Artigo Original
Avaliação histológica da redução do conteúdo melânico cutâneo após realização de microagulhamento na região anterior do colo
Histologic evaluation of the reduction of cutaneous melanin content after microneedling on the chest
Avaliação histológica da redução do conteúdo melânico cutâneo após realização de microagulhamento na região anterior do colo
Surgical & Cosmetic Dermatology, vol. 11, núm. 1, pp. 49-54, 2019
Sociedade Brasileira de Dermatologia
Recepção: 13 Novembro 2018
Aprovação: 22 Dezembro 2018
RESUMO
Introdução: A região anterior do tórax constitui área fotoexposta que apresenta efeitos do fotodano. O microagulhamento é opção segura para rejuvenescimento dessa área, promovendo também a melhora de discromias.
Objetivo: Avaliar a resposta histológica cutânea após três sessões mensais de microagulhamento para tratamento de discromias da região anterior do tórax.
Métodos: Foram realizadas, três sessões mensais de microagulhamento com agulhas de 1,5mm de comprimento, e também biópsias cutâneas antes e 90 dias após o início do estudo. As amostras histológicas foram avaliadas com as colorações de HE e Fontana-Masson. O conteúdo de melanina foi mensurado com base em clusters dérmicos.
Resultados: Seis pacientes com idades entre 38 e 67 anos, fototipos II-III, escala Glogau II-IV foram incluídos. Uma correlação positiva foi observada entre o tempo e o conteúdo dérmico de melanina (p= 0,029): três sessões de microagulhamento reduziram esse conteúdo no D90 em comparação com o tempo inicial (6.4 ± 1.7 MC em D0 versus 3.1 ± 0.4 em D90, p = 0.05). Três pacientes relataram melhora global da pele no D90.
Conclusões: O mecanismo proposto do microagulhamento para promover clareamento inclui proliferação de fibroblastos e neocolagênese na derme superior. Esse é o primeiro estudo a avaliar histologicamente os achados associados ao clareamento da região do tórax decorrente do microagulhamento.
Palavras-chave: Agulhas+ Histologia+ Melaninas+ Tórax.
ABSTRACT
Introduction: The chest is a photoexposed area that shows effects of photodamage. Microneedling is a safe option for the rejuvenation of this area, also leading to improvement in dyschromias.
Objective: To evaluate histologic cutaneous response after three monthly sessions of microneedling for the treatment of dyschromias on the chest.
Methods: Three monthly sessions of microneedling, with 1.5mm length needles were performed, as well as skin biopsies before and 90 days after commencement of the study. Histologic samples were evaluated with H&E and Fontana-Masson stains. Melanin content was measured based on dermal clusters.
Results: Six patients between 38 and 67 years of age, phototypes II-III, Glogau scale II-IV were included. A positive correlation was observed between the time and dermal content of melanin (p=0.029): three sessions of microneedling reduced this content on D90 compared to the beginning (6.4 ± 1.7 MC on D0 versus 3.1 ± 0.4 on D90, p = 0.05). Three patients reported global skin improvement on D90.
Conclusions: The proposed mechanism of microneedling to promote lightening includes fibroblast proliferation and neocollagenesis in the upper dermis. This is the first study to evaluate the histology of the findings associated to lightening of the chest due to microneedling.
Keywords: Histology, Melanins, Needles, Thorax.
INTRODUÇÃO
A região anterior do tórax é área reveladora do envelhecimento da pele, pois sofre exposição solar e, muitas vezes, é mantida sem tratamento.1 O aspecto de pele fotodanificada dessa região, que apresenta flacidez cutânea, discromias, xerose, rítides, efélides e poiquilodermia, gera insatisfação estética no paciente, o qual busca opções de tratamentos eficazes, seguros e com o menor período de recuperação possível.1 Nesse contexto, o uso do microagulhamento associado ao drug delivery demonstrou ser um tratamento seguro e eficaz, em meio ao arsenal terapêutico disponível.
Em estudo prévio, os autores observaram resultados clínicos positivos no rejuvenescimento global da região anterior do tórax com a realização de três sessões de microagulhamento e drug delivery, com melhora significativa na textura e firmeza da pele. Além disso, clinicamente observou-se melhora nas discromias, com clareamento da área tratada e uniformização da coloração da pele.2
O efeito clareador da técnica de microagulhamento associado ao drug delivery é descrito em pacientes com melasma recalcitrante tratados com a técnica de forma isolada ou em associação com clareadores tópicos no drug delivery, como ácido tranexâmico, hidroquinona, rucinol, sofora-alfa e ácido ascórbico.3-7 Estudos adicionais associando o efeito clareador do microagulhamento no tratamento da região anterior do tórax não foram encontrados na literatura, ressaltando a necessidade de mais estudos que comprovem os achados observados.
Nesse contexto, o presente estudo visa avaliar a resposta histológica observada na pele após tratamento de discromias da região anterior do colo com microagulhamento.
MÉTODOS
O presente estudo visa avaliar histologicamente a eficácia do procedimento de microagulhamento na pele da região anterior do tórax. Os pacientes foram avaliados antes do tratamento (D0) e após três sessões mensais (D90) de aplicação.
O estudo foi organizado de acordo com procedimentos de qualidade e com ciência das participantes, que assinaram termo de consentimento livre e esclarecido. As pacientes foram incluídas de forma aleatória no estudo. Os critérios de exclusão abrangeram história de cicatriz queloideana, uso de isotretinoína, tratamento com corticosteroides ou anticoagulantes, doença vascular do colágeno, presença de infecção da pele na área do tratamento, câncer de pele, verrugas e gravidez. Além disso, as pacientes foram orientadas a suspender o uso de medicamentos e/ou fitoterápicos que alterassem a coagulação sanguínea, tais como AAS, vitamina E, gingko biloba, cápsulas de alho, ginseng e gengibre por pelo menos três dias antes de cada procedimento de microagulhamento.
O procedimento de microagulhamento
Como preparação para o procedimento de microagulhamento, as participantes foram submetidas à demarcação da área do colo em forma de triângulo invertido, em que a linha da base do triângulo apresenta como pontos de referência o lado externo das clavículas direita e esquerda, e o topo do triângulo converge para o centro intermamilar delimitando a área de aplicação do procedimento (Figura 1).

Após a demarcação, houve o preparo da região a ser tratada pelo microagulhamento, em que foi aplicado anestésico tópico (gel de lidocaína 23% e tetracaína 7%) uma hora antes da realização do procedimento. Estando anestesiada a região, o gel foi removido com solução de clorexidina 0,2%, e um dermatologista qualificado realizou o procedimento de microagulhamento com o aparelho Dr. Roller® (registro Anvisa/MS: 80669600001, importado e distribuído pela empresa MTO), um instrumento médico composto por 192 microagulhas de aço cirúrgico de 0,07mm de espessura e 1,5mm de comprimento dispostas em um cilindro (figura 2). A técnica de aplicação consiste em, com uma das mãos, posicioná-lo em ângulo de 45° sobre a área a ser tratada e, com o mínimo de pressão, realizar movimentos de dez passadas em quatro direções: horizontal, vertical, diagonal direita e diagonal esquerda. A rolagem do aparelho faz com que haja penetração das agulhas na pele muitas vezes, causando microlesões que possibilitam liberação de fatores de crescimento e, assim, reestruturação do tecido.

Imediatamente após o procedimento foi realizada limpeza da pele com solução fisiológica a 0,9%. As participantes foram orientadas a realizar a limpeza diária da região com sabonete e logo aplicar um produto complementar com filtro solar mineral (inorgânico) FPS30/ PPD 11,7, à base de óxido de zinco e silicone.
Avaliação histológica das amostras de pele D0 e D90
Com o intuito de avaliar mudanças microscópicas induzidas pelo microagulhamento, foram obtidas biópsias da região tratada por meio de punchs de 4mm, de cada uma das seis pacientes antes e três meses após início do tratamento. As duas áreas biopsiadas nos tempos D0 e D90 localizavam-se a 1cm medialmente ao terço médio do lado direito do triângulo invertido e à distância de 0,5cm da biópsia anterior (Figura 3). (Figura 2). Finalizado o procedimento, a pele foi suturada com fio Mononylon 5-0.

As amostras de pele coletadas em D0 e D90 foram fixadas em 10% de solução de formaldeído e incorporadas em parafina. Foram, então, submetidas a cortes histológicos de 3µm e processadas utilizando-se coloração universal hematoxilina-eosina (HE). Nos cortes histológicos foram afastadas lesões inflamatórias e de origem actínica, e identificaram-se, de maneira imprecisa, a quantidade e a distribuição do pigmento melânico.
Também foi realizada a reação histoquímica de Fontana-Masson (FM), específica para a identificação de melanina, que naturalmente apresenta coloração castanho/marrom, mas nessa reação apresenta-se na cor preta, o que facilita a sua identificação. Com o intuito de demonstrar o aspecto geral da qualidade da coloração, foi realizada fotomicrografia da coloração FM com magnificação de 100x (Figura 4).

A reação de FM permitiu a categorização da distribuição e da quantidade de melanina na microarquitetura da pele. Quanto à distribuição, dois compartimentos foram considerados: a derme papilar e a derme reticular. Para se obter a quantidade de melanina, considerou-se a quantidade de grupamentos de melanina (GM) distribuídos ao longo da derme. Para a contagem dos GM, foram utilizados campos microscópicos com magnificação de 400x (CGA, campos de grande aumento). Para a identificação final da quantidade de GM, em cada amostra, considerou-se a média de GM/CGA. Então, determinou-se a média global da quantidade de GM/CGA, papilar e reticular, nos grupos D0 e D90.
Avaliação subjetiva
A avaliação subjetiva foi realizada por meio de um questionário estruturado respondido individualmente por todas as pacientes nos momentos D30 e D90, com base em sua percepção da área tratada quanto aos aspectos: textura, rugas, coloração, brilho, maciez, firmeza e aparência global. As respostas foram classificadas em quatro escalas quanto à melhora da pele na região tratada: 1 - nula; 2 - pouca; 3 - muita; 4 - muitíssima. Além disso, foi informado se a paciente notou “alguma melhora com o tratamento” e as respostas foram classificadas como: 1 - não; 2 - sim.
ANÁLISES ESTATÍSTICAS
Os dados foram analisados utilizando o software estatístico SPSS versão 21, IBM Corporation. As variáveis quantitativas foram comparadas entre D0 (antes) e D90 (depois) por GEE e comparação post hoc de Bonferroni. Para avaliar diferenças em variáveis qualitativas, foi conduzido teste exato de Fisher. P < 0,05 foi considerado estatisticamente significativo.
RESULTADOS
Seis pacientes caucasianas saudáveis com idades entre 38 e 67, fototipo de Fitzpatrick II e III, e escala de envelhecimento de Glogau entre II e IV participaram do estudo (Tabela 1).
| n = 6 | |
|---|---|
| Idade - anos (M±DP) | 55,2±11 |
| Gênero - Mulheres (n;%) | 6; 100 |
| Fototipo* (n;%) | |
| II | 2;33,3 |
| III | 3;50 |
| Escala de envelhecimento**(n;%) | |
| II | 1;16,7 |
| III | 2;33,3 |
| IV | 1;16,7 |
| Fumo - Não (n;%) | 6, 100 |
| Uso de hormônio - Não (n;%) | 5;83,3 |
| Menopausa - Não (n;%) | 3;50 |
| Tratamento prévio - Não (n;%) | 5;83,3 |
Avaliação histológica das amostras de pele D0 e D90
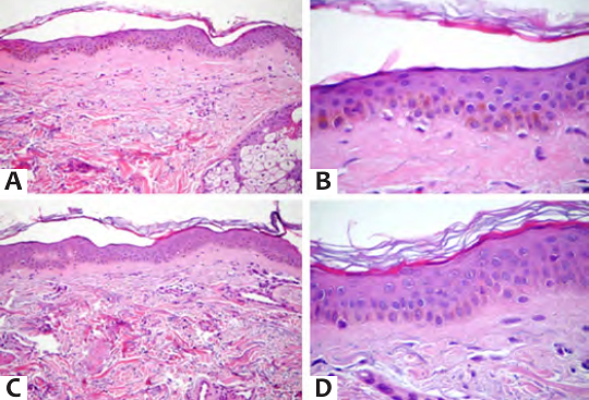
Houve interação significativa entre o efeito do tempo e do tipo de derme (p = 0,029), assim, verificou-se que três sessões de microagulhamento (D90) tendem a reduzir a média dos grupamentos de melanina (GM) na derme reticular em comparação à média basal (D0) (6,4 ± 1,7 foram reduzidos para 3,1 ± 0,4, p = 0,05). A Figura 5 mostra imagens histológicas antes (D0) e depois (D90) do tratamento. Não houve diferença estatisticamente significativa quanto às médias de GM na derme papilar entre os dois tempos (p = 0,47).

Avaliação subjetiva
Das seis pacientes, três relataram melhora da pele no D90; contudo, essa melhora não se apresentou estatisticamente significativa (p = 0,256) quando comparada aos resultados no D30. Duas pacientes não observaram melhora da área com o tratamento no D90 e uma não completou o questionário no final do estudo.
Três pacientes apresentaram algum tipo de sintoma na região logo após o tratamento com roller, entre eles: eritema, eritema com ardor e ressecamento cutâneo excessivo com leve ardência.
DISCUSSÃO
Procedimentos que estimulam os mecanismos regenerativos do próprio corpo e ativam cicatrização da injúria na pele tratada sem a formação de feridas têm sido foco de pesquisas clínicas para uma variedade de condições dermatológicas. O uso de microagulhas para indução percutânea de colágeno, decorre de microinjúrias que alcançam a derme papilar e reticular; para atingir a derme é necessário que o comprimento mínimo das agulhas seja de 1,5mm.8 Como resultado final há disrupção parcial da barreira cutânea, e citocinas são liberadas, como interleucina-1-alfa, interleucina-8, interleucina-6, TNF-alfa e GM-SCF. Cinco dias após a injúria uma matriz de fibronectina está formada, e o depósito de colágeno é iniciado, composto a princípio de colágeno tipo III, posteriormente substituído pelo tipo I.8,9
El-Domyati et al.10 estudaram o efeito de microagulhamento com agulhas de 1mm para rejuvenescimento facial em 10 pacientes submetidos a seis sessões de microagulhamento, com intervalos de duas semanas entre as sessões, observando-se melhora clínica de envelhecimento da pele com as correspondentes melhoras histológicas: aumento estatisticamente significativo (p < 0,05) da espessura da epiderme com melhora da formação da derme papilar.10 Após as sessões, as pacientes apresentaram eritema e edema, que regrediu em dois dias.10
Resultados de outro estudo, no qual 22 pacientes com melasma recalcitrante não responsivo a clareamento tópico e protetor solar foram tratados com duas sessões de microagulhamento com intervalo de 30 dias entre elas, demonstraram que 100% dos pacientes relataram satisfação da área tratada após o término do protocolo de tratamento.4 O autor conclui que o microagulhamento com agulhas de 1,5mm de comprimento pode clarear as manchas da pele de pacientes com melasma recalcitrante e que o uso de clareador de pele e protetor solar é mandatório após o procedimento.4 Outro estudo do mesmo autor realizou duas sessões mensais de microagulhamento em seis mulheres com melasma facial refratário.7 O estudo demonstrou melhora do melasma em todas as pacientes, e as análises histológicas evidenciaram espessamento epitelial, redução da pigmentação de melanina epitelial e densificação de colágeno da derme superior. O mecanismo de ação proposto, pelo qual o microagulhamento promove melhora de hiperpigmentações como o melasma, inclui a proliferação de fibroblastos e neocolagênese na porção superior da derme.7 Esses eventos restaurariam o dano à membrana basal e na porção superior da derme, evitando o contato dos melanócitos com estímulos melanogênicos dérmicos.11,12 Além disso, uma vez que o microagulhamento causa espessamento epidérmico, o procedimento promoveria proteção adicional à radiação UV.7
Até o momento não estão disponíveis protocolos de tratamento de microagulhamento com base em evidência.13 No entanto, o microagulhamento é uma opção segura para tratamento de cicatrizes e rugas.13 Além disso, seus efeitos atingem benefício máximo entre oito e 24 semanas, com variações observadas entre os autores.14,15
Em estudo recente, 12 pacientes foram tratadas com três sessões de radiofrequência microagulhada (Endymed Intensif, EndyMed Ltd., Cesarea, Israel) para rejuvenescimento da região anterior do tórax, realizadas a cada três semanas; a avaliação clínica por dois dermatologistas cegados utilizando a Global Aesthetic Improvement Scale demonstrou que 67% das pacientes tratadas apresentaram melhora global da área, o que incluiu melhora de rugas, da textura da pele e da firmeza.16 Informações clínicas a respeito da melhora de discromias da área tratada não foram mencionadas pelos autores.
O presente trabalho corrobora a literatura principalmente no que diz respeito à redução significativa dos grupamentos de melanina na derme com melhora da pigmentação da pele nas áreas tratadas com microagulhamento. Apesar de outros parâmetros testados não mostrarem significância estatística, os dados são clinicamente relevantes para que novos estudos com amostra maior sejam conduzidos a fim de provar a eficácia desse tratamento. Reconhecemos o pequeno tamanho amostral como importante limitação do atual estudo, bem como o número de sessões de tratamento. Identificamos a necessidade de futuros estudos com amostras maiores que possam melhor representar a população e que apresentem maior tempo de seguimento para que futuramente se possa desenhar e estabelecer protocolos internacionais do tratamento com microagulhamento.
CONCLUSÃO
O microagulhamento tem-se apresentado como tratamento minimamente invasivo para promover melhora clínica e histológica do melasma. Os resultados histológicos obtidos neste estudo corroboram o que foi previamente descrito na literatura e são promissores quanto à eficácia do tratamento.
REFERÊNCIAS
Montagna W, Carlisle K. Structural changes in ageing skin. Br J Dermatol. 1990;122(SUPPL 35):61-70.
Kalil CLPV, Campos VB, Chaves CRP, Pitassi LHU, Cignach S. Comparative, randomized, double-blind study of microneedling associated with drug delivery for rejuvenating the skin of the anterior thorax region. Surg Cosmet Dermatol. 2015;7(3):211-6.
Budamakuntla L, Loganathan E, Suresh D, Shanmugam S, Suryanarayan S, Dongare A, et al. A randomised, open-label, comparative study of tranexamic acid microinjections and tranexamic acid with microneedling in patients with melasma. J Cutan Aesthetic Surg. 2013;6(3):139-43.
Lima E de A. Microneedling in facial recalcitrant melasma: report of a series of 22 cases. An Bras Dermatol. 2015;90(6):919-21.
Fabbrocini G, De Vita V, Fardella N, Pastore F, Annunziata MC, Mauriello MC, et al. Skin Needling to Enhance Depigmenting Serum Penetration in the Treatment of Melasma. Plast Surg Int. 2011;2011:158241.
Ustuner P, Balevi A, Ozdemir M. A split-face, investigator-blinded comparative study on the efficacy and safety of Q-switched Nd:YAG laser plus microneedling with vitamin C versus Q-switched Nd:YAG laser for the treatment of recalcitrant melasma. J Cosmet Laser Ther. 2017;19(7):383-90.
Lima EVA, Lima MMDA, Paixão MP, Miot HA. Assessment of the effects of skin microneedling as adjuvant therapy for facial melasma: a pilot study. BMC Dermatol. 2017;17(1):14.
Lima EVA, Lima MA, Takano D. Microneedling experimental study and classification of the resulting injury. Surg Cosmet Dermatol. 2013;5(2):110-4.
Kalluri H, Kolli CS, Banga AK. Characterization of Microchannels Created by Metal Microneedles: Formation and Closure. AAPS J. 2011;13(3):473- 81.
El-Domyati M, Barakat M, Awad S, Medhat W, El-Fakahany H, Farag H. Multiple microneedling sessions for minimally invasive facial rejuvenation: an objective assessment. Int J Dermatol. 2015;54(12):1361-9.
Tamega A de A, Miot HA, Moço NP, Silva MG, Marques ME, Miot LD. Gene and protein expression of oestrogen- ß and progesterone receptors in facial melasma and adjacent healthy skin in women. Int J Cosmet Sci. 2015;37(2):222-8.
Lee DJ, Park K-C, Ortonne JP, Kang HY. Pendulous melanocytes: a characteristic feature of melasma and how it may occur: Correspondence. Br J Dermatol. 2012;166(3):684-6.
Ramaut L, Hoeksema H, Pirayesh A, Stillaert F, Monstrey S. Microneedling: Where do we stand now? A systematic review of the literature. J Plast Reconstr Aesthet Surg. 2018;71(1):1-14.
Fabbrocini G, De Vita V, Monfrecola A, De Padova MP, Brazzine B, Teixeira F, et al. Percutaneous collagen induction: an effective and safe treatment for post-acne scarring in different skin phototypes. J Dermatol Treat. 2014;25(2):147-52.
Fabbrocini G, De Vita V, Pastore F, Annunziata MC, Cacciapuoti S, Monfrecola A, et al. Collagen induction therapy for the treatment of upper lip wrinkles. J Dermatol Treat. 2012;23(2):144-52.
Lyons A, Roy J, Herrmann J, Chipps L. Treatment of Décolletage Photoaging With Fractional Microneedling Radiofrequency. J Drugs Dermatol. 2018;17(1):74-6.
Notas
1. Clínica Célia Kalil - Porto Alegre, RS Brasil
2. Clínica Valéria Campos - Jundiaí, SP Brasil
Autor notes
Luiza Helena Urso Pitassi Análise estatística, aprovação da versão final do original, concepção e planejamento do estudo, elaboração e redação do original, obtenção, análise e interpretação dos dados, participação efetiva na orientação da pesquisa, participação intelectual em conduta propedêutica e/ou terapêutica de casos estudados, revisão crítica da literatura, revisão crítica do original
Célia Luiza Petersen Vitello Kalil Aprovação da versão final do original, concepção e planejamento do estudo, obtenção, análise e interpretação dos dados, participação efetiva na orientação da pesquisa, participação intelectual em conduta propedêutica e/ou terapêutica de casos estudados, revisão crítica da literatura, revisão crítica do manuscrito
Clarissa Prieto Herman Reinehr Aprovação da versão final do original, concepção e planejamento do estudo, elaboração e redação do manuscrito, participação intelectual em conduta propedêutica e/ou terapêutica de casos estudados, revisão crítica da literatura, revisão crítica do manuscrito
Valéria Barreto Campos Aprovação da versão final do original, concepção e planejamento do estudo, elaboração e redação do original, obtenção, análise e interpretação dos dados, participação efetiva na orientação da pesquisa, participação intelectual em conduta propedêutica e/ou terapêutica de casos estudados, revisão crítica do original
Christine Chaves Análise estatística, aprovação da versão final do original, concepção e planejamento do estudo, elaboração e redação do original, obtenção, análise e interpretação dos dados, participação efetiva na orientação da pesquisa, participação intelectual em conduta propedêutica e/ou terapêutica de casos estudados, revisão crítica da literatura, revisão crítica do original
Stela Cignachi Aprovação da versão final do original, concepção e planejamento do estudo, obtenção, análise e interpretação dos dados, participação intelectual em conduta propedêutica e/ou terapêutica de casos estudados
Correspondência: Clínica Célia Kalil, Rua Padre Chagas, 230, Moinhos de Vento, 90570-080, Porto Alegre, RS, Brasil, Clínica Valéria Campos, Rua Barão de Teffé, 1000, Jardim Ana Maria, 13208-761, Jundiaí, SP, Brasil. E-mail: cla.reinehr@gmail.com
Declaração de interesses