Dossier Temático
Opciones de tratamiento en un paciente con pérdida prematura de segundos molares primarios: zapato distal modificado
Treatment Options in a Patient with Primary Second Molar Premature Loss: Modified Distal Shoe Space Maintainer
Opciones de tratamiento en un paciente con pérdida prematura de segundos molares primarios: zapato distal modificado
Universitas Odontológica, vol. 35, núm. 75, 2016
Pontificia Universidad Javeriana

Recepción: 02 Abril 2016
Publicación: 16 Diciembre 2016
Resumen: Antecedentes: La pérdida prematura de un molar primario implica la malposición de los dientes contiguos y del sucesor permanente. El efecto depende de las fuerzas que actúan en el diente, que están condicionadas a su vez por el estado de erupción del primer molar permanente. Propósito: Describir una opción de tratamiento para la pérdida prematura de segundos molares primarios hasta la erupción de los primeros molares permanentes. Descripción del caso: El caso clínico involucra la rehabilitación oral a un niño de 5 años de edad que presentaba pérdida prematura de los segundos molares primarios. Se decidió colocar un mantenedor de espacio tipo zapato distal modificado. Se realizaron controles trimestrales, y cuando erupcionaron los primeros molares permanentes, aproximadamente a los nueve meses, se les utilizó como pilares/soporte para confeccionar el arco lingual. Conclusiones: El tratamiento propuesto mostró resultados satisfactorios en el mantenimiento del espacio hasta la erupción de los primeros molares permanentes.
Palabras clave: longitud del arco, maloclusión, mantenedor de espacio, zapato distal.
Abstract: Background: The premature loss of a deciduous molar leads to malposition of adjacent teeth and the permanent successor. This effect depends on the forces acting on the tooth, which are conditioned at the same time by the amount of eruption of the first permanent molar. Purpose: To describe a treatment option for primary second molar premature loss until first permanent molars erupt. Case description: This clinical case involves the oral rehabilitation of a 5-year-old boy who lost prematurely his primary second molars. The decision was to place a modified distal shoe space maintainer. Controls were performed every three months and when the first permanent molars erupted, approximately nine months later, they were used as pillars to make the lingual arch. Conclusions: The treatment used showed satisfactory results in maintaining the space until permanent first molars erupted.
Keywords: arch length, distal shoe, malocclusion, space maintainer.
INTRODUCCIÓN
Los mantenedores de espacio fijos o removibles tienen por finalidad conservar la longitud del arco ante una eventual pérdida prematura de los dientes primarios. La pérdida dental prematura generalmente se debe a caries y a traumatismos dentales. Otros factores que influyen en la disminución de la longitud del arco incluyen ausencia congénita de dientes, erupción ectópica, malformaciones dentales, dientes anquilosados, restauraciones defectuosas, entre otras [1,2]. Alrededor del 51 % de los niños presenta pérdida prematura del primer molar primario, y el 70 %, del segundo molar primario. Cuando la pérdida de este diente se produce antes de la erupción del primer molar permanente, están indicados los mantenedores de espacio tipo zapato distal intraóseo. Sin embargo, están contraindicados en ciertas condiciones médicas como discrasias sanguíneas, inmunosupresión, enfermedades cardiacas congénitas y mala higiene bucal [3]. Es necesario, por los motivos enunciados, modificar el diseño convencional para lograr mayor comodidad y cooperación por parte del paciente, así como alcanzar el éxito del tratamiento.
El propósito de este trabajo es presentar los resultados obtenidos al usar un mantenedor de espacio tipo zapato distal propioceptivo, funcional, pasivo y estético en un paciente de 5 años de edad. El dispositivo se empleó con el fin de evitar la pérdida de espacio por extracción prematura de los segundos molares inferiores, tanto derecho como izquierdo, antes de la erupción del primer molar permanente. Así, al producirse la erupción del primer molar permanente, se puede utilizar como diente pilar/soporte y confeccionar el arco lingual correspondiente.
DESCRIPCIÓN DEL CASO CLÍNICO
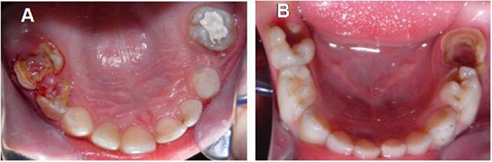
El caso clínico corresponde a un niño de 5 años de edad, originario y residente de la ciudad de Corrientes, Argentina, quien acudió a consulta a la Cátedra de Odontopediatría de la Facultad de Odontología de la Universidad Nacional del Nordeste, para “arreglarse los dientes” (figura 1).

Durante la anamnesis, la madre refirió que el niño sufría desde los 2 años de edad de episodios repetitivos de broncoespasmo. Durante el examen de la cavidad oral, se observaron labios hipodróticos, mucosas humectadas, frenillos bien implantados, paladar normal, lengua saburral, piso de boca permeable y periodonto sano. El paciente presentaba caries en 11 dientes e higiene bucal deficiente. El estudio radiográfico mostró caries de diversos grados, particularmente, una lesión cariosa extensa que no permitía una correcta restauración en el segundo molar inferior derecho temporal y una fractura de la furca radicular en el segundo molar inferior izquierdo temporal (figura 2).

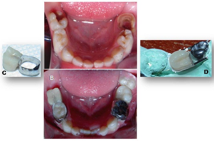
El plan de tratamiento se llevó a cabo por cuadrantes, en orden de prioridad. Al paciente se le rehabilitó el maxilar superior, como puede apreciarse en la figura 3, mediante exodoncia, tratamiento pulpar (pulpotomías y pulpectomías) y restauración con coronas de acero y acetato en el sector anterior (figura 4).


Para la elaboración del mantenedor de espacio se realizó una impresión con alginato en la arcada superior. Posteriormente, sobre el modelo en yeso, se diseñó un mantenedor de espacio removible sin flancos vestibulares y tornillo medio, para acompañar el crecimiento del maxilar. En el arco inferior se hicieron las exodoncias de los segundos molares, la pulpotomía del primer molar inferior derecho, con la adaptación de la corona de acero que se utilizaría como pilar del zapato distal derecho, y una restauración con resina en el primer molar izquierdo (figuras 5a y 5b). Antes de confeccionar los zapatos distales, se adaptaron la corona de acero en el primer molar inferior derecho y una banda con tubo en el primer molar inferior izquierdo (figuras 5c y 5d).

Esta última se adaptó ubicando el tubo hacia distal, a fin de utilizar esta porción como retenedor para el fantoche del segundo molar inferior izquierdo. Se tomó la impresión de arrastre para obtener los modelos de trabajo sobre los que se elaboraron los dos mantenedores de espacio tipo zapato distal propioceptivo. Luego de un correcto pulido, se cementaron con ionómero de vidrio 3M® (Ketac® Cem Easymix). Se indicó al paciente seguir una dieta blanda las primeras 2 horas después de la cementación, para evitar desadaptaciones del dispositivo, y una estricta higiene bucal. Los controles se efectuaron cada tres meses y, cuando erupcionaron los primeros molares permanentes, aproximadamente a los nueve meses, se utilizaron estos como pilares para confeccionar el arco lingual (figura 6).

DISCUSIÓN
Una de las labores fundamentales del odontólogo es realizar un diagnóstico temprano y un tratamiento oportuno de la caries para evitar la extracción dental o limitar daños posteriores. Numerosos estudios [4,5,6] han mostrado que la pérdida prematura de los dientes primarios provoca alteraciones en el equilibrio del sistema estomatognático. La pérdida temprana de dientes temporales, en la mayoría de los casos, disminuye la longitud del arco, lo que da lugar a alteraciones oclusales y malposiciones en la dentición permanente [7]. Entre los factores que influyen en la magnitud de la disminución del arco se citan el desarrollo dentario, la fase de recambio en que se encuentre el niño, el diente que se pierde y el momento en que se produce la pérdida [8,9].
Los molares primarios, además de tener un papel fundamental en la masticación, son un factor importante en el desarrollo normal de la dentición permanente. Esto se debe a que actúan como mantenedores de los espacios naturales y como guías para la erupción de los dientes permanentes y que alcancen una posición correcta [10].
La causa más común de la pérdida temprana de los dientes deciduos es la caries, que fue la razón por la que el paciente de este caso perdió los segundos molares temporales. La pérdida prematura de un molar primario implica la malposición de los dientes contiguos y del sucesor permanente, por lo que, al utilizar un pilar distal a la brecha, se realizan una corona y ansa o una banda y ansa para mantener el espacio [11]. El efecto depende de las fuerzas que actúan en el diente que están condicionadas, a su vez, por el estado de erupción de los molares permanentes [12]. Por otro lado, la pérdida prematura de segundos molares está condicionada por la presencia o ausencia del primer molar permanente. El sector inferior presenta una mayor complicación debido a que, en su avance eruptivo, los primeros molares permanentes siguen una dirección hacia lingual y mesial que necesita como guía la cara distal del segundo molar primario. En este caso, el paciente presentaba una retención mucosa y no ósea de ambos primeros molares permanentes inferiores. Esta aclaración es fundamental porque, de lo contrario, los estímulos propioceptivos enviados desde el lugar donde se asientan los fantoches serían inefectivos para guiar la erupción de esos dientes [13]. Cuando mantener un diente no es posible, aún no han erupcionado los primeros molares permanentes y estos presentan una retención únicamente mucosa, el mantenedor de espacio tipo zapato distal propioceptivo es uno de los posibles tratamientos de elección en el sector inferior [8].
En el presente caso clínico, el paciente, luego de varias charlas para incentivar hábitos de higiene, todavía mostraba dificultades para realizar las maniobras de cepillado de manera rutinaria. Como se ha mencionado en trabajos previos [3], esta situación condiciona la utilización de un mantenedor de espacio intraóseo y favorece nuevamente el uso del propioceptivo. Emplear una prolongación intraósea también genera otros inconvenientes. Por ejemplo, en su camino eruptivo, el segundo premolar se puede encontrar con dicha prolongación y producirse una erupción ectópica o una malformación en la corona. También podría suceder que la extensión que cubre la prolongación no sea la correcta, lo que provoca la migración hacia mesial del primer molar permanente [2].
En la segunda etapa del tratamiento, la colocación oportuna del arco lingual garantizó ubicar correctamente los dientes en el arco mandibular y evitar así la pérdida de espacio y la mesialización de los primeros molares permanentes [14]. El arco lingual se utilizó en este caso hasta la erupción de los premolares. El paciente debía acudir a control cada 2 o 3 meses para realizar los ajustes necesarios. De esta manera, a través de la confección de un mantenedor tipo arco lingual, se conserva el lugar para los segundos premolares inferiores.
CONCLUSIÓN
El tratamiento efectuado tuvo un seguimiento apropiado y se obtuvieron resultados satisfactorios en el mantenimiento del espacio hasta la erupción de los primeros molares permanentes.
REFERENCIAS
1. Tunison W, Flores-Mir C, ElBadrawy H, Nassar U, El-Bialy T. Dental arch space changes following premature loss of primary first molars: a systematic review. Pediatr Dent. 2008; 30: 297-302.
2. Kirshenblatt S, Kulkarni GV. Complications of surgical extraction of ankylosed primary teeth and distal shoe space maintainers. J Dent Child. 2011; 78: 57-61.
3. Laing E, Ashley P, Naini FB, Gil D. Space maintenance. Int J Paediatr Dent. 2009; 19: 155-62.
4. Lin YT, Lin WH, Lin YT. Immediate and six-month space changes after premature loss of a primary maxillary first molar. J Am Dent Assoc. 2007; 138: 362-8.
5. Kupietzky A. Clinical technique: removable appliance therapy for space maintenance following early loss of primary molars. Eur Arch Paediatr Dent. 2007; 8(Suppl 1): 30-4.
6. Subramaniam P, Babu GK, Sunny R. Glass fiber-reinforced composite resin as a space maintainer: A clinical study. J Indian Soc Pedod Prevent Dent. 2008; (Suppl 1): 98-103.
7. Gujjar KR, Indushekar KR, Amith HV, Sharma SL. Modified distal shoe appliance-fabrication and clinical performance. J Dent Child. 2012; 79(3): 185-8.
8. American Academy of Pediatric Dentistry Clinical Affairs Committee-Developing Dentition Subcommittee, American Academy of Pediatric Dentistry Council of Clinical Affairs. Guideline on management of the developing dentition and occlusion in pediatric dentistry. Pediatr Dent. 2008-2009; 30(7 Suppl): 184-95.
9. Millett DT, Glenny AM, Mattick CR, Hickman J, Mandall NA. Adhesives for fixed orthodontic bands. Cochrane Database Syst Rev. 2007 Apr 18; CD004485.
10. Fathian M, Kennedy DB, Nouri MR. Laboratory-made space maintainers: a 7-year retrospective study from private pediatric dental practice. Pediatr Dent. 2007; 29: 500-6.
11. Nouri MR, Kennedy DB. Optimal fit of chairside-fabricated distal shoe space maintainer. Eur Arch Paediatr Dent. 2013; 14(5): 351-4.
12. Reyes A, Chan M, Ulate J. Prótesis infantil modificada: Reporte de un caso. Odontología Vital. 2010; 1(12): 12-8.
13. Patil VH, Trasad V, Hugar SM. Distal shoe: a review of literature. Int J Sci Res. 2015; 4(6): 2803-6.
14. Aristizábal C, Chemás L, Arango A. Frecuencia de la perdida de espacio por exodoncia de molares temporales, en la Unidad Materno-Infantil de la Policía Nacional. Univ Odontol. 2003; 23(51): 13-7.
Notas de autor
a Autora de correspondencia. Correo electrónico: marialorenacardoso@hotmail.com
Información adicional
ÁREAS TEMÁTICAS: oclusión dental; odontopediatría
THEMATIC FIELDS: dental occlusion; pediatric dentistry
CÓMO CITAR ESTE
ARTÍCULO: Cardoso ML, Falcón DE, Galiana AV. Opciones de tratamiento en un paciente con pérdida prematura de segundos molares primarios: zapato distal modificado. Univ Odontol. 2016 Jul- Dic; 35(75): xx-xx. https://www.doi.org/10.11144/Javeriana.uo35-75.otpp