Diagnóstico por Imagem
Angioqueratoma circunscrito: clínica, dermatoscopia e tratamento cirúrgico
Angiokeratoma circumscriptum: clinical features, dermoscopy and surgical approach
Angioqueratoma circunscrito: clínica, dermatoscopia e tratamento cirúrgico
Surgical & Cosmetic Dermatology, vol. 12, núm. 1, pp. 70-73, 2020
Sociedade Brasileira de Dermatologia
Recepção: 03 Julho 2018
Aprovação: 10 Março 2020
RESUMO: Angioqueratomas são malformações vasculares constituídas por telangiectasias de vasos preexistentes, não sendo considerados angiomas propriamente ditos. O tipo circunscrito é o mais raro dos angioqueratomas, com poucos casos descritos na literatura mundial. O mecanismo de desenvolvimento destas lesões ainda não foi completamente elucidado. Lesões pequenas podem ser tratadas por eletrocauterização, curetagem ou criocirurgia. Lesões maiores requerem excisão cirúrgica profunda e, dependendo do tamanho do defeito, fechamento direto, retalho ou enxerto. Outras opções incluem laser de CO2 ou de argônio. Neste relato de caso descrevemos um quadro clássico de angioqueratoma circunscrito, com aparecimento ao nascimento e crescimento progressivo até a idade adulta.
Palavras-Chave: Dermatologia, Malformações vasculares, Procedimentos cirúrgicos ambulatórios.
Abstract: Angiokeratomas are vascular malformations constituted by telangiectasia of preexisting vessels. They are not classified as angiomas. It is the rarest variant of angiokeratomas, with few cases in the literature. The mechanism of development of these lesions has not yet been fully elucidated. Small lesions can be treated with electrosurgery, curettage, or cryosurgery. Larger lesions require deep surgical excision, and depending on the size and depht of the lesion, direct closure, flap, or grafting. CO2 or argon laser are considered other treatment options. In this case report we describe a classic case of circumscribed angiokeratoma, with onset at birth, and progressive growth.
Keywords: Ambulatory surgical procedures, Dermatology, Vascular malformations.
INTRODUÇÃO
Angioqueratomas são malformações vasculares relativamente raras, caracterizadas por lesões cutâneas assintomáticas. São telangiectasias de vasos preexistentes, não sendo considerados angiomas propriamente ditos.1 Ocorre uma dilatação dos capilares da derme papilar, com alterações epidérmicas secundárias, com hiperceratose e acantose.2 O angioqueratoma circunscrito é a variante mais rara dos angioqueratomas.3
Clinicamente, apresentam-se como múltiplas pápulas e placas vinhosas, às vezes enegrecidas, ceratósicas, por vezes friáveis, com sangramento ao mínimo trauma. Variam em tamanho, profundidade e localização.4 Mais comumente, ocorrem nos membros inferiores, em distribuição segmentar.
Na maioria dos casos, a lesão já é notada ao nascer, porém raramente a lesão se desenvolve tardiamente na infância ou adolescência. Não há relatos de regressão espontânea.4
Outras formas clínicas de angioqueratomas incluem: 1. Angioqueratoma corporis diffusum (angioqueratoma de Fabry); 2. Angioqueratoma de Mibelli (ocorre no dorso das falanges de mãos e pés); 3. Angioqueratoma de Fordyce (região escrotal); 4. Angioqueratoma papular solitário (forma mais comum).1-5 Existe ainda o angioqueratoma circunscrito neviforme, que é uma variante ainda mais rara do angioqueratoma circunscrito.
O mecanismo exato de desenvolvimento destas lesões ainda não foi completamente elucidado.5
RELATO DO CASO
Paciente do sexo masculino, 25 anos, relatava lesão em membro inferior esquerdo desde o nascimento. Inicialmente, eram lesões vinhosas, com pouco relevo, segmentares, na face medial da perna esquerda. Com o passar dos anos, a lesão sofreu modificações, tornando-se ceratósica, elevada e sangrante (Figura 1). O paciente procurou nosso Serviço devido à friabilidade e à dor nas lesões elevadas, que o incomodavam ao calçar os sapatos e realizar atividades físicas. Não apresentava comorbidades conhecidas.

Ao exame físico, apresentava placas ceratósicas elevadas, de superfície áspera/ verrucosa e friável, dolorosa a mínimos traumas e pressão de roupas e sapatos. As placas mais elevadas variavam de tamanho, entre 1 e 4cm em seu maior eixo.
Ao redor das lesões mais elevadas, havia placas vinhosas pouco ceratósicas, de distribuição segmentar, estendendo-se do terço inferior da perna esquerda até o dorso do pé e hálux ipsilaterais. Não havia diferença na circunferência entre as duas pernas.
A dermatoscopia foi importante para a elucidação diagnóstica, evidenciando lesão com componente ceratósico importante e discreto véu esbranquiçado, entremeando lagos vasculares vinhosos/enegrecidos, com pequenas crostas hemorrágicas e eritema periférico (Figura 2).

O paciente relatou já ter realizado excisão parcial da lesão há dez anos, porém houve recidiva local.
Devido ao histórico de recidiva, optamos por excisão cirúrgica profunda (até fáscia muscular), em dois tempos. Inicialmente, foi excisada a lesão maior, com marcação angulada de forma que permitisse fechamento primário, que resultou em cicatriz em Y, e fechamento com tensão moderada devido à pouca mobilidade de pele no local (Figura 3).

Foram realizados pontos iniciais centrais em roldana, para melhor aproximação das bordas, e posteriores pontos simples internos e externos, com nylon 3.0.
O fechamento primário permite recuperação mais rápida e menor morbidade no pós-operatório. Quando possível, deve ser sempre a primeira opção cirúrgica.
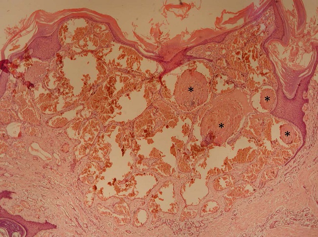
A histopatologia evidenciou ectasia e proliferação de vasos na derme superficial e média, circundada por epitélio escamoso epidérmico hiperplásico, sem atipias (Figura 4).

Corroborando dados clínicos, dermatoscópicos e histopatológicos, concluímos tratar-se de angioqueratoma circunscrito, a variante mais rara entre os angioqueratomas.
O paciente apresentou boa cicatrização da ferida cirúrgica e retornou para exérese das outras lesões menores, próximas à lesão maior.
DISCUSSÃO
Os angioqueratomas são lesões vasculares definidas como um ou mais vasos dilatados da derme papilar, acompanhados de acantose/hiperqueratose da epiderme.4 A prevalência mundial é de 0,16%, acometendo ligeiramente mais o sexo masculino.4 O angioqueratoma circunscrito é considerado a variante mais rara.
Atinge com maior frequência os membros inferiores, de forma unilateral ou de distribuição assimétrica entre os dois membros4, mas pode ocorrer também nas coxas, glúteos ou outros locais do corpo.6 São lesões papulosas e/ou nodulares que, com o tempo de evolução, coalescem e se tornam placas hiperqueratóticas verrucosas, em distribuição zosteriforme.1,3,4
Na maior parte dos casos, já estão presentes ao nascimento, porém podem se desenvolver na infância ou adolescência e até durante a vida adulta.5,6
O paciente acima descrito apresentou o quadro clássico do angioqueratoma circunscrito: sexo masculino, lesão em membro inferior presente desde o nascimento, com crescimento progressivo até a vida adulta, tornando-se sintomática.
Ainda é desconhecido o mecanismo fisiopatológico da formação dessas lesões.4,5,6,7 Inicialmente, há ectasia vascular da derme papilar e as alterações epidérmicas ocorrem de forma secundária.
Alguns autores sugerem que o desenvolvimento da hiperqueratose possa estar associado à expressão da metaloproteinase-9 (mmp9) na lesão.4,6 Alterações na hemodinâmica local, como trauma aos capilares da derme papilar, podem ocasionar o aparecimento de telangiectasias na derme papilar com hiperceratose e acantose na epiderme. Há também relatos da expressão de VEGF e seus receptores (VEGFR-1 e 2) nas células endoteliais dos capilares dilatados dessas lesões. O VEGF é um fator de crescimento angiogênico. De seus receptores, o VEGFR-1 está envolvido na migração celular e manutenção vascular; já o VEGFR-2 está primariamente envolvido na regulação da mitose e proliferação celular, porém o papel exato destes ainda não foi precisamente elucidado até o momento.6
Alguns autores consideram, além do trauma, gravidez, hematomas subcutâneos e hipóxia tecidual como outros possíveis fatores desencadeantes.5
Os angioqueratomas circunscritos podem coexistir em associação com a síndrome de Klippel-Trenaunay (mancha vinho do Porto, malformação venosa e linfática e hipertrofia de tecidos moles).4,5,7,8 Pode ter associação também com a síndrome de Cobb, nevus flammeus, hemangioma cavernoso e fístula arteriovenosa traumática.
Nosso paciente não apresentava fatores de risco conhecidos nem associação com outros tipos de lesões.
O diagnóstico é essencialmente clínico e confirmado pela histopatologia, que evidencia hiperqueratose, papilomatose e acantose, com proliferação de vasos limitados à derme papilar.7,8,9 O diagnóstico diferencial histopatológico se faz com o hemangioma verrucoso, que consiste em malformação vascular congênita e localizada, porém envolvendo a derme reticular e o subcutâneo. O angioqueratoma circunscrito consiste em dilatação vascular sem proliferação de vasos. Já o hemangioma verrucoso é considerado um tumor hiperplásico, com proliferação de células mesenquimais que tendem a formar capilares.
A dermatoscopia auxilia no diagnóstico, evidenciando lacunas avermelhadas e véu esbranquiçado, encoberto por escamas esbranquiçadas e/ou crostas hemáticas. Com a dermatoscopia, não é possível diferenciar um hemangioma verrucoso de um hemangioma circunscrito pela dificuldade em estimar a profundidade da lesão.
É importante lembrar que, clinicamente, pode mimetizar um melanoma maligno.7,10 Também deve-se pensar como diagnósticos diferenciais clínicos a tuberculose cutânea, micoses profundas, verrugas virais e outras lesões que apresentam padrão de crescimento linear.7
Corroborando dados clínicos, dermatoscópicos e histopatológicos, fechamos o diagnóstico de angioqueratoma circunscrito, a variante mais rara entre os angioqueratomas.
O angioqueratoma não regride espontaneamente. Lesões pequenas podem ser tratadas com eletrocauterização, curetagem ou criocirurgia. Lesões maiores requerem excisão cirúrgica profunda e, dependendo do tamanho do defeito, fechamento direto, retalho ou enxerto. Outras opções incluem laser de CO2 ou de argônio.4,5,7,10
A raridade desta entidade na literatura mundial motivou o relato deste caso.
O paciente descrito apresentava características clínicas, dermatoscópicas e histopatológicas clássicas do angioqueratoma circunscrito.
Agradecimentos
À Dra. Patricia Bichara pelo auxílio na cirurgia do paciente.
REFERÊNCIAS
Jindal SR, Chalvade P, Jerajani HR. Late onset palmar angiokeratoma circumscriptum: An unusual presentation. Indian Dermatol Online J. 2014;5(3):320-2.
Bouaddi M, Colonna C, Cavalli R, Gelmetti CM. [A new location of angiokeratoma circumscriptum]. Ann Dermatol Venereol. 2012;139(11):732-5.
Ivy H, Julian CA. Angiokeratoma Circumscriptum.[Internet]. Bethesda MD: U.S. National Library of Medicine [cited 2020 Dec 5]. Available from: https://www.ncbi.nlm.nih.gov/books/NBK549769/
Sadana D, Sharma YK, Dash K, Chaudhari ND, Dharwadkar AA, Dogra BB. Angiokeratoma circumspriptum in a young male. Indian J Dermatol. 2014;59(1):85-7.
Das A, Mondal AK, Saha A, Chowdhury SN, Gharami RC. Angiokeratoma circumscriptum neviforme: An entity, few and far between. Indian Dermatol Online J. 2014;5(4):472-4.
Kang YH, Byun JH, Park BW. Angiokeratoma circumscriptum of the buccal mucosa: a case report and literature review. J Korean Assoc Oral Maxillofac Surg. 2014;40(5):240-5.
Agrawal SN, Deshmukh YR, Jane SD. Angiokeratoma circumscriptum: dilemma in diagnosis. Indian J Pathol Microbiol. 2014;57(2):350-1.
Wankhade V, Singh R, Sadhwani V, Kodate P, Disawal A. Angiokeratoma circumscriptum naeviforme with soft tissue hypertrophy and deep venous malformation: A variant of Klippel-Trenaunay syndrome? Indian Dermatol Online J. 2014;5(Suppl 2):S109-12.
Kwon NH, Kim SY, Kim GM. A case of post-injury angiokeratoma circumscriptum of the chest. Ann Dermatol. 2010;22(1):66-8.
Debbarman P, Roy S, Kumar P. Angiokeratoma circumscriptum neviforme. Indian Pediatr. 2012;49(1):80.
Notas
Autor notes
Francine Papaiordanou Elaboração e redação do manuscrito.
Guillermo Loda Participação intelectual em conduta propedêutica e/ou terapêutica de casos estudados.
Marcela Benez Aprovação da versão final do manuscrito.
Leonardo Pereira Quintella Revisão crítica do manuscrito.
Correspondência: Francine Papaiordanou, Rua Careaçu, 548, Jardim França, 02339-000 São Paulo (SP), Brasil, Fone: (11) 9-9939-0000. francinepapaiordanou@gmail.com
Declaração de interesses