Clinical Practice
Absceso gingival después de aumento de reborde alveolar con técnica en rollo modificada. Reporte de caso
Gum Abscess after an Alveolar Ridge Augmentation with the Modified Roll Technique. A Case Report
Absceso gingival después de aumento de reborde alveolar con técnica en rollo modificada. Reporte de caso
Universitas Odontológica, vol. 36, núm. 77, 2017
Pontificia Universidad Javeriana

Recepción: 11 Noviembre 2016
Publicación: 20 Diciembre 2017
Resumen: Antecedentes: La técnica en rollo modificado se ha utilizado ampliamente para mejorar el aspecto estético de las deficiencias de los rebordes alveolares durante el tratamiento de rehabilitación y, así, disminuir el dolor posoperatorio. Objetivo: Describir un caso clínico en el que se realizó un aumento del reborde alveolar por medio de una técnica en rollo modificada que presentó un absceso durante las primeras semanas posoperatorias. Se describe también manejo clínico del caso. Resultados: Después del diagnóstico clínico y microbiológico, se realizó tratamiento antibiótico. En el control a los cuatro meses se observó resolución completa del absceso.
Palabras clave: absceso gingival, etiología, reborde alveolar, signos y síntomas, técnica rollo modificada.
Abstract: Background: The modified roll technique has been widely used to improve the aesthetics of the alveolar ridge deficiencies during the rehabilitation treatment and, in turn, to reduce the postoperative pain. Objective: To describe a clinical case of an alveolar ridge augmentation with the modified roll technique in which an abscess appeared during the first postoperative weeks. The clinical management of the case is also detailed herein. Results: After a clinical and microbiological diagnosis, the patient was indicated an antibiotic treatment. In the postoperative four-month checkup, a full solution of the abscess was observed.
Keywords: gingival abscess, etiology, alveolar ridge, signs and symptoms, modified roll technique.
INTRODUCCIÓN
La pérdida de los dientes ocasionada por factores como enfermedad periodontal avanzada, trauma quirúrgico durante la extracción de dientes, traumatismos por accidentes, extracciones simples, abscesos periodontales, fractura dental, anomalías del desarrollo, tumores, prótesis mal adaptadas y fracaso de un implante producen pérdida del volumen y de la altura del reborde alveolar (1,2). Una vez se ha producido la atrofia del reborde alveolar, las alternativas de tratamiento consisten en soluciones protésicas y soluciones quirúrgicas que dependerán del plan de tratamiento de rehabilitación oral, de la estética y las posibilidades de realizar o no un procedimiento quirúrgico. Las alternativas protésicas consisten en realizar pónticos inclinados hacia palatino, usar pónticos largos o utilizar porcelana rosada en la prótesis fija o porcelana removible o flexible (3). Las alternativas quirúrgicas para aumentar el reborde alveolar consisten en técnicas en tejidos blandos o técnicas en tejidos duros. Las primeras incluyen la técnica en rollo y sus variantes clínicas (4,5,6,7), la técnica de bolsillo (8), la técnica inlay o interposicional descrita por Kaldhal y colaboradores, en 1982 (9), la técnica onlay (1,10) y la técnica combinada (11). La técnica de rollo fue descrita por Abrams (4) para aumentar el reborde alveolar con el fin de corregir defectos vestibulolinguales pequeños de zonas estéticas que requieran mejorar la interfase diente-encía. En esta técnica se remueve la capa epitelial palatina y se eleva el tejido conectivo palatino y este se enrolla dentro de la mucosa vestibular. En este procedimiento queda un área cruenta, por lo que Scharf y Tarnow (5) propusieron una modificación de la técnica de Abrams en la que preservan el epitelio que recubre el sitio donante, lo que permite aumentar la cantidad de tejido conectivo que se va a enrollar, dejar cubierta la zona donante y disminuir las molestias posoperatorias. La técnica descrita por Scharf y Tarnow se ha utilizado ampliamente y existen pocos o ningún informe de problemas posoperatorios.
La técnica de rollo se usa para el tratamiento de deformidades clase I de pequeñas a moderadas en la zona de los premolares superiores y en la zona anterior, con excepción de la línea media, por la presencia de la papila palatina (5). Las deformidades del reborde, generalmente, se pueden restaurar de manera previsible por medio de variaciones de injertos pediculados de tejido blando, injertos de interposición e injertos de tejido conectivo subepitelial (procedimientos de bolsa) para aumentar un reborde deformado de manera estética (4,12).
Estas técnicas quirúrgicas requieren que el tejido conectivo del paladar tenga un espesor suficiente de tejido (5) conectivo para mantener un suministro de sangre dentro del colgajo (13). Si el colgajo se hace demasiado delgado, por lo general, se desprende. Una limitación de esta técnica, y de otras que emplean injertos de tejido conectivo subepitelial, es la dificultad de corregir problemas mucogingivales adicionales en el mismo acto quirúrgico (3), por ejemplo, poca profundidad del vestíbulo y gran proximidad de la línea mucogingival a la cresta del reborde alveolar. El principal inconveniente reside en el hecho de que la ganancia en el volumen depende del tamaño del injerto, que por lo general es limitado. Al mismo tiempo, las técnicas que implican grandes injertos, como injertos de espesor completo onlay, son más propensas a causar necrosis (3,14,15,16).
El propósito de este artículo es describir un caso donde se utilizó la técnica de rollo modificada en la zona del primer y del segundo premolar superior derecho para corregir una atrofia del reborde alveolar leve. Se presentó un absceso durante la primera fase de cicatrización. Se presentan tanto la técnica quirúrgica utilizada como el tratamiento que se proporcionó para el control del absceso.
DESCRIPCIÓN DEL CASO CLÍNICO
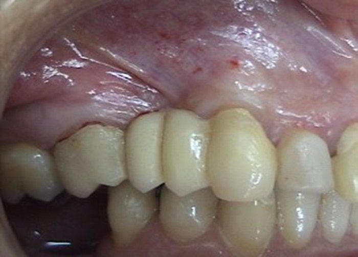
El caso corresponde a una mujer de 54 años de edad sin antecedentes médicos de importancia, a quien 12 años atrás le habían realizado una extracción de los dientes 15 y 14 (primer y segundo premolares superiores derechos, según la clasificación dígito dos). Clínicamente, se identificó una atrofia alveolar tipo I moderada vestibular del 14 y 15 con un adecuado grosor palatino. El rehabilitador decidió, con el consentimiento de la paciente, realizar una prótesis fija con pilares (dientes soporte) en los dientes 16 y 13 y pónticos en 15 y 14. Antes de la cirugía, se prepararon los pilares y se colocaron protecciones provisionales (figura 1).

Se le aumentó a la paciente el reborde alveolar por medio de la técnica de rollo modificada, pero sin incisiones verticales ni en vestibular o palatino. El procedimiento quirúrgico consistió en incisiones intracreviculares en los dientes 16 y 13, una incisión paracrestal palatina superficial desde mesial del 16 hasta distal del 13. A partir de dicha incisión se levantó la tapa epitelial palatina y se realizaron incisiones verticales mesial y distal y horizontal apical internas del tejido conectivo, el cual se elevó y enrolló en vestibular, donde previamente se realizó un colgajo mucoso (figura 2). El pedículo se enrolló hacia vestibular y se aseguró con puntos de sutura a cada lado. Finalmente, se suturó la tapa epitelial palatina. El diente provisional o temporal se recortó en la parte cervical para evitar el contacto con el tejido blando y se entregaron instrucciones posquirúrgicas por escrito a la paciente. Se le medicó con nimesulida de 100 mg, una tableta cada 12 h durante 3 días; azitromicina de 500 mg, una tableta diaria durante 3 días; y enjuagues con clorhexidina 2 veces al día por una semana. La paciente salió sin dificultades del consultorio.

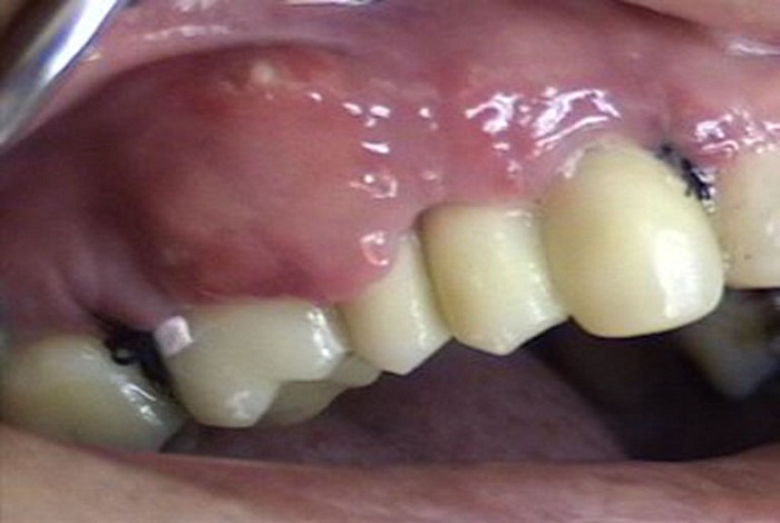
La paciente acudió a control clínico una semana después de la cirugía y se encontró un absceso gingival localizado desde el centro de la cara vestibular del 16 hasta mesial del 13. Presentaba edema, supuración al leve estímulo, dolor a la palpación y fiebre (figura 3).

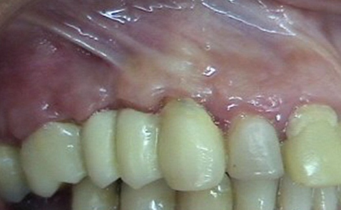
Se le drenó el absceso a la paciente por medio de una incisión a la altura coronal. En el mismo acto se tomó un cultivo en medio de transporte VMGAIII. Se encontraron los microorganismos Porphyromonas gingivalis (1,66 %), Prevotela intermedia/nigrescens (8,88 %), Tannerella forsythia (0,5 %), Campilobacter spp. (0,5 %), Eubacterium spp. (0,5 %), Fusobacterium spp. (6,66 %), Parvimonas micra (0,05 %) y Eikenella corrodens (6,11 %). A partir de estos hallazgos y la prueba de sensibilidad antibiótica, se prescribió amoxicilina de 500 mg, 1 tableta cada 8 h durante 5 días, más metronidazol de 500 mg, 1 tableta cada 8 h durante 5 días. La paciente regresó a control entre una y 4 semanas después, tiempo al cabo del cual se observó la resolución completa del absceso (figura 4).

DISCUSIÓN
Se presentó el caso de una paciente a quien se le realizó un aumento del reborde alveolar entre el 13 y el 16 con la técnica de rollo modificada y desarrolló un absceso posoperatorio. Según la literatura sobre el tema, hay formación de abscesos después de cubrimientos radiculares con injerto de tejido conectivo (17). Uno de esos casos se clasificó como absceso gingival (de acuerdo con el taller internacional en 1999 en el que se categorizaron las condiciones y enfermedades periodontales), ya que la infección purulenta se localizó entre el margen gingival y la papila interdental como respuesta inflamatoria a sustancias extrañas forzadas hacia la encía. Un absceso periodontal es una acumulación localizada de pus dentro de la pared gingival de una bolsa periodontal (18). Otros dos casos resultaron con abscesos difusos en la zona correspondiente a los colgajos originales (incluyendo principalmente mucosa), los cuales no se ajustaban a la definición clásica de absceso gingival. Esos tres casos presentaban aspectos en común como la técnica, el tratamiento radicular y la conservación de banda epitelial en el injerto de tejido conectivo que se mantuvo superficialmente sin cubrirse con el colgajo (17). En los tres casos se usó sutura reabsorbible de ácido poliláctico (PLA) para asegurar el injerto de tejido conectivo al lecho receptor, se posicionó el colgajo coronal a la unión amelo-cementaria cubriendo el injerto con las respectivas suturas, y no se administraron antibióticos después del procedimiento. Los abscesos no aparecieron clínicamente en la primera cita posoperatoria, pero sí en un periodo de dos a siete semanas después de la cirugía. La incidencia de complicaciones es relativamente baja cuando se utilizan injertos de tejido conectivo para la cobertura radicular (18).
Otros autores han informado el desarrollo de un “quiste quirúrgico gingival” secundario a un injerto de tejido conectivo subepitelial (19,20). La lesión quística que se presentó en la mucosa bucal varios meses después de colocar un injerto para cubrimiento radicular tenía una consistencia firme y se extirpó quirúrgicamente. Otras especialidades ha detallado otros casos de quistes quirúrgicos orales (21). El epitelio se ha relacionado en la patogénesis de los quistes gingivales y periapicales (22). Se ha sugerido que los quistes pueden desarrollarse a partir de remanentes de la lámina dental, el órgano del esmalte o de restos epiteliales de Malassez, o por implantación traumática de superficie epitelial (23,24).
Generalmente, se recomienda que el collar de tejido epitelial se elimine si el injerto va a cubrirse en su totalidad por un colgajo posicionado coronal. Las secciones histológicas, sin embargo, muestran que es difícil excluir completamente el epitelio (25). Aún no está claro el efecto que tendrán los restos epiteliales del tejido donante en el tejido periodontal superpuesto. En un modelo animal, cuando el epitelio de la mucosa alveolar se implantó debajo de colgajos de espesor total, los injertos epiteliales se fueron rodeando por tejido conectivo al parecer sin poner en peligro la unión del tejido conectivo (26). La complicación descrita se presentó como un absceso agudo. Cuando esta se desvaneció, no hubo indicios clínicos de quiste gingival. No es posible establecer conclusiones del posible papel de los restos epiteliales en este reporte, ya que no se realizó biopsia.
Las reacciones tisulares a los materiales de sutura en la cavidad oral se han estudiado con poca frecuencia y la información es poco objetiva e incompleta (27). La poliglactina 910 es un copolímero sintético a base de 90 % ácido glicólico y 10 % de l-lactida (PLA-PGA), que se trenza para mejorar su calidad y manejo quirúrgico, y tiene un tiempo de absorción del 60 al 90 día (28). Selvig y colaboradores observaron que a los 14 días no se disolvió de forma apreciable (27). Por otro lado, se ha informado que tanto PLA como PGA producen soluciones tóxicas in vitro, probablemente como resultado de los productos de degradación de ácidos (29). Pero estas pruebas no reflejan necesariamente situaciones in vivo. En general, los copolímeros PLA-PGA se consideran biocompatibles, no tóxicos y no inflamatorios, aunque se ha reportado alguna reducción en la proliferación celular (30).
La poliglactina 910 es un material de sutura utilizado principalmente en sitios sumergidos, no contaminados. Parece ser que las suturas trenzadas favorecen la migración bacteriana en mayor medida que las suturas de monofilamento. De hecho, las bacterias inmóviles son transportadas dentro de los materiales de sutura multifilamento, los cuales impiden que los mecanismos de defensa celular e inmunológico se lleven a cabo correctamente (31). Selvig y colaboradores (27) hallaron que las suturas colocadas en la mucosa oral y gingival producen una respuesta tisular prolongada debido al flujo continuo de contaminación microbiana a lo largo del canal de sutura. Esto puede ser un problema menor cuando las suturas se colocan en otros compartimentos quirúrgicos (27).
Puede considerarse la posibilidad de un absceso por un punto de sutura, ya que este es un problema común después de otros procedimientos quirúrgicos (32,33), especialmente si se ha usado sutura trenzada. Hasta ahora se ha informado como complicación, luego de colocar un injerto subepitelial de tejido conectivo en tres casos clínicos (17). De ahí que se recomiende que si las suturas van a usarse en un entorno sumergido (cubiertos por un colgajo), sea mejor seleccionar una sutura no trenzada (catgut). En la cavidad oral, las suturas se contaminan inmediatamente se utilizan. Por ello debe usarse justo después de haberse abierto sus empaques, ya que la carga microbiana será menor y, probablemente, no habrá transferencia de bacterias al entorno sumergido.
En este caso presentado, los signos y los síntomas de la complicación fueron leves. Su tratamiento fue conservador y consistió en curetaje de la zona y administración de antibióticos. Se ha realizado seguimiento clínico de la paciente sin observarse recurrencia del absceso o desarrollo de un quiste detectable. La evolución clínica del procedimiento fue favorable y, al parecer, no se afectó negativamente por el desarrollo del absceso.
CONCLUSIÓN
En este artículo se presentó un caso de absceso gingival que se produjo después de realizar la técnica de rollo modificada para aumentar el reborde alveolar. El absceso gingival es una complicación poco frecuente en este tipo de situaciones y, por eso, se consideró interesante reportar su diagnóstico clínico y microbiológico y su manejo con antibióticos, que al final resultó exitoso y sin complicaciones.
REFERENCIAS
1. Seibert J. Reconstruction of deformed, partially edentulous ridges, using full thickness onlay grafts. Part I. Technique and wound healing. Compend Contin Educ Dent. 1983 Sep-Oct; 4(5): 437-53.
2. Allen EP, Gainza CS, Farthing GG, Newbold DA. Improved technique for localized ridge augmentation. A report of 21 cases. J Periodontol. 1985; 56: 195-9.
3. Studer S, Naer F, Schärer P. Adjustment of localized alveolar ridge defects by soft tissue transplantation to improve mucogingival esthetics: a proposal for clinical classification and an evaluation of procedures. Quintessence Int. 1997; 28: 785-805.
4. Abrams L. Augmentation of the deformed residual edentulous ridge for fixed prosthesis. Compend Contin Educ Gen Dent. 1980; 1: 205-13.
5. Scharf D, Tarnow D. Modified roll technique for localized alveolar ridge argumentation. Int J Periodont Res Dent. 1992; 12: 415-25.
6. Barone R, Clauser C, Prato GP. Localized soft tissue ridge augmentation at phase two implant surgery: a case report. Int J Periodontics Restorative Dent. 1999; 19: 141-5.
7. Gasparini DO. Double-fold connective tissue pedicle graft: a novel approach for ridge augmentation. Int J Periodontics Restorative Dent. 2004; 24: 280-7.
8. Langer B, Calagna LJ. The subepithelial connective tissue graft. A new approach to the enhancement of anterior cosmetics. Int J Periodontics Restorative Dent. 1982; 22-33.
9. Kaldahl WB, Tussing GJ, Wents FM, Walker JA. Achieving an esthetic appearance with a fixed prosthesis by submucosal grafts. J Am Dent Assoc. 1982; (104): 449-52.
10. Seibert JS. Reconstruction of deformed, partially edentulous ridges, using full thickness onlay grafts. Part II. Prosthetic/periodontal interrelationships. Compend Contin Educ Dent. 1983; 4 (6): 549-62.
11. Seibert JS, Louis JV. Soft tissue ridge augmentation utilizing a combination onlay-interpositional graft procedure: a case report. Int J Periodontics Restorative Dent. 1996; 16(4): 310-21.
12. Smukler H, Chaibi M. Ridge augmentation in preparation for conventional and implant-supported restorations. Compend Contin Educ Dent. 1994; (Suppl 18): S706-S710.
13. Broome WC, Taggart EJ Jr. Free autogenous connective tissue grafting. Report of two cases. J Periodontol. 1976: 47: 580-5.
14. Seibert JS, Lindhe J. Esthetics in periodontal therapy. En: Lindhe J, Karring T, Lang N, editores. Clinical periodontology and implant dentistry. 3rd ed. Copenhagen, Denmark: Munksgaard; 1997. pp. 647-81.
15. Seibert JS, Salama H. Alveolar ridge preservation and reconstruction. Periodontol 2000. 1996; 11: 69-84.
16. El-askary AS. Use of connective tissue graft to enhance the esthetic outcome of implant treatment. A clinical report of two patients. J Prosthet Dent. 2002; 87: 129-32.
17. Vastardis S, Yukna RA. Gingival/soft tissue abscess following a subepithelial connective tissue graft for root coverage. Report of three cases. J Periodontol. 2003; 74: 1676-81.
18. Meng HX. Periodontal abscess. Ann Periodontol.1999; 4: 79-82.
19. Harris RJ. Formation of a cyst-like area after a connective tissue graft for root coverage. J Periodontol. 2002; 73: 340-5.
20. Breault LG, Billman MA, Lewis DM. Report of a gingival “surgical cyst” developing secondarily to a subepithelial connective tissue graft. J Periodontol. 1997; 68: 392-5.
21. Koutlas IG, Gillum RB, Harris MW, Brown BA. Surgical (implantation) cyst of the mandible with ciliated respiratory epithelial lining. A case report. J Oral Maxillofac Surg. 2002; 60: 324-5.
22. Spouge JD. The rests of Malassez and chronic marginal periodontitis. J Clin Periodontol. 1984; 11: 340-7.
23. Nxumalo TN, Shear M. Gingival cyst in adults. J Oral Pathol Med. 1992; 21: 309-13.
24. Newman MG, Takei HH, Carranza FA, editors. Clinical periodontology. 9th ed. Philadelphia, PA, USA: Saunders; 2002.
25. Ohayoun JP, Khattab R, Serfary R, Feghaly-Assaly M, Sawaf MH. Chemically separated connective tissue grafts. Clinical application and histological evaluation. J Periodontol. 1993; 64: 734-8.
26. Bahn IT, Roxson AW, Yukna RA. Evaluation of the purposeful implantation of epithelium on root surfaces under periodontal flaps. Int J Periodontics Restorative Dent. 1987; 7(2): 68-76.
27. Selvig KA, Biagiotti GR, Leknes KN, Wikesjö UM. Oral tissue reactions to suture materials. Int J Periodontics Restorative Dent. 1998; 18: 474-87.
28. Mayer RD, Antonini CJ. A Review of suture materials. Part I. Compendium. 1989; 10: 260-4.
29. Taylor MS, Daniels AU, Andriano KP, Heller J. Six bioabsorbable polymers. In vitro acute toxicity of accumulated degradation products. J Appl Biomater. 1994; 5: 151-7.
30. Athanasiou KA, Niederauer GG, Agrawal CM. Sterilization, toxicity, biocompatibility and clinical applications of polylactic acid/polyglycolic acid copolymers. Biomaterials. 1996; 17: 93-102.
31. Blomstedt B, Osterberg B, Bergstrand A. Suture material and bacterial transport. An experimental study. Acta Chir Scand. 1977; 143(2): 71-3.
32. Hsu TC, Wang CL, Wang TG, Shieh FJ. Sonographic detection of a stitch abscess. J Clin Ultrasound. 1998; 26: 225-7.
33. Canady JW, Zeitler DP, Thompson SA, Nicholas CD. Suitability of the iliac crest as a site for harvest of autogenous bone grafts. Cleft Palate Craniofac J. 1993; 30: 579-81.
Información adicional
Para citar este artículo: Molano PE, Yepes BI, Varela AM. Absceso gingival después de
un aumento del reborde alveolar con técnica en rollo modificada: presentación de
caso. Univ Odontol. 2017 jul-dic; 36(77). https://doi.org/10.11144/Javeriana.uo36-77.agar
Áreas temáticas: cirugía oral; odontología; patología oral
Thematic fields: Dentistry; oral
pathology; oral surgery