Revisión de Tema
Actualidad en corioamnionitis: una mirada desde el microscopio
Update on Chorioamnionitis: A Look from the Microscope
Actualidad en corioamnionitis: una mirada desde el microscopio
Universitas Medica, vol. 63, núm. 4, pp. 1-9, 2022
Pontificia Universidad Javeriana
Recepción: 13 Julio 2022
Aprobación: 05 Octubre 2022
Resumen: La corioamnionitis se ha relacionado con desenlaces desfavorables en el periodo prenatal y neonatal (abortos, parto pretérmino, sepsis neonatal, entre otros), además de implicaciones a largo plazo en la infancia, como alteraciones en el coeficiente intelectual. Por esta razón, es de vital importancia el diagnóstico histopatológico oportuno. En este artículo se revisa el abordaje histopatológico de la corioamnionitis, su estadificación e implicaciones clínicas.
Palabras clave: Sepsis, corioamnionitis, funisitis, agentes infecciosos, neonato.
Abstract: Chorioamnionitis has been related to unfavorable outcomes in the prenatal and neonatal period (abortions, preterm delivery, neonatal sepsis, among others), as well as long-term implications in childhood, such as changes in IQ. For this reason, timely histopathological diagnosis is of vital importance. In this article, the histopathological approach to chorioamnionitis, its staging and clinical implications will be reviewed.
Keywords: Ascending intra-amniotic infection, clinical chorioamnionitis, clinical chorioamnionitis, microbial invasion of the amniotic cavity, pathologic grading, placental pathology.
Introducción
La infección de las membranas placentarias es una entidad patológica heterogénea, relacionada con repercusiones de alto impacto maternas, fetales, neonatales e incluso a largo plazo en el desarrollo del infante. Se define como corioamnionitis el proceso inflamatorio que afecta el corion y el amnios (1), lo cual indica una respuesta inflamatoria materna (2). El estudio histopatológico de la placenta se ha convertido en un procedimiento de rutina en muchos centros asistenciales en diversos países, debido a que puede arrojar diagnósticos o hallazgos que inducen cambios en las conductas clínicas que pueden influir en la morbilidad y mortalidad materno-fetal.
En el mundo, la corioamnionitis representa la principal causa de mortalidad fetal en el segundo trimestre de gestación (3), además de estar relacionada como factor de riesgo para ruptura prematura de membranas y parto pretérmino. Es de resaltar que el parto pretérmino y el riesgo de infección del neonato están asociados con el pronóstico a corto, mediano y largo plazo (4,5). Se calcula que el 10% de todos los embarazos cursan con corioamnionitis (6). La infección puede avanzar y afectar la cavidad intramniótica en el 40%-70% de los partos pretérmino y ruptura prematura de membranas. La prevalencia de la corioamnionitis es inversamente proporcional a la edad gestacional, ya que se presenta en más del 50% de las gestaciones entre 23 y 24 semanas, y en el 5% de los embarazos mayores de 37 semanas (5); adicionalmente, afecta del 1% al 4% de los embarazos gemelares (3).
En Colombia, la frecuencia de la corioamnionitis en todos los embarazos es del 7% al 12%, y es responsable de un tercio de los partos pretérmino (7). En el 50% de los fetos expuestos a infecciones intrauterinas se desencadenan cuadros inflamatorios sistémicos (8); por el contrario, el 80% de las gestantes permanecen asintomáticas, lo cual refleja la baja sensibilidad de la sintomatología materna para el diagnóstico de infecciones intrauterinas (9). En Estados Unidos, el costo del tratamiento de las gestantes y de los recién nacidos afectados por estas entidades alcanzan valores por 26,2 billones de dólares al año (10), lo cual deja en claro que son de impacto en los servicios de salud. No menos importante es el impacto en el desarrollo neurológico de los niños afectados (11-13).
El estudio histológico de las placentas está indicado cuando hay evidencia de infección materna, fetal/neonatal o placentaria (14). Sin embargo, en la rutina, el reporte del resultado tarda alrededor de una semana, tiempo después del cual dicho resultado puede no cambiar ya el curso del tratamiento o del pronóstico neonatal.
Estado del arte
Uno de los criterios para evaluar la salud de un país es la mortalidad materna y perinatal; por lo tanto, se consideran indicadores universales de condiciones y calidad de vida y, además, de acceso a los servicios de salud (15,16). Es bien conocida la influencia y el impacto que tiene la salud fetal en la morbilidad perinatal (15), como es el caso de las infecciones in utero (corioamnionitis, villitis, intervillitis y funisitis), ya sean de origen bacteriano, viral o parasitario, que pueden predisponer a abortos, parto pretérmino, ruptura prematura de membranas, infecciones y complicaciones neonatales, así como discapacidades permanentes para el recién nacido.
La corioamnionitis aguda es la respuesta inflamatoria materna en el corion y amnios, desencadenada por contaminantes ambientales (17), humo de cigarrillo, entre otras sustancias tóxicas (18); sin embargo, la causa principal es la infección generada por microrganismos que pueden llegar por cuatro vías principales a la interfase materno-fetal, donde se da la respuesta inmune.
Es necesario conocer la histología placentaria para realizar la correlación fisiopatológica y clínica de esta patología. Ahondamos en los aspectos básicos (histología y fisiología), regulación inmunológica, agentes causales, estudio histopatológico e implicaciones clínicas de la corioamnionitis.
Histología de la placenta
La placenta está compuesta por tejidos de dos individuos (madre y feto) con diferencias en su componente genético. El saco amniótico que rodea al feto está compuesto por decidua (componente materno), corion y membranas amnióticas (componentes fetales). El amnios es una capa de células epiteliales y mesenquimales subyacentes, asociadas con una matriz extracelular y colágeno. El corion está compuesto por una capa reticular, la membrana basal y los trofoblastos. La decidua, que es el endometrio materno transformado del embarazo, está contiguo al corion, y sus componentes son células inmunes maternas, células del estroma decidual y trofoblastos extravellosos (19). Las vellosidades coriónicas están conformadas por capilares fetales, células estromales, citrofoblasto y un recubrimiento externo compuesto por un epitelio simple de células de sincitotrofoblasto. En la interfase coriodecidual hay células inflamatorias residentes que tienen una programación para la respuesta inmune diferente, la cual permite mantener la tolerancia a los tejidos fetales (20,21).
Fisiopatología de la respuesta inflamatoria materna (corioamnionitis)
El saco gestacional tiene propiedades inmunológicas privilegiadas que protegen al feto alogénico del rechazo del sistema inmune materno. Entre tanto, son diferentes los perfiles y las funciones inmunológicas de las células inmunes que habitan en el espacio coriodecidual (células deciduales, células NK, linfocitos T CD4+ y CD8+, macrófagos y células dendríticas) (22), en contraste con sus contrapartes sanguíneas (23); sin embargo, el arsenal de células cambia durante la respuesta a infecciones y durante el parto (24).
La primera línea de defensa está compuesta por las membranas amnióticas, que ejercen una función de barrera física. El amnios tiene la capacidad de producir péptidos antimicrobianos y el trofoblasto reconoce antígenos de patógenos a través de receptores tipo Toll (25); una vez se identifica la presencia de patógenos, se activan células del sistema inmune materno (26) por medio de la liberación de quimioatrayentes (27) (IL-8 y CSF3), en particular neutrófilos, que migran desde las vénulas poscapilares maternas hacia el espacio subcorial y decidual (11). Por lo tanto, el primer indicador de respuesta inflamatoria materna es la subcorionitis aguda (5), que progresivamente avanza e infiltra los tejidos de la barrera materno-fetal, resultando en corioamnionitis aguda. La intensidad de la inflamación la regula la interacción entre neutrófilos, macrófagos, linfocitos T CD8+ y células del estroma decidual, por medio de la secreción ajustada de citocinas, quimiocinas y prostaglandinas (28).
Vías de infección
Hasta el momento se reconocen cuatro vías de invasión a la cavidad amniótica (29). La primera vía y la más común es el ascenso desde el tubo genital inferior (1), y dado que los principales agentes causales de la corioamnionitis son organismos que hacen parte de la flora cervicovaginal (30,31), se plantea que la proliferación de la flora normal se genera por alteraciones en el microambiente local (32); en otros casos, los organismos colonizadores provendrían de otros sitios (5). Los agentes patógenos acceden a la cavidad uterina desde el compartimiento cervicovaginal y se localizan inicialmente en la decidua de la región supracervical, para propagarse posteriormente al espacio corioamniótico (33-35).
La segunda vía de colonización es la hematógena, la cual representa una minoría de los casos. Se lleva a cabo cuando microrganismos, como Listeria monocytogene, virus del Zika, Treponema pallidum y el complejo TORCH (36-40), tienen acceso al espacio intervelloso a través de la circulación materna; por lo tanto, a diferencia de las infecciones ascendentes, las infecciones generadas por vía hematógena causan inflamación principalmente en las vellosidades coriónicas y el espacio intervelloso (28).
La tercera vía es la inoculación accidental de flora cutánea durante la amniocentesis (28).
La cuarta vía es una de las menos frecuentes, y consiste en la diseminación de infecciones por la contigüidad con estructuras abdominales (salpingitis, cistitis, peritonitis, apendicitis, entre otras del tracto gastrointestinal) (5).
Agentes causales
El grupo principal de patógenos que desencadena la respuesta inflamatoria en la cavidad corioamniótica está constituido por bacterias aerobias o anaerobias que habitan las vías genitourinarias, el tubo gastrointestinal o la piel. Las bacterias aisladas con mayor frecuencia son micoplasmas genitales (principalmente especie Ureaplasma) (41) y estreptococo del grupo B (42). Otros microrganismos comunes son Gardenella vaginalis, especies de fusobacteria y Escherichia coli (43-45). Aunque no se tienen estadísticas claras, la corioamnionitis también la pueden causar hongos, y en este grupo los más destacados son las especies de Candida, particularmente Candida albicans (46,47). Menos frecuentes son las infecciones causadas por los virus y los parásitos mencionados anteriormente. En el 30% de los casos de infecciones corioamnióticas puede ser polimicrobiana (48).
Histopatología
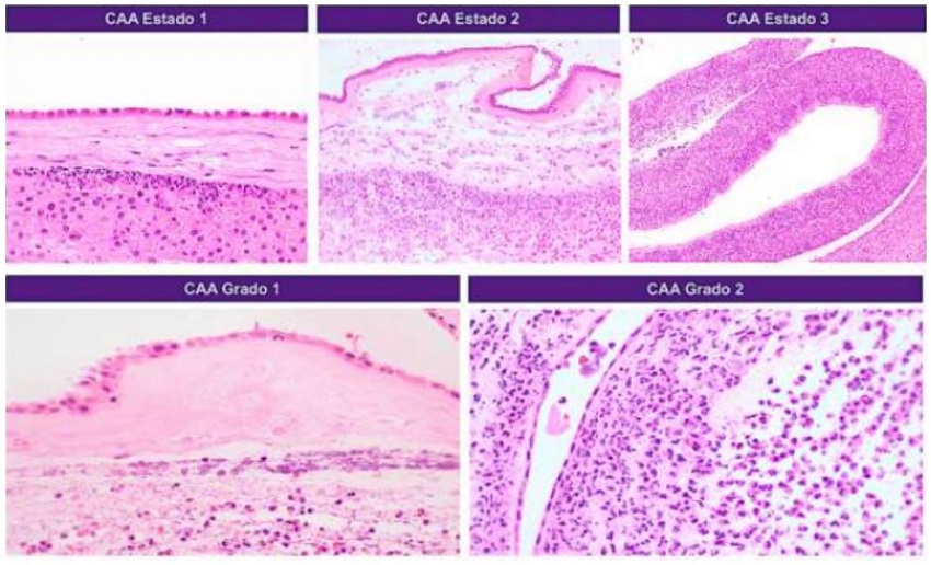
En el último consenso de expertos en patología placentaria llevado a cabo en Ámsterdam, en el 2015, se estableció la clasificación de corioamnionitis histológica, estandarizando la estadificación de la inflamación. El grupo de expertos resaltó la importancia de la descripción topográfica de la inflamación, pues esto permite diferenciar la respuesta materna de la fetal. El discernimiento entre estas dos entidades tiene relevancia clínica, debido a que se han relacionado peores desenlaces fetales asociados con la respuesta inflamatoria fetal (49,50). Adicionalmente, hicieron hincapié en que se debe de aclarar la cronicidad de la infección (51). La respuesta inflamatoria materna y fetal fueron subdivididas en etapas y grados (11). El término etapas hace referencia a la progresión de la inflamación basándose en la región anatómica infiltrada por polimorfonucleares y, por lo tanto, indica la duración del proceso; el término grado se refiere a la intensidad de la inflamación en un sitio anatómico (28), e indica la severidad.
La primera señal histológica, es decir, estadio 1 de la respuesta inflamatoria materna, es la subcorionitis aguda, caracterizada por la presencia de un infiltrado en banda, compuesto por neutrófilos debajo de la placa coriónica o en el espacio intervelloso subcorial, en ausencia de inflamación en otros lugares (figura 1). Otro indicador inicial es la corionitis aguda, es decir, la presencia de polimorfonucleares neutrófilos en la unión coriodecidual. El estadio 2 hace referencia a la corioamnionitis aguda, que se define como un infiltrado inflamatorio de tipo neutrofílico en el corion o en el amnios. El estadio 3 se establece por la presencia de corioamnionitis necrosante, caracterizada por cariorexis de los neutrófilos, necrosis del amnios o eosinofilia de la membrana basal del amnios. El grado 1 se define como los casos clasificados como no severos; el grado 2 se establece como severo, y se definió como un cúmulo de polimorfonucleares o microabscesos subcoriónicos (51).

Anteriormente, el término corioamnionitis se utilizaba de forma indiscriminada para referirse a la presencia de inflamación intrauterina que presentaba signos clínicos o evidencia de laboratorio/histopatológico, lo que desembocó en una confusión, debido a que no siempre se correlaciona la corioamnionitis histológica con manifestaciones clínicas evidentes; por lo tanto, en el 2015 el panel de expertos del Instituto Nacional de Salud Infantil y Desarrollo Humano acuñó el término inflamación o infección intrauterina o ambos, abreviado como triple I para definir el síndrome clínico desencadenado por inflamación/infección intrauterina, que se define con criterios diagnósticos clínicos (52,54).
Implicaciones clínicas de la respuesta inflamatoria
Como se ha mencionado, la infección/inflamación intrauterina está relacionada con múltiples desenlaces desfavorables a corto y largo plazo para el feto y la madre. Dentro de las complicaciones maternas, se conoce que la corioamnionitis eleva de dos a tres veces el riesgo de endometritis (54), infección de herida del sitio operatorio, absceso pélvico, bacteriemia en el 10% de las mujeres y hemorragia posparto (55-57). Datos clínicos, epidemiológicos y estudios han demostrado que la corioamnionitis desempeña un papel primordial en la predisposición del recién nacido a la falla orgánica multisistémica (58). En un estudio realizado en México y publicado en el 2013 se concluyó que la corioamnionitis aumenta treinta veces el riego de desarrollar infección neonatal (59).
Conclusiones
Es de vital importancia la identificación precoz y oportuna de la corioamnionitis, dados por el impacto negativo que puede tener en el periodo prenatal, neonatal y en la infancia, especialmente por la estrecha relación que se ha documentado con el desarrollo de lesiones en el sistema nervioso central de los infantes expuestos a esta entidad; por este motivo, los patólogos deben de estar familiarizados con esta patología, sus características históricas, diagnóstico y reporte temprano, al igual los clínicos deben identificar oportunamente los casos que requieran el estudios histopatológico y realizar los cambios en la conducta clínica requeridos para el manejo de cada caso.
Conflicto de intereses
Las autoras informamos que no tenemos conflicto de intereses.
Referencias
Kim CJ, Romero R, Chaemsaithong P, Chaiyasit N, Yoon BH, Kim YM. Acute chorioamnionitis and funisitis: definition, pathologic features, and clinical significance. Am J Obstetr Gynecol. 2015;213(4):S29-S52. https://doi.org/10.1016/j.ajog.2015.08.040
Tita A. Intra-amniotic infection (clinical chorioamnionitis or triple I). UpToDate [internet]. 2019. Disponible en: https://www-uptodate-com.ezproxy.javeriana.edu.co/contents/intra-amniotic-infection-clinical-chorioamnionitis-or-triple-i?search=corioamnionitis&source=search_result&selectedTitle=1~150&usage_type=default&display_rank=1
Romero R, Chaemsaithong P, Docheva N, Korzeniewski S, Kusanovic J, Yoon B, et al. Clinical chorioamnionitis at term VI: Acute chorioamnionitis and funisitis according to the presence or absence of microorganisms and inflammation in the amniotic cavity. J Perinatal Med. 2016;44(1):33-51. https://doi.org/10.1515/jpm-2015-0119
Mendoza OE, Briceño Palomino F, Ramos Franco N, Rodríguez Guerra D, Rodríguez Niño N. Corioamnionitis. Repert Med Cir. 2013;22(4):248-56.
Redline RW. Inflammatory response in acute chorioamnionitis. Semin Fetal Neonatal Med. 2012;17(1):20-25. https://doi.org/10.1016/j.siny.2011.08.003
Mahe E, Hamid J, Terry J, Jansen JW, Bourgeois J, Arredondo-Marin J. Frozen section of placental membranes and umbilical cord: an aid to early postpartum diagnosis of intra-amniotic infection. Am J Clin Pathol. 2014;142(2):202-8. https://doi.org/10.1309/AJCPYN70DLUFFDVP
Mendoza O, Arias D, Rojas JL, Gómez J, Hernández K, Castro D, et al. Corioamnionitis en biopsia por congelación de placentas en pacientes con riesgo de infección y su relación con morbimortalidad del recién nacido. Repert Med Cir. 2014;23(2):134-8. https://doi.org/10.31260/RepertMedCir.v23.n2.2014.728
Menon R, Taylor RN, Fortunato SJ. Chorioamnionitis: a complex pathophysiologic syndrome. Placenta. 2010;31(2):113-20. https://doi.org/10.1016/j.placenta.2009.11.012
Rincón Ricote MI, Magdaleno Dans F, Sancha Naranjo M, Omeñaca Teres F, González González A. Corioamnionitis histológica y morbimortalidad neonatal: aproximación al síndrome de respuesta inflamatoria fetal. Rev Chil Obstetr Ginecol. 2010;75(3):172-8. https://doi.org/10.4067/S0717-75262010000300005
Strunk T, Doherty D, Jacques A, Simmer K, Richmond P, Kohan R, Charles A, Burgner D. Histologic chorioamnionitis is associated with reduced risk of late-onset sepsis in preterm infants. Pediatrics. 2012;129(1):e134-41. https://doi.org/10.1542/peds.2010-3493
Redline RW, Faye-Petersen O, Heller D, Qureshi F, Savell V, Vogler C. Amniotic infection syndrome: nosology and reproducibility of placental reaction patterns. Pediatr Dev Pathol. 2003;6(5):435-48. https://doi.org/10.1007/s10024-003-7070-y
Redline RW. Correlation of placental pathology with perinatal brain injury. Surg Pathol Clin. 2013;6(1):153-80. https://doi.org/10.1016/j.path.2012.11.005
Saunders-Hastings P, Crispo JAG, Sikora L, Krewski D. Effectiveness of personal protective measures in reducing pandemic influenza transmission: a systematic review and meta-analysis. Epidemics. 2017;20:1-20. https://doi.org/10.1016/j.epidem.2017.04.003
Olaya-Contreras M. Lo que las placentas dicen pero nadie quiere escuchar. Univ Méd. 2014;55(1):18-27. https://doi.org/10.11144/Javeriana.umed55-1.qpdp
Olaya-Contreras M, Vargas-Moreno W, Bernal-Villegas JE. Una aproximación desde la física a las consecuencias patológicas de la longitud excesiva del cordón umbilical. Rev Colomb Obstet Ginecol. 2015;66(1):53-60. https://doi.org/10.18597/rcog.8
Horn LC, Langner A, Stiehl P, Wittekind C, Faber R. Identification of the causes of intrauterine death during 310 consecutive autopsies. Eur J Obstet Gynecol Reproduct Biol. 2004;113(2):134-8. https://doi.org/10.1016/S0301-2115(03)00371-3
Familari M, Nääv Å, Erlandsson L, de Iongh RU, Isaxon C, Strandberg B, et al. Exposure of trophoblast cells to fine particulate matter air pollution leads to growth inhibition, inflammation and ER stress. PLoS One. 2019;14(7):e0218799. https://doi.org/10.1371/journal.pone.0218799
Menon R, Fortunato SJ, Yu J, Milne GL, Sanchez S, Drobek CO, et al. Cigarette smoke induces oxidative stress and apoptosis in normal term fetal membranes. Placenta. 2011;32(4):317-22. https://doi.org/10.1016/j.placenta.2011.01.015
Menon R, Richardson LS, Lappas M. Fetal membrane architecture, aging and inflammation in pregnancy and parturition. Placenta. 2019;79:40-5. https://doi.org/10.1016/j.placenta.2018.11.003
PrabhuDas M, Bonney E, Caron K, Dey S, Erlebacher A, Fazleabas A, et al. Immune mechanisms at the maternal-fetal interface: perspectives and challenges. Nat Immunol. 2015;16(4):328-34. https://doi.org/10.1038/ni.3131
Nancy P, Tagliani E, Tay CS, Asp P, Levy DE, Erlebacher A. Chemokine gene silencing in decidual stromal cells limits T cell access to the maternal-fetal interface. Science (1979). 2012;336(6086):1317-21. https://doi.org/10.1126/science.1220030
Heerema-McKenney A. Defense and infection of the human placenta. APMIS. 2018;126(7):570-88. https://doi.org/10.1111/apm.12847
Arenas-Hernández M, Gómez-López N, García-Flores V, et al. Choriodecidual leukocytes display a unique gene expression signature in spontaneous labor at term. Gen Immun. 2019;20(1):56-68. https://doi.org/10.1038/s41435-017-0010-z
Gómez-López N, StLouis D, Lehr MA, Sánchez-Rodríguez EN, Arenas-Hernández M. Immune cells in term and preterm labor. Cell Mol Immunol. 2014;11(6):571-81. https://doi.org/10.1038/cmi.2014.46
Mor G, Kwon JY. Trophoblast-microbiome interaction: a new paradigm on immune regulation. Am J Obstet Gynecol. 2015;213(4):S131-7. https://doi.org/10.1016/j.ajog.2015.06.039
King AE, Kelly RW, Sallenave JM, Bocking AD, Challis JRG. Innate immune defenses in the human uterus during pregnancy. Placenta. 2007;28(11-12):1099-1106. https://doi.org/10.1016/j.placenta.2007.06.002
Presicce P, Park CW, Senthamaraikannan P, Bhattacharyya S, Jackson C, Kong F, et al. IL-1 signaling mediates intrauterine inflammation and chorio-decidua neutrophil recruitment and activation. JCI Insight. 2018;3(6). https://doi.org/10.1172/jci.insight.98306
Cappelletti M, Presicce P, Kallapur SG. Immunobiology of acute chorioamnionitis. Front Immunol. 2020;11. https://doi.org/10.3389/fimmu.2020.00649
Romero R, Espinoza J, Kusanovic JP, Gotsch F, Hassan S, Erez O, et al. The preterm parturition syndrome. BJOG: An Int J Obstet Gynaecol. 2006;113(suppl. 3):17-42. https://doi.org/10.1111/j.1471-0528.2006.01120.x
Leviton A, Allred EN, Kuban KCK, et al. Microbiologic and histologic characteristics of the extremely preterm infant’s placenta predict white matter damage and later cerebral palsy: the ELGAN study. Pediat Res. 2010;67(1):95-101. https://doi.org/10.1203/PDR.0b013e3181bf5fab
Blanc WA. Pathology of the placenta and cord in ascending and in haematogenous infection. Ciba Found Symp. 1979;(77):17-38. https://doi.org/10.1002/9780470720608.ch3
DiGiulio DB, Callahan BJ, McMurdie PJ, et al. Temporal and spatial variation of the human microbiota during pregnancy. Proc Natl Acad Sci U S A. 2015;112(35):11060-5. https://doi.org/10.1073/pnas.1502875112
López-Osma FA, Ordóñez-Sánchez SA. Premature rupture of fetal membranes: from the physiopathology to the early markers of the disease. Rev Colomb Obstet Ginecol. 2006;(57):279-90.
Steel JH, Malatos S, Kennea N, Edwards AD, Miles L, Duggan P, et al. Bacteria and inflammatory cells in fetal membranes do not always cause preterm labor. Pediatr Res. 2005;57(3):404-11. https://doi.org/10.1203/01.PDR.0000153869.96337.90
Goldenberg RL, Andrews WW, Hauth JC. Choriodecidual infection and preterm birth. Nutr Rev. 2002;60(suppl_5):S19-S25. https://doi.org/10.1301/00296640260130696
Gellin BG, Broome CV, Bibb WF, Weaver RE, Gaventa S, Mascola L. The epidemiology of listeriosis in the United States—1986. Am J Epidemiol. 1991;133(4):392-401. https://doi.org/10.1093/oxfordjournals.aje.a115893
Tabata T, Petitt M, Puerta-Guardo H, Michlmayr D, Wang C, Fang-Hoover J, et al. Zika virus targets different primary human placental cells, suggesting two routes for vertical transmission. Cell Host Microbe. 2016;20(2):155-66. https://doi.org/10.1016/j.chom.2016.07.002
Mysorekar IU, Diamond MS. Modeling zika virus infection in pregnancy. New Engl J Med. 2016;375(5):481-4. https://doi.org/10.1056/NEJMcibr1605445
Arora N, Sadovsky Y, Dermody TS, Coyne CB. Microbial vertical transmission during human pregnancy. Cell Host Microbe. 2017;21(5):561-7. https://doi.org/10.1016/j.chom.2017.04.007
Stegmann BJ, Carey JC. TORCH infections: toxoplasmosis, other (syphilis, varicella-zoster, parvovirus B19), rubella, cytomegalovirus (CMV), and herpes infections. Curr Womens Health Rep. 2002;2(4):253-8.
Sweeney EL, Dando SJ, Kallapur SG, Knox CL. The human Ureaplasma species as causative agents of chorioamnionitis. Clin Microbiol Rev. 2017;30(1):349-79. https://doi.org/10.1128/CMR.00091-16
Regan JA, Klebanoff MA, Nugent RP. The epidemiology of group B streptococcal colonization in pregnancy: Vaginal Infections and Prematurity Study Group. Obstet Gynecol. 1991;77(4):604-10.
DiGiulio DB, Romero R, Kusanovic JP, et al. Prevalence and diversity of microbes in the amniotic fluid, the fetal inflammatory response, and pregnancy outcome in women with preterm pre-labor rupture of membranes. Am J Reprod Immunol. 2010;64(1):38-57. https://doi.org/10.1111/j.1600-0897.2010.00830.x
Romero R, Miranda J, Chaiworapongsa T, Korzeniewski SJ, Chaemsaithong P, Gotsch F, et al. prevalence and clinical significance of sterile intra-amniotic inflammation in patients with preterm labor and intact membranes. Am J Reprod Immunol. 2014;72(5):458-74. https://doi.org/10.1111/aji.12296
Sperling RS, Newton E, Gibbs RS. Intraamniotic infection in low-hirth-weight infants. J Infect Dis. 1988;157(1):113-7. https://doi.org/10.1093/infdis/157.1.113
Nikiforou M, Jacobs EMR, Kemp MW, Hornef MW, Payne MS, Saito M, et al. Intra-amniotic Candida albicans infection induces mucosal injury and inflammation in the ovine fetal intestine. Sci Rep. 2016;6(1):1-9. https://doi.org/10.1038/srep29806
Benirschke K, Raphael SI. Candida albicans infection of the amniotic sac. Am J Obstet Gynecol. 1958;75(1):200-02. https://doi.org/10.1016/0002-9378(58)90572-6
Romero R, Schaudinn C, Kusanovic JP, Gorur A, Gotsch F, Webster P, et al. Detection of a microbial biofilm in intraamniotic infection. Am J Obstet Gynecol. 2008;198(1):135.e1-135.e5. https://doi.org/10.1016/j.ajog.2007.11.026
Wu YW, Colford, Jr JM. Chorioamnionitis as a risk factor for cerebral palsy. JAMA. 2000;284(11):1417. https://doi.org/10.1001/jama.284.11.1417
Been JV, Lievense S, Zimmermann LJI, Kramer BW, Wolfs TGAM. Chorioamnionitis as a risk factor for necrotizing enterocolitis: a systematic review and meta-analysis. J Pediatr. 2013;162(2). https://doi.org/10.1016/j.jpeds.2012.07.012
Khong TY, Mooney EE, Ariel I, Balmus NC, Boyd TK, Brundler MA, et al. Sampling and definitions of placental lesions: Amsterdam placental workshop group consensus statement. Arch Pathol Lab Med. 2016 Jul;140(7):698-713. https://doi.org/10.5858/arpa.2015-0225-CC
Peng CC, Chang JH, Lin HY, Cheng PJ, Su BH. Intrauterine inflammation, infection, or both (triple I): a new concept for chorioamnionitis. Pediatr Neonatol. 2018;59(3):231-7. https://doi.org/10.1016/j.pedneo.2017.09.001
Higgins RD, Saade G, Polin RA, Grobman WA, Buhimschi IA, et al.; Chorioamnionitis Workshop Participants. Evaluation and management of women and newborns with a maternal diagnosis of chorioamnionitis: summary of a workshop. Obstet Gynecol. 2016 Mar;127(3):426-436. https://doi.org/10.1097/AOG.0000000000001246
Tita ATN, Andrews WW. Diagnosis and management of clinical chorioamnionitis. Clin Perinatol. 2010;37(2):339-54. https://doi.org/10.1016/j.clp.2010.02.003
Rouse DJ, Landon M, Leveno KJ, Leindecker S, Varner MW, Caritis SN, et al.; National Institute of Child Health And Human Development, Maternal-Fetal Medicine Units Network. The maternal-fetal medicine units cesarean registry: chorioamnionitis at term and its duration-relationship to outcomes. Am J Obstet Gynecol. 2004;191(1):211-6. https://doi.org/10.1016/j.ajog.2004.03.003
Hauth JC, Gilstrap LC 3rd, Hankins GD, Connor KD. Term maternal and neonatal complications of acute chorioamnionitis. Obstet Gynecol. 1985;66(1):59-62.
Gibbs RS, Duff P. Progress in pathogenesis and management of clinical intraamniotic infection. Am J Obstet Gynecol. 1991;164(5 part 1):1317-26. https://doi.org/10.1016/0002-9378(91)90707-X
Galinsky R, Polglase GR, Hooper SB, Black MJ, Moss TJ. The consequences of chorioamnionitis: preterm birth and effects on development. J Pregnancy. 2013;2013:412831. https://doi.org/10.1155/2013/412831
Romero-Maldonado S, Ortega-Cruz M, Galván-Contreras R. Riesgo de sepsis neonatal temprana en recién nacidos de madre con corioamnionitis: estudio de casos y controles. Perinatol Reprod Hum [internet]. 2013;27(4):217-21. http://www.scielo.org.mx/scielo.php?pid=S0187-53372013000400003&script=sci_arttext
Notas
Notas de autor
a Autora de correspondencia: olaya.m@javeriana.edu.co