Clinical Practice
Agrandamiento gingival inducido por medicamentos. Reporte de un caso clínico
Drug-Induced Gingival Enlargement. A Clinical Case Report
Agrandamiento gingival inducido por medicamentos. Reporte de un caso clínico
Universitas Odontológica, vol. 36, núm. 77, pp. 1-14, 2017
Pontificia Universidad Javeriana

Recepción: 07 Febrero 2017
Publicación: 18 Diciembre 2017
Resumen: Antecedentes: El agrandamiento gingival inducido por medicamentos es una condición clínica frecuente en pacientes que ingieren anticonvulsivos, inmunosupresores y bloqueadores de los canales de calcio. La prevalencia de agrandamiento gingival inducido por medicamentos es del 3 % al 20 % en el grupo de las condiciones gingivales inflamatorias. Todos estos medicamentos producen lesiones clínicas y características histológicas indistinguibles unas de otras, que llegan a afectar la función y la estética de los pacientes afectados. Objetivo: Describir el manejo terapéutico integral y el seguimiento a 12 meses de una paciente con agrandamiento gingival inducido por tacrólimus y amlodipino. Descripción del caso: Una mujer de 22 años con discapacidad mental limítrofe y receptora de trasplante renal se remitió al servicio de Odontología del Hospital Infantil Universitario de San José (Bogotá, Colombia) por presentar agrandamiento gingival. El examen clínico mostró un índice de placa de O’Leary del 84,3 %, inflamación generalizada y bolsas gingivales de 4-6 mm. El equipo de trasplante renal revisó el protocolo de tratamiento periodontal que incluyó: trabajo con la familia para red de apoyo, diseño de un programa personalizado de higiene oral, gingivectomía y mantenimientos periodontales periódicos. Esta estrategia terapéutica permitió reducir el índice de placa y lograr un resultado clínico favorable. Conclusión: La condición sistémica y psicológica de la paciente requirió desarrollar un plan de tratamiento ajustado a sus necesidades. Pacientes susceptibles deben ser instruidos sobre la importancia de tener prácticas adecuadas de higiene oral y ameritan ser incluidos en programas de mantenimiento periodontal.
Palabras clave: agrandamiento gingival, amlodipino, efectos adversos, reporte de caso, acrólimus, uso terapéutico, trasplante renal, complicaciones.
Abstract: Background: Gingival enlargement induced by the use of drugs is a frequent clinical condition in patients who take anticonvulsants, immunosuppressive agents and calcium channel blockers. The gingival enlargement prevalence, as induced by drug use, is from 3% to 20% in the group with inflammatory gingival conditions. All these drugs cause clinical lesions and histological characteristics indistinguishable from one another, which eventually affect the function and aesthetics of the patients. Objective: To describe a comprehensive therapeutic management and the 12-month following in a patient with gingival enlargement induced by the use of tacrolimus and amlodipine. Case Description: A 22 year-old woman with Borderline Personality Disorder who also underwent a kidney transplant was referred to the dental service in the Hospital Infantil Universitario de San José (Bogotá, Colombia) due to gingival enlargement. The clinical examination showed an O’Leary plaque index of 84.3%, extended inflammation and gingival pockets about 4-6 mm. The kidney transplant team checked the periodontal treatment protocol that included: partnering with the family as a support network, design of a customized oral hygiene program, gingivectomy and regular periodontal maintenance. This therapeutic strategy allowed to reduce the plaque index and resulted in a favorable clinical condition. Conclusion: The systemic and psychological status of the patient required to design a treatment plan customized to her needs. Susceptible patients should be educated on how important it is to follow the appropriate oral hygiene practices and are eligible for periodontal maintenance programs.
Keywords: gingival enlargement, amlodipine, adverse effects, case report, tacrolimus, therapeutic use, kidney transplant, complications.
INTRODUCCIÓN
El agrandamiento gingival inducido por medicamentos se define como el crecimiento anormal de la encía desde la papila interdental, que se extiende progresivamente hacia el margen gingival de los dientes involucrados, en las caras vestibulares, palatinas o linguales (1). El sistema de clasificación de enfermedades y condiciones periodontales de la Academia Estadounidense de Periodoncia incluyó la condición de agrandamiento gingival inducido por medicamentos en la categoría de enfermedades gingivales inducidas por placa dental modificadas por medicamentos (2).
Aunque los mecanismos biológicos responsables de agrandamiento gingival inducido por medicamentos no están bien establecidos, la etiología se considera multifactorial (3,4). Entre los factores asociados están la edad, el género, la predisposición genética y condiciones locales, como la presencia de placa bacteriana e inflamación gingival (5).
Los medicamentos asociados con esta condición se clasifican en tres grupos: anticonvulsivos, inmunosupresores y bloqueadores de los canales de calcio (6,7). En la actualidad, se han identificado alrededor de 20 medicamentos como posibles agentes causantes de agrandamiento gingival y se estima que el 5 % de la población adulta estadounidense consume alguno de estos (3).
La primera descripción clínica de hiperplasia gingival la reportó Kimball, en 1939 (4,5,8), y se asoció con el uso de fenitoína, un medicamento anticonvulsivo utilizado como primera opción para el control de la epilepsia. La fenitoína causa agrandamiento gingival en el 50 % de los pacientes que la consumen (3,5,7,9). Por otra parte, la ciclosporina A (CsA) es un potente inmunosupresor que pertenece al grupo de inhibidores de la calcineurina (7). Junto con el tacrólimus (Tcr), actúa principalmente sobre el linfocito T para prevenir el rechazo de órganos trasplantados. Las características clínicas del agrandamiento gingival asociado a CsA se describieron en 1983 (7,10). Del 25 % al 30 % de pacientes que consumen CsA desarrollan agrandamiento gingival (7). Asimismo, los bloqueadores de los canales de calcio (BCC) constituyen un grupo heterogéneo de medicamentos que afectan los canales de calcio situados en la membrana plasmática celular. Se usan ampliamente para el tratamiento de la hipertensión arterial, la angina de pecho y las arritmias cardiacas (11,12). Un estudio poblacional de riesgo cardiovascular realizado en Colombia mostró que el consumo de BCC es del 30 % en la población que consume antihipertensivos (13). En 1984, Ramón y colaboradores (14) asociaron por primera vez el desarrollo de agrandamiento gingival en cinco pacientes hipertensos tratados con nifedipino durante 18 meses. En general, la prevalencia de lesiones gingivales asociadas con los BCC se ha estimado en un 20 % (15).
La patogénesis del agrandamiento gingival inducido por medicamentos no es clara. Se considera que el mecanismo de acción común se relaciona con el metabolismo del calcio celular en la modulación de la producción celular de la colagenasa, lo cual lleva a que los fibroblastos sinteticen una forma inactiva de esta enzima y a que aumente la matriz extracelular. Las manifestaciones clínicas del agrandamiento gingival aparecen dentro de los tres primeros meses después de iniciar el medicamento (11,16,17,18). El agrandamiento comienza en la papila interdental, y es más común en las superficies vestibulares de los dientes anteriores (6,7). Las lesiones gingivales pueden tener apariencia inflamada o fibrótica, dependiendo de la presencia de factores locales que induzcan inflamación (3). El agrandamiento fibrótico suele limitarse a la encía adherida, pero puede extenderse coronalmente e interferir con la oclusión, la masticación y el lenguaje (3,6). Aunque puede darse en un periodonto con pérdida ósea o sin esta, no se asocia con pérdida de inserción (7).
Las características histopatológicas del agrandamiento gingival inducido por medicamentos son similares para todos los fármacos involucrados (11). El aumento en el volumen del tejido gingival se debe, principalmente, a una mayor respuesta del tejido conectivo que a una proliferación de células epiteliales (5,11). Hay acumulación excesiva de proteínas de la matriz extracelular como colágeno, sustancia fundamental amorfa y proteínas no colágenas como glicosaminoglicanos (5,6,11), alta vascularización y epitelio paraqueratinizado de espesor variable (11). Pueden encontrarse crestas epiteliales en la parte profunda del tejido conectivo y presencia de infiltrado inflamatorio compuesto, sobre todo, por células plasmáticas y, en menor cantidad, linfocitos (11).
El propósito de este reporte de caso fue describir el manejo terapéutico integral y el seguimiento a 12 meses de una paciente con discapacidad mental limítrofe con agrandamiento gingival inducido por medicamentos como Tcr y amlodipino para el control de un trasplante renal e hipertensión arterial secundaria.
DESCRIPCIÓN DEL CASO
Diagnóstico
Se describe el caso de una mujer de 22 años de edad procedente de la ciudad de Bogotá, quien fue remitida en febrero de 2015 al servicio de Odontología del Hospital Infantil Universitario de San José en Bogotá, Colombia, por causa de un agrandamiento gingival. El motivo de consulta informado por la madre fue: “Tiene las encías inflamadas”. Entre los antecedentes médico-personales refirió que en 2001 se le había diagnosticado insuficiencia renal crónica estadio 5 de causa desconocida, lo cual a principios de 2002 la llevó a diálisis peritoneal y, posteriormente, a hemodiálisis. Seis meses después recibió un trasplante renal cadavérico, por lo cual le iniciaron régimen inmunosupresor con CsA (150 mg/día), micofenolato de mofetilo (750 mg/día) y prednisona (5 mg/día). Un año después desarrolló hipertensión arterial secundaria y se medicó con amlodipino (5 mg/día). En 2008, se le incrementó la dosis de amlodipino a 10 mg/día y se le inició terapia con enalapril (15 mg/día). Debido a la aparición y recurrencia de agrandamiento gingival, se le cambió el régimen inmunosupresor de CsA a sirolimus rapamune (7 mg/día) y micofenolato sódico (1080 mg/día). En 2009 se le diagnosticó discapacidad mental limítrofe y depresión manejada con sertralina (50 mg/día) y buspirona (10 mg/día).
En 2011 y 2012 se presentaron dos rechazos celulares agudos que se le trataron satisfactoriamente. Finalizando 2014, la paciente tuvo un nuevo rechazo celular del trasplante que se clasificó, según Banff, como categoría 5, que se manifiesta con fibrosis intersticial y atrofia tubular moderada (40 % del área cortical). Por tal razón, el equipo tratante decidió cambiar el sirolimus rapamune por Tcr (7 mg/día) y se ajustó la dosis de micofenolato sódico (1040 mg/día). Estos medicamentos, junto con amlodipino (10 mg/día), losartán (150 mg/día) y carvedilol (75 mg/día), constituían su medicación en el momento de la consulta. Esta información se confirmó con la historia médica del hospital de referencia.
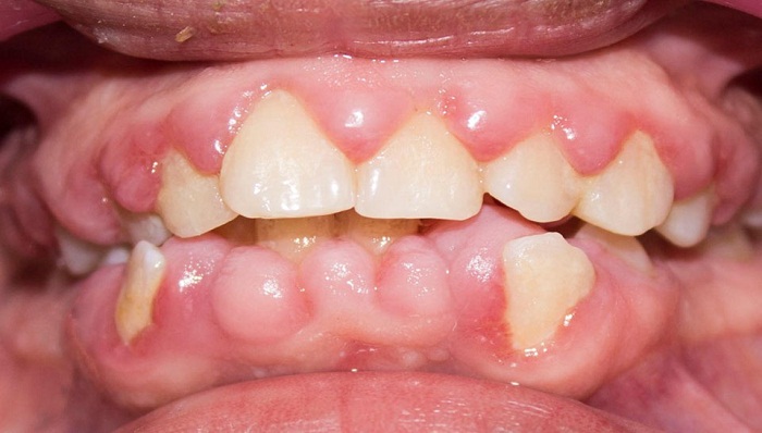
Entre los antecedentes odontológicos se reportaron cuatro gingivectomías entre 2004 y 2008. En el examen clínico extraoral la paciente evidenciaba quintos asimétricos, tercio medio disminuido, perfil convexo e incompetencia labial. En el examen clínico intraoral se registró sobremordida horizontal y vertical, malposiciones y apiñamiento dental. Periodontalmente, se observó aumento en el volumen del tejido gingival en las superficies vestibulares, palatinas y linguales de incisivos, caninos y premolares. El sondaje reveló bolsas gingivales con un rango de profundidad de 4 a 6 mm, acompañado de eritema, sangrado y cálculos subgingivales. La paciente tenía una higiene oral deficiente con un porcentaje de placa del 84,3 %, según el Índice de O’Leary (figura 1). Se notificó que su frecuencia de cepillado era de una vez al día y que no utilizaba elementos complementarios de higiene oral. La figura 2 corresponde a la radiografía panorámica en la que se observan crestas óseas de altura normal.


El diagnóstico periodontal fue agrandamiento gingival inducido por medicamentos. Se dio un pronóstico reservado, debido a los antecedentes sistémicos, los hábitos de higiene oral, el índice de placa y los mantenimientos periodontales poco constantes en el tiempo. La paciente y su acudiente aceptaron y firmaron el consentimiento informado.
Manejo clínico
El 4 de marzo de 2015 se ordenó interconsulta con el equipo médico de trasplante para solicitar autorización para iniciar el manejo clínico odontológico de la paciente. Dieron la aprobación, debido a que el trasplante de riñón se encontraba estable y funcional.
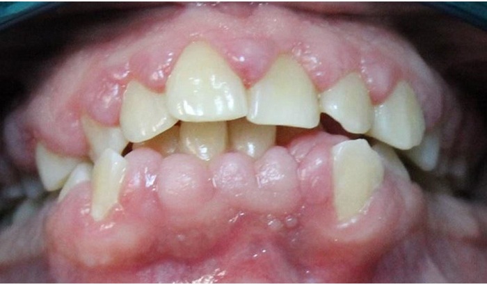
La fase higiénica se inició el 15 de marzo de 2015 y se centró en la motivación en salud oral para lograr un control estricto de placa. Se instruyó a la paciente en el uso de cepillo eléctrico y aditamentos para uso de seda dental, los cuales se sugirieron después de interconsulta con una odontóloga especialista en manejo de pacientes con discapacidad. Los controles de placa mostraron porcentajes del 44,1 %, 37,2 % y 35,8 % durante el entrenamiento en higiene oral. Se realizó raspaje supra y subgingival generalizado y pulido coronal. Al mes, se revaluaron los tejidos y se encontró un mejor índice de placa (22,1 %), así como disminución de la inflamación (figura 3). Se decidió realizar cirugía periodontal bajo sedación con óxido nitroso en la Universidad El Bosque de Bogotá. Se tomaron impresiones de ambos maxilares para colocar placas de presión en acetato de 0,16.

Se solicitó valoración preanestésica para sedación consciente con óxido nitroso. Se recibió aprobación, ya que la paciente cumplía con las indicaciones necesarias para este tratamiento (temor y ansiedad), y por la extensión del procedimiento. Se clasificó como ASA II, esto es, paciente con enfermedad sistémica leve, controlada y no incapacitante. Se dieron indicaciones de no consumir alimentos o bebidas dos horas antes de la cirugía.
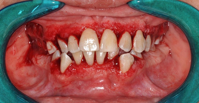
El 29 de abril de 2015, previa sedación con óxido nitroso, se realizó asepsia y antisepsia de la zona. Se aplicó anestesia local con lidocaína al 2 % y epinefrina en una concentración de 1:80.000 mediante técnica infiltrativa, se realizó gingivectomía con bisturí de Kirkland y gingivoplastia con tijeras y electrobisturí (figura 4). Las superficies dentales se limpiaron mediante la técnica de raspaje supra y subgingival ultrasónico/manual y se colocaron placas de acetato 0,16 con cemento quirúrgico en ambos maxilares.

Durante la cirugía, la paciente estuvo con una concentración de 60 % de oxígeno y 40 % de óxido nitroso. Mantuvo una tensión arterial promedio de 169/114 mm Hg. Al finalizar la cirugía, se prescribió 1 g de acetaminofén cada 8 h durante 3 días y enjuagues con 10 ml de clorhexidina al 0,12 % cada 12 h durante 14 días. El tejido gingival del sector anterior inferior se llevó al Servicio de Patología Oral para realizar examen histopatológico.
Una semana después se le realizó un control postoperatorio a la paciente, en el que se encontraron tejidos en proceso de cicatrización favorable. La mujer manifestó que no usó la placa en el maxilar inferior por incomodidad, debido al apiñamiento. Entonces, se llevó a cabo un pulido coronal y se le cambió la placa de presión superior con indicación de uso todo el tiempo. Se citó nuevamente dos semanas después para observar la evolución posquirúrgica.
El diagnóstico del servicio de patología oral fue lesión escamosa intraepitelial leve (displasia leve) y úlcera crónica, por lo que se solicitó control y seguimiento. En la descripción microscópica de los cortes se observaron fragmentos de epitelio escamoso estratificado acantósico con hiperplasia de células basales sobre estroma de tejido fibroso edematizado con infiltrado inflamatorio linfocitario.
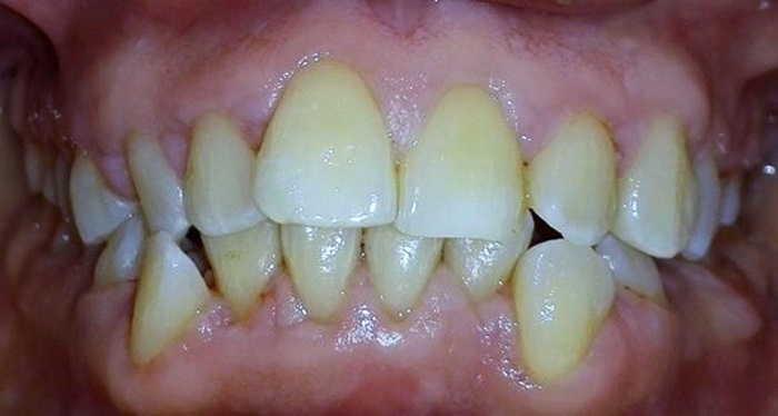
A comienzos de junio de 2015 la paciente se integró a un programa de mantenimiento periodontal cada dos meses, centrado en el control de la placa y en reforzar la instrucción de higiene. Una vez se lograron obtener controles de placa menores al 25 % en cada cita y control de la recidiva del agrandamiento, se remitió a ortodoncia (figura 5).

Hacia finales de 2015 se planteó que la paciente pasara a interconsulta con el servicio de otorrinolaringología, la cual no fue posible, debido al difícil acceso de citas con el seguro de salud de la paciente. En marzo de 2016 se remitió la paciente a ortodoncia, donde se le diagnosticó maloclusión tipo II y un plan de tratamiento de ortodoncia correctiva técnica Roth Slot 0,018” con exodoncias de los dientes 14, 24, 34 y 44 (nomenclatura dígito dos, primeros premolares) para corregir la posición de los incisivos. Se realizó una nueva interconsulta con patología oral en mayo de 2016 por una displasia leve. El servició reportó que no había evidencia de adenopatías. Se le realizó un examen con lámpara de fluorescencia que no mostró cambios importantes. Se le sugirió control periódico.
DISCUSIÓN
Un alto porcentaje de personas con trasplantes que toman medicamentos inmunosupresores tienen problemas funcionales, estéticos y fonéticos significativos, debido a la presencia de agrandamiento gingival (19). La paciente descrita en este caso desarrolló un agrandamiento gingival que afectó la función y la estética, lo cual la llevó a consultar al servicio de odontología en repetidas ocasiones. Esta paciente, inicialmente, se trató por un espacio de 6 años con CsA. Debido al desarrollo de agrandamientos gingivales recurrentes, el equipo médico de trasplantes decidió remplazar la CsA por Tcr, un inmunosupresor de nueva generación que ha mostrado ser exitoso para prevenir el rechazo de órganos trasplantados (20). Los resultados de los estudios que evalúan el desarrollo de agrandamiento gingival inducido por Tcr son controversiales (21). Greenberg y James reportan que el Tcr no se asocia con el desarrollo de agrandamiento gingival (20,22). Otros autores han sugerido que el agrandamiento observado en sujetos que toman Tcr es menor que en aquellos que toman CsA y tiende a ser menos severo (23,24).
La decisión tomada por el equipo de trasplante, de cambiar la medicación corresponde a la primera opción incluida en la literatura para el tratamiento de agrandamiento gingival inducido por medicamentos (3), y el Tcr se considera una alternativa a la CsA. Hernández y colaboradores (24,25), en sus estudios de caso, han reportado disminución del agrandamiento gingival al cambiar CsA por Tcr. Esto no ocurrió en esta paciente, quien, luego de algún tiempo de usar Tcr, volvió a desarrollar agrandamiento gingival. Lo anterior podría explicarse por al uso previo de CsA, lo cual incrementa en un 8 % el agrandamiento gingival en pacientes que toman Tcr (19). Cezário y colaboradores (21) reportaron una prevalencia de agrandamiento gingival para el Tcr del 15,6 %, la cual se incrementaba si los pacientes habían ingerido previamente CsA. Sugieren que esto podría deberse a un efecto residual de la CsA.
Adicionalmente, los pacientes receptores de trasplante renal frecuentemente desarrollan hipertensión arterial secundaria, por lo que, junto con el tratamiento con inmunosupresores, se utiliza terapia combinada con BCC (22), principalmente nifedipino y amlodipino. La medicación concomitante con BCC y CsA o Tcr ha mostrado un incremento en la prevalencia y severidad del agrandamiento gingival (23,26,27). Ellis y colaboradores (23) dieron cuenta de que el agrandamiento en sujetos que toman Tcr fue mayor cuando se utilizó terapia combinada con BCC. Por otra parte, Hassan y colaboradores (28) reportaron una prevalencia de agrandamiento gingival del 18 % en pacientes que consumían terapia combinada de Tcr y amlodipino. Ello podría indicar un posible sinergismo entre estos medicamentos, como en el caso de esta paciente.
Se han propuesto diferentes estrategias terapéuticas para tratar el agrandamiento inducido por medicamentos cuando no es posible cambiar la medicación (3). Educación en salud oral, control de placa, raspaje supra- y subgingival y cirugías periodontales han mostrado ser relativamente exitosos para su control. La selección de algunas de las alternativas de tratamiento depende principalmente de la naturaleza y gravedad del agrandamiento (3). A esta paciente se le realizó tratamiento integral, el cual incluyó control de placa, educación en salud oral y raspaje supra- y subgingival. El manejo terapeútico se centró en un programa intensivo de salud oral, ya que la placa bacteriana era el principal factor de riesgo modificable en la paciente. Grupos de investigación, como los de Camargo (29) y Moffitt (5), consideran que el acúmulo de placa es un factor de riesgo para el desarrollo de agrandamiento gingival y que un control riguroso puede ayudar a prevenir o retardar la recurrencia. Somacarrera y colaboradores (30) recomiendan llevar a cabo un programa de higiene oral previo a la cirugía.
Como los controles de placa iniciales no mejoraban debido posiblemente a la discapacidad y al cumplimiento irregular de las primeras citas, la odontóloga especialista en pacientes con discapacidad sugirió cambiar el cepillo manual por un cepillo eléctrico, lo cual se apoya en los estudios de Nathoo y colaboradores (31) y Warren y Chater (32), quienes observaron mayor eficacia del último para eliminar la placa y el sangrado, cuando se comparó con el manual. Adicionalmente, se sugirió el uso de portasedas para la higiene interproximal. Marulanda y colaboradores (33) recomiendan que, en pacientes discapacitados, el uso de cepillo eléctrico y portasedas facilita la remoción de placa y mejora la salud oral.
La decisión de realizar terapia quirúrgica se sustentó en la persistencia del agrandamiento. Existe suficiente evidencia científica que muestra que después de la terapia periodontal no quirúrgica con estricto control de placa se logra una resolución parcial de agrandamientos gingivales inducidos por medicamentos (29). La gingivectomía permite lograr una remodelación gingival más precisa, una arquitectura ideal para un mejor control de placa y una mejor estética, y obtener así resultados más favorables (34).
La sedación consciente con óxido nitroso durante el procedimiento quirúrgico se realizó para controlar el miedo y la ansiedad, así como por la sensación de relajación que induce en los pacientes hipertensos. Esto se apoya en las revisiones de Ochoa y colaboradores (35) y Cárdenas (36).
Actualmente, no existe un consenso sobre la necesidad de realizar profilaxis antibiótica antes del tratamiento periodontal y durante este en pacientes receptores de trasplante (24). La Asociación Estadounidense del Corazón restringe el uso de profilaxis antibiótica en pacientes receptores de trasplante cardiaco que desarrollen valvulopatía cardiaca (37). Se ha sugerido que la profilaxis puede no requerirse en pacientes con trasplante renal (37). Por tal razón, no se realizó.
Se prescribió clorhexidina como complemento terapéutico después de la cirugía periodontal, por su efecto antimicrobiano. La clorhexidina se usa como control químico de la placa y ayuda a disminuir la respuesta inflamatoria (24).
Una medida terapéutica innovadora fue el uso de placas de presión en acetato 0,16, la cual solo se tenía como medida para controlar la recidiva del agrandamiento. Mostró una menor inflamación en el segmento anterior superior que en el inferior. La placa, por las condiciones de malposición y apiñamiento dental, no fue utilizada por la paciente.
Este reporte de caso mostró que el control de placa bacteriana, la gingivectomía y los mantenimientos periódicos son relativamente exitosos para controlar el agrandamiento gingival en pacientes susceptibles (38). Ilgenli y colaboradores indicaron que la terapia de mantenimiento es una alternativa para la prevención y recurrencia del agrandamiento gingival inducido por medicamentos (38). En cada cita se debe recalcar el control de placa y dar instrucciones detalladas de higiene oral (34), debido a que la gravedad del agrandamiento en esta paciente se asoció con factores de riesgo modificables como un elevado índice de placa e inflamación gingival preexistente (30,39,40).
CONCLUSIONES
El desarrollo del agrandamiento gingival descrito en esta paciente pudo deberse a una combinación factorial, como la ingesta de Tcr concomitante con BBC y el manejo previo con CsA, el elevado índice de placa bacteriana y la presencia de inflamación previa al agrandamiento gingival. La condición sistémica y psicológica de la paciente precisó desarrollar un plan de tratamiento ajustado a sus necesidades. Pacientes con susceptibilidades deben recibir instrucción sobre la importancia de tener prácticas adecuadas de higiene oral y amerita incluirlos en programas de mantenimiento periodontal.
REFERENCIAS
1. Bahamondes C, Godoy J. Hiperplasia gingival por ciclosporina: A propósito de un caso. Rev Med Chil. 2007; 135(3): 370-4. http://dx.doi.org/10.4067/S0034-98872007000300013
2. Armitage GC. Development of a classification system for periodontal diseases and conditions. Ann Periodontol. 1999; 4(1): 1-6. https://doi.org/10.1902/annals.1999.4.1.1
3. Dongari-Bagtzoglou A. Drug-associated gingival enlargement. J Periodontol. 2004; 75(10): 1424-31. https://doi.org/10.1902/jop.2004.75.10.1424
4. Seymour RA, Thomason JM, Ellis JS. The pathogenesis of drug-induced gingival overgrowth. J Clin Periodontol. 1996; 23(3 Pt 1): 165-75. https://www.doi.org/10.1111/j.1600-051X.1996.tb02072.x
5. Moffitt ML, Bencivenni D, Cohen RE. Drug-induced gingival enlargement: an overview. Compend Contin Educ Dent. 2013; 34(5): 330-6.
6. Marshall RI, Bartold PM. A clinical review of drug-induced gingival overgrowths. Austr Dent J. 1999; 44(4): 219-32. https://doi.org/10.1111/j.1834-7819.1999.tb00224.x
7. Mariotti A. Dental plaque-induced gingival diseases. Ann Periodontol. 1999; 4(1): 7-19. https://doi.org/10.1902/annals.1999.4.1.7
8. Lin K, Guilhoto LMFF, Yacubian EMT. Drug-induced gingival enlargement - Part II. Antiepileptic drugs: Not only phenytoin is involved. J Epilepsy Clin Neurophysiol. 2007; 13(2): 83-8. http://dx.doi.org/10.1590/S1676-26492007000200009
9. Raviv H. Nifedipine-induced gingival hyperplasia a comprehensive review and analysis. Oral Surg Oral Med Oral Pathol Oral Radiol Endod. 1995; 79: 715-22.
10. Rateitschak-Pluss EM, Hefti A, Lortscher R, Thiel G. Initial observation that cyclosporin-A induces gingival enlargement in man. J Clin Periodontol. 1983; 10(3): 237-46.
11. Livada R, Shiloah J. Calcium channel blocker-induced gingival enlargement. J Hum Hypertens. 2014; 28(1): 10-4.
12. Fardal O, Lygre H. Management of periodontal disease in patients using calcium channel blockers - gingival overgrowth, prescribed medications, treatment responses and added treatment costs. J Clin Periodontol. 2015; 42(7): 640-6.
13. Alvarado C, Molina D, Zárate A, Toro E. Estudio poblacional de riesgo cardiovascular de una población colombiana. Rev Colomb Cardiol. 2014; 21(5): 284-93.
14. Ramon Y, Behar S, Kishon Y, Engelberg IS. Gingival hyperplasia caused by nifedipine--a preliminary report. Int J Cardiol. 1984; 5(2): 195-206.
15. Barclay S, Thomason JM, Idle JR, Seymour RA. The incidence and severity of nifedipine-induced gingival overgrowth. J Clin Periodontol. 1992; 19(5): 311-4. https://doi.org/10.1111/j.1600-051X.1992.tb00650.x
16. Kaur G, Verhamme KM, Dieleman JP, Vanrolleghem A, van Soest EM, Stricker BH, Sturkenboom MC. Association between calcium channel blockers and gingival hyperplasia. J Clin Periodontol. 2010; 37(7): 625-30.
17. Seymour RA. Calcium channel blockers and gingival overgrowth. Br Dent J. 1991; 170(10): 376-9.
18. Seymour RA, Jacobs DJ. Cyclosporin and the gingival tissues. Association between calcium channel blockers and gingival hyperplasia. J Clin Periodontol. 1992; 19(1): 1-11.
19. de Oliveira Costa F, Diniz Ferreira S, de Miranda Cota LO, da Costa JE, Aguiar MA. Prevalence, severity, and risk variables associated with gingival overgrowth in renal transplant subjects treated under tacrólimus or cyclosporin regimens. J Periodontol. 2006;77(6):969-75. https://doi.org/10.1902/jop.2006.050327
20. Greenberg KV, Armitage GC, Shiboski CH. Gingival enlargement among renal transplant recipients in the era of new-generation immunosuppressants. Association between calcium channel blockers and gingival hyperplasia. J Periodontol. 2008; 79(3): 453-60.
21. Cezário ES, Cota LO, Ferreira SD, Siqueira FM, Soares RV, Zenobio EG, Costa FO. Gingival overgrowth in renal transplant subjects medicated with tacrólimus in the absence of calcium channel blockers. Transplantation. 2008; 85(2): 232-6. https://doi.org/10.1097/TP.0b013e3181604fad
22. James JA, Jamal S, Hull PS, Macfarlane TV, Campbell BA, Johnson RW, Short CD. Tacrólimus is not associated with gingival overgrowth in renal transplant patients. J Clin Periodontol. 2001; 28(9): 848-52.
23. Ellis JS, Seymour RA, Taylor JJ, Thomason JM. Prevalence of gingival overgrowth in transplant patients immunosuppressed with tacrólimus. J Clin Periodont. 2004; 31(2): 126-31. https://doi.org/10.1111/j.0303-6979.2004.00459.x
24. Hernández G, Arriba L, Lucas M, de Andrés A. Reduction of severe gingival overgrowth in a kidney transplant patient by replacing cyclosporin A with tacrólimus. J Periodontol. 2000; 71(10): 1630-6.
25. Hernández G, Arriba L, Frias MC, de la Macorra JC, de Vicente JC, Jiménez C, de Andrés A, Moreno E. Conversion from cyclosporin A to tacrólimus as a non-surgical alternative to reduce gingival enlargement: a preliminary case series. J Periodontol. 2003; 74(12): 1816-23.
26. Thomason JM, Seymour RA, Ellis JS. Risk factors for gingival overgrowth in patients medicated with ciclosporin in the absence of calcium channel blockers. J Clin Periodontol. 2005; 32(3): 273-9.
27. Lopez-Pintor RM, Hernandez G, de Arriba L, Morales JM, Jimenez C, de Andrés A. Amlodipine and nifedipine used with cyclosporine induce different effects on gingival enlargement. Transplant Proc. 2009; 41(6): 2351-3.
28. Hassan F, Tawfig N, Gobara B. Gingival overgrowth in subjects under immunosuppressive regimens based on tacrólimus or combination of tacrólimus and amlodipine. Dentistry. 2015; 5(9): 1-4.
29. Camargo PM, Melnick PR, Pirih FQ, Lagos R, Takei HH. Treatment of drug-induced gingival enlargement: aesthetic and functional considerations. Periodontol 2000. 2001; 27: 131-8.
30. Somacarrera ML, Hernandez G, Acero J, Moskow BS. Factors related to the incidence and severity of cyclosporin-induced gingival overgrowth in transplant patients. A longitudinal study. J Periodontol. 1994; 65(7): 671-5. https://doi.org/10.1902/jop.1994.65.7.671
31. Nathoo S, Mateo LR, Chaknis P, Kemp JH, Gatzemeyer J, Morrison BM Jr, Panagakos F. Efficacy of two different toothbrush heads on a sonic power toothbrush compared to a manual toothbrush on established gingivitis and plaque. J Clin Dent. 2014; 25(4): 65-70.
32. Warren PR, Chater B. The role of the electric toothbrush in the control of plaque and gingivitis: a review of 5 years clinical experience with the Braun Oral-B Plaque Remover [D7]. Am J Dent. 1996; 9(Spec issue): S5-S11.
33. Marulanda J, Betancur JD, Espinosa S, Gómez JL, Tapias A. Oral health for the disabled. CES Odontol. 2011; 24(1): 71-6.
34. Moffitt M, Bencivenni D, Cohen R. Treatment modalities for drug-induced gingival enlargement. J Dent Hyg. 2012; 86(4): 272-7.
35. Ochoa MJ, Pulido AM, González MC. Sedación inhalada con oxido nitroso: una alternativa real en el manejo del paciente ansioso. Rev Científica [Universidad El Bosque, Facultad de Odontología]. 2005; 11(2): 65-73. Disponible en: http://somedik.com/uploads/1471930960universidad-el-bosquecolombia2005.pdf
36. Cárdenas D. Sedación inhalada con óxido nitroso: Fundamentos para su uso clínico. CES Odontol. 2000; 13(2): 59-65.
37. Seymour RA, Thomason JM, Nolan A. Oral lesions in organ transplant patients. J Oral Pathol Med. 1997; 26(7): 297-304.
38. Ilgenli T, Atilla G, Baylas H. Effectiveness of periodontal therapy in patients with drug-induced gingival overgrowth. Long-term results. J Periodontol. 1999; 70(9): 967-72.
39. Hassell TM, Hefti AF. Drug-induced gingival overgrowth: old problem, new problem. Crit Rev Oral Biol Med. 1991; 2(1): 103-37.
40. Bullon P, Machuca G, Martinez-Sahuquillo A, Rios JV, Rojas J, Lacalle JR. Clinical assessment of gingival hyperplasia in patients treated with nifedipine. J Clin Periodontol. 1994; 21(4): 256-9.
Información adicional
Para citar este artículo: Cañas LV, Pardo MI, Arboleda SS. Agrandamiento gingival
inducido por medicamentos: presentación de un caso clínico. Univ Odontol. 2017 jul-dic; 36(77). https://doi.org/10.11144/Javeriana.uo36-77.agim
Áreas temáticas: diagnóstico clínico; farmacología; medicina oral;
odontología; periodoncia
Thematic fields: clinical diagnosis; dentistry; oral medicine; pharmacology; periodontics