Clinical Practice
Carcinoma escamocelular de labio superior en paciente con síndrome nevoide basocelular. Reporte de caso clínico
Upper-Lip Squamous Cell Carcinoma in Patients with Nevoid Basal Cell Carcinoma Syndrome. A Clinical Case Report
Carcinoma escamocelular de labio superior en paciente con síndrome nevoide basocelular. Reporte de caso clínico
Universitas Odontológica, vol. 36, núm. 77, pp. 1-12, 2017
Pontificia Universidad Javeriana

Recepción: 04 Marzo 2017
Publicación: 07 Noviembre 2017
Resumen: Antecedentes: El síndrome de Gorlin-Goltz, o síndrome nevoide de células basales (SNCB), es un trastorno autosómico dominante de baja incidencia. Su etiología se relaciona con una mutación en el gen PTCH y afecta los sistemas esquelético, oftalmológico y neurológico. Su prevalencia es de 1:60.000 y las mutaciones de novo se presentan aproximadamente en un 20 % a 30 % de los casos. Objetivo: Describir el proceso diagnóstico y manejo de un caso de esporádica presentación de una paciente con SNCB con carcinoma escamocelular (CEC) en labio superior. Descripción del caso: Se trató de una mujer de 58 años, quien asistió a consulta odontológica por motivos estéticos y funcionales. Se encontró un CEC (confirmado por inmunohistoquímica) asintomático delimitado en el lado izquierdo del labio superior, con erosiones de color rojizo y costra. No se encontraron linfoadenopatías asociadas. También evidenció fisuras palmoplantares y múltiples carcinomas basocelulares en la espalda y el dorso de la mano izquierda (con antecedentes familiares similares). Radiográficamente, no se observaron queratoquistes mandibulares que usualmente se asocian con el síndrome de Gorlin-Goltz. Conclusiones: Se diagnosticó SNCB en la paciente, pues presentaba dos criterios mayores (dos o más CBC y piqueteado palmoplantar) y dos menores (calcificación laminar de la hoz del cerebro y antecedente de fibromas ováricos). El tratamiento odontológico se planeó y se remitió a la paciente a la institución pertinente para manejar su condición sistémica.
Palabras clave: carcinoma basocelular, carcinoma escamocelular, enfermedades hereditarias, enfermedades musculoesqueléticas, manejo odontológico, neoplasias, síndrome de Gorlin-Goltz, síndrome nevoide basocelular.
Abstract: Background: Gorlin-Goltz syndrome or nevoid basal cell carcinoma syndrome (NBCCS) is an autosomal dominant disorder with low incidence. The etiology is associated with a PTCH gene mutation and affects the skeletal, ophthalmic and neurological systems. The prevalence is 1:60,000 and de novo mutations occur approximately in 20% to 30% of the cases. Objective: To describe the diagnosis and management process for a rare case of a NBCCS patient who developed squamous cell carcinoma (SCC) in the upper lip. Case Description: The patient is a 58 year-old woman who attended to the dental office for aesthetic and functional reasons. An asymptomatic SCC was found (confirmed after immunohistochemical evidence) with defined limits to the left of the upper lip. It showed reddish erosions and some scab. No associated lymphadenopathies were found. The patient had some plantar foot fissures and multiple carcinoma basal cells in the back and in the left hand dorsum (with similar family previous cases). No maxillary keratocyst were observed in the radiographs, notwithstanding they are always associated with the Gorlin-Goltz syndrome. Conclusions: The patient was diagnosed with NBCCS based on two main criteria (two or more SCC lesions and plantar foot fissures) and two mild criteria (laminar calcification in the cerebral falx and family background of ovarian fibromas). A dental treatment was designed, and the patient was referred to another institution for a systemic treatment of her disease.
Keywords: basal cell carcinoma, squamous cell carcinoma, inherited diseases, skeletal muscle disease, dental management, neoplasia, Gorlin-Goltz syndrome, NBCCS.
INTRODUCCIÓN
Binkley describió por primera vez el síndrome de Gorlin-Goltz en 1951, y en 1960 Gorlin y colaboradores lo investigaron en profundidad. Se describe como un trastorno hereditario de tipo autosómico dominante en un 70 % a 80 % de los casos o como mutaciones de novo de un 20 % a un 30 %. Su incidencia es de 1:60.000 personas y afecta de igual manera a mujeres y a hombres (1,2). Aunque su etiología es desconocida, se relaciona con una mutación en el cromosoma 9 (9q22.3-q31), en el gen PTCH-1, localizado en el brazo largo, el cual codifica una proteína receptora denominada Patched-1 que actúa en la regulación del crecimiento y la proliferación celular en condiciones de normalidad. Por otra parte, el gen Sonic Hedgehog (SHH) actúa como mediador celular y codifica una proteína SHH (ligando), que envía señales durante el desarrollo embrionario. Por una mutación del gen PTCH-1, este no se une al SHH y en consecuencia no hay supresión en la división celular y se producen alteraciones epiteliales que pueden desencadenar carcinoma basocelular o de células basales (CBC), carcinoma escamocelular (CEC) y el síndrome de Gorlin-Goltz (1,3). Para diagnosticar el síndrome, el paciente debe cumplir con unos criterios mayores y otros menores que se discuten más adelante (4).
El síndrome nevoide basocelular es un factor predisponente para el desarrollo de diferentes tipos de cáncer. El oral se presenta más frecuentemente en el labio inferior, seguido por la lengua y el piso de la boca (5,6). Los sitios menos frecuentes de aparición son el dorso de la lengua, el paladar duro y el labio superior, el cual corresponde al 10 % de las neoplasias malignas en labios y es de menor supervivencia (7,8,9). A su vez, el de mayor malignidad es el CEC, que representa la etapa final de alteración del epitelio y es altamente metastásico. Presenta múltiples manifestaciones clínicas tanto en sus estadios más tempranos (leucoplasias o eritroplasias) como en los más avanzados (úlceras, masas tumorales o lesiones papilares) (7,10,11).
El CBC es uno de los criterios del síndrome y se describe como tumor epitelial maligno, de crecimiento lento e invasión local, poco agresivo y de baja capacidad para producir metástasis. Es el cáncer de piel más común y se localiza principalmente en el cuero cabelludo y el cuello (12,13,14). Clínicamente, puede aparecer como una pápula, placa, nódulo o tumor de apariencia perlada con la presencia de telangiectasias en su superficie. Puede evidenciarse con áreas de hipopigmentación, atrofia y cicatrización, o tener coloración marrón, azul o negra, y su borde puede adquirir un aspecto enrollado (12). Histológicamente, se caracteriza por islotes o cordones bien circunscritos de células basaloides, en los cuales las células de la periferia se disponen en empalizada y en el centro de los islotes se distribuyen en forma aleatoria. Las células tienen un núcleo hipercromático, ovoide o redondeado, con nucléolos evidentes y citoplasma escaso. Pueden observarse puentes intercelulares, así como gran número de mitosis y abundantes células apoptóticas (15).
El objetivo de este artículo es presentar un caso poco frecuentemente visto de CEC de labio superior en un paciente con síndrome de Gorlin-Goltz. Para apoyar la descripción del caso y su manejo integral se hizo una revisión de literatura indizada en bases bibliográficas.
PRESENTACIÓN DEL CASO
A la clínica de décimo semestre de la Facultad de Odontología de la Pontificia Universidad Javeriana, en Bogotá, Colombia, acudió una mujer de 58 años, quien consultó para valoración y tratamiento de aspectos estéticos y funcionales. Durante la anamnesis, refirió haber tenido un CBC en el ala nasal izquierda y en el cuero cabelludo del hemisferio izquierdo, que fue tratado quirúrgicamente con resección amplia e injerto de piel. También había presentado un CBC en el dorso de la mano izquierda, que no fue tratado. Asimismo, narró haber sido sometida a histerectomía 10 años atrás, debido a fibromas ováricos. Sus antecedentes familiares incluían fallecimiento del padre por infarto agudo de miocardio, quien también presentaba fisuras palmoplantares (lesiones erosivas en palmas de manos y plantas de los pies), cáncer de piel de su hermano mayor y cáncer gástrico de su madre.
En el examen clínico, se evidenciaba en la paciente una lesión asintomática en el lado izquierdo del labio superior, con afectación de bermellón y epitelio de mucosa. La lesión era dura a la palpación, tenía un diámetro de 1,5 cm, era delimitada por la lesión tipo placa y mostraba múltiples erosiones de color rojizo y costra. No se encontraron linfoadenopatías asociadas (figura 1). También mostraba fisuras palmoplantares (figura 2) y múltiples carcinomas basocelulares en la espalda y el dorso de la mano izquierda (figura 3).



El servicio de oncología había diagnosticado la lesión tres años atrás como CEC in situ, de moderada inflamación crónica peritumoral con neovascularización. En su momento, la paciente no aceptó el tratamiento quirúrgico y se le indicó el uso de 5-fluorouracilo ungüento al 5 %, 2 veces al día durante un mes. Refirió no haber asistido a citas de seguimiento.
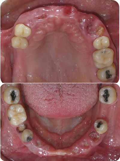
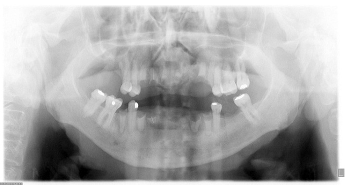
No se encontraron lesiones en el examen intraoral. La paciente era edéntula parcial con desarmonía oclusal sin previo tratamiento de rehabilitación (figura 4). Radiográficamente, se encontraron múltiples espacios edéntulos, múltiples restos radiculares en la zona anterior de los maxilares superior e inferior, calcificación del ligamento estilohioideo y ausencia de queratoquistes mandibulares que pudieran asociarse con el síndrome de Gorlin-Goltz (figura 5).


Debido a los antecedentes familiares de la paciente, así como sus antecedentes de CBC, CEC y piqueteado palmoplantar, el grupo multidisciplinario a cargo del caso decidió investigar a fondo los criterios diagnósticos ante la sospecha del síndrome de Gorlin-Goltz, para dirigir el tratamiento odontológico y brindarle un manejo integral.
El pronóstico individual y general odontológico para esta mujer fue bueno, ya que los factores etiológicos se podían controlar y tratar (control de biopelícula, enfermedad periodontal y lesiones cariosas). Sin embargo, su pronóstico general sistémico fue reservado, pues al tratarse de una paciente oncológica, era necesario tener en cuenta que su poca motivación ante el tratamiento médico constituía un factor fundamental para solucionar los problemas asociados a su motivo de consulta y así mejorar su calidad de vida.
El tratamiento integral propuesto para este caso incluyó interconsulta con dermatología oncológica para valoración, diagnóstico y tratamiento de las lesiones identificadas en la mano izquierda, frente y fisuras palmoplantares. Asimismo, se programó interconsulta con cirugía oral y patología para diagnosticar y tratar el CEC en el labio superior. Dentro de la fase higiénica del tratamiento odontológico se realizó ambientación periodontal, rehabilitación de lesiones cariosas y exodoncia de restos radiculares con regularización del reborde alveolar y colocación de una prótesis parcial removible mucosoportada (transicional) en los maxilares superior e inferior, para que la paciente recuperara estética y función. Se realizaron dermatoscopias de lesiones compatibles con CBC (figura 6). También se propuso una biopsia excisional en el labio superior; pero, por motivos personales asociados a la posible deformidad causada por el retiro de la lesión, la paciente rechazó este procedimiento y se decidió realizar una biopsia incisional de la lesión localizada para confirmar el diagnóstico previo de CEC in situ. Se remitió al Instituto Nacional de Cancerología de Bogotá para seguimiento y control de las lesiones anteriormente mencionadas.

DISCUSIÓN
La mucosa labial conforma una zona de transición entre la piel de la cara y la mucosa de la cavidad oral. Corresponde a una barrera de protección para el labio inferior, que es el más afectado por lesiones de tipo CEC. Esto es contrario a lo que ocurre en el labio superior, en el cual el cáncer es una entidad muy poco frecuente (8,9,16).
La oncogénesis se da por diferentes factores, en los cuales intervienen mediadores celulares y genes específicos. El protooncogén es un gen normal que modula la mitosis y, al ser expuesto a factores cancerígenos, se convierte en un oncogén que actúa como inductor tumoral, produciendo células que evitan la apoptosis y aumentan la división celular. Otros mediadores que actúan durante la oncogénesis son los genes supresores de tumor, los cuales inhiben la acción del oncogén en procesos de normalidad; pero cuando se presenta una mutación, alteran su proliferación (17,18). Este proceso conlleva cambios celulares y estructurales que avanzan gradualmente y alteran morfológicamente el epitelio para generar una condición denominada displasia epitelial que, en su forma más leve, se puede revertir y se expresa en diferentes grados, según su aspecto microscópico. Con el progreso continuo de la lesión, puede afectarse todo el espesor del epitelio y sobrepasar la membrana basal e invadir el tejido conectivo para generar un CEC o epidermoide (7,12,16).
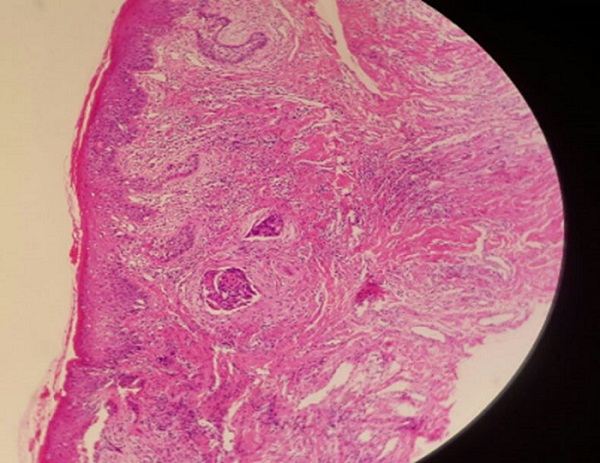
En este artículo se presenta el caso clínico de una paciente con diagnóstico previo de CEC in situ en el labio superior en el lado izquierdo. Con el fin de confirmar el diagnóstico se le realizó una biopsia incisional; sin embargo, no se obtuvo un diagnóstico definitivo (figura 7). Entonces, se realizaron pruebas inmunohistoquímicas (figura 8).

* Se observa grado variable de queratinización, pleomorfismo con islas epiteliales en el tejido conectivo con alto grado de variación displásica, baja cantidad de células inflamatorias y baja actividad mitótica.

* Ante la negatividad de Ber-EP4, se confirma diagnóstico de CEC bien diferenciado microinfiltrante.
La paciente también evidenciaba múltiples lesiones compatibles con CBC. Este último constituye uno de los tumores más frecuentes de la piel que pueden afectar a los pacientes desde la segunda década de vida. El comité de tipificación histológica de los tumores de piel de la Organización Mundial de la Salud define el CBC como un tumor de invasión local y crecimiento lento, que rara vez produce metástasis, cuyo origen son las células epidérmicas de los folículos pilosos o las células basales de la epidermis (13,14).
Raza blanca
Exposición solar excesiva y crónica.
Exposición a radiaciones ionizantes, rayos X y sustancias radiactivas naturales o artificiales de forma crónica.
Patologías genéticas como el xeroderma pigmentoso, síndrome basocelular nevoide, síndrome de Bazex y nevus organoide.
Historia personal o familiar de cáncer de piel.
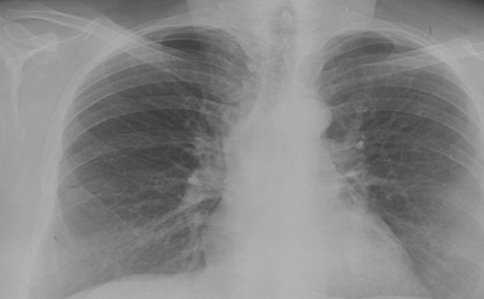
El síndrome de Gorlin-Goltz, también llamado síndrome del nevoide de células basales, se caracteriza por presentar anomalías del desarrollo que se manifiestan clínicamente con la presencia de numerosos CBC micro- y macroscópicos, hamartomas benignos del folículo piloso, queratoquistes odontogénicos mandibulares, hiperqueratosis palmoplantar, anomalías esqueléticas (costillas bífidas, sindactilia), características craneofaciales específicas (cráneo agrandado, hipertelorismo y prominencia frontal), calcificaciones intracraneales ectópicas y dismorfia facial con macrocefalia, fisura labiopalatina y anomalías oculares graves (1,4). En 2007, Moctezuma y colaboradores (19) indicaron los criterios para el diagnóstico del síndrome de Gorlin. Según estos autores, se requiere que el paciente cumpla con dos criterios mayores y un criterio menor o un criterio mayor y dos criterios menores (20,21). El diagnóstico de síndrome nevoide de células basales de la paciente de este artículo se confirmó con exámenes complementarios: radiografías de tórax y simple de cráneo (figuras 9 y 10).

* Partes blandas normales, estructuras óseas conservadas, corazón de tamaño normal, cayado aórtico de calibre normal, ausencia de adenopatías.

* Suturas craneales normales, surcos vasculares normales, arcos cigomáticos y silla turca normal, calcificaciones fisiológicas de la hoz cerebral.
Después del seguimiento multidisciplinario que se dio a la paciente, se pudo identificar la presencia de criterios mayores (presencia de dos o más CBC, piqueteado palmoplantar) y menores (calcificación laminar de la hoz del cerebro, antecedente de fibromas ováricos) que permitieron establecer el diagnóstico de síndrome de Gorlin-Goltz o síndrome nevoide de células basales y remitir a la paciente a las especialidades médicas en la institución de salud pertinente (Instituto Nacional de Cancerología) para poderle brindar un tratamiento integral.
Numerosas publicaciones han dado cuenta de la coexistencia del síndrome de Gorlin-Goltz con diferentes tumores, lo que sugiere que un paciente con este síndrome tiene potencial para desarrollar no solo CBC basales, sino también otros carcinomas y tumores, ya que la mutación en el PTCH-1 afecta todos los tejidos (11,14). Cada paciente se debe valorar y analizar de manera rigurosa durante el examen clínico-odontológico. Al estar frente a un paciente oncológico, el odontólogo —muchas veces, el primer integrante del equipo médico multidisciplinario que logra identificar lesiones en la cavidad oral, la cabeza y el cuello— debe estar capacitado para evaluar signos y síntomas de alteraciones que deban ser analizadas con mayor profundidad (11). Por tal razón, debe tener conocimiento de los factores predisponentes y etiológicos de la condición sistémica del paciente, lo que puede dar como resultado una intervención oportuna para evitar progresiones y devolverle la calidad de vida. La presencia de lesiones compatibles con cáncer que no sean identificadas a tiempo y que progresen sin ningún tipo de intervención se pueden complicar de tal manera que incluso ocasionen la muerte (18). Además, la interacción con las especialidades médicas debe ser constante, pues una comunicación adecuada y oportuna asegura un trato digno para cada caso y puede ser un factor determinante en el desenlace de la condición sistémica de un paciente.
CONCLUSIÓN
La paciente se diagnosticó con síndrome de Gorlin-Goltz, pues presentaba dos criterios mayores (dos o más CBC y piqueteado palmoplantar) y dos menores (calcificación laminar de la hoz del cerebro y antecedente de fibromas ováricos). El tratamiento odontológico se planeó y se remitió a la paciente a la institución pertinente para manejar su condición sistémica.
REFERENCIAS
1. Lazaridou MN, Katopodi T, Dimitrakopoulos I. Gorlin-Goltz syndrome: a 25-year follow-up of a familial case. Oral Maxillofac Surg. 2015; 19(1): 79-84.
2. Fonseca JY, Hernández F, Guío S, Linares A. Síndrome de Gorlin-Goltz, a propósito de dos casos. Rev Asoc Colomb Dermatol [internet]. 2016; 24(3): 216-20. Disponible en: https://revistasocolderma.org/articulo-revista/sindrome-de-gorlin-goltz-proposito-de-dos-casos
3. Ozcan G, Balta B, Sekerci AE, Etoz OA, Martinuzzi C, Kara O, Pastorino L, Kocoglu F, Ulker O, Erdogan M. A novel PTCH1 gene mutation in a pediatric patient associated multiple keratocystic odontogenic tumors of the jaws and Gorlin-Goltz syndrome. Ind J Pathol Microbiol. 2016; 59(3): 335-8. https://doi.org/10.4103/0377-4929.188148
4. Fujii K, Miyashita T. Gorlin syndrome (nevoid basal cell carcinoma syndrome): update and literature review. Pediatr Int. 2014; 56(5): 667-74.
5. Al-Rawi NH, Talabani NG. Squamous cell carcinoma of the oral cavity. A case series analysis of clinical presentation and histological grading of 1,425 cases from Iraq. Clin Oral Inv. 2008; 12(1): 15-8.
6. Cadena-Piñeros E, Acosta-de Hart A, Llamas-Olier A. Carcinoma escamocelular de labio superior en paciente adolescente. Rev Fac Med (Univ Nac Colomb) [internet]. 2011; 59(4): 331-8. Disponible en: https://revistas.unal.edu.co/index.php/revfacmed/article/view/28402/38932
7. Neville B, Damm D, Allen C, Bouquot J. Oral and maxillofacial pathology. 3rd ed. Philadelphia, PA, United States: Saunders; 2009.
8. Santos FS, Isper MA, Novo-Neto JP, Marqueti AC, Pereira CP, Isper FG. Misdiagnosis of lip squamous cell carcinoma. Rev Sul-Bras Odontol. 2012; 9(1): 114-8.
9. Pietersma N, de Bock G, de Visscher J, Roodenburg J, Van Dijk B. No evidence for a survival difference between upper and lower lip squamous cell carcinoma. Int J Oral Maxillofac Surg. 2015; 44(5): 549-54. https://doi.org/10.1016/j.ijom.2014.10.024
10. Johnson NW, Jayasekara P, Amarasinghe A. Squamous cell carcinoma and precursor lesions of the oral cavity. Epidemiology and aetiology. Periodontol 2000. 2011; 57(1): 19-37.
11. Peraza A, Kessler HP. Early diagnosis and treatment of squamous cell carcinoma: A case comparison highlighting its importance. Biol Med. 2016; 8(2): 1.
12. Sapp PJE, Wysocki LR, Sapp GPP, Eversole LR, Wysocki GP. Patología oral y maxilofacial contemporánea. Madrid, España: Elsevier; 1998.
13. Negrín ML, Arza H, Trujillo B. Síndrome basocelular nevoide o síndrome de gorlin. Reporte de 5 casos y revisión de la literatura. Dermatol Venez [internet]. 2008; 46(3): 5-11. Disponible en: http://svderma.org/revista/index.php/ojs/article/viewFile/62/62
14. Taboada A, Couto I, Brea B, González E, Prieto A. Carcinoma basocelular invasivo de cuero cabelludo: Caso clínico. Neurocirugía. 2010; 21(5): 396-400.
15. Roozeboom M, Arits A, Nelemans P, Kelleners‐Smeets N. Overall treatment success after treatment of primary superficial basal cell carcinoma: a systematic review and meta‐analysis of randomized and nonrandomized trials. Br J Dermatol. 2012; 167(4): 733-56.
16. Woolgar JA, Triantafyllou A. Squamous cell carcinoma and precursor lesions. Clinical pathology. Periodontol 2000. 2011; 57(1): 51-72. https://doi.org/10.1111/j.1600-0757.2011.00389.x
17. Herrera JC, Vásquez G, Ramírez JL, Muñetón CM. Papel del gen TP53 en la oncogénesis. Rev Salud UIS. 2004; 36(2): 88-99.
18. Hernández Menéndez M, Ríos Hernández MA. Oncogenes y cáncer. Rev Cub Oncol. 1999; 15(2): 131-9.
19. Moctezuma-Bravo GS. Queratoquistes múltiples, reporte de un caso familiar. Revista ADM. 2007; LXIV(1): 34-9.
20. Ramesh M, Krishnan R, Chalakkal P, Paul G. Gorlin-Goltz syndrome. Case report and literature review. J Oral Maxillofac Pathol. 2015; 19(2): 267.
21. da Silva Pierro VS, Marins MR, Borges de Oliveira RC, Cortezzi W, Janini ME, Maia LC. Clinical and oral findings in an Afro-Brazilian family with Gorlin-Goltz syndrome. Case series and literature review. Spec Care Dent. 2015; 35(1): 43-50.
Información adicional
Para citar este artículo: López N, Ordóñez PA, Vargas L. Carcinoma
escamocelular de labio superior en paciente con síndrome nevoide basocelular: presentación
de caso clínico. Univ Odontol. 2017 jul-dic; 36(77). https://doi.org/10.11144/Javeriana.uo36-77.csls
Áreas
temáticas: cáncer;
odontología; patología oral
Thematic
fields: cancer;
dentistry; oral pathology