Relatos de Caso
Onicomatricoma gigante: relato de um caso
Onicomatricoma gigante: relato de um caso
Surgical & Cosmetic Dermatology, vol. 12, núm. 3, 2020
Sociedade Brasileira de Dermatologia
Recepção: 17 Maio 2020
Aprovação: 13 Agosto 2020
RESUMO
INTRODUÇÃO: Onicomatricoma é um tumor benigno, raro, caracterizado pela tétrade clínica de faixa longitudinal amarelada de espessura variável, hemorragias em estilhaço, hipercurvatura longitudinal e transversa da placa ungueal e projeções digitiformes que emergem da matriz ungueal, deixando cavitações na placa ungueal. Relatamos um caso de paciente feminina, 49 anos, com queixa de lesão tumoral em terceiro quirodáctilo esquerdo há cerca de quatro anos, com aumento progressivo no período. Ao exame, apresentava lesão tumoral exuberante clinicamente compatível com onicomatricoma, confirmado pelo exame anatomopatológico após exérese completa do tumor.
Palavras-chave: Doenças da unha+ Neoplasias+ Unhas.
INTRODUÇÃO
Onicomatricoma é um tumor benigno, raro, caracterizado por projeções digitiformes provenientes da matriz, sendo o único tumor em que a alteração da placa ungueal é ativamente produzida pela lesão.1,2 Relatamos um caso de onicomatricoma de aspecto exuberante, dando destaque às características clínicas e ao diagnóstico da lesão.
RELATO DO CASO
Paciente feminina, 49 anos, trabalhadora na indústria de calçados, com queixa de lesão tumoral em terceiro quirodáctilo esquerdo há cerca de quatro anos, com aumento progressivo no período. Negava dor ou outros sintomas relacionados à lesão. Referia ter realizado diversos tratamentos para onicomicose, sem melhora. Ao exame físico, apresentava espessamento da placa ungueal, hipercurvatura transversa, xantoníquia, estilhas hemorrágicas e pequenos orifícios na borda livre da unha (Figuras 1 e 2). A dermatoscopia da superfície da lâmina permitia uma melhor visualização das estilhas hemorrágicas, e a borda livre demonstrava a presença de perfurações (Figuras 3 e 4).




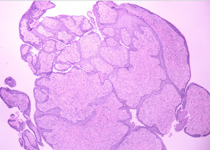
Devido à suspeita de onicomatricoma, a paciente foi encaminhada para cirurgia. Foram realizadas duas incisões na dobra ungueal proximal, a qual foi rebatida, expondo o tumor. A exérese da unha permitiu a visualização de projeções digitiformes na área da matriz (Figuras 5 e 6). Realizamos exérese completa do tumor e fechamento primário das incisões na dobra ungueal proximal (Figura 7). A histologia demonstrou hiperplasia digitiforme revestida por epitélio escamoso formando projeções, confirmando o diagnóstico de onicomatricoma (Figura 8).




DISCUSSÃO
Onicomatricoma caracteriza-se pela tétrade clínica de faixa longitudinal amarelada de espessura variável, hemorragias em estilhaço, hipercurvatura longitudinal e transversa da placa ungueal e projeções digitiformes que emergem da matriz ungueal, deixando cavitações na placa ungueal.3,4 Também pode manifestar-se com melanoníquia longitudinal, hematoma subungueal, distrofia ungueal, verrucosidade da dobra ungueal proximal, pterígio dorsal, variante gigante e tipo pseudofibroqueratoma, além de poder apresentar características semelhantes à onicomicose.4,5 A dermatoscopia da placa demonstra perfurações na porção distal da placa ungueal, estrias hemorrágicas e sulcos longitudinais brancos que correspondem aos canais da placa ungueal.1,4,6
Os diagnósticos diferenciais incluem: a exostose subungueal, fibroqueratoma, verruga vulgar, onicomicose, carcinoma epidermoide, queratoacantoma, fibromixoma acral superficial, melanoma, infecções bacterianas, dermatofibrossarcoma protuberans, porocarcinoma e osteocondroma. A onicomicose é citada como fator predisponente para o surgimento do onicomatricoma (teoria reativa). Por outro lado, o tumor também pode ser considerado fator predisponente para a onicomicose.6,7
Exames de imagem, como radiografia, ultrassonografia e ressonância nuclear magnética (RNM), podem auxiliar no diagnóstico da lesão, porém na maioria dos casos os exames clínico e dermatoscópico associados ao exame anatomopatológico são suficientes para o diagnóstico, assim como no caso relatado.8,9 O exame anatomopatológico demonstra um tumor fibroepitelial composto por duas porções. A primeira, proximal, localiza-se sob a dobra ungueal posterior, caracterizada por invaginações epiteliais preenchidas por espessa zona queratinizada em forma de “V”, estroma fibrilar e fibrocítico bem delimitados, além do espessamento da placa ungueal. A zona distal, na lúnula, caracteriza-se pelas projeções digitiformes, perfurações na placa ungueal e penetração profunda e mal delimitada do estroma conectivo na derme.10
O tratamento do onicomatricoma é cirúrgico, devendo ser realizada exérese completa do tumor. O prognóstico a longo prazo em geral é favorável, porém distrofias ungueais são comuns.11
Agradecimentos:
Ao Departamento de Dermatologia da Santa Casa de Misericórdia de Porto Alegre.
REFERÊNCIAS
Haneke E, Franken J. Onychomatricoma. Dermatol Surg. 1995;21(11):984-7.
Ko CJ, Shi L, Barr RJ, Molne L, Ternesten-Bratel A, Headington JT. Unguioblastoma and unguioblastic fibroma an expanded spectrum of onychomatricoma. J Cutan Pathol. 2004;31(4):307-11.
Thomas L, Zook EG, Haneke E, Drapé JL, Baran R. Tumors of the nail apparatus and adjacent tissues. In: Baran R, de Baker DAR, Holzberg M, Thomas L. Baran and Dawber''s diseases of the nails and their management. 4th ed. USA: Wiley-Blackwell; 2012. p. 637-743.
Perrin C, Baran R. Onychomatricoma with dorsal pterygium: pathogenic mechanisms in 3 cases. J Am Acad Dermatol. 2008;59(6):990-4
Goettmann S, Zaraa I, Moulonguet I. Onychomatricoma with pterygium aspect: unusual clinical presentation. Acta Derm Venereol. 2006;86(4):369-70.
Baran R, Nakamura R. Doença das Unhas: do diagnóstico ao tratamento. Rio de Janeiro: Elsevier; 2011.
Cañueto J, Santos-Briz Á, García JL, Robledo C, Unamuno P. Onychomatricoma: genome-wide analyses of a rare nail matrix tumor. J Am Acad Dermatol. 2011;64(3):573-8.
Rosamary Soto, Ximena Wortsman, Yamile Corredoira. Onychomatricoma: Clinical and Sonographic Findings. Arch Dermatol. 2009;145(12):1461-2.
Goetmann S, Drapé JL, Baran R, Perrin C, Haneke E, Belaïch S. Onychomatricome: 3nouveaux cas: intérêt de la résonance magnétique nucléaire. Ann Dermatol Venereol. 1994;121(Suppl 1):S145.
Perrin C, Goettmann S, Baran R. Onychomatricoma: clinical and histopathologic findings in 12 cases. J Am Acad Dermatol. 1998;39(4 pt 1):560-4.
Di Chiacchio N, Richert B, Haneke E. Surgery of the matrix. In: Richert B, Di Chiacchio N, Haneke E. Nail Surgery. New York: Informa Healthcare. 2011; p 103-32.
Notas
Autor notes
Vanessa Gheno | 0000-0003-2670-0497 Aprovação da versão final do manuscrito; concepção e planejamento do estudo; elaboração e redação do manuscrito.
Manoella Freitas Santos Aprovação da versão final do manuscrito; concepção e planejamento do estudo; elaboração e redação do manuscrito; participação intelectual em conduta propedêutica e/ou terapêutica de casos estudados; revisão crítica da literatura; revisão crítica do manuscrito.
Maria Emilia Vieira de Souza Aprovação da versão final do manuscrito; concepção e planejamento do estudo; elaboração e redação do manuscrito; participação intelectual em conduta propedêutica e/ou terapêutica de casos estudados; revisão crítica da literatura; revisão crítica do manuscrito.
Laura Luzzatto Contribuição no artigo: Aprovação da versão final do manuscrito; concepção e planejamento do estudo; elaboração e redação do manuscrito; obtenção, análise e interpretação dos dados; participação efetiva na orientação da pesquisa; participação intelectual em conduta propedêutica e/ou terapêutica de casos estudados; revisão crítica da literatura; revisão crítica do manuscrito.
Leonardo Albarello Aprovação da versão final do manuscrito; concepção e planejamento do estudo; elaboração e redação do manuscrito; obtenção, análise e interpretação dos dados; participação efetiva na orientação da pesquisa; participação intelectual em conduta propedêutica e/ou terapêutica de casos estudados; revisão crítica da literatura; revisão crítica do manuscrito.
Renan Minotto Aprovação da versão final do manuscrito; concepção e planejamento do estudo; elaboração e redação do manuscrito; obtenção, análise e interpretação dos dados; participação efetiva na orientação da pesquisa; participação intelectual em conduta propedêutica e/ou terapêutica de casos estudados; revisão crítica da literatura; revisão crítica do manuscrito.
Correspondência: Manoella Freitas Santos Departamento de Dermatologia da Irmandade Santa Casa de Misericórdia de Porto Alegre Av. Independência, 75 - Independência Porto Alegre (RS) - CEP: 90035-074. E-mail: manoellafs@gmail.com
Declaração de interesses