Reporte de caso
Recepción: 06 Junio 2017
Recibido del documento revisado: 18 Marzo 2018
Aprobación: 24 Abril 2018
DOI: https://doi.org/10.21615/cesmedicina.32.2.8
Resumen: El secuestro pulmonar es una enfermedad congénita infrecuente caracterizada por la presencia de una porción de parénquima pulmonar que recibe vascularización independiente de la circulación sistémica. Se presentan tres casos de secuestro pulmonar intralobares, de presentación tardía, uno de ellos asociado a una malformación adenomatosa quística y en los cuales el manejo se completó por videotoracoscopia: dos de ellos con lobectomía total y uno con lobectomía sublobar. Se trata de una enfermedad de presentación clínica variable y cuyo tratamiento es, en la mayoría de los casos, quirúrgico, requiriéndose usualmente resecciones lobares, las cuales pueden llevarse a cabo de manera eficaz y segura por videotoracoscopia.
Palabras clave: Secuestro broncopulmonar, Cirugía torácica video-asistida (VATS), Lesiones quísticas del pulmón, Lesiones congénitas del pulmón.
Abstract: Pulmonary sequestration is an infrequent congenital disease characterized by the presence of a portion of pulmonary parenchyma that receives vascularization independent of the systemic circulation. We present three cases of intralobar pulmonary sequestration of late presentation, one of them associated with a cystic adenomatous malformation and in which the management was completed by videothoracoscopy: two of them with total lobectomy and the other with sublobar lobectomy. It is a disease of variable clinical presentation and whose treatment is, in most cases, surgical, usually requiring lobar resections, which can be carried out effectively and safely by video-assisted thoracoscopy.
Keywords: Bronchopulmonary sequestration, Video-assisted thoracic surgery (VATS), Cystic lung lesions, Congenital lung lesions.
Introducción
El secuestro pulmonar es una enfermedad poco frecuente caracterizada por la presencia de parénquima pulmonar no funcional con circulación arterial aberrante; usualmente es asintomática en la infancia, pero en la adultez suele manifestarse como infecciones respiratorias frecuentes 1. En este artículo se reportan tres casos de secuestro pulmonar de presentación tardía, se realiza un análisis de los casos y una revisión de la literatura disponible hasta la fecha.
Caso 1
Paciente femenina de 65 años quien fue valorada por el servicio de cirugía de tórax por un hallazgo incidental de una lesión en pulmón izquierdo y observada en una tomografía de tórax que se realizó por un traumatismo torácico previo. No tenía antecedentes patológicos o tóxicos de importancia, estaba completamente asintomática y al examen físico no presentaba hallazgos patológicos.
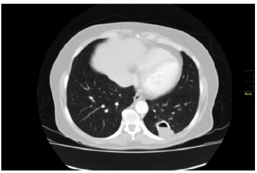
En la tomografía de tórax se observaba, en el lóbulo inferior izquierdo, una cavidad aérea de paredes calcificadas con niveles hidroaéreos en su interior, siendo sugestivo de una lesión cicatricial antigua. Ante los hallazgos poco sugestivos de malignidad se decide solicitar nueva tomografía de control en un año, en el que persiste la lesión cavitada en lóbulo inferior izquierdo, con bordes calcificados, con aparición de una lesión de densidad de tejidos blandos en su interior (figura 1).

Ante estos hallazgos se completan estudios para descartar malignidad. La fibrobroncoscopia con lavado bronco-alveolar fue negativa para malignidad o infecciones. El PET CT evidenció una lesión cavitada en lóbulo inferior izquierdo sin aumento anormal del metabolismo (figura 2).

La espirometría era normal (VEF1: 111 % - 2,3 l; CVF: 113 % - 3,1 l) y la capacidad de difusión pulmonar (DLCO, por sus siglas en inglés) era de 102 %. Dada la normalidad de los exámenes complementarios se define, inicialmente, seguimiento imagenológico de la lesión. En una tomografía de control persistía la caverna calcificada en lóbulo inferior izquierdo con lesión nodular en su interior que evidenciaba crecimiento respecto a imágenes previas.
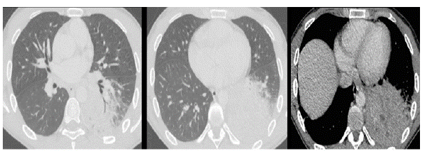
Debido al crecimiento de la lesión y la ausencia de captación en el PET se decide llevar a staff interdisciplinario con neumología, infectología y cirugía de tórax y se lleva a cirugía para realizar biopsia por congelación y proceder según hallazgos. Se realizó entonces video-toracoscopia izquierda en la que se encontró una lesión nodular dura en el lóbulo inferior izquierdo y un vaso aberrante arterial procedente de la aorta torácica hacia el lóbulo inferior, configurándose así el diagnóstico de secuestro pulmonar intralobar. Se procedió al manejo quirúrgico del mismo, realizando ligadura del vaso arterial aberrante y posterior lobectomía inferior izquierda por videotoracoscopia (figura 3).

La paciente fue dada de alta al cuarto día postquirúrgico, sin complicaciones. El resultado definitivo de patología fue reportado como secuestro pulmonar en presencia de una malformación adenomatoide quística concomitante, sin evidencia de malignidad.
Caso 2
Paciente femenina de 75 años y valorada por el servicio de cirugía de tórax por un nódulo pulmonar asociado a disnea de moderados esfuerzos y pérdida de peso de 10 kg en un año. La tomografía de tórax evidenciaba, a nivel de mediastino posterior y en relación con el ligamento pulmonar inferior derecho y el lóbulo inferior derecho, un nódulo de 23 mm de diámetro, de bordes bien delimitados, sin adenopatías concomitantes.
Se completaron los estudios para descartar neoplasia pulmonar y lesión esofágica. El PET CT mostraba una lesión sin aumento anormal del metabolismo, localizada en lóbulo inferior derecho, que medía 28 x 18 x 18 mm, sin otros hallazgos anormales.
La fibrobroncoscopia fue normal, con citología negativa para malignidad del lavado broncoalveolar. La biopsia percutánea guiada por tomografía no fue concluyente. La endoscopia digestiva superior y esofagograma descartaron enfermedad esofágica.
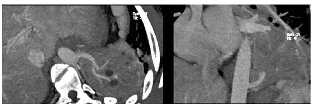
Desde el momento de consulta inicial hasta completar los exámenes ordenados trascurrió un año, por lo que se realizó control tomográfico de la lesión y en el que se evidenció aumento del tamaño de la lesión, que medía ahora 50 x 22 x 34 mm, y se evidenciaba un vaso sistémico procedente del tronco celiaco, estableciéndose el diagnóstico de un posible secuestro pulmonar.
La paciente fue llevada a videotoracoscopia derecha, la que ratifica la presencia de un vaso arterial sistémico aberrante, procedente del abdomen y una lesión pulmonar bien delimitada en el segmento posterior del lóbulo inferior derecho, que estaba en contacto con dicho vaso arterial. Se procede entonces a ligadura del vaso arterial con sutura mecánica y posterior segmentectomía no anatómica del segmento posterior del lóbulo inferior derecho (figura 4).

El informe de patología reportó hallazgos compatibles con secuestro pulmonar intralobar, sin malignidad y adenopatías negativas para malignidad. Los seguimientos clínicos e imaginológicos posteriores fueron normales.
Caso 3
Paciente masculino de 25 años quien fue valorado por el servicio de cirugía de tórax por un cuadro de neumonías a repetición y sospecha de secuestro pulmonar.
En la tomografía de tórax se observó una consolidación de todo el lóbulo inferior izquierdo con broncograma aéreo, además de un vaso arterial aberrante que emerge de la aorta torácica hacia el lóbulo inferior izquierdo, confirmándose la sospecha diagnóstica de secuestro pulmonar (figuras 5 y 6).


El paciente fue llevado a cirugía para una resección por videotoracoscopia, con la que se evidenció un lóbulo pulmonar hepatizado, irrigado por un gran vaso arterial, proveniente de la aorta torácica, lográndose completar la lobectomía inferior izquierda por videotoracoscopia, previa ligadura del vaso aberrante.
El resultado definitivo de patología informó una neumonía con abscedación, necrosis y áreas en organización en presencia de un secuestro pulmonar. El paciente continúa en seguimiento ambulatorio y sin complicaciones a la fecha.
Discusión
El secuestro pulmonar es una enfermedad congénita del tracto respiratorio, poco frecuente, representando el 0,15 % a 6,4 % de todas las alteraciones congénitas pulmonares 1,2. Se caracteriza por un parénquima pulmonar desconectado de la vía aérea principal y que recibe vascularización de un vaso arterial sistémico, usualmente proveniente de la aorta abdominal o torácica 3, aunque también puede originarse de otras estructuras vasculares, como las arterias mamarias, intercostales, tronco celiaco o los vasos subclavios. Puede acompañarse de otras alteraciones torácicas como el síndrome de la cimitarra, malformaciones adenomatoides quísticas, enfisema lobar, entre otras 4,5. Fue descrita por primera vez en 1877 por Huber y nombrada como tal en 1946 por Pryce 6.
Este autor clasificó la enfermedad en secuestro pulmonar intralobar, cuando la alteración pulmonar se encuentra dentro de uno de los lóbulos del pulmón, usualmente el inferior, estando recubierto por la misma pleura del lóbulo. Representa el 85 % de los casos 7. El secuestro extralobar representa el restante 15 % y consiste en una alteración independiente del lóbulo, con un recubrimiento pleural propio. En ambos casos el retorno venoso suele ser normal a la aurícula izquierda, aunque en ocasiones, en el secuestro pulmonar extralobar este puede ser directamente a la circulación sistémica 8.
El secuestro intralobar se ubica en el pulmón izquierdo en el 75 % de los casos, siendo en el lóbulo inferior afectado en el 90 % de los casos. El compromiso bilateral es muy raro 9.
La presentación clínica depende del tipo de secuestro y la edad del paciente. Un número significativo de los casos se diagnostican in útero como hallazgo ecográfico, no siendo infrecuente la regresión espontanea de los mismos y siendo rara la presentación como hidrops fetal.
En la etapa neonatal y en la infancia los secuestros pulmonares, principalmente los extralobares, suelen ser en su mayoría asintomáticos, diagnosticándose de manera incidental 8. Cuando el secuestro se acompaña de malformaciones adenomatosas, se puede evidenciar un crecimiento de la lesión durante la infancia 10,11. Por su parte, en el secuestro intralobar, al estar comunicado marginalmente con el árbol bronquial, los alveolos pueden insuflarse parcialmente y ser asiento de infecciones respiratorias frecuentes, haciendo que su diagnóstico sea más temprano. Otros síntomas menos frecuentes son la hemoptisis, el dolor torácico y la falla cardíaca 12. En la edad adulta suelen ser más sintomáticos, presentándose principalmente como neumonías recurrentes del mismo lóbulo o disnea progresiva.
El secuestro pulmonar intralobar es generalmente diagnosticado antes de los 20 años en el 50 a 60 % de los casos y es rara vez identificado en mayores de 40 años; contrario a lo que sucede con el secuestro extralobar, por ser asintomático y diagnosticarse de manera tardía e incidental. El diagnóstico prenatal se hace por medio de ecografía entre las 18 y 19 semanas de gestación 13 y en la mayoría de los casos suele involucionar espontáneamente 12.
Luego del nacimiento, el diagnóstico se realiza mediante imágenes que muestran las alteraciones del parénquima pulmonar sumadas a la demostración del vaso aberrante 14,15. La radiografía de tórax suele mostrar opacidades en el sitio comprometido 16; la tomografía de tórax suele poner de manifiesto el área del secuestro 17 y el angio TAC permite identificar las aberrancias vasculares en el 80 % de los casos, convirtiéndose en el estudio de primera línea para el diagnóstico 18. La ecografía doppler a color suele ser un examen complementario y útil en la demostración del vaso aberrante 19. La resonancia nuclear magnética suele aportar poca información adicional sobre el angioTAC 20.
A pesar del buen rendimiento diagnóstico de los estudios imaginológicos disponibles y el conocimiento más profundo de esta enfermedad, se calcula que el 30-35 % de los casos se diagnostican en el acto quirúrgico, sin que las ayudas diagnósticas muestren evidencia previa 21.
El tratamiento varía de acuerdo con los síntomas y la edad del diagnóstico: durante la vida fetal el manejo activo suele estar indicado en los casos más severos que se acompañan de derrames masivos e hidrops fetal 22,23. Después del nacimiento la cirugía está indicada en los pacientes con disnea, infecciones recurrentes o hemoptisis 15.
Es motivo de debate el manejo quirúrgico en los pacientes asintomáticos, debido al potencial de regresión de estas lesiones, sumado al riesgo quirúrgico agregado que pudiera superar el beneficio 24. Por otro lado, el riesgo de sobreinfección por patógenos oportunistas, la hemoptisis y la formación de comunicaciones arterio-venosas que llevan a falla cardiaca, son una clara indicación de realizar un manejo quirúrgico.
La asociación de tejidos aberrantes con cáncer, aunque raro, es real y también una indicación más para apoyar el manejo quirúrgico de estos pacientes 25.
El manejo quirúrgico de elección es la resección del parénquima secuestrado 26. En los casos de secuestro extralobar basta con la resección del área comprometida, sin necesidad de resecar parénquima pulmonar sano; mientras que en los casos de secuestro intralobar es necesario realizar lobectomías totales o segmentectomías amplias, ligando todos los vasos aberrantes, permaneciendo como resección de elección la lobectomía 27.
La embolización preoperatoria del vaso aberrante, descrita inicialmente por Lee et al. 28, es una conducta que puede usarse y permite realizar más fácilmente la resección quirúrgica, con menores tasas de sangrado y complicaciones y menor extracción del parénquima. Se han publicado reportes de regresiones completas de un secuestro pulmonar luego de la embolización del vaso aberrante, sin necesidad de ser llevados a cirugía, planteándose como una opción en pacientes con alto riesgo operatorio o que no deseen ser sometidos a un procedimiento quirúrgico 29.
Actualmente, la embolización es usada en los casos en los que el secuestro es grande o se encuentra en contacto íntimo con estructuras vasculares mayores que aumentan el riesgo quirúrgico y en los neonatos, ofreciendo una alternativa terapéutica menos invasiva sobre todo para la población pediátrica 30.
La videotoracoscopia ha demostrado ser segura y efectiva en las resecciones pulmonares por otras indicaciones, siendo ampliamente soportado su uso, especialmente en las resecciones oncológicas, mostrando un claro beneficio en cuanto a la estancia hospitalaria, días de toracostomía cerrada y menor morbilidad, alcanzando un beneficio oncológico, igual a la cirugía abierta convencional, por lo que podría extrapolarse su uso a la resección pulmonar por secuestro, dada la baja frecuencia de casos de secuestro y carencia de datos en la literatura 31.
Conclusión
El secuestro pulmonar es una enfermedad congénita poco frecuente; suele manifestarse entre la segunda y tercera década de la vida con infecciones respiratorias de repetición y asociarse a otras malformaciones congénitas pulmonares. El método de elección para su diagnóstico es la angiotomografía de tórax y el tratamiento en los pacientes adultos, aunque discutido y con poca evidencia en la literatura, sigue siendo el manejo quirúrgico, principalmente las resecciones anatómicas como la lobectomía. La videotoracoscopia es una vía de abordaje ampliamente utilizada en la cirugía de tórax en las resecciones oncológicas, la cual es igualmente segura y efectiva para el manejo del secuestro pulmonar.
Bibliografía
1. Harriet C, Gillian H. Pulmonary sequestration. Paediatric Respiratory Reviews. 2004; 5: 59-68.
2. Xin Q, Yuhui S, Dan L, Xiaofeng W, Zhenxiong W, Yijun T. Pulmonary sequestration: a case report and literature review. Int J Clin Exp Med. 2015; 8 (11): 21822-21825.
3. Cooke CR. Bronchopulmonary sequestration. Respir Care 2006; 51: 661-664.
4. Savic B, Birtel FJ, Tholen W, Funke HD, Knoche R. Lung sequestration: report of seven cases and review of 540 published cases. Thorax 1979; 34: 96-101.
5. Bracho F, Pizarro G, Sepúlveda JA. Secuestro pulmonar en un lactante. Rev Chil Pediatr 2007; 78 (5): 494-499.
6. Pryce DM. Lower accessory pulmonary artery with intralobar sequestration of lung; a report of seven cases. J Pathol Bacteriol. 1946; 58(3):457-67.
7. Pryce DM, Sellors TH, Blair LG. Intralobar sequestration of lung associated with an abnormal pulmonary artery. Br J Surg 1947; 35(137):18-29.
8. Yucel O, Gurkok S, Gozubuyuk A, Caylak H, Sapmaz E, Kavakli K, et al. Diagnosis and surgical treatment of pulmonary sequestration. Thorac Cardiovasc Surg. 2008; 56(3):154-57.
9. Yong W, Fan L. Pulmonary sequestration: a retrospective analysis of 2625 cases in China. European Journal of Cardio-thoracic Surgery. 2011; 40: 39-42
10. Lujan M, Bosque M, Mirapeix RM, Marco MT, Asensio O, Domingo C. Late-Onset Congenital cystic adenomatoid malformation of the lung. Respiration. 2002; 69: 148-154.
11. Escobar F, Fuentes F, Urzúa C, Capetillo M. Malformación adenomatoidea quística pulmonar de presentación tardía: revisión del tema y presentación de un caso. Revista Chilena De Radiología. 2010; 16(4): 190-194.
12. Rubin EM, Garcia H, Horowitz MD, Guerra Jr JJ. Fatal massive hemoptysis secondary to intralobar sequestration. Chest. 1994; 106: 954-5.
13. Waszak P, Claris O, Lapillonne A, Picaud JC, Basson E, Chappuis JP, Salle B. Cystic adenomatoid malformation of the lung: neonatal management of 21 cases. Pediatr Surg Int. 1999; 15:326-31.
14. Somja J, De Leval L, Boniver J, Radermecker MA. Intrapulmonary lung sequestration diagnosed in an adult. Rev Med Liege. 2011; 66:7-12.
15. Qays Ahmed Hassan Al-Timimy, Hind Fadhil Al-Shamseei. Intralobar pulmonary sequestration in elderly woman: a rare case report with emphasis on imaging findings. Radiology Case Reports. 2016: 11;144-147
16. Frazier AA, Rosado de Christenson ML, Stocker JT. Intra- lobar sequestration: Radiologic-pathologic correlation. Radio- graphics 1997;17(3):725-45.
17. Ikezoe J, Murayama S, Godwin JD, Done SL, Verschakelen JA. Bronchopulmonary sequestration: CT assessment. Radiology 1990; 176(2):375-9.
18. Wang S, Ruan Z, Liu F, Huang H, Song K. Pulmonary sequestration: angioarchitecture evaluated by three-dimensional computed tomography angiography. Thorac Cardiovasc Surg. 2010; 56:354-56.
19. Petersen G, Martin U, Singhal A, Criner GJ. Intralobar sequestration in the middle-aged and elderly adult: recognition and radiographic evaluation. J Thorac Cardiovasc Surg. 2003; 126: 2086- 90.
20. Abbey P, Das CJ, Pangtey GS, Seith A, Dutta R, Kumar A. Imaging in bronchopulmonary sequestration. J Med Imaging Radiat Oncol. 2009; 53:22-31.
21. Yue SW, Guo H, Zhang YG, Gao JB, Ma XX, Ding PX. The clinical value of computer tomographic angiography for the diagnosis and therapeutic planning of patients with pulmonary sequestration. Eur J Cardiothorac Surg. 2013; 43(5):946-51.
22. Riley JS, Urwin JW, Oliver ER, Coleman BG, Khalek N, Moldenhauer JS et al. Prenatal growth characteristics and pre/postnatal management of bronchopulmonary sequestrations. J Pediatr Surg. 2018 Feb;53(2):265-269.
23. Criss CN, Musili N, Matusko N, Baker S, Geiger JD, Kunisaki SM. Asymptomatic congenital lung malformations: Is nonoperative management a viable alternative?. J Pediatr Surg. 2018 Mar 5. pii: S0022-3468(18)30150-7.
24. Laberge JM, Bratu I, Flageole H. The management of asymptomatic congenital lung malformations. Paediatr Respir Rev. 2004; 5: 305-312.
25. Criss CN, Musili N, Matusko N, Baker S, Geiger JD, Kunisaki SM. Asymptomatic congenital lung malformations: Is nonoperative management a viable alternative? J Pediatr Surg. 2018 Mar 5.
26. Belchis D, Cowan M, Mortman M, Rezvani B. Adenocarcinoma arising in an extralobar sequestration: a case report and review of the literatura. Lung Cancer. 2014; 84: 92-95
27. Hertzog P, Roujeau J, Marcou J. Epidermoid cancer developed on a sequestration. J Fr Med Chir Thorac 1963; 17: 33-8.
28. Lee KH, Sung KB, Yoon HK, Ko GY, Yoon CH, Goo HW, et al. Transcatheter arterial embolization of pulmonary sequestration in neonates: long-term follow-up results. J Vasc Interv Radiol. 2003; 14: 363-7.
29. Curros F, Chigot V, Emond S, Sayegh N, Revillon Y, Scheinman P, et al. Role of embolisation in the treatment of bronchopulmonary sequestration. Pediatr Radiol. 2000; 30: 769-773.
30. Marine LM, Valdes FE, Mertens RM, Bergoeing MR, Kramer A. Endovascular treatment of symptomatic pulmonary sequestration. Ann Vasc Surg. 2011; 25(5):695-6.
31. Wang TK, Oh T, Ramanathan T. Thoracoscopic lobectomy for synchronousintralobar pulmonary sequestration and lung cancer. Ann Thorac Surg. 2013; 96(2):683-5.
Notas