Artículos

Multidisciplinary Management of Buccally Retained Maxillary Canine with VISTA Technique and Orthodontic Alternatives. Case-Supported Scoping Review*

Manejo multidisciplinario de canino superior retenido en vestibular con técnica VISTA y alternativas ortodóncicas. Revisión exploratoria apoyada en casos

Manejo multidisciplinar de caninos superiores retidos no vestibular com a técnica VISTA e alternativas ortodônticas. Revisão de escopo suportada com casos

Anny Marcela Vivares Builes a
Universidad de Antioquia, Colombia
Fundación Universitaria Visión de las América, Colombia
Patricia Vergara Villareal
Universidad de Cartagena, Colombia
Natalia Muñoz Pino
Universidad de Antioquia, Colombia
María Antonia Ramírez Bustamante
Universidad de Antioquia, Colombia
Jenny Cristina Vásquez Cárdenas
Universidad de Antioquia, Colombia
Diana María Barbosa Liz
Universidad de Antioquia, Colombia

Multidisciplinary Management of Buccally Retained Maxillary Canine with VISTA Technique and Orthodontic Alternatives. Case-Supported Scoping Review*

Universitas Odontológica, vol. 40, pp. 1-16, 2021

Pontificia Universidad Javeriana

Received: 15 October 2021

Accepted: 13 December 2021

Published: 27 December 2021

Abstract: Background: Buccally impacted canines with moderate/severe anterior displacement are a clinical challenge. Mucogingival aesthetic sequelae and resorption of nearby teeth would require interdisciplinary management. Thus, the therapeutic approach is complex and has a high biological and economic cost. Purpose: To conduct a scoping review supported with two clinical cases with a multidisciplinary, surgical and orthodontic, approach to pull buccally retained canines. Methods: Three databases (i.e., PubMed, Scopus, and Lilacs) and Google Scholar were used for the reviewed using MeSH term combinations and Boolean connectors. Clinical studies consisting of case descriptions, case series, and reviews of the vertical incision subperiosteal tunneling access (VISTA) technique and orthodontic management of the impacted canine with/without miniscrews. The two clinical cases presented here had surgical and orthodontic interventions to pull buccally retained canines using the VISTA technique with two orthodontic anchors, miniscrews and adaptation of a modified palatal button with double tubes welded to upper first molar bands, in addition to a steel arm welded to the tooth band 26 to replace the miniscrew. Results: Of 45 titles, four articles were selected. The VISTA technique to pull buccally impacted canines shows advantages for soft tissue management and biomechanics. The presentation of these cases offers two alternatives that are adapted to the socioeconomic conditions of the patients, both with optimal orthodontic results and preservation of the periodontal tissues during the traction of the retained canines.

Keywords: Anchoring methods in orthodontics, buccal impaction, dentistry, impacted tooth, oral surgery, orthodontics, vertical incision subperiosteal tunneling access, VISTA technique.

Resumen: Antecedentes: Los caninos impactados en vestibular y moderada o gravemente desplazados anteriormente son un reto clínico. Las secuelas estéticas mucogingivales y la reabsorción de dientes cercanos requerirían manejos interdisciplinarios. Así, el abordaje terapéutico es más complejo y con alto costo biológico y económico. Objetivo: Realizar una revisión de alcance apoyada en dos casos clínicos con abordaje multidisciplinario, quirúrgico y ortodóncico para traccionar caninos retenidos en vestibular. Métodos: Se revisaron tres bases (PubMed, Scopus y Lilacs) y búsqueda en Google Scholar, usando combinaciones de términos MeSH y conectores booleanos. Se incluyeron estudios en humanos como descripciones de caso, series de casos y revisiones sobre la técnica de túnel con incisión vertical subperióstica (VISTA) y el manejo ortodóncico del canino retenido con o sin minitornillos. Los dos casos clínicos aquí presentados tuvieron abordajes quirúrgicos y ortodónticos para traccionar caninos retenidos vestibularmente mediante la técnica VISTA con dos anclajes ortodóncicos, minitornillos y adaptación de un botón palatino modificado con tubos dobles soldados a bandas de primeros molares superiores, además un brazo de acero soldado a la banda del diente 26 para remplazar el minitornillo. Resultados: De 45 títulos se seleccionaron cuatro artículos. La técnica VISTA para traccionar caninos retenidos vestibularmente muestra ventajas para el manejo de tejidos blandos y para la biomecánica. La presentación de estos casos ofrece dos alternativas que se adaptan a las condiciones socioeconómicas de los pacientes, ambas con resultados ortodónticos y de preservación de los tejidos periodontales óptimos durante la tracción de los caninos retenidos.

Palabras clave: Acceso de tunelización subperióstica con incisión vertical, cirugía oral, diente impactado, impactación vestibular, métodos de anclaje en ortodoncia, odontología, ortodoncia, técnica VISTA.

Resumo: Antecedentes: Caninos impactados vestibularmente com deslocamento anterior moderado ou severo são um desafio clínico. As sequelas estéticas mucogengivais e a reabsorção de dentes próximos exigiriam tratamento interdisciplinar. Assim, a abordagem terapêutica é complexa e tem alto custo biológico e econômico. Objetivo: Realizar uma scoping review apoiada em dois casos clínicos com abordagem multidisciplinar, cirúrgica e ortodôntica, para tracionamento de caninos vestibulares retidos. Métodos: Três bancos de dados (PubMed, Scopus e LiLACS) e o Google Scholar foram usados para a revisão usando combinações de termos MeSH e conectores booleanos. Estudos clínicos que consistem em descrições de casos, séries de casos e revisões da técnica de acesso de túnel subperiosteal por incisão vertical (VISTA) e manejo ortodôntico do canino impactado com/sem miniparafusos. Os dois casos clínicos aqui apresentados tiveram intervenções cirúrgicas e ortodônticas para tracionar caninos retidos vestibularmente pela técnica VISTA com duas âncoras ortodônticas, miniparafusos e adaptação de um botão palatino modificado com tubos duplos soldados às bandas dos primeiros molares superiores, além de um braço de aço soldado à banda de dente 26 para substituir o miniparafuso. Resultados: Dos 45 títulos, quatro artigos foram selecionados. A técnica VISTA para tracionar caninos impactados vestibularmente mostra vantagens para o manejo dos tecidos moles e biomecânica. A apresentação desses casos oferece duas alternativas adaptadas às condições socioeconômicas dos pacientes, ambas com ótimos resultados ortodônticos e preservação dos tecidos periodontais durante o tracionamento dos caninos retidos.

Palavras-chave: Acesso de tunelização subperiosteal por incisão vertical, cirurgia oral, dente impactado, impactação bucal, métodos de ancoragem em ortodontia, odontologia, ortodontia, técnica VISTA.

INTRODUCTION

Canines are essential teeth in dental arches due to their role in dynamic occlusion patterns and their importance for dentogingival esthetics and facial harmony (1). Canines are considered retained when, in certain cases, even with their eruption potential, local, physiological or pathological factors delay or prevent their eruption, despite having space available to locate them (2). Multiple factors are considered responsible for canine retention. For example, maxillary canines have comparatively longer roots and eruption pathways, develop deep into the maxilla, and erupt following the path marked by neighboring teeth. In addition, genetic factors play an important role in the development of maxillary canine retention (3).

In the Colombian population, impacted canines have shown a similar prevalence in different regions that vary between 0.47 % (4), 1.7 % (5), and 2.9 % (6). Likewise, maxillary canines with alterations in eruption were the most common finding (85.71 %) (4). Worldwide, studies have shown a prevalence between 0.27 % and 2.4 %, with a frequency of 70 % in the palatal position. In China, a prevalence of buccal impacted canines between 49.85 % and 67.7 % has been identified (7). When the canines are in the buccal position, they are an important clinical challenge, since the mucogingival aesthetic sequelae and the resorption of adjacent teeth may require interdisciplinary management. This makes management complex and costly for patients, which must be informed at the time of clinical diagnosis (4,7).

When a surgical intervention is required for orthodontic treatment in the dental arch of the canine, which is in the vestibular position, it is essential to evaluate the canine point of emergence, the gum thickness and contour, and the alveolar bone. This prevents that, when erupting, the canine is devoid of keratinized gingiva or is left with fenestrations and dehiscence. (2) Depending on the mucogingival junction position, several surgical techniques have traditionally been used to access the canine, such as gingivectomy, repositioned flap, apically and/or laterally displaced flaps, and more recently, a technique based on vestibular incision subperiosteal tunnel access (VISTA) that involves making an access or vertical incision from the mucogingival junction, in the maxillary anterior area, followed by the elevation of a subperiosteal tunnel, which was described by Zadeh in 2011 (8) for the treatment of recession-type mucogingival deformities. Each of the cases described in this study shows in detail the surgical procedures that this technique includes.

The VISTA technique is useful in the case of impacted canines to prevent root resorption and can be used with different orthodontic anchorages, such as the miniscrews described by Chang or a palatal button. Chang (9) adapted this technique with miniscrews, which is basically applied to buccal impacted canines, if the impaction is horizontal, there is severe displacement, or there is contact with the roots of the adjacent teeth. In such circumstances, routine traction in the occlusal direction can result in severe root resorption of the adjacent teeth. Although the ideal absolute anchorage is miniscrews (10), sometimes due to budget or anatomical reasons, it is not possible to place them (11,12). In such cases, moderate anchorage with palatal button-type appliances may be an alternative (13,14). This type of device allows to control to a large extent the reaction force and is efficient for handling with moderate anchorage.

The purpose of this article was to conduct a systematic exploratory scoping review and describe two clinical cases in which a multidisciplinary surgical and orthodontic approach was used to traction retained canines located buccally and in a horizontal position, using the VISTA technique with two types of orthodontic anchorages. (one with miniscrews and the other with a modified transpalatal bar), which offers two alternatives with optimal results in preserving the periodontal tissues during the traction of the impacted canines.

MATERIALS AND METHODS

An exploratory scoping review of the literature was conducted to find studies evaluating the VISTA technique for orthodontic management of impacted maxillary canines. This review was conducted following the guidelines of the PRISMA extension for scoping reviews (PRISMA-ScR). Two authors (AV-DB) independently performed the search, title selection, and data collection in the electronic databases PubMed (Medline), Scopus, and LiLACS, as well as Google Scholar searches.

To obtain eligible studies, non-standard and MeSH terms were first searched. Equations for the search strategy were developed initially for PubMed and then adapted according to the syntax rules of the other databases, using MeSH and DeCS terms and free text words combined with Boolean operators. Searches were performed on September 4 and 5, 2021. The search equations were:

All human case report, case series, protocol, and review studies related to the VISTA technique and orthodontic management of the impacted canine, with or without miniscrews, were included. There were no exclusions by year, age, or sex, or by diagnosis of dental or skeletal malocclusion. Studies in English, Spanish, and Portuguese were included. Studies involving management of impacted canines with other surgical techniques, animal studies, or letters to the editor were excluded.

The studies identified from the bibliographic search were selected sequentially by title, abstract, and full text by one author (AV) with subsequent independent verification and in duplicate with the eligibility criteria by another author (DB). A third author resolved conflicts or discrepancies (PV). Additionally, the bibliographic reference lists of the chosen studies were examined to verify if additional eligible articles existed or could be retrieved.

The extracted data were collected in a Microsoft Excel® form. Information on author, year of publication, research design, sample size, average age, orthodontic technique, type of anchorage, appliance used, treatment time, and description and variations of the surgical procedure of the VISTA technique was recorded.

Risk of Bias Assessment

The CARE guide (15) was used to critically evaluate the included studies, which corresponded to case reports. To assess the quality of the protocol, the SPIRIT guide (16) was used. Said evaluation was carried out independently and in duplicate and, if there were discrepancies, discussions were conducted until agreements were reached.

RESULTS

Figure 1 illustrates the flow chart followed in the scoping review, in which 46 titles were initially identified in the different databases. Thirty-nine were excluded because they were surgical techniques for periodontal purposes only (2 titles) and others because they presented different approaches to manage impacted teeth (13 titles). Other articles were excluded because they were from other research topics in orthodontics (24 titles). Subsequently, one title was excluded because it was duplicated in PubMed and Scopus. Six articles were included for full reading; one article could not be obtained and another article was excluded because it dealt with the use of the VISTA technique associated with corticotomies and mini-implants for intrusions of lower anterior teeth but did not include management of impacted canines. Finally, four articles met the inclusion criteria and were selected for analysis.

Flowchart for Article Selection
FIGURE 1
Flowchart for Article Selection
Source: Performed with the PRISMA Flow Diagram Generator (http://prisma.thetacollaborative.ca)

This systematic scoping review allowed us to identify articles with a low level of evidence (case reports) but of high quality, according to the CARE scale, which address the subject of the VISTA technique in a complete and concrete manner. The protocol described by Galluccio, et al. in 2021 (17) addresses the various procedures and steps included in the technique, in addition to mentioning its advantages and disadvantages. In addition, the selected articles coincide in showing the advantages of managing vestibular canines with the technique, as well as the minimal risk to the roots of neighboring teeth (7,9,18). On the other hand, the clinical cases presented here illustrate the aspects mentioned in the articles and present various orthodontic approaches. Table 1 describes the most important findings reported in those included articles.

TABLE 1
Summary of Characteristics of the Titles Included in the Study
Summary of Characteristics of the Titles Included in the Study

Case 1

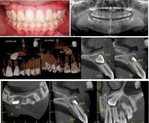
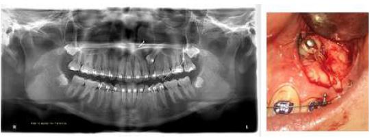
This is a 15-year-old female patient who attended a private clinic for orthodontic treatment. No alterations were described in the clinical records and systems review. Extraoral examination revealed a mesoprosopic-type face with a straight profile, adequate lip seal and facial symmetry. Intraoral examination revealed a Class II occlusal relationship, left subdivision, lower midline shifted 2 mm to the left, 40 % overbite, 3 mm overjet, presence of tooth 63 (FDI World Dental Federation -ISO- notation), moderate anterior-inferior crowding, and oval arches (Figure 2).

In the radiographic analysis, the orthopantomography (Figure 2) indicates, according to the Ericson and Kurol classification, that the crown of 23, mesodistal, was located in sector 4; In addition, the angle of the longitudinal axis of tooth 23 with the midline had a value of 50 °, which increased the risk of resorption of the lateral incisor (10) by 50 %, which is evident in the radiograph (Figure 2).

Initial Records Photography, Orthopantomography and Cone Beam Tomography, Case 1
FIGURE 2
Initial Records Photography, Orthopantomography and Cone Beam Tomography, Case 1
The initial cone beam tomography shows 3D reconstruction, cuts in the different planes of tooth 23 and its relationship with 22 and 21, in which root resorption is evident. Source: the authors with permission from the patient.

Cone beam tomography analysis (Figure 2) showed moderate impaction of tooth 23 in the buccal position, whose coronal portion was close to the apical third of 21 and 22 with remodeling of the apical third of tooth 22. In Steiner's cephalometric analysis, anteroposterior and vertical assessment angles were adequate, resulting in a skeletal class I and neutral growth pattern.

A multidisciplinary evaluation was performed, including a periodontist, oral surgeon, and orthodontist. The clinical and radiographic findings were evaluated in order to choose the most appropriate treatment for the patient. As a result, it was decided to conduct the VISTA technique with a mini-implant for orthodontic purposes to traction tooth 23, bring it to an adequate position in the dental arch, and avoid root resorption of the adjacent teeth.

Clinical Procedure

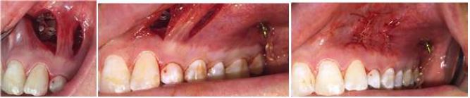
Initially, the patient and her mother received detailed information about the procedure, who accepted and authorized the treatment plan by signing the informed consent. The surgical intervention, performed under local anesthesia, began with a vertical incision with a 15c scalpel blade distal to the area of tooth 23 that involved the free gingiva up to the mucogingival line, without compromising the attached gingiva or the lining mucosa. The soft tissue was then detached and a syndesmotomy and osteotomy exposed the dental crown (Figure 3). Afterwards, a buccal button was cemented, followed by conductive osteotomy that included a decortication distal to 23. In this way, a channel or traction path of the tooth allowed greater movement of the impacted tooth.

Subsequently, the procedure created a subperiosteal tunnel from 23 to 26 and soft tissue was dissected with TKN1 and TKN2® 1 tunneling instruments and Allen® KPA scalpel. A 1.5 x 12 mm SIN® infrazygomatic miniscrew placed in the area of 26 and 27 looked to provide anchorage and direct movement by applying forces of 60 grams. A measurement of force with an Eisco Labs® dynamometer was useful to monitor the distalization of the impacted tooth and place it in the ideal area for eruption. Next, a 3-mm vertical incision was made in the area of 26, and a second-generation elastic chain was passed through the subperiosteal tunnel from the button on 23 to the mini-implant (Figure 3). Finally, after obtaining hemostasis, simple stitches with Vicryl® 5.0 were placed.

VISTA Technique Surgical Procedure, Case 1
FIGURE 3
VISTA Technique Surgical Procedure, Case 1
VISTA technique, incisions, position of the direct cementing button, second-generation chain through the subperiosteal tunnel, and miniscrew in the infrazygomatic area. Source: the authors with permission from the patient.

Clinical and Radiographic Follow-up

During the first orthodontic controls, brackets were not attached to manage the free-body concept and avoid greater effects in the root zone of 21 and 22. Tooth 63 was not extracted because it was not the time for its exfoliation and due the position of 23. A 60 g force was applied to 23 with a distal traction vector anchored by an infrazygomatic mini-implant.

A distal traction vector of tooth 23 continued for 5 months with monthly activations with a force of 60 g. In May 2019, in the radiographic control, the crown of 23 was further away from tooth 21 but still in contact with tooth 22, for which the distal traction of tooth 23 continued for another 4 months. Additionally, it was decided to perform bimaxillary orthodontic adhesion with a 0.022-inch Roth sloth prescription, due to the patients’ aesthetic requirements. Brackets were bonded to 22 and 63, but 22 was not tied to the arch due to its proximity to 23. The patient underwent surgery again to change the force vector in the disto-occlusal direction (Figure 4).

Follow-up Images, Case 1
FIGURE 4
Follow-up Images, Case 1
Tooth 23 radiographically and with replacement of the direct cementation button with the new traction vector. Source: the authors with permission from the patient.

After the second surgical procedure, the traction of tooth 23 continued with a disto-occlusal vector using a 0.017” x 0.025” cantilever in TMA, without extracting 63 and removing the brackets of 24 and 25 using the segmented arch concept (11). It was adapted from the tube on 26, using the infrazygomatic mini-implant as indirect anchorage. In the control radiograph (Figure 4) a greater resorption of the apical third of tooth 22 was observed, continuing radiographic controls and maintaining tooth 22 without ligation using the free-body concept. The vitality tests did not show alterations in said tooth.

Two months later, the team decided to extract 63 and continue with cantilever disto-occlusal traction. It is relevant to note that, due to the pandemic generated by COVID-19, the patient did not have orthodontic controls for 5 months. In the next control tooth 23 showed a more occlusal position but insufficient space. In addition, 22 had a stable root length. The brackets were adhered to 24 and 25 and remained passive to preserve the root position and the distalization mechanics began in quadrant II of 24 with anchorage to the mini-implant. Once obtained sufficient space for tooth 23, occlusal traction of said tooth continued with nickel-titanium overarches and elastic thread. Once obtained a better position of 23, the respective bracket was adapted and its alignment and proper positioning in the arch continued (Figure 5).

Adaptation of Nickel-Titanium Overarches and Elastic Wire on Tooth 23, Case 1
FIGURE 5
Adaptation of Nickel-Titanium Overarches and Elastic Wire on Tooth 23, Case 1
Source: the authors with permission from the patient.

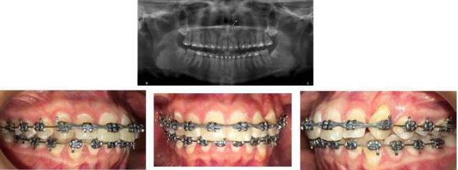
During the final recordings, tooth 23 had an adequate position and tooth 22 showed stable apical remodeling and a greater mesial root angulation (tip) when compared to previous radiographs (Figure 6).

Completion Records, Case 1
FIGURE 6
Completion Records, Case 1
Source: the authors with permission from the patient.

Case 2

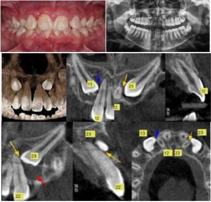
A 14-year-old boy patient attended the Orthodontics postgraduate clinic of the University of Antioquia with various dental malpositions. Medical history included allergic rhinitis. Extraoral examination showed a leptoprosopic facial pattern, straight profile, and papillary smile. Intraoral examination identified a Class I right molar relationship and a Class III left molar relationship at 2 mm, canine relationships not determinable by persistence of teeth 53 and 63, overjet 2 mm, and overbite 60%. Both the upper and lower midlines were aligned to the center. Likewise, there was moderate upper and lower crowding. When palpating the mucosa, tooth 13 was located towards the buccal but tooth 23 was not (Figure 7).

In the cephalometric analysis, the patient presented a skeletal Class II and hyperdivergent bone bases. The upper incisors were in proper position and the lower incisors were retroclined. Based on the Ericson and Kurol classification, in the panoramic radiograph, teeth 13 and 23 were located in sector I, which indicates that the prognosis for the eruption of both canines was favorable. In contrast, according to the analysis of Power and Short (11), the longitudinal axis angle of the 13 with the midline was 42° and that of the 23 was 55°, indicating that the prognosis was poor and had a high probability of retention (Figure 7).

Initial Records: Photography, Orthopantomography and Cone Beam Tomography, Case 2
FIGURE 7
Initial Records: Photography, Orthopantomography and Cone Beam Tomography, Case 2

The initial cone beam tomography shows 3D reconstruction, cuts in the different planes of teeth 13 and 23, and their relationship with teeth 22 and 12. The proximity of the crowns of teeth 13 and 23 with the root structures of the upper incisors are evident.

Source: the authors with permission from the patient.

In the cone beam tomography analysis (Figure 7), teeth 13 and 23 showed complete and intraosseous root formation, mesoversion, and the crown located in relation to the vestibular table. The mesial coronal contour of 13 was in close contact with the distal root profile of 12 with no signs of alteration. The mesial palatal coronal contour of 23 was in intimate contact with the distal root profile of 22, which caused a slight root remodeling, the wide pericoronal spaces suggested cystic processes.

After multidisciplinary analysis and considering that the patient did not have the financial resources to place miniscrews, the team decided to use a modified palatal button as the anchoring method. A VISTA technique was planned for tooth 23 with the goal of keeping the distalization vector high and a closed surgical window for tooth 13 for cantilever traction.

Clinical Procedure

After receiving authorization of the treatment plan from the patient's parents and signed informed consent, a modified palatal button with double tubes welded to the upper first molar bands was installed. In addition, a steel arm welded to the 26 band was included in order to replace the miniscrew of the technique described by Chang (Figure 8).

The surgical intervention was performed under local anesthesia. It began with two vertical incisions, the first in the buccal gingiva between 22 and 63, and the second in the buccal gingiva at the level of 24 to make the subperiosteal tunnel by dissecting the soft tissue. An osteotomy was performed to discover the crown of 23 and a conductive osteotomy towards the distal. The button was adhered to the crown of 23 and an elastic chain was installed from the buccal button of 23 through the subperiosteal tunnel to the post welded to the band of 26. Thus, distalization force of 23 could be applied, and improve its eruption pathway (Figure 8).

On the other hand, tooth 13 underwent a closed surgical window that began with an incision at the height of the crown. An osteotomy was performed in its cervicoincisial length, adhesion of the button to the crown, and installation of an elastic chain. A 0.017" x 0.025" TMA cantilever was adapted to the auxiliary band tube of tooth 16, to which a chain previously installed in the button of 13 was adapted, initially with a distalization vector force. Both approaches were completed with hemostasis and suture.

Surgical Procedure with VISTA Technique, Case 2
FIGURE 8
Surgical Procedure with VISTA Technique, Case 2
Surgical procedure showing VISTA technique, incisions, position of the button with direct cementation, second generation chain, through the subperiosteal tunnel, and the modified tooth-supported palatal button, cemented through bands to teeth 16 and 26. Source: the authors with permission from the patient.

During the surgery follow-up, MBT slot 0.022" x 0.028" brackets were attached to the upper arch, keeping the 12 and 22 brackets passive. The deciduous canines were kept in order to preserve the spaces and their extraction was scheduled when the path of eruption of the permanent canines was corrected. During the first controls, a distal traction force of 60 g was applied to both canines by activating the chain (Figure 9).

Activation of Chains on Teeth 13 and 23, Case 2
FIGURE 9
Activation of Chains on Teeth 13 and 23, Case 2
Source: the authors with permission from the patient.

Clinical and Radiographic Follow-up

An analysis of the control periapical radiographs showed a marked improvement in the path of eruption of both canines (Figure 10); therefore, teeth 53 and 63 were extracted and the patient was scheduled for surgery to change the traction vector of 23. Surgery was performed on the vestibular gingiva of 23, the button was relocated and a new chain was placed which was passed through the alveolus of 63. The flap was repositioned and sutured. A 0.017" x 0.025" TMA cantilever was installed on band auxiliary tube on 26. Both cantilevers were fitted with a distoclusal traction vector. In addition, open springs were placed between 14 and 12 and between 22 and 25 to expand the space and facilitate the accommodation of the canines (Figure 10).

Follow-Up Images, Caso 2
FIGURE 10
Follow-Up Images, Caso 2
The radiographic image shows the new position of teeth 13 and 23. The repositioning of the direct cementation buttons and the new traction vector are also evident. Activation of the second-generation bilateral chains attached to the steel arm welded to the cemented bands on teeth 26 and 16 is also shown. Source: the authors with permission from the patient.

When reaching the most occlusal height, adhesion of 13 was performed and ligated at a distance with an elastic thread up to the arch. In 23, a palatal adhesion button was adhered and a chain installed to generate a coupler and derotate it (Figure 11). Once the rotation was resolved, a bracket was attached to 23 and continued to align until fully incorporated into the continuous arch. Likewise, the alignment of 13 and the lower teeth was completed (Figure 12).

Final Alignment Image of 13 and 23, Case 2
FIGURE 11
Final Alignment Image of 13 and 23, Case 2
Source: the authors with permission from the patient.

Final Records, Case 2
FIGURE 12
Final Records, Case 2
Source: the authors with permission from the patient.

Ethical Aspects

To participate in this study, the patients and their parents signed the informed consent. In addition, the procedures were in accordance with the ethical standards of Resolution 8430 of 1993 of the Ministry of Health and Social Protection of Colombia and the Declaration of Helsinki.

DISCUSSION

This exploratory review identified articles on the VISTA technique and determined their quality. The bibliographic search showed that the technique offers advantages in the management of retained maxillary canines on the buccal, especially when they are located in the most anterior sector (7,8). In view of the growing popularity of the technique for the management of retained canines, most of the articles were case reports, that is, a low level of evidence. However, these publications were of high quality. This can give the clinician clues to try the technique in cases that have the specific indication and for the benefit of the patient.

The technique shows benefits in the management of periodontal tissues and neighboring hard tissues and does not leave important sequelae (9,18). Additionally, the comfort for the patient during traction is highlighted, without causing great discomfort due to the use of orthodontic traction attachments (9). The literature also presents a disadvantage of the VISTA technique due to the need to perform a second surgical moment to change the direction of the traction vector and finally bring the canine to its ideal position (7). Table 1 summarizes the most important findings of the selected articles and that can help the dentist in making evidence-based clinical decisions.

The two clinical cases of this article describe the management of buccally retained maxillary canines with the VISTA surgical technique and two types of orthodontic anchorage, miniscrews and modified tooth-supported palatal button. The VISTA technique favors the application of the free body approach. This approach theoretically corresponds to the segmented arch mechanics, which favor maintaining the root integrity of the teeth adjacent to the tooth that is being pulled, with greater control of the applied force, the direction, and the possibility of performing other mechanics at the same time (19). Another case described with the VISTA technique with an infrazygomatic miniscrew, to traction tooth 13 retained buccally, supports its advantage in preventing teeth from contacting with orthodontic movement and avoiding root resorption of neighboring teeth (18). Additionally, the original article by Chang, et al. (20) highlights this technique for its low morbidity, comfort for the patient, and good results in healing, which is relevant in esthetic areas and allows the retained canines to lean towards the buccal and away from the roots of the incisors (20). This was corroborated in our two cases.

In our two cases we decided to use the VISTA technique to move the retained canines away from the adjacent incisor teeth, since the proximity of these roots for the first case was generating resorption of teeth 21 and 22. In the second case there was already contact with the periodontal ligament of teeth 12 and 22 with a marked risk of root resorption. Furthermore, we sought to avoid the extraction of these canines given their importance in the dental arches, since these teeth play an important role during masticatory and occlusal function. Aesthetically, the canines represent a harmonic transition between the anterior and posterior teeth; likewise, the canine eminence has a high value in lip support and orofacial harmony (21).

In the first clinical case, we observed a process of root resorption in teeth 21 and 22, generated by the position of impacted tooth 23, which generated direct pressure on the ligament and root cement of these teeth, especially tooth 22. This resorption process is explained by the magnitudes of the eruptive forces that exceed the compressive strength of tissues, such as the ligament, but that usually do not generate devitalization (7). We saw this in the pulp sensitivity tests. However, the literature suggests radiographic and sensitivity monitoring of teeth with resorption sequelae, which are usually the neighboring upper incisors (22,23,24).

The use of miniscrews effectively complements, in terms of anchorage and correct force vectors, the traction of the canines. In case 1, the use of the infrazygomatic screw made it possible to obtain a good anchorage of the screw to avoid the roots of the molars and leave the line of action of horizontal force buccally, which allowed traction in that direction to move the canine away from the roots of the incisors. Subsequently, as described by Lin, et al. (7), we change the direction of the force to vertical positioning the canine correctly in the arch. Likewise, these authors suggest that the use of a 3D lever arm anchored to the miniscrews or with OBS (Orth Bone Screw) favors precision traction of the buccal canine and promotes the achievement of a more stable band of keratinized gingiva. We also observed that in our case (7).

Modified palatal button anchorage with double tubes welded to the upper first molar bands and with a steel arm welded to the 26 band, in order to replace the miniscrew, used in case 2, was a good alternative as anchorage . Said design allows to obtain a distal support point that promotes the distalization of the canine with less reaction effects (14). The literature that compares skeletal anchorage with miniscrews and dental anchorage has shown that the former offers better control in managing unwanted reaction movements and offers a greater amount of anchorage (10,24,25). Therefore, this modified palatal button should be used in specific cases to pull on a single tooth, using light forces to control reaction.

In case 2 we used the VISTA technique with a modified palatal button on the left side, while on the right we used a technique with closed exposure and cantilevered canine traction, that is, a technique that could be called “conventional.” Closed surgical exposure is a technique that promotes the health of the periodontal tissues (26) and is used when the canine is in a more apical position (27,28). In this case, the canine was quite high, so we chose the closed technique to expose tooth 13. Regarding the orthodontic traction technique used in case 2, the literature reports that it is safe, efficient, and has few complications (29 ). There are even case studies of impacted canines managed with a combination of cantilever and skeletal anchorage with miniscrews (26). As could be seen from the case follow-up photos, orthodontic cantilever traction was successful in bringing the canine into position and maintaining soft tissue integrity. Therefore, given the impossibility of managing with the VISTA technique, conventional management continues to be a good treatment option for maxillary canines impacted by the buccal.

CONCLUSIONS

The type of evidence found on the VISTA technique was low, but the quality of the publications was high.

The combination of surgical and orthodontic therapy together with anchorage devices allowed complex tooth movements to be completed in a shorter period of time, without adverse dental or periodontal consequences.

Surgically, the VISTA technique avoided incisions at the gingival margin and allowed for surgical and orthodontic therapy with stable periodontal tissues. It should be noted that, when planning the VISTA technique, the patient may require a second surgical intervention in order to make changes in the force vector, which generates higher treatment costs for the patient.

The VISTA technique was safe to preserve periodontal tissues in the traction of buccal-retained canines.

Acknowledgments

From an orthodontic point of view, the VISTA technique supported by mini-implant anchorages, as in our first case, or with other modified dentoalveolar anchorages, as in the second case, is a viable and effective strategy for pulling tooth 23 retained in the buccal. We avoided the undesirable effects on teeth adjacent to the tractioned tooth and we obtained an adequate positioning of the retained canines in the arch of both patients. By having adequate direct and indirect, dental and skeletal anchorages, a versatile, safe and efficient biomechanical management is favored, which includes different mechanics to perform in orthodontics. The handling of both cases required stepwise movements, in multiple directions, with differential loads for an optimal result with minimal collateral damage.

REFERENCES

1. Perez Flores MA, Pérez Flores P, Fierro Monti C. Alteraciones en la erupción de caninos permanentes. Int J Morphol 2009; 27(1): 139-143.

2. Pignoly M, Monnet-Corti V, Le Gall M. Échec de la mise en place de dents retenues et incluses [Reason for failure in the treatment of impacted and retained teeth]. Orthod Fr. 2016 Mar; 87(1): 23-38. https://doi.org/10.1051/orthodfr/2016001

3. Al-Zoubi H, Alharbi AA, Ferguson DJ, Zafar MS. Frequency of impacted teeth and categorization of impacted canines: A retrospective radiographic study using orthopantomograms. Eur J Dent. 2017 Jan-Mar; 11(1): 117-121. https://doi.org/10.4103/ejd.ejd_308_16

4. Castañeda Peláez DA, Briceño Avellaneda CR, Sánchez Pavón Ángel E, Rodríguez Ciódaro A, Castro Haiek D, Barrientos Sánchez S. Prevalencia de dientes incluidos, retenidos e impactados en radiografías panorámicas de población de Bogotá, Colombia. Univ Odontol. 2015 sep 30; 34(73): 149-158. https://doi.org/10.11144/Javeriana.uo34-73.pdir

5. Thilander B, Pena L, Infante C, Parada SS, de Mayorga C. Prevalence of malocclusion and orthodontic treatment need in children and adolescents in Bogota, Colombia. An epidemiological study related to different stages of dental development. Eur J Orthod. 2001 Apr; 23(2): 153- 67. https://doi.org/10.1093/ejo/23.2.153

6. Upegui-Zea, JC, Echeverri-González, E., Ramírez-Ossa, DM y Restrepo-Narváez, LM. Determinación del pronóstico en pacientes que presentan caninos maxilares impactados en la Facultad de Odontología de la Universidad de Antioquia. Rev Fac Odontol Univ Antioquia. 2009; 21 (1), 75–85.

7. Lin JH, Chang CH, Roberts WE. Vertical incision subperiosteal tunnel access and three-dimensional OBS lever arm to recover a labially-impacted canine: Differential biomechanics to control root resorption. APOS Trends Orthod. 2019; 9(1): 7-18. https://doi.org/10.25259/APOS-9-1-3

8. Zadeh HH. Minimally invasive treatment of maxillary anterior gingival recession defects by vestibular incision subperiosteal tunnel access and platelet-derived growth factor BB. Int J Periodontics Restorative Dent. 2011 Nov-Dec; 31(6): 653-660.

9. Su BC, Chang C, Roberts WE. Management of an impacted maxillary canine with the vertical incision subperiosteal tunnel (VISTA) technique. J Digit Orthod. 2018; 50: 52–71.

10. Chopra SS, Mukherjee M, Mitra R, Kochar GD, Kadu A. Comparative evaluation of anchorage reinforcement between orthodontic implants and conventional anchorage in orthodontic management of bimaxillary dentoalveolar protrusion. Med J Armed Forces India. 2017 Apr; 73(2): 159-166. https://doi.org/10.1016/j.mjafi.2016.01.003

11. Papageorgiou SN, Zogakis IP, Papadopoulos MA. Failure rates and associated risk factors of orthodontic miniscrew implants: a meta-analysis. Am J Orthod Dentofacial Orthop. 2012 Nov; 142(5): 577-595.e7. https://doi.org/10.1016/j.ajodo.2012.05.016

12. Crismani AG, Bertl MH, Celar AG, Bantleon HP, Burstone CJ. Miniscrews in orthodontic treatment: review and analysis of published clinical trials. Am J Orthod Dentofacial Orthop. 2010 Jan; 137(1): 108-13. https://doi.org/10.1016/j.ajodo.2008.01.027

13. Li Z, Chen Z, Sun J, Yang L, Chen Z. Correction of deep overbite by using a modified nance appliance in an adult Class II Division 2 patient with dehiscence defect. Case Rep Dent. 2018 Sep 6; 2018: 9563875. https://doi.org/10.1155/2018/9563875

14. Maurya R, Singh H, Kapoor P, Sharma P, Niranjan B, Dubey A. Winged Nance palatal arch: An adjunct to tooth movement. J Indian Soc Pedod Prev Dent. 2021 Jan-Mar; 39(1): 104-105. https://doi.org/10.4103/jisppd.jisppd_408_20

15. Riley DS, Barber MS, Kienle GS, Aronson JK, von Schoen-Angerer T, Tugwell P, Kiene H, Helfand M, Altman DG, Sox H, Werthmann PG, Moher D, Rison RA, Shamseer L, Koch CA, Sun GH, Hanaway P, Sudak NL, Kaszkin-Bettag M, Carpenter JE, Gagnier JJ. CARE guidelines for case reports: explanation and elaboration document. J Clin Epidemiol. 2017 Sep; 89: 218-235. https://doi.org/10.1016/j.jclinepi.2017.04.026

16. Chan AW, Tetzlaff JM, Altman DG, Laupacis A, Gøtzsche PC, Krleža-Jerić K, Hróbjartsson A, Mann H, Dickersin K, Berlin JA, Doré CJ, Parulekar WR, Summerskill WS, Groves T, Schulz KF, Sox HC, Rockhold FW, Rennie D, Moher D. SPIRIT 2013 statement: defining standard protocol items for clinical trials. Ann Intern Med. 2013 Feb 5; 158(3): 200-207. https://doi.org/10.7326/0003-4819-158-3-201302050-00583

17. Galluccio G, Impellizzeri A, Pietrantoni A, De Stefano A, La Monaca G, Pippi R. The VISTA approach in canine disimpaction. Methods Protoc. 2021 Aug 20; 4(3): 57. https://doi.org/10.3390/mps4030057

18. Tovío Martínez E, Vergara Villarreal P, Martínez, A, Harris-Ricardo J. Tracción de canino maxilar con la técnica quirúrgica incisión vertical y túnel de acceso subperióstico. Duazary. 2019; 16(3): 104-111. https://doi.org/10.21676/2389783X.2973

19. Schroeder MA, Schroeder DK, Capelli Júnior J, Santos DJDS. Orthodontic traction of impacted maxillary canines using segmented arch mechanics. Dental Press J Orthod. 2019 Nov 11; 24(5): 79-89. https://doi.org/10.1590/2177-6709.24.5.079-089.sar

20. Hsu Yu-Lin, Chang CHN, Roberts EW. OrthoBoneScrew. The dream screw for next generation’s orthodontists. Int J Orthod Implantol. 2011; 24: 50-59.

21. Aguana K, Cohen L, Padrón. Diagnóstico de caninos retenidos y su importancia en el tratamiento ortodóncico. Rev Latinoam Ortod Odontopediatr. 2011. https://www.ortodoncia.ws/publicaciones/2011/art-11/

22. Rafflenbeul F, Gros CI, Lefebvre F, Bahi-Gross S, Maizeray R, Bolender Y. Prevalence and risk factors of root resorption of adjacent teeth in maxillary canine impaction, among untreated children and adolescents. Eur J Orthod. 2019 Sep 21; 41(5): 447-453. https://doi.org/10.1093/ejo/cjy078

23. Almuhtaseb E, Mao J, Mahony D, Bader R, Zhang ZX. Three-dimensional localization of impacted canines and root resorption assessment using cone beam computed tomography. J Huazhong Univ Sci Technolog Med Sci. 2014 Jun; 34(3): 425-430. https://doi.org/10.1007/s11596-014-1295-z.

24. Gracco A, Luca L, Siciliani G. Molar distalisation with skeletal anchorage. Aust Orthod J. 2007 Nov; 23(2): 147-52.

25. Jamwal RS, Doshi UH, Bhad WA. Comparison of sagittal anchorage conservation of mini-implants and modified Nance palatal buttons. Orthodontics (Chic.). 2012; 13(1): e10-9.

26. Thebault B, Dutertre E. Disimpaction of maxillary canines using temporary bone anchorage and cantilever springs. Int Orthod. 2015 Mar;13(1): 61-80. https://doi.org/10.1016/j.ortho.2014.12.017

27. Cassina C, Papageorgiou SN, Eliades T. Open versus closed surgical exposure for permanent impacted canines: a systematic review and meta-analyses. Eur J Orthod. 2018 Jan 23; 40(1): 1-10. https://doi.org/10.1093/ejo/cjx047.

28. Alberto PL. Surgical exposure of impacted teeth. Oral Maxillofac Surg Clin North Am. 2020 Nov; 32(4): 561-570. https://doi.org/10.1016/j.coms.2020.07.008.

29. Iancu Potrubacz M, Chimenti C, Marchione L, Tepedino M. Retrospective evaluation of treatment time and efficiency of a predictable cantilever system for orthodontic extrusion of impacted maxillary canines. Am J Orthod Dentofacial Orthop. 2018 Jul; 154(1): 55-64. https://doi.org/10.1016/j.ajodo.2017.10.027.

Notes

* Original research.
How to cite this article Vivares Builes AM, Vergara Villarreal P, Muñoz Pino N, Ramírez Bustamante MA, Vásquez Cárdenas JC, Barbosa Liz DM. Multidisciplinary Management of Buccally Retained Maxillary Canine with VISTA Technique and Orthodontic Alternatives. Case-Supported Scoping Review. Univ Odontol. 2021; 40. https://doi.org/10.11144/Javeriana.uo40.mmbr

Author notes

Authors’ Note:a Correspondence:anny.vivares@uam.edu.co; annievivares@gmail.com; Vergara_patri@hotmail.com; Munozpi88@gmail.com; mantonia.ramirez@udea.edu.co; antoniaramirez01@gmail.com; Jennycristina19@hotmail.com; Jennyvas1990@gmail.com; diana.barbosa@udea.edu.co; dimabarbosa@gmail.com

HTML generated from XML JATS4R by