Artículos

Types of Upper Lip Frenulum Insertion Associated with Diastema in 8-to-15-Year-Old Children of Mocha Canton, Ecuador*

Tipos de inserción del frenillo labial superior asociado a diastemas en personas de 8 a 15 años del Cantón Mocha, Ecuador

Tipos de inserção do frênulo labial superior associados a diastemas em pessoas de 8 a 15 anos do Cantão Mocha, Equador

Christian Paul Ocaña Caluña a
Public Health Ministry of Ecuador, Ecuador
Sandra Magdalena Macías Ceballos
Central University of Educador, Ecuador

Types of Upper Lip Frenulum Insertion Associated with Diastema in 8-to-15-Year-Old Children of Mocha Canton, Ecuador*

Universitas Odontológica, vol. 40, pp. 1-8, 2021

Pontificia Universidad Javeriana

Received: 04 September 2020

Accepted: 07 February 2021

Abstract: Background: Frenula are fold-like structures of connective tissue that are inserted into the upper jawbone. This anatomical structure, which often goes unnoticed during the oral exam, presents insertion variations that are associated with diastemas, phonetic, periodontal, and orthodontic issues. Purpose: To identify the type of upper labial frenulum insertion associated with the presence of diastemas, in students aged 8 to 15 who attend the Vicente Anda Aguirre Educational Unit of the Mocha Canton, Ecuador. Methods: A descriptive study with a cross-sectional observational design, with a sample of 300 8-to-15-year-old children, who met the inclusion and exclusion criteria, was carried out. A clinical examination and photographic records of the upper labial frenulum were carried out/obtained to analyze the variables: type of insertion and presence of diastemas in relation to age and gender. Through Chi square test and linear regression, the association between these variables was evaluated (p = 0.05). Results: 44.67 % presented an upper lip frenulum with gingival insertion. Penetrating papillary insertion was found in 27.54% and was more closely related to the presence of diastema, with the mild type being the one that occurred most frequently (66.67 %) regardless of sex. Conclusions: Age showed a close relationship with the frenulum insertion site, being its most coronal location at an early age. Therefore, it could be a predisposing factor for the appearance of diastemas.

Keywords: Aberrant frenulum, dentistry, diastema, insertion, lip frenulum, mixed dentition, oral anatomy, orthodontics, upper lip.

Resumen: Antecedentes: Los frenillos son estructuras a manera de pliegues de tejido conectivo que se insertan en el hueso maxilar superior. Esta estructura anatómica, que pasa muchas veces desapercibida durante el examen bucal, presenta variaciones de inserción que están asociadas a diastemas, problemas fonéticos, periodontales y ortodónticos. Objetivo: Identificar el tipo de inserción del frenillo labial superior asociado a la presencia de diastemas, en estudiantes de 8 a 15 años que acuden a la Unidad Educativa Vicente Anda Aguirre del Cantón Mocha, Ecuador. Métodos: Se realizó un estudio descriptivo de diseño observacional transversal, con una muestra de 300 niños de 8-15 años de edad, quienes cumplieron con los criterios de inclusión y exclusión. Se realizó examen clínico y registro fotográfico del frenillo labial superior para analizar las variables: tipo de inserción y presencia de diastemas en relación con la edad y el género. Mediante las pruebas de Chi cuadrado y regresión lineal se evaluó la asociación entre estas variables (p=0,05). Resultados: 44,67 % de los participantes presentaba frenillo labial superior con inserción gingival. La inserción papilar penetrante se halló en el 27,54 % y tuvo mayor relación con la presencia de diastema, siendo el de tipo leve el que se presentó con mayor frecuencia (66,67 %) independientemente del sexo. Conclusiones: La edad mostró estrecha relación con el sitio de inserción del frenillo, siendo su ubicación más coronal en edades tempranas. Por lo tanto, es un factor predisponente para la aparición de diastemas.

Palabras clave: Anatomía bucal, anatomía oral, dentición mixta, diastema, frenillo aberrante, frenillo labial, inserción, labio superior, odontología, ortodoncia.

Resumo: Antecedentes: Frênulas são estruturas semelhantes a dobras de tecido conjuntivo que são inseridas no osso maxilar superior. Essa estrutura anatômica, que muitas vezes passa despercebida durante o exame oral, apresenta variações de inserção que estão associadas a diastemas, problemas fonéticos, periodontais e ortodônticos. Objetivo: Identificar o tipo de inserção do frênulo labial superior associado à presença de diastemas, em alunos de 8 a 15 anos que frequentam a Unidade Educacional Vicente Anda Aguirre do Cantão de Mocha, Equador. Métodos: Foi realizado um estudo descritivo com desenho observacional transversal, com amostra de 300 crianças de 8 a 15 anos, que atenderam aos critérios de inclusão e exclusão. Foi realizado exame clínico e registro fotográfico do frênulo labial superior para análise das variáveis: tipo de inserção e presença de diastemas em relação à idade e sexo. Por meio do teste Qui-quadrado e regressão linear, avaliou-se a associação entre essas variáveis (p = 0,05). Resultados: 44,67 % apresentaram frênulo do lábio superior com inserção gengival. A inserção papilar penetrante foi encontrada em 27,54 % e esteve mais relacionada à presença de diastema, sendo o tipo leve o que ocorreu com maior frequência (66,67 %) independente do sexo. Conclusões: A idade apresentou estreita relação com o local de inserção do frênulo, sendo sua localização mais coronal em idade precoce. Portanto, pode ser um fator predisponente para o aparecimento de diastemas.

Palavras-chave: Anatomia oral, dentição mista, diastema, frênulo aberrante, frênulo labial, inserção, lábio superior, odontologia, ortodontia.

INTRODUCTION

Upper labial frenulum appears as a band of fibrous tissue that inserts in the midline of the upper jaw. Its main function is to attach the lips, cheeks, and tongue through its elastic fibers (1-2). At times, its insertion site and its morphology may vary, which can generate functional and aesthetic problems (1). Frenula are usually indicators of alterations in the position of the teeth. An abnormal upper labial frenulum is generally associated with a diastema between the upper central incisors. Depending on their location in the mouth, the following types of frenulum are identified: upper and lower central labial; lateral labial on upper and lower jaws; and lingual located below the tongue (2).

A normal implantation of the upper labial frenulum occurs at the bottom of the sulcus (starting point) that extends towards the inner face of the lips and inserts into the periosteum on the midline, at the site of attachment of the maxillae (2 ). Sometimes, their insertion does not end at this point, but they do so on the alveolar ridge, which leads to the most common consequences of poor dental positions, periodontal, phonetic, and diastema problems. Clinical inspection is the first means of determining the presence of an abnormal frenulum. Subsequently, it is confirmed by the Graber test, pulling the lip upward and forward to observe if the interdental papilla turns ischemic. In that case, it is considered positive (3).

When there is a gingival insertion of the frenulum, the sulcus dilates, which allows the accumulation of bacterial plaque and leads to the appearance of periodontal problems, gingival recessions and, even, the loss of the gingival papilla, since it makes it difficult to perform hygiene of the zone. From a prosthetic point of view, the frenulum interferes with the support and adaptation of the patient to a prosthesis. In terms of phonetics, short frenula interfere with the mobility of the lip and prevent the correct pronunciation of some words (3). The appearance of the mid-maxillary diastema is closely related to the anomalous frenulum. A diastema is defined as a >1-mm space between the mesial faces of the maxillary central incisors (4). Its appearance is normal in primary and mixed dentition, while in permanent dentition the eruption of the canines and second molars closes the space during physiological migration (5).

Barrancos, cited by Delli et al. (6), classifies diastemas according to size as small, when the space is <2 mm; medium 2-6 mm; and large >6 mm (6). A diastema located between primary central incisors is a useful feature to predict whether there will be enough space for the eruption of anterior teeth, or whether the permanent dentition will be crowded (6). The frenulum-diastema relationship has been extensively studied. However, a controversy persists as to whether a space between incisors allows a wide frenulum to develop, or whether a frenulum over-insertion and abnormal position are what originate the diastema (7). In the literature on the types of insertion, the most used classification is Mirko et al. (1), who identify the following types of insertion: mucosa, gingival, papillary, and penetrating papillary.

In the past, oral frenula were not considered a problem, thus they were not given importance. Their evaluation to establish a diagnosis was infrequent because morphological or insertion variations and their consequences were not considered (8). In recent years, studies, mostly in European and Asian populations, have been carried out on the formation, importance, and treatment alternatives of the frenulum (such as frenectomy). By not making a good diagnosis and performing this surgical technique will cause another problem (9). In Latin America, research on the topic considering racial and ethnic factors is limited. It is important to identify the frequency and the effects that may generate an aberrant frenulum or the appearance of diastemas (10).

Previous research carried out in urban population of Ecuador shows variations regarding insertion site and morphology of the upper labial frenulum. However, they do not consider the relationship between insertion and the presence of diastemas. For this reason, this study aimed to identify the type of insertion of the upper labial frenulum and associate it with the presence of diastemas, in students between 8 and 15 years of age who attended the Vicente Anda Aguirre Educational Unit of the Mocha Canton, Ecuador. The majority were children and adolescents living in a rural community with limited access to public or private health services. Often, aesthetics associated with the presence of diastemas is a factor that worries young people (11).

MATERIALS AND METHODS

A descriptive study with a cross-sectional observational design was carried out in a population of 418 people. The estimated sample, with an alpha error of 3 % and a reliability of 95 %, consisted of 300 students between 8 and 15 years of age, who were randomly selected and met the inclusion criteria: presence of four permanent upper incisors, not being under orthodontic treatment, not having undergone surgical intervention in the area to be evaluated, absence of habits, presence of carious lesions, and abnormalities of dental morphology. A signed informed consent was obtained from the children’s representatives. Those who wore braces or had incisor delayed eruption were excluded. The project received approval by the Ethics Committee of the Central University of Ecuador.

A clinical inspection of the area around the upper labial frenulum and the two permanent central incisors was performed. The lip was lifted with the thumb and index fingers of both hands to identify the insertion site and the existence of diastema. If a diastema was observed, the space between the mesial surfaces of the central incisors was measured with an OMS periodontal probe. This measurement was complemented with a photograph of the area.

Prior to data collection, the researcher was trained and calibrated by an oral surgeon and an orthodontist. During the theoretical and practical sessions to calibrate the researcher on the types of insertion, the agreement between observers was also evaluated, with the advice of the same specialists, for which 30 intraoral photographs of the upper labial frenulum of people between 8 and 15 years of age were taken at random. Each observer used Mirko et al. (1) classification for frenula and Barrancos’ (6) classification for diastemas. Average intraclass concordance coefficient of 0.76 was obtained, which was considered “good”. This ensured a reliable clinical interpretation and registration of the samples by the investigator. Images were not included in the study statistics.

In a Microsoft Excel 2013 spreadsheet, data of the dependent (type of insertion, presence, and type of diastema) and independent variables (age and gender) were collected. The numerical and percentage analysis of each variable was done in the SPSS 2.0 using a 95% confidence interval (p <0.5). Pearson's Chi square test was applied in order to cross the variables with age and sex. Likewise, a linear regression was used to analyze the distribution of the variables compared with sex and age groups.

RESULTS

After examining 300 children aged between 8 and 15 years, it was found that 50.67 % were female and the rest were males. Regarding age, 28.66 % were in the 8-9 years group, followed by the 12-13 years group (27.33 %), the 10-11 years group (24.66 %), and the 14-15 years (19.33 %). The most prevalent insertion was gingival (44.67 %), while penetrating papillary was present in 6.63 % cases (Figures 1,2,3,4). The inferential analysis showed a statistically significant relationship between insertion site and age, since at early ages the insertion site was more coronal. This could then be an important factor in the appearance of diastemas (Table 1).

Table 1
Prevalence of Upper Lip Frenulum Type of Insertion
Prevalence of Upper Lip Frenulum Type of Insertion

Gingival Insertion
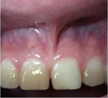
Figure 1
Gingival Insertion

Penetrating Papillary Insertion
Figure 2
Penetrating Papillary Insertion

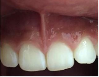
Mucosal Insertion
Figure 3
Mucosal Insertion

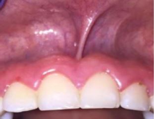
papillary Insertion
Figure 4
papillary Insertion

Regarding gender and insertion site, there was no statistically significant relationship. The gingival insertion frenulum was predominant in both genders, which means that, in both men and women, all insertion variables can be present (Table 2).

Table 2
Prevalence of Upper Lip Frenulum Insertion Type According to Gender
Prevalence of Upper Lip Frenulum Insertion Type According to Gender

Only 23% of the sample presented diastemas. The type of insertion mostly associated with the presence of diastemas was the penetrating papillary (27.54 %). However, the largest number of diastemas was found in people aged 8-9 years (50.72 %) and to a lesser extent the age group of 14-15 years (8.69 %). Thus, there was a statistically significant relationship between age and presence of diastemas, because from the age of 11, the space reduction between incisors begins with the eruption of the canines.

Likewise, males showed the highest number of diastemas (56.52 %) when compared to females. Thus, the difference between size and shape of the maxilla, as well as the skeletal pattern, may be associated with changes in the insertion site of lip frenulum and therefore the presence of diastemas. Regarding the type of diastema, 66.67 % presented a small diastema, 23.19 % the medium size, and 10.14 % were large (Table 3).

Table 3
Relationship Between Upper Lip Frenulum Insertion, Age, Gender, and Presence of Diastemas
Relationship Between Upper Lip Frenulum Insertion, Age, Gender, and Presence of Diastemas

DISCUSSION

An abnormal insertion of the frenulum is often related to the presence of diastemas. In such cases, surgical intervention is considered as a solution. A lack of knowledge regarding the shape and insertion, as well as the consequences that any of these variations can bring, usually leads to premature or inappropriate treatments (12). This is particularly important in rural areas where access to public or private healthcare is limited. A clinical examination and photographic analysis of 300 people between 8 and 15 years of age from the rural area of the Mocha canton, Ecuador, was performed. It was found the gingival-type insertion, according to the classification of Mirko et al. (1), had a higher prevalence (44.67 %), while the penetrating papillary type was the most frequently related to the presence of diastemas (27.54 %). The 8-9 year-old group presented the highest number of these cases.

In 2013, Upadhyay and Ghimire (5) studied a population aged 1 to 14 years in Nepal, and Jindal et al. (13) in 2016 examined a population aged 16 to 40 years in India, to determine the most prevalent insertion type. In these age ranges, gingival insertion was more prevalent in the former and mucosal insertion was more prevalent in the latter. They established there is a relationship between age and type of insertion since the growth and development of both the maxilla and the teeth cause the frenulum to undergo a migration in coronal-apical direction (14). This migration becomes stronger between 11 and 16 years due to the growth trend in the coronal direction of the alveolar ridge (15). In early ages, frenulum insertions are more coronal than apical, without gender being a determining factor in the insertion site (16).

Both the papillary and the penetrating papillary insertions were classified according to Mirko et al. (1) as abnormal and were common in children between 5 and 9 years old. Dasgupta et al. (17) indicate that when a diastema is present and the causal factor is a frenulum, both types of insertions are the most frequent. In this study, the type of insertion with the highest prevalence in those with diastemas was the penetrating papillary (27.54 %). Of the total sample studied, 23 % had some type of diastema, being the 8-to-9-year-old group the one with the highest frequency and showed an association of age with the presence of diastemas and type of insertion. Jonathan et al. (18) state the eruption process of canines between 11 and 12 years favors the closure of diastemas, which are frequent at an early age. They are even a sign that the permanent dentition will have a good location and harmonization within the oral cavity.

When finding people with diastemas, after 11 and 12 years, with a penetrating papillary insertion, a significant relationship between aberrant insertion and diastema can be established (18). When taking into account demographics, habits, and beliefs of the rural population studied, this condition is not of great importance, even for aesthetics (19). In such cases, the search for a solution is rare, so the diastemas related to aberrant insertions remain (20).

CONCLUSIONS

By having a greater number of participants under 11 years of age, when there is an inflection point due to the eruption of the canines and changes in the growth of the alveolar ridge, the insertion of the gingival type was found to be more prevalent. The assumption that the lower the age, the lower the frenulum insertion is confirmed.

On the other hand, penetrating papillary insertion was present in most of the people who presented diastema. Thus, the need for a correct assessment and treatment plan is established by professionals who serve in rural areas, who on many occasions overlook the evaluation of oral structures as a whole to focus predominantly on the teeth.

RECOMMENDATIONS

To consider in future studies on the subject age groups of different race, ethnicity, and demographic location, in order to have new findings, increase evidence, and be able to determine the possible association of environmental and sociocultural factors, the variation of the insertion site of the upper lip frenulum. This would also look to assess the impact that an untreated aberrant insertion may have on the person’s whole development. Likewise, it is recommended to encourage the dental staff to inspect variations this structure may have in order to conduct optimal treatments when necessary.

REFERENCES

1. Mirko P, Miroslav S, Lubor M. Significance of the labial frenum attachment in periodontal disease in man. Part 1. Classification and epidemiology of the labial frenum attachment. J Periodontol. 1974 Dec; 45(12): 891-894. https://doi.org/10.1902/jop.1974.45.12.891

2. Boutsi EA, Tatakis DN. Maxillary labial frenum attachment in children. Int J Paediatr Dent. 2011 Jul; 21(4): 284-288. https://doi.org/10.1111/j.1365-263X.2011.01121.x

3. Oquendo A, Brea L, David S. Diastema: correction of excessive spaces in the esthetic zone. Dent Clin North Am. 2011 Apr; 55(2): 265-281. https://doi.org/10.1016/j.cden.2011.02.002

4. Devishree, Gujjari SK, Shubhashini PV. Frenectomy: a review with the reports of surgical techniques. J Clin Diagn Res. 2012 Nov; 6(9): 1587-1592. https://doi.org/10.7860/JCDR/2012/4089.2572

5. Upadhyay S, Ghimire N. Attachment of maxillary labial frenum in Nepalese children. Orthod J Nepal. 2013 Jun; 2(1): 38-31. https://doi.org/10.3126/ojn.v2i1.9291

6. Delli K, Livas C, Sculean A, Katsaros C, Bornstein MM. Facts and myths regarding the maxillary midline frenum and its treatment: A systematic review of the literature. Quintessence Int. 2013 Feb; 44(2): 177-187. https://doi.org/10.3290/j.qi.a28925

7. Abrahams R, Kamath G. Midline diastema and its aetiology—a review. Dent Update. 2014 Jun; 41(5): 457-464. https://doi.org/10.12968/denu.2014.41.5.457

8. Mohan R, Soni P, Gundappa M, Krishna M. Proposed classification of medial maxillary labial frenum based on morphology. Dent Hypotheses. 2014 Mar; 5(1): 2-6. https://doi.org/10.4103/2155-8213.128108

9. Suter VGA, Heinzmann A-E, Grossen J, Sculean A, Bornstein MM. Does the maxillary midline diastema close after frenectomy? Quintessence Int. 2014 Ene; 45(1): 57-66. https://doi.org/10.3290/j.qi.a30772

10. Díaz A, Puerta MA, Verbel J. Manejo quirúrgico de frenillos labiales sobreinsertados: reporte de caso. Rev Salud Bosque. 2015 Ago; 4(1): 69-74. https://doi.org/10.18270/rsb.v4i1.33

11. Castro-Rodríguez Y, Grados-Pomarino S. Relación entre frenillos labiales y periodonto en una población peruana. Rev Clin Periodon Implantol Rehabil Oral. 2016 Oct; 6(2): 24-34. http://dx.doi.org/10.1016/j.piro.2016.09.006

12. Guerrero BE. Revisión para el manejo del frenillo Labial. Rev Med Basadrina. 2016 Oct; 10(2): 52-57. https://doi.org/10.33326/26176068.2016.2.606

13. Jindal V, Kaur R, Goel A, Mahajan A, Mahajan N, Mahajan A. Variations in the frenal morphology in the diverse population: A clinical study. J Indian Soc Periodontol. 2016 Jul; 20(3): 320-323. https://doi.org/10.4103/0972-124X.182598

14. Sękowska A, Chałas R. Diastema size and type of upper lip midline frenulum attachment. Folia Morphol (Warsz). 2016 Oct; 76(3): 501-505. https://doi.org/10.5603/FM.a2016.0079

15. Santa Maria C, Aby J, Truong MT, Thakur Y, Rea S, Messner A. The superior labial frenulum in newborns: What is normal? Glob Pediatr Health. 2017 Jul; 10(4): 1-6. https://doi.org/10.1177/2333794X17718896

16. Castro-Rodríguez Y. Tratamiento del frenillo aberrante, frenectomía y frenotomía. Revisión de tema. Rev Nac Odontol. 2017; 14(26): 1-10.

17. Dasgupta P, Kamath G, Hs S, Babshet M, Doddamani L. Morphological variations of median maxillary labial frenum: A clinical study. J Stomatol Oral Maxillofac Surg. 2017 Dec; 118(6): 337-341. https://doi.org/10.1016/j.jormas.2017.06.018

18. Jonathan PT, Thakur H, Galhotra A, Galhotra V, Gupta N. Maxillary labial frenum morphology and midline diastema among 3 to 12-year-old schoolgoing children in Sri Ganganagar city: A cross-sectional study. J Indian Soc Pedod Prev Dent. 2018 Sep; 36(3): 234-239. https://doi.org/10.4103/JISPPD.JISPPD_51_18

19. Prasad KN, Sabrish S, Mathew S, Shivamurthy PG, Pattabiraman V, Sagarkar R. Comparison of the influence of dental and facial aesthetics in determining overall attractiveness. Int Orthod. 2018 Dec; 16(4): 684-697. https://doi.org/10.1016/j.ortho.2018.09.013

20. Encalada Verdugo L, Garcia-Rupaya CR, Del Castillo López CE. Calidad de vida relacionada a la salud oral en escolares del sector urbano y rural. Cañar, Ecuador. Rev Estomatol. Herediana. 2018 Jul; 28(2): 105-114. https://doi.org/10.20453/reh.v28i2.3326

Notes

* Original research
How to cite this article Ocaña Caluña CP, Macías Ceballos SM. Types of Upper Lip Frenulum Insertion Associated with Diastema in 8-to-15-Year-Old Children of Mocha Canton, Ecuador. Univ Odontol. 2021; 40. https://doi.org/10.11144/Javeriana.uo40.tulf

Author notes

Authors’ Note:aCorrespondence: christiano20102011@hotmail.com; jimmacec@yahoo.com

HTML generated from XML JATS4R by