RESUMO: O nevo lipomatoso cutâneo superficial é uma dermatose pouco frequente, na qual o tecido adiposo está presente de forma ectópica na derme. Esta condição é clinicamente dividida em duas variantes:clássica e solitária.A primeira caracteriza-se por pápulas ou nódulos macios, pedunculados, cerebriformes, do tom da pele ou amarelados, envolvendo principalmente a região pélvica.A última é observada como uma pápula solitária ou séssil. O tratamento com excisão cirúrgica é geralmente suficiente. O nevo lipomatoso cutâneo superficial pode estar associado a outras condições como, no nosso caso, a múltiplos lipomas.
Palavras-chave: AdipócitosAdipócitos,DermeDerme,LipomaLipoma,NevoNevo.
ABSTRACT: Nevus lipomatosus cutaneous superficialis is an uncommon dermatosis in which the adipose tissue is present ectopically in the dermis.This condition is clinically divided into two variants: classical and solitary.The first is characterized by soft, pedunculated, cerebriform, skin-colored or yellowish papules or nodules, mainly involving the pelvic region.The latter is observed as a solitary or sessile papule. Treatment with surgical excision is usually enough. Nevus lipomatosus cutaneous superficialis may be associated with other conditions such as multiple lipomas, as in our case.
Keywords: Nevus, Dermis, Adipocytes, Lipoma.
Relato de caso
Nevo lipomatoso cutâneo superficial: apresentação incomum
Nevus lipomatosus cutaneous superficialis: unusual presentation
Recepção: 10 Janeiro 2019
Aprovação: 14 Abril 2019
Nevo lipomatoso cutâneo superficial (NLCS) é uma condição hamartomatosa rara e benigna, caracterizada pela presença de adipócitos maduros na derme. O NLCS é encontrado normalmente ao nascimento ou surge nas duas primeiras décadas de vida. Não há relatos de predileção por sexo nem de predisposição genética. Clinicamente, é classificado de duas formas. A forma clássica caracteriza-se por amontoados assintomáticos de pápulas ou nódulos macios, pedunculados, cerebriformes, de coloração do tom da pele a amarelada.As lesões podem coalescer em placas com superfície lisa, enrugada ou com textura de peau d’orange. Essa forma é usualmente encontrada na cintura pélvica, principalmente na região glútea, lombossacra e terço superior das coxas. A forma solitária de NLCS manifesta-se como uma pápula solitária ou séssil. Esta forma geralmente desenvolve-se durante a vida adulta e foi descrita em diferentes localizações: tronco inferior, joelho, axila, braço, orelha e couro cabeludo. O tratamento é realizado com a simples excisão cirúrgica. Por ser uma condição benigna, a sua remoção é realizada por motivos estéticos.1-7
Algumas lesões, como angioqueratoma de Fordyce, máculas café-au-lait ou vitiligo-símile, hemangioma, carcinoma basocelular, hipertricose sobre o nevo, lesões comedo-símile e lipoma, foram descritas concomitantemente ao NLCS.2-6 Entretanto, a raridade da associação de NLCS a lipomas na literatura e a exuberância na forma de apresentação do nosso paciente nos motivou à publicação.
O NLCS é caracterizado pela presença de adipócitos maduros ectópicos na derme. A forma clássica, descrita por Hoffmann e Zurhelle em 1921, é caracterizada por nódulos ou pápulas da cor da pele ou amareladas, agrupadas, que não atravessam a linha mediana e podem seguir as linhas de Blaschko. Já estão presentes ao nascimento ou aparecem mais comumente até a segunda década de vida. As localizações mais frequentes são a cintura pélvica, região lombossacra, nádegas e coxas.2,3,4,8
A forma solitária, descrita por Nikolowsky em 1950, consiste em uma lesão nodular única, com aparecimento mais tardio, geralmente ocorrendo após a terceira década de vida.9 A localização da forma solitária é muito variada, sendo descritas lesões em tronco inferior, clitóris, joelho, axila, braço, orelha e couro cabeludo. Esta forma também é referida como lipofibroma pedunculado. Não há relatos de histórico familiar ou predileção por sexo em nenhuma das variantes clínicas.10-12
Em alguns casos, o NLCS foi descrito ocorrendo simultaneamente com algumas lesões, como angioqueratoma de Fordyce, máculas café-au-lait ou vitiligo-símile, hemangioma, carcinoma basocelular, hipertricose sobre o nevo e lesões comedo-símile.2-5 No entanto, a associação de nevo lipomatoso a lipomas foi relatada em apenas um estudo espanhol. Neste estudo, uma paciente feminina apresentou, aos 34 anos de idade, surgimento de nódulos amolecidos na fossa poplítea, sendo a lesão central correspondente a nevo lipomatoso e as lesões periféricas correspondentes a lipomas.13
Histologicamente, o nevo cutâneo lipomatoso superficial é caracterizado por acúmulo de adipócitos maduros ectópicos na derme. Quando eles são escassos, apresentam distribuição perivascular com infiltrado linfomonocítico. Quando estão em maior número, essa relação não é tão clara e o limite entre derme e hipoderme torna-se pouco nítido.As fibras colágenas dérmicas encontram-se inalteradas, podendo estar desorganizadas ou com densidade aumentada. Já as fibras elásticas podem estar normais, aumentadas, reduzidas ou até mesmo ausentes.Também foi descrito um aumento de mucina na derme papilar e subpapilar.A epiderme encontra-se normal ou com acantose, podendo conter estruturas comedonianas.13,14 Os apêndices cutâneos não se encontram substituídos. Contudo, alguns casos de NCLS com anomalias pilosas têm sido descritos, como estruturas abortivas germinativas foliculares-símile, unidades pilossebáceas hipertróficas, fibrose perifolicular, fibrofoliculomas e hamartomas císticos foliculossebáceos.8
A patogênese do NLCS ainda não está determinada.Alguns autores sugeriram que se origina a partir de células precursoras de adipócitos localizadas ao redor dos vasos sanguíneos.15 Porém, em estudo com microscopia eletrônica, foram observados apenas lipócitos maduros dentro dos infiltrados mononucleares perivasculares, não sendo evidenciados lipoblastos nem a transição de células mesenquimais para lipócitos.16
O tratamento de escolha é a ressecção cirúrgica, que é instituída apenas para fins estéticos, dadas a benignidade da lesão e a possibilidade do aumento do seu tamanho. Degeneração maligna e recorrências são extremamente raras.1-7
Homem de 33 anos apresentando quatro lesões nodulares assintomáticas, distribuídas em tronco e membros há dois anos, e uma lesão tumoral pedunculada, também assintomática, localizada no terço superior da face posterior da coxa direita. Esta última teve crescimento progressivo, tornando-se inestética. Sem história familiar de alterações semelhantes.
O exame dermatológico revelou quatro nódulos recobertos por pele normal, consistência macia, medindo de 2-6cm no maior diâmetro, localizados na região lombar à esquerda, nos antebraços direito e esquerdo e na face anterior da coxa direita (Figura 1). Uma lesão tumoral pedunculada, superfície lobulada, da cor da pele, com consistência fibrosa, medindo 6,5cm de comprimento e 3cm de diâmetro, localizada abaixo do sulco infraglúteo direito (Figura 2). Clinicamente, foram feitas as hipóteses de lipomas para as lesões nodulares do tronco e dos membros, e de nevo lipomatoso cutâneo superficial tipo solitário para a lesão pedunculada localizada abaixo do sulco infraglúteo direito. A lesão pedunculada e os nódulos, exceto o localizado no antebraço esquerdo (2cm), foram removidos cirurgicamente e confirmados pelo exame histopatológico (Figura 3).



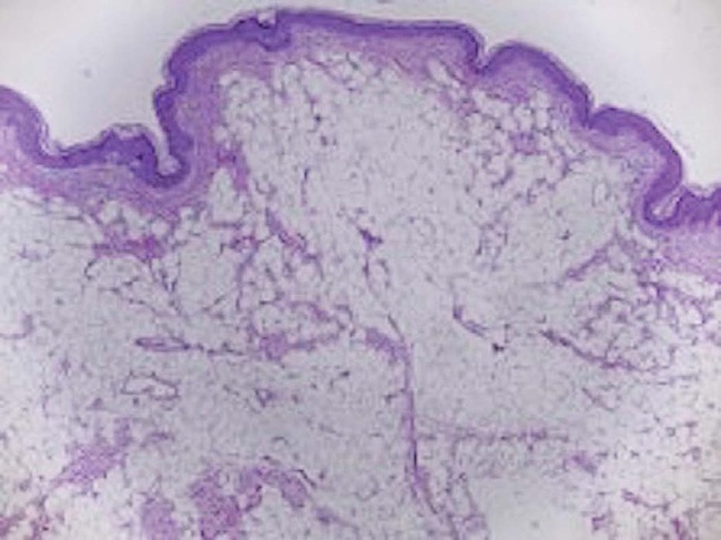
O exame histopatológico da lesão pedunculada exuberante revelou a presença de tecido adiposo maduro na derme reticular com extensão à derme papilar, caracterizando o diagnóstico de nevo lipomatoso cutâneo superficial (Figura 4). Exames histopatológicos dos nódulos do tronco e membros apresentaram características semelhantes entre eles, revelando tecido adiposo maduro entremeado por alguns capilares congestos, compatível com lipoma (Figura 5).


O nevo lipomatoso cutâneo superficial pode estar presente desde o nascimento ou pode aparecer após a terceira década de vida. Quando presente desde o nascimento - forma clássica -, localiza-se tipicamente na região pélvica e nos membros inferiores. Na forma solitária, que se inicia após a terceira década de vida, surge como lesão única e pedunculada e tem localização muito variada. No caso relatado, o paciente apresentou a forma solitária do nevo lipomatoso cutâneo superficial, entretanto com localização na área típica da forma clássica. Em concordância com a literatura, o mesmo não apresentava histórico familiar. 1-7
Há alguns relatos na literatura que mostram a associação do NLCS com outras alterações dermatológicas, como por exemplo: angioqueratoma de Fordyce, máculas café-au-lait ou vitiligo-símile, hemangioma, carcinoma basocelular, hipertricose sobre o nevo e lesões comedo-símile.2-5 Todavia, pouco se sabe da concomitância desse tipo de nevo com lipomas. Até o presente momento, apenas um caso foi relatado demonstrando essa associação.13 Nosso relato assemelha-se ao caso relatado anteriormente, porém diferindo na localização das lesões. Os lipomas e o nevo lipomatoso do nosso paciente encontravam-se em sítios distantes do corpo.
Apesar do seu caráter benigno, muitos pacientes desejam retirar a lesão. No nosso caso, o paciente procurou o Serviço de Dermatologia da Universidade Federal Fluminense para a remoção cirúrgica de uma lesão com apresentação incomum e exuberante. O resultado estético após a cirurgia foi considerado muito bom pelos médicos e pelo paciente (Figura 3A).
O diagnóstico de nevo lipomatoso cutâneo superficial pode ser difícil, devido à raridade e às diferentes formas de apresentação. Existem alguns relatos das associações de NLCS a outras alterações dermatológicas. Contudo, a concomitância com lipomas foi descrita apenas em um caso anterior. Relatamos esse caso pela sua peculiaridade e exuberância bem como por sua associação aos múltiplos lipomas.
Maria Claudia Almeida Issa Acompanhamento clínico do paciente e supervisão, orientação e correção do manuscrito.
Diego Cerqueira Alexandre Estruturação do manuscrito.
Aline Cairo Fassini Acompanhamento clínico e estruturação do manuscrito.
Camila de Oliveira Bento Acompanhamento clínico e estruturação do manuscrito.
Flávio Barbosa Luz Acompanhamento cirúrgico do paciente e supervisão, orientação e correção do manuscrito.
Enoí Aparecida Guedes Vilar Análise histopatológica dos achados.
Correspondência: Diego Cerqueira Alexandre, R. Pedro Ernesto, 60, Venda da Cruz, 24110-680 Niterói (RJ), Brasil. E-mail: diegocerqueira_dca@hotmail.com




