Relato de Caso
Recepção: 07 Julho 2015
Aprovação: 29 Maio 2018
DOI: https://doi.org/10.5935/scd1984-8773.2018102666
Financiamento
Fonte: Suporte Financeiro: Nenhum
Descrição completa: Suporte Financeiro: Nenhum
RESUMO: A paniculite factícia pode ser desencadeada por injeções subcutâneas de substâncias com finalidade estética. Caso diagnosticado e tratado como eritema nodoso crônico, cinco anos após, manifestou nódulo, cujo estudo anatomopatológico sugeriu tumor lipomatoso atípico. Ressecada a lesão, o exame histopatológico mostrou esteatonecrose, compatível com paniculite lobular. Na ressonância magnética, imagens de líquido na região glútea favoreceram a suspeita diagnóstica de paniculite factícia. A paciente admitiu injeção pregressa de silicone nessa região, e os achados adicionais na revisão histopatológica confirmaram essa hipótese. A complicação tardia das injeções do material de preenchimento motivou nossa apresentação.
Palavras-chave: Eritema migrans crônico, Paniculite, Silicones.
ABSTRACT: Factitious panniculitis can be triggered by subcutaneous injections of substances linked to esthetic procedures. A case diagnosed and treated as chronic erythema nodosum manifested nodule five years later, with the anatomopathological study suggesting atypical lipomatous tumor. After resection of the lesion, histology showed steatonecrosis, compatible with lobular panniculitis. Magnetic resonance imaging examination revealed the presence of a liquid substance in the gluteal region, favoring the diagnostic suspicion of factitious panniculitis. The patient admitted to having undergone silicone injection in this region in the past, with additional findings arising from the histological review confirming this hypothesis. The late complication linked to injections of cutaneous filling material motivated the present study.
Keywords: Erythema chronicum migrans, Panniculitis, Silicones.
INTRODUÇÃO
As paniculites, grupo de afecções subcutâneas inflamatórias de predomínio septal ou lobular, com ou sem vasculite, têm etiologia múltipla.1
O eritema nodoso (EN) migratório, a paniculite nodular migratória subaguda de Vilanova-Pinol Aguadé (PNMS) e o EN crônico, variantes do EN clássico, são hoje consideradas fases distintas do mesmo processo patológico.1 Descrita em 1956 por Vilanova e Pinol Aguadé,2 a PNMS distingue-se por apresentar poucos nódulos, unilaterais e assimétricos que confluem formando placas induradas de até 20cm, com lesões ativas centrífugas e involução central concomitante, adquirindo formas e tonalidades diversas. Há predomínio no sexo feminino e é pouco sintomática, evoluindo de meses a anos em joelhos, nádegas e coxas.1
O objetivo deste relato é demonstrar complicação tardia (10 anos) de preenchimento cutâneo expresso por paniculite.
MÉTODOS
Relata-se o caso de paciente do sexo feminino, 50 anos, parda, pouco assídua, que se apresentou à consulta na Clínica de Dermatologia de serviço universitário no Rio de Janeiro, Brasil, em novembro de 2001, com placa eritêmato-infiltrada, indurada, medindo 25cm de comprimento, com aumento de temperatura e localizada na face anterior da coxa direita (Figura 1), tendo surgido há quatro anos. Com a hipótese de paniculite, foi realizada biópsia, cujo estudo anatomopatológico revelou fase crônica de EN. No seguimento ambulatorial, as condições possivelmente associadas (tricomoníase, onicomicose, paroníquia, hidradenite e escabiose) foram adequadamente tratadas. Os resultados de exames laboratoriais − hemograma, bioquímica, função tireoidiana, sorologias para hepatites B e C, VDRL, anti-HIV, ASLO, alfa-1-antitripsina, sedimento urinário, parasitológico de fezes – e RX de tórax foram normais. Foram utilizados anti-inflamatórios não hormonais, solução saturada de iodeto de potássio oral (atingidas apenas 15 gotas/dia por intolerância gastrointestinal), iodeto de potássio em creme e corticoterapia sistêmica nos períodos de maior inflamação, sem mudança significativa no curso da paniculite.

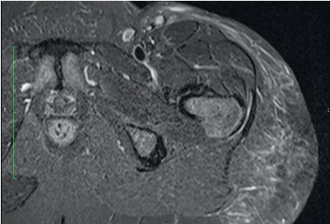
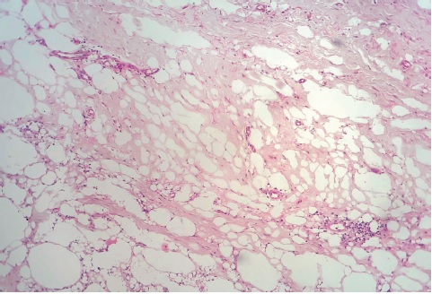
Em março de 2006, a paciente voltou à consulta, relatando o surgimento de nódulo endurecido e doloroso, de 7cm, na face lateral da coxa esquerda há um ano. Após avaliação ultrassonográfica, que descreveu formações ecogênicas de limites imprecisos no subcutâneo da face e xterna da coxa esquerda, região inguinal esquerda e face interna da coxa direita, foi colhida biópsia incisional de lesão, cujo estudo anatomopatológico revelou tumor lipomatoso atípico, com pesquisa negativa para germes comuns, fungos e micobactérias. Em fevereiro de 2012, a exérese dessa lesão (Figura 2) revelou extensa esteatonecrose ao exame histopatológico. A ressonância magnética realizada após a cirurgia evidenciou, além de múltiplos linfonodos de aspecto inespecífico nas cadeias ilíacas e femorais, infiltração líquida no subcutâneo da região glútea (Figura 3).


RESULTADOS
Considerando a esteatonecrose, achado presente à histopatologia de algumas paniculites lobulares, a imagem de infiltração líquida na região glútea e a revisão da história clínica (informação da paciente de injeção de silicone em regiões glúteas pelo menos 10 anos antes da admissão), aventou-se a possibilidade de paniculite factícia por substância exógena.
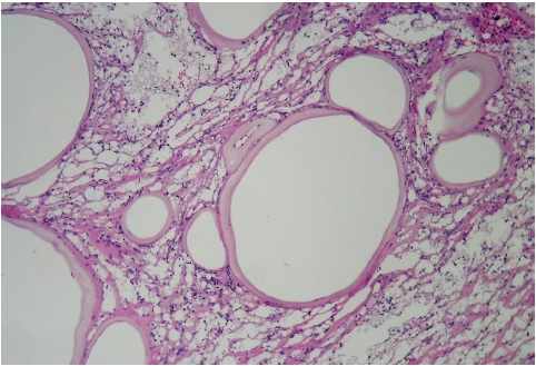
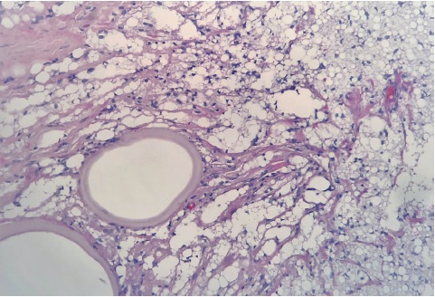
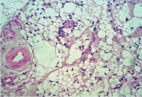
A revisão das amostras histopatológicas acrescentou ao achado de esteatonecrose a presença de espaços microcísticos na hipoderme, alguns delimitados por material anfofílico, e células espumosas, consistentes com a hipótese de paniculite factícia (Figuras 4-7). A ausência de refringência à luz polarizada foi condizente com o tipo de material informado pela paciente (silicone).




DISCUSSÃO
Paniculites factícias ou artificiais são lesões do tecido subcutâneo provocadas por fatores externos (mecânicos, químicos e físicos), integrando o grupo das paniculites lobulares sem vasculite.3,4 Podem ser autoinduzidas, acidentais, propositais, manifestação de distúrbio psiquiátrico ou da injeção iatrogênica de substâncias. Embora o mecanismo etiopatogênico seja desconhecido, têm sido implicados vasoconstricção com isquemia nos sítios de injeção, resposta inflamatória a drogas precipitadas e trauma por injeções repetidas.3
Os preenchedores podem induzir desde reações adversas que desaparecem espontaneamente ou até levar a complicações 30 anos após o procedimento,3 quando o paciente já não se recorda qual foi o material injetado.5
Quando a paciente em questão admitiu a realização de preenchimento em clínica clandestina, anteriormente à década de 1990, aventamos a possibilidade de a injeção iatrogênica de material inabsorvível no passado ser a responsável pelas manifestações atuais. A omissão do procedimento, realizado muitas vezes por profissionais não legalizados,6 é a explicação provável para o diagnóstico tardio desse tipo de paniculite.
O silicone é composto hidrofóbico polimérico encontrado como óleo, gel ou implante sólido. Em sua forma líquida, foi muito usado para correção cosmética de rugas finas, cicatrizes e volumização tecidual da face de pacientes HIV positivos portadores de lipoatrofia.5,7
A migração de preenchedores não biodegradáveis como o silicone, muitas vezes é relatada simulando neoplasias malignas e doenças granulomatosas.8 É capaz de alcançar sítios distantes da área tratada,5,7 causando reação inflamatória local. A ausência de cápsula fibrosa ao redor de grandes volumes permite a migração gravitacional do implante em direção a áreas indesejadas.9 Acredita-se ser precipitada pela injeção de volumes excessivos em bolus.7 No caso exposto, suspeitou-se do deslocamento do material injetado previamente nas nádegas, pelo subcutâneo, em direção à topografia das coxas.
O padrão histopatológico geralmente observado nas paniculites factícias é o de paniculite lobular aguda associada à esteatonecrose e infiltrado inflamatório com predomínio neutrofílico, evoluindo com aspecto granulomatoso.3 Lesões crônicas caracterizam-se por histiócitos espumosos e fibrose circunjacente.3,4 O importante envolvimento dérmico também ajuda a diferenciar a forma causada por substâncias injetadas dos outros tipos de paniculite.3
Os achados histológicos vinculados à utilização de silicone são variados e mais frequentemente correspondem a nódulos cutâneos. Em geral, há infiltrado difuso de macrófagos e células gigantes multinucleadas do tipo corpo estranho que delimitam espaços vazios de variados tamanhos, em padrão conhecido como "queijo suíço". A presença de células com atipias citológicas reacionais e mesmo de lipoblastos pode justificar o diagnóstico diferencial com processos neoplásicos.5,6,10
Por se tratar de preenchedor permanente, a resposta inflamatória ao silicone pode ocorrer a qualquer momento e constitui um desafio terapêutico.9 Citam-se tratamentos com corticoides locais e sistêmicos,11 minociclina,5,7,11 imiquimod a 5%,5,7,11 isotretinóina e doxiciclina.7
Morrondo e cols.11 descreveram um caso de paniculite factícia por silicone em regiões glúteas e EN (associado à síndrome de Löfgren) em regiões pré-tibiais concomitantes, com boa resposta ao anti-inflamatório não estereoidal.
Para casos secundários à reação granulomatosa utilizam-se corticoides intralesionais3,5 e remoção dos implantes nos casos irresponsivos,3,7 o que pode exigir largas ressecções e reconstruções complicadas.8
A perda do seguimento ambulatorial inviabilizou o direcionamento terapêutico após a revisão desse caso.
CONCLUSÃO
Os dados histopatológicos somados à história prévia do preenchimento, ao potencial de migração do silicone, à evolução crônica e atípica e à documentação de infiltração líquida glútea, embasaram a conclusão de paniculite factícia.
As reações adversas aos preenchedores podem surgir muitos anos após o procedimento e farta documentação sobre migração do silicone para sítios distantes está disponível. Uma história completa incluindo informações do passado e tratamentos estéticos prévios deve ser especialmente realizada frente a casos de paniculite evoluindo cronicamente.
Referências
Krook PO, Halpern I, Passos AP. Afecções da Hipoderme. In: Junior WB, Chiacchio ND, Criado PR, editors. Tratado de Dermatologia. São Paulo: Ed. Atheneu; 2014. p. 747-802.
Vilanova X, Pinol Aguadé J. Hypodermite Nodulaire Subaiguë Migratice. Annales de Dermatologie. 1956;83(4):369-401.
Sanmartín O, Requena C, Requena L. Factitial Panniculitis. Dermatol Clin. 2008; 26(4):519-27.
Jeong KH, Lee MH. Two cases of factitial panniculitis induced by electroacupuncture. Clin Exp Dermatol. 2008;34(5):e170-3.
Requena L, Requena C, Christensen L, Zimmermann US, Kutzner H, Cerroni L. Adverse reactions to injectable soft tissue fillers. J Am Acad Dermatol. 2011;64(1):1-34.
Mercer, SF, Kleinerman R, Goldenberg G, Emanuel PO. Histopathological Identification of Dermal Filler Agents. J Drugs Dermatol. 2010;9(9):1072-7.
Prather CL, Jones DH. Liquid injectable silicone for soft tissue augmentation. Dermatol Ther. 2006;19(3):159-68.
Hirsch RJ, Stier M. Complications of Soft Tissue Augmentation. J Drugs Dermatol. 2008;7(9):841-45.
Gilbert E, Hui A, Meehan S, Waldorf HA. The Basic Science of Dermal Fillers: Past and Present Part II: Adverse Effects. J Drugs Dermatol. 2012;11(9):1069-75.
Shvartsbeyn M, Rapkiewicz A. Silicon-associated subcutaneous lesion presenting as a mass: a confounding histopathologic correlation. Hum Patol. 2011;42(9):1364-7.
Morrondo CD, Fontana NP, Gontad JML, RNA, González MF, Silva JG et al. Paniculitis facticia y syndrome de Löfgren inducidos por silicona: a propósito de un caso clínico. Reumatol Clin. 2012;8(6):368-71.
Notas
Autor notes
Ludmilla Luiza Libanio Guimarães | ORCID 0000-0002-6543-610X
Suspeição diagnóstica, levantamento bibliográfico e redação do texto.
Nurimar Conceição Fernandes | ORCID 0000 - 0002-1819-9630
Acompanhamento ambulatorial da paciente, orientação na redação do texto e revisões do texto.
Tullia Cuzzi | ORCID 0000-0002-3331-5290
Emissão dos laudos histopatológicos, discussão dos achados histopatológicos, documentação fotográfica histopatológica e revisão crítica do texto.
Correspondência para: Ludmilla Luiza Libanio Guimarães, Avenida Nossa Senhora da Penha no 699 − Torre B − sala 913, Santa Lúcia, 29056-250, Vitória, ES Brasil. E-mail: ludlibanio@gmail.com
Declaração de interesses