Reporte
Broncoaspiración en el anciano: reflejo de la disfagia como síndrome geriátrico. Presentación de caso de un hospital universitario
Bronchial Aspiration in the Elderly: Reflection of Dysphagia as a Geriatric Syndrome. A Case Report from a University Hospital
Broncoaspiración en el anciano: reflejo de la disfagia como síndrome geriátrico. Presentación de caso de un hospital universitario
Universitas Medica, vol. 63, núm. 4, pp. 1-5, 2022
Pontificia Universidad Javeriana
Recepción: 05 Mayo 2022
Aprobación: 13 Septiembre 2022
Resumen: El caso corresponde a una mujer de 86 años con enfermedad de Alzheimer, quien ingresó al hospital por síntomas respiratorios. Un estudio de imagen reveló una lesión redondeada obstructiva en el bronquio intermediario, atribuida a una broncoaspiración de cuerpo extraño (arveja). El artículo señala la asociación entre un síndrome geriátrico y una complicación respiratoria prevenible con rehabilitación y educación.
Palabras clave: Cuerpo extraño, disfagia, aspiración respiratoria, enfermedad de Alzheimer, reporte de caso.
Abstract: This case corresponds to an 86-year-old female patient with Alzheimer’s disease, who arrives to the hospital with respiratory symptoms. Initial work-up showed a round mass obstructing the intermediate bronchus, suggesting respiratory aspiration with a foreign body (pea). The article presents the association between geriatric syndrome and a preventable respiratory complication with rehabilitation and education.
Keywords: Foreign body, dysphagia, respiratory aspiration, alzheimer disease, case reports.
Introducción
El fenómeno del envejecimiento puede estar asociado con el desarrollo de patologías neurológicas que repercuten en la calidad de vida del paciente y de su familia, ya que deben hacerse ajustes en los cuidados básicos y en la dinámica familiar, según la gravedad de la afección y la repercusión que esta tenga en los individuos (1,2).
Cualquier alteración en el proceso de la deglución se puede definir como disfagia. La senescencia, que conlleva la pérdida de la masa muscular y de las fibras elásticas, asociado con patologías prevalentes en ese grupo etario, es un factor de riesgo para el desarrollo de esta condición (3). Esta puede estar presente en los distintos fenotipos de ancianos y dar lugar a dos grupos de complicaciones clínicamente relevantes: la malnutrición o deshidratación, por alteración de la eficacia, y la aspiración traqueobronquial, por alteración en la seguridad de la deglución (4). Se resalta la germinación de la disfagia como un síndrome geriátrico y su presentación en patologías respiratorias.
Caso clínico
El caso corresponde a una mujer de 86 años de edad con una fuerte dependencia para las actividades básicas de la vida diaria, con trastorno neurocognitivo mayor tipo enfermedad de Alzheimer grave con síntomas comportamentales, con buena red de apoyo social, quien consultó por un cuadro clínico de cuatro días de evolución, caracterizado por opresión torácica, disnea que progresa hasta el reposo y fluctuación del estado de conciencia. Dentro de sus antecedentes de importancia, se relató su trastorno neurocognitivo en manejo con 50 mg de quetiapina al día. En la revisión por sistemas, se halló tos con ingesta de algunos alimentos, dificultad y dolor para la deglución de alimentos de consistencia sólida, así como algunas pastillas, incontinencia urinaria e hipoacusia bilateral.
En el ingreso, la mujer estaba estable hemodinámicamente, aun cuando requería oxígeno a alto flujo para lograr una saturación mayor al 90%. En la auscultación pulmonar, se escucharon crépitos bibasales; mientras que en el examen neurológico se encontró a la paciente con alteración psicomotora, desorientada en las tres esferas, inatención, pensamiento desorganizado, sin déficit motor o sensitivo. El resto del examen físico fue normal.
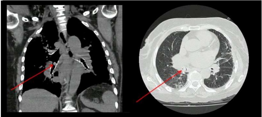
De acuerdo con los exámenes paraclínicos de ingreso, se registró: química sanguínea normal y reactante de fase aguda elevado; gases arteriales con trastorno moderado de la oxigenación con presión arterial/fracción inspirada de 200 mmHg. La figura 1 muestra los resultado de la tomografía axial computarizada (TAC) de tórax que se le tomó.

Luego de los resultados del TAC, a la paciente se le realizó una fibrobroncoscopia, pues se había documentado que en el bronquio intermediario había un objeto que obstruía la totalidad de la luz. Así, se le extrajo el elemento con una canastilla de cuerpo extraño, que fue retirado de forma completa en un único intento (figura 2). Adicional a ello, se le realizó un lavado broncoalveolar, que evidenció una secreción purulenta, por lo que se inició cubrimiento antibiótico. Después de lo anterior, fue valorada por el servicio de fonoaudiología, que le practicó una prueba deglutoria, cuyo resultado fue consistencia líquida total espesa sin grumos. Además, se le encontró una alteración moderada de la función oral-faríngea de la deglución en fase oral/voluntaria.

Posterior al procedimiento, se resolvió la sintomatología de la paciente. Así, se le inició rehabilitación para el trastorno de la deglución y se educó a la familia. Posterior a esta intervención, no ha presentado más ingresos hospitalarios por motivos respiratorios.
Discusión
En 2016, la European Society for Swallowing Disorders y la European Geriatric Medicine Society publicaron un documento de consenso en el que se reconoce la disfagia orofaríngea (DO) como un nuevo síndrome geriátrico (4), dada la reciente aparición de esta patología en los dominios que acompañan el envejecimiento.
La prevalencia calculada respecto a la aparición de trastornos de la deglución en los ancianos es del 7% al 22%, aun cuando es más común en pacientes con alteraciones neurológicas (1,2). Dentro de los trastornos neurocognitivos con mayor prevalencia de disfagia se encuentran la demencia frontotemporal (fases avanzadas), la demencia por enfermedad de Alzheimer (fases iniciales y tardías), la demencia de origen vascular, la demencia por cuerpos de Lewy y la demencia por enfermedad de Parkinson (5).
La DO es un trastorno de la motilidad gastrointestinal que provoca dificultad o imposibilidad para mover el bolo alimentario con seguridad de la boca al esófago y que puede llevar a aspiraciones traqueobronquiales (4).
El término de enfermedad aspirativa pulmonar se ha aplicado a ciertas condiciones pulmonares con diversas manifestaciones, dentro de las que se incluyen la neumonía por aspiración, el síndrome de Mendelson y la bronquiolitis aspirativa, seguido de la inhalación de contenido gástrico o de material infectado proveniente de la cavidad oral (6).
En pacientes con enfermedad de Alzheimer y alteraciones deglutorias, la dieta adecuada constituye un reto, ya que la intervención nutricional temprana y adecuada desempeña un papel fundamental para minimizar los riesgos de aspiración, deshidratación y desnutrición. En los últimos años, con el fin de mejorar la intervención nutricional y abordar de una manera adecuada las fases por las que pueden transcurrir los problemas de la deglución, se ha desarrollado el campo de las dietas modificadas de textura comerciales (7).
La detección temprana y el manejo de la disfagia son críticos para prevenir complicaciones que confieren mayor mortalidad. Se debe tener en cuenta que, de acuerdo con la evolución de la enfermedad, se establecen estrategias de abordaje como la sensibilización, el conocimiento del problema y la detección temprana con métodos de tamizaje (4,7).
Tal como lo evidenciamos en esta paciente, aquellos que han presentado molestias o problemas de deglución se benefician de la realización de un cuestionario de cribado, el Eating Assessment Tool-10 Item (EAT-10), desarrollado en 2008 en California (Estados Unidos) y actualmente validado al español. Este consiste en diez preguntas rápidas que evalúan síntomas específicos de la DO y que representan un instrumento de tamizaje costoefectivo que nos permite identificar pacientes que requieren una evaluación más exhaustiva (8,9).
Una vez identificado el problema, se pueden implementar medidas terapéuticas que han demostrado ser efectivas y se pueden aplicar de forma simultánea. Dentro de estas tenemos las estrategias posturales, que se caracterizan por buscar que el paciente adopte una posición vertical durante la ingesta, prestando atención al control de la respiración y al tono muscular, lo que lograría evitar las aspiraciones en un 25% de los pacientes (7,10).
La estrategia de incremento sensorial es útil en pacientes con apraxia o alteraciones en la sensibilidad oral, teniendo en cuenta que en la enfermedad de Alzheimer el trastorno deglutorio puede iniciar con anosmia y el cambio por el gusto de los alimentos que usualmente consume el paciente y, después, con disminución de los movimientos de la lengua (1,11). Esta comprende la estimulación mecánica de la lengua o de los pilares faríngeos y modificaciones del bolo alimenticio (volumen, temperatura y sabor); por ejemplo, los sabores ácidos o las sustancias frías tienen la capacidad de desencadenar el mecanismo de deglución y reducir el número de aspiraciones (7).
Las prácticas neuromusculares tienen como objetivo mejorar la fisiología de la deglución, y los cambios de volumen y viscosidad del bolo constituyen las técnicas más desarrolladas en pacientes con afectaciones neurológicas, ya que constituyen una estrategia terapéutica con gran impacto en la eficacia y la seguridad de la deglución (7).
La DO sigue estando infradiagnosticada y ello lleva a que una minoría de los ancianos reciba un diagnóstico oportuno, tratamiento adecuado e intervenciones eficaces, como lo es la rehabilitación deglutoria y la educación al paciente y sus familiares con respecto a la personalización de la alimentación, así como los cambios en la textura de los alimentos que permitan prevenir la desnutrición (4,7).
Conclusión
Como enseñanza de este caso clínico, el diagnóstico precoz de la DO en pacientes en riesgo, como los ancianos frágiles, es un factor clave para evitar las posibles complicaciones derivadas de su condición índice.
Es indispensable, cuando se aborda a un paciente adulto mayor, sospechar la presencia de síndromes geriátricos que permitan explicar el motivo de consulta, lo cual representa un reto para los profesionales en formación, pues ello incluye capacitación para la valoración y la atención diferencial de este grupo etario, dado que existen cambios y situaciones en el sujeto que envejece, tanto a nivel fisiológico como anatómico, que hacen parte de la senescencia.
El primer paso para el diagnóstico es tener aptitudes como la observación y la habilidad en la evaluación de los síntomas específicos de la DO. La toma de información de la historia clínica debe ser meticulosa y estar enfocada en detectar a aquellos que tienen factores de riesgo, con la finalidad de aplicar métodos de tamizaje que nos orienten hacia un diagnóstico certero (12).
Declaración de ética
Esta presentación de caso fue aprobada por el Comité de Investigaciones y Ética del Hospital Universitario San Ignacio.
Conflicto de intereses
Los autores declaran que no tienen ningún conflicto de intereses.
Referencias
Easterling CS, Robbins N. Dementia and dysphagia. Geriatric Nursing 2008;29(4):275-85. https://doi.org/10.1016/j.gerinurse.2007.10.015
Manrique CA, Martínez JD, Garzón MA, Hormaza N, Lizarazo J, Marulanda JC, et al. Enfermedad de Alzheimer y disfagia: desarrollo del compromiso deglutorio. Rev Colomb Gastroenterol. 2013;28(3):219-24.
Sura L, Madhavan A, Carnaby G, Crary MA. Dysphagia in the elderly: management and nutritional considerations. Clin Interv Aging. 2012;7:287-98. https://doi.org/10.2147/CIA.S23404
Abizanda-Soler P, Rodríguez-Mañas L. Tratado de medicina geriátrica. Barcelona: Elsevier; 2015. p. 237-45.
Herrera C, Quilez R, Castro ME, Canovas C. Dysphagia in the elderly. Rev Esp Geriatr Gerontol. 2014;49(5):243-4. https://doi.org/10.1016/j.regg.2014.02.001
Matsuse T, Oka T, Kida K, Fukuchi Y. Importance of diffuse aspiration bronchiolitis caused by chronic occult aspiration in the elderly. 1996;110(5):1289-93. https://doi.org/10.1378/chest.110.5.1289
González MB, Recio GM. Abordaje de la disfagia en enfermos de alzhéimer. Nutr Hosp. 2016;33(3):739-48. https://doi.org/10.20960/nh.286
Chavarro-Carvajal DA, Heredia Ramírez RA, Venegas Sanabria LC, Caicedo Correa SM, Gómez Arteaga RC, Pardo Amaya AM, Cano Gutiérrez CA. Escalas de uso frecuente en geriatría. 2.ª ed. Bogotá: Instituto de Envejecimiento, Hospital Universitario San Ignacio, Pontificia Universidad Javeriana; 2020.
Cheney DM, Tausif Siddiqui M, Litts JK, Kuhn MA, Belafsky PC. The ability of the 10-item eating assessment tool (EAT-10) to predict aspiration risk in persons with dysphagia. Ann Otol Rhinol Laryngol. 2015;124(5):351-4. https://doi.org/10.1177/0003489414558107
Clavé P, Terré R, De Kraa M, Serra M. Approaching oropharyngeal dysphagia. Rev Esp Enferm Dig. 2004;96(2):119-31. https://doi.org/10.4321/s1130-01082004000200005
Priefer BA, Robbins J. Eating changes in mild-stage Alzheimer’s disease: a pilot study. Dysphagia 1997;12:212-21.
Schaposnik FA. La historia clínica en medicina interna. An Med Interna [internet]. 1972;1972:31-8. Disponible en: http://sedici.unlp.edu.ar/handle/10915/74118
Notas
Notas de autor
a Autora de correspondencia: guarinerikag@javeriana.edu.co