Artículos
Aparición de exostosis siete años después de un aumento del reborde alveolar con técnica de bolsillo*
Exostosis Seven Years after Alveolar Ridge Augmentation with Pocket Technique
Aparición de exostosis siete años después de un aumento del reborde alveolar con técnica de bolsillo*
Universitas Odontológica, vol. 37, núm. 78, 2018
Pontificia Universidad Javeriana

Recepción: 07 Julio 2017
Aprobación: 18 Enero 2018
Publicación: 18 Junio 2018
Resumen: Antecedentes: Las técnicas de manejo de tejidos blandos para aumentar rebordes alveolares atrofiados incluyen el uso de injertos de tejido conectivo, con collar de epitelio o sin este, y técnicas en rollo. Algunas veces generan complicaciones postoperatorias. Objetivo: Describir el caso de una paciente a la que se le realizó aumento de reborde alveolar y se produjo una exostosis. Caso clínico: A una mujer de 35 años de edad se le realizó un aumento del reborde alveolar con la técnica de bolsillo en el área del diente incisivo central superior derecho. Se tomó un injerto de tejido conectivo sin collar epitelial del paladar que se trasplantó y cubrió con el colgajo. La paciente regresó siete años después y clínicamente presentaba una aparente exostosis en la zona vestibular del diente tratado que la afectaba estéticamente. Se le realizó osteoplastia para mejorar el contorno y se tomó una biopsia del hueso, cuya histopatología mostró un tejido compatible con hueso alveolar. Conclusiones: La exostosis es una complicación postoperatoria inusual en casos de reborde alveolar que puede tratarse con éxito. Se requiere más investigación sobre dichos efectos.
Palabras clave: aumento de reborde alveolar, cirugía oral, complicación postoperatoria, exostosis, injerto gingival libre, odontología, periodoncia, torus.
Abstract: Background: Soft-tissue treatment techniques for alveolar ridge augmentation include connective tissue grafts, with or without epithelial collar, and roll techniques. Sometimes, there are postoperative complications. Purpose: To describe a case for a female patient who underwent an alveolar ridge augmentation and developed an exostosis. Case description: A 35-year-old female patient underwent an alveolar ridge augmentation procedure through a pocket technique in the upper right central incisor. A connective tissue graft without epithelial collar from the palate was transplanted and covered with the flap. Seven years later the patient returned with an exostosis in the buccal area of the treated tooth that affected her aesthetically. An osteoplasty was performed and a bone biopsy was taken, whose histopathological analysis showed a bone-compatible tissue. Conclusion: Exostosis is an unusual postoperative complication in cases of alveolar ridge augmentation that can be successfully treated. More research is necessary about such complications.
Keywords: alveolar ridge augmentation, dentistry, exostosis, free gingival graft, oral surgery, periodontics, postoperative complication, torus.
Introducción
Las exostosis y el torus son lesiones que se presentan en los maxilares como prominencias compactas (1), la mayoría de las veces asintomáticas, recubiertas por mucosa de aspecto sano en las superficies vestibulares y linguales o palatinas de los maxilares. Desde la década de los sesenta, diferentes autores trataron de definir el torus desde el punto de vista clínico e histopatológico; mientras que hacia 1950 lo hacían de acuerdo con su localización (2). Autores como Shafer y colaboradores y Stafne, en los años ochenta, definieron el torus como protuberancias o exostosis localizadas en la región bucal (3). Otros autores, como Antoniades y colaboradores (4) coinciden en que los torus son excrecencias no neoplásicas que se pueden localizar en los maxilares y provienen del mismo hueso. Aunque su etiología es desconocida, se han formulado diferentes teorías multifactoriales, pero no excluyentes, que explican la naturaleza genética en la formación de estas excrecencias óseas (5). Los torus tienen mayor incidencia en mujeres durante la tercera década de vida en una proporción de 2:1. Los casos en niños son raros (6).
Los torus se clasifican según su tamaño, localización y número. Los pequeños alcanzan tamaños no mayores de 3 mm, los medianos oscilan entre 3 mm y 5 mm y los grandes presentan tamaños mayores de 5 mm (7). Según su localización, pueden ser palatinos, mandibulares o múltiples (8). Los torus palatinos son protuberancias óseas de crecimiento lento y base plana, que pueden observarse en la línea media del paladar duro en forma de elevaciones en los márgenes de la apófisis palatina, a la altura de la sutura media del paladar, y que afectan ambos lados de dicha sutura (9). Los torus mandibulares, por su parte, se observan en la superficie lingual de la mandíbula en la zona de los premolares. Las exóstosis múltiples se presentan en la superficie bucal del maxilar y de la mandíbula, por debajo del pliegue mucobucal en la región molar. Según su forma, los torus se han clasificado en cuatro grandes grupos: a) planos, que se presentan como una suave convexidad simétrica y base amplia; b) fusiformes, más pronunciados y a veces con un surco en la línea media; c) nodulares, que muestran varias protuberancias con base individual; y d) lobulares, con una base amplia y común para los diferentes lóbulos. De acuerdo con el número, los torus pueden ser únicos, múltiples, unilaterales y bilaterales (10).
Histopatológicamente, los torus se describen como una excrecencia nodular exofítica del hueso cortical denso y un centro de hueso esponjoso en el cual se pueden observar zonas calcificadas que forman bandas delgadas y separadas por espacios ocupados de médula ósea. Según Seah (7), en un corte transversal de un torus palatino grande se pueden observar varias capas: nasal compacta, esponjosa y bucal. Entre tanto, en los torus pequeños estas capas tienden a estar fusionadas. La capa de tejido esponjoso en los torus palatinos se desarrolla a expensas de la sutura media palatina y en los torus mandibulares esta capa solamente se podrá observar cuando tengan gran tamaño (11).
Después de realizar injertos gingivales libres, es posible observar la formación de torus o exostosis en las áreas en las cuales se realizaron dichos injertos (12,13). Las alternativas para aumentar el reborde alveolar (14,15,16,17) incluyen una técnica en rollo y sus variantes clínicas: técnica de bolsillo (18), técnica inlay o interposicional (19), técnica onlay (20) y técnica combinada, las cuales se escogen de acuerdo con los objetivos del procedimiento, la zona que se va a injertar, el tipo y grado de defecto de reborde alveolar presente y la disponibilidad de tejido donante (21).
Este artículo presenta un caso de exostosis, que surgió siete años después de aumentar un reborde alveolar con técnica de bolsillo en un diente incisivo central superior derecho. Con el fin de documentar el caso, se efectuó una revisión extensa de la literatura que no mostró reportes de exostosis formadas después de ejecutar técnicas de injerto de tejido conectivo. Se han informado pocos casos de exostosis luego de usar un injerto gingival libre, pero no con injertos de tejido conectivo.
Descripción de caso clínico
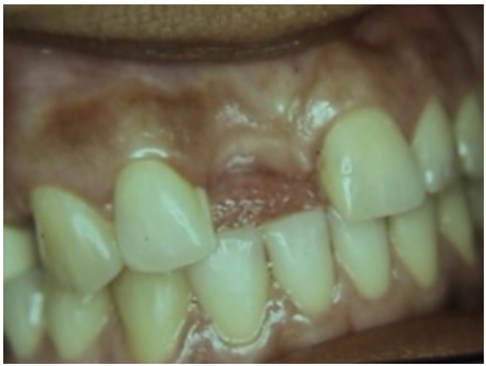
Se presentó a la consulta una mujer de 35 años de edad, sin antecedentes médicos relevantes, quien fue remitida por el rehabilitador oral para corregir una atrofia del reborde alveolar tipo I moderada en la zona del diente 11 (nomenclatura dígito 2). El tratamiento incluía realizar un puente Maryland, prótesis fija adhesiva que se sujetaría en la superficie interna de los dientes, para evitar preparar los dientes pilares o de soporte, pues la paciente descartó la colocación de un implante o la preparación de los dientes adyacentes (figura 1).

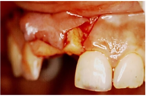
El defecto que presentaba la paciente requirió aumento del grosor más no de la altura del reborde alveolar, por lo que se decidió realizar una técnica de bolsillo (22). El procedimiento quirúrgico consistió en la preparación del receptor mediante una incisión horizontal paracrestal palatina de la zona mesial del 12 a la zona mesial de 21, incluyendo la papila interdental, con incisiones relajantes hechas en ángulo en mesial del 21 y el 12, y elevación de un colgajo mucoso. Luego se tomó un injerto conectivo sin collar de epitelio del sitio donante palatino derecho. Para esto, se realizó una incisión horizontal a 2 mm del margen gingival palatino de mesial del 16 a distal del 13; se elevó la tapa epitelial palatina sin incisiones relajantes. El objetivo de los cortes era poder tomar el injerto de tejido conectivo, los cuales son un corte horizontal interno apical y dos cortes verticales internos mesial y distal. Se procedió a tomar el injerto de tejido conectivo sin collar de epitelio, el cual se dejó dentro del sitio receptor mientras se realizó la sutura del sitio donante palatino (figura 2).

Luego se suturó el injerto dentro del sitio donante y el colgajo se desplazó coronalmente para cubrir la totalidad del injerto (figura 3). Se dieron las instrucciones a la paciente después del procedimiento que incluían: medicación con nimesulida de 100 mg durante 3 días y enjuagues con clorhexidina al 0,12 % durante una semana.

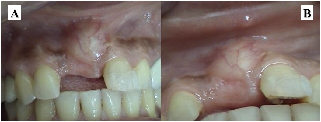
Se realizó el control y retiro de los puntos de sutura 10 días después del procedimiento. En el paladar y en el sitio receptor se observó una cicatrización sin complicaciones. Se retiraron los puntos de sutura. La paciente asistió a controles durante el primer año. Regresó a consulta a los siete años y presentaba clínicamente un sobrecrecimiento redondeado de aproximadamente 1 cm de diámetro, consistencia dura, color rosado pálido, sin signos de inflamación gingival y compatible con exostosis en el sitio donde se colocó el injerto. La paciente refirió que dicho crecimiento se fue dando con el paso del tiempo y que la afectaba estéticamente (figura 4).

a) imagen vestibular. b) imagen oclusal
Fuente: elaboración propia.Después de la firma del consentimiento informado por parte de la paciente, se le realizó una osteoplastia, a fin de tomarle una muestra para analizarla histopatológicamente y mejorar la estética de la zona. Se realizó una incisión paracrestal del 12 al 22 con incisiones relajantes mesial y distal, se elevó un colgajo mucoperióstico y se encontró un tejido duro de aspecto similar al hueso. Con la osteoplastia de la zona afectada se redujo el tamaño de la lesión y se tomó una biopsia tanto del área de la exostosis como del tejido blando, las cuales se enviaron a análisis histopatológico. Se remitieron cuatro fragmentos de 1,5 cm de tejido óseo de aspecto sano y cuatro fragmentos del tejido blando de 0,3 cm × 0,6 cm. Se encontró que el tejido óseo presentaba cambios de hiperostosis consistentes en aumento del grosor de la capa de hueso compacto y de la densidad del hueso trabecular, sin ninguna evidencia de transformación maligna, y compatible con exostosis ósea. El tejido blando tenía tejido epitelial y conectivo de aspecto normal (figura 5).

Tinción: hematoxilina y eosina. Aumento: 400X
Fuente: elaboración propia.La paciente continuó asistiendo a citas de control y a la fecha de escritura de este reporte no mostraba signos de recidiva de la exostosis.
Discusión
En este artículo se reporta un caso en el cual se le realizó a una mujer un aumento del reborde alveolar por medio de la técnica de bolsillo (23) y siete años después se evidenció clínica e histológicamente la formación de una exostosis. Se han informado algunos casos de exostosis luego de realizar un injerto gingival libre, pero no con injertos de tejido conectivo. El primer reporte encontrado se trató de dos casos de Pack y colaboradores (23). En el primero, el injerto se había realizado en 1977 en el diente 34. Se eliminó y presentó recidiva a los tres meses. El segundo caso también realizó en 1977 y hasta el seguimiento en 1985 no había irregularidades, pero aumentó de tamaño y se tornó en un torus lingual. Luego, Otero y colaboradores (24) reportaron nueve casos de exostosis asociados a injertos gingivales libres, de los cuales la mayor parte eran bilaterales, comúnmente se presentaban torus linguales y estaban asociados a casos de bruxismo (24). Más recientemente, Echevarría y colaboradores (25) publicaron un caso de una exostosis ósea vestibular de los dientes 33 y 34 donde se había colocado un injerto gingival libre.
Pasquinelli (26) realizó una reducción quirúrgica y análisis histológico del fragmento extraído de una exostosis. Los resultados estéticos de la reducción fueron satisfactorios y el análisis histológico mostró presencia de hueso maduro rodeado por un tejido conjuntivo denso y tejido gingival con acantosis y fibrosis. Este autor argumentó que el desarrollo de exostosis luego de un injerto gingival libre puede considerarse un efecto imprevisible y poco frecuente de este procedimiento. La mayoría de estas exostosis aparece en el área premolar. La etiología de la exostosis es desconocida, aunque se cree que tiene factores predisponentes de tipo genético, nutricional y de fuerzas masticatorias excesivas. Su tratamiento es la recesión quirúrgica (8).
Conclusión
En el presente artículo se describió un caso de exostosis siete años después de haberse realizado un aumento del reborde alveolar con la técnica de bolsillo en un diente incisivo central superior derecho. Se encontró un aspecto histológico similar al hueso alveolar, diferente a otros reportes en los que se formó exostosis, por la colocación de injertos gingivales libres con técnicas de cubrimiento radicular o aumento gingival, que tenían una porción de epitelio. En este caso se efectuó una técnica de aumento del reborde alveolar, por medio de la toma de un injerto de solo tejido conectivo, sin collar de epitelio, el cual se dejó totalmente cubierto por el colgajo.
Referencias
1. Gyovai L, Manzione L. Oral medicine: Patient evaluation and management. Baltimore, MD: Williams and Wilkins; 1980.
2. Suzuki M, Sakai T. A familial study of the torus palatinus and torus mandibularis. Am J Phys Anthropol. 1960; 18: 263-72. https://doi.org/10.1002/ajpa.1330180404
3. Shafer WG, Hine MK, Levy BM. Tratado de patología bucal. 4a ed. México: Interamericana; 2000.
4. Antoniades DZ, Belazi M, Papanayiotou P. Concurrence of torus palatinus with palatal and buccal exostoses: case and review of the literature. Oral Surg Oral Med Oral Pathol. 1998; 85: 552-7. https://doi.org/10.1016/S1079-2104(98)90290-6
5. Nolte A, Schirren CG. Torus mandibularis. Hautarzt. 1997; 48(6): 414-6. https://doi.org/10.1007/s001050050604
6. Pynn B, Kurys-Kos NS, Walker DA, Mayhall JT. Tori mandibularis: A case report and review of the literature. J Can Dent Assoc. 1995; 61: 1057-66.
7. Seah YH. Torus palatinus and torus mandibularis: A review of the literature. Aust Dent J. 1995; 40: 318-21. https://doi.org/10.1111/j.1834-7819.1995.tb04820.x
8. Horning GM, Cohen ME, Neils TA. Buccal alveolar exostoses: Prevalence, characteristics, and evidence for buttressing bone formation. J Periodontol. 2000; 71(6): 1032-42. https://doi.org/10.1902/jop.2000.71.6.1032
9. Shaffer W, Hine M, Levy B, Tomich C. Tratado de patología bucal. 4ª ed. México: Interamericana; 1988.
10. Gorlin T, Golman R. Oral pathology. Madrid: Salvat; 1975.
11. Wood NK, Goaz PW. Differential diagnosis of oral lesions. St. Louis, MO: Mosby; 1991.
12. Gargiulo A, Arrocha R. Histo-clinical evaluation of free gingival grafts. Periodontics. 1967; 5(6): 285-91.
13. Ouhayoun JP, Sawaf MH, Goffaux JC, Etierme D, Forest N. Re-epithelialization of a palatal connective tissue graft transplanted in a non-keratinized alveolar mucosa: A histological and biochemical study in humans. J Period Res. 1988; 23(2): 127-33. https://doi.org/10.1111/j.1600-0765.1988.tb01345.x
14. Abrams L. Augmentation of the deformed residual edentulous ridge for fixed prosthesis. Compend Contin Educ Gen Dent. 1980; 1(3): 205-13.
15. Scharf D, Tarnow D. Modified roll technique for localized alveolar ridge augmentation. Int J Periodontics Restorative Dent. 1992; 12(5): 415-25.
16. Barone R, Clauser C, Prato GP. Localized soft tissue ridge augmentation at phase 2 implant surgery: A case report. Int J Periodontics Restorative Dent. 1999; 19(2): 141-5.
17. Gasparini DO. Double-fold connective tissue pedicle graft: A novel approach for ridge augmentation. Int J Periodontics Restorative Dent. 2004; 24(3): 280-7.
18. Burton L, Lawrence JC. The subepithelial connective tissue graft. A new approach to the enhancement of anterior cosmetics. Int J Periodontics Restorative Dent. 1982; 2(2): 22-33.
19. Seibert JS. Reconstruction of deformed, partially edentulous ridges, using full thickness onlay grafts. Part I. Technique and wound healing. Compend Contin Educ Dent. 1983; 4(5): 437-53.
20. Seibert JS. Reconstruction of deformed, partially edentulous ridges, using full thickness onlay grafts. Part II. Prosthetic/periodontal interrelationships. Compend Contin Educ Dent. 1983; 4(6): 549-62.
21. Seibert JS, Louis JV. Soft tissue ridge augmentation utilizing a combination onlay-interpositional graft procedure: a case report. Int J Periodontics Restorative Dent. 1996; 16(4): 310-21.
22. Langer B, Calagna L. The subepithelial graft. A new approach to enhancement of anterior cosmetics. Int J Periodontics Restorative Dent. 1982; 2(2): 23-34.
23. Pack AR, Gaudie WM, Jennings AM. Bony exostosis as a sequela to free gingival grafting: Two case reports. J Periodontol. 1991; 62(4): 269-71. https://doi.org/10.1902/jop.1991.62.4.269
24. Otero-Cagide FJ, Singer DL, Hoover Jay. Exostosis associated with autogenous gingival grafts: A report of 9 cases. J Periodontol. 1996; 67(6): 611-6. https://doi.org/10.1902/jop.1996.67.6.611
25. Echeverria JJ, Montero M, Abad D, Gay C. Exostosis following a free gingival graft. J Clin Periodontol. 2002; 29(5): 474-7. https://doi.org/10.1034/j.1600-051X.2002.290514.x
26. Pasquinelli KL. The histology of new attachment utilizing a thick autogenous soft tissue graft in an area of deep recession: A Case report. Int J Periodontics Restorative Dent. 1995; 3: 98-100.
Notas
Notas de autor
Autor de correspondencia. Correo electrónico: pablomol42@hotmail.com
Información adicional
Cómo citar este artículo: Molano Valencia PE, Yepes Ramírez BI, Londoño Espinosa C. Aparición de exostosis siete años después de un aumento del reborde alveolar con técnica de bolsillo. Univ Odontol. 2018 ene-jun; 37(78). https://doi.org/10.11144/Javeriana.uo37-78.aesa