Suplemento Especial: Bambu
Micropropagation, plantlets production estimation and ISSR marker-based genetic fidelity analysis of Guadua magna and G. angustifolia
Micropropagação, estimativa da produção de mudas e análise da fidelidade genética baseada em marcadores ISSR de Guadua magna e G. angustifolia
Micropropagation, plantlets production estimation and ISSR marker-based genetic fidelity analysis of Guadua magna and G. angustifolia
Pesquisa Agropecuária Tropical, vol. 49, pp. 1-9, 2019
Universidade Federal de Goiás
Recepción: 29 Junio 2018
Aprobación: 12 Noviembre 2018
Publicación: 22 Marzo 2019
Abstract: The bamboo species Guadua magna and G. angustifolia have been propagated nearly exclusively by conventional techniques of vegetative propagation. Micropropagation is a promising technique and an alternative to conventional ones. This study aimed to micropropagate plants, estimate the plantlets production and analyze the genetic fidelity of G. magna and G. angustifolia by ISSR molecular markers. Mother plants of both species were cultivated in a greenhouse, and either sprayed or not with fungicide. In the laboratory, microcuttings were disinfested and established in MS culture medium with 3.0 mL L-1 of Plant Preservative Mixture (PPM®) and 1 mL L-1 of Carbendazin®. The contamination-free shoots were multiplied in liquid or semi- solid MS medium with 3.0 mg L-1 of BAP for five subcultures. Rooting was performed in liquid or semi-solid MS1/2 medium, plus 3.0 mg L-1 of IBA. Acclimatization was performed on a commercial substrate, in a growth chamber, and the genetic fidelity of the clones produced was analyzed via ISSR markers. The addition of fungicide and PPM® to the medium reduced the contamination in G. magna, but not in G. angustifolia. The liquid medium was more efficient than the semi-solid one for the multiplication of both species, which showed production potentials between 760 and 920 plants per initial microcutting, after five subcultures. Rooted plants exhibited a survival rate of up to 100 % in acclimatization. No polymorphic regions were found in the clones analyzed by ISSR at the end of the fifth subculture, suggesting that micropropagation is a safe technique for the large-scale multiplication of bamboos.
Keywords: Bambusoideae, clonal fidelity, molecular markers, vegetative propagation.
Resumo: Os bambus Guadua magna e G. angustifolia têm sido propagados vegetativamente quase que exclusivamente por técnicas convencionais de propagação. Objetivou-se micropropagar, estimar a produção de mudas e analisar a fidelidade genética de G. magna e G. angustifolia por marcadores moleculares ISSR. Plantas matrizes de ambas as espécies foram cultivadas em casa-de-vegetação e pulverizadas ou não com fungicida. Em laboratório, microestacas foram desinfestadas e estabelecidas em meio MS com 3,0 mL L-1 de Plant Preservative Mixture (PPM®) e 1 mL L-1 de Carbendazin®. As brotações livres de contaminação foram multiplicadas em meio MS líquido ou semissólido com 3,0 mg L-1 de BAP, por cinco subcultivos. O enraizamento foi realizado em meio de MS1/2 líquido ou semissólido, acrescido de 3,0 mg L-1 de AIB. A aclimatização foi realizada em substrato comercial, em câmara de crescimento, sendo a fidelidade genética dos clones produzidos analisada por marcadores ISSR. A adição de fungicida e PPM® ao meio reduziu a contaminação em G. magna, mas não em G. angustifolia. O meio líquido foi mais eficiente que o semissólido para multiplicação das espécies, as quais mostraram potenciais de produção entre 760 e 920 plantas por microestaca inicial, após cinco subcultivos. Plantas enraizadas apresentaram sobrevivência de até 100 % na aclimatização. Não foram observadas regiões polimórficas nos clones analisados por ISSR ao final do quinto subcultivo, sugerindo que a micropropagação é uma técnica segura para a multiplicação de bambus em larga escala.
Palavras-chave: Bambusoideae, fidelidade clonal, marcadores moleculares, propagação vegetativa.
INTRODUCTION
The Guadua Kunt genus belongs to the Poaceae family and Bambusoideae subfamily. It is endemic to the Americas and stands out among the New World woody bamboos for its social, economic and cultural importance, with use dating back to pre-Columbian times. In this genus, 19 native and 5 endemic species are recognized, distributed across Brazil. The G. magna (Londoño & Filg.) species is endemic to Brazil and has morphological characteristics similar to G. angustifolia (Kunth), reaching 30 m in height and 15 cm in diameter, and having the conspicuous presence of thorns on the culm nodes (Filgueiras & Viana 2017).
Due to factors such as the long and irregular flowering cycles and low seed viability, bamboos are almost exclusively vegetatively propagated by conventional techniques (Mudoi et al. 2013). However, although efficient from a technical viewpoint, these techniques are costly, with low efficiency to provide large-scale plantlets for the production sector. These facts justify the need for new and more efficient techniques for the large-scale propagation of species of interest. Micropropagation techniques may be a viable alternative for the propagation of these plants (Jiménez et al. 2006, Nogueira et al. 2017).
G. magna is a species that has only recently been described (Filgueiras & Londoño 2006) and there are no studies on its in vitro culture methods. As for G. angustifolia, it is possible to find complete micropropagation protocols in the literature (Jiménez et al. 2006). However, the results of these protocols are often divergent, and it is not always possible to reproduce them (Nogueira et al. 2017). In fact, the first obstacle to the development of a protocol is the efficient in vitro establishment of bamboo (Nogueira et al. 2017). In this stage, explant necrosis and oxidation of plant material are common occurrences, as well as contamination by fungi and bacteria. A second aspect is the determination of growing conditions that can generate large numbers of plants at the end of the process, without the occurrence of genetic variation of the material due to subcultures. Such variations may be due to a number of factors, but most of them are linked to the use of growth regulators in the culture medium and the excessive number of subcultures of the plant material (Bairu et al. 2011).
Conventionally, the genetic fidelity and homogeneity of micropropagated plants are evaluated using molecular tools. Inter Simple Sequence Repeats (ISSR) markers are widely used in micropropagation, because they have a good reproducibility and do not require the development of specific primers. Additionally, if compared to other types of markers, this is a fast, simple and low-cost technique (Mukherjee et al. 2010).
This study aimed to establish a micropropagation protocol, estimate plantlets production and analyze by ISSR the genetic fidelity of Guadua magna and G. angustifolia plants.
MATERIAL AND METHODS
The micropropagation experiments for the Guadua magna and G. angustifolia bamboo species were conducted at the Embrapa Recursos Genéticos e Biotecnologia, in Brasília, Brazil, from December 2014 to November 2016.
The G. magna explants were obtained from ten newly germinated native matrices in the region of Santa Terezinha, Goiás state, Brazil. The G. magna plants were grown under greenhouse conditions [during 30 days, five matrices were sprayed weekly with Mythos® contact fungicide (0.7 mL L-1), while the rest were not sprayed with fungicide]. Three G. angustifolia matrices were obtained by vegetative propagation and cultivated in a greenhouse. Due to the low availability of plants to carry out the control, they were not submitted to fungicide sprays.
For the in vitro establishment under aseptic conditions, nodal segments containing at least one lateral bud extracted from matrices kept in the greenhouse were disinfested, first being immersed in 70 % alcohol for 1 min, then in mercury chloride (HgCl2) at 0.1 % for 5 min, and in the fungicide Carbendazin® (1 mL L-1) for additional 30 min. Next, 1-1.5 cm microcuttings were inoculated in test tubes (25 mm x 150 mm) containing 10 mL of MS medium (Murashige & Skoog 1962) in three treatments: MS at its normal composition; MS supplemented with 3 mL L-1 of Plant Preservative Mixture (PPM®); and MS plus 1 mL L-1 of Carbendazin® (fungicide). In the three formulations, 30 g L-1 of sucrose and 2.3 g L-1 of Phytagel® were also added. The percentages of contamination were evaluated after 30 days of cultivation.
The buds averaging 2-4 cm obtained from the establishment of the microcuttings and free of contamination were transferred to test tubes containing 10 mL of liquid MS medium (LM) and semi-solid medium (SSM). In the culture media, 20 g L-1 of sucrose and 3 mg L-1 of N6- Benzylaminopurine (BAP) were added (Jiménez et al. 2006). For the semi-solid medium, 2.3 g L-1 of Phytagel® were used as a gelling agent.
Under these conditions, the propagules were cultivated for a period of five successive 30-day subcultures. After each of them, the number of shoots and nodes were evaluated, as well as the shoot height and survival rate. At the end of the five subcultures, the production of plantlets was estimated, as a function of the number of nodes and shoots produced in each subculture per inoculated explant.
At the end of the fifth subculture, the shoots obtained during multiplication, with height ranging from 2.5 cm to 6.0 cm, were transferred to test tubes containing 10 mL of MS medium with half the salts concentration (MS1/2), at liquid (LM) and semi-solid (SSM) consistency, plus 3 mg L-1 of indolebutyric acid (IBA) (Waikhom & Louis 2014). In addition to the auxin, 20 g L-1 of sucrose were added to the medium and, for solidification of the semi-solid medium, 2.3 g L-1 of Phytagel® were added. After 30 days of in vitro cultivation, the percentage of rooting was verified, as well as the number and length of roots formed.
In all the culture media used, the pH was adjusted to 5.8 ± 0.1 prior to the addition of Phytagel®, when required, undergoing sterilization by autoclaving at 121 ºC at 1.5 atm, for 20 min. The cultures were conditioned in a growth room at a temperature of 25 ± 2 ºC, with a photoperiod of 16 h and irradiation of 100 µmol m-2 s-1 provided by LED lamps (Phillips). After rooting, the plants that exhibited well- developed roots and shoots, with upright stems and well-developed leaves, were transferred to plastic cups with capacity of 300 mL containing the Bioplant® commercial substrate, where they were kept in a BOD-type growth chamber (Percival Model®) at a temperature of 25 ± 1 ºC and a photoperiod of 16 h, at a luminous intensity of 20 µmol m-2 s-1, for 30 days. In this process, the plantlets remained the first 15 days covered by polyethylene bags (15.5 cm x 21.0 cm) with small holes at the ends. After acclimatization, the survival rate of the plantlets was evaluated.
In all the experiments, the experimental design was completely randomized, composed of 10 replicates per treatment, each formed by one test tube. The only exception was for rooting, where 20 replicates were used. In these tests, the data obtained were submitted to analysis of variance and the averages were compared by the Tukey test at 5 % of significance, using the Sisvar software.
At the end of the fifth subculture of the multiplication experiment, samples of 32 plants from each medium consistency (SSM and LM) were selected for G. magna and G. angustifolia to verify the genetic fidelity using ISSR markers. For genomic DNA extraction, the method described by Doyle & Doyle (1990) was used. Then, the analyses by these molecular markers were performed as reported by Goyal et al. (2015). In all, 57 primers were tested, and the 20 that presented a better resolution and higher quantity of bands were selected (Table 1).
RESULTS AND DISCUSSION
The pretreatment of the G. magna mother plants with the contact fungicide did not influence the reduction of the contamination rate during the in vitro establishment. However, the addition of the systemic fungicide Carbendazin® and the bacteriostatic PPM® to the culture medium positively influenced the reduction of the contamination to the G. magna species. This behavior was not observed for G. angustifolia (Figure 1a). Seeking to reduce the contamination during the establishment stage, some authors have reported the use of fungicides and mercury chloride during the disinfestation of the explants (Mishra et al. 2008, Singh et al. 2012), as well as the addition of antifungal and bacteriostatic agents to the culture medium. Jiménez et al. (2006), studying G. angustifolia, reduced the contamination of field material, as well as from greenhouse, when they pre-disinfested the nodal
| Primer | Primer sequence (5’ - 3’) | Primer code | Primer sequence (5’ - 3’) |
| 11zm | TGTCACACACACACACAC | 50zm | CCAGCTGCTGCTGCT |
| 12zm | GGTCACACACACACACAC | 51zm | GCACCCACACACACACACACACA |
| 15zm | GTGCACACACACACACAC | 52zm | GGCACCACACACACACACACACA |
| 16zm | CGGCACACACACACACAC | 53zm | CGCAACACACACACACACACACA |
| 17zm | CAGCTCTCTCTCTCTCTC | 54zm | GGCTACACACACACACACACACA |
| 18zm | GTGCTCTCTCTCTCTCTC | 55zm | CCTCCACACACACACACACACA |
| 19zm | CCTGCACACACACACACAC | 56zm | GCTACCACACACACACACACACA |
| 35zm | AGCAGCAGCAGCG- | 57zm | CGTCCACACACACACACACACA |
| 38zm | AGCAGCAGCAGCAT | 58zm | CGAACCACACACACACACACACA |
| 39zm | AGCAGCAGCAGCAC | UBC 10 | GAGAGAGAGAGAGAGAT |

explants with Benomyl® and added PPM® to the culture medium. Ramanayake et al. (1997) also reduced the contamination rate during the micropropagation of Dendrocalamus giganteus (Munro) by adding the fungicide Benomyl® to the culture medium. In this study, the addition of fungicide and PPM® to the culture medium showed to be a viable alternative for reducing contamination during the in vitro establishment, especially for G. magna, where the contamination rate did not exceed 30 %, when using these agents.
Throughout the multiplication stage, it was observed that, for G. magna, the number of shoots remained around 3.8 up to the fourth subculture. After this period, there was a significant reduction in both consistencies of culture medium, which, on average, started to present only 1.6 shoots per explant. For this variable, no significant differences were observed between the two medium consistencies evaluated (Table 2).
For shoot height, it was found that, in liquid medium (LM), there was an increase starting from the fourth subculture (5.0 cm). However, for the semi- solid medium (SSM), the highest height was observed in the first subculture (3.3 cm), with reduction of this variable from the second subculture onwards. When comparing the two medium consistencies, LM was significantly superior to SSM for the evaluated characteristics. When evaluating the number of nodes

The values represent the average of the replicates ± the standard error. Average values followed by the same letter (lowercase in the column and uppercase in the row) do not differ significantly by the Scott-Knott test at 5% of probability. Determination coefficient (R²) of the regression equation:
* significant at 1 % of probability;
** significant at 5 % of probability; ns not significant.
formed in each subculture, there was a significant reduction in the formation of these nodes, starting from the third subculture in LM, whereas, in SSM, this reduction was observed from the second subculture onwards, with the lowest node formation in the fifth subculture (1.2). Comparing the culture medium consistencies, significant differences were observed only in the second subculture, where LM allowed the formation of 6.3 nodes, on average, while SSM allowed the formation of only 2.7 nodes. Throughout the five subcultures, the survival rate of the shoots used in vitro during multiplication was also evaluated. It was observed that, starting from the fourth subculture, there was a significant reduction in the survival rate (47 %) in LM. In SSM, the frequency was 43 %, starting from the fifth subculture of G. magna.
In G. angustifolia, upon evaluating the number of shoots, a lower formation was observed in LM during the first, second and fifth subcultures. For SSM, no differences were observed throughout the subculture series. Among the medium consistencies, there were significant differences between LM and SSM, with 5.9 and 2.4 shoots, respectively, only in the third subculture (Table 3). For the shoot height and number of nodes, a significant difference was observed only in the average of subcultures between the liquid and semi-solid media. When evaluating the survival rate of G. angustifolia shoots, it was observed that the frequency was 80-88 % in the subcultures in LM and 88-100 % in the subcultures in SSM, except for the fourth subculture in LM, which showed a 64 % survival rate in the number of inoculated explants. As described by Sandhu et al. (2018), a regular transfer to the fresh medium is essential to maintain the growth and vigor of the shoots and prevent the phenolic oxidation of different bamboo species. For both G. magna andG. angustifolia, with renewal of the culture medium every 30 days, little or no deposition of phenolic compounds was observed in the medium.
For most of the variables evaluated throughout the subculture series, the explants presented a similar behavior, irrespective of the culture medium, although LM presented higher values for some variables than SSM. Negi & Saxena (2010), performing the micropropagation of Bambusa balcooa (Roxb.), reported that LM allowed a higher multiplication rate than SSM. The authors further described the occurrence of hyperhydricity in the explants after subsequent cultures in the liquid medium, what was not observed during the subsequent cultures of the species in this study.
By the end of the fifth subculture, there was a marked decrease in the development of the evaluated traits, when compared to the previous subcultures. This result corroborates those of Mishra et al. (2008), who described a decrease in the multiplication rate of Bambusa tulda (Roxb.) after the fifth subculture, with the occurrence of yellowish and atrophied shoots. Thus, it is possible to infer that the multiplication of these two bamboo species for five or more subcultures is not effective for the production of new plants.

The values represent the average of the replicates ± the standard error. Average values followed by the same letter (lowercase in the column and uppercase in the row) do not differ significantly by the Scott-Knott test at 5 % of probability. Determination coefficient (R²) of the regression equation: * significant at 1 % of probability; ** significant at 5 % of probability; ns not significant.
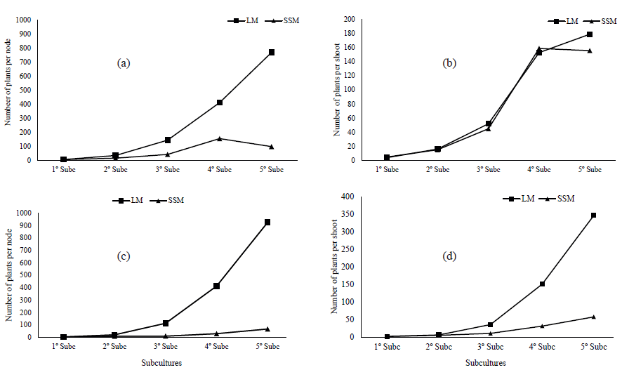
For G. magna, the plantlet production calculation from the use of nodal segments allowed to estimate a rate of around 760 plants in LM and 97 in SSM, after five subcultures of 30 days each (Figure 2a). When using whole shoots as explants for multiplication, the estimate for the production of plantlets was around 180 plants in LM and 150 in SSM (Figure 2b). For G. angustifolia, around 920 plants in LM and 70 in SSM would be produced from a single nodal segment (Figure 2c). However, starting with whole shoots, approximately 350 plants would be produced in LM and 60 in SSM at the end of five months of cultivation (Figure 2d).
In this study, the estimation of plantlets production at the end of five subcultures allowed to visualize the higher efficiency of LM in the multiplication of G. magna and G. angustifolia, if compared to SSM, when using either nodal segments or shoots as a source of explants in subcultures.
For the G. magna rooting, it was observed that the addition of 3 mg L-1 of IBA in LM and SSM influenced the reduction of the number of rooted plants, showing rates of 45 % and 30 %, respectively, not statistically different from each other. As with G. angustifolia, LM and SSM did not differ statistically, influencing the formation of 53 % and 62 % of rooted shoots, respectively (Table 4).
G. magna and G. angustifolia plants also did not present significant differences for number and length of roots, in both medium consistencies evaluated. However, G. magna plants produced, on average, 5.3 roots with a length of 1.7 cm in LM, and, on average, 4.2 roots with a length of 0.8 cm in SSM. During the rooting stage, the use of auxins is common (Singh et al. 2012). The use of 3 mg L-1 of IBA in the MS medium with half the salt concentration did not allow a satisfactory root formation for both species. Waikhom & Louis (2014) reported similar values, when using this same concentration of IBA in Bambusa tulda (45 %) and Melocanna bacifera (Roxb.) Kurz (55 %) rooting. Mishra et al. (2008), even using different concentrations of IBA for the Bambusa tulda rooting, did not obtain a percentage of rooting any higher than 60 %.
The results obtained in this study show that it is essential to perform new experiments with different


The values represent the average ± standard error. Averages followed by the same letter are not different from each other by the Tukey test at 5 % of probability.
auxins at different concentrations to select the best one for the G. magna and G. angustifolia rooting, in order to optimize the rooting protocol obtained to date, although, in previous studies carried out by our group, the lack of roots is not an impediment to the acclimatization and obtainment of high survival rates of plantlets produced in vitro, provided that good environmental conditions are maintained in the pre-acclimatization stage.
Regarding the acclimatization process, it was verified that, in G. magna, the survival rate ranged from 83 % to 100 %, respectively for LM and SSM. However, visually, the plants in LM presented a more robust appearance (greater growth) than those originating from SSM. In G. angustifolia, the survival rate varied between 80 % and 100 %, respectively for SSM and LM. In this species, the consistency of the rooting medium did not generally influence the morphological aspect of the acclimatized plants. In the acclimatization stage, the rooted plants showed a good adaptation to the ex vitro environment and developed satisfactorily, producing robust plants - characteristics that are suitable for field planting. Success in the acclimatization stage can determine the efficiency of the micropropagation protocol (Nogueira et al. 2017).
The stages of micropropagation (Figures 3A and 3B, 3H and 3I), multiplication (Figures 3C and


3D, 3J and 3K), rooting (Figures 3E and 3F, 3L and 3M) and acclimatization (Figures 3G and 3N) of G. magna and G. angustifolia, respectively, are shown in Figure 3.
For the analysis of genetic fidelity, it was found that the 20 primers allowed to amplify 223 loci for G. magna and 230 for G. angustifolia. Among the clones of the two species, no polymorphism was detected between the LM and SSM culture systems (Figure 4). Moreover, it is possible to observe that the two species belonging to the same genus have 87 % of similarity between them. The results corroborate those described by Singh et al. (2012) for Dendrocalamus asper, as well as those by Negi & Saxena (2010) for Bambusa balcooa, when reporting the same pattern of monomorphic bands by using ISSR markers.
CONCLUSIONS
1. The addition of Carbendazin® and PPM® to the MS medium helps to reduce contamination rates, and does not influence sprouting rates;
2. The liquid medium ensures a higher shoot yield per explant than the semi-solid medium;
3. The estimate of Guadua magna and G. angustifolia plant production shows that the use of nodal segments multiplied in liquid medium allows for a greater plant production;
4. Guadua magna and G. angustifolia plants produced in vitro, after the rooting stage, present high survival rates in acclimatization;
5. ter five subcultures of 30 days each, micropropagated bamboo plants do not present polymorphism, according to evaluations using ISSR markers.
Acknowledgments
The authors are grateful to the Conselho Nacional de Desenvolvimento Científico e Tecnológico (CNPq/ Grant 458151/2013-0) and Centro de Pesquisa e Aplicação de Bambu e Fibras Naturais (CPAB), for the fellowship, research grants and financial support.
REFERENCES
BAIRU, M. W.; AREMU, A. Q.; STADEN, J. V. Somaclonal variation in plants: causes and detection methods. Plant Growth Regulation, v. 63, n. 2, p. 147- 173, 2011.
DOYLE, J.; DOYLE, J. Isolation of plant DNA from fresh tissue. Focus, v. 12, n. 1, p. 13-15, 1990.
FILGUEIRAS, T. S.; LONDOÑO, X. A giant new Guadua (Poaceae: Bambusoideae) from central Brazil. In: SEMINÁRIO NACIONAL DO BAMBU, 1., 2006, Brasília, DF. Anais... Brasília, DF: CPAB/UnB, 2006. p. 27-32.
FILGUEIRAS, T. S.; VIANA, P. L. Bambus brasileiros: morfologia, taxonomia, distribuição e conservação. In: DRUMOND, P. M.; WIDEMAN, G. (Orgs.). Bambus no Brasil: da biologia à tecnologia. Rio de Janeiro: ICH, 2017. p. 10-27.
GOYAL, A. K. et al. Micropropagation and assessment of genetic fidelity of Dendrocalamus strictus (Roxb.) nees using RAPD and ISSR markers. 3 Biotech, v. 5, n. 4, p. 473-482, 2015.
JIMÉNEZ, V. M. et al. In vitro propagation of neotropical giant bamboo, Guadua angustifolia Kunth, through axilary shoot proliferation. Plant Cell Tissue and Organ Culture, v. 86, n. 3, p. 389-395, 2006.
MISHRA, Y. et al. A micropropagation system for cloning of Bambusa tulda Roxb. Scientia Horticulturae, v. 115, n. 3, p. 315-318, 2008.
MUDOI, K. D. et al. Micropropagation of important bamboos: a review. African Journal of Biotechnology, v. 12, n. 20, p. 2770-2785, 2013.
MUKHERJEE, A. K. et al. Genetic relationships among 22 taxa of bamboo revealed by ISSR and EST-based random primers. Biochemical Genetics, v. 48, n. 11-12, p. 1015-1025, 2010.
MURASHIGE, T.; SKOOG, F. A revised medium for rapid growth and bio assay with tobacco tissue culture. Physiology Plantarum, v. 15, n. 3, p. 473-497, 1962.
NEGI, D.; SAXENA, S. Ascertaining clonal fidelity of tissue culture raised plants of Bambusa balcooa Roxb. using inter simple sequence repeat markers. New Forest, v. 40, n. 1, p. 1-8, 2010.
NOGUEIRA, J. S. et al. Micropropagação de bambu em larga-escala: princípios, estratégias e desafios. In: DRUMOND, P. M.; WIDEMAN, G. (Orgs.). Bambus no Brasil: da biologia à tecnologia. Rio de Janeiro: ICH, 2017. p. 103-129.
RAMANAYAKE, S. M. S. D. Micropropagation of the giant bamboo (Dendrocalamus giganteus Munro) from nodal explants of field grown culms. Plant Science, v. 129, n. 2, p. 213-223, 1997.
SANDHU, M.; WANI, S. H.; JIMÉNEZ, V. M. In vitro propagation of bamboo species through axillary shoot proliferation: a review. Plant Cell, Tissue and Organ Culture, v. 132, n. 1, p. 27-53, 2018.
SINGH, S. R. et al. Micropropagation of Dendrocalamus asper [(Schult. & Schult. F.) Backer ex k. Heyne]: an exotic edible bamboo. Journal of Plant Biochemistry and Biotechnology, v. 21, n. 2, p. 220-228, 2012.
WAIKHOM, S. D.; LOUIS, B. An effective protocol for micropropagation of edible bamboo species (Bambusa tulda and Melocanna baccifera) through nodal culture. Scientific World Journal, v. 2014, e345794, 2014.