Reporte de caso
Neumatosis intestinal: ¿una urgencia abdominal?
Cystic pneumatosis intestinalis: an emergency?
Neumatosis intestinal: ¿una urgencia abdominal?
CES Medicina, vol. 31, núm. 1, pp. 110-118, 2017
Universidad CES
Recepción: 17 Agosto 2016
Recibido del documento revisado: 17 Noviembre 2016
Aprobación: 31 Enero 2017
Resumen: El auge de las imágenes diagnósticas, en especial de la tomografía computarizada multidetector ha permitido que entidades poco conocidas sean detectadas con relativa frecuencia. Inicialmente, se creía que todos los pacientes con neumatosis intestinal padecían enfermedades abdominales graves o presentaban complicaciones que requerían un manejo quirúrgico inmediato, pero al conocer mejor esta entidad, en parte gracias al aumento en el número de tomografías realizadas en la práctica diaria, se ha demostrado que la neumatosis intestinal también puede presentarse en pacientes asintomáticos o asociada a entidades benignas. Es importante conocer los signos y síntomas que ayudan a diferenciar las formas benignas de neumatosis de aquellas que ponen en peligro la vida del paciente y requieren manejo quirúrgico. Presentamos dos casos de neumatosis intestinal y una revisión de la literatura que ayudarán a aclarar la presentación por imágenes y etiología de esta entidad poco conocida.
Palabras clave: Neumatosis cistoide intestinal, Perforación intestinal.
Abstract: Penumatosis intestinalis is a clinical condition that has been increasingly detected in recent years with the escalating use of computed tomography for abdominal imaging. Previously, it was thought that all the patients cursing with penumatosis intestinalis had life threatening conditions that required immediate surgical treatment. With the increased detection of this radiologic entity, benign causes have been described for example the cystic pneumatosis intestinalis, which in the mayority of times is an isolated finding and does not require surgery. It is important to recognize the signs and symptoms that help differentiate the benign forms, from those that are life-threatening conditions and require surgery. We report two cases of pneumatosis cystoides and a review of the literature that will illustrate the imaging findings and etiology of this rare entity.
Key words: Pneumatosis Cystoides Intestinalis, Intestinal Perforation.
Introducción
La neumatosis intestinal es la presencia de aire en la pared del tracto gastrointestinal 1-7 y corresponde a un signo imaginológico 1-3,6,8,9. Esta entidad fue descrita por Duvernoy en 1730 4,8,10 y reconocida como diagnóstico radiológico en 1946 por Lerner y Gazin 8. Tiene una prevalencia de 0,03 % 2,4 y una incidencia de 3 por 10 000 personas en estudios realizados en cadáveres 4,8.
Este signo se ha descrito en por lo menos 60 enfermedades 4, entre las cuales se encuentran causas benignas como asma, escleroderma, estenosis pilórica 1 y otras que ponen en riesgo la vida del paciente 1,2,4 como obstrucción intestinal, enterocolitis necrotizante, isquemia intestinal y trauma 1,7.
Presentamos a continuación la descripción de dos casos de la enfermedad.
Casos clínicos
Caso #1
Se trataba de una mujer de 59 años con antecedentes de enfermedad diverticular, gastritis y tabaquismo quien consultó por dolor abdominal, vómito, diarrea y fiebre subjetiva. Al examen físico se encontraba dolor abdominal difuso sin signos de irritación peritoneal. Hemograma y radiografía de abdomen sin hallazgos significativos.
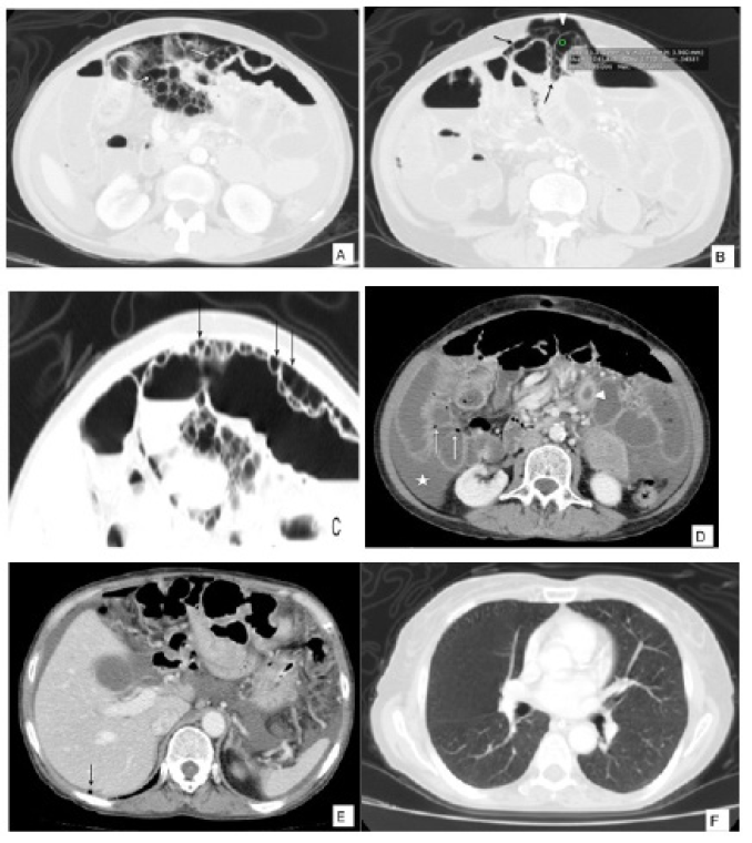
Ante la poca mejoría de los síntomas con el tratamiento médico se solicitó tomografía de abdomen (figura 1) en la que se observaron múltiples imágenes quísticas, redondeadas, localizadas en la pared del intestino delgado asociadas a ligero engrosamiento parietal del yeyuno, neumoperitoneo y líquido libre intra-abdominal. No se visualizaron alteraciones de las estructuras vasculares, pileflebitis ni neumobilia.
Dos años antes a la paciente se le había realizado colonoscopia virtual en la que se documentó neumatosis intestinal y neumoperitoneo (imágenes no disponibles) por lo cual fue llevada a cirugía sin encontrar ningún hallazgo diferente a los descritos previamente, ni perforación de víscera hueca o peritonitis.

Teniendo en cuenta los antecedentes y hallazgos imaginológicos ya descritos en un estudio tomográfico previo, se hace el diagnóstico de neumatosis intestinal quística de origen benigno. La paciente tuvo una evolución satisfactoria sin tratamiento, solo con observación y fue dada de alta sin complicaciones.
Caso #2
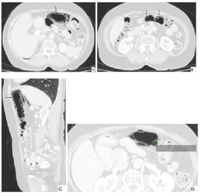
Se trataba de una mujer de 66 años sin antecedentes personales relevantes y quien consultó por un dolor abdominal difuso sin otros síntomas asociados. Al examen físico no se encontraron signos de irritación peritoneal. Se solicitó tomografía de abdomen contrastado en la que se identificaron múltiples imágenes hipodensas con unidades hounsfield (UH) promedio de -967, con morfología circular y lineal comprometiendo la pared del colon transverso (figura 2). No se observó aire en la vena porta, neumoperitoneo ni otras complicaciones. Se le realizó colonoscopia la cual no encontró anormalidades. La paciente fue manejada de forma expectante con mejoría de su cuadro clínico, por lo que se realizó el diagnóstico de neumatosis quística.

Discusión
Dentro de las posibles etiologías de neumatosis intestinal existen entidades sin posible diferenciación clínica y en las cuales el curso de la enfermedad y los hallazgos imagenológicos son clave para el diagnóstico definitivo. Se describen a continuación estos hallazgos y las claves para la diferenciación de los espectros de la neumatosis intestinal, así como una condición que puede confundir al radiólogo y que se debe reconocer ante este posible escenario.
Neumatosis quística intestinal
Fue descrita por primera vez en 1908 11. Se caracteriza por la presencia de quistes aéreos subserosos o submucoso 10-13 que pueden medir desde milímetros hasta varios centímetros 11 y no tienen comunicación con la luz intestinal. No se conoce su etiología 10, pero las mismas teorías que se tienen para la neumatosis intestinal aplican para la forma quística. Otros nombres conocidos para esta entidad son linfoneumatosis quística, linfoneumatosis peritoneal, enfisema quístico y enfisema bulloso del intestino.
Para la explicación de esta entidad existen varias teorías propuestas 2,4,7,9: la teoría mecánica sugiere que el gas se origina en la luz intestinal y se produce una disección de la pared por aumento de la presión 2,4,8; en otros casos se cree que ocurren por alteración inmune 3, medicamentos o procedimientos 9. La segunda teoría se basa en una ruptura de los alvéolos a nivel pulmonar, en el que el gas llega a la pared intestinal por el retroperitoneo y mesenterio 3,4,8,9, y la tercera teoría plantea que hay bacilos productores de gas en la submucosa de la pared intestinal 2,4,8,9.
La clasificación actual fue escrita por Pear en 1998 2,8 y tiene cuatro categorías: necrosis intestinal, lesión de la mucosa, aumento en la permeabilidad de la mucosa y enfermedad pulmonar 2,8.
No se conoce aún la historia natural de la neumatosis intestinal secundaria a enfermedades benignas, pero se sabe que hay pacientes que presentan episodios recurrentes 2, como en el primer caso donde la paciente tuvo síntomas y hallazgos similares dos años antes. Hay múltiples asociaciones, entre ellas benignas y otras que ponen en riesgo la vida del paciente (cuadros 1 y 2).


La neumatosis secundaria al trasplante de órgano es considerada una entidad benigna, aunque en algunos casos es secundaria a enfermedad de injerto contra el huésped, lo que hace que sea una enfermedad severa 2, siendo mas común en los trasplantes de médula ósea 2. Puede darse en cualquier lugar del tracto gastrointestinal y el aire localizarse a nivel submucoso o subseroso 9.
El 15 % de los casos ocurre de forma primaria o idiopática 7,11-14, mientras que la forma secundaria ocurre en el contexto de múltiples enfermedades sistémicas como lupus eritematoso, dermatomiositis, fibrosis quística, enfermedad inflamatoria intestinal, leucemia, linfoma, VIH-SIDA, uso de algunos medicamentos y procedimientos 6,12-14. La única diferencia en imágenes entre la forma idiopática y la secundaria es que la primera afecta con mayor frecuencia la submucosa del colon izquierdo o mesenterio, mientras que la secundaria afecta la subserosa del estómago hasta el colon derecho 14.
La neumatosis intestinal quística es una condición rara que afecta únicamente el 0,03 % de la población 10, suele presentarse entre los 25 y 60 años 14, siendo mas común en los pacientes ancianos 4 y en hombres 14. Puede darse en cualquier sitio del tracto gastrointestinal 10, mas frecuentemente en intestino delgado y colon 5,14. Como se demostró en los dos casos, una de las pacientes estaba dentro del rango de edad típico y las dos tenían los hallazgos en el intestino delgado y colon transverso, siendo los sitios más comunes.
La enfermedad tiene cinco etapas: formación de quistes, respuesta inflamatoria de células gigantes, reacción inflamatoria, disminución de los quistes y por último, fibrosis del estroma circundante 12.
Puede darse de forma asintomática 11,13,14 o presentar síntomas inespecíficos 13,14 como diarrea, secreción de moco, dolor, distensión abdominal 11 y sangrado rectal 14. Hasta 58 % de los casos pueden ser evidentes en la radiografía de abdomen, teniendo 42 % de estos neumoperitoneo como hallazgo principal 12. En la tomografía se observan quistes con contenido aéreo 12 dependientes de la pared intestinal, como en los casos descritos.
Las complicaciones asociadas a neumatosis intestinal quística son: vólvulos, neumoperitoneo, intususcepción y perforación 12.
El tratamiento no es quirúrgico y se ha propuesto manejo expectante 15, metronidazol 15 y oxígeno a flujos altos.
Neumatosis intestinal
En la radiografía de abdomen se visualizan hasta el 66 % de los casos observando áreas lucidas en la pared intestinal 1,9. Por ultrasonido se encuentran áreas ecogénicas lineales secundarias al aire que se localiza en la pared intestinal 2.
El método más sensible para su evaluación es la tomografía 8,9. Se han descrito varios patrones como: lineal, curvilíneo y redondo 1,2,8,9, pudiendo haber un solo patrón o una mezcla entre estos 2. El aire puede estar localizado o distribuirse de manera difusa a lo largo de un asa intestinal 1. Por lo general, las burbujas de aire no desaparecen cuando se llega a un sitio donde hay un nivel gas-líquido 1.
La clínica de los pacientes con neumatosis secundaria a enfermedad benigna es de dolor abdominal leve o incluso son asintomáticos 2,8,16, mientras que los pacientes con enfermedad que amenaza la vida presentan síntomas agudos 1, como dolor abdominal severo, deposiciones con sangre, distensión abdominal 1 o incluso signos y síntomas de irritación peritoneal 8.
El patrón que más se ha asociado a enfermedad benigna es el patrón circular (quístico) 2,7,8, el cual es mas común en el colon y está descrito en neumatosis intestinal quística 2,9,14. Por el contrario, el patrón lineal fue descrito por Kernagis et al. cuando ocurre infarto transmural 2 (figura 3) y está relacionado en el tipo secundario 7. El patrón curvilíneo también se ha relacionado mas con formas severas 8.

Hay otros hallazgos en la tomografía que ayudan a hacer diagnóstico de enfermedades severas, tales como engrosamiento de la pared del asa intestinal, liquido libre o estriación de la grasa y tejido blando adyacente, entre otros 1,2. Si los espacios quísticos de la pared se distribuyen en un segmento intestinal que sigue un territorio vascular es probable que el origen sea una enfermedad severa 2. Un signo de isquemia intestinal es la presencia de gas en el sistema porta 9. Este hallazgo también puede estar presente en el contexto de trauma abdominal, colecistitis crónica, colangitis, pancreatitis y postoperatorio de trasplante hepático 9. En la tomografía se definen hipo densidades lineales ramificadas en la periferia del parénquima hepático 1.
La presencia de aire intra o retroperitoneal no necesariamente indica enfermedad severa 2,14, ya que este hallazgo ha sido descrito en entidades benignas 14 como la ruptura de un quiste intestinal subseroso o seroso 2,9
Pseudoneumatosis
La apariencia y distribución (fuera de la pared en el lumen) de las colecciones de aéreas y normalidad de la pared del tracto gastrointestinal son algunos hallazgos que sugieren una forma benigna o pseudoneumatosis intestinal 1. El aire es mas común en el ciego y colon ascendente 1, tiende a ser irregular y desaparece en el sitio donde hay un nivel gas-liquido 1.
Por lo general son pacientes asintomáticos o tienen síntomas inespecíficos 1 como disnea o dolor abdominal crónico 1,16, se ha asociado el uso de esteroides y quimioterapia con esta entidad 1.
Enfoque
Se deben tener en cuenta los síntomas con los que se presenta el paciente, la características de las burbujas de aire en la pared, su localización y la presencia de otros signos tomográficos (cuadro 3), con esto se debe definir si el paciente presenta una enfermedad que pone en riesgo la vida del paciente y definir si se puede realizar un manejo sintomático o requiere de cirugía.

Conclusión
La neumatosis quística intestinal es un hallazgo con múltiples causas. El advenimiento de las imágenes como la tomografía computarizada han permitido descripciones más certeras y la identificación de los patrones y signos adicionales, con lo que el radiólogo puede guiar al clínico para definir si este hallazgo es secundario a una enfermedad que pone en riesgo la vida como la isquemia mesentérica o si es primaria y solo requiere manejo sintomático.
Bibliografía
1. Wang JH, Furlan A, Kaya D, Goshima S, Tublin M, Bae KT. Pneumatosis intestinalis versus pseudo-pneumatosis: review of CT findings and differentiation. Insights Imaging [Internet]. 2011;2(1):85-92. Available from: http://link.springer.com/10.1007/s13244-010-0055-2
2. Ho LM, Paulson EK, Thompson WM. Pneumatosis intestinalis in the adult: benign to life-threatening causes. AJR Am J Roentgenol [Internet]. 2007;188(6):1604-13. Available from: http://www.ncbi.nlm.nih.gov/pubmed/17515383
3. Duron VP, Rutigliano S, Machan JT, Dupuy DE, Mazzaglia PJ. Computed tomographic diagnosis of pneumatosis intestinalis. Arch Surg. 2011;146(5):506-10.
4. Rottenstreich A, Agmon Y, Elazary R. A Rare case of benign pneumatosis intestinalis with portal venous gas and pneumoperitoneum induced by acarbose. Intern Med [Internet]. 2015;54(14):1733-6. Available from: https://www.jstage.jst.go.jp/article/internalmedicine/54/14/54_54.4255/_article
5. McGregor A, Bekdache K, Choi L. Idiopathic pneumatosis intestinalis requiring decompressive laparotomy. Conn Med. 2016;80(5):301-4.
6. Weaver T, Den Beste K, Frey E. Benign pneumatosis intestinalis: can we avoid the knife? Am Surg. 2016;82(4):33-5.
7. Itazaki Y, Tsujimoto H, Ito N, Horiguchi H, Nomura S, Kanematsu K, et al. Pneumatosis intestinalis with obstructing intussusception: A case report and literature review. World J Gastrointest Surg. 2016;8(2):173. Available from: http://www.wjgnet.com/1948-9366/full/v8/i2/173.htm
8. Khalil P, Huber-Wagner S, Ladurner R. Natural history, Clinical pattern, and surgical considerations of Pneumatosis Intestinalis. Eur J Med Res. 2009;14(70):231-9.
9. Zúñiga JM, Orellana F, Castro M, Sepúlveda R, Rios H., Saldías V. Neumatosis Intestinal: Caso Clínico-Radiológico. Rev Chil Cir [Internet]. 2009;61:78-82. Available from: http://www.scielo.cl/pdf/rchcir/v61n1/art13.pdf
10. Pizzala J, Pogorelsky V, González M, Abecia-soria V, Ríos ADL, Rivera J, et al. Pneumatosis quistica intestinali: Presentación de un caso y revisión de la literatura. Acta Gastroenterológica Latinoam. 2014;44(1):48-51.
11. Gimeno Cabanes R., Alonso Formento E, Galindo Dobon M. Neumatosis quística intestinal primaria como causa de neumoperitoneo benigno. Emergencias. 2006;18:303-5.
12. Andr D, Andr C, Mart J, Nqi L. Neumatosis quística intestinal como manifestación de esclerosis sistémica progresiva. 1996;21:295-300.
13. Jurado Román M, Calero García P, Flores Garnica LM. Neumatosis quística intestinal, causa infrecuente de neumoperitoneo. Rev Española Enfermedades Dig. 2014;106(1):64-72.
14. Sellés-dechent R, Zumárraga-navas P, Castillo JR. Neumoperitoneo debido a neumatosis quística intestinal. Cir Española. 2004;76(6):68-71.
15. LLamas R de la P, Angel JR, Barrantes A. K, Aguilar J. G. Neumatosis cistoide intestinal y neumoperitoneo. A proposito de un caso. Cir Española. 2014;92.
16. Ooi S, Das K, Toh JWT. Pneumatosis cystoides intestinalis: A benign differential diagnosis for computed tomographic evidence of pneumoperitoneum in a stable patient. ANZ J Surg. 2015;1-2.
Notas
Declaración de intereses