Artigo Original
Tratamento de cicatrizes hipertróficas com laser fracionado ablativo e drug delivery de triancinolona
Treatment of hypertrophic scars with factional ablative laser and triamcinolone drug delivery
Tratamento de cicatrizes hipertróficas com laser fracionado ablativo e drug delivery de triancinolona
Surgical & Cosmetic Dermatology, vol. 10, núm. 4, pp. 304-308, 2018
Sociedade Brasileira de Dermatologia
Recepção: 30 Outubro 2018
Aprovação: 16 Novembro 2018
RESUMO
INTRODUÇÃO: As cicatrizes são muito prevalentes na população mundial e podem ter impacto psicológico importante na vida do paciente. Já existem métodos clínicos e cirúrgicos convencionais para seu tratamento. Entretanto, a recidiva e os efeitos colaterais apresentados impulsionam a busca por novas modalidades terapêuticas.
OBJETIVO: Avaliar a melhora clínica de pacientes com cicatrizes hipertróficas tratados com laser fracionado ablativo associado a drug delivery de triancinolona.
MATERIAL E MÉTODOS: Foram selecionadas 18 pacientes com cicatrizes para serem tratadas, por oito semanas, com quatro sessões quinzenais de laser fracionado ablativo associado a drug delivery de triancinolona 20mg/ml. Antes e após o tratamento, o grupo foi avaliado por três examinadores por meio da evolução fotográfica, considerando-se os parâmetros aparência, discromia e grau de hipertrofia.
RESULTADOS: Completaram o estudo 15 pacientes. Destas, 35,53% apresentaram pouca ou nenhuma melhora; 37,80%, melhora moderada a intermediária; 8,89%, melhora importante e 17,80%, melhora próxima à resolução.
CONCLUSÕES: A associação proposta é uma opção terapêutica promissora para o tratamento de cicatrizes hipertróficas por ser de rápida realização e cicatrização tecidual, com melhores resultados em relação às terapêuticas aplicadas isoladamente, com menores efeitos colaterais e com mais tolerabilidade pelo paciente, além de ser facilmente reproduzível em consultório.
Palavras-Chave: Cicatriz hipertrófica+ Lasers+ Triancinolona.
ABSTRACT
INTRODUCTION: Scars are very prevalent in the world’s population and can have a significant psychological impact in the patient’s life. There are already conventional clinical and surgical methods for their treatment. However, recurrence and existing side effects drive the search for new therapeutic modalities.
OBJECTIVE: To evaluate the clinical improvement of patients with hypertrophic scarring treated with fractional ablative laser associated to triamcinolone drug delivery.
MATERIAL AND METHODS: Eighteen patients with scars to be treated were selected during eight weeks, with four fortnightly sessions of fractional ablative laser associated to 20mg/ml triamcinolone drug delivery. Before and after the treatment, the group was evaluated by three examiners, through the photographic evolution , considering the parameters appearance, dyschromia and degree of hypertrophy. Results: Fifteen patients completed the study. Of these, 35.53% had no or little improvement; 37.80%, moderate to intermediate improvement; 8.89%, expressive improvement and 17.80%, improvement near resolution.
CONCLUSIONS: The proposed association is a promising therapeutic option for the treatment of hypertrophic scars because it is quick to perform and to heal, with less side effects and better tolerated by the patient when compared to the therapies used alone, besides being easily replicable in the office.
Keywords: Cicatrix, hypertrophic, Lasers, Triamcinolone acetonide.
INTRODUÇÃO
Devido à sua extensão e ao contato com o mundo exterior, a pele é o órgão humano mais frequentemente sujeito a agressões e a lesões, que cicatrizam sem a restauração completa da sua arquitetura original. Após cada intervenção cirúrgica, trauma ou queimadura, o processo de restauração da pele dá origem ao aparecimento de cicatrizes que, apesar de não recompor por completo a estrutura normal da pele sã, protegem o organismo contra infecções e perda excessiva de água. As cicatrizes hipertróficas caracterizam-se pelo seu aparecimento pouco tempo após um traumatismo da pele, por não ultrapassarem os contornos da lesão e por surgirem, preferencialmente, nas zonas articulares, provavelmente relacionadas às pressões constantes a que estas regiões estão sujeitas.1
As cicatrizes, por vezes, impactam severamente a qualidade de vida dos pacientes, podendo levar ao isolamento social e profissional bem como à interrupção de atividades cotidianas. Ocasionalmente, torna-se necessária até mesmo a reabilitação física devido a contraturas articulares e perda de função.
As cicatrizes hipertróficas são firmes, vermelhas, brancas ou rosas, caracterizadas por um aumento na expressão de colágeno. Essas cicatrizes desenvolvem-se como resultado de uma síntese excessiva de colágeno associada à lise limitada de colágeno durante a fase de remodelação da matriz. O resultado é a formação de feixes de colágeno espessos e hialinizados, constituídos por fibroblastos e fibrócitos. As cicatrizes hipertróficas geralmente se formam no primeiro mês após a lesão inicial e podem regredir com o tempo, ao contrário das cicatrizes queloidianas, que podem se formar semanas ou anos após a injúria.2
São vários os fatores que têm sido associados ao aparecimento de cicatrizes hipertróficas: a coloração da pele, sendo mais frequente em fototipos altos; o sexo feminino; a idade jovem, sendo prevalente na segunda década de vida; o local do trauma, sendo mais comuns de surgirem em região cervical e membros superiores.2
Existe uma variedade de opções terapêuticas disponíveis para tratamento das cicatrizes hipertróficas, incluindo a excisão cirúrgica e o tratamento não cirúrgico.
Dentre os métodos não cirúrgicos, estão os tratamentos compressivos, gel de silicone, criocirurgia, corticoterapia tópica e intralesional, betaterapia e emprego de lasers.
A penetração dos medicamentos através do estrato córneo intacto ocorre por difusão e, em menor grau, através dos anexos cutâneos. Pode ser realizada por via transcelular ou intracelular.3
Somente moléculas lipofílicas e inferiores a 500Da conseguem penetrar o estrato córneo intacto. Além disso, apenas 1 a 5% do medicamento aplicado sobre a pele é absorvido e se torna biodisponível para exercer seu efeito terapêutico.3
A técnica denominada drug delivery consiste em encontrar métodos para otimizar a penetração cutânea de medicamentos, e esse objetivo pode ser alcançado por meio de métodos químicos, mecânicos e físicos.3
O uso de lasers para drug delivery foi apresentado como um novo método terapêutico após Anderson, em 2004, descrever o conceito da fototermólise fracionada. Por este método, áreas de pele são mantidas entre as áreas de dano térmico ocasionado pelo laser fracionado ablativo, denominadas microzonas térmicas (MTZ)4, que permitem a entrega de medicamentos de forma uniforme e controlada.
Lasers promovem drug delivery por meio de três formas: 1. Ablação tecidual, que remove o estrato córneo e as camadas mais superficiais da epiderme; 2. Ondas fotomecânicas, resultantes da conversão da energia luminosa em energia mecânica; e 3. Resurfacing não ablativo, em que as injúrias térmica e física ocasionam rupturas na barreira cutânea, promovendo a entrega dos medicamentos.5
Os principais lasers fracionados ablativos são o Er:YAG 2940nm e o laser de CO2 10600nm, que operam na faixa do infravermelho e têm como cromóforo-alvo a água. O laser Er:-YAG 2940nm é absorvido pela água da epiderme, permitindo penetração mais superficial com menor produção de calor. Já o laser de CO2 10600nm penetra mais profundamente e produz maior aquecimento. Ambos os lasers facilitam o drug delivery, tanto através das microzonas térmicas (MTZ) quanto por meio do efeito térmico no tecido a elas adjacente.6 A característica dos lasers fracionados ablativos é atuar por meio de colunas de ablação tecidual circundadas por tecido de coagulação, que podem ser moduladas de acordo com o tipo e a energia do laser utilizado. Esses canais garantem acesso dos ativos utilizados às camadas inferiores, facilitando o drug delivery.7As MTZs podem ser manipuladas mediante dois parâmetros: densidade, isto é, a quantidade de microporos por determinada área; e profundidade, controlada pela fluência utilizada. O tipo de onda e a duração de pulso utilizados com o laser fracionado ablativo permitem modular o grau de ablação e a espessura da coluna de coagulação adjacente às MTZs: se for muito espessa, essa coluna de coagulação prejudica a difusão do medicamento.8 Além disso, o uso de energias muito altas provoca lesões mais profundas, que podem atingir os vasos e, com isso, o ativo utilizado pode entrar na corrente sanguínea, efeito esse não desejado para drogas que agem na pele.
Já existem métodos clínicos e cirúrgicos convencionais para o tratamento das cicatrizes hipertróficas, no entanto o emprego do laser se mostra minimamente invasivo e eficaz, contribuindo com o arsenal terapêutico da desordem em questão, especialmente em casos de falhas terapêuticas e impossibilidades cirúrgicas, não afastando o paciente de suas atividades cotidianas.
Nesse contexto, teremos como objetivo avaliar a viabilidade e eficácia da terapia com laser fracionado ablativo combinado com o drug delivery de corticoide de alta potência. Os benefícios potenciais incluem a introdução de uma estratégia simples e econômica para combinar duas terapêuticas consagradas em cicatriz hipertrófica e, dessa forma, possivelmente criar uma resposta terapêutica sinérgica.
MÉTODOS
Trata-se de estudo intervencionista, aberto, prospectivo, em que foram tratadas 18 pacientes voluntárias, portadoras de cicatriz hipertrófica em qualquer localização do corpo, realizado no Setor de Laser do Instituto de Dermatologia Professor Rubem David Azulay da Santa Casa de Misericórdia do Rio de Janeiro.
O processo de seleção foi realizado por meio do encaminhamento de médicos especialistas do Setor de Cosmiatria e Dermatologia Geral bem como por meio da captação pelo Setor de Laser do referido Instituto. O trabalho obteve aprovação pelo Comitê de Ética em Pesquisa (90998618600005239).
Os critérios de inclusão foram: pacientes de ambos os sexos; de todas as raças; idade maior de 18 anos; com diagnóstico clínico de cicatriz hipertrófica em qualquer localização; cicatrizes com mais de seis meses de evolução; e não utilização de outras medicações para tratamento de cicatrizes durante o tratamento proposto.
Os critérios de exclusão foram: gravidez ou período de lactância; alergia a anestésicos tópicos; pacientes em uso de isotretinoína oral; história pessoal prévia de hipersensibilidade à medicação em estudo; tuberculose em atividade; ceratite herpética; fotoexposição recente; uso prévio de medicações fotossensibilizantes; e lesão dermatológica em atividade na região a ser tratada e/ou lesão suspeita de malignidade. Pacientes com cicatriz queloide não foram incluídos.
Os pacientes foram submetidos à documentação fotográfica antes e quatro semanas após o término do protocolo de laser fracionado ablativo com drug delivery de triancinolona. O procedimento foi feito sob anestesia prévia tópica com lidocaína 4% por, no mínimo, 30 minutos antes da sessão. Foi aplicado laser fracionado ablativo ponteira 2940nm da Plataforma Etherea, 12,5mj 300ms (Vydence. Anvisa 80058580015), com posterior gotejamento de triancinolona 20mg/ml, em quantidade suficiente para cobrir toda a cicatriz. O contato foi mantido por seis horas. Houve um total de quatro sessões, com intervalo quinzenal.
Foi feita avaliação clínica objetiva por três examinadores dermatologistas, não relacionados ao Setor de Laser, “cegos/ocultos”, que examinaram as fotografias tiradas numa ordem cronológica, utilizando uma escala com medidas separadas por quartis: Grau 1. <25% (melhora mínima/sem melhora); Grau 2. 26-50% (melhora moderada-intermediária); Grau 3. 51-75% (melhora importante/marcada); Grau 4. >75% (melhora próxima à resolução). Essa análise foi realizada com base em três parâmetros: aparência, discromia e grau de hipertrofia.
RESULTADOS
Foram selecionadas para o estudo 18 pacientes com cicatrizes hipertróficas; três perderam continuidade, portanto 15 cicatrizes finalizaram o tratamento, sendo todos os pacientes do sexo feminino, com faixa etária média de 38,93 anos e duração média de evolução da cicatriz de 2,67 anos.
Em relação à localização das cicatrizes, 26,67% localizavam-se no tronco; 26,67%, no abdômen; 20%, nos membros; 13,33%, na face; e 13,33%, nas orelhas.
Em relação à etiologia, 73,33% das cicatrizes foram decorrentes de procedimento cirúrgico e 26,67% foram traumáticas.
De acordo com a análise fotográfica realizada pelos avaliadores cegos (I, II e III) sobre as 15 cicatrizes, verificaram-se a distribuição de resultados e as participações percentuais apresentadas na tabela 1.
| Faixa (%) | Avaliador / Frequência | Média | Participação (%) | ||
|---|---|---|---|---|---|
| I | II | III | |||
| De 0 a < 25 | 2 | 6 | 8 | 5,33 | 35,53 |
| De 25 a < 50 | 7 | 5 | 5 | 5,67 | 37,80 |
| De 50 a < 75 | 1 | 3 | 0 | 1,33 | 8,89 |
| De 75 a 100 | 5 | 1 | 2 | 2,67 | 17,80 |
| Total | 15 | 15 | 15 | 15 | 100 |
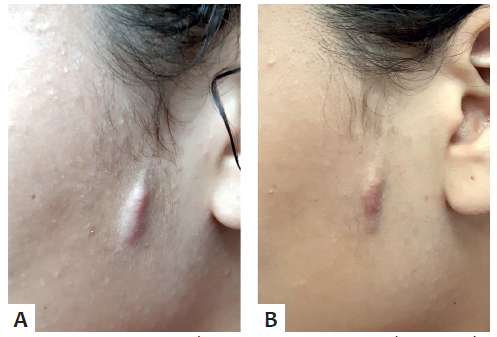
A paciente da figura 1 apresentou, na avaliação dos examinadores, a mais expressiva melhora no parâmetro de aparência global da cicatriz.

É importante ressaltar que, em duas pacientes, não houve necessidade de se completarem as quatro sessões propostas pelo protocolo, já que, após a terceira sessão, as cicatrizes já não eram mais hipertróficas e só evidenciavam uma discreta diferença de textura em relação à pele normal. Uma destas pacientes pode ser observada na figura 2.

A paciente da figura 3 apresentou o melhor resultado no que se refere ao grau de hipertrofia avaliado por meio das fotografias.

A maioria das pacientes observou leve a moderado eritema e edema imediatamente e em até cinco dias após o tratamento.
A dor durante a sessão foi extremamente tolerável. Nem todas as pacientes sentiram necessidade do uso prévio de anestésico tópico. Não houve relato de efeito colateral. Nenhuma paciente teve piora após as sessões. Não foi observada recorrência em um período de três meses de acompanhamento.
DISCUSSÃO
Os dermatologistas, em sua prática clínica, sabem que o tratamento de cicatrizes cutâneas pode ser complexo e, muitas vezes, requerer abordagem terapêutica multimodal. Ainda assim, o paciente pode permanecer insatisfeito. Essas técnicas incluem aplicação de corticoide intralesional, retinoides tópicos, excisão cirúrgica, criocirurgia, radioterapia, 5-fluorouracil intralesional, interferon intralesional, oclusão e utilização de gel de silicone. Muitas dessas terapêuticas são dolorosas, pouco eficazes e com alguns efeitos colaterais, incluindo atrofia e discromia.
Atualmente, a excisão cirúrgica associada à injeção intralesional de corticoide tem sido a terapêutica de eleição. Sabemos que, quando a excisão cirúrgica é realizada isoladamente, há uma alta taxa de recorrência (cerca de 45 a 100%); entretanto, quando utilizada em associação com corticoide, essa taxa cai para menos de 50%.9
Os corticosteroides intralesionais foram um dos pilares no tratamento de cicatrizes hipertróficas por décadas, levando a melhorias por meio de uma variedade de mecanismos, incluindo diminuição da síntese de colágeno e aumento da degeneração de colágeno. Entretanto, a injeção de acetonido de triancinolona é, muitas vezes, dolorosa, e a dose terapêutica é difícil de ser alcançada por toda a cicatriz. Sabe-se que tem resposta de 50 a 100% e recorrência de 9 a 50%.9 Em muitos casos, os efeitos da aplicação em plano incorreto ocasionam efeitos adversos, como discromia e atrofia, tornando-se mais evidentes do que a própria cicatriz. Nesse sentido, observamos no nosso estudo que a aplicação de acetonido de triancinolona após o resurfacing fracionado é indolor, mais uniforme e no plano correto, pré-programado pelos parâmetros do laser.
O advento da tecnologia do laser fracionado na última década aumentou significativamente as opções de tratamento potencial para pacientes com cicatrizes desfigurantes, incapacitantes ou com prejuízo apenas estético. Estudos científicos demonstram excelentes resultados clínicos e com segurança utilizando-se até mesmo o laser isoladamente.10,11,12
O uso desses lasers ablativos no modo fracionado representa uma ferramenta promissora no tratamento de cicatrizes, com dor mínima e rápida cicatrização, sendo concluído em poucos dias. Além da ação específica desses lasers na remodelação da cicatriz, os canais que eles criam podem ser usados para entregar agentes dentro da cicatriz, potencializando assim sua eficácia.13
O uso da tecnologia de laser ablativo fracionado para criar canais de profundidade preestabelecida no tecido cutâneo, podendo-se atingir a camada-alvo e assim administrar drogas e outros agentes bioativos, indubitavelmente é o futuro da tecnologia, e pode ser aplicado tanto para fins estéticos quanto terapêuticos. Otimizar os resultados e reduzir efeitos colaterais sempre será nossa busca. Os atuais dispositivos de laser fracionado ablativo têm um benefício significativo ao serem ajustáveis e, assim, criar canais de profundidade e densidade predeterminadas.
Na nossa série de casos, utilizamos baixa energia e baixa densidade, parâmetros estes com o objetivo de realizar drug delivery (Etherea 2940nm 12,5mj 300ms).
Estudos histológicos prévios em pele normal documentaram completar-se a reepitelização 48 horas após tratamento ablativo com laser fracionado de CO2.14 Instituímos, então, um tempo padrão de seis horas para lavagem da região da cicatriz após o procedimento. A nossa preferência foi aplicar a triancinolona dentro de dois minutos do tratamento fracionado para atuar nas fases mais precoces da cascata inflamatória.
O resultado da nossa série de casos indica que a associação entre a tecnologia do laser e o drug delivery de acetonido de triancinolona configura-se um tratamento eficiente, seguro e eficaz de cicatrizes cutâneas hipertróficas. Vários aspectos importantes da avaliação da cicatriz, como textura, hipertrofia e discromia, foram todos impactados positivamente pela terapia combinada. A aplicação de corticosteroides após o laser aproveita os canais recém-formados para penetrar uniformemente e profundamente nas cicatrizes.
Esta é a primeira série de casos brasileira na literatura que avalia a eficácia dessa associação no tratamento de cicatrizes hipertróficas.
O primeiro relato foi feito nos Estados Unidos, em 2013, por Weibel et al15, quando avaliaram 15 cicatrizes, mostrando resultados animadores que resolvemos reproduzir em nosso Serviço.
Embora os resultados desta série sejam promissores, existem limitações que devem ser consideradas. Utilizamos uma dose-padrão de corticoide, sem considerar a área a ser tratada. Devido ao curto período de seguimento após o término do tratamento, não avaliamos a taxa de recorrência nem uma melhora clínica mais evidente com o estímulo de colágeno. Além disso, a falta de grupo controle torna impossível atribuir os melhores resultados ao tratamento combinado em relação aos tratamentos individuais. No entanto, os resultados desta série comparam-se favoravelmente à experiência dos autores citados, tanto na rapidez quanto no grau de melhora das modalidades individuais. Investigações adicionais, incluindo estudos prospectivos controlados, certamente serão necessárias para determinar se a associação do laser fracionado ablativo e corticoterapia tópica é mais efetiva em comparação com a modalidade isolada, assim como para determinar outras variáveis, como os parâmetros do laser e a dosagem de drogas.
CONCLUSÃO
Os resultados encontrados na nossa série de casos e a grande satisfação dos pacientes tornam evidente que os lasers fracionados ablativos podem ser uma ferramenta eficaz para otimizar e padronizar a entrega do acetonido de triancinolona no tratamento de cicatrizes hipertróficas.
Indubitavelmente, é uma opção terapêutica promissora para o tratamento de cicatrizes hipertróficas por ser de rápida realização e cicatrização tecidual, com melhores resultados se comparada às terapêuticas isoladamente, menores efeitos colaterais, mais tolerabilidade pelo paciente, além de ser facilmente reproduzível em consultório.
REFERÊNCIAS
Wolfram D, Tzankov A, Pulzl P, Piza-Katzer H. Hypertrophic scars and keloids: a review of their pathophysiology, risk factors, and therapeutic management. Dermatol Surg. 2009;35(2):171-81.
Mahdavian Delavary B, Vander Veer WM, Ferreira JA, Niessen FB. Formation of hypertrophic scars: evolution and susceptibility. J Plast Surg Hand Surg. 2012;46(2):95-101.
Leite-Silva VR, Almeida MM, Fradin A, Grice JE, Roberts MS. Delivery of drugs applied topically to the skin. Expert Rev Dermatol. 2012;7(4):383-97.
Manstein D, Herron GS, Sink RK, Tanner H, Anderson RR. Fractional Photo-thermolysis: A New Concept for Cutaneous Remodeling Using Microscopic Patterns of Thermal Injury. Lasers Surg Med. 2004;34(5):426-38.
Haedersdal M, Erlendsson AM, Paasch U, Anderson RR. Translational medicinein the field of ablative fractional laser (AFXL)-assisted drug deli-very: A critical review from basics to current clinical status. J Am Acad Dermatol. 2016;74(5):981-1004.
Sklar LR, Burnett CT, Waibel JS, Moy RL, Ozog DM. Laser assisted drug delivery: a review of an evolving technology. Lasers Surg Med. 2014;46(4):249-62.
Kalil C, Campos V, Reinehr CPH, Chaves CRP. Drug delivery assistido por lasers: revisão. Surg Cosmet Dermatol. 2016;8(3):193-203.
Haedersdal M, Sakamoto FH, Farinelli WA, Doukas AG, Tam J, Anderson RR. Fractional CO2 laser-assisted drug delivery. Lasers Surg Med.2010;42(2):113-22.
Khatri KA, Mahoney DL, Mccaartney MJ. Laser scar revision: A review. J Cosmet Laser Ther. 2011;13(2):54-62.
Kwon SD, Kye YC. Treatment of scars with a pulsed Er: Yag laser. J Cutan Laser Ther. 2000;2(1):27-31.
Sawcer D, Lee HR, Lowe NJ. Lasers and adjuntive treatment for facial scars: A review. J Cutan Laser Ther. 1999;1(2):77-85.
Bouzari N, Davi SC, Nouri K. Laser treatment of keloids and hypertrophic scars. Int J Dermatol. 2007;46(1):80-8.
Cavalie M, Sillard L, Montaudie H, Bahadoran P, Lacour JP, Passeron T. Treatment of keloids with laser-assisted topical steroid delivery: a retrospective study of 23 cases. Dermatol Ther. 2015;28(2):74-8.
Hantash B, Bedi VP, Kapadia B, Rahman Z, Jiang K, Tanner H, et al. In vivo histological evaluation of a novel ablative fractional resurfacing device. Lasers Surg Med. 2007;39(2):96-107.
Waibel JS, Wulkan AJ, Shumaker PR. Treatment of hypertrophic scars using laser and laser assisted corticosteroid delivery. Lasers Surg Med 2013: 45: 135-140.
Notas
Autor notes
Correspondência para: Luciana Pereira Paes Gomes Saraiva, Rua Antônio Cordeiro, 264, bloco 1, apartamento 404 Freguesia - Jacarepaguá, 22750-310, Rio de Janeiro, RJ Brasil. E-mail: lusaraiva_med@yahoo.com.br
Declaração de interesses