Práctica Clínica
¿Displasia fibrosa o fibroma osificante? Caracterización histológica de dos casos inusuales*
Fibrous Dysplasia or Ossifying Fibroma? Histological Characterization of Two Unusual Cases
Displasia fibrosa ou fibroma ossificante? Caracterização histológica de dois casos incomuns
¿Displasia fibrosa o fibroma osificante? Caracterización histológica de dos casos inusuales*
Universitas Odontológica, vol. 38, núm. 81, 2019
Pontificia Universidad Javeriana

Recepción: 06 Mayo 2019
Aprobación: 03 Diciembre 2019
Resumen: Antecedentes: La displasia fibrosa y el fibroma osificante son patologías benignas que generalmente no presentan sintomatología dolorosa, son poco frecuentes y afectan el tejido óseo. Producen alteraciones estéticas y funcionales, motivo por el cual consultan los pacientes. Objetivo: Describir los desórdenes celulares característicos de la displasia fibrosa y el fibroma osificante, así como su relación con las formas clínicas y otras variables histopatológicas que constituyen un reto para el patólogo oral y el clínico. Descripción de los casos: Se presentan dos casos clínicos de pacientes adultos, hombre y mujer, que acudieron a la Unidad Estomatológica y asintomáticas y unilaterales que comprometían la estética de los pacientes. Se describen sus características clínicas, radiográficas e histológicas. Conclusión: La displasia fibrosa y el fibroma osificante son alteraciones óseas benignas similares que requieren diagnóstico diferencial a fin de establecer tratamientos idóneo y específicos.
Palabras clave: anomalías maxilomandibulares, diagnóstico, diagnóstico diferencial, displasia fibrosa, displasia fibrosa monostótica, estomatología, fibroma osificante, histología, medicina oral, odontología, práctica clínica.
Abstract: Background: Fibrous dysplasia and ossifying fibroma are benign pathologies that generally have no painful symptoms, are rare, and affect bone tissue. They produce aesthetic and functional alterations, which is why patients consult. Purpose: To describe the cellular disorders characteristic of fibrous dysplasia and ossifying fibroma, as well as their relationship with clinical forms and other histopathological variables that constitute a challenge for the oral pathologist and the clinician. Description of the cases: Two cases of adult patients, male and female, who attended the Stomatology and Oral Surgery Unit of the University of Cartagena in Colombia, are described. The patients shoed facial, asymptomatic, and unilateral asymmetries that compromised patients’ aesthetics. Clinical, radiographic, and histological characteristics are described. Conclusion: Fibrous dysplasia and ossifying fibroma are similar benign bone disorders that require differential.
Keywords: clinical practice, dentistry, diagnosis, differential diagnosis, fibrous dysplasia, histology, maxillomandibular abnormalities, monostotic fibrous dysplasia, oral medicine, ossifying fibroma, stomatology.
Resumo: Antecedentes: A displasia fibrosa e o fibroma ossificante são patologias benignas que geralmente não apresentam sintomas dolorosos, são raras e afetam o tecido ósseo. Eles produzem alterações estéticas e funcionais, razão pela qual os pacientes consultam. Objetivo: Descrever os distúrbios celulares característicos da displasia fibrosa e do fibroma ossificante, bem como sua relação com as formas clínicas e outras variáveis histopatológicas que constituem um desafio para o patologista e o clínico. Descrição dos casos: São descritos dois casos de pacientes adultos, homem e mulher, atendidos na Unidade de Estomatologia e Cirurgia Oral da Universidade de Cartagena, na Colômbia. Os pacientes tiveram assimetrias faciais, assintomáticas e unilaterais que comprometiam a estética dos pacientes. Características clínicas, radiográficas e histológicas são descritas. Conclusão: A displasia fibrosa e o fibroma ossificante são desordens ósseas benignas semelhantes, que requerem diagnóstico diferencial para estabelecer tratamentos adequados e específicos.
Palavras-chave: anormalidades maxilomandibulares, diagnóstico, diagnóstico diferencial, displasia fibrosa, displasia fibrosa monostótica, estomatologia, fibroma ossificante, histologia, medicina oral, odontologia, prática clínica.
INTRODUCCIÓN
Las lesiones fibróseas benignas del macizo craneofacial representan un grupo de alteraciones en donde existe remplazo de hueso normal por tejido conectivo fibroso. Aun cuando presentan características clínicas diferentes sus características radiográficas e histológicas son similares y de ello depende su pronóstico y tratamiento. Entre las lesiones fibróseas más comunes están la displasia fibrosa (DF) y el fibroma osificante (1). La DF es un proceso reactivo en el que se produce una sustitución del tejido óseo por tejido conectivo amorfo. Existen variantes de la DF entre las cuales la monostótica es las más frecuente. En el 60 % de los casos afecta el área craneofacial, principalmente los huesos maxilar superior, maxilar inferior, frontal, esfenoidal, etmoides, parietal y occipital, en orden de frecuencia. La variante poliostótica de la DF se presenta el 30 % de los casos, más comúnmente en pacientes mujeres, entre la segunda y cuarta décadas de la vida, de raza negra, asociada a trauma y con una incidencia de malignización de 0,4 % a 4 % (2). Etiológicamente, la DF tiene origen genético con un patrón no hereditario. Es inducida por mutaciones en el gen GNAS1, localizado en el cromosoma 20q13 de la subunidad alfa de las proteínas G, dentro de las células somáticas durante la embriogénesis. Ello ocasiona un incremento del adenilato ciclasa, cuya alta concentración conduce a la formación de una matriz fibrosa, inmadura y desorganizada que da lugar al tejido fibroso de la displasia (3).
Por otra parte, el fibroma osificante (FO) es un tumor mesenquimatoso osteogénico benigno, originado del ligamento periodontal, es intraóseo, suele ser asintomático, su comportamiento es agresivo, suele ser de gran tamaño, destruye significativamente el hueso afectado y tiende a reincidir en el 30 % al 58 % de los casos (4). Algunos autores relacionan la aparición del FO con factores irritantes, placa bacteriana y cálculos subgingivales. Puede también estar asociado a factores traumáticos, teniendo en cuenta que se trata de una lesión periodontal (5).
Clínicamente, la DF presenta un crecimiento continuo del hueso que se encuentra afectado, es asintomática, comúnmente se localiza en la región anterior de la mandíbula involucrando 2 o 3 dientes incisivos inferiores en la porción apical. Presenta deformidad facial y estética en la gran mayoría de los casos. Por todo lo anterior, es importante llevar a cabo estudios imagenológicos mediante los cuales se puede hallar la lesión en diferentes estadios: matriz no calcificada (radiolúcido), cementoblástico (mixto) y maduro (radiopaco). La radiografía convencional y la tomografía computarizada (TC) son las más utilizadas e indicadas para estas lesiones (3). En cuanto al FO, clínicamente se observa expansión y adelgazamiento de las corticales con desplazamiento de estructuras vecinas, consistencia dura, mayor frecuencia en la mandíbula, la región molar y premolar, aislado de dientes y agrandamiento rápido de la estructura ósea afectada. En algunos casos, principalmente en niños, hay sintomatología dolorosa secundaria a la expansión. Radiográficamente se observa una lesión mixta, uni o multilocular, bien circunscrita, con bordes bien definidos y delimitados, con aspecto de vidrio esmerilado, no encapsulada y de bordes definidos. Las técnicas imagenológicas de elección son la radiografía panorámica y la TC (6).
Desde el punto de vista histológico, la DF presenta trabéculas óseas delgadas desorganizadas de hueso inmaduro en el estroma fibrocelular, donde se observan osteoblastos inmaduros dispersos de modo irregular en la periferia trabecular, no conectados entre sí, de forma curva y con un patrón de “letras chinas” (2). El FO presenta fibras de colágeno con fibroblastos no atípicas, con una capsula y calcificaciones. Se observan trabéculas finas, curvilíneas e irregulares de hueso esponjoso inmaduro, aunque también se puede encontrar hueso laminar, todo ello en un estroma celular fibroso en donde se encuentran células gigantes multinucleadas. Los subtipos histológicos se diferencian en que el tipo psammomatoideo presenta cuerpos esféricos muy pequeños de tejido calcificado, mientras que el trabecular posee tejido osteoide fibrilar laxo (3,7).
El diagnóstico en ambas entidades no sólo depende de la clínica sino también del análisis radiográfico, principalmente en la TC. Además, la biopsia es indispensable para confirmar el diagnóstico, pues son entidades que pueden confundirse fácilmente con otras patologías como el querubismo, el granuloma de células gigantes, el quiste óseo aneurismático, el cementoma gigante, el ameloblastoma y la displasia ósea florida (1).
Si se trata de una lesión pequeña cuyo crecimiento se ha estabilizado, lo más factible es que no requiera tratamiento. Por lo tanto, se confirmará el diagnóstico y se controlará el paciente periódicamente, dependiendo de su localización y edad (2). Por otra parte, si se trata de lesiones deformantes que dan lugar a incomodidad estética y funcional, el tratamiento consiste en curetaje y decorticación ósea, procedimiento que genera buenos resultados. Sin embargo, existe la posibilidad de recidiva (8).
El objetivo de este trabajo es describir los desórdenes celulares característicos de 2 casos, uno de DF y otro de FO en la hemiarcada inferior izquierda, así como su relación con las formas clínicas y otras variables histopatológicas que a menudo son un reto para el patólogo oral y el clínico.
DESCRIPCIÓN DE LOS CASOS
Caso 1
Se trata del caso de un paciente hombre de 25 años edad quien acudió al Servicio de Estomatología y Cirugía Oral, remitido por el servicio de Ortodoncia, de la Facultad de Odontología de la Universidad de Cartagena en Cartagena Colombia, por presentar asimetría facial en su hemiarcada inferior izquierda. Al examen clínico extraoral se observó un tipo craneal mesocéfalo con tercios faciales desproporcionados y un perfil facial ligeramente convexo. Al examen clínico intraoral, se observó un tumefacción localizada en sector posteroinferior izquierdo de aproximadamente 9 * 1 * 0,5 cm aproximadamente, que comprometía desde el canino inferior izquierdo el hasta tercer molar inferior izquierdo, del mismo color de la mucosa, con consistencia pétrea, sintomática a la palpación, de tiempo de evolución desconocido y cuya etiología se asoció a tejido fibróseo (figura 1).

En la radiografía panorámica se observaron estructuras óseas difuminadas en el sector posteroinferior izquierdo mandibular con una lesión radiolúcida, bien circunscrita, en un espacio de 3,8 * 6,3 cm, con presencia de radiopacidades centrales, encapsulada y de bordes definidos. Se distinguían los dientes permanentes formados y levemente desplazados hacia lingual. En el análisis tomográfico se evidenció imagen hiperintensa localizada en el tercio apical del segundo premolar inferior izquierdo, de aproximadamente 3 cm de diámetro, rodeada por una zona hipointensa con compromiso de la tablas mandibulares (figura 2).

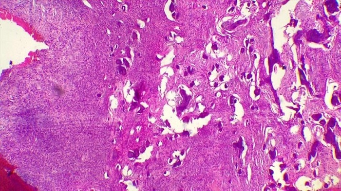
Previo consentimiento informado firmado por el paciente, se llevó a cabo biopsia incisional de lesión descrita que mostró tejido conectivo con fibrosis marcada, presencia de fibloblastos reactivos, áreas de microcalcificaciones y trabéculas óseas irregulares con tejido conectivo laxo.
El diagnóstico en primera instancia fue fibroma osificante, no obstante, por las características clínicas y radiográficas, se decidió hacer nuevo estudio histopatológico que reflejó estroma fibroso denso en el cual se hallaban inmersas células fusiformes distanciadas, de aspecto quiescente, que formaban por metaplasia estructuras calcificadas de morfología esferoidal, que tuvieron como diagnóstico displasia fibrosa. Por tal razón, se decidió llevar a cabo decorticación ósea por el aumento de tamaño y seguir la evolución del caso. El primer control clínico-radiográfico se realize 1 mes después de la cirugía y no mostró signos que sugieran recurrencia. Asimismo, el último control a los 3 meses fue negativo en cuanto a recurrencia de la lesión.
Caso 2
Una paciente mujer de 43 años de edad acudió al Servicio de Estomatología y Cirugía Oral de la Facultad de Odontología de la Universidad de Cartagena por presentar tumefacción en el cuerpo de la mandíbula izquierda que ocasionaba incomodidad estética y funcional a la paciente. El paciente parecía estar en entes buenas condiciones de salud general y sin compromiso de tipo sistémico. Al examen clínico extraoral se observó una asimetría localizada en la región mandibular izquierda que no limitaba la apertura oral. Durante el examen intraoral se identificó una lesión tumoral de consistencia pétrea, ubicada en la zona posteroinferior izquierda que abarcaba desde el primer molar hasta el segundo premolar. Tenía aproximadamente 5 cm de diámetro y mostraba pérdida de la continuidad de la cortical vestibular y lingual. La mucosa de recubrimiento se encontraba sana, era asintomático a la palpación, tenía un tiempo de evolución aproximado de 7 meses y su etiología era desconocida. La vitalidad pulpar de los dientes afectados era positiva.
En la radiografía panorámica se observó una lesión mixta difusa en el cuerpo de la mandíbula al lado izquierdo. No estaba bien circunscrita en la zona del primer molar inferior izquierdo. Presentaba rizólisis de las raíces mesial y distal y desplazamiento del segundo premolar inferior izquierdo con un halo radiolúcido de 0,5 cm por distal y mesial de la lesión tumoral. Por otra parte, en la TC se observó una zona hiperintensa en los tercios medio y apical de primer molar inferior izquierdo acompañado de rizólisis (figura 3A y 3B).

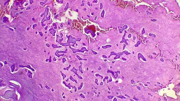
Previo a la realización del tratamiento, se obtuvo el consentimiento informado del paciente y se realizó una biopsia incisional de la lesión. El estudio histopatológico identificó una lesión tumoral fusocelular y tejido conectivo denso con un patrón esteriforme que rodeaba trabéculas óseas con una palizada de osteoblastos, con calcificaciones y tejido osteoide, moderadamente celular y sin clara atipia. La lesión estaba acompañada de células gigantes y áreas de hemorragia que sugerían un FO de la variante juvenil (figura 4).

Se decidió eliminar la lesión, extraer los dientes comprometidos (segundo premolar y primer molar inferiores izquierdos) y efectuar remodelado. Para comprobar la exéresis total de la lesión (figura 5) se tomó una radiografía y se envió nuevamente a análisis de patología, cuyos cortes mostraron una lesión fibrósea benigna constituida por numerosas trabéculas óseas curvilíneas, con apariencia de “letras chinas”, sin recubrimiento osteoblástico e inmersas en un estroma de tejido fibroso moderadamente celular, sin atipias. El diagnóstico fue DF (figura 6).


Por tal razón, se decidió solicitar análisis inmunohistoquímico que mostró ausencia de reactividad en los marcadores de citoqueratina AE1-AE3, P63, S100, con un índice de proliferación celular (KI67), en el que los hallazgos morfológicos mostraron una lesión fibrósea constituida por un componente fusocelular con tejido conjuntivo fibroso con variable grado de celularidad y trabéculas óseas, algunas de apariencia inmadura, y formación de especie de glóbulos acelulares de apariencia semejante al cemento, lo que dio lugar a una lesión fibrósea sin atipia. En el control posoperatorio se observó mejoría de la simetría facial y cicatrización de tejidos blandos. En el control más reciente a un año se identificó regeneración ósea casi en su totalidad, sin alteraciones estructurales, ni cambios óseos.
DISCUSIÓN
La DF es una lesión reactiva benigna que puede ser monostótica o poliostótica. A diferencia del FO, que es una verdadera neoplasia benigna, aunque ambas de crecimiento lento y asintomático, la DF se manifiesta con mayor frecuencia en los niños y adolescentes, aún cuando puede presentarse en adultos, como en los casos aquí expuestos (1).
Akashi et al. (9) afirman en su estudio que diagnosticar las lesiones fibróseas, desde el punto de vista radiológico e histopatológico, es de cierta manera complejo. A diferencia de otras lesiones en las que el diagnóstico definitivo se establece histopatológicamente, no ocurre con las patologías aquí descritas. Ellas presentan características clínicas diferentes y sus hallazgos histológicos y radiográficos son similares, lo cual crea puede causar confusión al clínico (9). Los dos casos aquí descritos inicialmente se diagnosticaron como FO. Sin embargo, luego de realizar nuevos análisis patológicos e inmunohistológicos se determinó que eran DF.
Los patrones histológicos de la DF y el FO son similares. Por una parte, la FO muestra un comportamiento agresivo y se localiza principalmente en la mandíbula. La imagen radiográfica es mixta y con márgenes bien definidos. Asimismo, está encapsulada, hecho que sirve para su diagnóstico diferencial. Por otra parte, la DF presenta pequeños grupos de células gigantes multinucleadas. Akashi et al. (9) en una serie de casos de 11 pacientes, hombres y mujeres, con edades entre 15 a 57 años. Diagnosticaron 7 pacientes con DF. Indicaron la dificultad que experimentaron para hacer la diferenciación. El desafío diagnóstico también se presentó en nuestros dos casos. Se trató de un hombre y una mujer y en el rango de edad descrito por Akashi et al.
Es esencial brindar al paciente un correcto diagnóstico realizando una anamnesis completa, examen clínico extraoral e intraoral y ayudas diagnósticas como la radiografía o la tomografía y el análisis histopatológico, ya que de ello depende determinar un pronóstico acertado y tratar adecuadamente las lesiones (10). En muchas ocasiones, la decisión de tratamiento es dilemática, bien sea esta quirúrgica o únicamente controles. Debe ser individualizada y dependerá de factores como la edad y alteraciones funcionales y estéticas del macizo craneofacial. El tratamiento de la DF tiene más fines estéticos, por no ser una neoplasia, mientras que el FO tiene carácter tumoral y un crecimiento autónomo (1).
La elección del tratamiento para ambas entidades se determina principalmente por el remodelado del contorno óseo pues causan deformidades estéticas evidentes. No obstante, en aquellas circunstancias en las que la enfermedad está activa, el tratamiento conservador y expectante es imperativo, pues existe riesgo de recidiva en el 25 % al 50 % de los casos y es más frecuente a edades temprana (11). Algunos autores han estudiado el uso de los bifosfonatos para tratar este tipo de patologías, evaluando el balance riesgo-beneficio porque, si bien disminuye la sintomatología y ayuda al recambio óseo, acarrea una complicación: osteonecrosis, que resulta más grave y presenta mayores complicaciones (12).
CONCLUSIÓN
En los casos aquí descritos de DF y FO, por tratarse de alteraciones óseas benignas, se descartaron otras lesiones fibróseas. El examen clínico y las pruebas complementarias de costumbre no fueron definitivos para llegar al diagnóstico, porque presentaban características radiológicas e histológicas similares a otras entidades. Se llevaron a cabo pruebas complementarias que permitieron llegar a diagnósticos acertados y decisiones terapéuticas apropiadas.
RECOMENDACIONES
Continuar con estudios desde lo macro hasta lo micro, con el apoyo análisis inmunohistoquímico, para garantizar diagnósticos correctos y manejos terapéuticos adecuados.
Consideraciones éticas
Los autores declaran que en este estudio no se realizaron experimentos en seres humanos ni en animales. Asimismo, los autores declaran que siguieron los protocolos de su centro de trabajo sobre la publicación de datos de los pacientes. Por último, los autores obtuvieron los consentimientos informados de los pacientes cuyos casos se describen en este artículos y se encuentran en poder del autor de la correspondencia.
REFERENCIAS
1. Mainville G, Turgeon D, Kauzman A. Diagnosis and management of benign fibro‐osseous lesions of the jaws: a current review for the dental clinician. Oral Dis. 2017; 23(4): 440-50. https://doi.org/10.1111/odi.12531
2. Nair S, Kini R, Rao P, Bhandarkar G, Kashyp R, Rai M, Naik N, Santhosh A. Fibrous dysplasia versus juvenile ossifying fibroma: a dilemma. Case Rep Dent. 2016; 643902. https://doi.org/10.1155/2016/6439026
3. Özşen M, Yalçinkaya Ü, Bilgen MS, Yazici Z. Fibrous Dysplasia: Clinicopathologic Presentation of 36 Cases. Turk Patoloji Derg. 2018; 34(3): 234-41. https://doi.org/10.5146/tjpath.2018.01428
4. Seifi S, Foroghi R, Rayyani A, Kiani M, Mohammadi M. Juvenile trabecular ossifying fibroma. A case report. Indian J Surg Oncol. 2018; 9(2): 260-4.
5. Sultan A, Schwartz M, Caccamese J, Papadimitriou J, Basile J, Foss D, Younis R. Juvenile trabecular ossifying fibroma. Head Neck Pathol. 2018; 12(4): 567-71. https://doi.org/10.1007/s12105-017-0862-6
6. Robalino D, Sandoval F, Sandoval R. Reporte de caso clínico. Fibroma osificante juvenil. OdontoInvestigación. 2017; 3(2): 8-16. https://doi.org/10.18272/oi.v3i2.946
7. Bravo R, Gunckel R, Mardones M, Carrasco R, Canto L. Fibroma osificante juvenil trabecular mandibular: presentación de un caso con reconstrucción inmediata mediante un injerto libre de la cresta ilíaca y costocondral. Rev Esp Cir Oral Maxilofac. 2015; 37(1): 38-43. https://doi.org/10.1016/j.maxilo.2013.02.001
8. Tobar L, Carrau R, Valencia M. Presentación clínica y tomográfica de pacientes con displasia fibrosa craneofacial en la Clínica José A. Rivas. Acta Otorrinolaringol Cir Cabeza Cuello. 2018; 40(3): 229-35.
9. Akashi M, Matsuo K, Shigeoka M, Kakei Y, Hasegawa T, Tachibana A, Komori T. A Case series of fibro-osseous lesions of the jaws. Kobe J Med Sci. 2017; 63(3): E73-E79.
10. Serrano A, Molina D, Orenday J, Arriada N. Displasia fibrosa cervicotorácica. Arch Neurocienc. 2017; 22(2): 86-94.
11. Pereira C, Blanco E, Cepero B. Displasia fibrosa monostótica de los maxilares. A propósito de un caso. Medimay. 2018; 25(2): 155-9.
12. Ayala F. Utilización de bifosfonatos en el tratamiento de la displasia fibrosa de los maxilares. Rev Cientif Estud Inv. 2018; 7: 116-7.
Notas
Notas de autor
etoviom@unicartagena.edu.co
Información adicional
Cómo citar: Tovío EG, Urbano SE, Vergara CI, Díaz AJ. ¿Displasia fibrosa o fibroma osificante? Caracterización histológica de dos casos inusuales. Univ Odontol. 2019 jul-dic; 38(81). doi: https://doi.org/10.11144/Javeriana.uo38-81.dffo