Artículos
Vestibuloplastia con la técnica de Edlan Mejchar: descripción de cuatro casos clínicos*
Vestibuloplasty with Edlan Mejchar Technique: Description of Four Clinical Cases
Vestibuloplastia con la técnica de Edlan Mejchar: descripción de cuatro casos clínicos*
Universitas Odontológica, vol. 37, núm. 78, 2018
Pontificia Universidad Javeriana

Recepción: 15 Julio 2017
Aprobación: 08 Junio 2018
Publicación: 18 Junio 2018
Resumen: Antecedentes: En ocasiones, las retracciones gingivales se asocian con altas fuerzas tensionales de los músculos y con vestíbulos poco profundos. Dichas retracciones generan problemas periodontales a los pacientes por la dificultad de limpiar estas zonas. La vestibuloplastia, por medio de la técnica de Edlan Mejchar, permite, en una sola intervención y un solo campo quirúrgico, controlar los factores etiológicos y una inserción trepadora de la encía al eliminar las fuerzas tensionales. Objetivo: Describir la efectividad de la técnica de Edlan Mejchar empleada para solucionar retracciones gingivales producidas por fuerzas tensionales en cuatro casos clínicos. Descripción de los casos: Se presentaron cuatro pacientes con retracciones gingivales en dientes incisivos inferiores con poca encía adherida, debida a fuerzas tensionales del frenillo labial inferior. Como tratamiento se usó la técnica de Edlan Mejchar, que incluyó una incisión supraperióstica y relajantes internas en el tejido conjuntivo. Resultados: El porcentaje de cobertura radicular logrado después del procedimiento fue de aproximadamente el 60 % y se eliminaron inserciones anómalas del frenillo. Conclusiones: La técnica de Edlan Mejchar de vestibuloplastia mostró resultados favorables en los casos descritos en los cuales el frenillo labial ejercía fuerzas tensionales sobre el periodonto de dientes anteriores inferiores.
Palabras clave: anormalidades del frenillo labial, cirugía oral, enfermedad periodontal, enfermedades gingivales, inserción epitelial, odontología, periodoncia, recesión gingival, técnica de Edlan Mejchar, vestibuloplastia.
Abstract: Background: Sometimes gingival retractions are associated with high muscular tensional forces and shallow vestibules. Such retractions cause periodontal problems to patients due to the cleaning access limitations. Edlan Mejchar vestibuloplasty technique allows controlling, in one intervention and a single surgical field, etiological factors and a creeping gingival attachment by eliminating tensional forces. Purpose: To describe the effectiveness of Edlan Mejchar technique to solve gum retractions caused by tensional forces in four clinical cases. Description of cases: Four patients with gingival retractions in lower incisors and little adhered gingiva due to lower lip frenulum tension seek dental treatment. Edlan Mejchar vestibuloplasty was the surgical treatment chosen, which consisted of supraperiosteal incisions and internal dissections in connective tissue. Results: The percentage of root coverage achieved was close to 60% and abnormal frenulum insertions were eliminated. Conclusion: Vestibuloplasty through Edlan Mejchar technique showed favorable results in the cases described in which the labial frenum exerted tensional forces on the periodontium of lower anterior teeth.
Keywords: dentistry, Edlan Mejchar technique, epithelial attachment, gingival diseases, gingival recession, labial frenum abnormalities, oral surgery, periodontics, periodontal diseases, vestibuloplasty.
Introducción
La disminución del tamaño del vestíbulo puede tener como causa la disminución fisiológica de los rebordes alveolares residuales en pacientes edéntulos, a causa de exodoncia o alveolotomías mal realizadas, problemas periodontales graves, cuadros inflamatorios, secuelas de la remoción quirúrgica de quistes o neoplasias, morfología facial, trastornos sistémicos, entre otros, los cuales dificultan la colocación de prótesis dentales (1,2,3). En ciertos casos, los vestíbulos poco profundos presentan alta fuerza tensional de las fibras del músculo mentoniano en relación con la cresta del reborde alveolar en pacientes edéntulos (2); también es posible que suceda por la encía adherida en pacientes dentados. En tal caso, esta condición puede generar problemas periodontales como fenestraciones, recesiones, dehiscencias y disminución del ancho de la encía adherida y del espacio biológico. Ello afecta la estética y salud periodontal y genera sensibilidad dentinaria, aumento del riesgo de caries radicular, contornos gingivales que dificultan la higiene dental, inflamación de los tejidos gingivales y otras complicaciones (4,5).
El objetivo del tratamiento de este tipo de afectaciones se encamina a corregir, cesar el avance del defecto, disminuir la inflamación, recuperar salud y confort de los tejidos y conseguir una estética periodontal satisfactoria (6). En el mejor de los casos se tratan favorablemente eliminando factores extrínsecos por medio de la fase higiénica que incluye enseñanza de técnicas de higiene oral, raspado y alisado radicular (4). En casos más graves, donde las recesiones gingivales las causan fuerzas tensionales sobre la encía, es necesario utilizar técnicas más invasivas como frenectomías o vestibuloplastias. Su fin es eliminar las fuerzas tensionales que inciden en la encía marginal, a fin de disminuir las recesiones, las fenestraciones o las dehiscencias o de eliminarlas totalmente. Otras alternativas incluyen técnicas de recubrimiento radicular como el injerto gingival libre, el colgajo de avance lateral, la regeneración tisular guiada y el colgajo de avance coronal asociado o no a un injerto (aloinjerto o xenoinjerto) (5,7).
La vestibuloplastia es un procedimiento quirúrgico correctivo en el tejido blando de la cresta alveolar del maxilar superior o inferior (8). La necesidad de este procedimiento depende de la valoración clínica y radiológica, para lo cual se debe tener en cuenta que la existencia de hueso mandibular sea suficiente para aumentar la altura del vestíbulo (2). En el inicio del siglo XX, la vestibuloplastia pasó por varias modificaciones, lo que dio como resultado diversas técnicas efectivas. Algunas de ellas son las técnicas de Clark, Kazanjan, Obwegeser y Edlan Mejchar (8). La profundización del vestíbulo mediante la técnica de Edlan Mejchar se describió por primera vez en 1963 y se aplica cuando existe poca o ninguna encía adherida remanente (9). El manejo de defectos gingivales con esta técnica busca interceptar la tensión por medio de una incisión supraperióstica con relajantes internas en el conjuntivo. Esto alivia la fuerza patológica y genera una banda mucogingival que evita el avance de la recesión mediante el proceso de inserción escaladora. De la misma manera, se puede utilizar en un intento de aliviar las complicaciones postoperatorias de la pérdida de profundidad del vestíbulo que se presenta con otras técnicas de vestibuloplastia. Es importante eliminar factores etiológicos de las recesiones gingivales antes de realizar tratamientos ortodónticos, pues los defectos gingivales de un paciente pueden empeorar (1,4,10). El objetivo de este artículo es describir la técnica de Edlan Mejchar empleada en cuatro casos clínicos y verificar si, a pesar de no ser el estándar para el manejo de este tipo de afecciones periodontales, logra resultados óptimos y rápidos, sin riesgo de complicaciones y con un postoperatorio sencillo.
Materiales y métodos
En el presente artículo se detallan los hallazgos de cuatro casos clínicos (tres mujeres y un hombre) que cumplían con los siguientes criterios de inclusión: ser mayores de edad, tener frenillos labiales inferiores sobreinsertados, tener recesiones gingivales en los dientes incisivos centrales inferiores (izquierdo, derecho o ambos) y no sufrir de patologías generales.
En los procedimientos de utilizaron los siguientes materiales e instrumentos: lidocaína al 2 % con epinefrina 1:80.000, mango de bisturí Bard Parker n.o 3, hoja de bisturí n.o 15, pinzas Adson sin garras, espátula 7A, portagujas, agujas de 3/8” de círculo reverso cortante atraumáticas, sutura catgut crómico 4/0, solución salina al 0,9 % y cemento quirúrgico. Antes de iniciar las cirugías, a todos los pacientes se les tomaron exámenes de sangre preoperatorios que incluían hemograma completo, tiempo de protrombina y tiempo parcial de tromboplastina, y que debían estar dentro de los rangos de normalidad, con el fin de evitar cualquier complicación postoperatoria.
Para iniciar el procedimiento se anestesió la zona con técnica infiltrativa de Seldin con lidocaína al 2 % y epinefrina 1:80.000. Se realizó una incisión en sentido horizontal en la mucosa móvil, en el área de los incisivos laterales inferiores, siguiendo el contorno del fondo del vestíbulo, con mango de bisturí de Bard Parker n.o 3 y hoja de bisturí n.o 15 en dirección perpendicular al campo quirúrgico. Con ayuda de una pinza Adson sin garra se posicionó el tejido vestibularmente para permitir al operador visualizar la zona. Se desbridó mediante un corte agudo hasta llegar al periostio, el cual se eliminó con una espátula 7ª, para exponer hueso. Con ayuda de suturas internas, se ubicó el tejido mucoso en una posición más apical valiéndose del periostio, que estaba por debajo del campo quirúrgico. Se suturó con catgut crómico 4/0. La zona del corte horizontal se dejó sin sutura para promover una cicatrización por segunda intención. Se irrigó con solución salina al 0,9 % y se cubrió la zona con cemento quirúrgico desde el tercio medio de los incisivos inferiores hasta cubrir por completo la herida (figura 1). Al finalizar el procedimiento se prescribió terapia analgésica con nimesulida de 100 mg cada 12 h durante 3 días y antibiótica con amoxicilina de 500 mg cada 8 h durante 7 días. Se dieron además recomendaciones postoperatorias al paciente.

A los 7 días del procedimiento se evaluó la formación de tejido granular correspondiente al proceso normal de cicatrización. Después, a los 10 días se buscaba encontrar formación de tejido de cicatrización, pero aún con tejido eritematoso. A los 45 días se debía apreciar una cicatrización casi completa con formación de una banda fibrosa en el área de la incisión.
Descripción de los casos
Caso 1
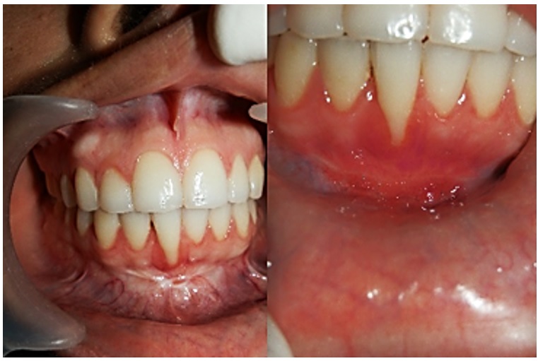
Una mujer de 28 años de edad acudió a consulta, porque presentaba gingivitis marginal generalizada con pérdida de inserción preexistente en la zona del incisivo central derecho (diente 41, según la nomenclatura dígito 2 de la Federación Dental Internacional, sistema ISO 3950) e inserción anómala del frenillo labial inferior. La paciente estaba inconforme con su estética en el sector anteroinferior. En el examen se observó un vestíbulo poco profundo y poca resiliencia, frenillo labial inferior casi imperceptible, eritema en la encía marginal y recesión marcada en el diente 41. No se hallaron bolsas periodontales ni evidencia de encía insertada insuficiente (figura 2). Radiográficamente se observaba normalidad en las estructuras. Se clasificó como recesión clase II según Miller y se evaluó la necesidad de implementar una terapia etiotrópica periodontal a través del raspado y alisado radicular y profilaxis antes de cualquier consideración quirúrgica. Luego de la fase etiotrópica periodontal, se decidió manejar el caso quirúrgicamente para corregir la retracción gingival y controlar el riesgo de complicaciones mayores.

Caso 2
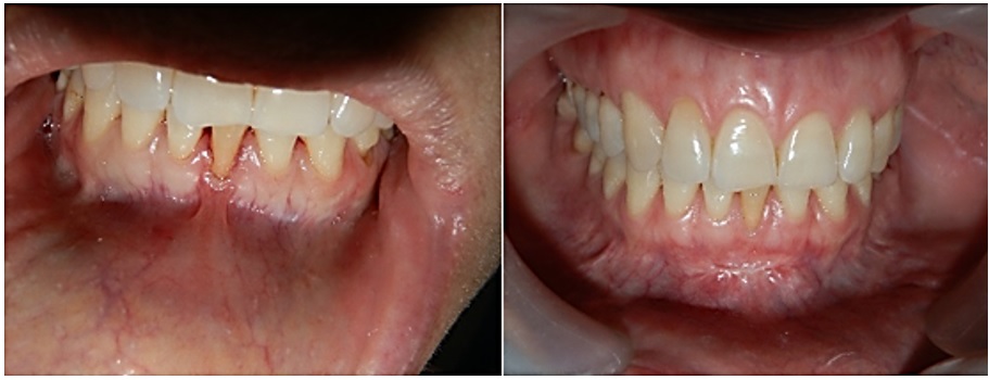
Una mujer de 34 años de edad asistió a consulta por presentar gingivitis marginal localizada con pérdida de inserción preexistente en la zona del incisivo central izquierdo (diente 31) e inserción anómala del frenillo labial inferior. Estaba inconforme con la apariencia de su encía en el sector anteroinferior. Se observó un vestíbulo poco profundo con poca resiliencia, frenillo labial inferior sobreinsertado en encía adherida y recesión marcada en el diente 31. En el sondeo no se encontraron bolsas periodontales o evidencia de encía insertada insuficiente (figura 3). Se clasificó como recesión clase I, según Miller. Se evaluó la necesidad de implementar una terapia etiotrópica periodontal a través del raspado y alisado radicular y profilaxis antes de cualquier consideración quirúrgica. Se decidió efectuar el procedimiento quirúrgico para corregir la retracción gingival y controlar el riesgo de complicaciones.

Caso 3
Un hombre de 21 años de edad estuvo en consulta por presentar seudoanodoncia del canino inferior izquierdo (diente 33), mal posición de los incisivos anteriores inferiores, periodonto sano con pérdida de inserción en los incisivos centrales inferiores izquierdo y derecho (dientes 31 y 41, respectivamente) e inserción anómala del frenillo labial inferior. Comentó que se sentía inconforme por la ausencia de su canino inferior izquierdo. En el examen clínico se observó un vestíbulo poco profundo, poca resiliencia, frenillo labial inferior casi imperceptible y recesiones en las zonas anteriores de los dientes 31 y 41. Al sondeo no se encontraron bolsas periodontales o evidencia de encía insertada insuficiente (figura 4). Se clasificó como recesión clase I, según Miller, y se evaluó la necesidad de implementar terapia etiotrópica periodontal por medio de raspado, alisado radicular y profilaxis antes de cualquier consideración quirúrgica. Se decidió llevar a cabo manejo quirúrgico y ortodóntico para corregir la retracción gingival y controlar el riesgo de complicaciones. Se buscaba liberar el diente 33 para luego, con ayuda de un botón ortodóntico y colocación de aparatología fija, retraerlo.

Caso 4
Se presentó a consulta una mujer de 30 años de edad con gingivitis marginal generalizada, pérdida de inserción localizada en el incisivo central inferior derecho (diente 41) e inserción anómala del frenillo labial inferior. La paciente no estaba conforme con la apariencia de su encía en la parte anteroinferior. En el examen se observó un vestíbulo poco profundo, poca resiliencia, frenillo labial inferior casi imperceptible, eritema en la encía marginal y recesión marcada en el diente 41. Al sondeo no se encontraron bolsas periodontales o evidencia de encía insertada insuficiente (figura 5). Se clasificó como recesión clase II, según Miller, y se evaluó la necesidad de implementar una terapia etiotrópica periodontal a través de raspado, alisado radicular y profilaxis antes de cualquier consideración quirúrgica. Se decidió realizar cirugía para corregir la retracción gingival y controlar factores de riesgo.

Discusión
El tratamiento de defectos periodontales precisa un correcto diagnóstico en el que se determinen la gravedad de las condiciones anómalas y su etiología. De esta manera se podrán planear los mejores tratamientos posibles para frenar el avance y subsanar los defectos periodontales que se puedan presentar. En las recesiones gingivales, las superficies radiculares de los dientes están expuestas al medio bucal, lo que puede ser causado por la migración de la encía marginal y el epitelio de unión en sentido apical (7,11,12). Los casos clínicos presentados en este artículo correspondían a pacientes con recesiones grados I (sin sobrepasar la línea mucogingival, sin pérdida de tejido interdental), II (sobre o más allá de la línea mucogingival, sin pérdida de tejido interdental) y III (más allá de la línea mucogingival, con pérdida de tejido interdental pero coronal a la recesión), según Miller. Los pacientes mostraron cambios favorables después de la vestibuloplastia con técnica de Edlan Mejchar, con disminución de las recesiones de más del 60 % a los 45 días luego de los procedimientos. Los pacientes estaban satisfechos por la simplicidad de la técnica, postoperatorios sin complicaciones y resultados rápidos. Además, con la técnica se eliminaron los factores etiológicos de las afecciones. Estas características se podrían considerar como ventajas de esta técnica con respecto a otras, como el injerto de tejido conjuntivo, que se considera el estándar. Algunas de las dificultades del injerto son la necesidad de trabajar en dos campos quirúrgicos y mayores dificultades durante el periodo postoperatorio.
Aunque actualmente existen múltiples tratamientos quirúrgicos para manejar las migraciones apicales, esto es, injerto gingival libre, colgajo posicionado lateral y regeneración tisular guiada, entre otros, que buscan disminuir estas migraciones apicales y aumentar la cantidad de encía adherida, en algunos casos no se logra tratar los factores etiológicos. Esto hubiera ocurrido en los casos 1, 2 y 4 de este reporte, que eran debidos a inserciones anómalas del frenillo labial inferior. Por tal razón, la vestibuloplastia es un tratamiento óptimo para frenar y subsanar la migración gingival apical en un paciente. Por otro lado, con esta técnica se realizaron en un mismo acto quirúrgico varios procedimientos, como en el caso 3, en el cual se liberó un canino inferior izquierdo que se encontraba incluido. Las molestias para el paciente hubieron sido mayores si se hubiera sometido a varios actos quirúrgicos (6,13). La vestibuloplastia por medio de la técnica de Edlan Mejchar tuvo la ventaja de haberse realizado en un solo campo quirúrgico, con menos molestias para el paciente y una cicatrización mucho más rápida. Además, por su color, es más estética que el injerto de tejido conjuntivo. El injerto es más pálido, palidez que continúa después de haberse completado la cicatrización. Otra desventaja del injerto es que se puede localizar por encima de la línea mucogingival, hecho que no sucede con la vestibuloplastia de Edlan Mejchar, pues esta última genera un proceso que se conoce como inserción escaladora (creeping attachment), en la cual la encía migra en sentido coronal sin sobrepasar la línea mucogingival y se logra un alto grado de estética periodontal, con continuidad en cuanto al color y la textura de la encía (4,14).
Al analizar la vestibuloplastia de Edlan Mejchar con respecto a la técnica de colgajo de avance coronal, se puede decir que la segunda produce buenos resultados en el paciente; pero no logra solucionar o tratar los factores etiológicos, cuando estos son tracciones musculares como frenillos con inserción anómala. Tampoco logra aumentar la profundidad del vestíbulo (6,15,16). El injerto pediculado es un procedimiento con el cual se logra solucionar las recesiones radiculares. Tiene algunas ventajas sobre otras técnicas, como el injerto autólogo, pues se realiza en un solo campo operatorio. Sin embargo, no sería una buena opción de tratamiento en casos de vestíbulos poco profundos, porque con este se debe llevar la encía marginal hacia apical, disminuyendo la profundidad del vestíbulo (4,8,13,17). También se emplean injertos de plasma rico en fibrina, que tienen propiedades regenerativas y se extraen de la sangre del paciente, lo cual disminuye la posibilidad de rechazo inmunológico. Sin embargo, generan más estrés en el paciente, porque se le extrae sangre. Además, existe la posibilidad de presentarse fallas durante el procedimiento y, por ende, fracaso del tratamiento (18).
Como se mencionó, existen diversas técnicas para tratar migraciones apicales. Todas generan resultados clínicos favorables en cuanto a la estética periodontal, pero ninguna logra eliminar factores etiológicos como frenillos con inserción anómala, en un mismo campo quirúrgico. Esto lleva a que se realicen nuevas intervenciones quirúrgicas, lo cual es más traumático para un paciente. Por el contrario, la técnica de Edlan Mejchar es efectiva para eliminar los factores etiológicos de la recesión, es sencilla de realizar y no implica riesgo de rechazo inmunológico (como en el caso de injertos). Asimismo, se pueden realizar otros procedimientos simultáneamente, como liberar dientes impactados (como en el caso 3) para reposicionarlos después de aparatología ortodóntica fija. Esta técnica no se considera el estándar para el manejo de recesiones, aun cuando produce resultados óptimos, rápidos y con un postoperatorio menor, lo que genera satisfacción y confort en los pacientes. El manejo multidisciplinario de los pacientes es necesario para resolver condiciones como las recesiones con el mínimo de campos o actos quirúrgicos, menos complicaciones postoperatorias y mayor bienestar para el paciente (10,19,20).
Conclusiones
La vestibuloplastia, según la técnica de Edlan Mejchar, mostró resultados óptimos en los pacientes descritos, con cicatrización completa a los 45 días después del procedimiento. Además, las intervenciones fueron menos traumáticas por realizarse en un solo procedimiento y se eliminaron los factores etiológicos. Asimismo, se produjo menos angustia en los pacientes.
Recomendaciones
Se recomienda llevar a cabo ensayos clínicos controlados con tamaños muestrales mayores en los que se compare la vestibuloplastia según Edlan Mejchar con el procedimiento estándar para manejar recesiones gingivales.
Referencias
1. Pulido Rozo MA, Anaya M, Vidal M, Tirado Amador LR. Vestibuloplastia con láser: Reporte de caso. Rev Odontol Mex. 2014; 18(4): 259-62. https://doi.org/10.1016/S1870-199X(14)70314-3
2. Luciano AA, Salvi C, Júnior EÁG. Sulcoplastia de Kazanjian modificada: relato de caso. Investigação. 2015; 14(1): 159-63. http://dx.doi.org/10.19177/cntc.v5e9201663-68
3. Hillerup S. Preprosthetic vestibular sulcus extension by the operation of Edlan and Mejchar: A 2-year follow-up study--I. Int J Oral Maxillofac Surg. 1979; 8(5): 333-9. https://doi.org/10.1016/S0300-9785(79)80060-5
4. Díaz Caballero A, Hernández Ligardo R, Silva Barajas L. Técnica quirúrgica de Edland Mejchar para corrección de recesión gingival. Av Periodoncia Imlantol [internet]. 2016; 28(1): 35-9. Disponible en: http://scielo.isciii.es/pdf/peri/v28n1/original4.pdf
5. Zamora SLC, Guevara DMJ, Peña GEF, Milán LCP. Recubrimiento radicular con técnica de tejido conectivo subepitelial combinado con colgajo deslizado coronalmente. Multimed. 2017; 21(1): 163-71.
6. Díez-Pérez R, Costa-Berenguer X, Bascones Martínez A. Cirugía plástica periodontal en dientes del sector anterior. Av Periodoncia. 2016; 28(3): 147-54.
7. Dávila Barrios L, Sosa de Jesús L, Padrón Durán K, Arteaga Altuve S, Olavez Cepeda D, Salmen Halabi S, Solórzano Navarro E. Injerto gingival obtenido mediante ingeniería tisular para la cobertura de recesiones gingivales. Reporte de un caso clínico. Rev Mex Periodontol. 2017; 7(3): 97-103.
8. Konstantinova D, Djongova E, Arnautska H, Georgiev T, Peev S, Dimova M. Presentation of a modified method of vestibuloplasty with an early prosthetic loading. J IMAB. 2015; 21(4): 964-8. https://doi.org./10.5272/jimab.2015214.964
9. Madani SM, Thomas B. Edlan-Mejchar vestibular deeping in a failing implant case. Int J Oral Implantol Clin Res. 2013; 4(3): 108-11. https://doi.org/10.5005/JP-Journals-10012-1103
10. Ormeño PI, da Cruz OT, Vitorino ME, Durán CL. Recesión gingival y tratamiento de ortodóncia. Reporte de caso interdisciplinario. Rev Estomatol Herediana. 2012; 22(1): 31-6. https://doi.org/10.20453/reh.v22i1.156
11. Bueno Rossy L, Ferrari R, Jamil S. Tratamiento de recesiones y defectos mucogingivales mediante injertos de tejido conjuntivo en piezas dentarias e implantes. Odontoestomatol. 2015; 17(26): 35-46.
12. Linares SG, Soto CC, Ilave MG, Calderón KM, Carrillo GO. El biotipo periodontal como factor influyente en recesión gingival en pacientes adultos que acuden a la Clínica de Posgrado de la UNMSM, Lima-Perú. Theorēma. 2015; (2) :19-25.
13. Godoy C, Guerrero V, Lozano E. Cirugía plástica periodontal, una realidad asistencial: reporte de casos. Rev Clin Periodoncia Implantol Rehabil Oral. 2014; 7(3): 180-6.
14. Luján E, Luján SA, Meza JM. Combinación del injerto libre de tejido conectivo y la técnica de Allen en el tratamiento de la recesión gingival. Evid Odontol Clin. 2017; 3(1): 29-37.
15. Ortiz CJR, Amador LRT, Moreno CJC. Tratamiento de recesión gingival con injerto conectivo subepitelial y colgajo desplazado coronal. Rev Nac Odontol. 2017; 13(25).
16. Reyes RAC, Casillas APV. Tratamiento de recesiones gingivales mediante colgajo desplazado coronal modificado más injerto de tejido conectivo subepitelial. Serie de casos. Rev Mex Periodontol. 2012; 3(1): 15-23.
17. Bravo JAC. Manejo de la hipersensibilidad dentinaria por recesión gingival. Uso combinado de Pro-Argin™ e injerto de tejido conectivo subepitelial: reporte de un caso. Rev Mex Periodontol. 2013; 4(2): 67-72.
18. Meza-Mauricio EJ, Lecca-Rojas MP, Correa-Quispilaya E, Ríos-Villasis K. Fibrina rica en plaquetas y su aplicación en periodoncia: revisión de literatura. Rev Estomatol Herediana. 2014; 24(4): 287-93. https://doi.org/10.20453/reh.v24i4.2172
19. Díaz A, Puerta MA, Verbel J. Manejo quirúrgico de frenillos labiales sobreinsertados: reporte de caso. Rev Salud Bosque. 2015; 4(1): 69-74.
20. Kalakonda B, Farista S, Koppolu P, Baroudi K, Uppada U, Mishra A, Savarimath A, Lingam AS. Evaluation of patient perceptions after vestibuloplasty procedure: a comparison of diode laser and scalpel techniques. J Clin Diagn Res. 2016; 10(5): ZC96. https://doi.org/10.7860/JCDR/2016/17623.7820
Notas
Notas de autor
Autor de correspondencia. Correo electrónico: adiazc1@unicartagena.edu.co
Información adicional
Cómo citar este artículo: Díaz-Caballero AJ, del Río Rocha DG, Harris Ricardo J. Vestibuloplastia con la técnica de Edlan Mejchar: descripción de cuatro casos clínicos. Univ Odontol. 2018 ene-jun; 37(78). https://doi.org/10.11144/Javeriana.uo37-78.vtem