Diagnóstico por Imagem
Recepção: 23 Janeiro 2018
Aprovação: 02 Março 2018
DOI: 10.5935/scd1984-8773.201810105
Financiamento
Fonte: Suporte Financeiro: Nenhum
Descrição completa: Suporte Financeiro: Nenhum
RESUMO: O diagnóstico das lesões pigmentadas da face é considerado desafiador uma vez que lesões benignas e malignas podem compartilhar características clínicas e dermatoscópicas semelhantes, principalmente em lesões iniciais, sendo muitas vezes difícil de identificar as lesões de lentigo maligno da face. Assim, a microscopia confocal de reflectância pode se tornar uma ferramenta útil no diagnóstico dos lentigos malignos bem como para o seu planejamento cirúrgico.
Palavras-chave: Ceratose actínica, Dermoscopia, Melanoma, Microscopia confocal, Sarda melanótica de Hutchinson.
ABSTRACT: The diagnosis of pigmented facial lesions is considered challenging since benign and malignant lesions might have similar clinical and dermoscopic features – especially in the early stages of the lesion – entailing that it is often difficult to identify lentigo maligna lesions in the face. In this way, confocal reflectance microscopy has the potential to become a useful tool both in the diagnosis and surgical planning of lentigo maligna.
Keywords: Dermoscopy, Hutchinson's melanotic freckle, Keratosis, actinic, Melanoma, Microscopy, confocal.
INTRODUÇÃO
O lentigo maligno (LM) é uma forma de melanoma in situ que ocorre na pele com fotodano em pacientes idosos. Por se apresentar na maioria das vezes como lesão pigmentada da face, seu diagnóstico clínico é desafiador, pois pode se assemelhar às lesões pigmentadas benignas.1
A dermatoscopia da face apresenta algumas peculiaridades devido à área anatômica. Trata-se de região com intensa exposição à radiação ultravioleta, acarretando certo grau de atrofia epidérmica, elastose solar e retificação dos cones epiteliais levando à ausência da rede pigmentar (utilizada para a classificação das lesões como melanocíticas ou não melanocíticas em outras regiões da pele) e à presença da chamada pseudorrede. Essa é formada pela interrupção do pigmento melânico nos óstios foliculares e de estruturas anexiais, presente em lesões melanocíticas e não melanocíticas da face.2,3
Em 2000, Schiffner et al.2 propuseram um modelo diagnóstico dermatoscópico para as lesões de LM e lentigo maligno melanoma (LMM) com acurácia de 93%, sensibilidade de 89% e especificidade de 96%. Segundo esses autores, as características dermatoscópicas de pontos e glóbulos acinzentados, estruturas romboidais escuras e pigmentação assimétrica dos óstios foliculares, presentes de forma combinada, são as mais comumente observadas nessas lesões e correlacionam-se com os aspectos histopatológicos próprios desse tipo de melanoma, particularmente o foliculotropismo.2
Apesar de os achados dermatoscópicos descritos para o diagnóstico do LM apresentarem alta acurácia diagnóstica, o diagnóstico diferencial com a queratose actínica pigmentada (QAP) ainda é um desafio, uma vez que essas lesões podem apresentar algumas das características dermatoscópicas próprias do LM. Apenas os black blotches (áreas de borrões pretos) são específicos para o diagnóstico dos LM, porém sua ocorrência é tardia e raramente nas lesões iniciais.3
Nesse contexto, Nascimento e colaboradores descreveram uma nova característica dermatoscópica relevante, o inner gray halo (IGH), cuja presença mostrou-se bastante eficaz na diferenciação entre LM e QAP. A presença de três ou mais dessas novas estruturas (IGH) caracterizaria uma QAP, com sensibilidade de 91,4%, especificidade de 71,4% e valor preditivo positivo de 89,8%. O substrato histopatológico do IGH seria o padrão de guarda-chuva descrito por Pinkus.4
Principalmente em lesões pigmentadas incipientes da face, a dermatoscopia apresenta limitações, e a microscopia confocal se torna exame promissor na realização de um diagnóstico mais fidedigno.1
RELATO DE CASO
Paciente do sexo masculino de 42 anos, pele tipo II de Fitzpatrick, cabelos e olhos castanhos claros, com história de queimadura solar na infância e adolescência, antecedente familiar de melanoma cutâneo (pai e avô paterno, comprovados por exame histopatológico) e antecedente pessoal de nevos atípicos excisados cirurgicamente e com comprovação histopatológica. Na quinta avaliação de seguimento do exame de mapeamento corporal total e dermatoscopia digital (múltiplos nevos mela-nocíticos), apresentou lesão pigmentada nova no lábio superior esquerdo de aproximadamente 3mm de diâmetro (Figura 1A). A dermatoscopia evidenciou lesão com pseudorrede acastanhada, com discreta área de padrão anular-granular, pigmentação assimétrica das aberturas foliculares e duas estruturas compatíveis com IGH periféricas (Figura 1B). As hipóteses diagnósticas de QAP e LM foram consideradas. Foi realizado o exame de microscopia confocal que evidenciou a presença de células dendríticas brilhantes em grande quantidade na epiderme com ausência de papilas por retificação epidérmica típica da face e a presença de células dendríticas brilhantes ao redor e nas aberturas anexiais na junção dermo-epidérmica (JDE) e presença de células dendríticas brilhantes nos anexos epidérmicos na derme papilar (Figura 2).


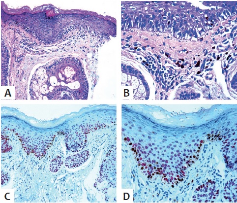
Com os achados clínicos, dermatoscópicos e de microscopia confocal foi realizada a hipótese diagnóstica de LM em área de fotodano. O exame histopatológico (H&E) da biópsia excisional evidenciou proliferação melanocítica atípica na camada juncional da epiderme com extensão para o infundíbulo folicular. Os melanócitos atípicos apresentavam padrões epitelioides e fusiformes. Os núcleos eram hipercromáticos, algumas vezes multilobulares. Os melanóctitos se distribuíam de forma contínua e contígua. Algumas células se dispunham de forma perpendicular à epiderme. O citoplasma apresentava quantidade variável de moderada a intensa de pigmento melânico. Presença de escassas mitoses atípicas nos melanócitos juncionais. Na derme não havia proliferação de melanócitos, apenas melanófagos na derme papilar. Na junção dermo-epidérmica e na bainha folicular em contiguidade estavam presentes alguns grupamentos de células dendríticas com figuras de mitose e melanócitos atípicos multinucleados (Figuras 3A e 3B). O estudo imuno-histo-químico com a dupla expressão dos anticorpos MITF1/P63 demonstrou a presença de proliferação lentiginosa de melanócitos atípicos na camada basal da epiderme. Os núcleos dos melanócitos marcam em marrom o anticorpo MITF1 e os núcleos dos queratinócitos em vermelho o P63 (Figuras 3C e 3D).

Quinze dias depois de feita a biópsia, para refinar a programação cirúrgica (diminuir a chance de recidiva local e alcançar melhor resultado estético), foi realizado novo exame de microscopia confocal que evidenciou a persistência da lesão em uma das margens da cicatriz (Figura 4).

DISCUSSÃO
A microscopia confocal é útil no diagnóstico precoce do LM e do LMM. Embora essas entidades tenham natureza celular distinta da QAP, o diagnóstico diferencial entre elas é por vezes difícil, tanto no aspecto clínico como no dermatoscópico. Nesse contexto a microscopia confocal pode ser de grande ajuda na definição diagnóstica.5
O achado de células dendríticas brilhantes invadindo o óstio folicular sugere fortemente o diagnóstico de LM e correspondem às aberturas foliculares assimetricamente pigmentadas à dermatoscopia. Embora essas células dentro do folículo possam ser confundidas com a paliçada do carcinoma basocelular na junção dermo-epidérmica, as imagens da camada espinhosa são a chave do diagnóstico com a presença de grande quantidade de células dendríticas.
Os achados dermatoscópicos das estruturas IGH podem ser explicados pela presença de células brilhantes pequenas que não invadem os folículos na periferia da lesão, fato que somado ao arranjo em favo de mel atípico e fotodano sugere o diagnóstico de QAP. A não invasão por células tumorais do epitélio perifolicular na queratose actínica à histopatologia descrita por Pinkus, é um modelo de correlação possível com a dermatoscopia e com a microscopia confocal, podendo constituir um fator de auxílio no diagnóstico diferencial com o LM.4
A microscopia confocal nesse caso clínico ganhou importância não só na elucidação do diagnóstico clínico, confirmado pela histopatologia, como se mostrou de grande utilidade para o planejamento cirúrgico identificando a presença da lesão nas margens da biópsia excisional realizada.
Referências
Guitera P, Pellacani G, Crotty KA, Scolyer RA, Li LX, Bassoli S, et al. The impact of in vivo reflectance confocal microscopy on the diagnostic accuracy of lentigo maligna and equivocal pigmented and nonpigmented macules of the face. J Invest Dermatol. 2010; 130(8):2080-91.
Schiffner R, Schiffner-Rohe J, Vogt T, Landthaler M, Wlotzke U, Cognetta AB, et al. Improvement of early recognition of lentigo maligna using dermatoscopy. J Am Acad Dermatol. 2000; 42(1 Pt 1):25-32.
Akay BN, Kocyigit P, Heper AO, Erdem C. Dermatoscopy of flat pigmented facial lesions: diagnostic challenge between pigmented actinic keratosis and lentigo maligna. Br J Dermatol. 2010; 163(6): 1212-7.
Nascimento MM, Shitara D, Enokihara MM, Yamada S, Pellacani G, Rezze GG. Inner gray halo, a novel dermoscopic feature for the diagnosis of pigmented actinic keratosis: clues for the differential diagnosis with lentigo maligna. J Am Acad Dermatol. 2014;71(4):708-15.
Nascimento MM. Lentigo maligno, lentigo maligno melanoma e queratose actínica pigmentada. In: Rezze GG; Casagrande J, editors. Atlas de Microscopia Confocal na Dermatologia. São Paulo: Editora Lemar; 2016. p. 139-49.
Notas
Autor notes
Gisele Gargantini Rezze | ORCID 0000-0001-9084-4634
Concepção, elaboração e redação do manuscrito. Obtenção, análise e interpretação dos dados. Participação intelectual em conduta propedêutica e terapêutica do caso estudado. Aprovação da versão final do manuscrito
Maurício Mendonça do Nascimento | ORCID 0000-0003-0060-8473
Concepção, elaboração e redação do manuscrito. Aprovação da versão final do manuscrito.
Regiane Salera | ORCID 0000-0002-2961-1361
Obtenção, análise e interpretação dos dados.
Clóvis Antonio Lopes Pinto | ORCID 0000-0003-1711-0081
Concepção, elaboração e redação do manuscrito. Obtenção, análise e interpretação dos dados.
Francisco Macedo Paschoal | ORCID 0000-0002-6264-1538
Participação intelectual em conduta propedêutica e terapêutica do caso estudado. Aprovação da versão final do manuscrito.
Correspondência para: Gisele Gargantini Rezze, Av. General Furtado do Nascimento, 740 cj. 23 , 05465 070 - Alto de Pinheiros - São Paulo - SP, Brasil. E-mail: ggrezze@hotmail.com
Declaração de interesses