RESUMO: Descrito por Jadassohn e também conhecido como nevo organoide, o nevo sebáceo é considerado hamartoma que exibe má-formação folicular, sebácea, écrina e apócrina de graus variados. Durante a idade adulta, de dez a 30% dos pacientes com nevo sebáceo de Jadassohn têm risco de desenvolver neoplasia cutânea ou anexial. Relatamos caso de paciente com nevo sebáceo de Jadassohn associado a múltiplas neoplasias (benignas e malignas) de diferentes linhagens e ressaltamos a importância do conhecimento dessa entidade e do exame do couro cabeludo por parte do dermatologista.
Palavras-chave: Carcinoma basocelularCarcinoma basocelular,HamartomaHamartoma,Nevo sebáceo de JadassohnNevo sebáceo de Jadassohn,NeoplasiasNeoplasias.
ABSTRACT: Described by Jadassohn and also known as organoid nevus, nevus sebaceous is considered a hamartoma that exhibits follicular, sebaceous, eccrine and apocrine malformations of varying degrees. Between 10% and 30% of patients with sebaceous nevi of Jadassohn are at risk of developing cutaneous or adnexal neoplasia during adulthood. The authors describe the case of a patient with nevus sebaceous of Jadassohn associated with multiple tumors (benign and malignant) of different strains, highlighting the importance of the dermatologist physician's knowing this entity and how to perform an examination of the scalp.
Keywords: Carcinoma, Basal Cell, Hamartoma, Neoplasms, Nevus sebaceous of Jadassohn.
Relato de Caso
Carcinoma basocelular, siringocistoadenoma papilífero, adenoma apócrino e triquilemoma sobre nevo sebáceo de Jadassohn
Basal cell carcinoma, papillary syringocystadenoma, apocrine adenoma and trichilemmoma on nevus sebaceous of Jadassohn
Recepção: 05 Novembro 2017
Aprovação: 17 Junho 2018
Descrito originalmente por Jadassohn em 1895, só em 1932 recebe a designação "nevo sebáceo", introduzida por Robinson.1,2 Trata-se de hamartoma congênito relativamente prevalente que, classicamente, evolui por fases de crescimento e maturação e que exibe má-formação folicular, sebácea, écrina e apócrina de graus variados.3,4 Várias mutações ativadoras em HRAS e KRAS foram relatadas em nevos sebáceos, permitindo a alguns autores considerá-los resultado de um estado proliferativo de mosaico somático da pele total.4
Durante a idade adulta, 10% a 30% dos pacientes com nevo sebáceo de Jadassohn (NSJ) têm risco de desenvolver neoplasia cutânea ou anexial.3,4
Relatamos caso de paciente com NSJ associado a múltiplas neoplasias (benignas e malignas) de diferentes linhagens e ressaltamos a importância do conhecimento dessa entidade e do exame do couro cabeludo por parte do dermatologista.
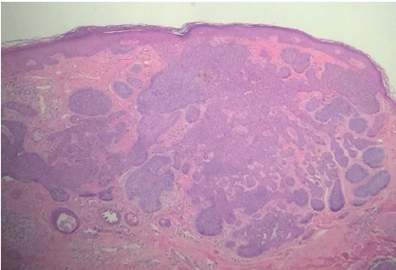
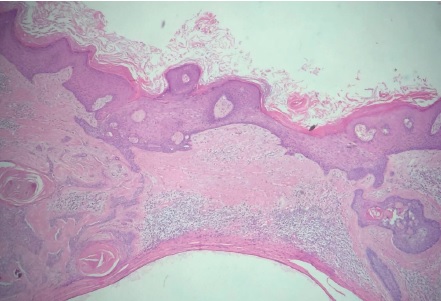
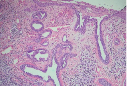
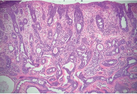
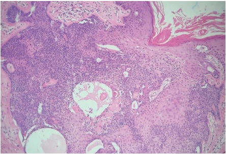
Paciente do sexo feminino, 65 anos, parda, queixando-se de prurido no couro cabeludo há um mês. Ao exame observava-se na região occipital: placa verrucosa, discretamente eritematosa medindo cerca de 2,5cm no seu maior eixo (Figuras 1 e 2). Segundo a paciente, desde o nascimento apresentava lesão assintomática no couro cabeludo que, há um mês, tornara-se pruriginosa. Optou-se por biópsia incisional da lesão e exame histopatológico, o qual evidenciou carcinoma basocelular nodular (Figura 3). Realizada então a excisão completa da lesão com margem, cujo exame histopatológico revelou: nevo sebáceo associado a siringocistoadenoma papilífero, adenoma tubular apócrino, triquilemoma (Figuras 4 a 7) e fibrose dérmica cicatricial.







O NSJ, conhecido também como nevo organoide, é mais incidente no couro cabeludo, podendo apresentar-se na face e menos comumente nos membros.3,5 Ocorre em aproximadamente 0,3% dos indivíduos, sem predileção por gênero. A lesão em geral está presente ao nascimento e apresenta-se como placa bem delimitada constituída por múltiplas pápulas confluentes de coloração amarelo-alaranjada ou amarelo-acastanhada, predominantemente no couro cabeludo, onde cursa com alopecia no local da lesão.3 Apresenta distribuição bimodal: durante a puberdade, quando sua superfície torna-se espessada e verrucosa por estímulos hormonais aos componentes écrinos e apócrinos, podendo, na fase adulta, a lesão se tornar nodular com a ocorrência de ulcerações e crostas. A possibilidade de surgimento de neoplasias secundárias nessa fase varia de dez a 30%, sendo as principais o carcinoma basocelular, o siringocistoadenoma papilífero (ambos observados nessa paciente) e o tricoblastoma.3
Outros tumores já descritos em associação com o NSJ incluem: benignos - triquilemoma (também presente nessa paciente), tricoadenoma, hidroadenoma nodular, hidrocistoma apócrino, siringoma, nevo apócrino, poroma, espiradenoma, queratoacantoma, piloleiomioma, osteoma, nevo melanocítico, queratose seborreica e queratoacantoma;4,6-8 malignos - carcinoma espinocelular, carcinoma sebáceo, carcinoma apócrino, leiomiossarcoma, porocarcinoma écrino e melanoma.6,9
Não há consenso a respeito de abordagem ideal. Alguns autores recomendam excisão cirúrgica precoce (pré-puberal) para prevenir transformações malignas e esteticamente desfigurantes. Outros, no entanto, defendem a conduta conservadora. Estudos futuros podem identificar marcadores moleculares ou alterações genéticas que possam indicar maior risco de transformações neoplásicas, evitando-se assim intervenções cirúrgicas desnecessárias.10
A multiplicidade de tumores de diferentes linhagens detectados em apenas uma lesão nos motivaram a este relato ressaltando a importância do conhecimento dessa entidade (NSJ) e de sua evolução, e alertando para a importância do exame do couro cabeludo durante a consulta dermatológica.
Isabella Lemos Baltazar | ORCID 0000-0002-9731-4414
Concepção, fotografia, levantamento bibliográfico, elaboração, redação e aprovação da versão final.
Talita Pollo | ORCID 0000-0003-4877-7970
Concepção, fotografia, levantamento bibliográfico, elaboração, redação e aprovação da versão final.
Flávia Regina Ferreira | ORCID 0000-0001- 5679-4282
Concepção, orientação da pesquisa, levantamento bibliográfico, elaboração, redação, revisão crítica e aprovação da versão final.
Elisangela Manfredini Andraus de Lima | ORCID 0000-0002-2390-0410
Concepção, participação intelectual e na execução da conduta terapêutica do caso em questão e aprovação da versão final.
Samuel Henrique Mandelbaum | ORCID 0000-0002-4631-4828
Concepção, levantamento bibliográfico e aprovação da versão final.
Fernanda Rocha Gonçalves | ORCID 0000-0003-2933-2845
Participação intelectual no diagnóstico do caso, fotografia, descrição do exame histológico e aprovação da versão final.
Correspondência para: Flávia Regina Ferreira, Avenida Granadeiro Guimarães, 270 - Centro, 12020-130, Taubaté (SP), Brasil, Email: dermagica@uol.com.br






