Práctica Clínica
Molar superior con dos raíces palatinas: descripción de un caso*
Upper Molar with Two Palatine Roots: A Case Description
Molar Superior com Duas Raízes Palatinas: Uma Descrição do Caso
Molar superior con dos raíces palatinas: descripción de un caso*
Universitas Odontológica, vol. 38, núm. 80, 2019
Pontificia Universidad Javeriana

Recepción: 28 Septiembre 2018
Aprobación: 21 Marzo 2019
Resumen: Antecedentes: La morfología radicular en molares superiores presenta menos variabilidad anatómica, sin embargo, es muy importante tener en cuenta que existen alteraciones anatómicas, y que aun no están bien fundamentadas, se asocia a hiperactividad en la vaina epitelial de Hertwig o bien asociados a factores externos durante la odontogénesis. Descripción del caso: El presente artículo relata un caso de un segundo molar superior derecho con pulpitis irreversible sintomática, en el examen radiográfico se observa la existencia de una raíz supernumeraria palatina. Se realizó tratamiento endodontico con ProtaperNext. y se obturó con técnica lateral modificada con ultrasonido. Conclusión: Los molares con raíces supernumerarias requieren del conocimiento y experiencia del clínico para integrar los métodos de diagnóstico tales como exámenes radiográficos, tomográficos, de microscopía así como técnicas para el tratamiento endodóntico.
Palabras clave: alteraciones del desarrollo, dos raíces palatinas, número de conductos, raíces supernumerarias, variaciones anatómicas.
Abstract: Background: Radiographic examination in upper molars is often deficient in order to diagnose abnormalities in the root canal system and to be able to choose the ideal treatment. Description of the case: This article shows the clinical case of a second right upper molar with symptomatic irreversible pulpitis. An accessory root on the palatal is observed in a radiographic examination. A therapy of the canal was carried out with ProtaperNext . and the sealing was made by cold lateral condensation with ultrasonic condensation. Conclusión: It is very important to know the root canal system morphology of the tooth to be treated in order to offer the patient an adequate treatment.
Keywords: development alterations, morphological variations, number of root canals, supernumerary roots, two palatal roots.
Resumo: Antecedentes: O exame radiográfico em molares superiores é frequentemente deficiente para diagnosticar anormalidades no sistema de canais radiculares e para poder escolher o tratamento ideal. Descrição do caso: Este artigo mostra o caso clínico de um segundo molar superior direito com pulpite irreversível sintomática. Uma raiz acessória no palato é observada em um exame radiográfico. A terapia do canal foi realizada com ProtaperNext ® e a vedação foi feita por condensação lateral fria com condensação ultra-sônica. Conclusão: É muito importante conhecer a morfologia do sistema de canais radiculares do dente a ser tratado, a fim de oferecer ao paciente um tratamento adequado.
Palavras-chave: alterações de desenvolvimento, duas raízes palatinas, número de canais radiculares, raízes supranumerárias, variações morfológicas.
INTRODUCCIÓN
La odontogénesis es el resultado de la interacción entre el epitelio oral y el tejido mesenquimático, por lo que las anomalías dentales, tales como anomalías de tamaño, número y de forma, incluyen también alteraciones en el número de raíces, lo que presupone que esta variabilidad es debida a una hiperactividad en la vaina epitelial de Hertwig y una degradación patológica en dicha vaina, produciendo una invaginación en la papila dental formandose así una raíz accesoria(1); por lo que el éxito del tratamiento de conductos radiculares se afecta de manera directa en este tipo de alteraciones (2).
La morfología radicular presenta más variabilidad anatómica que la coronaria, el hallazgo de raíces supernumerarias, en cuanto al tamaño y forma pueden ser completamente normales, o en algunas ocasiones, rudimentarias a modo de apéndice, lo que implica un reto para el diagnóstico endodóntico (3,4). Libfeld y Rostein (1989) (5), examinaron 1200 molares y encontraron una incidencia del 0.4 %; los clasificaron de acuerdo a la forma y la separación de raíces en tres tipos. El tipo I las raíces palatinas muy divergentes y largas, mientras las raíces vestibulares en forma de cuerno de vaca; observandose cuatro ápices radiculares en la radiografía, el tipo II son raíces cortas y separadas y el tipo III las raíces mesio-vestibular, mesio-palatina y disto-palatina se encuentran circunscritas en una red de dentina.
La etiología de las raíces supernumerarias no esta bien esclarecida, se cree que puede deberse a factores externos durante la odontogénesis o a la penetración de un gen atávico que se desconoce su origen exacto (6). Diversos autores sugieren (7-9), que un diagnóstico clínico y radiográfico correcto, basado en el conocimiento de la anatomía radicular y la interpretación crítica de las radiografías, es necesario para un tratamiento endodóncico más seguro y exitoso de estos dientes. El objetivo de este artículo es describir un caso de variantes anatómicas en los molares superiores permanentes.
DESCRIPCIÓN DEL CASO CLÍNICO
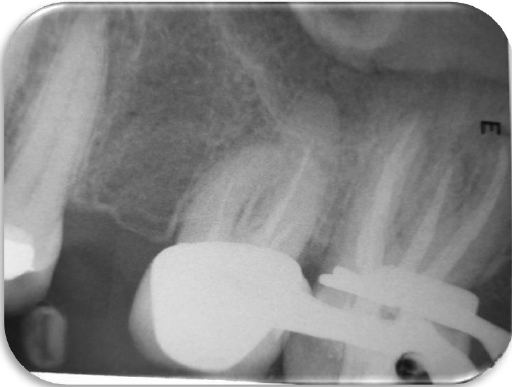
Paciente femenino de 51 años de edad, acude a la clínica de odontología de la Escuela Nacional de Estudios Superiores, Unidad León, UNAM; quien refiere padecer diabetes tipo II controlada farmacológicamente. Es referida a la clínica de profundización de endodoncia y periodoncia donde se realizó examen clínico y radiográfico del diente 17, observándose una restauración con resina mal ajustada y caries (Figura 1).

Se realizaron pruebas de sensibilidad pulpar tanto con frío y calor, las cuales resultaron positivas, localizada e incrementaba la molestia; en las pruebas periodontales fueron negativas por lo que se diagnosticó como pulpitis irreversible sintomática con periápice sano.
Una vez anestesiada la paciente con lidocaína al 2 % 1:10000 (ZEYCO, USA), se aisló con dique de goma y se realizó el acceso con fresa de carburo de bola #4 (SS-White, USA). Se localizaron 4 conductos con ayuda del DG16 (Hu-Friedy, USA), los conductos estaban bien definidos en el piso pulpar, uno para cada raíz; se realizó instrumentación biomecánica con sistema rotatorio ProtaperNext. (Dentsply Maillefer, Switzerland) e irrigación constante y abudante con Hipoclorito de Sodio al 5.25 %. (Figura 2)

Se estableció la conductometría real de los cuatro conductos usando el localizador electrónico de forámenes apicales Root Zx II J. Morita. (MFG Corp, Japan) así como la verificación radiográfica. (Fig. 3 A, B) En este punto podemos clasificar el diente con dos conductos vestubulares uno MV y DV y dos conductos palatinos MP y DP.

Se realizó protocolo final de irrigación con Hipoclorito de Sodio al 5.25 % activándolo con el ultrasonido (NSK Varios 370, Japan) y la punta #30 del Endo Kit E12 (NSK, Japan). La obturación se realizó utilizando cemento sellador Sealepex (SybronEndo Kavo Kerr, USA) con técnica lateral modificada con ultrasonido (NSK Varios 370, Japan) y la punta #30 del Endo Kit E12 (NSK, Japón) (Figuras 4 y 5).
DISCUSIÓN


Existen pocos reportes de la literatura de la presencia de segundos molares superiores con dos raíces palatinas, por lo que el presente caso entra en la estadística reportada por los autores. Se
sabe que la proteína morfogenética ósea 4 (BMP-4) desempeña un papel importante durante el desarrollo embrionario de los dientes y huesos, sin embargo, nunca se ha evaluado la asociación de estos polimorfismos con raíces supernumerarias (6). Libfeld H., Rostein I (5) mostraron una incidencia de solo el 1.4% de los molares superiores con dos raíces palatinas.
La terapia endodóntica posee importantes postulados, es impresindible estar concientes y reconocer las variantes anatómicas, para tener un manejo adecuado de las alteraciones, se pueden trabajar con preparación rotatoria o bien tratamiento endodóntico convencional, siempre y cuando se respeten los principios biológicos y técnicos (10). En el presente caso el acceso se realizó de forma trapezoidal, debido a que al realizar el acceso el Rostrum Canalium era muy evidente, y nos mostraba el camino a un conducto distopalatino, sin embargo, Sanchez y cols (2014) (11), menciona la ultilización de radiografias en diferentes ángulos, el uso de exploradores de conductos, la localización de puntos hemorrágicos, tincion de la cámara pulpar, o bien el uso de puntas ultrasónicas son indispensables durante el acceso endodóntico. Deacuerdo con la clasificación de Christie y cols (1991) (7) corresponde al tipo I, tomando en cuenta la forma y la separación radicular. El uso de localizador apical fue determinante ya que debido a la superposición de las raíces en las radiografías era más complicado determinar una correcta longitud de trabajo.
La desinfección del sistema de conductos radiculares se realizó con hipoclorito de sodio al 5.25%; Gulabilava en 2001 (12), se menciona que la desinfección en altas concentraciones, activado de manera manual, ó con auxiliares como el ultrasonido, es muy importante para lograr una terapia endodóntica correcta.
CONCLUSIÓN
Es necesario conocer la anatomía del sistema de conductos radiculares, antes de realizar un tratamiento, ya que estamos expuestos a encontrarnos con anatomías de caracteristicas únicas, por lo que cuando hay sospecha de variantes anatómicas será importante hacer uso de diversos auxiliares de diagnóstico.
REFERENCIAS
1. Ferraris MEG, Muñoz AC. Histologia, embriologia e ingeniería tisular bucodental/histology, embryology and oral tissue engineering. 3a ed. Buenos Aires, Argentina: Panamericana; 2010.
2. Baratto-Filho, L.F. Fariniuk, E.L. Ferreira, J.D. Pecora, A.M. Cruz-Filho, M.D. Sousa-Neto Clinical and macroscopic study of maxillary molars with two palatal roots Int Endod J. 2002; 35: 796-801.
3. Ferreira CM, Moraes IG, Bernardineli N. Three-rooted maxillary second premolar. J Endod. 2000; 26: 105-6
4. Velmurugan N, Parameswaran A, Kandaswamy D, Smitha A, Vijayalakshmi D, Sowmya N. Maxillary second premolar with three roots and three separate root canals-case reports. Aust Endod J. 2005 Aug; 31(2): 73-5.
5. Libfeld H., Rostein I Incidence of four-rooted maxillary second molars: Literature review and radiographic survey of 1,200 teeth. J Endod.1989; 15(3): 129-31.
6. Chi-Tsung W, Shin-Chie W. Bone Morphogenetic Protein-4 rs17563 T/C Gene Polymorphism with Radix Entomolaris of Mandibular First Molars in the Taiwanese Population. J Med Sci. 2013; 33(2): 61-5.
7. Christie WH, Peikoff MC, Fogel HM. Maxillary molars with two palatal roots: a retrospective clinical study. J Endod. 1991; 17: 80-4.
8. Barros DB, Guerreiro Tanomaru JM, Tanomaru-Filho M. Root canal treatment of three-rooted maxillary second premolars: report of four cases. Aust Endod J. 2009 Aug; 35(2): 73-7.
9. Vertucci FJ. Root canal anatomy of the human permanent teeth. Oral Surg. 1984; 58(5): 589- 99.
10. Hartwell G, Bellizzi R. Clinical investigation of in vivo endodontically treated mandibular and maxillary molars. J Endod. 1982 Dec; 8(12): 555-7.
11. Sánchez-Salas OI, Jiménez-Valdés BI, Gómez-Pizano E. Primer molar superior con dos raíces palatinas: reporte de un caso. Rev Endod Actual. 2014; 9(1): 16-20.
12. Gulabivala K, Aung TH, Alavi A, Ng YL. Root and canal morphology of Burmese mandibular molars. Int Endod J. 2001 Jul; 34(5): 359-70.