas de coagulación. El tratamiento inicial depende de la condición clínica del paciente, de tal forma que, en caso de inestabilidad hemodinámica, se debe realizar manejo con cristaloides, transfundir según las concentraciones de hemoglobina, suspender manejo con antiagregantes y anticoagulantes, iniciar inhibidores de la bomba de protones con 80 mg en bolo y posterior administración continua a 8-10 mg/h, y realizar en las primeras 24 h la endoscopia de vías digestivas altas —patrón de referencia para el diagnóstico, que, en general, es seguro y es bien tolerando por los pacientes geriátricos, con altas tasas de rendimiento, cercanas al 75%— (3,5).
En la endoscopia, una vez se localiza de manera exacta el sitio de sangrado, se dispone de varias herramientas terapéuticas para el control hemostático, como el uso de hemoclips (mediante una compresión tisular directa alrededor del sitio del sangrado), inyección endoscópica en la zona de sangrado con adrenalina, coagulación con argón plasma, electrocoagulación o aplicación de fibrina peri e intrafocal (que conduce a una compresión permanente que mejora la cicatrización y controla el sangrado). En casos en los cuales no hay control del sangrado vía endoscópica, ya sea por sangrado persistente o por un procedimiento fallido, se puede recurrir al manejo endovascular o quirúrgico, siendo la embolización endovascular una buena opción. Algunos estudios han demostrado que es un procedimiento técnicamente exitoso entre el 69% y hasta el 100% de los casos de la población general; además, disminuye la mortalidad en general y las complicaciones relacionadas con el tratamiento quirúrgico (5,6).
La angiografía endovascular y la embolización arterial transcatéter es un procedimiento clínicamente introducido desde 1965 y desde entonces se ha establecido como una opción tanto para el diagnóstico como para el tratamiento de las hemorragias de vías digestivas. Está indicado cuando la técnica endoscópica de la hemostasia ha fallado, cuando hay hemorragia recidivante después de una segunda intervención endoscópica o cuando la fuente de sangrado no es localizable endoscópicamente, incluyendo revisión con cápsula endoscópica. Está contraindicado en pacientes con alergia al contraste, hipertiroidismo, embarazo, sepsis, lesión renal aguda y coagulopatía de consumo (7).
El procedimiento consiste en lograr hemostasia por disminución del flujo y perfusión del vaso sangrante, para promover así la formación de un coágulo (8). Como regla, es realizado bajo anestesia local, y según la sospecha de la localización del vaso, se practica una angiografía selectiva que, en caso de hemorragia de vías digestivas altas, correspondería a una angiografía del tronco celíaco y luego de la mesentérica superior. En general, el sangrado se evidencia como una extravasación en la fase arterial, con acumulación en la fase venosa de la angiografía; sin embargo, existen signos indirectos como la evidencia de seudoaneurismas y espasmos vasculares.
Dentro de los procedimientos endovasculares disponibles, se encuentra la embolización con tecnología usando microcatéter coaxial o triaxial, con diferentes materiales que detienen la hemorragia (como la esponja de gelatina, microespirales, cianoacrilatos, copolímero de etileno-alcohol vinílico o agentes particulados como alcohol polivinilico), la vasoconstricción (con vasopresina) y stents recubiertos. Dentro de estas técnicas, la embolización con esponja de gelatina y la vasoconstricción con vasopresina se han relacionado con resangrado, por lo que su uso ha disminuido. Ha sido la aparición de la tecnología microcatéter la que ha posicionado la embolización transarterial como un manejo seguro y efectivo, al permitir la administración más selectiva del agente embólico en el punto de sangrado (7).
Los estudios sobre los resultados del tratamiento endovascular han venido en aumento. A menudo se basan en resultados retrospectivos, con series de casos pequeños o medianos, con seguimiento a corto o mediano plazo, por lo que se deben interpretar con precaución. Las series de publicaciones se han basado en población general, con un media de edad entre 22 y 80 años (9,10). Se evidencia que es un procedimiento técnicamente exitoso entre el 69% y el 100% de los casos, con similares tasas de recurrencia de sangrado al compararlo con las técnicas quirúrgicas, las cuales son cercanas al 30%. Los datos de mortalidad están altamente influenciados por las condiciones clínicas del paciente. Las potenciales complicaciones incluyen hematomas en el área de acceso, disecciones vasculares o complicaciones relacionadas con el medio de contraste (11).
Descripción de caso clínico
El caso corresponde a un hombre de 92 años, quien consultó en un hospital de baja complejidad por un cuadro clínico de cinco días de evolución de dolor abdominal tipo cólico de moderada intensidad asociado con astenia, adinamia, edema de miembros inferiores y disminución de la clase funcional NYHA III/IV. En el hospital se enfocan en una falla cardiaca descompensada y le toman exámenes paraclínicos, con reporte de hemoglobina (Hb) de 6 mg/dl y hallazgo en ecografía de un aneurisma de la aorta infraabdominal. Se le indica una transfusión de 2 unidades de glóbulos rojos empaquetados (UGRE) y remisión a un nivel de mayor complejidad por sospecha de cor anémico.
Ingresa a nuestra institución, sin antecedentes patológicos, alérgicos o transfusionales, con historial de toma reciente de etoricoxib, piracetam y complejo B por dolor osteomuscular. En el examen físico de ingreso, el paciente tenía signos de falla cardiaca descompensada, dados por ingurgitación yugular grado II, auscultación pulmonar con estertores en ambos campos pulmonares y edema grado II en sus miembros inferiores. En cuanto a su situación basal, era independiente para actividades básicas e instrumentales de la vida diaria, sin delírium, sin historial de trastorno neurocognoscitivo. Se documentó Hb de ingreso de 7,4 mg/dl con control de Hb a las 12 h en 6,6 mg/dl, por lo que se ordenó transfusión de 2 UGRE y se solicitó endoscopia de vías digestivas, que documentó una úlcera en la pared anterior del codo duodenal Forrest IIb de 12 mm (figura 1). Al paciente se le realiza hemostasia dual con adrenalina y hemoclip resolution n.º 2 y con indicación de manejo en las próximas 48 h con inhibidor de bomba de protones.

Posterior al procedimiento, se le realizaron hemogramas de control, con evidencia de anemización aguda y requerimiento de soporte politransfusional en 3 ocasiones. Hubo un nuevo control endoscópico con hallazgos en la pared anterior del codo duodenal y presencia de hemoclip normoposicionado sobre la úlcera Forrest III e lleocolonoscopia con hallazgos de pandiverticulosis, sin signos endoscópicos de complicación, pero con presencia de sangre fresca en el colon transverso, derecho e íleon, sin identificar el sitio de sangrado. Por la presencia de sangre fresca, proximal a la válvula ileocecal, se indicó una nueva endoscopia digestiva alta que encontró una úlcera de 12 mm de longitud, de bordes bien definidos con un coágulo adherido en la pared anterior del codo duodenal. Al paciente se le removió el coágulo, para reclasificar el Forrest, que evidenció la persistencia del coágulo adherido, sin sangrado activo. Se le realizó una inyectoterapia con mezcla de adrenalina 1:10000 y solución salina en 4 puntos, además de inserción de un hemoclip resolution n.º 2.
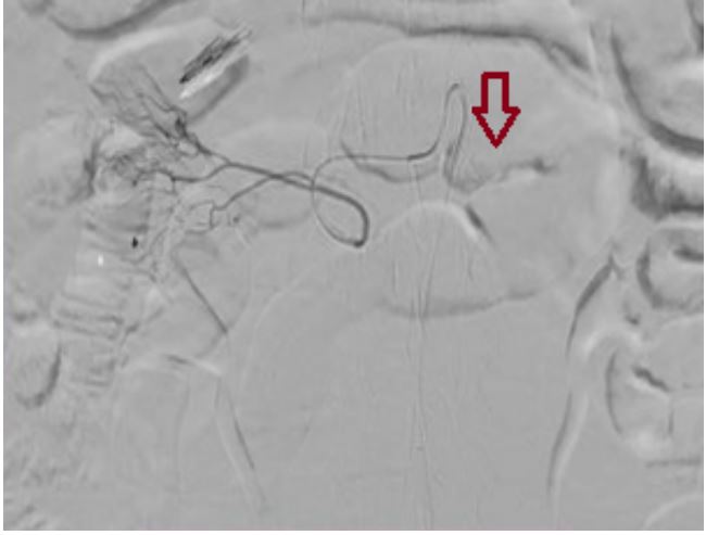
Por persistencia del descenso en la Hb y requerimiento de múltiples transfusiones, se solicitó valoración y manejo por parte del servicio de radiología intervencionista, para embolización. Allí cateterizaron selectivamente el tronco celiaco y, posteriormente, la arteria gastroduodenal, y se embolizó con micropartículas de 300/500 micras. Así, se observó una disminución del aporte arterial al sitio anatómico de donde se localizó la úlcera, pero sin excluir completamente el flujo a la zona, con lo cual la paciente presentó estabilidad de la Hb por más 72 h sin nuevos episodios de melenas y se consideró adecuado el control del sangrado y se le dio egreso al paciente (figura 2).

Discusión
La hemorragia de las vías digestivas altas es una patología muy frecuente entre los adultos mayores, y el aumento en la expectativa de vida incrementa aún más la prevalencia de esta entidad. Las características de los adultos mayores hacen un reto el tratamiento, y se hace necesario contar con procedimientos mínimamente invasivos, con bajas tasas de resangrado y complicaciones, sobre todo cuando el tratamiento endoscópico fue fallido. Herramientas como la terapia endovascular resaltan dentro de estas opciones, y aunque son una buena alternativa, se evidencia en los estudios y en la literatura limitados datos de estos procedimientos en pacientes “muy mayores”.
Nosotros presentamos un caso de un paciente nonagenario, quien, a pesar de un manejo óptimo farmacológico, además de inyección de adrenalina y el uso hemoclip, persistió con hemorragia, por lo que se consideró un manejo con embolización angiográfica, con un resultado exitoso (12).
El tratamiento con embolización dirigida para el manejo de la hemorragia de las vías digestivas alta o bajas es muy eficaz con un tasa de resangrado de entre el 10% y el 30% posterior al procedimiento (13), y la incidencia de isquemia intestinal secundaria es del 5% al 15%. Debido a las múltiples comorbilidades de los adultos mayores, son malos candidatos a cirugía y puede fallar la hemostasia endoscópica, incluida la endoscopia repetida, por lo que la embolización es un método seguro, eficaz y rápido de realizar (14). Está indicada cuando falla el manejo endoscópico y en pacientes que se consideren no aptos para tratamiento endoscópico y en pacientes con sangrados con choque hipovolémico (15). El éxito de la embolización depende de la detección del sitio de sangrado de tal forma que su efectividad va desde un 100%, con visualización angiográfica de la extravasación, hasta un 83,9%, sin visualización angiográfica de extravasación (16).
Conclusión
La hemorragia de las vías digestivas altas es una patología muy frecuente y que le confiere una alta morbimortalidad al paciente adulto mayor. La valoración geriátrica integral como herramienta para identificar pacientes funcionales, con reserva fisiológica y favorable pronóstico en un proceso terapéutico y de recuperación, es indispensable para dirigir las intervenciones, y en este caso, varias intervenciones escalonadas y oportunas (endoscopia de vías digestivas altas, repetida fallida y finalmente embolización angiográfica) permitieron el control de la hemorragia.
La angiografía, aunque se trata de un procedimiento que implica disponibilidad en la institución —usualmente solo presente en hospitales de alta complejidad—, personal entrenado y precauciones respecto a la lesión renal por el uso de medios de contraste, debe realizarse de forma temprana en el curso de la hemorragia en pacientes críticamente enfermos, en quienes no se haya logrado el control farmacológico ni endoscópico del sangrado digestivo alto, dadas las ventajas que ofrece en cuanto a mortalidad en general y complicaciones respecto a una alternativa quirúrgica. De ahí que se muestre como un procedimiento de embolización endovascular mínimamente invasivo y seguro en pacientes adultos mayores.
Conflicto de intereses
Ninguno.
Referencias
Nable JV, Graham AC. Gastrointestinal Bleeding. Emerg Med Clin North Am. 2016 May;34(2):309-25. https://doi.org/10.1016/j.emc.2015.12.001
Nelms DW, Pelaez CA. The acute upper gastrointestinal bleed. Surg Clin North Am. 2018 Oct;98(5):1047-57. https://doi.org/10.1016/j.suc.2018.05.004
Stolow E, Moreau C, Sayana H, Patel S. Management of non-variceal upper GI bleeding in the geriatric population: an update. Curr Gastroenterol Rep. 2021 Apr 25;23(4):5. https://doi.org/10.1007/s11894-021-00805-6
Khamaysi I, Gralnek IM. Acute upper gastrointestinal bleeding (UGIB) – Initial evaluation and management. Best Pract Res Clin Gastroenterol. 2013 Oct;27(5):633-8. https://doi.org/10.1016/j.bpg.2013.09.002
Schweizer U, Grund KE, Fundel J, Wichmann D, Königsrainer A. Therapie der nichtvarikösen oberen gastrointestinalen Blutung: endoluminal – endovaskulär – chirurgisch. Der Chir. 2019 Aug 7;90(8).
Wong TCL, Wong K-T, Chiu PWY, Teoh AYB, Yu SCH, Au KWL, et al. A comparison of angiographic embolization with surgery after failed endoscopic hemostasis to bleeding peptic ulcers. Gastrointest Endosc. 2011 May;73(5):900-8. https://doi.org/10.1016/j.gie.2010.11.024
Yap FY, Omene BO, Patel MN, Yohannan T, Minocha J, Knuttinen MG, et al. Transcatheter embolotherapy for gastrointestinal bleeding: a single center review of safety, efficacy, and clinical outcomes. Dig Dis Sci. 2013;58(7):1976-84.
Lambe G, Courtney M, Judge C, Donlon NE, Ravi N, Ryan M. A case report of endovascular management of delayed upper gastrointestinal bleeding after open esophagectomy for a benign esophageal stricture. Int J Surg Case Rep. 2021;85(July):106277. https://doi.org/10.1016/j.ijscr.2021.106277
Loffroy R, Rao P, Ota S, De Lin M, Kwak BK, Geschwind JF. Embolization of acute nonvariceal upper gastrointestinal hemorrhage resistant to endoscopic treatment: results and predictors of recurrent bleeding. Cardiovasc Intervent Radiol. 2010;33(6):1088-100. https://doi.org/10.1007/s00270-010-9829-7
Mirsadraee S, Tirukonda P, Nicholson A, Everett SM, McPherson SJ. Embolization for non-variceal upper gastrointestinal tract haemorrhage: a systematic review. Clin Radiol. 2011;66(6):500-9. https://doi.org/10.1016/j.crad.2010.11.016
Augustin AM, Fluck F, Bley T, Kickuth R, Augustin AM, Würzburg U. Endovascular therapy of gastroinestinal bleeding. Rofo. 2019 Dec;191(12):1073-1082. English, German. https://doi.org/10.1055/a-0891-1116
Barkun AN, Martel M, Toubouti Y, Rahme E, Bardou M. Endoscopic hemostasis in peptic ulcer bleeding for patients with high-risk lesions: a series of meta-analyses. Gastrointest Endosc. 2009 Apr;69(4):786-99. https://doi.org/10.1016/j.gie.2008.05.031
Patino-Hernandez D, Borda MG, Venegas Sanabria LC, Chavarro-Carvajal D, Cano-Gutiérrez CA. Disfagia sarcopénica. Rev Colomb Gastroenterol. 2017;31(4):418. https://doi.org/10.22516/25007440.117
Kaminskis A, Ivanova P, Kratovska A, Ponomarjova S, Ptašņuka M, Demičevs J, et al. Endoscopic hemostasis followed by preventive transarterial embolization in high-risk patients with bleeding peptic ulcer: 5-year experience. World J Emerg Surg. 2019 Dec 10;14(1).
Lai H-Y, Wu K-T, Liu Y, Zeng Z-F, Zhang B. Angiography and transcatheter arterial embolization for non-variceal gastrointestinal bleeding. Scand J Gastroenterol. 2020 Aug 2;55(8). https://doi.org/10.1080/00365521.2020.1790650
Choi C, Lim H, Kim M-J, Lee BY, Kim S-Y, Soh JS, et al. Relationship between angiography timing and angiographic visualization of extravasation in patients with acute non-variceal gastrointestinal bleeding. BMC Gastroenterol. 2020 Dec 14;20(1):426. https://doi.org/10.1186/s12876-020-01570-y
Notas
Notas de autor
a Autor de correspondencia: ronald.gomez@javeriana.edu.co